JavaScript is disabled in your browser. Please enable JavaScript to view this website.
AB168823

Anti-RPS5 antibody

Be the first to review this product! Submit a review

|

(1 Publication)

Rabbit Polyclonal RPS5 antibody. Suitable for IHC-P, IP, WB and reacts with Mouse, Human samples. Cited in 1 publication. Immunogen corresponding to Synthetic Peptide within Human 40S ribosomal protein S5 aa 1-50.

View Alternative Names

Small ribosomal subunit protein uS7, 40S ribosomal protein S5, RPS5

3 Images
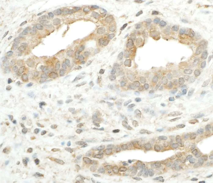
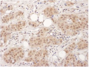
Immunohistochemistry (Formalin/PFA-fixed paraffin-embedded sections) - Anti-RPS5 antibody (AB168823)
  • IHC-P

Supplier Data

Immunohistochemistry (Formalin/PFA-fixed paraffin-embedded sections) - Anti-RPS5 antibody (AB168823)

Immunohistochemistry analysis of formalin-fixed, paraffin-embedded human prostate carcinoma labeling RPS5 with ab168823 at a 1/1000 dilution.

Immunoprecipitation - Anti-RPS5 antibody (AB168823)
  • IP

Supplier Data

Immunoprecipitation - Anti-RPS5 antibody (AB168823)

Samples : Whole cell lysate (1.0 mg per IP reaction; 20% of IP loaded) from HeLa cells prepared using NETN lysis buffer. Antibodies : ab168823 used for IP at 6 μg per reaction (Lane 2). RPS5 was also immunoprecipitated by a previous lot of this antibody (Lane 1). For blotting immunoprecipitated RPS5 ab168823 was used at 0.04 μg/ml. Detection : Chemiluminescence with an exposure time of 1 second.

All lanes:

Immunoprecipitation - Anti-RPS5 antibody (ab168823) at 6 mg/mL

All lanes:

HeLa (Human cervix adenocarcinoma epithelial cell) whole cell lysate (1 mg per IP reaction; 20% of IP loaded)

Predicted band size: 23 kDa

false

Western blot - Anti-RPS5 antibody (AB168823)
  • WB

Unknown

Western blot - Anti-RPS5 antibody (AB168823)

All lanes:

Western blot - Anti-RPS5 antibody (ab168823) at 0.1 µg/mL

Lane 1:

293T whole cell lysate at 50 µg

Lane 2:

HeLa whole cell lysate at 50 µg

Lane 3:

Jurkat whole cell lysate at 50 µg

Lane 4:

TCMK-1 whole cell lysate at 50 µg

Lane 5:

NIH3T3 whole cell lysate at 50 µg

Predicted band size: 23 kDa

true

Exposure time: 30s

Key facts

Host species

Rabbit

Clonality

Polyclonal

Isotype

IgG

Carrier free

No

Reacts with

Mouse, Human

Applications

IHC-P, IP, WB

applications

Immunogen

Synthetic Peptide within Human 40S ribosomal protein S5 aa 1-50. The exact immunogen used to generate this antibody is proprietary information.

