JavaScript is disabled in your browser. Please enable JavaScript to view this website.
AB225578

Anti-RPS6 (phospho S240 + S244) antibody [EPR20770] - BSA and Azide free

Be the first to review this product! Submit a review

|

(1 Publication)

Rabbit Recombinant Monoclonal RPS6 phospho S240 + S244 antibody. Carrier free. Suitable for IP, Dot, WB, ICC/IF, Flow Cyt (Intra), IHC-P and reacts with Human, Mouse, Synthetic peptide, Rat samples. Cited in 1 publication.

View Alternative Names

OK/SW-cl.2, RPS6, Small ribosomal subunit protein eS6, 40S ribosomal protein S6, Phosphoprotein NP33

8 Images
Immunohistochemistry (Formalin/PFA-fixed paraffin-embedded sections) - Anti-RPS6 (phospho S240 + S244) antibody [EPR20770] - BSA and Azide free (AB225578)
  • IHC-P

Supplier Data

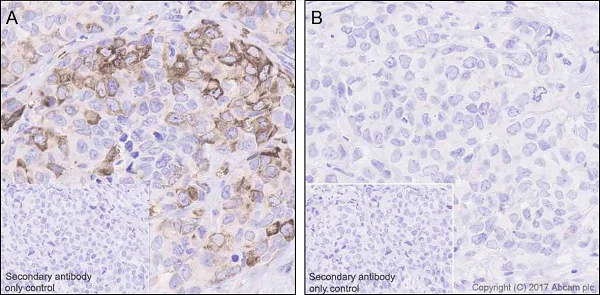
Immunohistochemistry (Formalin/PFA-fixed paraffin-embedded sections) - Anti-RPS6 (phospho S240 + S244) antibody [EPR20770] - BSA and Azide free (AB225578)

Immunohistochemical analysis of paraffin-embedded human breast cancer tissue labeling RPS6 (phospho S240 + S244) with ab215214 at 1/500 dilution, followed by Goat Anti-Rabbit IgG H&L (HRP), ready to use. Cytoplasmic staining on human breast cancer (image A), no signal was detected when tissues were treated with alkaline phosphatase (image B). Counter stained with Hematoxylin.

Secondary antibody only control : Used PBS instead of primary antibody, secondary antibody is Goat Anti-Rabbit IgG H&L (HRP), ready to use.

This data was developed using the same antibody clone in a different buffer formulation containing PBS, BSA, glycerol, and sodium azide (ab215214).

Perform heat mediated antigen retrieval with Tris/EDTA buffer pH 9.0 before commencing with IHC staining protocol.

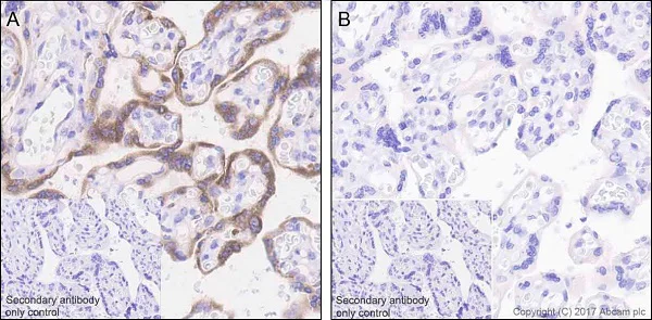
Immunohistochemistry (Formalin/PFA-fixed paraffin-embedded sections) - Anti-RPS6 (phospho S240 + S244) antibody [EPR20770] - BSA and Azide free (AB225578)
  • IHC-P

Supplier Data

Immunohistochemistry (Formalin/PFA-fixed paraffin-embedded sections) - Anti-RPS6 (phospho S240 + S244) antibody [EPR20770] - BSA and Azide free (AB225578)

Immunohistochemical analysis of paraffin-embedded human placenta tissue labeling RPS6 (phospho S240 + S244) with ab215214 at 1/500 dilution, followed by Goat Anti-Rabbit IgG H&L (HRP), ready to use. Cytoplasmic staining on human placenta (image A), no signal was detected when tissues were treated with alkaline phosphatase (image B). Counter stained with Hematoxylin.

Secondary antibody only control : Used PBS instead of primary antibody, secondary antibody is Goat Anti-Rabbit IgG H&L (HRP), ready to use.

This data was developed using the same antibody clone in a different buffer formulation containing PBS, BSA, glycerol, and sodium azide (ab215214).

Perform heat mediated antigen retrieval with Tris/EDTA buffer pH 9.0 before commencing with IHC staining protocol.

