JavaScript is disabled in your browser. Please enable JavaScript to view this website.
AB215214

Anti-RPS6 (phospho S240 + S244) antibody [EPR20770]

Be the first to review this product! Submit a review

|

(14 Publications)

Rabbit Recombinant Monoclonal RPS6 phospho S240 + S244 antibody. Suitable for IP, Dot, WB, ICC/IF, Flow Cyt (Intra), IHC-P and reacts with Human, Mouse, Rat samples. Cited in 14 publications.

View Alternative Names

OK/SW-cl.2, RPS6, Small ribosomal subunit protein eS6, 40S ribosomal protein S6, Phosphoprotein NP33

9 Images
Immunohistochemistry (Formalin/PFA-fixed paraffin-embedded sections) - Anti-RPS6 (phospho S240 + S244) antibody [EPR20770] (AB215214)
  • IHC-P

Supplier Data

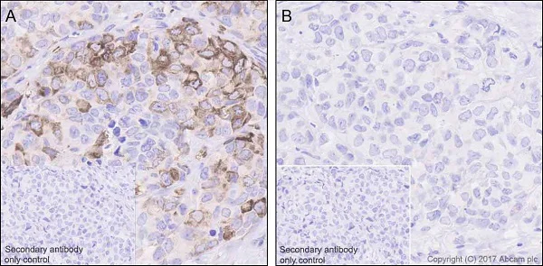
Immunohistochemistry (Formalin/PFA-fixed paraffin-embedded sections) - Anti-RPS6 (phospho S240 + S244) antibody [EPR20770] (AB215214)

Immunohistochemical analysis of paraffin-embedded human breast cancer tissue labeling RPS6 (phospho S240 + S244) with ab215214 at 1/500 dilution, followed by Goat Anti-Rabbit IgG H&L (HRP), ready to use. Cytoplasmic staining on human breast cancer (image A), no signal was detected when tissues were treated with alkaline phosphatase (image B). Counter stained with Hematoxylin.

Secondary antibody only control : Used PBS instead of primary antibody, secondary antibody is Goat Anti-Rabbit IgG H&L (HRP), ready to use.

Perform heat mediated antigen retrieval with Tris/EDTA buffer pH 9.0 before commencing with IHC staining protocol.

Immunohistochemistry (Formalin/PFA-fixed paraffin-embedded sections) - Anti-RPS6 (phospho S240 + S244) antibody [EPR20770] (AB215214)
  • IHC-P

Supplier Data

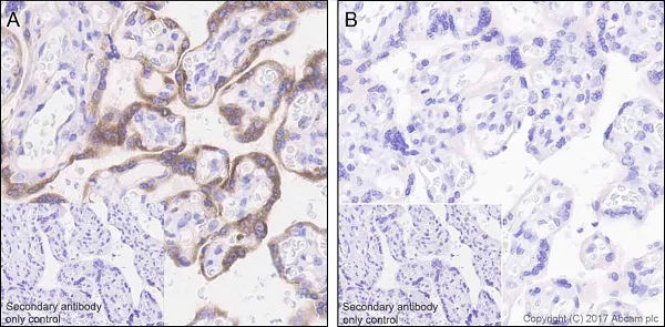
Immunohistochemistry (Formalin/PFA-fixed paraffin-embedded sections) - Anti-RPS6 (phospho S240 + S244) antibody [EPR20770] (AB215214)

Immunohistochemical analysis of paraffin-embedded human placenta tissue labeling RPS6 (phospho S240 + S244) with ab215214 at 1/500 dilution, followed by Goat Anti-Rabbit IgG H&L (HRP), ready to use. Cytoplasmic staining on human placenta (image A), no signal was detected when tissues were treated with alkaline phosphatase (image B). Counter stained with Hematoxylin.

Secondary antibody only control : Used PBS instead of primary antibody, secondary antibody is Goat Anti-Rabbit IgG H&L (HRP), ready to use.

Perform heat mediated antigen retrieval with Tris/EDTA buffer pH 9.0 before commencing with IHC staining protocol.

Immunoprecipitation - Anti-RPS6 (phospho S240 + S244) antibody [EPR20770] (AB215214)
  • IP

Supplier Data

Immunoprecipitation - Anti-RPS6 (phospho S240 + S244) antibody [EPR20770] (AB215214)

RPS9 (phospho S240 + S244) was immunoprecipitated from 0.35 mg of MCF7 (human breast adenocarcinoma cell line), grown in serum-free media overnight, then grown in 20% FBS media for 30 minutes, lysate with ab215214 at 1/30 dilution. Western blot was performed from the immunoprecipitate using ab215214 at 1/1000 dilution. VeriBlot for IP Detection Reagent (HRP) (ab131366), was used for detection at 1/10,000 dilution.

