JavaScript is disabled in your browser. Please enable JavaScript to view this website.
AB151550

Anti-RPS10 antibody [EPR8545]

Be the first to review this product! Submit a review

|

(26 Publications)

Anti-RPS10 antibody [EPR8545] (ab151550) is a rabbit monoclonal antibody detecting RPS10 in Western Blot, Flow Cytometry (Intra), Flow Cytometry, IHC-P, ICC/IF. Suitable for Human, Mouse, Rat.

- Biophysical QC for unrivalled batch-batch consistency
- Over 20 publications

View Alternative Names

Small ribosomal subunit protein eS10, 40S ribosomal protein S10, RPS10

15 Images
Immunohistochemistry (Formalin/PFA-fixed paraffin-embedded sections) - Anti-RPS10 antibody [EPR8545] (AB151550)
  • IHC-P

Unknown

Immunohistochemistry (Formalin/PFA-fixed paraffin-embedded sections) - Anti-RPS10 antibody [EPR8545] (AB151550)

Immunohistochemical analysis of paraffin embedded Human Lung carcinoma tissue using ab151550 showing +ve staining.

Immunohistochemistry (Formalin/PFA-fixed paraffin-embedded sections) - Anti-RPS10 antibody [EPR8545] (AB151550)
  • IHC-P

Unknown

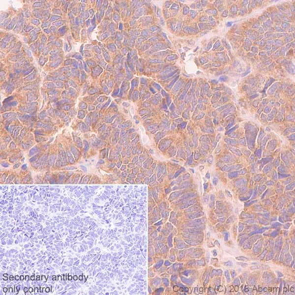
Immunohistochemistry (Formalin/PFA-fixed paraffin-embedded sections) - Anti-RPS10 antibody [EPR8545] (AB151550)

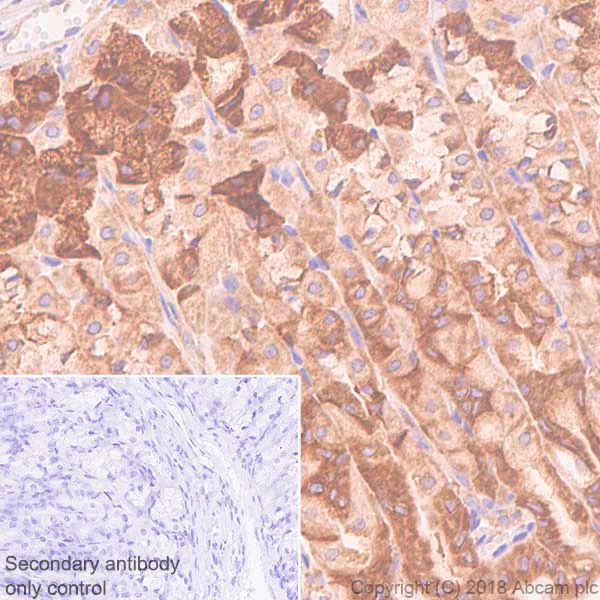
Immunohistochemistry (Formalin/PFA-fixed paraffin-embedded sections) analysis of Human pancreas tissue sections labeling RPS10 with Purified ab151550 at 1 : 100 dilution (11.86 μg/ml). Heat mediated antigen retrieval was performed with Tris-EDTA buffer (pH 9.0, epitope retrieval solution 2) for 10mins. Rabbit specific IHC polymer detection kit HRP/DAB (ab209101)was used as the secondary antibody. Negative control : PBS instead of the primary antibody. Hematoxylin was used as a counterstain.

Immunohistochemistry (Formalin/PFA-fixed paraffin-embedded sections) - Anti-RPS10 antibody [EPR8545] (AB151550)
  • IHC-P

Unknown

Immunohistochemistry (Formalin/PFA-fixed paraffin-embedded sections) - Anti-RPS10 antibody [EPR8545] (AB151550)

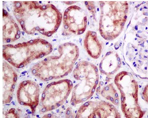
Immunohistochemical analysis of paraffin-embedded Human kidney tissue labeling RPS10 with ab151550 at 1/50 dilution.

