JavaScript is disabled in your browser. Please enable JavaScript to view this website.
AB284834

Anti-RPL9 antibody [EP13752] - BSA and Azide free

Be the first to review this product! Submit a review

|

(0 Publication)

Rabbit Recombinant Monoclonal RPL9 antibody. Carrier free. Suitable for IP, WB, IHC-P, ICC/IF, Flow Cyt (Intra) and reacts with Human, Mouse, Rat samples.

View Alternative Names

OK/SW-cl.103, RPL9P7, RPL9P8, RPL9P9, RPL9, Large ribosomal subunit protein uL6, 60S ribosomal protein L9

7 Images
Flow Cytometry (Intracellular) - Anti-RPL9 antibody [EP13752] - BSA and Azide free (AB284834)
  • Flow Cyt (Intra)

Lab

Flow Cytometry (Intracellular) - Anti-RPL9 antibody [EP13752] - BSA and Azide free (AB284834)

HeLa cells were fixed with 100μl 4% PFA for 10 min at RT, then permeabilized with 100μl 90% methanol for 30 min (-20° C) followed by blocking with 10% goat serum for 1h at room temperature. Incubate ab182556 for 30 min at room temperature (RT) and then incubate Goat Anti-Rabbit IgG H&L (Alexa Fluor® 488) (ab150081) for 30 min at room temperature.

This data was developed using the same antibody clone in a different buffer formulation (ab182556).

Immunocytochemistry/ Immunofluorescence - Anti-RPL9 antibody [EP13752] - BSA and Azide free (AB284834)
  • ICC/IF

Lab

Immunocytochemistry/ Immunofluorescence - Anti-RPL9 antibody [EP13752] - BSA and Azide free (AB284834)

HCT 116 cells were fixed in 4% PFA and permeabilized with 0.1% Triton X-100. Primary antibody, ab182556 at 1/100 was incubated overnight at 4° C, followed by AlexaFluor® 488-conjugated Goat anti- Rabbit secondary antibody (ab150081) at 1/1000 dilution at RT for 45 min. ab195889 AlexaFluor® 594-conjugated Anti-alpha Tubulin, used as a counterstain at 1/200 dilution, was co-incubated with ab119348 overnight at 4° C. Nucleus were visualized using DAPI.

This data was developed using the same antibody clone in a different buffer formulation (ab182556).

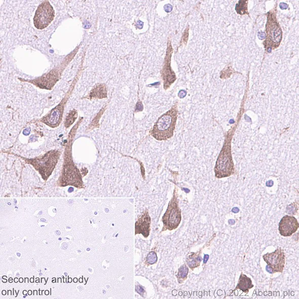
Immunohistochemistry (Formalin/PFA-fixed paraffin-embedded sections) - Anti-RPL9 antibody [EP13752] - BSA and Azide free (AB284834)
  • IHC-P

Lab

Immunohistochemistry (Formalin/PFA-fixed paraffin-embedded sections) - Anti-RPL9 antibody [EP13752] - BSA and Azide free (AB284834)

The human cerebrum sections were performed by Heat mediated antigen retrieval with Tris-EDTA buffer (pH 9.0, epitope retrieval solution2) for 20 mins, then the sections were labelled with ab182556 at 1/1000 dilution for 30 mins at room temperature. The Rabbit specific IHC polymer detection kit HRP/DAB (ab209101) were used as secondary antibody. The sections Counterstained with hematoxylin. The immunostaining was performed on a Leica Biosystems BOND® RX instrument.

This data was developed using the same antibody clone in a different buffer formulation (ab182556).

Immunoprecipitation - Anti-RPL9 antibody [EP13752] - BSA and Azide free (AB284834)
  • IP

Lab

Immunoprecipitation - Anti-RPL9 antibody [EP13752] - BSA and Azide free (AB284834)

RPL9 was immunoprecipitated from 0.35 mg of HepG2 whole cell lysate with ab182556 at 1/30 dilution. Western blot was performed from the immunoprecipitated using ab182556 at 1/1000 dilution. VeriBlot for IP Detection Reagent (HRP) (ab131366), was used as secondary antibody at 1/5000 dilution. This data was developed using the same antibody clone in a different buffer formulation (ab182556).

