JavaScript is disabled in your browser. Please enable JavaScript to view this website.
AB313428

Anti-RPS6 antibody [RP23040083]

Be the first to review this product! Submit a review

|

(0 Publication)

Rabbit Recombinant Multiclonal RPS6 antibody. Suitable for ICC/IF, IP, WB, Flow Cyt and reacts with Human, Mouse, Rat samples. Immunogen corresponding to Recombinant Fragment Protein within Human RPS6.

View Alternative Names

OK/SW-cl.2, RPS6, Small ribosomal subunit protein eS6, 40S ribosomal protein S6, Phosphoprotein NP33

8 Images
Immunocytochemistry/ Immunofluorescence - Anti-RPS6 antibody [RP23040083] (AB313428)
  • ICC/IF

Supplier Data

Immunocytochemistry/ Immunofluorescence - Anti-RPS6 antibody [RP23040083] (AB313428)

Immunofluorescent analysis of 70% confluent log phase U-2 OS cells fixed with 4% paraformaldehyde for 15 minutes, and blocked with 5% BSA for 1 hour at room temperature labeling RPS6 with ab313428 at 1 ?g/mL, followed by Alexa Fluor 488 Goat anti-Rabbit IgG Secondary Antibody at a dilution of 1/400 for 30 minutes at room temperature (Panel a/ green). Nuclei (Panel b/ blue) were stained with DAPI. F-actin (Panel c/ red) was stained with Alexa Fluor 594 Phalloidin. Panel d is a merged image showing cytoplasmic localization and panel e is a no primary antibody control. The images were captured at 20X magnification.

Immunocytochemistry/ Immunofluorescence - Anti-RPS6 antibody [RP23040083] (AB313428)
  • ICC/IF

Supplier Data

Immunocytochemistry/ Immunofluorescence - Anti-RPS6 antibody [RP23040083] (AB313428)

Immunofluorescent analysis of HeLa cells fixed using 4% formaldehyde (reconstituted in 1X PBS) for 10 min at room temperature and permeabilized using 0.1 % Triton X-100 in PBS for 15 min at room temperature labeling RPS6 with ab313428 followed by detection using an Alexa Fluor 488-conjugated Goat anti-Rabbit secondary antibody (green) (Image A). Nuclei were stained using DAPI (Image B) and actin stained with Alexa Fluor 594 phalloidin (red) (image C). Image D is a composite image showing cytoplasmic localization of RPS6.

Flow Cytometry - Anti-RPS6 antibody [RP23040083] (AB313428)
  • Flow Cyt

Supplier Data

Flow Cytometry - Anti-RPS6 antibody [RP23040083] (AB313428)

Flow cytometry analysis of FIX & PERM reagent fixed Hela cells labeling RPS6 with ab313428. Detection was performed using an Alexa Fluor 488 Goat anti-Rabbit IgG (right peak) compared to an isotype control (left peak).

Immunoprecipitation - Anti-RPS6 antibody [RP23040083] (AB313428)
  • IP

Supplier Data

Immunoprecipitation - Anti-RPS6 antibody [RP23040083] (AB313428)

RPS6 was immunoprecipitated from HeLa cells whole cell lysate with ab313428 at 2 µg/mL. Western blot was performed from the immunoprecipitate using ab313428 at 1 µg/mL. Rabbit IgG was used as a IP control.

All lanes:

Immunoprecipitation - Anti-RPS6 antibody [RP23040083] (ab313428) at 1 µg/mL

Lane 1:

Immunoprecipitated HeLa cell lysate

Lane 2:

Rabbit IgG control

Predicted band size: 29 kDa

false

Immunocytochemistry/ Immunofluorescence - Anti-RPS6 antibody [RP23040083] (AB313428)
  • ICC/IF

Supplier Data

Immunocytochemistry/ Immunofluorescence - Anti-RPS6 antibody [RP23040083] (AB313428)

Immunofluorescent analysis of 3T3 cells permeabilized with 0.1% Triton X-100 in TBS for 15 minutes, and blocked with 3% Blocker BSA in PBS for 15 minutes at room temperature labeling S6 ribosomal protein (green) with ab313428 at 10 ?g/mL in blocking buffer for at least 1 hour at room temperature, and then incubated with a Goat anti-Rabbit IgG secondary antibody, Alexa Fluor 488 conjugate at a dilution of 1/1000 for 30 minutes at room temperature (green). Nuclei (blue) were stained with Hoechst 33342 dye. Images were taken on a Thermo Scientific ToxInsight Instrument at 20X magnification.

