JavaScript is disabled in your browser. Please enable JavaScript to view this website.
AB249215

Anti-RPS2 antibody [EPR10834(B)] - BSA and Azide free

Be the first to review this product! Submit a review

|

(1 Publication)

Rabbit Recombinant Monoclonal RPS2 antibody. Carrier free. Suitable for IHC-P, ICC/IF, WB and reacts with Human, Mouse, Rat samples. Cited in 1 publication.

View Alternative Names

RPS4, RPS2, Small ribosomal subunit protein uS5, 40S ribosomal protein S2, 40S ribosomal protein S4, Protein LLRep3

5 Images
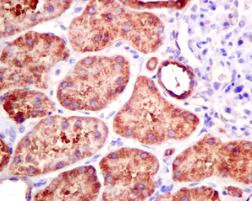
Immunohistochemistry (Formalin/PFA-fixed paraffin-embedded sections) - Anti-RPS2 antibody [EPR10834(B)] - BSA and Azide free (AB249215)
  • IHC-P

Unknown

Immunohistochemistry (Formalin/PFA-fixed paraffin-embedded sections) - Anti-RPS2 antibody [EPR10834(B)] - BSA and Azide free (AB249215)

This data was developed using ab155961, the same antibody clone in a different buffer formulation.

Immunohistochemical analysis of paraffin embedded Human pancreas tissue labeling RPS2 with ab155961 at a 1/50 dilution.

Perform heat mediated antigen retrieval with citrate buffer pH 6 before commencing with IHC staining protocol.

Western blot - Anti-RPS2 antibody [EPR10834(B)] - BSA and Azide free (AB249215)
  • WB

Unknown

Western blot - Anti-RPS2 antibody [EPR10834(B)] - BSA and Azide free (AB249215)

This data was developed using ab155961, the same antibody clone in a different buffer formulation.

All lanes:

Western blot - Anti-RPS2 antibody [EPR10834(B)] (<a href='/en-us/products/primary-antibodies/rps2-antibody-epr10834b-ab155961'>ab155961</a>) at 1/1000 dilution

Lane 1:

HeLa cell lysate at 10 µg

Lane 2:

A549 cell lysate at 10 µg

Lane 3:

293T (Human embryonic kidney epithelial cell) cell lysate at 10 µg

Secondary

All lanes:

HRP labelled goat anti-rabbit at 1/2000 dilution

Predicted band size: 31 kDa

false

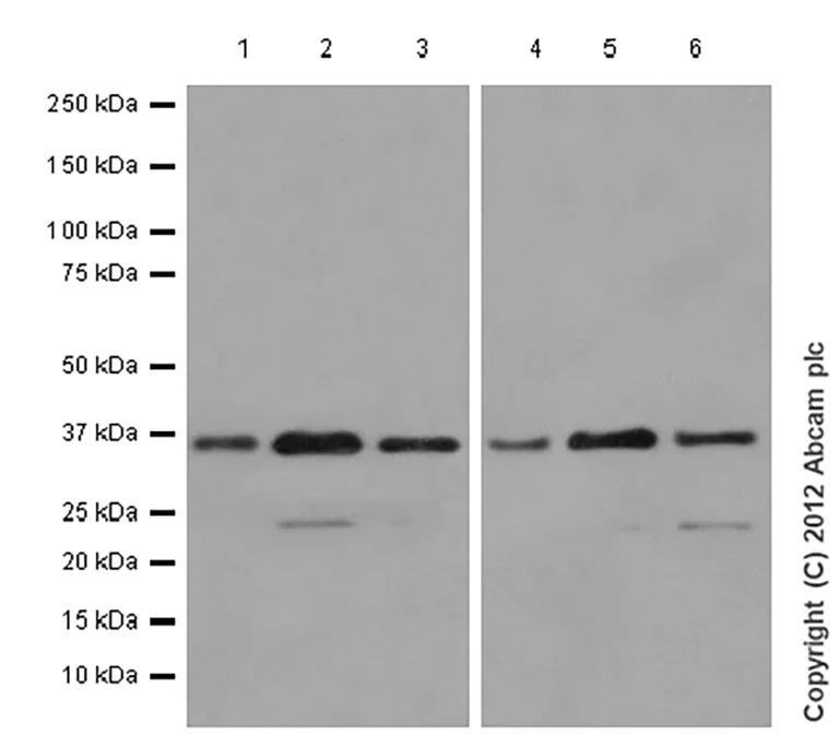
Western blot - Anti-RPS2 antibody [EPR10834(B)] - BSA and Azide free (AB249215)
  • WB

