JavaScript is disabled in your browser. Please enable JavaScript to view this website.
AB101691

Anti-RPS6 (phospho S235 + S236) antibody [SP50]

  • BOND RX™ Validated
  • RabMAb
  • Recombinant
  • Lab Essentials
  • What is this?

Be the first to review this product! Submit a review

|

(0 Publication)

Rabbit Recombinant Monoclonal RPS6 phospho S235 + S236 antibody. Suitable for IHC-P, Flow Cyt (Intra), Dot, ICC/IF and reacts with Mouse, Human, Synthetic peptide samples.

View Alternative Names

OK/SW-cl.2, RPS6, Small ribosomal subunit protein eS6, 40S ribosomal protein S6, Phosphoprotein NP33

7 Images
Immunohistochemistry (Formalin/PFA-fixed paraffin-embedded sections) - Anti-RPS6 (phospho S235 + S236) antibody [SP50] (AB101691)
  • IHC-P

Unknown

Immunohistochemistry (Formalin/PFA-fixed paraffin-embedded sections) - Anti-RPS6 (phospho S235 + S236) antibody [SP50] (AB101691)

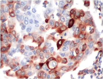
ab101691 at 1/100 dilution staining S6K in Human breast carcinoma by Immunohistochemistry Formalin-fixed, Paraffin-embedded tissue.

Immunohistochemistry (Formalin/PFA-fixed paraffin-embedded sections) - Anti-RPS6 (phospho S235 + S236) antibody [SP50] (AB101691)
  • IHC-P

Unknown

Immunohistochemistry (Formalin/PFA-fixed paraffin-embedded sections) - Anti-RPS6 (phospho S235 + S236) antibody [SP50] (AB101691)

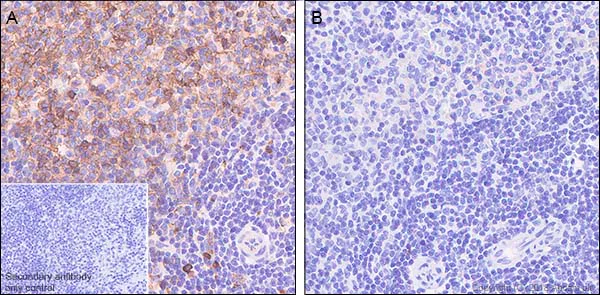
Immunohistochemistry (Formalin/PFA-fixed paraffin-embedded sections) analysis of Rat spleen tissue sections labeling RPS6 with ab101691 at 1/100 dilution (1.23 μg/ml). Heat mediated antigen retrieval with sodium citrate buffer (pH 6.0, epitope retrieval solution 1) for 10mins. Dako™REAL™ EnVision™ Detection System (K5007) was used as the secondary antibody. Hematoxylin was used as a counterstain. Cytoplasmic staining on human rat spleen without alkaline phosphatase treatment (image A); and no signal was detected when tissues were treated with alkaline phosphatase (image B), performed on a Leica Biosystems BOND™ RX instrument.
The section was incubated with ab101691 for 10 mins at room temperature.

Immunocytochemistry/ Immunofluorescence - Anti-RPS6 (phospho S235 + S236) antibody [SP50] (AB101691)
  • ICC/IF

Unknown

Immunocytochemistry/ Immunofluorescence - Anti-RPS6 (phospho S235 + S236) antibody [SP50] (AB101691)

Immunocytochemistry/ Immunofluorescence analysis of PC-3 (human prostate adenocarcinoma epithelial cell) treated with Lamda phosphatase cells labeling RPS6 with purified ab101691 at 1 : 500 (0.25 µg/ml). Cells were fixed in 4% paraformaldehyde and permeabilized with 0.1% Triton X-100. Cells were counterstained with ab195889 Anti-alpha Tubulin antibody [DM1A] - Microtubule Marker (Alexa Fluor® 594) 1 : 200 (2.5 µg/ml). Goat anti rabbit IgG (Alexa Fluor® 488, ab150077) was used as the secondary antibody at 1 : 1000 (2 µg/ml) dilution. DAPI nuclear counterstain. PBS instead of the primary antibody was used as the secondary antibody only control.

