JavaScript is disabled in your browser. Please enable JavaScript to view this website.
AB157193

Anti-RPS15 antibody [EPR11104]

Be the first to review this product! Submit a review

|

(6 Publications)

Rabbit Recombinant Monoclonal RPS15 antibody. Suitable for IHC-P, WB, ICC/IF, Flow Cyt (Intra) and reacts with Human, Mouse, Rat samples. Cited in 6 publications.

View Alternative Names

RIG, RPS15, Small ribosomal subunit protein uS19, 40S ribosomal protein S15, RIG protein

5 Images
Immunohistochemistry (Formalin/PFA-fixed paraffin-embedded sections) - Anti-RPS15 antibody [EPR11104] (AB157193)
  • IHC-P

Unknown

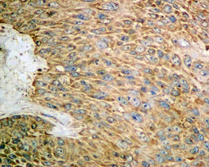
Immunohistochemistry (Formalin/PFA-fixed paraffin-embedded sections) - Anti-RPS15 antibody [EPR11104] (AB157193)

Immunohistochemical analysis of paraffin-embedded Human esophageal carcinoma tissue labeling TPST2 with ab157193 at 1/100 dilution.

Perform heat mediated antigen retrieval before commencing with IHC staining protocol.

Immunocytochemistry/ Immunofluorescence - Anti-RPS15 antibody [EPR11104] (AB157193)
  • ICC/IF

Unknown

Immunocytochemistry/ Immunofluorescence - Anti-RPS15 antibody [EPR11104] (AB157193)

Immunofluorescent analysis of MCF7 cells labeling TPST2 with ab157193 at 1/250 dilution.

Immunohistochemistry (Formalin/PFA-fixed paraffin-embedded sections) - Anti-RPS15 antibody [EPR11104] (AB157193)
  • IHC-P

Unknown

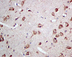
Immunohistochemistry (Formalin/PFA-fixed paraffin-embedded sections) - Anti-RPS15 antibody [EPR11104] (AB157193)

Immunohistochemical analysis of paraffin-embedded Human brain tissue labeling TPST2 with ab157193 at 1/100 dilution.

Perform heat mediated antigen retrieval before commencing with IHC staining protocol.

Flow Cytometry (Intracellular) - Anti-RPS15 antibody [EPR11104] (AB157193)
  • Flow Cyt (Intra)

Unknown

Flow Cytometry (Intracellular) - Anti-RPS15 antibody [EPR11104] (AB157193)

Intracellular Intracellular Flow Cytometic analysis of permeabilized U-87 MG cells labeling TPST2 with ab157193 at 1/100 (red) or a rabbit IgG (negative) (green).

Western blot - Anti-RPS15 antibody [EPR11104] (AB157193)
  • WB

Unknown

Western blot - Anti-RPS15 antibody [EPR11104] (AB157193)

All lanes:

Western blot - Anti-RPS15 antibody [EPR11104] (ab157193) at 1/1000 dilution

Lane 1:

A549 cell lysate at 10 µg

Lane 2:

HepG2 cell lysate at 10 µg

Lane 3:

U-87 MG cell lysate at 10 µg

Lane 4:

MCF7 cell lysate at 10 µg

Secondary

All lanes:

Goat anti-rabbit HRP-conjugated at 1/2000 dilution

Predicted band size: 17 kDa

false

  • Carrier free

    Anti-RPS15 antibody [EPR11104] - BSA and Azide free

Key facts

Host species

Rabbit

Clonality

Monoclonal

Clone number

EPR11104

Isotype

IgG

Carrier free

No

Reacts with

Human

Applications

WB, Flow Cyt (Intra), IHC-P, ICC/IF

applications

Immunogen

The exact immunogen used to generate this antibody is proprietary information.