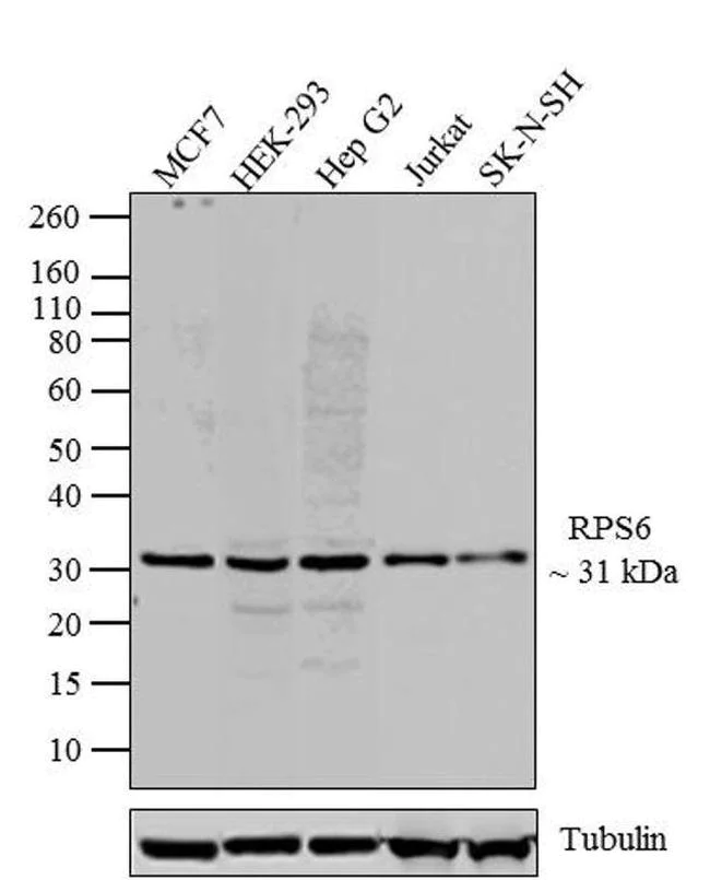
Western blot - Anti-RPS6 antibody [RP23040083] (AB313428)
  • WB

Supplier Data

Western blot - Anti-RPS6 antibody [RP23040083] (AB313428)

All lanes:

Western blot - Anti-RPS6 antibody [RP23040083] (ab313428) at 0.5 µg/mL

Lane 1:

MCF7 cell lysate at 30 µg

Lane 2:

HEK-293 cell lysate at 30 µg

Lane 3:

Hep G2 cell lysate at 30 µg

Lane 4:

Jurkat cell lysate at 30 µg

Lane 5:

SK-N-SH cell lysate at 30 µg

Secondary

All lanes:

Goat anti-Rabbit IgG-HRP Secondary Antibody at 1/5000 dilution

Predicted band size: 28.681 kDa

Observed band size: 31 kDa

true

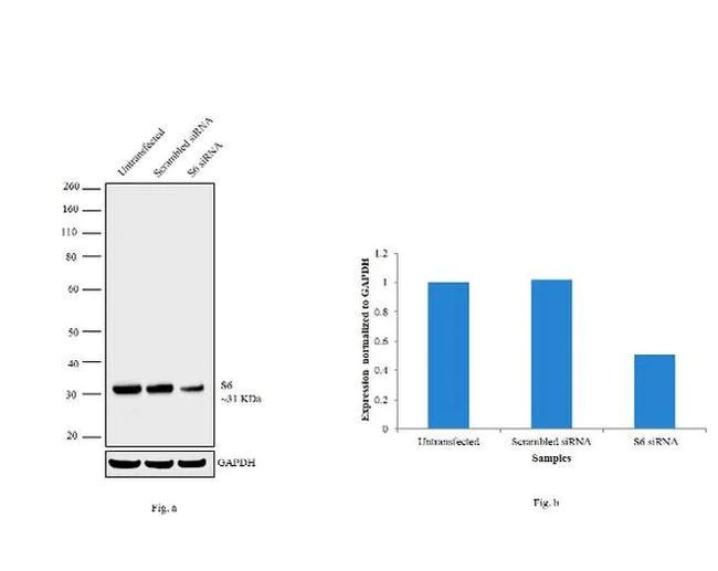
Western blot - Anti-RPS6 antibody [RP23040083] (AB313428)
  • WB