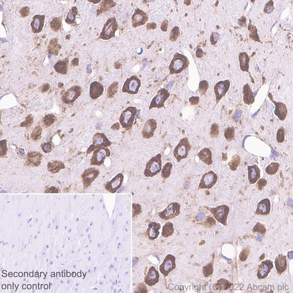
Immunohistochemistry (Formalin/PFA-fixed paraffin-embedded sections) - Anti-RPL9 antibody [EP13752] - BSA and Azide free (AB284834)
  • IHC-P

Lab

Immunohistochemistry (Formalin/PFA-fixed paraffin-embedded sections) - Anti-RPL9 antibody [EP13752] - BSA and Azide free (AB284834)

The rat cerebrum sections were performed by Heat mediated antigen retrieval with Tris-EDTA buffer (pH 9.0, epitope retrieval solution2) for 20 mins, then the sections were labelled with ab182556 at 1/5000 dilution for 30 mins at room temperature. The Rabbit specific IHC polymer detection kit HRP/DAB (ab209101) were used as secondary antibody. The sections Counterstained with hematoxylin. The immunostaining was performed on a Leica Biosystems BOND® RX instrument.

This data was developed using the same antibody clone in a different buffer formulation (ab182556).

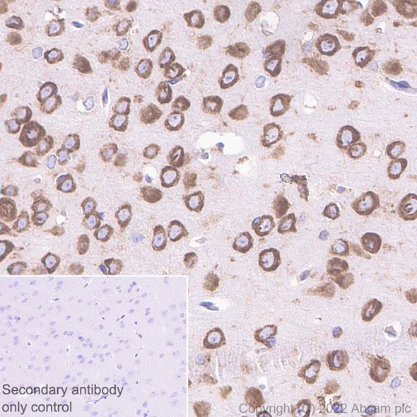
Immunohistochemistry (Formalin/PFA-fixed paraffin-embedded sections) - Anti-RPL9 antibody [EP13752] - BSA and Azide free (AB284834)
  • IHC-P

Lab

Immunohistochemistry (Formalin/PFA-fixed paraffin-embedded sections) - Anti-RPL9 antibody [EP13752] - BSA and Azide free (AB284834)

The mouse cerebrum sections were performed by Heat mediated antigen retrieval with Tris-EDTA buffer (pH 9.0, epitope retrieval solution2) for 20 mins, then the sections were labelled with ab182556 at 1/5000 dilution for 30 mins at room temperature. The Rabbit specific IHC polymer detection kit HRP/DAB (ab209101) were used as secondary antibody. The sections Counterstained with hematoxylin. The immunostaining was performed on a Leica Biosystems BOND® RX instrument.

This data was developed using the same antibody clone in a different buffer formulation (ab182556).

Western blot - Anti-RPL9 antibody [EP13752] - BSA and Azide free (AB284834)
  • WB

Lab

Western blot - Anti-RPL9 antibody [EP13752] - BSA and Azide free (AB284834)

Blocking and diluting buffer and concentration : 5% NFDM/TBST Primary antibody : incubated for 1h at room temperature. Secondary antibody : incubated for 1h at 1 : 20,000 at room temperature. Exposure time : Lane 1, Lane 3 : 3 seconds, Lane 2 : 10 seconds Exposure time : Lane 1, Lane 3 : 3 seconds, Lane 2 : 10 seconds This data was developed using the same antibody clone in a different buffer formulation (ab182556).

