JavaScript is disabled in your browser. Please enable JavaScript to view this website.
AB167428

Anti-RPS12 antibody [EPR10964(B)]

Be the first to review this product! Submit a review

|

(2 Publications)

Rabbit Recombinant Monoclonal RPS12 antibody. Suitable for IHC-P, WB and reacts with Human, Rat, Mouse samples. Cited in 2 publications.

View Alternative Names

Small ribosomal subunit protein eS12, 40S ribosomal protein S12, RPS12

7 Images
Immunohistochemistry (Formalin/PFA-fixed paraffin-embedded sections) - Anti-RPS12 antibody [EPR10964(B)] (AB167428)
  • IHC-P

Unknown

Immunohistochemistry (Formalin/PFA-fixed paraffin-embedded sections) - Anti-RPS12 antibody [EPR10964(B)] (AB167428)

ab167428 showing +ve staining in Human normal brain.

Perform heat mediated antigen retrieval with citrate buffer pH 6 before commencing with IHC staining protocol.

Immunohistochemistry (Formalin/PFA-fixed paraffin-embedded sections) - Anti-RPS12 antibody [EPR10964(B)] (AB167428)
  • IHC-P

Unknown

Immunohistochemistry (Formalin/PFA-fixed paraffin-embedded sections) - Anti-RPS12 antibody [EPR10964(B)] (AB167428)

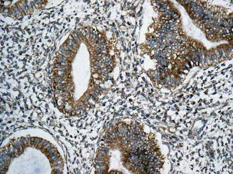
Immunohistochemical analysis of formalin-fixed, paraffin-embedded Human colon tissue, labeling RPS12 using ab167428 at a 1/100 dilution.

Perform heat mediated antigen retrieval with citrate buffer pH 6 before commencing with IHC staining protocol.

Immunohistochemistry (Formalin/PFA-fixed paraffin-embedded sections) - Anti-RPS12 antibody [EPR10964(B)] (AB167428)
  • IHC-P

Unknown

Immunohistochemistry (Formalin/PFA-fixed paraffin-embedded sections) - Anti-RPS12 antibody [EPR10964(B)] (AB167428)

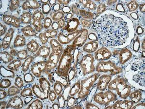
Immunohistochemical analysis of formalin-fixed, paraffin-embedded Human kidney tissue, labeling RPS12 using ab167428 at a 1/100 dilution.

Perform heat mediated antigen retrieval with citrate buffer pH 6 before commencing with IHC staining protocol.

Immunohistochemistry (Formalin/PFA-fixed paraffin-embedded sections) - Anti-RPS12 antibody [EPR10964(B)] (AB167428)
  • IHC-P

Unknown

Immunohistochemistry (Formalin/PFA-fixed paraffin-embedded sections) - Anti-RPS12 antibody [EPR10964(B)] (AB167428)

ab167428 showing +ve staining in Human normal uterus.

Perform heat mediated antigen retrieval with citrate buffer pH 6 before commencing with IHC staining protocol.

Immunohistochemistry (Formalin/PFA-fixed paraffin-embedded sections) - Anti-RPS12 antibody [EPR10964(B)] (AB167428)
  • IHC-P

Unknown

Immunohistochemistry (Formalin/PFA-fixed paraffin-embedded sections) - Anti-RPS12 antibody [EPR10964(B)] (AB167428)

ab167428 showing +ve staining in Human normal tonsil.

Perform heat mediated antigen retrieval with citrate buffer pH 6 before commencing with IHC staining protocol.

Immunohistochemistry (Formalin/PFA-fixed paraffin-embedded sections) - Anti-RPS12 antibody [EPR10964(B)] (AB167428)
  • IHC-P

Unknown

Immunohistochemistry (Formalin/PFA-fixed paraffin-embedded sections) - Anti-RPS12 antibody [EPR10964(B)] (AB167428)

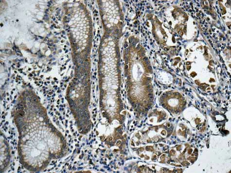
ab167428 showing +ve staining in Human normal stomach.

Perform heat mediated antigen retrieval with citrate buffer pH 6 before commencing with IHC staining protocol.