Supplier Data

Western blot - Anti-RPS6 antibody [RP23040083] (AB313428)

All lanes:

Western blot - Anti-RPS6 antibody [RP23040083] (ab313428) at 1/1000 dilution

Lane 1:

Untransfected HeLa cell lysate

Lane 2:

non-specific scrambled siRNA transfected HeLa cell lysate

Lane 3:

S6 HeLa knockdown cell lysate

Secondary

All lanes:

Goat anti-Rabbit IgG (H+L) Secondary Antibody HRP conjugate at 1/4000 dilution

Predicted band size: 28.681 kDa

false

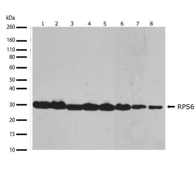
Western blot - Anti-RPS6 antibody [RP23040083] (AB313428)
  • WB

Supplier Data

Western blot - Anti-RPS6 antibody [RP23040083] (AB313428)

All lanes:

Western blot - Anti-RPS6 antibody [RP23040083] (ab313428) at 1 µg/mL

Lane 1:

TNF alpha treated HeLa cell lysate

Lane 2:

Untreated HeLa cell lysate

Lane 3:

A431 cell lysate

Lane 4:

HepG2 cell lysate

Lane 5:

Jurkat cell lysate

Lane 6:

HEK293 cell lysate

Lane 7:

MCF7 cell lysate

Lane 8:

PC12 cell lysate

Predicted band size: 28.681 kDa

Observed band size: 31 kDa

true

Key facts

Host species

Rabbit

Clonality

Multiclonal

Clone number

RP23040083

Isotype

IgG

Carrier free

No

Reacts with

Human, Mouse, Rat

Applications

WB, IP, Flow Cyt, ICC/IF

applications

Immunogen

Recombinant Fragment Protein within Human RPS6. The exact immunogen used to generate this antibody is proprietary information.

P62753

Reactivity data

{ "title": "Reactivity Data", "filters": { "stats": ["", "Species", "Dilution Info", "Notes"], "tabs": { "all-applications": {"fullname" : "All Applications", "shortname": "All Applications"}, "ICCIF" : {"fullname" : "Immunocytochemistry/ Immunofluorescence", "shortname":"ICC/IF"}, "IP" : {"fullname" : "Immunoprecipitation", "shortname":"IP"}, "WB" : {"fullname" : "Western blot", "shortname":"WB"}, "FlowCyt" : {"fullname" : "Flow Cytometry", "shortname":"Flow Cyt"} }, "product-promise": { "all": "all", "testedAndGuaranteed": "tested", "guaranteed": "expected", "predicted": "predicted", "notRecommended": "not-recommended" } }, "values": { "Human": { "ICCIF-species-checked": "testedAndGuaranteed", "ICCIF-species-dilution-info": "1 µg/mL", "ICCIF-species-notes": "<p></p>", "IP-species-checked": "testedAndGuaranteed", "IP-species-dilution-info": "2 µg/mL", "IP-species-notes": "<p></p>", "WB-species-checked": "testedAndGuaranteed", "WB-species-dilution-info": "0.5-1 µg/mL", "WB-species-notes": "<p></p>", "FlowCyt-species-checked": "testedAndGuaranteed", "FlowCyt-species-dilution-info": "1-3 µg for 10^6 Cells", "FlowCyt-species-notes": "<p></p>" }, "Mouse": { "ICCIF-species-checked": "testedAndGuaranteed", "ICCIF-species-dilution-info": "2 µg/mL", "ICCIF-species-notes": "<p></p>", "IP-species-checked": "guaranteed", "IP-species-dilution-info": "", "IP-species-notes": "", "WB-species-checked": "guaranteed", "WB-species-dilution-info": "", "WB-species-notes": "", "FlowCyt-species-checked": "guaranteed", "FlowCyt-species-dilution-info": "", "FlowCyt-species-notes": "" }, "Rat": { "ICCIF-species-checked": "guaranteed", "ICCIF-species-dilution-info": "", "ICCIF-species-notes": "", "IP-species-checked": "guaranteed", "IP-species-dilution-info": "", "IP-species-notes": "", "WB-species-checked": "testedAndGuaranteed", "WB-species-dilution-info": "1 µg/mL", "WB-species-notes": "<p></p>", "FlowCyt-species-checked": "guaranteed", "FlowCyt-species-dilution-info": "", "FlowCyt-species-notes": "" } } }