Flow Cytometry (Intracellular) - Anti-RPS10 antibody [EPR8545] (AB151550)
  • Flow Cyt (Intra)

Unknown

Flow Cytometry (Intracellular) - Anti-RPS10 antibody [EPR8545] (AB151550)

Intracellular Flow Cytometry analysis of HeLa (Human cervix adenocarcinoma epithelial cell) cells labeling RPS10 with Purified ab151550 at 1/1000 dilution (1μg/ml) (red). Cells were fixed with 4% Paraformaldehyde. A Goat anti rabbit IgG (Alexa Fluor® 488, ab150077) secondary antibody was used at 1/2000. Isotype control - Rabbit monoclonal IgG (Black). Unlabeled control - Cell without incubation with primary antibody and secondary antibody (Blue).

Immunohistochemistry (Formalin/PFA-fixed paraffin-embedded sections) - Anti-RPS10 antibody [EPR8545] (AB151550)
  • IHC-P

Unknown

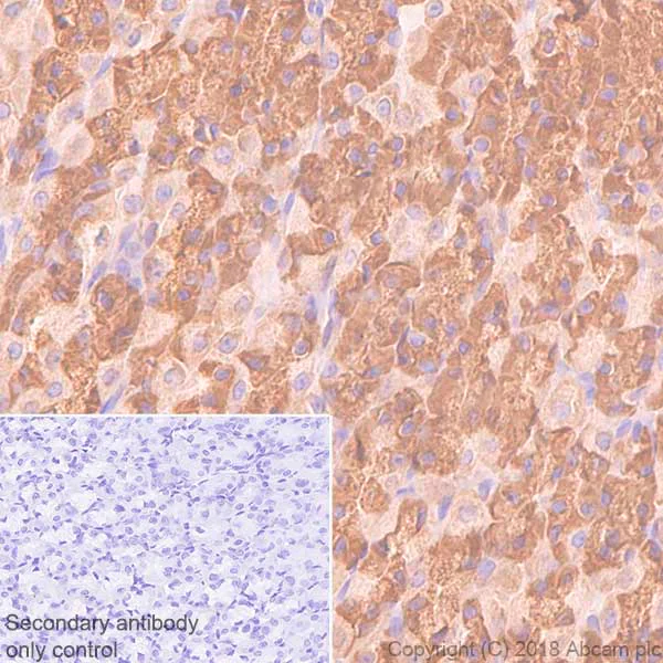
Immunohistochemistry (Formalin/PFA-fixed paraffin-embedded sections) - Anti-RPS10 antibody [EPR8545] (AB151550)

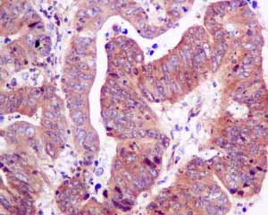
Immunohistochemistry (Formalin/PFA-fixed paraffin-embedded sections) analysis of Human gastric carcinoma tissue sections labeling RPS10 with Purified ab151550 at 1 : 100 dilution (11.86 μg/ml). Heat mediated antigen retrieval was performed with Tris-EDTA buffer (pH 9.0, epitope retrieval solution 2) for 10mins. Rabbit specific IHC polymer detection kit HRP/DAB (ab209101)was used as the secondary antibody. Negative control : PBS instead of the primary antibody. Hematoxylin was used as a counterstain.

Immunohistochemistry (Formalin/PFA-fixed paraffin-embedded sections) - Anti-RPS10 antibody [EPR8545] (AB151550)
  • IHC-P

Unknown

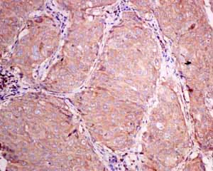
Immunohistochemistry (Formalin/PFA-fixed paraffin-embedded sections) - Anti-RPS10 antibody [EPR8545] (AB151550)

Immunohistochemical analysis of paraffin embedded Human Colonic adenocarcinoma tissue using ab151550 showing +ve staining.

