JavaScript is disabled in your browser. Please enable JavaScript to view this website.
AB248249

Anti-RPS3 antibody [EPR7808] - BSA and Azide free

Be the first to review this product! Submit a review

|

(1 Publication)

Rabbit Recombinant Monoclonal RPS3 antibody. Carrier free. Suitable for IHC-P, ICC/IF, WB and reacts with Human, Mouse, Rat samples. Cited in 1 publication.

View Alternative Names

OK/SW-cl.26, RPS3, Small ribosomal subunit protein uS3, 40S ribosomal protein S3

4 Images
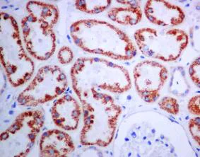
Immunohistochemistry (Formalin/PFA-fixed paraffin-embedded sections) - Anti-RPS3 antibody [EPR7808] - BSA and Azide free (AB248249)
  • IHC-P

Unknown

Immunohistochemistry (Formalin/PFA-fixed paraffin-embedded sections) - Anti-RPS3 antibody [EPR7808] - BSA and Azide free (AB248249)

This data was developed using ab128995, the same antibody clone in a different buffer formulation.

ab128995, at a 1/50 dilution, staining RPS3 in Human kidney, using Immunohistochemistry, Formalin/PFA-fixed paraffin-embedded tissue.

Perform heat mediated antigen retrieval before commencing with IHC staining protocol.

Immunocytochemistry/ Immunofluorescence - Anti-RPS3 antibody [EPR7808] - BSA and Azide free (AB248249)
  • ICC/IF

Lab

Immunocytochemistry/ Immunofluorescence - Anti-RPS3 antibody [EPR7808] - BSA and Azide free (AB248249)

This data was developed using ab128995, the same antibody clone in a different buffer formulation.

Immunocytochemistry/ Immunofluorescence analysis of Neuro-2a (mouse neuroblastoma neuroblast) labeling RPS3 with ab128995 at 1/100 dilution. ab150077, Goat anti rabbit IgG (Alexa Fluor® 488) at 1/1000 was used as the secondary antibody. Cells were fixed with 100% Methanol. ab195889, Anti-alpha Tubulin antibody [DM1A] - Microtubule Marker (Alexa Fluor® 594) at 1/00 was used as counterstain. Nuclei were stained blue with DAPI.

Western blot - Anti-RPS3 antibody [EPR7808] - BSA and Azide free (AB248249)
  • WB

Unknown

Western blot - Anti-RPS3 antibody [EPR7808] - BSA and Azide free (AB248249)

This data was developed using ab128995, the same antibody clone in a different buffer formulation.

All lanes:

Western blot - Anti-RPS3 antibody [EPR7808] - Ribosome Marker (<a href='/en-us/products/primary-antibodies/rps3-antibody-epr7808-ribosome-marker-ab128995'>ab128995</a>) at 1/1000 dilution

Lane 1:

HepG2 cell lysate at 10 µg

Lane 2:

PC-12 cell lysate at 10 µg

Lane 3:

Neuro-2a cell lysate at 10 µg

Secondary

All lanes:

HRP labelled goat anti-rabbit at 1/2000 dilution

Predicted band size: 27 kDa

false

OI-RD Scanning - Anti-RPS3 antibody [EPR7808] - BSA and Azide free (AB248249)
  • OI-RD Scanning

Unknown

OI-RD Scanning - Anti-RPS3 antibody [EPR7808] - BSA and Azide free (AB248249)

We have systematically measured KD (the equilibrium dissociation constant between the antibody and its antigen), of more than 840 recombinant antibodies to assess not only their individual KD values but also to see the average affinity of antibody. Based on the comparison with published literature values for mouse monoclonal antibodies, Recombinant antibodies appear to be on average 1-2 order of magnitude higher affinity.

  • Unconjugated

    Anti-RPS3 antibody [EPR7808] - Ribosome Marker

  • 660 APC

    APC Anti-RPS3 antibody [EPR7808] – Ribosome Marker

  • 519 Alexa Fluor® 488

    Alexa Fluor® 488 Anti-RPS3 antibody [EPR7808] – Ribosome Marker

  • 578 PE

    PE Anti-RPS3 antibody [EPR7808] – Ribosome Marker

  • 617 Alexa Fluor® 594

    Alexa Fluor® 594 Anti-RPS3 antibody [EPR7808] – Ribosome Marker

  • 665 Alexa Fluor® 647

    Alexa Fluor® 647 Anti-RPS3 antibody [EPR7808] – Ribosome Marker

  • 565 Alexa Fluor® 555

    Alexa Fluor® 555 Anti-RPS3 antibody [EPR7808] – Ribosome Marker

  • 775 Alexa Fluor® 750

    Alexa Fluor® 750 Anti-RPS3 antibody [EPR7808] - Ribosome Marker

Key facts

Host species

Rabbit

Clonality

Monoclonal

Clone number

EPR7808

Isotype

IgG

Carrier free

Yes

Reacts with

Rat, Human, Mouse

Applications

ICC/IF, WB, IHC-P

applications

Immunogen

The exact immunogen used to generate this antibody is proprietary information.