Lab

Western blot - Anti-RPS2 antibody [EPR10834(B)] - BSA and Azide free (AB249215)

This data was developed using ab155961, the same antibody clone in a different buffer formulation.

Blocking and diluting buffer and concentration : 5% NFDM/TBST.

All lanes:

Western blot - Anti-RPS2 antibody [EPR10834(B)] (<a href='/en-us/products/primary-antibodies/rps2-antibody-epr10834b-ab155961'>ab155961</a>) at 1/5000 dilution

Lane 1:

Mouse brain tissue lysate at 20 µg

Lane 2:

Mouse heart tissue lysate at 20 µg

Lane 3:

Mouse kidney tissue lysate at 20 µg

Lane 4:

Rat brain tissue lysate at 20 µg

Lane 5:

Rat heart tissue lysate at 20 µg

Lane 6:

Rat kidney tissue lysate at 20 µg

Secondary

All lanes:

Western blot - Goat Anti-Rabbit IgG H&L (HRP) (<a href='/en-us/products/secondary-antibodies/goat-rabbit-igg-h-l-hrp-ab97051'>ab97051</a>) at 1/20000 dilution

Observed band size: 35 kDa

false

Exposure time: 15s

Immunocytochemistry/ Immunofluorescence - Anti-RPS2 antibody [EPR10834(B)] - BSA and Azide free (AB249215)
  • ICC/IF

Unknown

Immunocytochemistry/ Immunofluorescence - Anti-RPS2 antibody [EPR10834(B)] - BSA and Azide free (AB249215)

This data was developed using ab155961, the same antibody clone in a different buffer formulation.Immunofluorescence analysis of HeLa cells labeling RPS2 with ab155961 at a 1/100 dilution.

Immunohistochemistry (Formalin/PFA-fixed paraffin-embedded sections) - Anti-RPS2 antibody [EPR10834(B)] - BSA and Azide free (AB249215)
  • IHC-P

Unknown

Immunohistochemistry (Formalin/PFA-fixed paraffin-embedded sections) - Anti-RPS2 antibody [EPR10834(B)] - BSA and Azide free (AB249215)

This data was developed using ab155961, the same antibody clone in a different buffer formulation.

Immunohistochemical analysis of paraffin embedded Human kidney tissue labeling RPS2 with ab155961 at a 1/1000 dilution.

Perform heat mediated antigen retrieval with citrate buffer pH 6 before commencing with IHC staining protocol.

Key facts

Host species

Rabbit

Clonality

Monoclonal

Clone number

EPR10834(B)

Isotype

IgG

Carrier free

Yes

Reacts with

Mouse, Rat, Human

Applications

ICC/IF, IHC-P, WB

applications

Immunogen

The exact immunogen used to generate this antibody is proprietary information.