Immunoprecipitation - Anti-RPS6 (phospho S240 + S244) antibody [EPR20770] - BSA and Azide free (AB225578)
  • IP

Supplier Data

Immunoprecipitation - Anti-RPS6 (phospho S240 + S244) antibody [EPR20770] - BSA and Azide free (AB225578)

RPS9 (phospho S240 + S244) was immunoprecipitated from 0.35 mg of MCF7 (human breast adenocarcinoma cell line), grown in serum-free media overnight, then grown in 20% FBS media for 30 minutes, lysate with ab215214 at 1/30 dilution. Western blot was performed from the immunoprecipitate using ab215214 at 1/1000 dilution. VeriBlot for IP Detection Reagent (HRP) (ab131366), was used for detection at 1/10000 dilution.

Lane 1 : MCF7 grown in serum-free media overnight, then grown in 20% FBS media for 30 minutes, whole cell lysate 10 μg (Input).

Lane 2 : ab215214 IP in MCF7 grown in serum-free media overnight, then grown in 20% FBS media for 30 minutes, whole cell lysate.

Lane 3 : Rabbit monoclonal IgG (ab172730) instead of ab215214 in MCF7 grown in serum-free media overnight, then grown in 20% FBS media for 30 minutes, whole cell lysate.

Blocking and dilution buffer and concentration : 5% NFDM/TBST.

Exposure time : 10 seconds.

This data was developed using the same antibody clone in a different buffer formulation containing PBS, BSA, glycerol, and sodium azide (ab215214).

All lanes:

Immunoprecipitation - Anti-RPS6 (phospho S240 + S244) antibody [EPR20770] (<a href='/en-us/products/primary-antibodies/rps6-phospho-s240-s244-antibody-epr20770-ab215214'>ab215214</a>)

Predicted band size: 29 kDa

Observed band size: 32 kDa

false

Exposure time: 10s

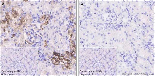
Immunohistochemistry (Formalin/PFA-fixed paraffin-embedded sections) - Anti-RPS6 (phospho S240 + S244) antibody [EPR20770] - BSA and Azide free (AB225578)
  • IHC-P

Supplier Data

Immunohistochemistry (Formalin/PFA-fixed paraffin-embedded sections) - Anti-RPS6 (phospho S240 + S244) antibody [EPR20770] - BSA and Azide free (AB225578)

Immunohistochemical analysis of paraffin-embedded rat kidney tissue labeling RPS6 (phospho S240 + S244) with ab215214 at 1/2000 dilution, followed by Goat Anti-Rabbit IgG H&L (HRP), ready to use. Cytoplasmic staining on rat kidney (image A), no signal was detected when tissues were treated with alkaline phosphatase (image B). Counter stained with Hematoxylin.

Secondary antibody only control : Used PBS instead of primary antibody, secondary antibody is Goat Anti-Rabbit IgG H&L (HRP), ready to use.

This data was developed using the same antibody clone in a different buffer formulation containing PBS, BSA, glycerol, and sodium azide (ab215214).

Perform heat mediated antigen retrieval with Tris/EDTA buffer pH 9.0 before commencing with IHC staining protocol.

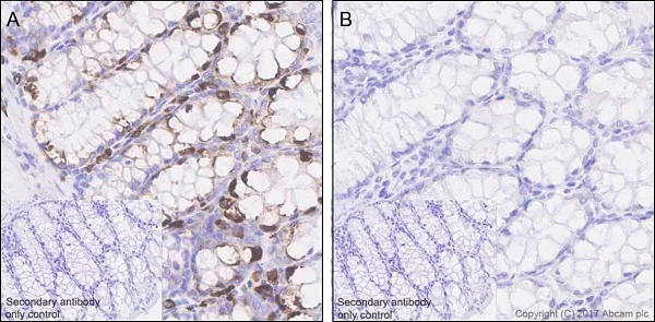
Immunohistochemistry (Formalin/PFA-fixed paraffin-embedded sections) - Anti-RPS6 (phospho S240 + S244) antibody [EPR20770] - BSA and Azide free (AB225578)
  • IHC-P

Supplier Data

Immunohistochemistry (Formalin/PFA-fixed paraffin-embedded sections) - Anti-RPS6 (phospho S240 + S244) antibody [EPR20770] - BSA and Azide free (AB225578)

Immunohistochemical analysis of paraffin-embedded mouse colon tissue labeling RPS6 (phospho S240 + S244) with ab215214 at 1/2000 dilution, followed by Goat Anti-Rabbit IgG H&L (HRP), ready to use. Cytoplasmic staining on mouse colon (image A), no signal was detected when tissues were treated with alkaline phosphatase (image B). Counter stained with Hematoxylin.