Reactivity data

{ "title": "Reactivity Data", "filters": { "stats": ["", "Species", "Dilution Info", "Notes"], "tabs": { "all-applications": {"fullname" : "All Applications", "shortname": "All Applications"}, "IHCP" : {"fullname" : "Immunohistochemistry (Formalin/PFA-fixed paraffin-embedded sections)", "shortname":"IHC-P"}, "ICCIF" : {"fullname" : "Immunocytochemistry/ Immunofluorescence", "shortname":"ICC/IF"}, "IP" : {"fullname" : "Immunoprecipitation", "shortname":"IP"}, "FlowCyt" : {"fullname" : "Flow Cytometry", "shortname":"Flow Cyt"}, "WB" : {"fullname" : "Western blot", "shortname":"WB"} }, "product-promise": { "all": "all", "testedAndGuaranteed": "tested", "guaranteed": "expected", "predicted": "predicted", "notRecommended": "not-recommended" } }, "values": { "Human": { "IHCP-species-checked": "testedAndGuaranteed", "IHCP-species-dilution-info": "", "IHCP-species-notes": "<p></p>", "ICCIF-species-checked": "guaranteed", "ICCIF-species-dilution-info": "", "ICCIF-species-notes": "<p></p>", "IP-species-checked": "notRecommended", "IP-species-dilution-info": "", "IP-species-notes": "<p></p>", "FlowCyt-species-checked": "notRecommended", "FlowCyt-species-dilution-info": "", "FlowCyt-species-notes": "<p></p>", "WB-species-checked": "testedAndGuaranteed", "WB-species-dilution-info": "", "WB-species-notes": "<p></p>" }, "Mouse": { "IHCP-species-checked": "guaranteed", "IHCP-species-dilution-info": "", "IHCP-species-notes": "<p></p>", "ICCIF-species-checked": "testedAndGuaranteed", "ICCIF-species-dilution-info": "", "ICCIF-species-notes": "<p></p>", "IP-species-checked": "notRecommended", "IP-species-dilution-info": "", "IP-species-notes": "<p></p>", "FlowCyt-species-checked": "notRecommended", "FlowCyt-species-dilution-info": "", "FlowCyt-species-notes": "<p></p>", "WB-species-checked": "guaranteed", "WB-species-dilution-info": "", "WB-species-notes": "<p></p>" }, "Rat": { "IHCP-species-checked": "guaranteed", "IHCP-species-dilution-info": "", "IHCP-species-notes": "<p></p>", "ICCIF-species-checked": "guaranteed", "ICCIF-species-dilution-info": "", "ICCIF-species-notes": "<p></p>", "IP-species-checked": "notRecommended", "IP-species-dilution-info": "", "IP-species-notes": "<p></p>", "FlowCyt-species-checked": "notRecommended", "FlowCyt-species-dilution-info": "", "FlowCyt-species-notes": "<p></p>", "WB-species-checked": "guaranteed", "WB-species-dilution-info": "", "WB-species-notes": "<p></p>" } } }

Product details

ab248249 is the carrier-free version of ab128995.

Patented technology
Our RabMAb® technology is a patented hybridoma-based technology for making rabbit monoclonal antibodies. For details on our patents, please refer to RabMAb® patents.

What are the advantages of a recombinant monoclonal antibody?
This product is a recombinant monoclonal antibody, which offers several advantages including:

  • - High batch-to-batch consistency and reproducibility
  • - Improved sensitivity and specificity
  • - Long-term security of supply
  • - Animal-free batch production

For more information, read more on recombinant antibodies.

Conjugation ready
Our carrier-free antibodies are typically supplied in a PBS-only formulation, purified and free of BSA, sodium azide and glycerol. This conjugation-ready format is designed for use with fluorochromes, metal isotopes, oligonucleotides, and enzymes, which makes them ideal for antibody labelling, functional and cell-based assays, flow-based assays (e.g. mass cytometry) and Multiplex Imaging applications.

Use our conjugation kits for antibody conjugates that are ready-to-use in as little as 20 minutes with 1 minute hands-on-time and 100% antibody recovery: available for fluorescent dyes, HRP, biotin and gold.

Compatibility
This product is compatible with the Maxpar® Antibody Labeling Kit from Fluidigm, without the need for antibody preparation. Maxpar® is a trademark of Fluidigm Canada Inc.

Properties and storage information

Form
Liquid
Purification technique
Affinity purification Protein A
Storage buffer
pH: 7.2 - 7.4 Constituents: PBS
Shipped at conditions
Blue Ice
Appropriate short-term storage conditions
+4°C
Appropriate long-term storage conditions
+4°C
Storage information
Do Not Freeze

Supplementary information

This supplementary information is collated from multiple sources and compiled automatically.