Reactivity data

{ "title": "Reactivity Data", "filters": { "stats": ["", "Species", "Dilution Info", "Notes"], "tabs": { "all-applications": {"fullname" : "All Applications", "shortname": "All Applications"}, "IHCP" : {"fullname" : "Immunohistochemistry (Formalin/PFA-fixed paraffin-embedded sections)", "shortname":"IHC-P"}, "IP" : {"fullname" : "Immunoprecipitation", "shortname":"IP"}, "WB" : {"fullname" : "Western blot", "shortname":"WB"}, "ICCIF" : {"fullname" : "Immunocytochemistry/ Immunofluorescence", "shortname":"ICC/IF"}, "FlowCytIntra" : {"fullname" : "Flow Cytometry (Intracellular)", "shortname":"Flow Cyt (Intra)"} }, "product-promise": { "all": "all", "testedAndGuaranteed": "tested", "guaranteed": "expected", "predicted": "predicted", "notRecommended": "not-recommended" } }, "values": { "Human": { "IHCP-species-checked": "testedAndGuaranteed", "IHCP-species-dilution-info": "1/100 - 1/250", "IHCP-species-notes": "<p></p> Perform heat-mediated antigen retrieval before commencing with IHC staining protocol.", "IP-species-checked": "notRecommended", "IP-species-dilution-info": "", "IP-species-notes": "<p></p>", "WB-species-checked": "testedAndGuaranteed", "WB-species-dilution-info": "1/1000 - 1/5000", "WB-species-notes": "<p></p>", "ICCIF-species-checked": "testedAndGuaranteed", "ICCIF-species-dilution-info": "1/250 - 1/500", "ICCIF-species-notes": "<p></p>", "FlowCytIntra-species-checked": "testedAndGuaranteed", "FlowCytIntra-species-dilution-info": "1/100 - 1/500", "FlowCytIntra-species-notes": "<p><a href='/en-us/products/primary-antibodies/rabbit-igg-monoclonal-epr25a-isotype-control-ab172730'>ab172730</a> - Rabbit monoclonal IgG, is suitable for use as an isotype control with this antibody.</p>" }, "Mouse": { "IHCP-species-checked": "predicted", "IHCP-species-dilution-info": "", "IHCP-species-notes": "", "IP-species-checked": "notRecommended", "IP-species-dilution-info": "", "IP-species-notes": "", "WB-species-checked": "guaranteed", "WB-species-dilution-info": "", "WB-species-notes": "<p></p>", "ICCIF-species-checked": "predicted", "ICCIF-species-dilution-info": "", "ICCIF-species-notes": "", "FlowCytIntra-species-checked": "predicted", "FlowCytIntra-species-dilution-info": "", "FlowCytIntra-species-notes": "" }, "Rat": { "IHCP-species-checked": "predicted", "IHCP-species-dilution-info": "", "IHCP-species-notes": "", "IP-species-checked": "notRecommended", "IP-species-dilution-info": "", "IP-species-notes": "", "WB-species-checked": "guaranteed", "WB-species-dilution-info": "", "WB-species-notes": "<p></p>", "ICCIF-species-checked": "predicted", "ICCIF-species-dilution-info": "", "ICCIF-species-notes": "", "FlowCytIntra-species-checked": "predicted", "FlowCytIntra-species-dilution-info": "", "FlowCytIntra-species-notes": "" } } }

Product details

Properties and storage information

Form
Liquid
Purity
Tissue culture supernatant
Storage buffer
pH: 7.2 - 7.4 Preservative: 0.01% Sodium azide Constituents: 50% Tissue culture supernatant, 40% Glycerol (glycerin, glycerine), 9% PBS, 0.05% BSA
Shipped at conditions
Blue Ice
Appropriate short-term storage conditions
+4°C
Appropriate long-term storage conditions
-20°C

Supplementary information

This supplementary information is collated from multiple sources and compiled automatically.

RPS15 also known as Ribosomal Protein S15 is a protein that plays an important role in ribosome function. It is a component of the small 40S ribosomal subunit involved in the assembly and stability of ribosomes. The molecular mass of RPS15 is approximately 17 kDa. The protein is expressed in various tissues throughout the body with higher expression levels in actively dividing cells. Its expression is detected in both the cytoplasmic and nuclear compartments indicating its involvement in ribosome biogenesis and protein synthesis.
Biological function summary

The function of RPS15 is important for proper protein synthesis since it is a part of the ribosomal protein complex. It interacts directly with ribosomal RNA and aids in decoding messenger RNA during translation. The protein contributes to maintaining the structure and function of the ribosomal unit. Moreover RPS15 associates with other ribosomal proteins to ensure efficient protein translation especially during cell growth and division.

Pathways

RPS15 participates in pathways associated with ribosome biogenesis and protein synthesis. It plays a role in the translation initiation pathway where it interacts with various evolutionarily conserved proteins to facilitate mRNA decoding. RPS15 also works in conjunction with other ribosomal proteins like RPS19 to co-regulate translational control. These interactions ensure the fidelity and efficiency of protein synthesis within cells.