Secondary antibody only control : Used PBS instead of primary antibody, secondary antibody is Goat Anti-Rabbit IgG H&L (HRP), ready to use.

This data was developed using the same antibody clone in a different buffer formulation containing PBS, BSA, glycerol, and sodium azide (ab215214).

Perform heat mediated antigen retrieval with Tris/EDTA buffer pH 9.0 before commencing with IHC staining protocol.

Flow Cytometry (Intracellular) - Anti-RPS6 (phospho S240 + S244) antibody [EPR20770] - BSA and Azide free (AB225578)
  • Flow Cyt (Intra)

Supplier Data

Flow Cytometry (Intracellular) - Anti-RPS6 (phospho S240 + S244) antibody [EPR20770] - BSA and Azide free (AB225578)

Intracellular flow cytometric analysis of 4% paraformaldehyde-fixed, 90% methanol permeabilized NIH/3T3 (mouse embryonic fibroblast cell line) grown in serum-free media for 4 hours, then grown in 20% FBS media for 30 minutes (red) or NIH/3T3 grown in serum-free media for 4 hours (green), cell line labeling RPS6 (phospho S240 + S244) with ab215214 at 1/600 dilution compared with a Rabbit IgG, monoclonal [EPR25A] - Isotype Control (ab172730) (black) and an unlabeled control (cells without incubation with primary antibody and secondary antibody) (blue). Goat Anti-Rabbit IgG H&L (Alexa Fluor® 488) at 1/2000 dilution was used as the secondary antibody.

This data was developed using the same antibody clone in a different buffer formulation containing PBS, BSA, glycerol, and sodium azide (ab215214).

Immunocytochemistry/ Immunofluorescence - Anti-RPS6 (phospho S240 + S244) antibody [EPR20770] - BSA and Azide free (AB225578)
  • ICC/IF

Supplier Data

Immunocytochemistry/ Immunofluorescence - Anti-RPS6 (phospho S240 + S244) antibody [EPR20770] - BSA and Azide free (AB225578)

Immunofluorescent analysis of 4% paraformaldehyde-fixed, 0.1% Triton X-100 permeabilized NIH/3T3 (mouse embryonic fibroblast cell line) cells labeling RPS6 (phospho S240 + S244) with ab215214 at 1/100 dilution, followed by Goat Anti-Rabbit IgG H&L (Alexa Fluor® 488) (ab150077) secondary antibody at 1/1000 dilution (green). Cytoplasmic staining was increased after treatment with 20% FBS for 30 minutes on NIH/3T3 cells. Cells were FBS deprived for 4 hours before the treatment.

The nuclear counter stain is DAPI (blue). Tubulin is detected with Anti-alpha Tubulin antibody [DM1A] - Microtubule Marker (Alexa Fluor® 594) (ab195889) (red) at 1/200 dilution.

Secondary antibody only control : Used PBS instead of primary antibody, secondary antibody is Goat Anti-Rabbit IgG H&L (Alexa Fluor® 488) (ab150077) secondary antibody at 1/1000 dilution.

This data was developed using the same antibody clone in a different buffer formulation containing PBS, BSA, glycerol, and sodium azide (ab215214).

Dot Blot - Anti-RPS6 (phospho S240 + S244) antibody [EPR20770] - BSA and Azide free (AB225578)
  • Dot

Supplier Data

Dot Blot - Anti-RPS6 (phospho S240 + S244) antibody [EPR20770] - BSA and Azide free (AB225578)

Dot blot analysis of RPS6 (phospho S240 + S244) labeled with ab215214 at 1/1000 dilution.

Lane 1 : RPS6 (phospho S240 + S244) peptide.

Lane 2 : RPS6 (phospho S240) peptide.

Lane 3 : RPS6 (phospho S244) peptide.

Lane 4 : RPS6 non-phospho peptide.

Goat Anti-Rabbit IgG H&L (HRP) (ab97051) at 1/100000 dilution was used as secondary antibody.

Blocking/Dilution buffer : 5% NFDM/TBST.

Exposure time : 3 minutes.

This data was developed using the same antibody clone in a different buffer formulation containing PBS, BSA, glycerol, and sodium azide (ab215214).

  • Unconjugated

    Anti-RPS6 (phospho S240 + S244) antibody [EPR20770]

Key facts

Host species

Rabbit

Clonality

Monoclonal

Clone number

EPR20770

Isotype

IgG

Carrier free

Yes

Reacts with

Mouse, Rat, Human

Applications

WB, IP, ICC/IF, Dot, IHC-P, Flow Cyt (Intra)

applications

Immunogen

The exact immunogen used to generate this antibody is proprietary information.

