JavaScript is disabled in your browser. Please enable JavaScript to view this website.
AB182556

Anti-RPL9 antibody [EP13752]

Be the first to review this product! Submit a review

|

(7 Publications)

Rabbit Recombinant Monoclonal RPL9 antibody. Suitable for WB, ICC/IF, IHC-P, Flow Cyt (Intra), IP and reacts with Human, Mouse, Rat samples. Cited in 7 publications.

View Alternative Names

OK/SW-cl.103, RPL9P7, RPL9P8, RPL9P9, RPL9, Large ribosomal subunit protein uL6, 60S ribosomal protein L9

7 Images
Flow Cytometry (Intracellular) - Anti-RPL9 antibody [EP13752] (AB182556)
  • Flow Cyt (Intra)

Lab

Flow Cytometry (Intracellular) - Anti-RPL9 antibody [EP13752] (AB182556)

HeLa cells were fixed with 100μl 4% PFA for 10 min at RT, then permeabilized with 100μl 90% methanol for 30 min (-20° C) followed by blocking with 10% goat serum for 1h at room temperature. Incubate ab182556 for 30 min at room temperature (RT) and then incubate Goat Anti-Rabbit IgG H&L (Alexa Fluor® 488) (ab150081) for 30 min at room temperature.

Immunocytochemistry/ Immunofluorescence - Anti-RPL9 antibody [EP13752] (AB182556)
  • ICC/IF

Lab

Immunocytochemistry/ Immunofluorescence - Anti-RPL9 antibody [EP13752] (AB182556)

HCT 116 cells were fixed in 4% PFA and permeabilized with 0.1% Triton X-100. Primary antibody, ab182556 at 1/100 was incubated overnight at 4° C, followed by AlexaFluor® 488-conjugated Goat anti- Rabbit secondary antibody (ab150081) at 1/1000 dilution at RT for 45 min. ab195889 AlexaFluor® 594-conjugated Anti-alpha Tubulin, used as a counterstain at 1/200 dilution, was co-incubated with ab119348 overnight at 4° C. Nucleus were visualized using DAPI.

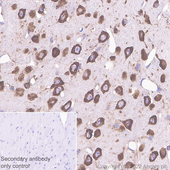
Immunohistochemistry (Formalin/PFA-fixed paraffin-embedded sections) - Anti-RPL9 antibody [EP13752] (AB182556)
  • IHC-P

Lab

Immunohistochemistry (Formalin/PFA-fixed paraffin-embedded sections) - Anti-RPL9 antibody [EP13752] (AB182556)

The human cerebrum sections were performed by Heat mediated antigen retrieval with Tris-EDTA buffer (pH 9.0, epitope retrieval solution2) for 20 mins, then the sections were labelled with ab182556 at 1/1000 dilution for 30 mins at room temperature. The Rabbit specific IHC polymer detection kit HRP/DAB (ab209101) were used as secondary antibody. The sections Counterstained with hematoxylin. The immunostaining was performed on a Leica Biosystems BOND® RX instrument.

Immunoprecipitation - Anti-RPL9 antibody [EP13752] (AB182556)
  • IP

Lab

Immunoprecipitation - Anti-RPL9 antibody [EP13752] (AB182556)

RPL9 was immunoprecipitated from 0.35 mg of HepG2 whole cell lysate with ab182556 at 1/30 dilution. Western blot was performed from the immunoprecipitated using ab182556 at 1/1000 dilution. VeriBlot for IP Detection Reagent (HRP) (ab131366), was used as secondary antibody at 1/5000 dilution.

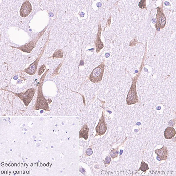
Immunohistochemistry (Formalin/PFA-fixed paraffin-embedded sections) - Anti-RPL9 antibody [EP13752] (AB182556)
  • IHC-P

Lab

Immunohistochemistry (Formalin/PFA-fixed paraffin-embedded sections) - Anti-RPL9 antibody [EP13752] (AB182556)

The rat cerebrum sections were performed by Heat mediated antigen retrieval with Tris-EDTA buffer (pH 9.0, epitope retrieval solution2) for 20 mins, then the sections were labelled with ab182556 at 1/5000 dilution for 30 mins at room temperature. The Rabbit specific IHC polymer detection kit HRP/DAB (ab209101) were used as secondary antibody. The sections Counterstained with hematoxylin. The immunostaining was performed on a Leica Biosystems BOND® RX instrument.

