JavaScript is disabled in your browser. Please enable JavaScript to view this website.
AB155147

Anti-RPL7A antibody

5

(1 Review)

|

(2 Publications)

Rabbit Polyclonal RPL7A antibody. Suitable for WB, ICC/IF, IHC-P and reacts with Rat, Mouse, Human samples. Cited in 2 publications. Immunogen corresponding to Recombinant Fragment Protein within Human RPL7A aa 1 to C-terminus.

View Alternative Names

SURF-3, SURF3, RPL7A, Large ribosomal subunit protein eL8, 60S ribosomal protein L7a, PLA-X polypeptide, Surfeit locus protein 3

6 Images
Immunocytochemistry/ Immunofluorescence - Anti-RPL7A antibody (AB155147)
  • ICC/IF

Unknown

Immunocytochemistry/ Immunofluorescence - Anti-RPL7A antibody (AB155147)

Immunofluorescent analysis of methanol-fixed A431 cells labeling RPL7A with ab155147 at 1/200 dilution. Lower panel co-stained with Hoechst 33342.

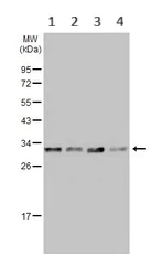
Western blot - Anti-RPL7A antibody (AB155147)
  • WB

Supplier Data

Western blot - Anti-RPL7A antibody (AB155147)

Samples were separated by 12% SDS PAGE.

All lanes:

Western blot - Anti-RPL7A antibody (ab155147) at 1/1000 dilution

Lane 1:

293T whole cell lysates at 30 µg

Lane 2:

A431 whole cell lysates at 30 µg

Lane 3:

HeLa whole cell lysates at 30 µg

Lane 4:

HepG2 whole cell lysates at 30 µg

Secondary

All lanes:

HRP-conjugated anti-rabbit IgG antibody

Predicted band size: 30 kDa

false

Western blot - Anti-RPL7A antibody (AB155147)
  • WB

Supplier Data

Western blot - Anti-RPL7A antibody (AB155147)

Samples were separated by 12% SDS PAGE.

All lanes:

Western blot - Anti-RPL7A antibody (ab155147) at 1/1000 dilution

Lane 1:

Jurkat whole cell extracts at 30 µg

Lane 2:

Raji whole cell extracts at 30 µg

Lane 3:

NCI-H929 whole cell extracts at 30 µg

Secondary

All lanes:

HRP-conjugated anti-rabbit IgG antibody

Predicted band size: 30 kDa

false

Western blot - Anti-RPL7A antibody (AB155147)
  • WB

Supplier Data

Western blot - Anti-RPL7A antibody (AB155147)

Samples were separated by 12% SDS PAGE.

All lanes:

Western blot - Anti-RPL7A antibody (ab155147) at 1/3000 dilution

Lane 1:

Neuro2a whole cell extracts at 30 µg

Lane 2:

NIH-3T3 whole cell extracts at 30 µg

Lane 3:

Raw264.7 whole cell extracts at 30 µg

Lane 4:

C2C12 whole cell extracts at 30 µg

Secondary

All lanes:

HRP-conjugated anti-rabbit IgG antibody

Predicted band size: 30 kDa

false

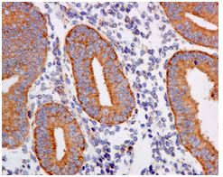
Immunohistochemistry (Formalin/PFA-fixed paraffin-embedded sections) - Anti-RPL7A antibody (AB155147)
  • IHC-P

Unknown

Immunohistochemistry (Formalin/PFA-fixed paraffin-embedded sections) - Anti-RPL7A antibody (AB155147)

Immunohistochemical analysis of paraffin-embedded Human lung adenocarcinoma tissue labeling RPL7A with ab155147 at 1/500 dilution.

Western blot - Anti-RPL7A antibody (AB155147)
  • WB

Unknown

Western blot - Anti-RPL7A antibody (AB155147)

12% SDS PAGE

All lanes:

Western blot - Anti-RPL7A antibody (ab155147) at 1/3000 dilution

Lane 1:

Neuro2A whole cell lysate at 30 µg

Lane 2:

GL261 whole cell lysate at 30 µg

Lane 3:

C8D30 whole cell lysate at 30 µg

Predicted band size: 30 kDa

false

Key facts

Host species

Rabbit

Clonality

Polyclonal

Isotype

IgG

Carrier free

No

Reacts with

Mouse, Rat, Human

Applications

IHC-P, WB, ICC/IF

applications

Immunogen

Recombinant Fragment Protein within Human RPL7A aa 1 to C-terminus. The exact immunogen used to generate this antibody is proprietary information.