Flow Cytometry (Intracellular) - Anti-RPS6 (phospho S235 + S236) antibody [SP50] (AB101691)
  • Flow Cyt (Intra)

Unknown

Flow Cytometry (Intracellular) - Anti-RPS6 (phospho S235 + S236) antibody [SP50] (AB101691)

Flow Cytometry analysis of PC-3 (Human prostate adenocarcinoma epithelial cell) cells labeling RPS6 with purified ab101691 at 1 : 200 dilution (0.615 µg/ml) Red. Cells were fixed with 4% paraformaldehyde . A Goat anti rabbit IgG (Alexa Fluor® 488, ab150077) secondary antibody was used at 1 : 2000 dilution. Isotype control - Rabbit monoclonal IgG (ab172730) / Black. Unlabeled control - Unlabelled cells / Blue.

Immunohistochemistry (Formalin/PFA-fixed paraffin-embedded sections) - Anti-RPS6 (phospho S235 + S236) antibody [SP50] (AB101691)
  • IHC-P

Unknown

Immunohistochemistry (Formalin/PFA-fixed paraffin-embedded sections) - Anti-RPS6 (phospho S235 + S236) antibody [SP50] (AB101691)

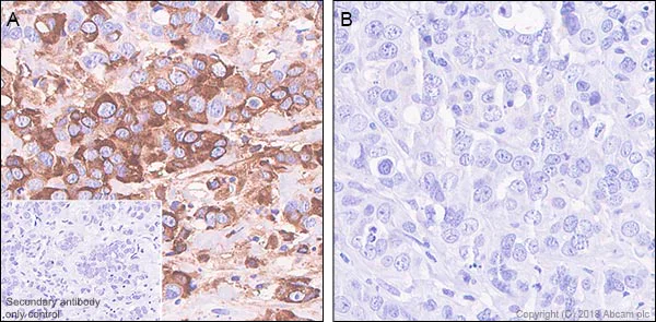
Immunohistochemistry (Formalin/PFA-fixed paraffin-embedded sections) analysis of Human breast carcinoma tissue sections labeling RPS6 with ab101691 at 1/100 dilution (1.23 μg/ml). Heat mediated antigen retrieval with sodium citrate buffer (pH 6.0, epitope retrieval solution 1) for 10mins. Dako™ REAL™ EnVision™ Detection System (K5007) was used as the secondary antibody. Hematoxylin was used as a counterstain. Cytoplasmic staining on human breast carcinoma without alkaline phosphatase treatment (image A); and no signal was detected when tissues were treated with alkaline phosphatase (image B), performed on a Leica Biosystems BOND™ RX instrument.
The section was incubated with ab101691 for 10 mins at room temperature.

Immunohistochemistry (Formalin/PFA-fixed paraffin-embedded sections) - Anti-RPS6 (phospho S235 + S236) antibody [SP50] (AB101691)
  • IHC-P

Unknown

Immunohistochemistry (Formalin/PFA-fixed paraffin-embedded sections) - Anti-RPS6 (phospho S235 + S236) antibody [SP50] (AB101691)

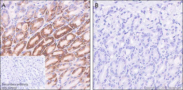
Immunohistochemistry (Formalin/PFA-fixed paraffin-embedded sections) analysis of Mouse stomach tissue sections labeling RPS6 with ab101691 at 1/100 dilution (1.23 μg/ml). Heat mediated antigen retrieval with sodium citrate buffer (pH 6.0, epitope retrieval solution 1) for 10mins. Dako™REAL™ EnVision™ Detection System (K5007) was used as the secondary antibody. Hematoxylin was used as a counterstain. Cytoplasmic staining on mouse stomach without alkaline phosphatase treatment (image A); and no signal was detected when tissues were treated with alkaline phosphatase (image B), performed on a Leica Biosystems BOND™ RX instrument.
The section was incubated with ab101691 for 10 mins at room temperature.

Dot Blot - Anti-RPS6 (phospho S235 + S236) antibody [SP50] (AB101691)
  • Dot

Unknown

Dot Blot - Anti-RPS6 (phospho S235 + S236) antibody [SP50] (AB101691)

Dot blot analysis of RPS6 (phospho S235 + S236) peptide (Lane 1), RPS6 (phospho S235) peptide (phospho 2) RPS6 (phospho S236) peptide (Lane 3) and RPS6 non-phospho peptide (Lane 4) labeling RPS6 (phospho S235 + S236) peptide with purified ab101691 at 0.123 ug/mL. ab97051 was used as the secondary antibody at 0.01 ug/mL.