Immunohistochemistry (Formalin/PFA-fixed paraffin-embedded sections) - Anti-RPS10 antibody [EPR8545] (AB151550)
  • IHC-P

Unknown

Immunohistochemistry (Formalin/PFA-fixed paraffin-embedded sections) - Anti-RPS10 antibody [EPR8545] (AB151550)

Immunohistochemical analysis of paraffin embedded Human Ovarian carcinoma tissue using ab151550 showing +ve staining.

Immunohistochemistry (Formalin/PFA-fixed paraffin-embedded sections) - Anti-RPS10 antibody [EPR8545] (AB151550)
  • IHC-P

Unknown

Immunohistochemistry (Formalin/PFA-fixed paraffin-embedded sections) - Anti-RPS10 antibody [EPR8545] (AB151550)

Immunohistochemical analysis of paraffin embedded normal Human tonsil tissue using ab151550 showing +ve staining.

Immunocytochemistry/ Immunofluorescence - Anti-RPS10 antibody [EPR8545] (AB151550)
  • ICC/IF

Unknown

Immunocytochemistry/ Immunofluorescence - Anti-RPS10 antibody [EPR8545] (AB151550)

Immunocytochemistry/ Immunofluorescence analysis of HeLa (Human cervix adenocarcinoma epithelial cell) cells labeling RPS10 with Purified ab151550 at 1 : 250 dilution (4.7 μg/ml). Cells were fixed in 4% Paraformaldehyde and permeabilized with 0.1% tritonX-100. Cells were counterstained with ab195889 Anti-alpha Tubulin antibody [DM1A] - Microtubule Marker (Alexa Fluor® 594) 1 : 200 (2.5 μg/ml). Goat anti rabbit IgG (Alexa Fluor® 488, ab150077) was used as the secondary antibody at 1 : 1000 (2 μg/ml) dilution. DAPI nuclear counterstain. PBS instead of the primary antibody was used as the secondary antibody only control.

Immunocytochemistry/ Immunofluorescence - Anti-RPS10 antibody [EPR8545] (AB151550)
  • ICC/IF

Unknown

Immunocytochemistry/ Immunofluorescence - Anti-RPS10 antibody [EPR8545] (AB151550)

Immunofluorescent analysis of HeLa cells labelling RPS10 with ab151550 at 1/250 dilution.

Immunohistochemistry (Formalin/PFA-fixed paraffin-embedded sections) - Anti-RPS10 antibody [EPR8545] (AB151550)
  • IHC-P

Unknown

Immunohistochemistry (Formalin/PFA-fixed paraffin-embedded sections) - Anti-RPS10 antibody [EPR8545] (AB151550)

Immunohistochemistry (Formalin/PFA-fixed paraffin-embedded sections) analysis of Rat stomach tissue sections labeling RPS10 with Purified ab151550 at 1 : 100 dilution (11.86 μg/ml). Heat mediated antigen retrieval was performed with Tris-EDTA buffer (pH 9.0, epitope retrieval solution 2) for 10mins. Rabbit specific IHC polymer detection kit HRP/DAB (ab209101)was used as the secondary antibody. Negative control : PBS instead of the primary antibody. Hematoxylin was used as a counterstain.

Immunohistochemistry (Formalin/PFA-fixed paraffin-embedded sections) - Anti-RPS10 antibody [EPR8545] (AB151550)
  • IHC-P

Unknown

Immunohistochemistry (Formalin/PFA-fixed paraffin-embedded sections) - Anti-RPS10 antibody [EPR8545] (AB151550)

Immunohistochemistry (Formalin/PFA-fixed paraffin-embedded sections) analysis of Mouse stomach tissue sections labeling RPS10 with Purified ab151550 at 1 : 100 dilution (11.86 μg/ml). Heat mediated antigen retrieval was performed with Tris-EDTA buffer (pH 9.0, epitope retrieval solution 2) for 10mins. Rabbit specific IHC polymer detection kit HRP/DAB (ab209101)was used as the secondary antibody. Negative control : PBS instead of the primary antibody. Hematoxylin was used as a counterstain.