P62424

Reactivity data

{ "title": "Reactivity Data", "filters": { "stats": ["", "Species", "Dilution Info", "Notes"], "tabs": { "all-applications": {"fullname" : "All Applications", "shortname": "All Applications"}, "WB" : {"fullname" : "Western blot", "shortname":"WB"}, "ICCIF" : {"fullname" : "Immunocytochemistry/ Immunofluorescence", "shortname":"ICC/IF"}, "IHCP" : {"fullname" : "Immunohistochemistry (Formalin/PFA-fixed paraffin-embedded sections)", "shortname":"IHC-P"} }, "product-promise": { "all": "all", "testedAndGuaranteed": "tested", "guaranteed": "expected", "predicted": "predicted", "notRecommended": "not-recommended" } }, "values": { "Human": { "WB-species-checked": "testedAndGuaranteed", "WB-species-dilution-info": "1/500 - 1/3000", "WB-species-notes": "<p></p>", "ICCIF-species-checked": "testedAndGuaranteed", "ICCIF-species-dilution-info": "1/100 - 1/1000", "ICCIF-species-notes": "<p></p>", "IHCP-species-checked": "testedAndGuaranteed", "IHCP-species-dilution-info": "1/100 - 1/1000", "IHCP-species-notes": "<p>Perform heat mediated antigen retrieval before commencing with IHC staining protocol using 10mM Citrate buffer (pH6.0) or Tris-EDTA buffer (pH8.0).</p>" }, "Mouse": { "WB-species-checked": "testedAndGuaranteed", "WB-species-dilution-info": "1/500 - 1/3000", "WB-species-notes": "<p></p>", "ICCIF-species-checked": "guaranteed", "ICCIF-species-dilution-info": "", "ICCIF-species-notes": "", "IHCP-species-checked": "guaranteed", "IHCP-species-dilution-info": "", "IHCP-species-notes": "" }, "Rat": { "WB-species-checked": "testedAndGuaranteed", "WB-species-dilution-info": "", "WB-species-notes": "<p></p>", "ICCIF-species-checked": "guaranteed", "ICCIF-species-dilution-info": "", "ICCIF-species-notes": "", "IHCP-species-checked": "guaranteed", "IHCP-species-dilution-info": "", "IHCP-species-notes": "" }, "Chicken": { "WB-species-checked": "predicted", "WB-species-dilution-info": "", "WB-species-notes": "", "ICCIF-species-checked": "predicted", "ICCIF-species-dilution-info": "", "ICCIF-species-notes": "", "IHCP-species-checked": "predicted", "IHCP-species-dilution-info": "", "IHCP-species-notes": "" }, "Cow": { "WB-species-checked": "predicted", "WB-species-dilution-info": "", "WB-species-notes": "", "ICCIF-species-checked": "predicted", "ICCIF-species-dilution-info": "", "ICCIF-species-notes": "", "IHCP-species-checked": "predicted", "IHCP-species-dilution-info": "", "IHCP-species-notes": "" }, "Monkey": { "WB-species-checked": "predicted", "WB-species-dilution-info": "", "WB-species-notes": "", "ICCIF-species-checked": "predicted", "ICCIF-species-dilution-info": "", "ICCIF-species-notes": "", "IHCP-species-checked": "predicted", "IHCP-species-dilution-info": "", "IHCP-species-notes": "" }, "Xenopus laevis": { "WB-species-checked": "predicted", "WB-species-dilution-info": "", "WB-species-notes": "", "ICCIF-species-checked": "predicted", "ICCIF-species-dilution-info": "", "ICCIF-species-notes": "", "IHCP-species-checked": "predicted", "IHCP-species-dilution-info": "", "IHCP-species-notes": "" }, "Xenopus tropicalis": { "WB-species-checked": "predicted", "WB-species-dilution-info": "", "WB-species-notes": "", "ICCIF-species-checked": "predicted", "ICCIF-species-dilution-info": "", "ICCIF-species-notes": "", "IHCP-species-checked": "predicted", "IHCP-species-dilution-info": "", "IHCP-species-notes": "" }, "Zebrafish": { "WB-species-checked": "predicted", "WB-species-dilution-info": "", "WB-species-notes": "", "ICCIF-species-checked": "predicted", "ICCIF-species-dilution-info": "", "ICCIF-species-notes": "", "IHCP-species-checked": "predicted", "IHCP-species-dilution-info": "", "IHCP-species-notes": "" } } }

