JavaScript is disabled in your browser. Please enable JavaScript to view this website.
AB181365

Anti-RPS19 antibody [EPR10423]

5

(1 Review)

|

(3 Publications)

Rabbit Recombinant Monoclonal RPS19 antibody. Suitable for IP, WB, IHC-P and reacts with Human, Mouse, Rat samples. Cited in 3 publications.

View Alternative Names

Small ribosomal subunit protein eS19, 40S ribosomal protein S19, RPS19

4 Images
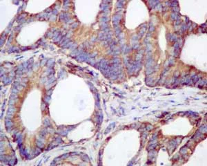
Immunohistochemistry (Formalin/PFA-fixed paraffin-embedded sections) - Anti-RPS19 antibody [EPR10423] (AB181365)
  • IHC-P

Supplier Data

Immunohistochemistry (Formalin/PFA-fixed paraffin-embedded sections) - Anti-RPS19 antibody [EPR10423] (AB181365)

Immunohistochemical analysis of paraffin-embedded Human colonic adenocarcinoma tissue labeling RPS19 with ab181365 at 1/100 dilution.

Perform heat mediated antigen retrieval with EDTA buffer pH 9 before commencing with IHC staining protocol.

Immunohistochemistry (Formalin/PFA-fixed paraffin-embedded sections) - Anti-RPS19 antibody [EPR10423] (AB181365)
  • IHC-P

Supplier Data

Immunohistochemistry (Formalin/PFA-fixed paraffin-embedded sections) - Anti-RPS19 antibody [EPR10423] (AB181365)

Immunohistochemical analysis of paraffin-embedded Human testis tissue labeling RPS19 with ab181365 at 1/100 dilution.

Perform heat mediated antigen retrieval with EDTA buffer pH 9 before commencing with IHC staining protocol.

Western blot - Anti-RPS19 antibody [EPR10423] (AB181365)
  • WB

Supplier Data

Western blot - Anti-RPS19 antibody [EPR10423] (AB181365)

All lanes:

Western blot - Anti-RPS19 antibody [EPR10423] (ab181365) at 1/1000 dilution

Lane 1:

K562 cell lysate at 10 µg

Lane 2:

293T cell lysate at 10 µg

Lane 3:

Caco-2 cell lysate at 10 µg

Lane 4:

HeLa cell lysate at 10 µg

Predicted band size: 16 kDa

false

Immunoprecipitation - Anti-RPS19 antibody [EPR10423] (AB181365)
  • IP

Unknown

Immunoprecipitation - Anti-RPS19 antibody [EPR10423] (AB181365)

Western blot analysis on immunoprecipitation pellet from Caco-2 cell lysate immunoprecipitated using ab181365 at 1/10 dilution.

All lanes:

Immunoprecipitation - Anti-RPS19 antibody [EPR10423] (ab181365)

Predicted band size: 16 kDa

false

Key facts

Host species

Rabbit

Clonality

Monoclonal

Clone number

EPR10423

Isotype

IgG

Carrier free

No

Reacts with

Human

Applications

WB, IHC-P, IP

applications

Immunogen

The exact immunogen used to generate this antibody is proprietary information.