Blocking buffer : 5% NFDM/TBST. Dilution buffer : 5% NFDM /TBST .

  • Carrier free

    Anti-RPS6 (phospho S235 + S236) antibody [SP50] - BSA and Azide free

Key facts

Host species

Rabbit

Clonality

Monoclonal

Clone number

SP50

Isotype

IgG

Carrier free

No

Reacts with

Mouse, Human

Applications

IHC-P, Dot, Flow Cyt (Intra), ICC/IF

applications

Immunogen

The exact immunogen used to generate this antibody is proprietary information.

Reactivity data

{ "title": "Reactivity Data", "filters": { "stats": ["", "Species", "Dilution Info", "Notes"], "tabs": { "all-applications": {"fullname" : "All Applications", "shortname": "All Applications"}, "IHCP" : {"fullname" : "Immunohistochemistry (Formalin/PFA-fixed paraffin-embedded sections)", "shortname":"IHC-P"}, "FlowCytIntra" : {"fullname" : "Flow Cytometry (Intracellular)", "shortname":"Flow Cyt (Intra)"}, "Dot" : {"fullname" : "Dot Blot", "shortname":"Dot"}, "ICCIF" : {"fullname" : "Immunocytochemistry/ Immunofluorescence", "shortname":"ICC/IF"} }, "product-promise": { "all": "all", "testedAndGuaranteed": "tested", "guaranteed": "expected", "predicted": "predicted", "notRecommended": "not-recommended" } }, "values": { "Human": { "IHCP-species-checked": "testedAndGuaranteed", "IHCP-species-dilution-info": "1/100", "IHCP-species-notes": "<p></p>", "FlowCytIntra-species-checked": "testedAndGuaranteed", "FlowCytIntra-species-dilution-info": "1/200", "FlowCytIntra-species-notes": "<p></p>", "Dot-species-checked": "guaranteed", "Dot-species-dilution-info": "", "Dot-species-notes": "", "ICCIF-species-checked": "testedAndGuaranteed", "ICCIF-species-dilution-info": "1/500", "ICCIF-species-notes": "<p></p>" }, "Mouse": { "IHCP-species-checked": "testedAndGuaranteed", "IHCP-species-dilution-info": "1/100", "IHCP-species-notes": "<p></p>", "FlowCytIntra-species-checked": "guaranteed", "FlowCytIntra-species-dilution-info": "", "FlowCytIntra-species-notes": "", "Dot-species-checked": "guaranteed", "Dot-species-dilution-info": "", "Dot-species-notes": "", "ICCIF-species-checked": "guaranteed", "ICCIF-species-dilution-info": "", "ICCIF-species-notes": "" }, "Synthetic peptide": { "IHCP-species-checked": "notRecommended", "IHCP-species-dilution-info": "", "IHCP-species-notes": "", "FlowCytIntra-species-checked": "notRecommended", "FlowCytIntra-species-dilution-info": "", "FlowCytIntra-species-notes": "", "Dot-species-checked": "testedAndGuaranteed", "Dot-species-dilution-info": "0.0123 µg/mL", "Dot-species-notes": "<p></p>", "ICCIF-species-checked": "notRecommended", "ICCIF-species-dilution-info": "", "ICCIF-species-notes": "" } } }

Product details

Species reactivity
Rat: We have preliminary internal testing data to indicate this antibody may not react with this species.
Please contact us for more information.

Properties and storage information

Form
Liquid
Purification technique
Affinity purification Protein A/G
Purification notes
Purified from TCS by protein A/G.
Storage buffer
pH: 7.6 Preservative: 0.1% Sodium azide Constituents: PBS, 1% BSA
Shipped at conditions
Blue Ice
Appropriate short-term storage conditions
+4°C
Appropriate long-term storage conditions
+4°C
Storage information
Do Not Freeze

Supplementary information

This supplementary information is collated from multiple sources and compiled automatically.