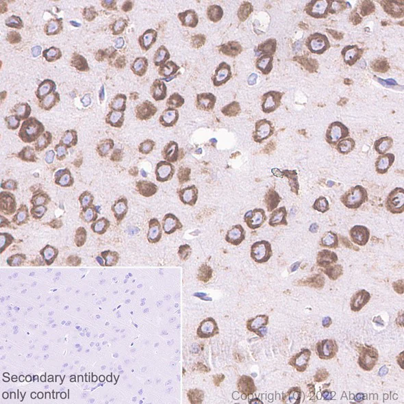
Immunohistochemistry (Formalin/PFA-fixed paraffin-embedded sections) - Anti-RPL9 antibody [EP13752] (AB182556)
  • IHC-P

Lab

Immunohistochemistry (Formalin/PFA-fixed paraffin-embedded sections) - Anti-RPL9 antibody [EP13752] (AB182556)

The mouse cerebrum sections were performed by Heat mediated antigen retrieval with Tris-EDTA buffer (pH 9.0, epitope retrieval solution2) for 20 mins, then the sections were labelled with ab182556 at 1/5000 dilution for 30 mins at room temperature. The Rabbit specific IHC polymer detection kit HRP/DAB (ab209101) were used as secondary antibody. The sections Counterstained with hematoxylin. The immunostaining was performed on a Leica Biosystems BOND® RX instrument.

Western blot - Anti-RPL9 antibody [EP13752] (AB182556)
  • WB

Lab

Western blot - Anti-RPL9 antibody [EP13752] (AB182556)

Blocking and diluting buffer and concentration : 5% NFDM/TBST Primary antibody : incubated for 1h at room temperature. Secondary antibody : incubated for 1h at 1 : 20,000 at room temperature. Exposure time : Lane 1, Lane 3 : 3 seconds, Lane 2 : 10 seconds

All lanes:

Western blot - Anti-RPL9 antibody [EP13752] (ab182556) at 1/50000 dilution

Lane 1:

HeLa (Human cervix adenocarcinoma epithelial cell) whole cell lysate at 15 µg

Lane 2:

NIH/3T3 (Mouse embryonic fibroblast) whole cell lysate at 15 µg

Lane 3:

C6 (Rat glial tumor glial cell) whole cell lysate at 15 µg

Secondary

All lanes:

Western blot - Goat Anti-Rabbit IgG H&L (HRP) (<a href='/en-us/products/secondary-antibodies/goat-rabbit-igg-h-l-hrp-ab97051'>ab97051</a>) at 1/20000 dilution

true

  • Carrier free

    Anti-RPL9 antibody [EP13752] - BSA and Azide free

Key facts

Host species

Rabbit

Clonality

Monoclonal

Clone number

EP13752

Isotype

IgG

Carrier free

No

Reacts with

Human, Rat, Mouse

Applications

IP, IHC-P, Flow Cyt (Intra), WB, ICC/IF

applications

Immunogen

The exact immunogen used to generate this antibody is proprietary information.