Reactivity data

{ "title": "Reactivity Data", "filters": { "stats": ["", "Species", "Dilution Info", "Notes"], "tabs": { "all-applications": {"fullname" : "All Applications", "shortname": "All Applications"}, "IP" : {"fullname" : "Immunoprecipitation", "shortname":"IP"}, "Dot" : {"fullname" : "Dot Blot", "shortname":"Dot"}, "WB" : {"fullname" : "Western blot", "shortname":"WB"}, "ICCIF" : {"fullname" : "Immunocytochemistry/ Immunofluorescence", "shortname":"ICC/IF"}, "FlowCytIntra" : {"fullname" : "Flow Cytometry (Intracellular)", "shortname":"Flow Cyt (Intra)"}, "IHCP" : {"fullname" : "Immunohistochemistry (Formalin/PFA-fixed paraffin-embedded sections)", "shortname":"IHC-P"} }, "product-promise": { "all": "all", "testedAndGuaranteed": "tested", "guaranteed": "expected", "predicted": "predicted", "notRecommended": "not-recommended" } }, "values": { "Human": { "IP-species-checked": "testedAndGuaranteed", "IP-species-dilution-info": "", "IP-species-notes": "<p></p>", "Dot-species-checked": "guaranteed", "Dot-species-dilution-info": "", "Dot-species-notes": "", "WB-species-checked": "guaranteed", "WB-species-dilution-info": "", "WB-species-notes": "<p></p>", "ICCIF-species-checked": "guaranteed", "ICCIF-species-dilution-info": "", "ICCIF-species-notes": "", "FlowCytIntra-species-checked": "guaranteed", "FlowCytIntra-species-dilution-info": "", "FlowCytIntra-species-notes": "", "IHCP-species-checked": "testedAndGuaranteed", "IHCP-species-dilution-info": "", "IHCP-species-notes": "<p></p>" }, "Mouse": { "IP-species-checked": "guaranteed", "IP-species-dilution-info": "", "IP-species-notes": "", "Dot-species-checked": "guaranteed", "Dot-species-dilution-info": "", "Dot-species-notes": "", "WB-species-checked": "guaranteed", "WB-species-dilution-info": "", "WB-species-notes": "<p></p>", "ICCIF-species-checked": "testedAndGuaranteed", "ICCIF-species-dilution-info": "", "ICCIF-species-notes": "<p></p>", "FlowCytIntra-species-checked": "testedAndGuaranteed", "FlowCytIntra-species-dilution-info": "", "FlowCytIntra-species-notes": "<p></p>", "IHCP-species-checked": "guaranteed", "IHCP-species-dilution-info": "", "IHCP-species-notes": "" }, "Rat": { "IP-species-checked": "predicted", "IP-species-dilution-info": "", "IP-species-notes": "", "Dot-species-checked": "predicted", "Dot-species-dilution-info": "", "Dot-species-notes": "", "WB-species-checked": "guaranteed", "WB-species-dilution-info": "", "WB-species-notes": "<p></p>", "ICCIF-species-checked": "predicted", "ICCIF-species-dilution-info": "", "ICCIF-species-notes": "", "FlowCytIntra-species-checked": "predicted", "FlowCytIntra-species-dilution-info": "", "FlowCytIntra-species-notes": "", "IHCP-species-checked": "predicted", "IHCP-species-dilution-info": "", "IHCP-species-notes": "" }, "Synthetic peptide": { "IP-species-checked": "notRecommended", "IP-species-dilution-info": "", "IP-species-notes": "", "Dot-species-checked": "testedAndGuaranteed", "Dot-species-dilution-info": "", "Dot-species-notes": "<p></p>", "WB-species-checked": "notRecommended", "WB-species-dilution-info": "", "WB-species-notes": "", "ICCIF-species-checked": "notRecommended", "ICCIF-species-dilution-info": "", "ICCIF-species-notes": "", "FlowCytIntra-species-checked": "notRecommended", "FlowCytIntra-species-dilution-info": "", "FlowCytIntra-species-notes": "", "IHCP-species-checked": "notRecommended", "IHCP-species-dilution-info": "", "IHCP-species-notes": "" } } }

Product details

ab225578 is the carrier-free version of ab215214.

Patented technology
Our RabMAb® technology is a patented hybridoma-based technology for making rabbit monoclonal antibodies. For details on our patents, please refer to RabMAb® patents.