Lane 1 : MCF7 grown in serum-free media overnight, then grown in 20% FBS media for 30 minutes, whole cell lysate 10 μg (Input).

Lane 2 : ab215214 IP in MCF7 grown in serum-free media overnight, then grown in 20% FBS media for 30 minutes, whole cell lysate.

Lane 3 : Rabbit monoclonal IgG (ab172730) instead of ab215214 in MCF7 grown in serum-free media overnight, then grown in 20% FBS media for 30 minutes, whole cell lysate.

Blocking and dilution buffer and concentration : 5% NFDM/TBST.

Exposure time : 10 seconds.

All lanes:

Immunoprecipitation - Anti-RPS6 (phospho S240 + S244) antibody [EPR20770] (ab215214)

Predicted band size: 29 kDa

Observed band size: 32 kDa

false

Exposure time: 10s

Immunohistochemistry (Formalin/PFA-fixed paraffin-embedded sections) - Anti-RPS6 (phospho S240 + S244) antibody [EPR20770] (AB215214)
  • IHC-P

Supplier Data

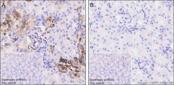
Immunohistochemistry (Formalin/PFA-fixed paraffin-embedded sections) - Anti-RPS6 (phospho S240 + S244) antibody [EPR20770] (AB215214)

Immunohistochemical analysis of paraffin-embedded rat kidney tissue labeling RPS6 (phospho S240 + S244) with ab215214 at 1/2000 dilution, followed by Goat Anti-Rabbit IgG H&L (HRP), ready to use. Cytoplasmic staining on rat kidney (image A), no signal was detected when tissues were treated with alkaline phosphatase (image B). Counter stained with Hematoxylin.

Secondary antibody only control : Used PBS instead of primary antibody, secondary antibody is Goat Anti-Rabbit IgG H&L (HRP), ready to use.

Perform heat mediated antigen retrieval with Tris/EDTA buffer pH 9.0 before commencing with IHC staining protocol.

Immunocytochemistry/ Immunofluorescence - Anti-RPS6 (phospho S240 + S244) antibody [EPR20770] (AB215214)
  • ICC/IF

Supplier Data

Immunocytochemistry/ Immunofluorescence - Anti-RPS6 (phospho S240 + S244) antibody [EPR20770] (AB215214)

Immunofluorescent analysis of 4% paraformaldehyde-fixed, 0.1% Triton X-100 permeabilized NIH/3T3 (mouse embryonic fibroblast cell line) cells labeling RPS6 (phospho S240 + S244) with ab215214 at 1/100 dilution, followed by Goat Anti-Rabbit IgG H&L (Alexa Fluor® 488) (ab150077) secondary antibody at 1/1000 dilution (green). Cytoplasmic staining was increased after treatment with 20% FBS for 30 minutes on NIH/3T3 cells. Cells were FBS deprived for 4 hours before the treatment.

The nuclear counter stain is DAPI (blue). Tubulin is detected with Anti-alpha Tubulin antibody [DM1A] - Microtubule Marker (Alexa Fluor® 594) (ab195889) (red) at 1/200 dilution.

Secondary antibody only control : Used PBS instead of primary antibody, secondary antibody is Goat Anti-Rabbit IgG H&L (Alexa Fluor® 488) (ab150077) secondary antibody at 1/1000 dilution.

Flow Cytometry (Intracellular) - Anti-RPS6 (phospho S240 + S244) antibody [EPR20770] (AB215214)
  • Flow Cyt (Intra)

Supplier Data

Flow Cytometry (Intracellular) - Anti-RPS6 (phospho S240 + S244) antibody [EPR20770] (AB215214)

Intracellular flow cytometric analysis of 4% paraformaldehyde-fixed, 90% methanol permeabilized NIH/3T3 (mouse embryonic fibroblast cell line) grown in serum-free media for 4 hours, then grown in 20% FBS media for 30 minutes (red) or NIH/3T3 grown in serum-free media for 4 hours (green), cell line labeling RPS6 (phospho S240 + S244) with ab215214 at 1/600 dilution compared with a Rabbit IgG, monoclonal [EPR25A] - Isotype Control (ab172730) (black) and an unlabeled control (cells without incubation with primary antibody and secondary antibody) (blue). Goat Anti-Rabbit IgG H&L (Alexa Fluor® 488) at 1/2000 dilution was used as the secondary antibody.