Reactivity data

{ "title": "Reactivity Data", "filters": { "stats": ["", "Species", "Dilution Info", "Notes"], "tabs": { "all-applications": {"fullname" : "All Applications", "shortname": "All Applications"}, "WB" : {"fullname" : "Western blot", "shortname":"WB"}, "ICCIF" : {"fullname" : "Immunocytochemistry/ Immunofluorescence", "shortname":"ICC/IF"}, "IHCP" : {"fullname" : "Immunohistochemistry (Formalin/PFA-fixed paraffin-embedded sections)", "shortname":"IHC-P"}, "FlowCytIntra" : {"fullname" : "Flow Cytometry (Intracellular)", "shortname":"Flow Cyt (Intra)"}, "IP" : {"fullname" : "Immunoprecipitation", "shortname":"IP"} }, "product-promise": { "all": "all", "testedAndGuaranteed": "tested", "guaranteed": "expected", "predicted": "predicted", "notRecommended": "not-recommended" } }, "values": { "Human": { "WB-species-checked": "testedAndGuaranteed", "WB-species-dilution-info": "1/50000", "WB-species-notes": "<p></p>", "ICCIF-species-checked": "testedAndGuaranteed", "ICCIF-species-dilution-info": "1/50", "ICCIF-species-notes": "<p></p>", "IHCP-species-checked": "testedAndGuaranteed", "IHCP-species-dilution-info": "1/1000 - 1/5000", "IHCP-species-notes": "<p></p> Perform heat-mediated antigen retrieval with Tris/EDTA buffer pH 9.0 before commencing with IHC staining protocol.", "FlowCytIntra-species-checked": "testedAndGuaranteed", "FlowCytIntra-species-dilution-info": "1/50", "FlowCytIntra-species-notes": "<p></p>", "IP-species-checked": "testedAndGuaranteed", "IP-species-dilution-info": "1/30", "IP-species-notes": "<p></p>" }, "Mouse": { "WB-species-checked": "testedAndGuaranteed", "WB-species-dilution-info": "1/50000", "WB-species-notes": "<p></p>", "ICCIF-species-checked": "guaranteed", "ICCIF-species-dilution-info": "", "ICCIF-species-notes": "", "IHCP-species-checked": "testedAndGuaranteed", "IHCP-species-dilution-info": "1/1000 - 1/5000", "IHCP-species-notes": "<p></p> Perform heat-mediated antigen retrieval with Tris/EDTA buffer pH 9.0 before commencing with IHC staining protocol.", "FlowCytIntra-species-checked": "guaranteed", "FlowCytIntra-species-dilution-info": "", "FlowCytIntra-species-notes": "", "IP-species-checked": "guaranteed", "IP-species-dilution-info": "", "IP-species-notes": "" }, "Rat": { "WB-species-checked": "testedAndGuaranteed", "WB-species-dilution-info": "1/50000", "WB-species-notes": "<p></p>", "ICCIF-species-checked": "guaranteed", "ICCIF-species-dilution-info": "", "ICCIF-species-notes": "", "IHCP-species-checked": "testedAndGuaranteed", "IHCP-species-dilution-info": "1/1000 - 1/5000", "IHCP-species-notes": "<p></p> Perform heat-mediated antigen retrieval with Tris/EDTA buffer pH 9.0 before commencing with IHC staining protocol.", "FlowCytIntra-species-checked": "guaranteed", "FlowCytIntra-species-dilution-info": "", "FlowCytIntra-species-notes": "", "IP-species-checked": "guaranteed", "IP-species-dilution-info": "", "IP-species-notes": "" } } }

Product details

Patented technology
Our RabMAb® technology is a patented hybridoma-based technology for making rabbit monoclonal antibodies. For details on our patents, please refer to RabMAb® patents.

What are the advantages of a recombinant monoclonal antibody?
This product is a recombinant monoclonal antibody, which offers several advantages including:

  • - High batch-to-batch consistency and reproducibility
  • - Improved sensitivity and specificity
  • - Long-term security of supply
  • - Animal-free batch production

For more information, read more on recombinant antibodies.

Properties and storage information

Form
Liquid
Purification technique
Affinity purification Protein A
Storage buffer
pH: 7.2 - 7.4 Preservative: 0.01% Sodium azide Constituents: PBS, 40% Glycerol (glycerin, glycerine), 0.05% BSA
Shipped at conditions
Blue Ice
Appropriate short-term storage duration
1-2 weeks
Appropriate short-term storage conditions
+4°C
Appropriate long-term storage conditions
-20°C
Aliquoting information
Upon delivery aliquot
Storage information
Avoid freeze / thaw cycle

Supplementary information

This supplementary information is collated from multiple sources and compiled automatically.

The RPL9 protein also known as Ribosomal Protein L9 plays a role in the structure and function of ribosomes. This protein is part of the large ribosomal subunit facilitating the assembly of proteins. With a molecular mass of approximately 21 kDa RPL9 resides in the cytoplasm where ribosomes are largely found reflecting its function. Broadly expressed across various tissues it is essential for ribosomal integrity and efficient protein synthesis.
Biological function summary

RPL9 is involved in ribosome biogenesis and translation processes. As a component of the ribosomal complex it aids in the production of new proteins by translating messenger RNA (mRNA) into polypeptides. This function is tightly regulated and essential for maintaining cellular protein homeostasis. Additionally RPL9 participates in ribosomal assembly ensuring the proper folding and function of ribosomes.

Pathways

RPL9 plays an integral part in the mRNA translation pathway. It associates with other ribosomal proteins such as RPL5 and RPL11 forming a functional ribosomal unit. RPL9 contributes to the translation of mRNA into proteins an indispensable step in various cellular growth and proliferation pathways. Its interactions with these pathways highlight its role in regulating protein synthesis necessary for cell function.