Abnormalities in RPS15 expression or function have been linked to cancer development particularly in hematological malignancies such as chronic lymphocytic leukemia. Mutations in RPS15 can disrupt normal ribosome function leading to unchecked cell growth and division. Furthermore RPS15 is associated with other ribosomal proteins like RPS20 in the context of diseases emphasizing the interconnectivity between ribosomal components in pathogenesis.

Product protocols

For this product, it's our understanding that no specific protocols are required. You can visit:

Target data

Component of the small ribosomal subunit (PubMed : 23636399). The ribosome is a large ribonucleoprotein complex responsible for the synthesis of proteins in the cell (PubMed : 23636399).
See full target information RPS15

Publications (6)

Recent publications for all applications. Explore the full list and refine your search

Journal of pineal research 75:e12897 PubMed37391878

2023

Amelioration of gamma irradiation-induced salivary gland damage in mice using melatonin.

Applications

Unspecified application

Species

Unspecified reactive species

Jingming Ren,Tong Zhu,Zhouxuan Wang,Lu Lu,Saijun Fan

Signal transduction and targeted therapy 8:224 PubMed37264021

2023

RPS15 interacted with IGF2BP1 to promote esophageal squamous cell carcinoma development via recognizing mA modification.

Applications

Unspecified application

Species

Unspecified reactive species

Yahui Zhao,Yang Li,Rui Zhu,Riyue Feng,Heyang Cui,Xiao Yu,Furong Huang,Ruixiang Zhang,Xiankai Chen,Lei Li,Yinghui Chen,Yuhao Liu,Jinhua Wang,Guanhua Du,Zhihua Liu

Nucleic acids research 49:10911-10930 PubMed34581821

2021

Cockayne syndrome group A and ferrochelatase finely tune ribosomal gene transcription and its response to UV irradiation.

Applications

Unspecified application

Species

Unspecified reactive species

Manuela Lanzafame,Giulia Branca,Claudia Landi,Mingyue Qiang,Bruno Vaz,Tiziana Nardo,Debora Ferri,Manuela Mura,Sebastian Iben,Miria Stefanini,Fiorenzo A Peverali,Luca Bini,Donata Orioli

Progress in neurobiology 197:101903 PubMed32860876

2020

Uncovering memory-related gene expression in contextual fear conditioning using ribosome profiling.

Applications

Unspecified application

Species

Unspecified reactive species

Konstanze Simbriger,Inês S Amorim,Gilliard Lach,Kleanthi Chalkiadaki,Stella Kouloulia,Seyed Mehdi Jafarnejad,Arkady Khoutorsky,Christos G Gkogkas

PLoS pathogens 16:e1008458 PubMed32339205

2020

Hyd ubiquitinates the NF-κB co-factor Akirin to operate an effective immune response in Drosophila.

Applications

Unspecified application

Species

Unspecified reactive species

Alexandre Cammarata-Mouchtouris,Xuan-Hung Nguyen,Adrian Acker,François Bonnay,Akira Goto,Amir Orian,Marie-Odile Fauvarque,Michael Boutros,Jean-Marc Reichhart,Nicolas Matt

Journal of neuroscience methods 329:108456 PubMed31610213

2019

Monitoring translation in synaptic fractions using a ribosome profiling strategy.

Applications

Unspecified application

Species

Unspecified reactive species

Konstanze Simbriger,Inês S Amorim,Kleanthi Chalkiadaki,Gilliard Lach,Seyed Mehdi Jafarnejad,Arkady Khoutorsky,Christos G Gkogkas
View all publications

Product promise

We are committed to supporting your work with high-quality reagents, and we're here for you every step of the way. In the unlikely event that one of our products does not perform as expected, you're protected by our Product Promise.
For full details, please see our Terms & Conditions

Associated Products

Select an associated product type
Alternative Product
Primary Antibodies

AB168361

Anti-RPS15 antibody [EPR11105]

primary-antibodies

rps15-antibody-epr11105-ab168361

0

(0 reviews)

Please note: All products are 'FOR RESEARCH USE ONLY. NOT FOR USE IN DIAGNOSTIC OR THERAPEUTIC PROCEDURES'.

For licensing inquiries, please contact partnerships@abcam.com