JavaScript is disabled in your browser. Please enable JavaScript to view this website.
AB126100

Anti-RPL6 antibody

Be the first to review this product! Submit a review

|

(5 Publications)

Rabbit Polyclonal RPL6 antibody. Suitable for WB, IHC-P and reacts with Human, Rat samples. Cited in 5 publications. Immunogen corresponding to Recombinant Fragment Protein within Human RPL6 aa 1-200.

View Alternative Names

TXREB1, RPL6, Large ribosomal subunit protein eL6, 60S ribosomal protein L6, Neoplasm-related protein C140, Tax-responsive enhancer element-binding protein 107, TaxREB107

2 Images
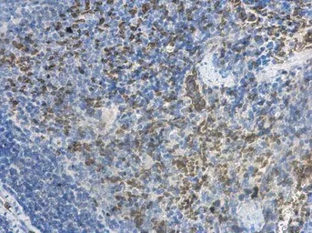
Immunohistochemistry (Formalin/PFA-fixed paraffin-embedded sections) - Anti-RPL6 antibody (AB126100)
  • IHC-P

Supplier Data

Immunohistochemistry (Formalin/PFA-fixed paraffin-embedded sections) - Anti-RPL6 antibody (AB126100)

Immunohistochemical analysis of paraffin-embedded rat fore brain tissue stained for RPL6 protein at cytosol with ab126100 at a 1/500 dilution.

Antigen retrieval : Trilogy™ (EDTA based, pH 8.0) buffer, 15min.

Western blot - Anti-RPL6 antibody (AB126100)
  • WB

Unknown

Western blot - Anti-RPL6 antibody (AB126100)

12% SDS Page

All lanes:

Western blot - Anti-RPL6 antibody (ab126100) at 1/1000 dilution

Lane 1:

A549 cell lysate at 30 µg

Lane 2:

H1299 cell lysate at 30 µg

Lane 3:

HCT116 cell lysate at 30 µg

Lane 4:

MCF7 cell lysate at 30 µg

Predicted band size: 33 kDa

false

Key facts

Host species

Rabbit

Clonality

Polyclonal

Isotype

IgG

Carrier free

No

Reacts with

Human, Rat

Applications

IHC-P, WB

applications

Immunogen

Recombinant Fragment Protein within Human RPL6 aa 1-200. The exact immunogen used to generate this antibody is proprietary information.

Q02878

Reactivity data

{ "title": "Reactivity Data", "filters": { "stats": ["", "Species", "Dilution Info", "Notes"], "tabs": { "all-applications": {"fullname" : "All Applications", "shortname": "All Applications"}, "WB" : {"fullname" : "Western blot", "shortname":"WB"}, "IHCP" : {"fullname" : "Immunohistochemistry (Formalin/PFA-fixed paraffin-embedded sections)", "shortname":"IHC-P"} }, "product-promise": { "all": "all", "testedAndGuaranteed": "tested", "guaranteed": "expected", "predicted": "predicted", "notRecommended": "not-recommended" } }, "values": { "Human": { "WB-species-checked": "testedAndGuaranteed", "WB-species-dilution-info": "1/500 - 1/3000", "WB-species-notes": "<p></p>", "IHCP-species-checked": "guaranteed", "IHCP-species-dilution-info": "", "IHCP-species-notes": "" }, "Rat": { "WB-species-checked": "guaranteed", "WB-species-dilution-info": "", "WB-species-notes": "", "IHCP-species-checked": "testedAndGuaranteed", "IHCP-species-dilution-info": "1/100 - 1/1000", "IHCP-species-notes": "<p></p>" } } }

Properties and storage information

Form
Liquid
Purification technique
Affinity purification Immunogen
Storage buffer
pH: 7 Preservative: 0.01% Thimerosal (merthiolate) Constituents: PBS, 20% Glycerol (glycerin, glycerine), 1% BSA
Shipped at conditions
Blue Ice
Appropriate short-term storage conditions
+4°C
Appropriate long-term storage conditions
-20°C
Aliquoting information
Upon delivery aliquot
Storage information
Avoid freeze / thaw cycle

Supplementary information

This supplementary information is collated from multiple sources and compiled automatically.

RPL6 also known as Ribosomal Protein L6 is an important component of the 60S ribosomal subunit. It weighs approximately 28 kilodaltons and is found primarily in the cytoplasm where the ribosomal subunit assembly takes place. RPL6 is expressed in various human tissues including liver heart and skeletal muscle. This protein plays a fundamental role in protein synthesis by facilitating the translation process and contributing to the structural integrity of ribosomes.
Biological function summary

The function of RPL6 is critical for ribosome stability and efficient protein synthesis. As part of the 60S ribosomal subunit it associates with other ribosomal proteins and rRNA to form a functional ribosome. This relationship enables proper alignment of mRNA and tRNAs during translation ensuring that amino acids are added correctly according to the genetic code. Abnormalities in RPL6 can disrupt this process leading to defects in protein synthesis.

