JavaScript is disabled in your browser. Please enable JavaScript to view this website.
AB249696

Anti-RPL7A antibody [EPR12310] - BSA and Azide free

Be the first to review this product! Submit a review

|

(0 Publication)

Rabbit Recombinant Monoclonal RPL7A antibody. Carrier free. Suitable for IHC-P, WB and reacts with Human, Mouse samples.

View Alternative Names

SURF-3, SURF3, RPL7A, Large ribosomal subunit protein eL8, 60S ribosomal protein L7a, PLA-X polypeptide, Surfeit locus protein 3

4 Images
Immunohistochemistry (Formalin/PFA-fixed paraffin-embedded sections) - Anti-RPL7A antibody [EPR12310] - BSA and Azide free (AB249696)
  • IHC-P

Supplier Data

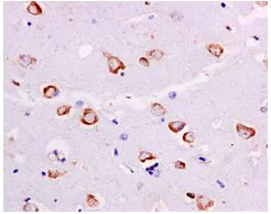
Immunohistochemistry (Formalin/PFA-fixed paraffin-embedded sections) - Anti-RPL7A antibody [EPR12310] - BSA and Azide free (AB249696)

This data was developed using ab172478, the same antibody clone in a different buffer formulation.

Immunohistochemical analysis of paraffin embedded Human brain tissue labeling RPL7A with ab172478 at 1/50 dilution.

Perform heat mediated antigen retrieval with citrate buffer pH 6 before commencing with IHC staining protocol.

Immunohistochemistry (Formalin/PFA-fixed paraffin-embedded sections) - Anti-RPL7A antibody [EPR12310] - BSA and Azide free (AB249696)
  • IHC-P

Supplier Data

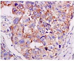
Immunohistochemistry (Formalin/PFA-fixed paraffin-embedded sections) - Anti-RPL7A antibody [EPR12310] - BSA and Azide free (AB249696)

This data was developed using ab172478, the same antibody clone in a different buffer formulation.

Immunohistochemical analysis of paraffin embedded Human hepatocellular carcinoma tissue labeling RPL7A with ab172478 at 1/50 dilution.

Perform heat mediated antigen retrieval with citrate buffer pH 6 before commencing with IHC staining protocol.

Immunohistochemistry (Formalin/PFA-fixed paraffin-embedded sections) - Anti-RPL7A antibody [EPR12310] - BSA and Azide free (AB249696)
  • IHC-P

Supplier Data

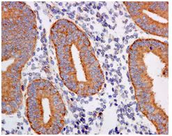
Immunohistochemistry (Formalin/PFA-fixed paraffin-embedded sections) - Anti-RPL7A antibody [EPR12310] - BSA and Azide free (AB249696)

This data was developed using ab172478, the same antibody clone in a different buffer formulation.

Immunohistochemical analysis of paraffin embedded Human uterus tissue labeling RPL7A with ab172478 at 1/50 dilution.

Perform heat mediated antigen retrieval with citrate buffer pH 6 before commencing with IHC staining protocol.

Western blot - Anti-RPL7A antibody [EPR12310] - BSA and Azide free (AB249696)
  • WB

Supplier Data

Western blot - Anti-RPL7A antibody [EPR12310] - BSA and Azide free (AB249696)

This data was developed using ab172478, the same antibody clone in a different buffer formulation.

All lanes:

Western blot - Anti-RPL7A antibody [EPR12310] (<a href='/en-us/products/primary-antibodies/rpl7a-antibody-epr12310-ab172478'>ab172478</a>) at 1/10000 dilution

Lane 1:

HeLa cell lysate at 10 µg

Lane 2:

MCF7 cell lysate at 10 µg

Lane 3:

293T cell lysate at 10 µg

Lane 4:

Jurkat cell lysate at 10 µg

Lane 5:

Raw 264.7 cell lysate at 10 µg

Lane 6:

NIH/3T3 cell lysate at 10 µg

Predicted band size: 30 kDa

false

Key facts

Host species

Rabbit

Clonality

Monoclonal

Clone number

EPR12310

Isotype

IgG

Carrier free

Yes

Reacts with

Mouse, Human

Applications

IHC-P, WB

applications

Immunogen

The exact immunogen used to generate this antibody is proprietary information.

