JavaScript is disabled in your browser. Please enable JavaScript to view this website.
AB238926

Anti-RPS10 antibody [EPR8545] - BSA and Azide free

Be the first to review this product! Submit a review

|

(1 Publication)

Rabbit Recombinant Monoclonal RPS10 antibody. Carrier free. Suitable for WB, ICC/IF, Flow Cyt (Intra), IHC-P and reacts with Mouse, Rat, Human samples. Cited in 1 publication.

View Alternative Names

Small ribosomal subunit protein eS10, 40S ribosomal protein S10, RPS10

12 Images
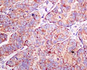
Immunohistochemistry (Formalin/PFA-fixed paraffin-embedded sections) - Anti-RPS10 antibody [EPR8545] - BSA and Azide free (AB238926)
  • IHC-P

Unknown

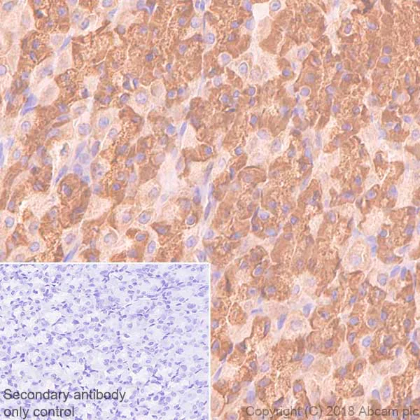
Immunohistochemistry (Formalin/PFA-fixed paraffin-embedded sections) - Anti-RPS10 antibody [EPR8545] - BSA and Azide free (AB238926)

Immunohistochemistry (Formalin/PFA-fixed paraffin-embedded sections) analysis of Human pancreas tissue sections labeling RPS10 with Purified ab151550 at 1 : 100 dilution (11.86 μg/ml). Heat mediated antigen retrieval was performed with Tris-EDTA buffer (pH 9.0, epitope retrieval solution 2) for 10mins. Rabbit specific IHC polymer detection kit HRP/DAB (ab209101)was used as the secondary antibody. Negative control : PBS instead of the primary antibody. Hematoxylin was used as a counterstain.
This data was developed using the same antibody clone in a different buffer formulation containing PBS, BSA, glycerol, and sodium azide (ab151550)

Immunohistochemistry (Formalin/PFA-fixed paraffin-embedded sections) - Anti-RPS10 antibody [EPR8545] - BSA and Azide free (AB238926)
  • IHC-P

Unknown

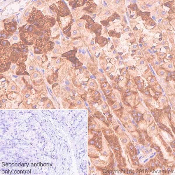
Immunohistochemistry (Formalin/PFA-fixed paraffin-embedded sections) - Anti-RPS10 antibody [EPR8545] - BSA and Azide free (AB238926)

Immunohistochemistry (Formalin/PFA-fixed paraffin-embedded sections) analysis of Human gastric carcinoma tissue sections labeling RPS10 with Purified ab151550 at 1 : 100 dilution (11.86 μg/ml). Heat mediated antigen retrieval was performed with Tris-EDTA buffer (pH 9.0, epitope retrieval solution 2) for 10mins. Rabbit specific IHC polymer detection kit HRP/DAB (ab209101)was used as the secondary antibody. Negative control : PBS instead of the primary antibody. Hematoxylin was used as a counterstain.
This data was developed using the same antibody clone in a different buffer formulation containing PBS, BSA, glycerol, and sodium azide (ab151550)

Immunocytochemistry/ Immunofluorescence - Anti-RPS10 antibody [EPR8545] - BSA and Azide free (AB238926)
  • ICC/IF

Unknown

Immunocytochemistry/ Immunofluorescence - Anti-RPS10 antibody [EPR8545] - BSA and Azide free (AB238926)

Immunocytochemistry/ Immunofluorescence analysis of HeLa (Human cervix adenocarcinoma epithelial cell) cells labeling RPS10 with Purified ab151550 at 1 : 250 dilution (4.7 μg/ml). Cells were fixed in 4% Paraformaldehyde and permeabilized with 0.1% tritonX-100. Cells were counterstained with ab195889 Anti-alpha Tubulin antibody [DM1A] - Microtubule Marker (Alexa Fluor® 594) 1 : 200 (2.5 μg/ml). Goat anti rabbit IgG (Alexa Fluor® 488, ab150077) was used as the secondary antibody at 1 : 1000 (2 μg/ml) dilution. DAPI nuclear counterstain. PBS instead of the primary antibody was used as the secondary antibody only control.
This data was developed using the same antibody clone in a different buffer formulation containing PBS, BSA, glycerol, and sodium azide (ab151550)

Immunocytochemistry/ Immunofluorescence - Anti-RPS10 antibody [EPR8545] - BSA and Azide free (AB238926)
  • ICC/IF

Unknown

Immunocytochemistry/ Immunofluorescence - Anti-RPS10 antibody [EPR8545] - BSA and Azide free (AB238926)

Immunofluorescent analysis of HeLa cells labelling RPS10 with ab151550 at 1/250 dilution.