Pathways

The role of RPL6 in translation becomes evident through its involvement in the mTOR signaling pathway. This pathway regulates cell growth proliferation and survival by modulating ribosome biogenesis and protein synthesis. RPL6 interacts with other ribosomal proteins such as RPS6 in this pathway to promote efficient translation and cellular response to growth signals. In addition the function of RPL6 in the p53 signaling pathway highlights its importance in cell cycle control and stress response.

Mutations or deregulation of RPL6 have been linked to cancers and Diamond-Blackfan anemia. In cancer alterations in RPL6 expression correlate with changes in cell proliferation rates and impact tumor growth. Associations with proteins like MYC which is involved in cell cycle regulation further connect RPL6 to oncogenic processes. In Diamond-Blackfan anemia a disorder characterized by defective erythropoiesis disruptions in ribosomal protein function such as that of RPL6 contribute to the disease pathology pointing to a broader role in hematopoiesis.

Product protocols

For this product, it's our understanding that no specific protocols are required. You can visit:

Target data

Component of the large ribosomal subunit (PubMed : 12962325, PubMed : 23636399, PubMed : 25901680, PubMed : 25957688, PubMed : 32669547). The ribosome is a large ribonucleoprotein complex responsible for the synthesis of proteins in the cell (PubMed : 12962325, PubMed : 23636399, PubMed : 25901680, PubMed : 25957688, PubMed : 32669547).. (Microbial infection) Specifically binds to domain C of the Tax-responsive enhancer element in the long terminal repeat of HTLV-I (PubMed : 8457378).
See full target information RPL6

Publications (5)

Recent publications for all applications. Explore the full list and refine your search

Journal of thoracic disease 14:507-514 PubMed35280491

2022

Downregulated RPL6 inhibits lung cancer cell proliferation and migration and promotes cell apoptosis by regulating the AKT signaling pathway.

Applications

Unspecified application

Species

Unspecified reactive species

Jin Zhang,Qianli Ma,Yu Han,Huanshun Wen,Zhenrong Zhang,Yang Hao,Fei Xiao,Chaoyang Liang

Cell death & disease 12:102 PubMed33473125

2021

Secreted KIAA1199 promotes the progression of rheumatoid arthritis by mediating hyaluronic acid degradation in an ANXA1-dependent manner.

Applications

Unspecified application

Species

Unspecified reactive species

Wei Zhang,Guoyu Yin,Heping Zhao,Hanzhi Ling,Zhen Xie,Chipeng Xiao,Yan Chen,Yufan Lin,Tao Jiang,Shengwei Jin,Jianguang Wang,Xinyu Yang

Disease markers 2019:3863458 PubMed31565098

2019

Circular RNA hsa_circ_0006848 Related to Ribosomal Protein L6 Acts as a Novel Biomarker for Early Gastric Cancer.

Applications

Unspecified application

Species

Unspecified reactive species

Jun Lu,Peng-Yang Zhang,Jian-Wei Xie,Jia-Bin Wang,Jian-Xian Lin,Qi-Yue Chen,Long-Long Cao,Ping Li,Chao-Hui Zheng,Chang-Ming Huang

Molecular cell 73:1162-1173.e5 PubMed30712990

2019

Ribosomal Proteins Regulate MHC Class I Peptide Generation for Immunosurveillance.

Applications

Unspecified application

Species

Unspecified reactive species

Jiajie Wei,Rigel J Kishton,Matthew Angel,Crystal S Conn,Nicole Dalla-Venezia,Virginie Marcel,Anne Vincent,Frédéric Catez,Sabrina Ferré,Lilia Ayadi,Virginie Marchand,Devin Dersh,James S Gibbs,Ivaylo P Ivanov,Nathan Fridlyand,Yohann Couté,Jean-Jacques Diaz,Shu-Bing Qian,Louis M Staudt,Nicholas P Restifo,Jonathan W Yewdell

Cell 176:491-504.e21 PubMed30612740

2019

METTL13 Methylation of eEF1A Increases Translational Output to Promote Tumorigenesis.

Applications

Unspecified application

Species

Unspecified reactive species

Shuo Liu,Simone Hausmann,Scott Moore Carlson,Mary Esmeralda Fuentes,Joel William Francis,Renjitha Pillai,Shane Michael Lofgren,Laura Hulea,Kristofferson Tandoc,Jiuwei Lu,Ami Li,Nicholas Dang Nguyen,Marcello Caporicci,Michael Paul Kim,Anirban Maitra,Huamin Wang,Ignacio Ivan Wistuba,John Anthony Porco,Michael Cory Bassik,Joshua Eric Elias,Jikui Song,Ivan Topisirovic,Capucine Van Rechem,Pawel Karol Mazur,Or Gozani
View all publications

Product promise

We are committed to supporting your work with high-quality reagents, and we're here for you every step of the way. In the unlikely event that one of our products does not perform as expected, you're protected by our Product Promise.
For full details, please see our Terms & Conditions

Please note: All products are 'FOR RESEARCH USE ONLY. NOT FOR USE IN DIAGNOSTIC OR THERAPEUTIC PROCEDURES'.

For licensing inquiries, please contact partnerships@abcam.com