RPL9 has been linked to Diamond-Blackfan Anemia (DBA) and other ribosomopathies. These conditions arise from defects in ribosomal protein production leading to impaired hematopoiesis. RPL9 mutations could affect the assembly of ribosomes similar to other ribosomal proteins like RPS19. These diseases underline the importance of RPL9 in maintaining ribosome function and cellular health.

Product protocols

For this product, it's our understanding that no specific protocols are required. You can visit:

Target data

Component of the large ribosomal subunit (PubMed : 23636399, PubMed : 32669547). The ribosome is a large ribonucleoprotein complex responsible for the synthesis of proteins in the cell (PubMed : 23636399, PubMed : 32669547).
See full target information RPL9

Publications (7)

Recent publications for all applications. Explore the full list and refine your search

Nucleic acids research 53: PubMed39898547

2025

The short conserved region-2 of LARP4 interacts with ribosome-associated RACK1 and promotes translation.

Applications

Unspecified application

Species

Unspecified reactive species

Amitabh Ranjan,Sandy Mattijssen,Nithin Charlly,Isabel Cruz Gallardo,Leah F Pitman,Jennifer C Coleman,Maria R Conte,Richard J Maraia

Journal of cancer prevention 29:25-31 PubMed38957590

2024

Ribosomal Protein L9 Maintains Stemness of Colorectal Cancer via an ID-1 Dependent Mechanism.

Applications

Unspecified application

Species

Unspecified reactive species

Eun-Hye Jeon,So-Young Park,Keon Uk Park,Yun-Han Lee

International journal of molecular sciences 24: PubMed36614058

2022

Ribosomal Stress Couples with the Hypoxia Response in Dec1-Dependent Orthodontic Tooth Movement.

Applications

Unspecified application

Species

Unspecified reactive species

Shigeru Nakamura,Keiji Tanimoto,Ujjal K Bhawal

The Journal of biological chemistry 298:102585 PubMed36223838

2022

Tick-borne encephalitis virus capsid protein induces translational shutoff as revealed by its structural-biological analysis.

Applications

Unspecified application

Species

Unspecified reactive species

Martin Selinger,Radim Novotný,Jakub Sýs,Justin A Roby,Hana Tykalová,Ganji Sri Ranjani,Marie Vancová,Kateřina Jaklová,Filip Kaufman,Marshall E Bloom,Zbyněk Zdráhal,Libor Grubhoffer,Jade K Forwood,Richard Hrabal,Michaela Rumlová,Ján Štěrba

Bioengineering & translational medicine 7:e10250 PubMed35111950

2022

In-cytoplasm mitochondrial transplantation for mesenchymal stem cells engineering and tissue regeneration.

Applications

Unspecified application

Species

Unspecified reactive species

Xudong Yao,Yuanzhu Ma,Wenyan Zhou,Youguo Liao,Zongsheng Jiang,Junxin Lin,Qiulin He,Hongwei Wu,Wei Wei,Xiaozhao Wang,Mikael Björklund,Hongwei Ouyang

Nucleic acids research 46:4228-4240 PubMed29447394

2018

Human La binds mRNAs through contacts to the poly(A) tail.

Applications

Unspecified application

Species

Unspecified reactive species

Jyotsna Vinayak,Stefano A Marrella,Rawaa H Hussain,Leonid Rozenfeld,Karine Solomon,Mark A Bayfield

International journal of oncology 49:1953-1962 PubMed27633352

2016

Knockdown of RPL9 expression inhibits colorectal carcinoma growth via the inactivation of Id-1/NF-κB signaling axis.

Applications

Unspecified application

Species

Unspecified reactive species

In Hye Baik,Guk-Heui Jo,Daekwan Seo,Min Ji Ko,Chi Heum Cho,Min Goo Lee,Yun-Han Lee
View all publications

Product promise

We are committed to supporting your work with high-quality reagents, and we're here for you every step of the way. In the unlikely event that one of our products does not perform as expected, you're protected by our Product Promise.
For full details, please see our Terms & Conditions

Please note: All products are 'FOR RESEARCH USE ONLY. NOT FOR USE IN DIAGNOSTIC OR THERAPEUTIC PROCEDURES'.

For licensing inquiries, please contact partnerships@abcam.com