Reactivity data

{ "title": "Reactivity Data", "filters": { "stats": ["", "Species", "Dilution Info", "Notes"], "tabs": { "all-applications": {"fullname" : "All Applications", "shortname": "All Applications"}, "IHCP" : {"fullname" : "Immunohistochemistry (Formalin/PFA-fixed paraffin-embedded sections)", "shortname":"IHC-P"}, "ICCIF" : {"fullname" : "Immunocytochemistry/ Immunofluorescence", "shortname":"ICC/IF"}, "IP" : {"fullname" : "Immunoprecipitation", "shortname":"IP"}, "FlowCyt" : {"fullname" : "Flow Cytometry", "shortname":"Flow Cyt"}, "WB" : {"fullname" : "Western blot", "shortname":"WB"} }, "product-promise": { "all": "all", "testedAndGuaranteed": "tested", "guaranteed": "expected", "predicted": "predicted", "notRecommended": "not-recommended" } }, "values": { "Human": { "IHCP-species-checked": "testedAndGuaranteed", "IHCP-species-dilution-info": "", "IHCP-species-notes": "<p>Use of a HRP/AP polymerized secondary antibody is recommended.</p> Perform heat-mediated antigen retrieval with citrate buffer pH 6 before commencing with IHC staining protocol.", "ICCIF-species-checked": "testedAndGuaranteed", "ICCIF-species-dilution-info": "", "ICCIF-species-notes": "<p></p>", "IP-species-checked": "notRecommended", "IP-species-dilution-info": "", "IP-species-notes": "<p></p>", "FlowCyt-species-checked": "notRecommended", "FlowCyt-species-dilution-info": "", "FlowCyt-species-notes": "<p></p>", "WB-species-checked": "testedAndGuaranteed", "WB-species-dilution-info": "", "WB-species-notes": "<p></p>" }, "Mouse": { "IHCP-species-checked": "guaranteed", "IHCP-species-dilution-info": "", "IHCP-species-notes": "", "ICCIF-species-checked": "guaranteed", "ICCIF-species-dilution-info": "", "ICCIF-species-notes": "", "IP-species-checked": "notRecommended", "IP-species-dilution-info": "", "IP-species-notes": "", "FlowCyt-species-checked": "notRecommended", "FlowCyt-species-dilution-info": "", "FlowCyt-species-notes": "", "WB-species-checked": "testedAndGuaranteed", "WB-species-dilution-info": "", "WB-species-notes": "<p></p>" }, "Rat": { "IHCP-species-checked": "guaranteed", "IHCP-species-dilution-info": "", "IHCP-species-notes": "", "ICCIF-species-checked": "guaranteed", "ICCIF-species-dilution-info": "", "ICCIF-species-notes": "", "IP-species-checked": "notRecommended", "IP-species-dilution-info": "", "IP-species-notes": "", "FlowCyt-species-checked": "notRecommended", "FlowCyt-species-dilution-info": "", "FlowCyt-species-notes": "", "WB-species-checked": "testedAndGuaranteed", "WB-species-dilution-info": "", "WB-species-notes": "<p></p>" } } }

Product details

ab249215 is the carrier-free version of ab155961.

Patented technology
Our RabMAb® technology is a patented hybridoma-based technology for making rabbit monoclonal antibodies. For details on our patents, please refer to RabMAb® patents.

What are the advantages of a recombinant monoclonal antibody?
This product is a recombinant monoclonal antibody, which offers several advantages including:

  • - High batch-to-batch consistency and reproducibility
  • - Improved sensitivity and specificity
  • - Long-term security of supply
  • - Animal-free batch production

For more information, read more on recombinant antibodies.

Conjugation ready
Our carrier-free antibodies are typically supplied in a PBS-only formulation, purified and free of BSA, sodium azide and glycerol. This conjugation-ready format is designed for use with fluorochromes, metal isotopes, oligonucleotides, and enzymes, which makes them ideal for antibody labelling, functional and cell-based assays, flow-based assays (e.g. mass cytometry) and Multiplex Imaging applications.

Use our conjugation kits for antibody conjugates that are ready-to-use in as little as 20 minutes with 1 minute hands-on-time and 100% antibody recovery: available for fluorescent dyes, HRP, biotin and gold.

Compatibility
This product is compatible with the Maxpar® Antibody Labeling Kit from Fluidigm, without the need for antibody preparation. Maxpar® is a trademark of Fluidigm Canada Inc.

Properties and storage information

Form
Liquid
Purification technique
Affinity purification Protein A
Storage buffer
pH: 7.2 - 7.4 Constituents: PBS
Shipped at conditions
Blue Ice
Appropriate short-term storage conditions
+4°C
Appropriate long-term storage conditions
+4°C
Storage information
Do Not Freeze

Supplementary information

This supplementary information is collated from multiple sources and compiled automatically.