Product details

What are recombinant multiclonals?
Recombinant multiclonals are a mixture of recombinant antibodies co-expressed from a library of heavy and light chains. They offer several advantages including:

  • - The sensitivity of polyclonal antibodies by recognising multiple epitopes
  • - High batch-to-batch consistency and reproducibility
  • - Improved sensitivity and specificity
  • - Long-term security of supply
  • - Animal-free batch production

View our range of recombinant multiclonal antibodies.

Properties and storage information

Form
Liquid
Purification technique
Affinity purification Protein A
Storage buffer
Preservative: 0.09% Sodium azide Constituents: PBS
Shipped at conditions
Blue Ice
Appropriate short-term storage duration
1-2 weeks
Appropriate short-term storage conditions
+4°C
Appropriate long-term storage conditions
-20°C
Aliquoting information
Upon delivery aliquot
Storage information
Avoid freeze / thaw cycle

Supplementary information

This supplementary information is collated from multiple sources and compiled automatically.

RPS6 also known as Ribosomal Protein S6 is a component of the 40S ribosomal subunit with a molecular weight of approximately 28 kDa. This protein mainly localizes in the cytoplasm where ribosomes are fixed during protein synthesis. The ribosomal machinery uses RPS6 to translate mRNA into polypeptides operating as an essential part of protein biosynthesis. It expresses in various tissues with higher levels in highly proliferative cells which need extensive protein production for growth.
Biological function summary

RPS6 is integral to the formation of the ribosomal complex. This complex is essential for the translation initiation process. RPS6 controls the translation capacity of ribosomes and functions in growth and development by regulating protein synthesis rates. Alterations in RPS6 activity can impact cellular growth and size due to its role in ribosome biogenesis.

Pathways

RPS6 plays a significant role in the mTOR and PI3K/AKT signaling pathways. These pathways link nutrient availability to protein synthesis influencing cellular growth and metabolism. RPS6 interacts with proteins like S6K1 which is a downstream target in the mTOR pathway to modulate translation and cell growth processes.

RPS6 has connections to cancer and metabolic syndromes. Abnormal RPS6 activation can lead to dysregulated cell growth contributing to oncogenesis. In the context of cancer mTOR signaling where RPS6 functions is often upregulated leading to uncontrolled proliferation. Moreover in metabolic disorders the disrupted pathway activity involves other proteins like AKT fostering insulin resistance and metabolic imbalance.

Product protocols

For this product, it's our understanding that no specific protocols are required. You can visit:

Target data

Component of the 40S small ribosomal subunit (PubMed : 23636399, PubMed : 8706699). Plays an important role in controlling cell growth and proliferation through the selective translation of particular classes of mRNA (PubMed : 17220279). Part of the small subunit (SSU) processome, first precursor of the small eukaryotic ribosomal subunit. During the assembly of the SSU processome in the nucleolus, many ribosome biogenesis factors, an RNA chaperone and ribosomal proteins associate with the nascent pre-rRNA and work in concert to generate RNA folding, modifications, rearrangements and cleavage as well as targeted degradation of pre-ribosomal RNA by the RNA exosome (PubMed : 34516797).
See full target information RPS6

Product promise

We are committed to supporting your work with high-quality reagents, and we're here for you every step of the way. In the unlikely event that one of our products does not perform as expected, you're protected by our Product Promise.
For full details, please see our Terms & Conditions

Please note: All products are 'FOR RESEARCH USE ONLY. NOT FOR USE IN DIAGNOSTIC OR THERAPEUTIC PROCEDURES'.

For licensing inquiries, please contact partnerships@abcam.com