JavaScript is disabled in your browser. Please enable JavaScript to view this website.
AB226356

Anti-RPS3A antibody - N-terminal

Be the first to review this product! Submit a review

|

(1 Publication)

Rabbit Polyclonal RPS3A antibody. N-terminal. Suitable for IHC-P, IP, WB and reacts with Human, Mouse samples. Cited in 1 publication. Immunogen corresponding to Synthetic Peptide within Human RPS3A aa 1-50.

View Alternative Names

FTE1, MFTL, RPS3A, Small ribosomal subunit protein eS1, 40S ribosomal protein S3a, v-fos transformation effector protein, Fte-1

3 Images
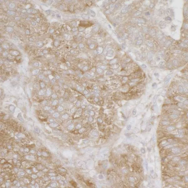
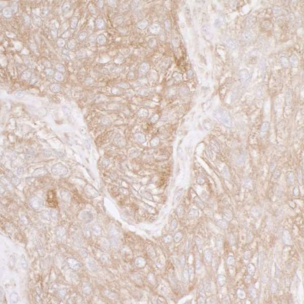
Immunohistochemistry (Formalin/PFA-fixed paraffin-embedded sections) - Anti-RPS3A antibody - N-terminal (AB226356)
  • IHC-P

Supplier Data

Immunohistochemistry (Formalin/PFA-fixed paraffin-embedded sections) - Anti-RPS3A antibody - N-terminal (AB226356)

Formalin-fixed, paraffin-embedded human ovarian carcinoma tissue stained for RPS3A using ab226356 at 1/1000 dilution in immunohistochemical analysis. Detection : DAB staining.

Immunoprecipitation - Anti-RPS3A antibody - N-terminal (AB226356)
  • IP

Supplier Data

Immunoprecipitation - Anti-RPS3A antibody - N-terminal (AB226356)

RPS3A was immunoprecipitated from HEK-293T (human epithelial cell line from embryonic kidney transformed with large T antigen) whole cell lysate (prepared using NETN lysis buffer; 20% of IP loaded) with ab226356 at 6 μg per reaction. Western blot was performed from the immunoprecipitate using ab226356 at 0.4 μg/ml.

Lane 1 : ab226356 IP in HEK-293T whole cell lysate.

Lane 2 : Control IgG IP in HEK-293T whole cell lysate.

Detection : Chemiluminescence with exposure time of 3 seconds.

All lanes:

Immunoprecipitation - Anti-RPS3A antibody - N-terminal (ab226356)

Predicted band size: 30 kDa

false

Western blot - Anti-RPS3A antibody - N-terminal (AB226356)
  • WB

Supplier Data

Western blot - Anti-RPS3A antibody - N-terminal (AB226356)

Cell lysates were prepared using NETN lysis buffer.

All lanes:

Western blot - Anti-RPS3A antibody - N-terminal (ab226356) at 0.1 µg/mL

Lane 1:

HeLa (human epithelial cell line from cervix adenocarcinoma) whole cell lysate at 50 µg

Lane 2:

HEK-293T (human epithelial cell line from embryonic kidney transformed with large T antigen) whole cell lysate at 50 µg

Lane 3:

Jurkat (human T cell leukemia cell line from peripheral blood) whole cell lysate at 50 µg

Lane 4:

TCMK-1 (mouse kidney epithelial cell line) whole cell lysate at 50 µg

Lane 5:

NIH/3T3 (mouse embryonic fibroblast cell line) whole cell lysate at 50 µg

Predicted band size: 30 kDa

true

Exposure time: 3s

Key facts

Host species

Rabbit

Clonality

Polyclonal

Isotype

IgG

Carrier free

No

Reacts with

Mouse, Human

Applications

WB, IP, IHC-P

applications

Immunogen

Synthetic Peptide within Human RPS3A aa 1-50. The exact immunogen used to generate this antibody is proprietary information.

P61247

Reactivity data

{ "title": "Reactivity Data", "filters": { "stats": ["", "Species", "Dilution Info", "Notes"], "tabs": { "all-applications": {"fullname" : "All Applications", "shortname": "All Applications"}, "IHCP" : {"fullname" : "Immunohistochemistry (Formalin/PFA-fixed paraffin-embedded sections)", "shortname":"IHC-P"}, "IP" : {"fullname" : "Immunoprecipitation", "shortname":"IP"}, "WB" : {"fullname" : "Western blot", "shortname":"WB"} }, "product-promise": { "all": "all", "testedAndGuaranteed": "tested", "guaranteed": "expected", "predicted": "predicted", "notRecommended": "not-recommended" } }, "values": { "Human": { "IHCP-species-checked": "testedAndGuaranteed", "IHCP-species-dilution-info": "1/500 - 1/2000", "IHCP-species-notes": "<p></p> Perform heat-mediated antigen retrieval with citrate buffer pH 6 before commencing with IHC staining protocol.", "IP-species-checked": "testedAndGuaranteed", "IP-species-dilution-info": "2-10 µg/mg of lysate", "IP-species-notes": "<p></p>", "WB-species-checked": "testedAndGuaranteed", "WB-species-dilution-info": "1/2000 - 1/10000", "WB-species-notes": "<p></p>" }, "Mouse": { "IHCP-species-checked": "guaranteed", "IHCP-species-dilution-info": "", "IHCP-species-notes": "", "IP-species-checked": "guaranteed", "IP-species-dilution-info": "", "IP-species-notes": "", "WB-species-checked": "testedAndGuaranteed", "WB-species-dilution-info": "1/2000 - 1/10000", "WB-species-notes": "<p></p>" }, "Rat": { "IHCP-species-checked": "predicted", "IHCP-species-dilution-info": "", "IHCP-species-notes": "", "IP-species-checked": "predicted", "IP-species-dilution-info": "", "IP-species-notes": "", "WB-species-checked": "predicted", "WB-species-dilution-info": "", "WB-species-notes": "" }, "Cow": { "IHCP-species-checked": "predicted", "IHCP-species-dilution-info": "", "IHCP-species-notes": "", "IP-species-checked": "predicted", "IP-species-dilution-info": "", "IP-species-notes": "", "WB-species-checked": "predicted", "WB-species-dilution-info": "", "WB-species-notes": "" }, "Xenopus laevis": { "IHCP-species-checked": "predicted", "IHCP-species-dilution-info": "", "IHCP-species-notes": "", "IP-species-checked": "predicted", "IP-species-dilution-info": "", "IP-species-notes": "", "WB-species-checked": "predicted", "WB-species-dilution-info": "", "WB-species-notes": "" }, "Xenopus tropicalis": { "IHCP-species-checked": "predicted", "IHCP-species-dilution-info": "", "IHCP-species-notes": "", "IP-species-checked": "predicted", "IP-species-dilution-info": "", "IP-species-notes": "", "WB-species-checked": "predicted", "WB-species-dilution-info": "", "WB-species-notes": "" }, "Zebrafish": { "IHCP-species-checked": "predicted", "IHCP-species-dilution-info": "", "IHCP-species-notes": "", "IP-species-checked": "predicted", "IP-species-dilution-info": "", "IP-species-notes": "", "WB-species-checked": "predicted", "WB-species-dilution-info": "", "WB-species-notes": "" } } }