Immunohistochemistry (Formalin/PFA-fixed paraffin-embedded sections) - Anti-RPS6 (phospho S240 + S244) antibody [EPR20770] (AB215214)
  • IHC-P

Supplier Data

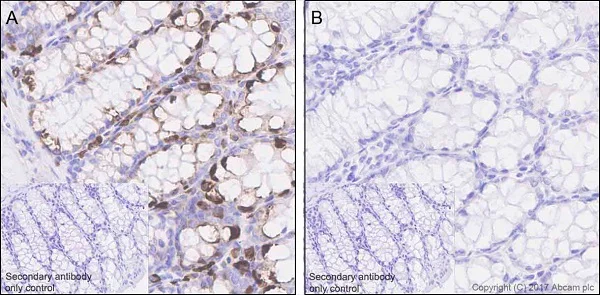
Immunohistochemistry (Formalin/PFA-fixed paraffin-embedded sections) - Anti-RPS6 (phospho S240 + S244) antibody [EPR20770] (AB215214)

Immunohistochemical analysis of paraffin-embedded mouse colon tissue labeling RPS6 (phospho S240 + S244) with ab215214 at 1/2000 dilution, followed by Goat Anti-Rabbit IgG H&L (HRP), ready to use. Cytoplasmic staining on mouse colon (image A), no signal was detected when tissues were treated with alkaline phosphatase (image B). Counter stained with Hematoxylin.

Secondary antibody only control : Used PBS instead of primary antibody, secondary antibody is Goat Anti-Rabbit IgG H&L (HRP), ready to use.

Perform heat mediated antigen retrieval with Tris/EDTA buffer pH 9.0 before commencing with IHC staining protocol.

Western blot - Anti-RPS6 (phospho S240 + S244) antibody [EPR20770] (AB215214)
  • WB

Supplier Data

Western blot - Anti-RPS6 (phospho S240 + S244) antibody [EPR20770] (AB215214)

Exposure times : Lanes 1,2 : 1 second; Lanes 3-6 : 5 seconds.

Blocking/Dilution buffer : 5% NFDM/TBST.

All lanes:

Western blot - Anti-RPS6 (phospho S240 + S244) antibody [EPR20770] (ab215214) at 1/5000 dilution

Lane 1:

MCF7 (human breast adenocarcinoma cell line) grown in serum-free media overnight, whole cell lysate at 20 µg

Lane 2:

MCF7 grown in serum-free media overnight, then grown in 20% FBS media for 30 minutes, whole cell lysate at 20 µg

Lane 3:

NIH/3T3 (mouse embryonic fibroblast cell line) grown in serum-free media for 4 hours, whole cell lysate at 20 µg

Lane 4:

NIH/3T3 grown in serum-free media for 4 hours, then grown in 20% FBS media for 30 minutes, whole cell lysate at 20 µg

Lane 5:

PC-12 (rat adrenal gland pheochromocytoma cell line) grown in serum-free media overnight, whole cell lysate at 20 µg

Lane 6:

PC-12 grown in serum-free media overnight, then grown in 20% FBS media for 30 minutes, whole cell lysate at 20 µg

Secondary

All lanes:

Western blot - Goat Anti-Rabbit IgG H&L (HRP) (<a href='/en-us/products/secondary-antibodies/goat-rabbit-igg-h-l-hrp-ab97051'>ab97051</a>) at 1/100000 dilution

Predicted band size: 29 kDa

Observed band size: 32 kDa

true

Dot Blot - Anti-RPS6 (phospho S240 + S244) antibody [EPR20770] (AB215214)
  • Dot

Supplier Data

Dot Blot - Anti-RPS6 (phospho S240 + S244) antibody [EPR20770] (AB215214)

Dot blot analysis of RPS6 (phospho S240 + S244) labeled with ab215214 at 1/1000 dilution.

Lane 1 : RPS6 (phospho S240 + S244) peptide.

Lane 2 : RPS6 (phospho S240) peptide.

Lane 3 : RPS6 (phospho S244) peptide.

Lane 4 : RPS6 non-phospho peptide.