What are the advantages of a recombinant monoclonal antibody?
This product is a recombinant monoclonal antibody, which offers several advantages including:

  • - High batch-to-batch consistency and reproducibility
  • - Improved sensitivity and specificity
  • - Long-term security of supply
  • - Animal-free batch production

For more information, read more on recombinant antibodies.

Conjugation ready
Our carrier-free antibodies are typically supplied in a PBS-only formulation, purified and free of BSA, sodium azide and glycerol. This conjugation-ready format is designed for use with fluorochromes, metal isotopes, oligonucleotides, and enzymes, which makes them ideal for antibody labelling, functional and cell-based assays, flow-based assays (e.g. mass cytometry) and Multiplex Imaging applications.

Use our conjugation kits for antibody conjugates that are ready-to-use in as little as 20 minutes with 1 minute hands-on-time and 100% antibody recovery: available for fluorescent dyes, HRP, biotin and gold.

Compatibility
This product is compatible with the Maxpar® Antibody Labeling Kit from Fluidigm, without the need for antibody preparation. Maxpar® is a trademark of Fluidigm Canada Inc.

Properties and storage information

Form
Liquid
Purification technique
Affinity purification Protein A
Storage buffer
pH: 7.2 - 7.4 Constituents: PBS
Shipped at conditions
Blue Ice
Appropriate short-term storage conditions
+4°C
Appropriate long-term storage conditions
+4°C
Storage information
Do Not Freeze

Supplementary information

This supplementary information is collated from multiple sources and compiled automatically.

RPS6 also known as Ribosomal Protein S6 is a component of the 40S ribosomal subunit with a molecular weight of approximately 28 kDa. This protein mainly localizes in the cytoplasm where ribosomes are fixed during protein synthesis. The ribosomal machinery uses RPS6 to translate mRNA into polypeptides operating as an essential part of protein biosynthesis. It expresses in various tissues with higher levels in highly proliferative cells which need extensive protein production for growth.
Biological function summary

RPS6 is integral to the formation of the ribosomal complex. This complex is essential for the translation initiation process. RPS6 controls the translation capacity of ribosomes and functions in growth and development by regulating protein synthesis rates. Alterations in RPS6 activity can impact cellular growth and size due to its role in ribosome biogenesis.

Pathways

RPS6 plays a significant role in the mTOR and PI3K/AKT signaling pathways. These pathways link nutrient availability to protein synthesis influencing cellular growth and metabolism. RPS6 interacts with proteins like S6K1 which is a downstream target in the mTOR pathway to modulate translation and cell growth processes.

RPS6 has connections to cancer and metabolic syndromes. Abnormal RPS6 activation can lead to dysregulated cell growth contributing to oncogenesis. In the context of cancer mTOR signaling where RPS6 functions is often upregulated leading to uncontrolled proliferation. Moreover in metabolic disorders the disrupted pathway activity involves other proteins like AKT fostering insulin resistance and metabolic imbalance.

Product protocols

For this product, it's our understanding that no specific protocols are required. You can visit:

Target data

Component of the 40S small ribosomal subunit (PubMed : 23636399, PubMed : 8706699). Plays an important role in controlling cell growth and proliferation through the selective translation of particular classes of mRNA (PubMed : 17220279). Part of the small subunit (SSU) processome, first precursor of the small eukaryotic ribosomal subunit. During the assembly of the SSU processome in the nucleolus, many ribosome biogenesis factors, an RNA chaperone and ribosomal proteins associate with the nascent pre-rRNA and work in concert to generate RNA folding, modifications, rearrangements and cleavage as well as targeted degradation of pre-ribosomal RNA by the RNA exosome (PubMed : 34516797).
See full target information RPS6 phospho S240 + S244

Publications (1)

Recent publications for all applications. Explore the full list and refine your search

Journal of pediatric gastroenterology and nutrition 78:662-669 PubMed38299301

2024

Tissue markers may predict treatment response to antitumor necrosis factor-α agents in children with Crohn's disease.

Applications

Unspecified application

Species

Unspecified reactive species

Alexander Krauthammer,Tal Cozacov,Sophia Fried,Adi Har-Zahav,Raanan Shamir,Amit Assa,Orith Waisbourd-Zinman
View all publications

Product promise

We are committed to supporting your work with high-quality reagents, and we're here for you every step of the way. In the unlikely event that one of our products does not perform as expected, you're protected by our Product Promise.
For full details, please see our Terms & Conditions

Please note: All products are 'FOR RESEARCH USE ONLY. NOT FOR USE IN DIAGNOSTIC OR THERAPEUTIC PROCEDURES'.

For licensing inquiries, please contact partnerships@abcam.com