All lanes:

Western blot - Anti-RPL9 antibody [EP13752] (<a href='/en-us/products/primary-antibodies/rpl9-antibody-ep13752-ab182556'>ab182556</a>) at 1/50000 dilution

Lane 1:

HeLa (Human cervix adenocarcinoma epithelial cell) whole cell lysate at 15 µg

Lane 2:

NIH/3T3 (Mouse embryonic fibroblast) whole cell lysate at 15 µg

Lane 3:

C6 (Rat glial tumor glial cell) whole cell lysate at 15 µg

Secondary

All lanes:

Western blot - Goat Anti-Rabbit IgG H&L (HRP) (<a href='/en-us/products/secondary-antibodies/goat-rabbit-igg-h-l-hrp-ab97051'>ab97051</a>) at 1/20000 dilution

true

Key facts

Host species

Rabbit

Clonality

Monoclonal

Clone number

EP13752

Isotype

IgG

Carrier free

Yes

Reacts with

Human, Rat, Mouse

Applications

IP, ICC/IF, Flow Cyt (Intra), WB, IHC-P

applications

Immunogen

The exact immunogen used to generate this antibody is proprietary information.

Reactivity data

{ "title": "Reactivity Data", "filters": { "stats": ["", "Species", "Dilution Info", "Notes"], "tabs": { "all-applications": {"fullname" : "All Applications", "shortname": "All Applications"}, "IP" : {"fullname" : "Immunoprecipitation", "shortname":"IP"}, "WB" : {"fullname" : "Western blot", "shortname":"WB"}, "IHCP" : {"fullname" : "Immunohistochemistry (Formalin/PFA-fixed paraffin-embedded sections)", "shortname":"IHC-P"}, "ICCIF" : {"fullname" : "Immunocytochemistry/ Immunofluorescence", "shortname":"ICC/IF"}, "FlowCytIntra" : {"fullname" : "Flow Cytometry (Intracellular)", "shortname":"Flow Cyt (Intra)"} }, "product-promise": { "all": "all", "testedAndGuaranteed": "tested", "guaranteed": "expected", "predicted": "predicted", "notRecommended": "not-recommended" } }, "values": { "Human": { "IP-species-checked": "testedAndGuaranteed", "IP-species-dilution-info": "", "IP-species-notes": "<p></p>", "WB-species-checked": "testedAndGuaranteed", "WB-species-dilution-info": "", "WB-species-notes": "<p></p>", "IHCP-species-checked": "testedAndGuaranteed", "IHCP-species-dilution-info": "", "IHCP-species-notes": "<p></p>", "ICCIF-species-checked": "testedAndGuaranteed", "ICCIF-species-dilution-info": "", "ICCIF-species-notes": "<p></p>", "FlowCytIntra-species-checked": "testedAndGuaranteed", "FlowCytIntra-species-dilution-info": "", "FlowCytIntra-species-notes": "<p></p>" }, "Mouse": { "IP-species-checked": "guaranteed", "IP-species-dilution-info": "", "IP-species-notes": "", "WB-species-checked": "testedAndGuaranteed", "WB-species-dilution-info": "", "WB-species-notes": "<p></p>", "IHCP-species-checked": "testedAndGuaranteed", "IHCP-species-dilution-info": "", "IHCP-species-notes": "<p></p>", "ICCIF-species-checked": "guaranteed", "ICCIF-species-dilution-info": "", "ICCIF-species-notes": "", "FlowCytIntra-species-checked": "guaranteed", "FlowCytIntra-species-dilution-info": "", "FlowCytIntra-species-notes": "" }, "Rat": { "IP-species-checked": "guaranteed", "IP-species-dilution-info": "", "IP-species-notes": "", "WB-species-checked": "testedAndGuaranteed", "WB-species-dilution-info": "", "WB-species-notes": "<p></p>", "IHCP-species-checked": "testedAndGuaranteed", "IHCP-species-dilution-info": "", "IHCP-species-notes": "<p></p>", "ICCIF-species-checked": "guaranteed", "ICCIF-species-dilution-info": "", "ICCIF-species-notes": "", "FlowCytIntra-species-checked": "guaranteed", "FlowCytIntra-species-dilution-info": "", "FlowCytIntra-species-notes": "" } } }

Product details

ab284834 is the carrier-free version of ab182556

Patented technology
Our RabMAb® technology is a patented hybridoma-based technology for making rabbit monoclonal antibodies. For details on our patents, please refer to RabMAb® patents.

