JavaScript is disabled in your browser. Please enable JavaScript to view this website.
AB171742

Anti-RPS3A antibody [EPR11982(B)]

Be the first to review this product! Submit a review

|

(5 Publications)

Rabbit Recombinant Monoclonal RPS3A antibody. Suitable for IHC-P, WB and reacts with Human samples. Cited in 5 publications.

View Alternative Names

FTE1, MFTL, RPS3A, Small ribosomal subunit protein eS1, 40S ribosomal protein S3a, v-fos transformation effector protein, Fte-1

3 Images
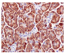
Immunohistochemistry (Formalin/PFA-fixed paraffin-embedded sections) - Anti-RPS3A antibody [EPR11982(B)] (AB171742)
  • IHC-P

Supplier Data

Immunohistochemistry (Formalin/PFA-fixed paraffin-embedded sections) - Anti-RPS3A antibody [EPR11982(B)] (AB171742)

Immunohistochemistry of paraffin-embedded Human pancreas tissue labeling RPS3A using ab171742 at 1/250 dilution.

Perform heat mediated antigen retrieval with citrate buffer pH 6 before commencing with IHC staining protocol.

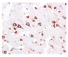
Immunohistochemistry (Formalin/PFA-fixed paraffin-embedded sections) - Anti-RPS3A antibody [EPR11982(B)] (AB171742)
  • IHC-P

Supplier Data

Immunohistochemistry (Formalin/PFA-fixed paraffin-embedded sections) - Anti-RPS3A antibody [EPR11982(B)] (AB171742)

Immunohistochemistry of paraffin-embedded Human brain tissue labeling RPS3A using ab171742 at 1/250 dilution.

Perform heat mediated antigen retrieval with citrate buffer pH 6 before commencing with IHC staining protocol.

Western blot - Anti-RPS3A antibody [EPR11982(B)] (AB171742)
  • WB

Supplier Data

Western blot - Anti-RPS3A antibody [EPR11982(B)] (AB171742)

All lanes:

Western blot - Anti-RPS3A antibody [EPR11982(B)] (ab171742) at 1/10000 dilution

Lane 1:

HeLa cell lysate at 10 µg

Lane 2:

293T cell lysate at 10 µg

Lane 3:

HepG2 cell lysate at 10 µg

Lane 4:

A431 cell lysate at 10 µg

Predicted band size: 30 kDa

false

Key facts

Host species

Rabbit

Clonality

Monoclonal

Clone number

EPR11982(B)

Isotype

IgG

Carrier free

No

Reacts with

Human

Applications

IHC-P, WB

applications

Immunogen

The exact immunogen used to generate this antibody is proprietary information.

Reactivity data

{ "title": "Reactivity Data", "filters": { "stats": ["", "Species", "Dilution Info", "Notes"], "tabs": { "all-applications": {"fullname" : "All Applications", "shortname": "All Applications"}, "IHCP" : {"fullname" : "Immunohistochemistry (Formalin/PFA-fixed paraffin-embedded sections)", "shortname":"IHC-P"}, "IP" : {"fullname" : "Immunoprecipitation", "shortname":"IP"}, "FlowCyt" : {"fullname" : "Flow Cytometry", "shortname":"Flow Cyt"}, "WB" : {"fullname" : "Western blot", "shortname":"WB"} }, "product-promise": { "all": "all", "testedAndGuaranteed": "tested", "guaranteed": "expected", "predicted": "predicted", "notRecommended": "not-recommended" } }, "values": { "Human": { "IHCP-species-checked": "testedAndGuaranteed", "IHCP-species-dilution-info": "1/250 - 1/500", "IHCP-species-notes": "<p></p>", "IP-species-checked": "notRecommended", "IP-species-dilution-info": "", "IP-species-notes": "<p></p>", "FlowCyt-species-checked": "notRecommended", "FlowCyt-species-dilution-info": "", "FlowCyt-species-notes": "<p></p>", "WB-species-checked": "testedAndGuaranteed", "WB-species-dilution-info": "1/10000 - 1/50000", "WB-species-notes": "<p></p>" }, "Mouse": { "IHCP-species-checked": "predicted", "IHCP-species-dilution-info": "", "IHCP-species-notes": "", "IP-species-checked": "notRecommended", "IP-species-dilution-info": "", "IP-species-notes": "", "FlowCyt-species-checked": "notRecommended", "FlowCyt-species-dilution-info": "", "FlowCyt-species-notes": "", "WB-species-checked": "predicted", "WB-species-dilution-info": "", "WB-species-notes": "" }, "Rat": { "IHCP-species-checked": "predicted", "IHCP-species-dilution-info": "", "IHCP-species-notes": "", "IP-species-checked": "notRecommended", "IP-species-dilution-info": "", "IP-species-notes": "", "FlowCyt-species-checked": "notRecommended", "FlowCyt-species-dilution-info": "", "FlowCyt-species-notes": "", "WB-species-checked": "predicted", "WB-species-dilution-info": "", "WB-species-notes": "" } } }

Product details

Patented technology
Our RabMAb® technology is a patented hybridoma-based technology for making rabbit monoclonal antibodies. For details on our patents, please refer to RabMAb® patents.

What are the advantages of a recombinant monoclonal antibody?
This product is a recombinant monoclonal antibody, which offers several advantages including:

  • - High batch-to-batch consistency and reproducibility
  • - Improved sensitivity and specificity
  • - Long-term security of supply
  • - Animal-free batch production

For more information, read more on recombinant antibodies.