P46782

Reactivity data

{ "title": "Reactivity Data", "filters": { "stats": ["", "Species", "Dilution Info", "Notes"], "tabs": { "all-applications": {"fullname" : "All Applications", "shortname": "All Applications"}, "IHCP" : {"fullname" : "Immunohistochemistry (Formalin/PFA-fixed paraffin-embedded sections)", "shortname":"IHC-P"}, "IP" : {"fullname" : "Immunoprecipitation", "shortname":"IP"}, "WB" : {"fullname" : "Western blot", "shortname":"WB"} }, "product-promise": { "all": "all", "testedAndGuaranteed": "tested", "guaranteed": "expected", "predicted": "predicted", "notRecommended": "not-recommended" } }, "values": { "Human": { "IHCP-species-checked": "testedAndGuaranteed", "IHCP-species-dilution-info": "1/500 - 1/2000", "IHCP-species-notes": "<p></p> Perform heat-mediated antigen retrieval with citrate buffer pH 6 before commencing with IHC staining protocol.", "IP-species-checked": "testedAndGuaranteed", "IP-species-dilution-info": "2-10 µg/mg of lysate", "IP-species-notes": "<p></p>", "WB-species-checked": "testedAndGuaranteed", "WB-species-dilution-info": "1/2000 - 1/10000", "WB-species-notes": "<p></p>" }, "Mouse": { "IHCP-species-checked": "testedAndGuaranteed", "IHCP-species-dilution-info": "1/500 - 1/2000", "IHCP-species-notes": "<p></p> Perform heat-mediated antigen retrieval with citrate buffer pH 6 before commencing with IHC staining protocol.", "IP-species-checked": "guaranteed", "IP-species-dilution-info": "", "IP-species-notes": "", "WB-species-checked": "guaranteed", "WB-species-dilution-info": "", "WB-species-notes": "" }, "Chimpanzee": { "IHCP-species-checked": "predicted", "IHCP-species-dilution-info": "", "IHCP-species-notes": "", "IP-species-checked": "predicted", "IP-species-dilution-info": "", "IP-species-notes": "", "WB-species-checked": "predicted", "WB-species-dilution-info": "", "WB-species-notes": "" }, "Cow": { "IHCP-species-checked": "predicted", "IHCP-species-dilution-info": "", "IHCP-species-notes": "", "IP-species-checked": "predicted", "IP-species-dilution-info": "", "IP-species-notes": "", "WB-species-checked": "predicted", "WB-species-dilution-info": "", "WB-species-notes": "" }, "Dog": { "IHCP-species-checked": "predicted", "IHCP-species-dilution-info": "", "IHCP-species-notes": "", "IP-species-checked": "predicted", "IP-species-dilution-info": "", "IP-species-notes": "", "WB-species-checked": "predicted", "WB-species-dilution-info": "", "WB-species-notes": "" }, "Elephant": { "IHCP-species-checked": "predicted", "IHCP-species-dilution-info": "", "IHCP-species-notes": "", "IP-species-checked": "predicted", "IP-species-dilution-info": "", "IP-species-notes": "", "WB-species-checked": "predicted", "WB-species-dilution-info": "", "WB-species-notes": "" }, "Gorilla": { "IHCP-species-checked": "predicted", "IHCP-species-dilution-info": "", "IHCP-species-notes": "", "IP-species-checked": "predicted", "IP-species-dilution-info": "", "IP-species-notes": "", "WB-species-checked": "predicted", "WB-species-dilution-info": "", "WB-species-notes": "" }, "Guinea pig": { "IHCP-species-checked": "predicted", "IHCP-species-dilution-info": "", "IHCP-species-notes": "", "IP-species-checked": "predicted", "IP-species-dilution-info": "", "IP-species-notes": "", "WB-species-checked": "predicted", "WB-species-dilution-info": "", "WB-species-notes": "" }, "Horse": { "IHCP-species-checked": "predicted", "IHCP-species-dilution-info": "", "IHCP-species-notes": "", "IP-species-checked": "predicted", "IP-species-dilution-info": "", "IP-species-notes": "", "WB-species-checked": "predicted", "WB-species-dilution-info": "", "WB-species-notes": "" }, "Orangutan": { "IHCP-species-checked": "predicted", "IHCP-species-dilution-info": "", "IHCP-species-notes": "", "IP-species-checked": "predicted", "IP-species-dilution-info": "", "IP-species-notes": "", "WB-species-checked": "predicted", "WB-species-dilution-info": "", "WB-species-notes": "" }, "Pig": { "IHCP-species-checked": "predicted", "IHCP-species-dilution-info": "", "IHCP-species-notes": "", "IP-species-checked": "predicted", "IP-species-dilution-info": "", "IP-species-notes": "", "WB-species-checked": "predicted", "WB-species-dilution-info": "", "WB-species-notes": "" }, "Rabbit": { "IHCP-species-checked": "predicted", "IHCP-species-dilution-info": "", "IHCP-species-notes": "", "IP-species-checked": "predicted", "IP-species-dilution-info": "", "IP-species-notes": "", "WB-species-checked": "predicted", "WB-species-dilution-info": "", "WB-species-notes": "" }, "Rhesus monkey": { "IHCP-species-checked": "predicted", "IHCP-species-dilution-info": "", "IHCP-species-notes": "", "IP-species-checked": "predicted", "IP-species-dilution-info": "", "IP-species-notes": "", "WB-species-checked": "predicted", "WB-species-dilution-info": "", "WB-species-notes": "" } } }