This data was developed using the same antibody clone in a different buffer formulation containing PBS, BSA, glycerol, and sodium azide (ab151550).

Immunohistochemistry (Formalin/PFA-fixed paraffin-embedded sections) - Anti-RPS10 antibody [EPR8545] - BSA and Azide free (AB238926)
  • IHC-P

Unknown

Immunohistochemistry (Formalin/PFA-fixed paraffin-embedded sections) - Anti-RPS10 antibody [EPR8545] - BSA and Azide free (AB238926)

Immunohistochemical analysis of paraffin embedded Human Lung carcinoma tissue using ab151550 showing +ve staining.

This data was developed using the same antibody clone in a different buffer formulation containing PBS, BSA, glycerol, and sodium azide (ab151550).

Flow Cytometry (Intracellular) - Anti-RPS10 antibody [EPR8545] - BSA and Azide free (AB238926)
  • Flow Cyt (Intra)

Unknown

Flow Cytometry (Intracellular) - Anti-RPS10 antibody [EPR8545] - BSA and Azide free (AB238926)

Intracellular Flow Cytometry analysis of HeLa (Human cervix adenocarcinoma epithelial cell) cells labeling RPS10 with Purified ab151550 at 1/1000 dilution (1μg/ml) (red). Cells were fixed with 4% Paraformaldehyde. A Goat anti rabbit IgG (Alexa Fluor® 488, ab150077) secondary antibody was used at 1/2000. Isotype control - Rabbit monoclonal IgG (Black). Unlabeled control - Cell without incubation with primary antibody and secondary antibody (Blue). This data was developed using the same antibody clone in a different buffer formulation containing PBS, BSA, glycerol, and sodium azide (ab151550)

Immunohistochemistry (Formalin/PFA-fixed paraffin-embedded sections) - Anti-RPS10 antibody [EPR8545] - BSA and Azide free (AB238926)
  • IHC-P

Unknown

Immunohistochemistry (Formalin/PFA-fixed paraffin-embedded sections) - Anti-RPS10 antibody [EPR8545] - BSA and Azide free (AB238926)

Immunohistochemical analysis of paraffin embedded Human Colonic adenocarcinoma tissue using ab151550 showing +ve staining.

This data was developed using the same antibody clone in a different buffer formulation containing PBS, BSA, glycerol, and sodium azide (ab151550).

Immunohistochemistry (Formalin/PFA-fixed paraffin-embedded sections) - Anti-RPS10 antibody [EPR8545] - BSA and Azide free (AB238926)
  • IHC-P

Unknown

Immunohistochemistry (Formalin/PFA-fixed paraffin-embedded sections) - Anti-RPS10 antibody [EPR8545] - BSA and Azide free (AB238926)

Immunohistochemical analysis of paraffin embedded Human Ovarian carcinoma tissue using ab151550 showing +ve staining.

This data was developed using the same antibody clone in a different buffer formulation containing PBS, BSA, glycerol, and sodium azide (ab151550).

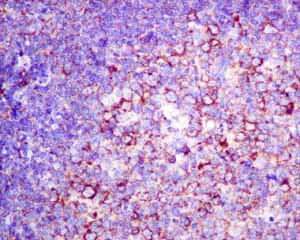
Immunohistochemistry (Formalin/PFA-fixed paraffin-embedded sections) - Anti-RPS10 antibody [EPR8545] - BSA and Azide free (AB238926)
  • IHC-P

Unknown

Immunohistochemistry (Formalin/PFA-fixed paraffin-embedded sections) - Anti-RPS10 antibody [EPR8545] - BSA and Azide free (AB238926)

Immunohistochemical analysis of paraffin embedded normal Human tonsil tissue using ab151550 showing +ve staining.

This data was developed using the same antibody clone in a different buffer formulation containing PBS, BSA, glycerol, and sodium azide (ab151550).