Goat Anti-Rabbit IgG H&L (HRP) (ab97051) at 1/100000 dilution was used as secondary antibody.

Blocking/Dilution buffer : 5% NFDM/TBST.

Exposure time : 3 minutes.

  • Carrier free

    Anti-RPS6 (phospho S240 + S244) antibody [EPR20770] - BSA and Azide free

Key facts

Host species

Rabbit

Clonality

Monoclonal

Clone number

EPR20770

Isotype

IgG

Carrier free

No

Reacts with

Mouse, Rat, Human

Applications

WB, IHC-P, IP, Dot, Flow Cyt (Intra), ICC/IF

applications

Immunogen

The exact immunogen used to generate this antibody is proprietary information.

Reactivity data

{ "title": "Reactivity Data", "filters": { "stats": ["", "Species", "Dilution Info", "Notes"], "tabs": { "all-applications": {"fullname" : "All Applications", "shortname": "All Applications"}, "IP" : {"fullname" : "Immunoprecipitation", "shortname":"IP"}, "Dot" : {"fullname" : "Dot Blot", "shortname":"Dot"}, "WB" : {"fullname" : "Western blot", "shortname":"WB"}, "ICCIF" : {"fullname" : "Immunocytochemistry/ Immunofluorescence", "shortname":"ICC/IF"}, "FlowCytIntra" : {"fullname" : "Flow Cytometry (Intracellular)", "shortname":"Flow Cyt (Intra)"}, "IHCP" : {"fullname" : "Immunohistochemistry (Formalin/PFA-fixed paraffin-embedded sections)", "shortname":"IHC-P"} }, "product-promise": { "all": "all", "testedAndGuaranteed": "tested", "guaranteed": "expected", "predicted": "predicted", "notRecommended": "not-recommended" } }, "values": { "Human": { "IP-species-checked": "testedAndGuaranteed", "IP-species-dilution-info": "1/30", "IP-species-notes": "<p></p>", "Dot-species-checked": "guaranteed", "Dot-species-dilution-info": "", "Dot-species-notes": "", "WB-species-checked": "testedAndGuaranteed", "WB-species-dilution-info": "1/5000", "WB-species-notes": "<p></p>", "ICCIF-species-checked": "guaranteed", "ICCIF-species-dilution-info": "", "ICCIF-species-notes": "", "FlowCytIntra-species-checked": "guaranteed", "FlowCytIntra-species-dilution-info": "", "FlowCytIntra-species-notes": "", "IHCP-species-checked": "testedAndGuaranteed", "IHCP-species-dilution-info": "1/500 - 1/2000", "IHCP-species-notes": "<p>1/500 dilution for human and 1/2000 for mouse and rat.</p>" }, "Mouse": { "IP-species-checked": "guaranteed", "IP-species-dilution-info": "", "IP-species-notes": "", "Dot-species-checked": "testedAndGuaranteed", "Dot-species-dilution-info": "1/1000", "Dot-species-notes": "<p></p>", "WB-species-checked": "testedAndGuaranteed", "WB-species-dilution-info": "1/5000", "WB-species-notes": "<p></p>", "ICCIF-species-checked": "testedAndGuaranteed", "ICCIF-species-dilution-info": "1/100", "ICCIF-species-notes": "<p></p>", "FlowCytIntra-species-checked": "testedAndGuaranteed", "FlowCytIntra-species-dilution-info": "1/600", "FlowCytIntra-species-notes": "<p></p>", "IHCP-species-checked": "testedAndGuaranteed", "IHCP-species-dilution-info": "1/500 - 1/2000", "IHCP-species-notes": "<p>1/500 dilution for human and 1/2000 for mouse and rat.</p>" }, "Rat": { "IP-species-checked": "guaranteed", "IP-species-dilution-info": "", "IP-species-notes": "", "Dot-species-checked": "guaranteed", "Dot-species-dilution-info": "", "Dot-species-notes": "", "WB-species-checked": "testedAndGuaranteed", "WB-species-dilution-info": "1/5000", "WB-species-notes": "<p></p>", "ICCIF-species-checked": "guaranteed", "ICCIF-species-dilution-info": "", "ICCIF-species-notes": "", "FlowCytIntra-species-checked": "guaranteed", "FlowCytIntra-species-dilution-info": "", "FlowCytIntra-species-notes": "", "IHCP-species-checked": "testedAndGuaranteed", "IHCP-species-dilution-info": "1/500 - 1/2000", "IHCP-species-notes": "<p>1/500 dilution for human and 1/2000 for mouse and rat.</p>" } } }

Product details

Patented technology
Our RabMAb® technology is a patented hybridoma-based technology for making rabbit monoclonal antibodies. For details on our patents, please refer to RabMAb® patents.