Reactivity data

{ "title": "Reactivity Data", "filters": { "stats": ["", "Species", "Dilution Info", "Notes"], "tabs": { "all-applications": {"fullname" : "All Applications", "shortname": "All Applications"}, "IP" : {"fullname" : "Immunoprecipitation", "shortname":"IP"}, "FlowCyt" : {"fullname" : "Flow Cytometry", "shortname":"Flow Cyt"}, "WB" : {"fullname" : "Western blot", "shortname":"WB"}, "ICCIF" : {"fullname" : "Immunocytochemistry/ Immunofluorescence", "shortname":"ICC/IF"}, "IHCP" : {"fullname" : "Immunohistochemistry (Formalin/PFA-fixed paraffin-embedded sections)", "shortname":"IHC-P"} }, "product-promise": { "all": "all", "testedAndGuaranteed": "tested", "guaranteed": "expected", "predicted": "predicted", "notRecommended": "not-recommended" } }, "values": { "Human": { "IP-species-checked": "testedAndGuaranteed", "IP-species-dilution-info": "1/10 - 1/100", "IP-species-notes": "<p></p>", "FlowCyt-species-checked": "notRecommended", "FlowCyt-species-dilution-info": "", "FlowCyt-species-notes": "<p></p>", "WB-species-checked": "testedAndGuaranteed", "WB-species-dilution-info": "1/1000 - 1/10000", "WB-species-notes": "<p></p>", "ICCIF-species-checked": "notRecommended", "ICCIF-species-dilution-info": "", "ICCIF-species-notes": "<p></p>", "IHCP-species-checked": "testedAndGuaranteed", "IHCP-species-dilution-info": "1/100 - 1/250", "IHCP-species-notes": "<p></p>" }, "Mouse": { "IP-species-checked": "predicted", "IP-species-dilution-info": "", "IP-species-notes": "", "FlowCyt-species-checked": "notRecommended", "FlowCyt-species-dilution-info": "", "FlowCyt-species-notes": "", "WB-species-checked": "guaranteed", "WB-species-dilution-info": "", "WB-species-notes": "<p></p>", "ICCIF-species-checked": "notRecommended", "ICCIF-species-dilution-info": "", "ICCIF-species-notes": "", "IHCP-species-checked": "predicted", "IHCP-species-dilution-info": "", "IHCP-species-notes": "" }, "Rat": { "IP-species-checked": "predicted", "IP-species-dilution-info": "", "IP-species-notes": "", "FlowCyt-species-checked": "notRecommended", "FlowCyt-species-dilution-info": "", "FlowCyt-species-notes": "", "WB-species-checked": "guaranteed", "WB-species-dilution-info": "", "WB-species-notes": "<p></p>", "ICCIF-species-checked": "notRecommended", "ICCIF-species-dilution-info": "", "ICCIF-species-notes": "", "IHCP-species-checked": "predicted", "IHCP-species-dilution-info": "", "IHCP-species-notes": "" } } }

Product details

Patented technology
Our RabMAb® technology is a patented hybridoma-based technology for making rabbit monoclonal antibodies. For details on our patents, please refer to RabMAb® patents.

What are the advantages of a recombinant monoclonal antibody?
This product is a recombinant monoclonal antibody, which offers several advantages including:

  • - High batch-to-batch consistency and reproducibility
  • - Improved sensitivity and specificity
  • - Long-term security of supply
  • - Animal-free batch production

For more information, read more on recombinant antibodies.

Properties and storage information

Form
Liquid
Purity
Tissue culture supernatant
Storage buffer
pH: 7.2 - 7.4 Preservative: 0.01% Sodium azide Constituents: PBS, 50% Tissue culture supernatant, 40% Glycerol (glycerin, glycerine), 0.05% BSA
Shipped at conditions
Blue Ice
Appropriate short-term storage duration
1-2 weeks
Appropriate short-term storage conditions
+4°C
Appropriate long-term storage conditions
-20°C
Aliquoting information
Upon delivery aliquot
Storage information
Avoid freeze / thaw cycle

Supplementary information

This supplementary information is collated from multiple sources and compiled automatically.

RPS19 also known as Ribosomal Protein S19 is a component of the small 40S ribosomal subunit. It has a molecular weight of approximately 16 kDa. This protein is widely expressed in many tissues including the bone marrow and spleen which are important for hematopoiesis. RPS19 plays a mechanical role in ensuring the formation and function of ribosomes which are essential for protein synthesis. By participating in ribosome assembly it supports the translational machinery of cells.
Biological function summary

Ribosomal protein S19 holds a critical place in ribosome biogenesis. It is part of the ribosomal protein family and works together with other ribosomal proteins to create functional ribosomes necessary for cellular protein synthesis. As part of the 40S ribosomal subunit RPS19 facilitates the accurate translation of mRNA into proteins which is fundamental for cell growth and proliferation. The 40S subunit alongside the 60S subunit completes the formation of the functional ribosome.