Western blot - Anti-RPS10 antibody [EPR8545] (AB151550)
  • WB

Lab

Western blot - Anti-RPS10 antibody [EPR8545] (AB151550)

The blocking and dilution buffer is : 5% NFDM

All lanes:

Western blot - Anti-RPS10 antibody [EPR8545] (ab151550) at 1/5000 dilution

Lane 1:

HeLa (Human cervix adenocarcinoma epithelial cell) whole cell lysates at 20 µg

Lane 2:

K-562 (Human chronic myelogenous leukemia lymphoblast) whole cell lysates at 20 µg

Lane 3:

Raji (Human Burkitt's lymphoma B lymphocyte) whole cell lysates at 20 µg

Lane 4:

C6 (Rat glial tumor glial cell) whole cell lysates at 20 µg

Lane 5:

RAW 264.7 (Mouse Abelson murine leukemia virus-induced tumor macrophage) whole cell lysates at 20 µg

Lane 6:

NIH/3T3 (Mouse embryonic fibroblast) whole cell lysates at 20 µg

Lane 7:

PC-12 (Rat adrenal gland pheochromocytoma ) whole cell lysates at 20 µg

Secondary

All lanes:

Western blot - Goat Anti-Rabbit IgG H&L (HRP) (<a href='/en-us/products/secondary-antibodies/goat-rabbit-igg-h-l-hrp-ab97051'>ab97051</a>) at 1/20000 dilution

Predicted band size: 19 kDa

Observed band size: 19 kDa

false

Western blot - Anti-RPS10 antibody [EPR8545] (AB151550)
  • WB

Unknown

Western blot - Anti-RPS10 antibody [EPR8545] (AB151550)

All lanes:

Western blot - Anti-RPS10 antibody [EPR8545] (ab151550) at 1/1000 dilution

Lane 1:

HeLa cell lysate at 10 µg

Lane 2:

K562 cell lysate at 10 µg

Lane 3:

Raji cell lysate at 10 µg

Lane 4:

C6 cell lysate at 10 µg

Lane 5:

Raw264.7 cell lysate at 10 µg

Lane 6:

PC12 cell lysate at 10 µg

Lane 7:

NIH/3T3 cell lysate at 10 µg

Secondary

All lanes:

HRP labelled goat anti-rabbit at 1/2000 dilution

Predicted band size: 19 kDa

false

Western blot - Anti-RPS10 antibody [EPR8545] (AB151550)
  • WB

CiteAb

Western blot - Anti-RPS10 antibody [EPR8545] (AB151550)

RPS10 western blot using anti-RPS10 antibody [EPR8545] ab151550. Publication image and figure legend from Haneke, K., Schott, J., et al., 2020, J Cell Biol, PubMed 32040547.

ab151550 was used in this publication in western blot. This may not be the same as the application(s) guaranteed by Abcam. For a full list of applications guaranteed by Abcam for ab151550 please see the product overview.

LARP1-dependent suppression of 5′TOP mRNA translation upon CDK1i. (A) For Ribo-Seq analysis, RPE1 cells were serum-starved for 48 h followed by a 4-h treatment with DMSO or Ro3306 (10 µM). Equal amounts of a yeast lysate were spiked into the DMSO- and Ro3306-treated samples. RDs (no. ribosome footprints/no. ORF-spanning reads in input RNA) were calculated after normalization to the yeast spike-in footprints from n = 3 biological repeat experiments. (B) Based on the Ribo-Seq analysis in A, the average RD was calculated after normalization (norm.) to the yeast spike-in. Statistical significance was determined by one-tailed ratio paired t test. (C) Based on the Ribo-Seq analysis in A, the fold change in RD (Δ RD) was calculated for IRES-containing mRNAs, 5′TOP mRNAs, and all other mRNAs. (D) Polysome association of 5′TOP (RPLP0 and PABPC4) and ORF size-matched non-TOP (EIF2S1 and NCL) mRNAs was analyzed by polysome fractionation and subsequent qPCR analysis from DMSO- or Ro3306-treated (10 µM, 4 h) HeLa cells. (E) Western blot analysis of LARP1 expression in HEK293T WT cells, HEK293T LARP1−/− cells, and HEK293T LARP1−/− + LARP1 cells expressing LARP1-Flag-SBP. RPS10 serves as loading control. (F) Polysome association of 5′TOP (RPS6 and RPS7) and ORF size-matched non-TOP (EIF2S1, CDKN1A) mRNAs was analyzed by polysome fractionation and subsequent qPCR analysis from DMSO- or Ro3306-treated (10 µM, 4 h) HEK293T WT, LARP1−/−, or LARP1−/− + LARP1 cells.