Immunohistochemistry (Formalin/PFA-fixed paraffin-embedded sections) - Anti-RPS10 antibody [EPR8545] - BSA and Azide free (AB238926)
  • IHC-P

Unknown

Immunohistochemistry (Formalin/PFA-fixed paraffin-embedded sections) - Anti-RPS10 antibody [EPR8545] - BSA and Azide free (AB238926)

Immunohistochemistry (Formalin/PFA-fixed paraffin-embedded sections) analysis of Rat stomach tissue sections labeling RPS10 with Purified ab151550 at 1 : 100 dilution (11.86 μg/ml). Heat mediated antigen retrieval was performed with Tris-EDTA buffer (pH 9.0, epitope retrieval solution 2) for 10mins. Rabbit specific IHC polymer detection kit HRP/DAB (ab209101)was used as the secondary antibody. Negative control : PBS instead of the primary antibody. Hematoxylin was used as a counterstain.
This data was developed using the same antibody clone in a different buffer formulation containing PBS, BSA, glycerol, and sodium azide (ab151550)

Immunohistochemistry (Formalin/PFA-fixed paraffin-embedded sections) - Anti-RPS10 antibody [EPR8545] - BSA and Azide free (AB238926)
  • IHC-P

Unknown

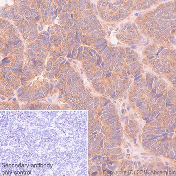
Immunohistochemistry (Formalin/PFA-fixed paraffin-embedded sections) - Anti-RPS10 antibody [EPR8545] - BSA and Azide free (AB238926)

Immunohistochemistry (Formalin/PFA-fixed paraffin-embedded sections) analysis of Mouse stomach tissue sections labeling RPS10 with Purified ab151550 at 1 : 100 dilution (11.86 μg/ml). Heat mediated antigen retrieval was performed with Tris-EDTA buffer (pH 9.0, epitope retrieval solution 2) for 10mins. Rabbit specific IHC polymer detection kit HRP/DAB (ab209101)was used as the secondary antibody. Negative control : PBS instead of the primary antibody. Hematoxylin was used as a counterstain.
This data was developed using the same antibody clone in a different buffer formulation containing PBS, BSA, glycerol, and sodium azide (ab151550)

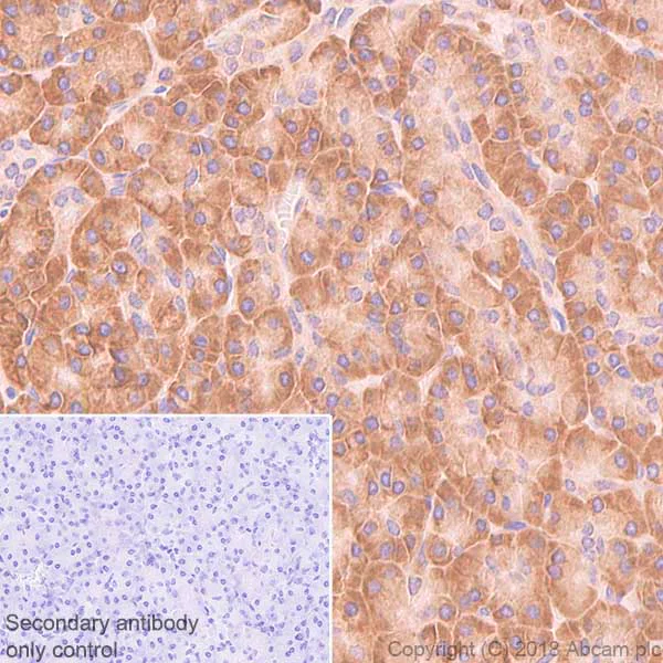
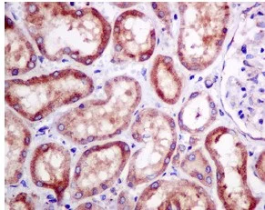
Immunohistochemistry (Formalin/PFA-fixed paraffin-embedded sections) - Anti-RPS10 antibody [EPR8545] - BSA and Azide free (AB238926)
  • IHC-P

Supplier Data

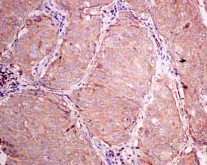
Immunohistochemistry (Formalin/PFA-fixed paraffin-embedded sections) - Anti-RPS10 antibody [EPR8545] - BSA and Azide free (AB238926)

Immunohistochemical analysis of paraffin-embedded Human kidney tissue labeling RPS10 with ab151550 at 1/50 dilution.

This data was developed using the same antibody clone in a different buffer formulation containing PBS, BSA, glycerol, and sodium azide (ab151550).