Properties and storage information

Form
Liquid
Purification technique
Affinity purification Immunogen
Purification notes
ab226356 was affinity purified using an epitope specific to RPS3A immobilized on solid support.
Storage buffer
pH: 7 - 8 Preservative: 0.09% Sodium azide Constituents: Tris citrate/phosphate
Shipped at conditions
Blue Ice
Appropriate short-term storage duration
1-2 weeks
Appropriate short-term storage conditions
+4°C
Appropriate long-term storage conditions
-20°C
Aliquoting information
Upon delivery aliquot
Storage information
Avoid freeze / thaw cycle

Supplementary information

This supplementary information is collated from multiple sources and compiled automatically.

RPS3A also known as Ribosomal Protein S3A is a component of the 40S subunit of the ribosome and has a molecular mass of approximately 29 kDa. The protein interacts directly with mRNA and transfer RNA during protein synthesis. RPS3A is expressed in various tissues including the liver spleen and muscle indicating its widespread presence where protein synthesis is highly active.
Biological function summary

Ribosomal Protein S3A plays a role in the assembly and stability of the small ribosomal subunit. It forms part of the ribosomal complex important for decoding mRNA into polypeptides. RPS3A is also involved in regulating cell growth and proliferation cell cycle progression and apoptosis linking it to cell survival and maintenance. As a ribosomal protein it associates with other ribosomal proteins and rRNA within the ribosome.

Pathways

Ribosomal Protein S3A engages in processes like the mRNA translation pathway and the ribosome biogenesis pathway. It interacts with proteins such as eukaryotic translation initiation factors ensuring the correct initiation and regulation of translation. RPS3A also associates with proteins involved in the mTOR signaling pathway which influences cell growth and metabolism by regulating protein synthesis.

Ribosomal Protein S3A has been implicated in cancer especially hepatocellular carcinoma suggesting a potential role in tumorigenesis. Abnormal expression levels of RPS3A may lead to dysregulated cell proliferation. Additionally RPS3A is associated with Diamond-Blackfan Anemia where changes in its expression could contribute to impaired ribosome function. In these contexts it may interact with proteins like RPL11 and p53 known for their roles in cellular growth regulation and genomic stability.

Product protocols

For this product, it's our understanding that no specific protocols are required. You can visit:

Target data

Component of the small ribosomal subunit. The ribosome is a large ribonucleoprotein complex responsible for the synthesis of proteins in the cell (PubMed : 23636399). Part of the small subunit (SSU) processome, first precursor of the small eukaryotic ribosomal subunit. During the assembly of the SSU processome in the nucleolus, many ribosome biogenesis factors, an RNA chaperone and ribosomal proteins associate with the nascent pre-rRNA and work in concert to generate RNA folding, modifications, rearrangements and cleavage as well as targeted degradation of pre-ribosomal RNA by the RNA exosome (PubMed : 34516797). May play a role during erythropoiesis through regulation of transcription factor DDIT3 (By similarity).
See full target information RPS3A

Publications (1)

Recent publications for all applications. Explore the full list and refine your search

BMC cancer 24:532 PubMed38671389

2024

Desmoglein 2 and desmocollin 2 depletions promote malignancy through distinct mechanisms in triple-negative and luminal breast cancer.

Applications

Unspecified application

Species

Unspecified reactive species

Ji-Yuan Han,Na Che,Jing Mo,Dan-Fang Zhang,Xiao-Hui Liang,Xue-Yi Dong,Xiu-Lan Zhao,Bao-Cun Sun
View all publications

Product promise

We are committed to supporting your work with high-quality reagents, and we're here for you every step of the way. In the unlikely event that one of our products does not perform as expected, you're protected by our Product Promise.
For full details, please see our Terms & Conditions

Please note: All products are 'FOR RESEARCH USE ONLY. NOT FOR USE IN DIAGNOSTIC OR THERAPEUTIC PROCEDURES'.

For licensing inquiries, please contact partnerships@abcam.com