RPS6 also known as Ribosomal Protein S6 is a component of the 40S ribosomal subunit with a molecular weight of approximately 28 kDa. This protein mainly localizes in the cytoplasm where ribosomes are fixed during protein synthesis. The ribosomal machinery uses RPS6 to translate mRNA into polypeptides operating as an essential part of protein biosynthesis. It expresses in various tissues with higher levels in highly proliferative cells which need extensive protein production for growth.
Biological function summary

RPS6 is integral to the formation of the ribosomal complex. This complex is essential for the translation initiation process. RPS6 controls the translation capacity of ribosomes and functions in growth and development by regulating protein synthesis rates. Alterations in RPS6 activity can impact cellular growth and size due to its role in ribosome biogenesis.

Pathways

RPS6 plays a significant role in the mTOR and PI3K/AKT signaling pathways. These pathways link nutrient availability to protein synthesis influencing cellular growth and metabolism. RPS6 interacts with proteins like S6K1 which is a downstream target in the mTOR pathway to modulate translation and cell growth processes.

RPS6 has connections to cancer and metabolic syndromes. Abnormal RPS6 activation can lead to dysregulated cell growth contributing to oncogenesis. In the context of cancer mTOR signaling where RPS6 functions is often upregulated leading to uncontrolled proliferation. Moreover in metabolic disorders the disrupted pathway activity involves other proteins like AKT fostering insulin resistance and metabolic imbalance.

Product protocols

For this product, it's our understanding that no specific protocols are required. You can visit:

Target data

Component of the 40S small ribosomal subunit (PubMed : 23636399, PubMed : 8706699). Plays an important role in controlling cell growth and proliferation through the selective translation of particular classes of mRNA (PubMed : 17220279). Part of the small subunit (SSU) processome, first precursor of the small eukaryotic ribosomal subunit. During the assembly of the SSU processome in the nucleolus, many ribosome biogenesis factors, an RNA chaperone and ribosomal proteins associate with the nascent pre-rRNA and work in concert to generate RNA folding, modifications, rearrangements and cleavage as well as targeted degradation of pre-ribosomal RNA by the RNA exosome (PubMed : 34516797).
See full target information RPS6 phospho S235 + S236

Product promise

We are committed to supporting your work with high-quality reagents, and we're here for you every step of the way. In the unlikely event that one of our products does not perform as expected, you're protected by our Product Promise.
For full details, please see our Terms & Conditions

Associated Products

Select an associated product type
Alternative Product
Primary Antibodies

AB264135

Anti-RPS6 (phospho S235 + S236) antibody

primary-antibodies

rps6-phospho-s235-s236-antibody-ab264135

0

(0 reviews)

Alternative Product
Primary Antibodies

AB81081

Anti-RPS6 (phospho S240 + S244) antibody [SP45]

primary-antibodies

rps6-phospho-s240-s244-antibody-sp45-ab81081

5

(1 reviews)

Alternative Product
Primary Antibodies

AB225676

Anti-RPS6 antibody [EPR22168] - Ribosome Marker

primary-antibodies

rps6-antibody-epr22168-ribosome-marker-ab225676

5

(1 reviews)

Alternative Product
Primary Antibodies

AB80158

Anti-RPS6 (phospho S235) antibody [EP1338(2)Y] - Ribosome Marker

primary-antibodies

rps6-phospho-s235-antibody-ep13382y-ribosome-marker-ab80158

0

(0 reviews)

Alternative Product
Primary Antibodies

AB213165

Anti-RPS6 (phospho S235) antibody [EP1338(2)Y] - BSA and Azide free

primary-antibodies

rps6-phospho-s235-antibody-ep13382y-bsa-and-azide-free-ab213165

0

(0 reviews)

Alternative Product
Primary Antibodies

AB236438

Anti-RPS6 (phospho S240 + S244) antibody [SP45] - BSA and Azide free

primary-antibodies

rps6-phospho-s240-s244-antibody-sp45-bsa-and-azide-free-ab236438

0

(0 reviews)

Alternative Product
Primary Antibodies

AB236454

Anti-RPS6 antibody [EPR22168] - BSA and Azide free

primary-antibodies

rps6-antibody-epr22168-bsa-and-azide-free-ab236454

0

(0 reviews)

Please note: All products are 'FOR RESEARCH USE ONLY. NOT FOR USE IN DIAGNOSTIC OR THERAPEUTIC PROCEDURES'.

For licensing inquiries, please contact partnerships@abcam.com