RPS2 also known as Ribosomal Protein S2 is a component of the 40S subunit of the ribosome. This protein plays a mechanical role in ribosome assembly and protein synthesis. RPS2 has a molecular mass of approximately 29 kDa. Researchers have observed its expression in various tissues indicating its involvement in general cellular processes. It facilitates the initiation of translation by binding to ribosomal RNA and other ribosomal proteins to form a functional ribosome.
Biological function summary

Ribosomal Protein S2 contributes significantly to ribosome function and protein translation. As part of the ribosome RPS2 aids in the decoding of messenger RNA (mRNA) into proteins which occurs in all cellular environments. This protein works in conjunction with other ribosomal proteins and rRNA to ensure accuracy and efficiency in protein synthesis. It forms an integral part of the ribosomal machinery that also includes many other proteins and RNA molecules congregating to form the translation initiation complex.

Pathways

Several biological systems depend on the role that Ribosomal Protein S2 plays in protein synthesis. The mTOR signaling pathway is particularly important as RPS2 and other ribosomal proteins function under the regulation of mTOR to control protein translation rates. Additionally RPS2 connects with proteins like eIF2 to influence translation initiation. Together they regulate critical processes such as cell growth and proliferation linking ribosomal function with cellular metabolic status.

Impaired Ribosomal Protein S2 function can lead to conditions such as Diamond-Blackfan anemia which results from defects in ribosome biogenesis. Mutations or disruptions in related proteins like RPS19 are often studied alongside RPS2 for their roles in hereditary and acquired anemias. Furthermore aberrant RPS2 expression can contribute to tumorigenesis implicating it in cancer studies where proteins like p53 may interact or affect its function revealing the broader implications of ribosomal proteins in human health and diseases.

Product protocols

For this product, it's our understanding that no specific protocols are required. You can visit:

Target data

Component of the ribosome, a large ribonucleoprotein complex responsible for the synthesis of proteins in the cell (PubMed : 23636399). The small ribosomal subunit (SSU) binds messenger RNAs (mRNAs) and translates the encoded message by selecting cognate aminoacyl-transfer RNA (tRNA) molecules (PubMed : 23636399). The large subunit (LSU) contains the ribosomal catalytic site termed the peptidyl transferase center (PTC), which catalyzes the formation of peptide bonds, thereby polymerizing the amino acids delivered by tRNAs into a polypeptide chain (PubMed : 23636399). The nascent polypeptides leave the ribosome through a tunnel in the LSU and interact with protein factors that function in enzymatic processing, targeting, and the membrane insertion of nascent chains at the exit of the ribosomal tunnel (PubMed : 23636399). Plays a role in the assembly and function of the 40S ribosomal subunit (By similarity). Mutations in this protein affects the control of translational fidelity (By similarity). Involved in nucleolar processing of pre-18S ribosomal RNA and ribosome assembly (By similarity).
See full target information RPS2

Publications (1)

Recent publications for all applications. Explore the full list and refine your search

International journal of clinical and experimental 13:2973-2983 PubMed33425098

2020

Adsorption of miR-218 by lncRNA HOTAIR regulates PDE7A and affects glioma cell proliferation, invasion, and apoptosis.

Applications

Unspecified application

Species

Unspecified reactive species

Yigong Wei,Kun Zhou,Cheng Wang,Xiaolin Du,Qing Xiao,Changyi Chen
View all publications

Product promise

We are committed to supporting your work with high-quality reagents, and we're here for you every step of the way. In the unlikely event that one of our products does not perform as expected, you're protected by our Product Promise.
For full details, please see our Terms & Conditions

Please note: All products are 'FOR RESEARCH USE ONLY. NOT FOR USE IN DIAGNOSTIC OR THERAPEUTIC PROCEDURES'.

For licensing inquiries, please contact partnerships@abcam.com