false

  • 519 Alexa Fluor® 488

    Alexa Fluor® 488 Anti-RPS10 antibody [EPR8545]

  • 578 PE

    PE Anti-Ribosomal protein S10 antibody [EPR8545]

  • HRP

    HRP Anti-Ribosomal protein S10 antibody [EPR8545]

  • 617 Alexa Fluor® 594

    Alexa Fluor® 594 Anti-Ribosomal protein S10 antibody [EPR8545]

  • 603 Alexa Fluor® 568

    Alexa Fluor® 568 Anti-RPS10 antibody [EPR8545]

  • 665 Alexa Fluor® 647

    Alexa Fluor® 647 Anti-RPS10 antibody [EPR8545]

  • Carrier free

    Anti-RPS10 antibody [EPR8545] - BSA and Azide free

  • 660 APC

    APC Anti-Ribosomal protein S10 antibody [EPR8545]

  • 565 Alexa Fluor® 555

    Alexa Fluor® 555 Anti-Ribosomal protein S10 antibody [EPR8545]

  • 775 Alexa Fluor® 750

    Alexa Fluor® 750 Anti-RPS10 antibody [EPR8545]

Key facts

Host species

Rabbit

Clonality

Monoclonal

Clone number

EPR8545

Isotype

IgG

Carrier free

No

Reacts with

Mouse, Rat, Human

Applications

ICC/IF, Flow Cyt (Intra), IHC-P, WB

applications

Immunogen

The exact immunogen used to generate this antibody is proprietary information.