Properties and storage information

Form
Liquid
Purification technique
Affinity purification Protein A
Storage buffer
pH: 7.2 - 7.4 Preservative: 0.01% Sodium azide Constituents: PBS, 50% Tissue culture supernatant, 40% Glycerol (glycerin, glycerine), 0.05% BSA
Shipped at conditions
Blue Ice
Appropriate short-term storage duration
1-2 weeks
Appropriate short-term storage conditions
+4°C
Appropriate long-term storage conditions
-20°C
Aliquoting information
Upon delivery aliquot
Storage information
Avoid freeze / thaw cycle

Supplementary information

This supplementary information is collated from multiple sources and compiled automatically.

RPS3A also known as Ribosomal Protein S3A is a component of the 40S subunit of the ribosome and has a molecular mass of approximately 29 kDa. The protein interacts directly with mRNA and transfer RNA during protein synthesis. RPS3A is expressed in various tissues including the liver spleen and muscle indicating its widespread presence where protein synthesis is highly active.
Biological function summary

Ribosomal Protein S3A plays a role in the assembly and stability of the small ribosomal subunit. It forms part of the ribosomal complex important for decoding mRNA into polypeptides. RPS3A is also involved in regulating cell growth and proliferation cell cycle progression and apoptosis linking it to cell survival and maintenance. As a ribosomal protein it associates with other ribosomal proteins and rRNA within the ribosome.

Pathways

Ribosomal Protein S3A engages in processes like the mRNA translation pathway and the ribosome biogenesis pathway. It interacts with proteins such as eukaryotic translation initiation factors ensuring the correct initiation and regulation of translation. RPS3A also associates with proteins involved in the mTOR signaling pathway which influences cell growth and metabolism by regulating protein synthesis.

Ribosomal Protein S3A has been implicated in cancer especially hepatocellular carcinoma suggesting a potential role in tumorigenesis. Abnormal expression levels of RPS3A may lead to dysregulated cell proliferation. Additionally RPS3A is associated with Diamond-Blackfan Anemia where changes in its expression could contribute to impaired ribosome function. In these contexts it may interact with proteins like RPL11 and p53 known for their roles in cellular growth regulation and genomic stability.

Product protocols

For this product, it's our understanding that no specific protocols are required. You can visit:

Target data

Component of the small ribosomal subunit. The ribosome is a large ribonucleoprotein complex responsible for the synthesis of proteins in the cell (PubMed : 23636399). Part of the small subunit (SSU) processome, first precursor of the small eukaryotic ribosomal subunit. During the assembly of the SSU processome in the nucleolus, many ribosome biogenesis factors, an RNA chaperone and ribosomal proteins associate with the nascent pre-rRNA and work in concert to generate RNA folding, modifications, rearrangements and cleavage as well as targeted degradation of pre-ribosomal RNA by the RNA exosome (PubMed : 34516797). May play a role during erythropoiesis through regulation of transcription factor DDIT3 (By similarity).
See full target information RPS3A

Publications (5)

Recent publications for all applications. Explore the full list and refine your search

Virologica Sinica 38:222-232 PubMed36572150

2022

Splicing factor SF3B3, a NS5-binding protein, restricts ZIKV infection by targeting GCH1.

Applications

Unspecified application

Species

Unspecified reactive species

Tanxiu Chen,Hao Yang,Penghui Liu,Moliduer Hamiti,Xintian Zhang,Yi Xu,Wenqi Quan,Yong Zhang,Wenhai Yu,Li Jiao,Tingfu Du,Juemin Xi,Bin Yin,Wei Zhou,Shuaiyao Lu,Xiaozhong Peng

Liver international : official journal of the International Association for the Study of the Liver 42:696-709 PubMed34854209

2021

Molecular mechanism of albumin in suppressing invasion and metastasis of hepatocellular carcinoma.

Applications

Unspecified application

Species

Unspecified reactive species

Xiao Fu,Yixuan Yang,Dazhi Zhang

Oncotarget 8:64050-64065 PubMed28969051

2017

Sp110 enhances macrophage resistance to via inducing endoplasmic reticulum stress and inhibiting anti-apoptotic factors.

Applications

Unspecified application

Species

Unspecified reactive species

Yongyan Wu,Zekun Guo,Fayang Liu,Kezhen Yao,Mingqing Gao,Yan Luo,Yong Zhang

Nature communications 8:16056 PubMed28685749

2017

The E3 ubiquitin ligase and RNA-binding protein ZNF598 orchestrates ribosome quality control of premature polyadenylated mRNAs.

Applications

Unspecified application

Species

Unspecified reactive species

Aitor Garzia,Seyed Mehdi Jafarnejad,Cindy Meyer,Clément Chapat,Tasos Gogakos,Pavel Morozov,Mehdi Amiri,Maayan Shapiro,Henrik Molina,Thomas Tuschl,Nahum Sonenberg

Nucleic acids research 43:9097-106 PubMed26405197

2015

Methylation of histone H3 lysine 9 occurs during translation.

Applications

WB

Species

Human

Carlos Rivera,Francisco Saavedra,Francisca Alvarez,César Díaz-Celis,Valentina Ugalde,Jianhua Li,Ignasi Forné,Zachary A Gurard-Levin,Geneviève Almouzni,Axel Imhof,Alejandra Loyola
View all publications

Product promise

We are committed to supporting your work with high-quality reagents, and we're here for you every step of the way. In the unlikely event that one of our products does not perform as expected, you're protected by our Product Promise.
For full details, please see our Terms & Conditions

Please note: All products are 'FOR RESEARCH USE ONLY. NOT FOR USE IN DIAGNOSTIC OR THERAPEUTIC PROCEDURES'.

For licensing inquiries, please contact partnerships@abcam.com