Reactivity data

{ "title": "Reactivity Data", "filters": { "stats": ["", "Species", "Dilution Info", "Notes"], "tabs": { "all-applications": {"fullname" : "All Applications", "shortname": "All Applications"}, "IHCP" : {"fullname" : "Immunohistochemistry (Formalin/PFA-fixed paraffin-embedded sections)", "shortname":"IHC-P"}, "IP" : {"fullname" : "Immunoprecipitation", "shortname":"IP"}, "FlowCyt" : {"fullname" : "Flow Cytometry", "shortname":"Flow Cyt"}, "WB" : {"fullname" : "Western blot", "shortname":"WB"}, "ICCIF" : {"fullname" : "Immunocytochemistry/ Immunofluorescence", "shortname":"ICC/IF"} }, "product-promise": { "all": "all", "testedAndGuaranteed": "tested", "guaranteed": "expected", "predicted": "predicted", "notRecommended": "not-recommended" } }, "values": { "Human": { "IHCP-species-checked": "testedAndGuaranteed", "IHCP-species-dilution-info": "", "IHCP-species-notes": "<p></p>", "IP-species-checked": "notRecommended", "IP-species-dilution-info": "", "IP-species-notes": "<p></p>", "FlowCyt-species-checked": "notRecommended", "FlowCyt-species-dilution-info": "", "FlowCyt-species-notes": "<p></p>", "WB-species-checked": "testedAndGuaranteed", "WB-species-dilution-info": "", "WB-species-notes": "<p></p>", "ICCIF-species-checked": "notRecommended", "ICCIF-species-dilution-info": "", "ICCIF-species-notes": "<p></p>" }, "Mouse": { "IHCP-species-checked": "guaranteed", "IHCP-species-dilution-info": "", "IHCP-species-notes": "", "IP-species-checked": "notRecommended", "IP-species-dilution-info": "", "IP-species-notes": "<p></p>", "FlowCyt-species-checked": "notRecommended", "FlowCyt-species-dilution-info": "", "FlowCyt-species-notes": "<p></p>", "WB-species-checked": "testedAndGuaranteed", "WB-species-dilution-info": "", "WB-species-notes": "<p></p>", "ICCIF-species-checked": "notRecommended", "ICCIF-species-dilution-info": "", "ICCIF-species-notes": "<p></p>" }, "Rat": { "IHCP-species-checked": "predicted", "IHCP-species-dilution-info": "", "IHCP-species-notes": "", "IP-species-checked": "notRecommended", "IP-species-dilution-info": "", "IP-species-notes": "", "FlowCyt-species-checked": "notRecommended", "FlowCyt-species-dilution-info": "", "FlowCyt-species-notes": "", "WB-species-checked": "predicted", "WB-species-dilution-info": "", "WB-species-notes": "", "ICCIF-species-checked": "notRecommended", "ICCIF-species-dilution-info": "", "ICCIF-species-notes": "" } } }

Product details

ab249696 is the carrier-free version of ab172478.

Patented technology
Our RabMAb® technology is a patented hybridoma-based technology for making rabbit monoclonal antibodies. For details on our patents, please refer to RabMAb® patents.

What are the advantages of a recombinant monoclonal antibody?
This product is a recombinant monoclonal antibody, which offers several advantages including:

  • - High batch-to-batch consistency and reproducibility
  • - Improved sensitivity and specificity
  • - Long-term security of supply
  • - Animal-free batch production

For more information, read more on recombinant antibodies.

Conjugation ready
Our carrier-free antibodies are typically supplied in a PBS-only formulation, purified and free of BSA, sodium azide and glycerol. This conjugation-ready format is designed for use with fluorochromes, metal isotopes, oligonucleotides, and enzymes, which makes them ideal for antibody labelling, functional and cell-based assays, flow-based assays (e.g. mass cytometry) and Multiplex Imaging applications.

Use our conjugation kits for antibody conjugates that are ready-to-use in as little as 20 minutes with 1 minute hands-on-time and 100% antibody recovery: available for fluorescent dyes, HRP, biotin and gold.

Compatibility
This product is compatible with the Maxpar® Antibody Labeling Kit from Fluidigm, without the need for antibody preparation. Maxpar® is a trademark of Fluidigm Canada Inc.

Properties and storage information

Form
Liquid
Purification technique
Affinity purification Protein A
Storage buffer
pH: 7.2 - 7.4 Constituents: PBS
Shipped at conditions
Blue Ice
Appropriate short-term storage conditions
+4°C
Appropriate long-term storage conditions
+4°C
Storage information
Do Not Freeze

Supplementary information

This supplementary information is collated from multiple sources and compiled automatically.

The RPL7A protein also known as 60S ribosomal protein L7a plays a role in the structure and function of the ribosome. It is a component of the large 60S subunit of the ribosome and has a mass of approximately 29.5 kDa. RPL7A is expressed in various tissues and is involved in protein synthesis by forming part of the ribosome machinery that translates mRNA into protein.
Biological function summary

RPL7A is part of the ribosomal complex which is essential for the translation process in cells. This protein interacts with rRNA and other ribosomal proteins to ensure the proper assembly and function of ribosomes. Its function is necessary for maintaining the fidelity and efficiency of protein synthesis. RPL7A’s presence in the ribosome allows it to influence cellular growth and proliferation by affecting how effectively proteins are produced within the cell.

Pathways

RPL7A plays a role in the translation pathway which is critical for protein biosynthesis. This pathway involves other proteins such as RPL5 and RPL11 which also participate in ribosomal subunit formation and function. Additionally RPL7A is part of the mTOR signaling pathway a major regulator of cellular growth in which it helps modulate ribosome biogenesis and protein synthesis in response to nutrient availability.

Mutations or dysregulation in RPL7A have been associated with certain cancers. For instance alterations in RPL7A expression levels can disrupt normal ribosome function contributing to the pathogenesis of leukemia. The interaction of RPL7A with proteins like p53 links it to cell cycle regulation where it can influence tumor development and progression when these interactions are impaired.

Product protocols

For this product, it's our understanding that no specific protocols are required. You can visit:

Target data

Component of the large ribosomal subunit (PubMed : 23636399, PubMed : 32669547). The ribosome is a large ribonucleoprotein complex responsible for the synthesis of proteins in the cell (PubMed : 23636399, PubMed : 32669547).
See full target information RPL7A

Product promise

We are committed to supporting your work with high-quality reagents, and we're here for you every step of the way. In the unlikely event that one of our products does not perform as expected, you're protected by our Product Promise.
For full details, please see our Terms & Conditions

Please note: All products are 'FOR RESEARCH USE ONLY. NOT FOR USE IN DIAGNOSTIC OR THERAPEUTIC PROCEDURES'.

For licensing inquiries, please contact partnerships@abcam.com