Properties and storage information

Form
Liquid
Purification technique
Affinity purification Immunogen
Storage buffer
pH: 7 Preservative: 0.01% Thimerosal (merthiolate) Constituents: 20% Glycerol (glycerin, glycerine), 1.21% Tris, 0.75% Glycine
Shipped at conditions
Blue Ice
Appropriate short-term storage conditions
+4°C
Appropriate long-term storage conditions
-20°C
Aliquoting information
Upon delivery aliquot
Storage information
Avoid freeze / thaw cycle

Supplementary information

This supplementary information is collated from multiple sources and compiled automatically.

The RPL7A protein also known as 60S ribosomal protein L7a plays a role in the structure and function of the ribosome. It is a component of the large 60S subunit of the ribosome and has a mass of approximately 29.5 kDa. RPL7A is expressed in various tissues and is involved in protein synthesis by forming part of the ribosome machinery that translates mRNA into protein.
Biological function summary

RPL7A is part of the ribosomal complex which is essential for the translation process in cells. This protein interacts with rRNA and other ribosomal proteins to ensure the proper assembly and function of ribosomes. Its function is necessary for maintaining the fidelity and efficiency of protein synthesis. RPL7A’s presence in the ribosome allows it to influence cellular growth and proliferation by affecting how effectively proteins are produced within the cell.

Pathways

RPL7A plays a role in the translation pathway which is critical for protein biosynthesis. This pathway involves other proteins such as RPL5 and RPL11 which also participate in ribosomal subunit formation and function. Additionally RPL7A is part of the mTOR signaling pathway a major regulator of cellular growth in which it helps modulate ribosome biogenesis and protein synthesis in response to nutrient availability.

Mutations or dysregulation in RPL7A have been associated with certain cancers. For instance alterations in RPL7A expression levels can disrupt normal ribosome function contributing to the pathogenesis of leukemia. The interaction of RPL7A with proteins like p53 links it to cell cycle regulation where it can influence tumor development and progression when these interactions are impaired.

Product protocols

For this product, it's our understanding that no specific protocols are required. You can visit:

Target data

Component of the large ribosomal subunit (PubMed : 23636399, PubMed : 32669547). The ribosome is a large ribonucleoprotein complex responsible for the synthesis of proteins in the cell (PubMed : 23636399, PubMed : 32669547).
See full target information RPL7A

Publications (2)

Recent publications for all applications. Explore the full list and refine your search

Frontiers in oncology 11:681366 PubMed34136404

2021

N-Myristoylation by NMT1 Is POTEE-Dependent to Stimulate Liver Tumorigenesis Differentially Regulating Ubiquitination of Targets.

Applications

Unspecified application

Species

Unspecified reactive species

Guoqing Zhu,Feng Wang,Haojie Li,Xiao Zhang,Qi Wu,Ya Liu,Mingping Qian,Susu Guo,Yueyue Yang,Xiangfei Xue,Fenyong Sun,Yongxia Qiao,Qiuhui Pan

Molecular cell 73:474-489.e5 PubMed30595434

2019

Noncanonical Modulation of the eIF2 Pathway Controls an Increase in Local Translation during Neural Wiring.

Applications

Unspecified application

Species

Unspecified reactive species

Roberta Cagnetta,Hovy Ho-Wai Wong,Christian K Frese,Giovanna R Mallucci,Jeroen Krijgsveld,Christine E Holt
View all publications

Product promise

We are committed to supporting your work with high-quality reagents, and we're here for you every step of the way. In the unlikely event that one of our products does not perform as expected, you're protected by our Product Promise.
For full details, please see our Terms & Conditions

Please note: All products are 'FOR RESEARCH USE ONLY. NOT FOR USE IN DIAGNOSTIC OR THERAPEUTIC PROCEDURES'.

For licensing inquiries, please contact partnerships@abcam.com