Western blot - Anti-RPS12 antibody [EPR10964(B)] (AB167428)
  • WB

Unknown

Western blot - Anti-RPS12 antibody [EPR10964(B)] (AB167428)

All lanes:

Western blot - Anti-RPS12 antibody [EPR10964(B)] (ab167428) at 1/1000 dilution

Lane 1:

Rat C6 cell lysate at 10 µg

Lane 2:

Mouse RAW 264.7 cell lysate at 10 µg

Lane 3:

Mouse NIH 3T3 cell lysate at 10 µg

Lane 4:

HeLa cell lysate at 10 µg

Lane 5:

MCF7 cell lysate at 10 µg

Lane 6:

HepG2 cell lysate at 10 µg

Lane 7:

Raji cell lysate at 10 µg

Secondary

All lanes:

Goat anti-rabbit HRP at 1/2000 dilution

Predicted band size: 15 kDa

false

Key facts

Host species

Rabbit

Clonality

Monoclonal

Clone number

EPR10964(B)

Isotype

IgG

Carrier free

No

Reacts with

Mouse, Rat, Human

Applications

IHC-P, WB

applications

Immunogen

The exact immunogen used to generate this antibody is proprietary information.

Reactivity data

{ "title": "Reactivity Data", "filters": { "stats": ["", "Species", "Dilution Info", "Notes"], "tabs": { "all-applications": {"fullname" : "All Applications", "shortname": "All Applications"}, "IHCP" : {"fullname" : "Immunohistochemistry (Formalin/PFA-fixed paraffin-embedded sections)", "shortname":"IHC-P"}, "IP" : {"fullname" : "Immunoprecipitation", "shortname":"IP"}, "FlowCyt" : {"fullname" : "Flow Cytometry", "shortname":"Flow Cyt"}, "WB" : {"fullname" : "Western blot", "shortname":"WB"}, "ICCIF" : {"fullname" : "Immunocytochemistry/ Immunofluorescence", "shortname":"ICC/IF"} }, "product-promise": { "all": "all", "testedAndGuaranteed": "tested", "guaranteed": "expected", "predicted": "predicted", "notRecommended": "not-recommended" } }, "values": { "Human": { "IHCP-species-checked": "testedAndGuaranteed", "IHCP-species-dilution-info": "1/100 - 1/250", "IHCP-species-notes": "<p></p>", "IP-species-checked": "notRecommended", "IP-species-dilution-info": "", "IP-species-notes": "<p></p>", "FlowCyt-species-checked": "notRecommended", "FlowCyt-species-dilution-info": "", "FlowCyt-species-notes": "<p></p>", "WB-species-checked": "guaranteed", "WB-species-dilution-info": "", "WB-species-notes": "", "ICCIF-species-checked": "notRecommended", "ICCIF-species-dilution-info": "", "ICCIF-species-notes": "<p></p>" }, "Mouse": { "IHCP-species-checked": "guaranteed", "IHCP-species-dilution-info": "", "IHCP-species-notes": "", "IP-species-checked": "notRecommended", "IP-species-dilution-info": "", "IP-species-notes": "<p></p>", "FlowCyt-species-checked": "notRecommended", "FlowCyt-species-dilution-info": "", "FlowCyt-species-notes": "<p></p>", "WB-species-checked": "testedAndGuaranteed", "WB-species-dilution-info": "1/1000 - 1/10000", "WB-species-notes": "<p></p>", "ICCIF-species-checked": "notRecommended", "ICCIF-species-dilution-info": "", "ICCIF-species-notes": "<p></p>" }, "Rat": { "IHCP-species-checked": "guaranteed", "IHCP-species-dilution-info": "", "IHCP-species-notes": "", "IP-species-checked": "notRecommended", "IP-species-dilution-info": "", "IP-species-notes": "<p></p>", "FlowCyt-species-checked": "notRecommended", "FlowCyt-species-dilution-info": "", "FlowCyt-species-notes": "<p></p>", "WB-species-checked": "testedAndGuaranteed", "WB-species-dilution-info": "1/1000 - 1/10000", "WB-species-notes": "<p></p>", "ICCIF-species-checked": "notRecommended", "ICCIF-species-dilution-info": "", "ICCIF-species-notes": "<p></p>" } } }

Product details

Patented technology
Our RabMAb® technology is a patented hybridoma-based technology for making rabbit monoclonal antibodies. For details on our patents, please refer to RabMAb® patents.