  • Unconjugated

    Anti-RPS10 antibody [EPR8545]

  • 775 Alexa Fluor® 750

    Alexa Fluor® 750 Anti-RPS10 antibody [EPR8545]

  • 519 Alexa Fluor® 488

    Alexa Fluor® 488 Anti-RPS10 antibody [EPR8545]

  • 578 PE

    PE Anti-Ribosomal protein S10 antibody [EPR8545]

  • HRP

    HRP Anti-Ribosomal protein S10 antibody [EPR8545]

  • 617 Alexa Fluor® 594

    Alexa Fluor® 594 Anti-Ribosomal protein S10 antibody [EPR8545]

  • 603 Alexa Fluor® 568

    Alexa Fluor® 568 Anti-RPS10 antibody [EPR8545]

  • 665 Alexa Fluor® 647

    Alexa Fluor® 647 Anti-RPS10 antibody [EPR8545]

  • 660 APC

    APC Anti-Ribosomal protein S10 antibody [EPR8545]

  • 565 Alexa Fluor® 555

    Alexa Fluor® 555 Anti-Ribosomal protein S10 antibody [EPR8545]

Key facts

Host species

Rabbit

Clonality

Monoclonal

Clone number

EPR8545

Isotype

IgG

Carrier free

Yes

Reacts with

Mouse, Rat, Human

Applications

WB, IHC-P, Flow Cyt (Intra), ICC/IF

applications

Immunogen

The exact immunogen used to generate this antibody is proprietary information.

Reactivity data

{ "title": "Reactivity Data", "filters": { "stats": ["", "Species", "Dilution Info", "Notes"], "tabs": { "all-applications": {"fullname" : "All Applications", "shortname": "All Applications"}, "IP" : {"fullname" : "Immunoprecipitation", "shortname":"IP"}, "WB" : {"fullname" : "Western blot", "shortname":"WB"}, "ICCIF" : {"fullname" : "Immunocytochemistry/ Immunofluorescence", "shortname":"ICC/IF"}, "FlowCytIntra" : {"fullname" : "Flow Cytometry (Intracellular)", "shortname":"Flow Cyt (Intra)"}, "IHCP" : {"fullname" : "Immunohistochemistry (Formalin/PFA-fixed paraffin-embedded sections)", "shortname":"IHC-P"} }, "product-promise": { "all": "all", "testedAndGuaranteed": "tested", "guaranteed": "expected", "predicted": "predicted", "notRecommended": "not-recommended" } }, "values": { "Human": { "IP-species-checked": "notRecommended", "IP-species-dilution-info": "", "IP-species-notes": "<p></p>", "WB-species-checked": "guaranteed", "WB-species-dilution-info": "", "WB-species-notes": "<p></p>", "ICCIF-species-checked": "testedAndGuaranteed", "ICCIF-species-dilution-info": "", "ICCIF-species-notes": "<p></p>", "FlowCytIntra-species-checked": "testedAndGuaranteed", "FlowCytIntra-species-dilution-info": "", "FlowCytIntra-species-notes": "<p></p>", "IHCP-species-checked": "guaranteed", "IHCP-species-dilution-info": "", "IHCP-species-notes": "" }, "Mouse": { "IP-species-checked": "notRecommended", "IP-species-dilution-info": "", "IP-species-notes": "<p></p>", "WB-species-checked": "guaranteed", "WB-species-dilution-info": "", "WB-species-notes": "<p></p>", "ICCIF-species-checked": "guaranteed", "ICCIF-species-dilution-info": "", "ICCIF-species-notes": "", "FlowCytIntra-species-checked": "guaranteed", "FlowCytIntra-species-dilution-info": "", "FlowCytIntra-species-notes": "", "IHCP-species-checked": "testedAndGuaranteed", "IHCP-species-dilution-info": "", "IHCP-species-notes": "<p></p>" }, "Rat": { "IP-species-checked": "notRecommended", "IP-species-dilution-info": "", "IP-species-notes": "<p></p>", "WB-species-checked": "guaranteed", "WB-species-dilution-info": "", "WB-species-notes": "<p></p>", "ICCIF-species-checked": "predicted", "ICCIF-species-dilution-info": "", "ICCIF-species-notes": "", "FlowCytIntra-species-checked": "predicted", "FlowCytIntra-species-dilution-info": "", "FlowCytIntra-species-notes": "", "IHCP-species-checked": "predicted", "IHCP-species-dilution-info": "", "IHCP-species-notes": "" } } }

Product details

ab238926 is the carrier-free version of ab151550.

Patented technology
Our RabMAb® technology is a patented hybridoma-based technology for making rabbit monoclonal antibodies. For details on our patents, please refer to RabMAb® patents.