Reactivity data

{ "title": "Reactivity Data", "filters": { "stats": ["", "Species", "Dilution Info", "Notes"], "tabs": { "all-applications": {"fullname" : "All Applications", "shortname": "All Applications"}, "IP" : {"fullname" : "Immunoprecipitation", "shortname":"IP"}, "WB" : {"fullname" : "Western blot", "shortname":"WB"}, "ICCIF" : {"fullname" : "Immunocytochemistry/ Immunofluorescence", "shortname":"ICC/IF"}, "FlowCytIntra" : {"fullname" : "Flow Cytometry (Intracellular)", "shortname":"Flow Cyt (Intra)"}, "IHCP" : {"fullname" : "Immunohistochemistry (Formalin/PFA-fixed paraffin-embedded sections)", "shortname":"IHC-P"} }, "product-promise": { "all": "all", "testedAndGuaranteed": "tested", "guaranteed": "expected", "predicted": "predicted", "notRecommended": "not-recommended" } }, "values": { "Human": { "IP-species-checked": "notRecommended", "IP-species-dilution-info": "", "IP-species-notes": "<p></p>", "WB-species-checked": "testedAndGuaranteed", "WB-species-dilution-info": "1/1000 - 1/10000", "WB-species-notes": "<p></p>", "ICCIF-species-checked": "testedAndGuaranteed", "ICCIF-species-dilution-info": "1/250 - 1/500", "ICCIF-species-notes": "<p></p>", "FlowCytIntra-species-checked": "testedAndGuaranteed", "FlowCytIntra-species-dilution-info": "1/1000", "FlowCytIntra-species-notes": "<p></p>", "IHCP-species-checked": "testedAndGuaranteed", "IHCP-species-dilution-info": "1/50 - 1/100", "IHCP-species-notes": "<p>See .</p>" }, "Mouse": { "IP-species-checked": "notRecommended", "IP-species-dilution-info": "", "IP-species-notes": "<p></p>", "WB-species-checked": "testedAndGuaranteed", "WB-species-dilution-info": "1/1000 - 1/10000", "WB-species-notes": "<p></p>", "ICCIF-species-checked": "guaranteed", "ICCIF-species-dilution-info": "", "ICCIF-species-notes": "", "FlowCytIntra-species-checked": "guaranteed", "FlowCytIntra-species-dilution-info": "", "FlowCytIntra-species-notes": "", "IHCP-species-checked": "testedAndGuaranteed", "IHCP-species-dilution-info": "1/50 - 1/100", "IHCP-species-notes": "<p></p>" }, "Rat": { "IP-species-checked": "notRecommended", "IP-species-dilution-info": "", "IP-species-notes": "<p></p>", "WB-species-checked": "testedAndGuaranteed", "WB-species-dilution-info": "1/1000 - 1/10000", "WB-species-notes": "<p></p>", "ICCIF-species-checked": "guaranteed", "ICCIF-species-dilution-info": "", "ICCIF-species-notes": "", "FlowCytIntra-species-checked": "guaranteed", "FlowCytIntra-species-dilution-info": "", "FlowCytIntra-species-notes": "", "IHCP-species-checked": "testedAndGuaranteed", "IHCP-species-dilution-info": "1/50 - 1/100", "IHCP-species-notes": "<p></p>" } } }

Product details

What is this antibody validated in?
Anti-RPS10 antibody [EPR8545] (ab151550) is a rabbit recombinant monoclonal antibody and is validated for use in Western Blot (WB), Flow Cytometry (Intra), Flow Cytometry (Flow Cyt), Immunohistochemistry (IHC-P), Immunocytochemistry/immunofluorescence (ICC/IF) in Human, Mouse, Rat samples.

What is the molecular weight of RPS10?
Anti-RPS10 [EPR8545] (ab151550) specifically detects a band for RPS10 (UniProt: P46783) at a molecular weight of 19kDa.

Trusted by the scientific community
Anti-RPS10 [EPR8545] (ab151550) was first used in a scientific publication in 2012 and has been cited over 20 times in peer-reviewed journals.

Trial sizes available!
Test your antibody or perform pre-screening before committing to a larger quantity. Sold in 10µl. Discover our selection of trial-size antibodies.

Other related products
We have a range of other formats of antibody clone [EPR8545] also available for your convenience: ab151550, Alexa Fluor® 647 - ab225202, Alexa Fluor® 488 - ab225203, Carrier free - ab238926, PE - ab305916, APC - ab305917, HRP - ab305918, Alkaline Phosphatase - ab308694, Alexa Fluor® 594 - ab310403, Alexa Fluor® 555 - ab311930, Alexa Fluor® 568 - ab312401, Alexa Fluor® 750 - ab321128

Patented technology
Our RabMAb® technology is a patented hybridoma-based technology for making rabbit monoclonal antibodies. For details on our patents, please refer to RabMAb® patents.

What are the advantages of a recombinant monoclonal antibody?
This product is a recombinant monoclonal antibody, which offers several advantages including:

  • - High batch-to-batch consistency and reproducibility
  • - Improved sensitivity and specificity
  • - Long-term security of supply
  • - Animal-free batch production

For more information, read more on recombinant antibodies.

Properties and storage information

Form
Liquid
Purification technique
Affinity purification Protein A
Storage buffer
Preservative: 0.01% Sodium azide Constituents: PBS, 40% Glycerol (glycerin, glycerine), 0.05% BSA
Shipped at conditions
Blue Ice
Appropriate short-term storage conditions
+4°C
Appropriate long-term storage conditions
-20°C

Supplementary information

This supplementary information is collated from multiple sources and compiled automatically.