Conjugation ready
Our carrier-free antibodies are typically supplied in a PBS-only formulation, purified and free of BSA, sodium azide and glycerol. This conjugation-ready format is designed for use with fluorochromes, metal isotopes, oligonucleotides, and enzymes, which makes them ideal for antibody labelling, functional and cell-based assays, flow-based assays (e.g. mass cytometry) and Multiplex Imaging applications.

Use our conjugation kits for antibody conjugates that are ready-to-use in as little as 20 minutes with 1 minute hands-on-time and 100% antibody recovery: available for fluorescent dyes, HRP, biotin and gold.

Compatibility
This product is compatible with the Maxpar® Antibody Labeling Kit from Fluidigm, without the need for antibody preparation. Maxpar® is a trademark of Fluidigm Canada Inc.

What are the advantages of a recombinant monoclonal antibody?
This product is a recombinant monoclonal antibody, which offers several advantages including:

  • - High batch-to-batch consistency and reproducibility
  • - Improved sensitivity and specificity
  • - Long-term security of supply
  • - Animal-free batch production

For more information, read more on recombinant antibodies.

Properties and storage information

Form
Liquid
Purification technique
Affinity purification Protein A
Storage buffer
pH: 7.2 - 7.4 Constituents: PBS
Shipped at conditions
Blue Ice
Appropriate short-term storage conditions
+4°C
Appropriate long-term storage conditions
+4°C

Supplementary information

This supplementary information is collated from multiple sources and compiled automatically.

The RPL9 protein also known as Ribosomal Protein L9 plays a role in the structure and function of ribosomes. This protein is part of the large ribosomal subunit facilitating the assembly of proteins. With a molecular mass of approximately 21 kDa RPL9 resides in the cytoplasm where ribosomes are largely found reflecting its function. Broadly expressed across various tissues it is essential for ribosomal integrity and efficient protein synthesis.
Biological function summary

RPL9 is involved in ribosome biogenesis and translation processes. As a component of the ribosomal complex it aids in the production of new proteins by translating messenger RNA (mRNA) into polypeptides. This function is tightly regulated and essential for maintaining cellular protein homeostasis. Additionally RPL9 participates in ribosomal assembly ensuring the proper folding and function of ribosomes.

Pathways

RPL9 plays an integral part in the mRNA translation pathway. It associates with other ribosomal proteins such as RPL5 and RPL11 forming a functional ribosomal unit. RPL9 contributes to the translation of mRNA into proteins an indispensable step in various cellular growth and proliferation pathways. Its interactions with these pathways highlight its role in regulating protein synthesis necessary for cell function.

RPL9 has been linked to Diamond-Blackfan Anemia (DBA) and other ribosomopathies. These conditions arise from defects in ribosomal protein production leading to impaired hematopoiesis. RPL9 mutations could affect the assembly of ribosomes similar to other ribosomal proteins like RPS19. These diseases underline the importance of RPL9 in maintaining ribosome function and cellular health.

Product protocols

For this product, it's our understanding that no specific protocols are required. You can visit:

Target data

Component of the large ribosomal subunit (PubMed : 23636399, PubMed : 32669547). The ribosome is a large ribonucleoprotein complex responsible for the synthesis of proteins in the cell (PubMed : 23636399, PubMed : 32669547).
See full target information RPL9

Product promise

We are committed to supporting your work with high-quality reagents, and we're here for you every step of the way. In the unlikely event that one of our products does not perform as expected, you're protected by our Product Promise.
For full details, please see our Terms & Conditions

Please note: All products are 'FOR RESEARCH USE ONLY. NOT FOR USE IN DIAGNOSTIC OR THERAPEUTIC PROCEDURES'.

For licensing inquiries, please contact partnerships@abcam.com