What are the advantages of a recombinant monoclonal antibody?
This product is a recombinant monoclonal antibody, which offers several advantages including:

  • - High batch-to-batch consistency and reproducibility
  • - Improved sensitivity and specificity
  • - Long-term security of supply
  • - Animal-free batch production

For more information, read more on recombinant antibodies.

Properties and storage information

Form
Liquid
Purification technique
Affinity purification Protein A
Storage buffer
pH: 7.2 - 7.4 Preservative: 0.01% Sodium azide Constituents: PBS, 40% Glycerol (glycerin, glycerine), 0.05% BSA
Shipped at conditions
Blue Ice
Appropriate short-term storage duration
1-2 weeks
Appropriate short-term storage conditions
+4°C
Appropriate long-term storage conditions
-20°C
Aliquoting information
Upon delivery aliquot

Supplementary information

This supplementary information is collated from multiple sources and compiled automatically.

RPS12 also known as Ribosomal Protein S12 is a component of the 40S ribosomal subunit. It has a molecular mass of approximately 14 kDa. This protein plays an important role in the synthesis of proteins by helping to translate messenger RNA into polypeptides. It is expressed widely in human tissues indicating its fundamental role in cellular function. RPS12 is an integral part of ribosome structure and functionality contributing to the assembly and stability of the ribosomes.
Biological function summary

Ribosomal Protein S12 is involved in forming the small ribosomal subunit and it is a part of the ribonucleoprotein complex that is responsible for decoding genetic information. This complex ensures the accurate translation of genetic sequences which is essential for proper cell division and growth. The function of RPS12 extends to maintaining the fidelity of translation ensuring that amino acids are added correctly during protein synthesis.

Pathways

The role of Ribosomal Protein S12 is significant in the mRNA translation pathway affecting gene expression and protein production. It is directly linked to the regulation of the translation machinery. RPS12 is associated with various other ribosomal proteins such as RPS6 and RPL5 to form a coordinated network that influences protein synthesis and cellular responses to environmental changes. Its interaction with these proteins underpins its participation in the global control of protein synthesis.

Altered expression or mutations in Ribosomal Protein S12 have connections with certain ribosomopathies. Disorders like Diamond-Blackfan anemia relate to dysfunctions within ribosomal components including RPS12. Moreover aberrations in ribosomal proteins including RPS12 can predispose individuals to cancer by disrupting normal cell growth control. Understanding how RPS12 interacts with proteins involved in these diseases can provide insights into potential therapeutic targets.

Product protocols

For this product, it's our understanding that no specific protocols are required. You can visit:

Target data

Part of the small subunit (SSU) processome, first precursor of the small eukaryotic ribosomal subunit. During the assembly of the SSU processome in the nucleolus, many ribosome biogenesis factors, an RNA chaperone and ribosomal proteins associate with the nascent pre-rRNA and work in concert to generate RNA folding, modifications, rearrangements and cleavage as well as targeted degradation of pre-ribosomal RNA by the RNA exosome (PubMed : 34516797). Subunit of the 40S ribosomal complex (By similarity).
See full target information RPS12

Publications (2)

Recent publications for all applications. Explore the full list and refine your search

Molecular medicine reports 27: PubMed36601769

2023

Nerve growth factor causes epinephrine release dysfunction by regulating phenotype alterations and the function of adrenal medullary chromaffin cells in mice with allergic rhinitis.

Applications

Unspecified application

Species

Unspecified reactive species

Chao Liu,Jian-Ping Liang,Xiao-Lin Huang,Zhong Liu,An-Bing Zhang,Nian-Gen Deng,Zi-Feng Wei,Jun Wang

International journal of molecular sciences 24: PubMed36614058

2022

Ribosomal Stress Couples with the Hypoxia Response in Dec1-Dependent Orthodontic Tooth Movement.

Applications

Unspecified application

Species

Unspecified reactive species

Shigeru Nakamura,Keiji Tanimoto,Ujjal K Bhawal
View all publications

Product promise

We are committed to supporting your work with high-quality reagents, and we're here for you every step of the way. In the unlikely event that one of our products does not perform as expected, you're protected by our Product Promise.
For full details, please see our Terms & Conditions

Please note: All products are 'FOR RESEARCH USE ONLY. NOT FOR USE IN DIAGNOSTIC OR THERAPEUTIC PROCEDURES'.

For licensing inquiries, please contact partnerships@abcam.com