What are the advantages of a recombinant monoclonal antibody?
This product is a recombinant monoclonal antibody, which offers several advantages including:

  • - High batch-to-batch consistency and reproducibility
  • - Improved sensitivity and specificity
  • - Long-term security of supply
  • - Animal-free batch production

For more information, read more on recombinant antibodies.

Properties and storage information

Form
Liquid
Purification technique
Affinity purification Protein A
Storage buffer
pH: 7.2 - 7.4 Preservative: 0.01% Sodium azide Constituents: PBS, 40% Glycerol (glycerin, glycerine), 0.05% BSA
Shipped at conditions
Blue Ice
Appropriate short-term storage duration
1-2 weeks
Appropriate short-term storage conditions
+4°C
Appropriate long-term storage conditions
-20°C
Aliquoting information
Upon delivery aliquot
Storage information
Avoid freeze / thaw cycle

Supplementary information

This supplementary information is collated from multiple sources and compiled automatically.

RPS6 also known as Ribosomal Protein S6 is a component of the 40S ribosomal subunit with a molecular weight of approximately 28 kDa. This protein mainly localizes in the cytoplasm where ribosomes are fixed during protein synthesis. The ribosomal machinery uses RPS6 to translate mRNA into polypeptides operating as an essential part of protein biosynthesis. It expresses in various tissues with higher levels in highly proliferative cells which need extensive protein production for growth.
Biological function summary

RPS6 is integral to the formation of the ribosomal complex. This complex is essential for the translation initiation process. RPS6 controls the translation capacity of ribosomes and functions in growth and development by regulating protein synthesis rates. Alterations in RPS6 activity can impact cellular growth and size due to its role in ribosome biogenesis.

Pathways

RPS6 plays a significant role in the mTOR and PI3K/AKT signaling pathways. These pathways link nutrient availability to protein synthesis influencing cellular growth and metabolism. RPS6 interacts with proteins like S6K1 which is a downstream target in the mTOR pathway to modulate translation and cell growth processes.

RPS6 has connections to cancer and metabolic syndromes. Abnormal RPS6 activation can lead to dysregulated cell growth contributing to oncogenesis. In the context of cancer mTOR signaling where RPS6 functions is often upregulated leading to uncontrolled proliferation. Moreover in metabolic disorders the disrupted pathway activity involves other proteins like AKT fostering insulin resistance and metabolic imbalance.

Product protocols

For this product, it's our understanding that no specific protocols are required. You can visit:

Target data

Component of the 40S small ribosomal subunit (PubMed : 23636399, PubMed : 8706699). Plays an important role in controlling cell growth and proliferation through the selective translation of particular classes of mRNA (PubMed : 17220279). Part of the small subunit (SSU) processome, first precursor of the small eukaryotic ribosomal subunit. During the assembly of the SSU processome in the nucleolus, many ribosome biogenesis factors, an RNA chaperone and ribosomal proteins associate with the nascent pre-rRNA and work in concert to generate RNA folding, modifications, rearrangements and cleavage as well as targeted degradation of pre-ribosomal RNA by the RNA exosome (PubMed : 34516797).
See full target information RPS6 phospho S240 + S244

Publications (14)

Recent publications for all applications. Explore the full list and refine your search

Science advances 11:eadx3472 PubMed40864698

2025

PhoCoil: A photodegradable and injectable single-component recombinant protein hydrogel for minimally invasive delivery and degradation.

Applications

Unspecified application

Species

Unspecified reactive species

Nicole E Gregorio,Fan Zhang,Yusuke Suita,Lisa S Ang,Olivia Prado,Arafat Fasuyi,James M Olson,Kelly R Stevens,Cole A DeForest

International urogynecology journal 36:1523-1531 PubMed40478270

2025

Expressions of IGF-1, pAKT, and pS6 in Uterosacral Ligaments of Patients with Pelvic Organ Prolapse.

Applications

Unspecified application

Species

Unspecified reactive species

Hongling Xu,Gensheng Wang,Qing Li,Xuemei Wang,Dongdi Xu

Journal of experimental & clinical cancer research : CR 44:170 PubMed40462177

2025

PSMB10 maintains the stemness of chemotherapeutic drug-resistant leukemia cells by inhibiting senescence and cytotoxic T lymphocyte-mediated killing in a ubiquitinated degradation manner.