Pathways

Ribosomal protein S19 contributes to the essential process of translation an important pathway within cell biology. It plays a part in the ribosome assembly pathway a pivotal process necessary for cell survival and function. RPS19 interacts closely with other ribosomal proteins such as RPS24 and RPS14 ensuring the proper assembly and functionality of the ribosomal subunits. These interactions are integral to maintaining cellular homeostasis and protein production.

Ribosomal protein S19 is associated with Diamond-Blackfan Anemia a rare genetic anemia caused by ribosomal protein mutations. This condition arises due to defective ribosome biogenesis leading to impaired erythropoiesis. Mutations in RPS19 reduce the ribosome's capacity to synthesize proteins specifically affecting red blood cell production. Additionally the protein is related to other ribosomal anomalies that connect to various bone marrow failure syndromes.

Product protocols

For this product, it's our understanding that no specific protocols are required. You can visit:

Target data

Component of the small ribosomal subunit (PubMed : 23636399). The ribosome is a large ribonucleoprotein complex responsible for the synthesis of proteins in the cell (PubMed : 23636399). Required for pre-rRNA processing and maturation of 40S ribosomal subunits (PubMed : 16990592). Part of the small subunit (SSU) processome, first precursor of the small eukaryotic ribosomal subunit. During the assembly of the SSU processome in the nucleolus, many ribosome biogenesis factors, an RNA chaperone and ribosomal proteins associate with the nascent pre-rRNA and work in concert to generate RNA folding, modifications, rearrangements and cleavage as well as targeted degradation of pre-ribosomal RNA by the RNA exosome (PubMed : 34516797).
See full target information 40S ribosomal protein S19

Publications (3)

Recent publications for all applications. Explore the full list and refine your search

Molecular psychiatry 30:3599-3614 PubMed40089604

2025

Shank3 modulates Rpl3 expression and protein synthesis via mGlu5: implications for Phelan McDermid syndrome.

Applications

Unspecified application

Species

Unspecified reactive species

Federica Giona,Stefania Beretta,Antonio Zippo,Alessia Stefanoni,Zaira Tomasoni,Cinzia Vicidomini,Luisa Ponzoni,Mariaelvina Sala,Carrie K Jones,P Jeffrey Conn,Tobias M Boeckers,Carlo Sala,Chiara Verpelli

NPJ Parkinson's disease 9:21 PubMed36750568

2023

Alterations in the LRRK2-Rab pathway in urinary extracellular vesicles as Parkinson's disease and pharmacodynamic biomarkers.

Applications

Unspecified application

Species

Unspecified reactive species

Jean-Marc Taymans,Eugénie Mutez,William Sibran,Laurine Vandewynckel,Claire Deldycke,Séverine Bleuse,Antoine Marchand,Alessia Sarchione,Coline Leghay,Alexandre Kreisler,Clémence Simonin,James Koprich,Guillaume Baille,Luc Defebvre,Kathy Dujardin,Alain Destée,Marie-Christine Chartier-Harlin

International journal of molecular sciences 22: PubMed34068008

2021

Atovaquone Suppresses Triple-Negative Breast Tumor Growth by Reducing Immune-Suppressive Cells.

Applications

Unspecified application

Species

Unspecified reactive species

Nehal Gupta,Shreyas Gaikwad,Itishree Kaushik,Stephen E Wright,Maciej M Markiewski,Sanjay K Srivastava
View all publications

Product promise

We are committed to supporting your work with high-quality reagents, and we're here for you every step of the way. In the unlikely event that one of our products does not perform as expected, you're protected by our Product Promise.
For full details, please see our Terms & Conditions

Please note: All products are 'FOR RESEARCH USE ONLY. NOT FOR USE IN DIAGNOSTIC OR THERAPEUTIC PROCEDURES'.

For licensing inquiries, please contact partnerships@abcam.com