RPS10 also known as 40S ribosomal protein S10 is a component of the small ribosomal subunit essential for protein synthesis. It weighs approximately 18.7 kDa. The protein is expressed in various tissues including the liver kidney and brain. Its primary role involves participating in the assembly and function of ribosomes by interacting with rRNA and supporting the translation of mRNA into amino acids.
Biological function summary

RPS10 contributes to the formation and stability of the ribosomal 40S subunit. It works as part of the ribosome complex important for initiating and propelling protein synthesis. This ribosomal complex performs a central role in cellular growth and proliferation as it aids in assembling polypeptide chains that proteins need for diverse cellular processes. By doing so it supports a wide range of physiological functions.

Pathways

RPS10 contributes to protein synthesis through the translational initiation and elongation pathways. Its participation supports the accurate decoding and synthesis of proteins which are critical to cellular metabolism and growth. RPS10 interacts with other ribosomal proteins such as RPS12 and RPS14 to maintain these pathways' function and efficiency helping regulate cellular homeostasis and response to environmental stimuli.

RPS10 mutations can link to Diamond-Blackfan Anemia a condition marked by failed red blood cell production impacting patient health. Moreover aberrations in RPS10 link to various cancers such as breast cancer due to its role in protein synthesis and cell growth. RPS10 interacts with proteins like RPL5 another ribosomal protein within these disease contexts suggesting a broader contribution of ribosomal dysfunction in disease pathogenesis.

Product protocols

For this product, it's our understanding that no specific protocols are required. You can visit:

Target data

Component of the 40S ribosomal subunit (PubMed : 23636399). The ribosome is a large ribonucleoprotein complex responsible for the synthesis of proteins in the cell (PubMed : 23636399).
See full target information 40S ribosomal protein S10

Publications (26)

Recent publications for all applications. Explore the full list and refine your search

Nature structural & molecular biology 32:1932-1946 PubMed40646310

2025

Comparative CRISPRi screens reveal a human stem cell dependence on mRNA translation-coupled quality control.

Applications

Unspecified application

Species

Unspecified reactive species

Geraldine Rodschinka,Sergio Forcelloni,Felix M Kühner,Sascha Wani,Henrick Riemenschneider,Dieter Edbauer,Andrew Behrens,Danny D Nedialkova

Nature cell biology 27:438-448 PubMed39984653

2025

Blebbisomes are large, organelle-rich extracellular vesicles with cell-like properties.

Applications

Unspecified application

Species

Unspecified reactive species

Dennis K Jeppesen,Zachary C Sanchez,Noah M Kelley,James B Hayes,Jessica Ambroise,Emma N Koory,Evan Krystofiak,Nilay Taneja,Qin Zhang,Matthew M Dungan,Olivia L Perkins,Matthew J Tyska,Ela W Knapik,Kevin M Dean,Amanda C Doran,Robert J Coffey,Dylan T Burnette

Autophagy 21:996-1018 PubMed39842454

2025

The Epstein-Barr virus deubiquitinase BPLF1 regulates stress-induced ribosome UFMylation and reticulophagy.

Applications

Unspecified application

Species

Unspecified reactive species

Jiangnan Liu,Noemi Nagy,Carlos Ayala-Torres,Solenne Bleuse,Francisco Aguilar-Alonso,Ola Larsson,Maria G Masucci

Nucleic acids research 52:12534-12548 PubMed39351862

2024

Ribosome Quality Control mitigates the cytotoxicity of ribosome collisions induced by 5-Fluorouracil.

Applications

Unspecified application

Species

Unspecified reactive species

Susanta Chatterjee,Parisa Naeli,Okan Onar,Nicole Simms,Aitor Garzia,Angela Hackett,Kelsey Coyle,Patric Harris Snell,Tom McGirr,Tanvi Nitin Sawant,Kexin Dang,Zornitsa Vasileva Stoichkova,Yumna Azam,Mark P Saunders,Michael Braun,Tommy Alain,Thomas Tuschl,Simon S McDade,Daniel B Longley,Christos G Gkogkas,Colin Adrain,John R P Knight,Seyed Mehdi Jafarnejad

Nature communications 15:1637 PubMed38388640

2024

Stalled translation by mitochondrial stress upregulates a CNOT4-ZNF598 ribosomal quality control pathway important for tissue homeostasis.