Applications

Unspecified application

Species

Unspecified reactive species

Xiao Ma,Yingnan Li,Di Wang,Jialan Niu,Qian Li,Ying Chen,Mengyuan Wang,Jin Wen,Chenxi Liao,Nan Wang,Xiaolan Zhang,Jiwei Chang,Jiayi Yang,Lei Li,Jing Zou,Danyue Peng,Lingbo Liu

Frontiers in nutrition 11:1423576 PubMed39036494

2024

Maternal docosahexaenoic acid supplementation during lactation improves exercise performance, enhances intestinal glucose absorption and modulates gut microbiota in weaning offspring mice.

Applications

Unspecified application

Species

Unspecified reactive species

Dalu Lu,Die Yao,Gaoli Hu,Jiefei Zhou,Xiuhua Shen,Linxi Qian

Nutrients 15: PubMed36615799

2022

L-Theanine Regulates the Abundance of Amino Acid Transporters in Mice Duodenum and Jejunum via the mTOR Signaling Pathway.

Applications

Unspecified application

Species

Unspecified reactive species

Kehong Liu,Yingqi Peng,Ling Lin,Zhihua Gong,Wenjun Xiao,Yinhua Li

Journal of cellular and molecular medicine 26:5713-5727 PubMed36308410

2022

Phosphorylation-mediated PI3K-Art signalling pathway as a therapeutic mechanism in the hydrogen-induced alleviation of brain injury in septic mice.

Applications

Unspecified application

Species

Unspecified reactive species

Yuanyuan Bai,Li Li,Beibei Dong,Wanjie Ma,Hongguang Chen,Yonghao Yu

Neurology international 14:212-244 PubMed35225888

2022

Hypomyelinating Leukodystrophy 8 (HLD8)-Associated Mutation of POLR3B Leads to Defective Oligodendroglial Morphological Differentiation Whose Effect Is Reversed by Ibuprofen.

Applications

Unspecified application

Species

Unspecified reactive species

Sui Sawaguchi,Rimi Suzuki,Hiroaki Oizumi,Katsuya Ohbuchi,Kazushige Mizoguchi,Masahiro Yamamoto,Yuki Miyamoto,Junji Yamauchi

Neurology international 14:11-33 PubMed35076634

2021

Hypomyelinating Leukodystrophy 7 (HLD7)-Associated Mutation of POLR3A Is Related to Defective Oligodendroglial Cell Differentiation, Which Is Ameliorated by Ibuprofen.

Applications

Unspecified application

Species

Unspecified reactive species

Sui Sawaguchi,Kenji Tago,Hiroaki Oizumi,Katsuya Ohbuchi,Masahiro Yamamoto,Kazushige Mizoguchi,Yuki Miyamoto,Junji Yamauchi

Medicines (Basel, Switzerland) 8: PubMed33535532

2021

The Infantile Leukoencephalopathy-Associated Mutation of C11ORF73/HIKESHI Proteins Generates de novo Interactive Activity with Filamin A, Inhibiting Oligodendroglial Cell Morphological Differentiation.

Applications

Unspecified application

Species

Unspecified reactive species

Kohei Hattori,Kenji Tago,Shiori Memezawa,Arisa Ochiai,Sui Sawaguchi,Yukino Kato,Takanari Sato,Kazuma Tomizuka,Hiroaki Ooizumi,Katsuya Ohbuchi,Kazushige Mizoguchi,Yuki Miyamoto,Junji Yamauchi

Journal of cellular and molecular medicine 24:8636-8649 PubMed32596952

2020

HDAC1-mediated deacetylation of LSD1 regulates vascular calcification by promoting autophagy in chronic renal failure.

Applications

Unspecified application

Species

Unspecified reactive species

Jiajun Zhou,Han Zhou,Caixin Liu,Lin Huang,Dongmei Lu,Chaoqing Gao
View all publications

Product promise

We are committed to supporting your work with high-quality reagents, and we're here for you every step of the way. In the unlikely event that one of our products does not perform as expected, you're protected by our Product Promise.
For full details, please see our Terms & Conditions

Please note: All products are 'FOR RESEARCH USE ONLY. NOT FOR USE IN DIAGNOSTIC OR THERAPEUTIC PROCEDURES'.

For licensing inquiries, please contact partnerships@abcam.com