What are the advantages of a recombinant monoclonal antibody?
This product is a recombinant monoclonal antibody, which offers several advantages including:

  • - High batch-to-batch consistency and reproducibility
  • - Improved sensitivity and specificity
  • - Long-term security of supply
  • - Animal-free batch production

For more information, read more on recombinant antibodies.

Conjugation ready
Our carrier-free antibodies are typically supplied in a PBS-only formulation, purified and free of BSA, sodium azide and glycerol. This conjugation-ready format is designed for use with fluorochromes, metal isotopes, oligonucleotides, and enzymes, which makes them ideal for antibody labelling, functional and cell-based assays, flow-based assays (e.g. mass cytometry) and Multiplex Imaging applications.

Use our conjugation kits for antibody conjugates that are ready-to-use in as little as 20 minutes with 1 minute hands-on-time and 100% antibody recovery: available for fluorescent dyes, HRP, biotin and gold.

Compatibility
This product is compatible with the Maxpar® Antibody Labeling Kit from Fluidigm, without the need for antibody preparation. Maxpar® is a trademark of Fluidigm Canada Inc.

Properties and storage information

Form
Liquid
Purification technique
Affinity purification Protein A
Storage buffer
pH: 7.2 - 7.4 Constituents: PBS
Shipped at conditions
Blue Ice
Appropriate short-term storage conditions
+4°C
Appropriate long-term storage conditions
+4°C
Storage information
Do Not Freeze

Supplementary information

This supplementary information is collated from multiple sources and compiled automatically.

RPS10 also known as 40S ribosomal protein S10 is a component of the small ribosomal subunit essential for protein synthesis. It weighs approximately 18.7 kDa. The protein is expressed in various tissues including the liver kidney and brain. Its primary role involves participating in the assembly and function of ribosomes by interacting with rRNA and supporting the translation of mRNA into amino acids.
Biological function summary

RPS10 contributes to the formation and stability of the ribosomal 40S subunit. It works as part of the ribosome complex important for initiating and propelling protein synthesis. This ribosomal complex performs a central role in cellular growth and proliferation as it aids in assembling polypeptide chains that proteins need for diverse cellular processes. By doing so it supports a wide range of physiological functions.

Pathways

RPS10 contributes to protein synthesis through the translational initiation and elongation pathways. Its participation supports the accurate decoding and synthesis of proteins which are critical to cellular metabolism and growth. RPS10 interacts with other ribosomal proteins such as RPS12 and RPS14 to maintain these pathways' function and efficiency helping regulate cellular homeostasis and response to environmental stimuli.

RPS10 mutations can link to Diamond-Blackfan Anemia a condition marked by failed red blood cell production impacting patient health. Moreover aberrations in RPS10 link to various cancers such as breast cancer due to its role in protein synthesis and cell growth. RPS10 interacts with proteins like RPL5 another ribosomal protein within these disease contexts suggesting a broader contribution of ribosomal dysfunction in disease pathogenesis.

Product protocols

For this product, it's our understanding that no specific protocols are required. You can visit:

Target data

Component of the 40S ribosomal subunit (PubMed : 23636399). The ribosome is a large ribonucleoprotein complex responsible for the synthesis of proteins in the cell (PubMed : 23636399).
See full target information 40S ribosomal protein S10

Publications (1)

Recent publications for all applications. Explore the full list and refine your search

Nature genetics 57:1142-1154 PubMed40229600

2025

Longitudinal single-cell multiomic atlas of high-risk neuroblastoma reveals chemotherapy-induced tumor microenvironment rewiring.

Applications

Unspecified application

Species

Unspecified reactive species

Wenbao Yu,Rumeysa Biyik-Sit,Yasin Uzun,Chia-Hui Chen,Anusha Thadi,Jonathan H Sussman,Minxing Pang,Chi-Yun Wu,Liron D Grossmann,Peng Gao,David W Wu,Aliza Yousey,Mei Zhang,Christina S Turn,Zhan Zhang,Shovik Bandyopadhyay,Jeffrey Huang,Tasleema Patel,Changya Chen,Daniel Martinez,Lea F Surrey,Michael D Hogarty,Kathrin Bernt,Nancy R Zhang,John M Maris,Kai Tan
View all publications

Product promise

We are committed to supporting your work with high-quality reagents, and we're here for you every step of the way. In the unlikely event that one of our products does not perform as expected, you're protected by our Product Promise.
For full details, please see our Terms & Conditions

Please note: All products are 'FOR RESEARCH USE ONLY. NOT FOR USE IN DIAGNOSTIC OR THERAPEUTIC PROCEDURES'.

For licensing inquiries, please contact partnerships@abcam.com