RPS3 also known as Ribosomal Protein S3 is an important component of the 40S ribosomal subunit. It has a molecular mass of approximately 26 kDa. Functionally RPS3 plays a role in the translation process as part of the ribosome machinery assisting in the assembly of proteins by decoding messenger RNA. Expression of RPS3 is ubiquitous across various tissues suggesting a fundamental role for the protein in cellular functions.
Biological function summary

Protein synthesis relies heavily on components like RPS3 within the ribosomal complex where it interacts with other ribosomal proteins and rRNA to ensure accurate translation. RPS3 also exhibits DNA repair activities independently of its ribosomal function. It binds to DNA damaged sites adding a layer of protection to help maintain genomic stability by facilitating repair processes.

Pathways

RPS3 participates actively in the mRNA translation and DNA repair pathways. Inside the ribosome biogenesis pathway RPS3 interacts closely with other ribosomal proteins like RPS19 and RPS20 to form functional ribosomal units. In the context of DNA repair it aligns with interaction networks that overlap with the NHEJ (Non-Homologous End Joining) pathway thereby influencing genomic maintenance alongside proteins such as XRCC5.

The dysfunction of RPS3 associates with neurodegenerative diseases and certain types of cancer. Aberrant levels or mutations can disrupt protein synthesis and DNA repair mechanisms potentially leading to tumorigenesis. In the context of cancer RPS3 shows interactions with oncogenes such as MYC linking it to pathway disturbances that can facilitate tumor progression. Similarly its misregulation is noticed in neurodegenerative contexts where protein synthesis and repair imbalances contribute to disease pathology.

Product protocols

For this product, it's our understanding that no specific protocols are required. You can visit:

Target data

Component of the small ribosomal subunit (PubMed : 23636399, PubMed : 8706699). The ribosome is a large ribonucleoprotein complex responsible for the synthesis of proteins in the cell (PubMed : 23636399, PubMed : 8706699). Has endonuclease activity and plays a role in repair of damaged DNA (PubMed : 7775413). Cleaves phosphodiester bonds of DNAs containing altered bases with broad specificity and cleaves supercoiled DNA more efficiently than relaxed DNA (PubMed : 15707971). Displays high binding affinity for 7,8-dihydro-8-oxoguanine (8-oxoG), a common DNA lesion caused by reactive oxygen species (ROS) (PubMed : 14706345). Has also been shown to bind with similar affinity to intact and damaged DNA (PubMed : 18610840). Stimulates the N-glycosylase activity of the base excision protein OGG1 (PubMed : 15518571). Enhances the uracil excision activity of UNG1 (PubMed : 18973764). Also stimulates the cleavage of the phosphodiester backbone by APEX1 (PubMed : 18973764). When located in the mitochondrion, reduces cellular ROS levels and mitochondrial DNA damage (PubMed : 23911537). Has also been shown to negatively regulate DNA repair in cells exposed to hydrogen peroxide (PubMed : 17049931). Plays a role in regulating transcription as part of the NF-kappa-B p65-p50 complex where it binds to the RELA/p65 subunit, enhances binding of the complex to DNA and promotes transcription of target genes (PubMed : 18045535). Represses its own translation by binding to its cognate mRNA (PubMed : 20217897). Binds to and protects TP53/p53 from MDM2-mediated ubiquitination (PubMed : 19656744). Involved in spindle formation and chromosome movement during mitosis by regulating microtubule polymerization (PubMed : 23131551). Involved in induction of apoptosis through its role in activation of CASP8 (PubMed : 14988002). Induces neuronal apoptosis by interacting with the E2F1 transcription factor and acting synergistically with it to up-regulate pro-apoptotic proteins BCL2L11/BIM and HRK/Dp5 (PubMed : 20605787). Interacts with TRADD following exposure to UV radiation and induces apoptosis by caspase-dependent JNK activation (PubMed : 22510408).
See full target information RPS3

Publications (1)

Recent publications for all applications. Explore the full list and refine your search

Journal of the American Heart Association 12:e028287 PubMed38014657

2023

Single-Cell Atlas of Neonatal Mouse Hearts Reveals an Unexpected Cardiomyocyte.

Applications

Unspecified application

Species

Unspecified reactive species

Junwei Shen,Linlin Ma,Jing Hu,Yanfei Li
View all publications

Product promise

We are committed to supporting your work with high-quality reagents, and we're here for you every step of the way. In the unlikely event that one of our products does not perform as expected, you're protected by our Product Promise.
For full details, please see our Terms & Conditions

Please note: All products are 'FOR RESEARCH USE ONLY. NOT FOR USE IN DIAGNOSTIC OR THERAPEUTIC PROCEDURES'.

For licensing inquiries, please contact partnerships@abcam.com