Applications

Unspecified application

Species

Unspecified reactive species

Ji Geng,Shuangxi Li,Yu Li,Zhihao Wu,Sunil Bhurtel,Suman Rimal,Danish Khan,Rani Ohja,Onn Brandman,Bingwei Lu

Cell death & disease 14:467 PubMed37495584

2023

Nitric oxide-induced ribosome collision activates ribosomal surveillance mechanisms.

Applications

Unspecified application

Species

Unspecified reactive species

Laura Ryder,Frederic Schrøder Arendrup,José Francisco Martínez,Goda Snieckute,Chiara Pecorari,Riyaz Ahmad Shah,Anders H Lund,Melanie Blasius,Simon Bekker-Jensen

Cell metabolism 34:2036-2046.e8 PubMed36384144

2022

Ribosome stalling is a signal for metabolic regulation by the ribotoxic stress response.

Applications

Unspecified application

Species

Unspecified reactive species

Goda Snieckute,Aitana Victoria Genzor,Anna Constance Vind,Laura Ryder,Mark Stoneley,Sébastien Chamois,René Dreos,Cathrine Nordgaard,Frederike Sass,Melanie Blasius,Aida Rodríguez López,Sólveig Hlín Brynjólfsdóttir,Kasper Langebjerg Andersen,Anne E Willis,Lisa B Frankel,Steen Seier Poulsen,David Gatfield,Zachary Gerhart-Hines,Christoffer Clemmensen,Simon Bekker-Jensen

The Journal of biological chemistry 298:101448 PubMed34838592

2021

USP10 inhibits the dopamine-induced reactive oxygen species-dependent apoptosis of neuronal cells by stimulating the antioxidant Nrf2 activity.

Applications

Unspecified application

Species

Unspecified reactive species

Junya Sango,Taichi Kakihana,Masahiko Takahashi,Yoshinori Katsuragi,Sergei Anisimov,Masaaki Komatsu,Masahiro Fujii

eLife 10: PubMed34698018

2021

Electron cryo-tomography reveals the subcellular architecture of growing axons in human brain organoids.

Applications

Unspecified application

Species

Unspecified reactive species

Patrick C Hoffmann,Stefano L Giandomenico,Iva Ganeva,Michael R Wozny,Magdalena Sutcliffe,Madeline A Lancaster,Wanda Kukulski

Molecular cell 81:3481-3495.e7 PubMed34358446

2021

Molecular basis for substrate recruitment to the PRMT5 methylosome.

Applications

Unspecified application

Species

Unspecified reactive species

Kathleen M Mulvaney,Christa Blomquist,Nischal Acharya,Ruitong Li,Matthew J Ranaghan,Meghan O'Keefe,Diego J Rodriguez,Michael J Young,Devishi Kesar,Debjani Pal,Matthew Stokes,Alissa J Nelson,Sidharth S Jain,Annan Yang,Zachary Mullin-Bernstein,Josie Columbus,Fazli K Bozal,Adam Skepner,Donald Raymond,Salvatore LaRussa,David C McKinney,Yelena Freyzon,Yossef Baidi,Dale Porter,Andrew J Aguirre,Alessandra Ianari,Brian McMillan,William R Sellers
View all publications

Product promise

We are committed to supporting your work with high-quality reagents, and we're here for you every step of the way. In the unlikely event that one of our products does not perform as expected, you're protected by our Product Promise.
For full details, please see our Terms & Conditions

Please note: All products are 'FOR RESEARCH USE ONLY. NOT FOR USE IN DIAGNOSTIC OR THERAPEUTIC PROCEDURES'.

For licensing inquiries, please contact partnerships@abcam.com