Properties and storage information

Form
Liquid
Purification technique
Affinity purification Immunogen
Storage buffer
pH: 7 - 8 Preservative: 0.09% Sodium azide Constituents: 99% Tris citrate/phosphate
Shipped at conditions
Blue Ice
Appropriate short-term storage duration
1-2 weeks
Appropriate short-term storage conditions
+4°C
Appropriate long-term storage conditions
+4°C
Aliquoting information
Upon delivery aliquot

Supplementary information

This supplementary information is collated from multiple sources and compiled automatically.

RPS5 also known as 40S ribosomal protein S5 plays an essential role in the structure and function of ribosomes. It is a component of the 40S subunit of ribosomes weighing approximately 21.8 kDa. RPS5 is expressed ubiquitously in a variety of cellular compartments including the cytoplasm where ribosomes are actively involved in protein synthesis. This protein is part of the S7P family of ribosomal proteins and contributes to the assembly and stability of the ribosomal structure.
Biological function summary

The protein forms part of the small ribosomal subunit and contributes to the translation of mRNA into proteins. It cooperates with other ribosomal proteins and RNA to ensure the accurate decoding of mRNA sequences during protein synthesis. RPS5 interacts with multiple components of the ribosome to maintain the efficiency and fidelity of translation. It is important for the maturation and assembly of the ribosomal machinery which is essential in cell growth and division.

Pathways

The translation process heavily depends on the activity of RPS5. It participates in the ribosome biogenesis pathway impacting translational control and protein homeostasis. It interacts with RPL5 and several other ribosomal proteins which are important for the proper functioning of the translation process. RPS5 also plays a role in the mTOR signaling pathway which influences cellular growth and metabolism by responding to nutrient and energy status.

Mutations or dysregulation of RPS5 relate to cancer and Diamond-Blackfan anemia. In certain cancers changes in ribosomal proteins like RPS5 disrupt normal protein synthesis contributing to unchecked cell proliferation. In Diamond-Blackfan anemia insufficient production of ribosomal proteins including RPS5 leads to impaired red blood cell production. RPS5 in conjunction with other ribosomal proteins becomes a focal point to study these diseases for potential therapeutic targets.

Product protocols

For this product, it's our understanding that no specific protocols are required. You can visit:

Target data

Component of the small ribosomal subunit (PubMed : 23636399). The ribosome is a large ribonucleoprotein complex responsible for the synthesis of proteins in the cell (PubMed : 23636399). Part of the small subunit (SSU) processome, first precursor of the small eukaryotic ribosomal subunit. During the assembly of the SSU processome in the nucleolus, many ribosome biogenesis factors, an RNA chaperone and ribosomal proteins associate with the nascent pre-rRNA and work in concert to generate RNA folding, modifications, rearrangements and cleavage as well as targeted degradation of pre-ribosomal RNA by the RNA exosome (PubMed : 34516797).
See full target information 40S ribosomal protein S5

Publications (1)

Recent publications for all applications. Explore the full list and refine your search

PLoS biology 16:e2005903 PubMed30208026

2018

Lso2 is a conserved ribosome-bound protein required for translational recovery in yeast.

Applications

Unspecified application

Species

Unspecified reactive species

Yinuo J Wang,Pavanapuresan P Vaidyanathan,Maria F Rojas-Duran,Namrata D Udeshi,Kristen M Bartoli,Steven A Carr,Wendy V Gilbert
View all publications

Product promise

We are committed to supporting your work with high-quality reagents, and we're here for you every step of the way. In the unlikely event that one of our products does not perform as expected, you're protected by our Product Promise.
For full details, please see our Terms & Conditions

Please note: All products are 'FOR RESEARCH USE ONLY. NOT FOR USE IN DIAGNOSTIC OR THERAPEUTIC PROCEDURES'.

For licensing inquiries, please contact partnerships@abcam.com