JavaScript is disabled in your browser. Please enable JavaScript to view this website.
AB22676

Anti-Rpt5/TBP-1 antibody

Be the first to review this product! Submit a review

|

(4 Publications)

Rabbit Polyclonal TBP-1 antibody. Suitable for WB and reacts with Fungi, Arabidopsis thaliana, Saccharomyces cerevisiae samples. Cited in 4 publications. Immunogen corresponding to Recombinant Fragment Protein within Saccharomyces cerevisiae S288C RPT5 aa 1-100.

View Alternative Names

YTA1, YOR117W, O3258, YOR3258W, RPT5, 26S proteasome regulatory subunit 6A, Tat-binding protein homolog 1, TBP-1

1 Images
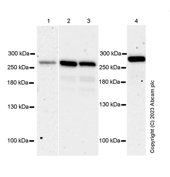
Western blot - Anti-Rpt5/TBP-1 antibody (AB22676)
  • WB

Unknown

Western blot - Anti-Rpt5/TBP-1 antibody (AB22676)

All lanes:

Western blot - Anti-Rpt5/TBP-1 antibody (ab22676) at 1/25000 dilution

Predicted band size: 27 kDa,48 kDa

Observed band size: 48 kDa

true

Exposure time: 1min

Key facts

Host species

Rabbit

Clonality

Polyclonal

Isotype

IgG

Carrier free

No

Reacts with

Saccharomyces cerevisiae, Arabidopsis thaliana, Fungi

Applications

WB

applications

Immunogen

Recombinant Fragment Protein within Saccharomyces cerevisiae S288C RPT5 aa 1-100. The exact immunogen used to generate this antibody is proprietary information.

P33297

Specificity

ab22676 reacts with 19S regulator ATPase subunit Rpt5/TBP-1 (Yta1).

Reactivity data

{ "title": "Reactivity Data", "filters": { "stats": ["", "Species", "Dilution Info", "Notes"], "tabs": { "all-applications": {"fullname" : "All Applications", "shortname": "All Applications"}, "WB" : {"fullname" : "Western blot", "shortname":"WB"} }, "product-promise": { "all": "all", "testedAndGuaranteed": "tested", "guaranteed": "expected", "predicted": "predicted", "notRecommended": "not-recommended" } }, "values": { "Arabidopsis thaliana": { "WB-species-checked": "guaranteed", "WB-species-dilution-info": "1/10000 - 1/50000", "WB-species-notes": "<p></p>" }, "Fungi": { "WB-species-checked": "guaranteed", "WB-species-dilution-info": "1/10000 - 1/50000", "WB-species-notes": "<p></p>" }, "Saccharomyces cerevisiae": { "WB-species-checked": "guaranteed", "WB-species-dilution-info": "1/10000 - 1/50000", "WB-species-notes": "<p></p>" } } }

Properties and storage information

Form
Liquid
Purity
Whole antiserum
Storage buffer
Constituents: Whole serum
Shipped at conditions
Blue Ice
Appropriate short-term storage conditions
+4°C
Appropriate long-term storage conditions
-20°C
Aliquoting information
Upon delivery aliquot
Storage information
Avoid freeze / thaw cycle

Supplementary information

This supplementary information is collated from multiple sources and compiled automatically.

Rpt5 also known as TBP-1 (Tat-binding protein 1) is part of the 19S regulatory particle of the proteasome complex with a molecular mass of about 50 kDa. This ATPase plays a role in protein degradation by facilitating the unfolding and translocation of ubiquitinated proteins into the 20S proteasome core. Rpt5/TBP-1 is ubiquitously expressed across different tissues emphasizing its importance in maintaining protein homeostasis throughout the body.
Biological function summary

Rpt5/TBP-1 contributes to protein quality control by being a component of the 26S proteasome complex. This complex is responsible for recognizing and degrading proteins tagged with ubiquitin regulating diverse cellular processes like cell cycle progression signal transduction and stress responses. Within the proteasome complex Rpt5/TBP-1 helps in substrate recognition and unfolding which are necessary steps for the accurate degradation of target proteins.

Pathways

Rpt5/TBP-1 is intricately involved in the ubiquitin-proteasome pathway a critical mechanism for protein turnover in cells. This pathway interacts with other key signaling pathways such as the NF-kB signaling that regulates immune response and inflammation. Rpt5/TBP-1 works alongside other regulatory particle components such as Rpt1 and Rpt2 facilitating the energy-dependent steps required for substrate processing in the proteasome.

Rpt5/TBP-1 is connected to neurodegenerative diseases like Alzheimer's and Parkinson's where protein misfolding and aggregation occur. Disrupted proteasome activity due to Rpt5/TBP-1 dysfunction may contribute to these conditions. Additionally Rpt5/TBP-1 has connections to cancer where altered proteasome function can affect cell proliferation and apoptosis. In cancer proteins such as p53 which regulates cell cycle machinery can interact with proteasome-related dysfunction impacting cancer progression and treatment outcomes.

Product protocols

For this product, it's our understanding that no specific protocols are required. You can visit:

Target data

The 26S proteasome is involved in the ATP-dependent degradation of ubiquitinated proteins. The regulatory (or ATPase) complex confers ATP dependency and substrate specificity to the 26S complex (By similarity).
See full target information RPT5

Publications (4)

Recent publications for all applications. Explore the full list and refine your search

Nature plants 9:2059-2070 PubMed37903985

2023

Evolution of a plant growth-regulatory protein interaction specificity.

Applications

Unspecified application

Species

Unspecified reactive species

Zhe Ji,Eric J Belfield,Siyu Zhang,Jacques Bouvier,Shan Li,Jason Schnell,Xiangdong Fu,Nicholas P Harberd

The Plant cell 31:2411-2429 PubMed31363038

2019

Arabidopsis ALIX Regulates Stomatal Aperture and Turnover of Abscisic Acid Receptors.

Applications

Unspecified application

Species

Unspecified reactive species

Marta García-León,Laura Cuyas,Diaa Abd El-Moneim,Lesia Rodriguez,Borja Belda-Palazón,Eva Sanchez-Quant,Yolanda Fernández,Brice Roux,Ángel María Zamarreño,José María García-Mina,Laurent Nussaume,Pedro L Rodriguez,Javier Paz-Ares,Nathalie Leonhardt,Vicente Rubio

Frontiers in plant science 8:2114 PubMed29422907

2018

Constitutive Expression of miR408 Improves Biomass and Seed Yield in Arabidopsis.

Applications

Unspecified application

Species

Unspecified reactive species

Zhaoqing Song,Lifen Zhang,Yulong Wang,Haixia Li,Shuang Li,Huijie Zhao,Huiyong Zhang

Molecular plant 9:1395-1405 PubMed27450422

2016

Repression of MYBL2 by Both microRNA858a and HY5 Leads to the Activation of Anthocyanin Biosynthetic Pathway in Arabidopsis.

Applications

Unspecified application

Species

Unspecified reactive species

Yulong Wang,Yiqing Wang,Zhaoqing Song,Huiyong Zhang
View all publications

Product promise

We are committed to supporting your work with high-quality reagents, and we're here for you every step of the way. In the unlikely event that one of our products does not perform as expected, you're protected by our Product Promise.
For full details, please see our Terms & Conditions

Please note: All products are 'FOR RESEARCH USE ONLY. NOT FOR USE IN DIAGNOSTIC OR THERAPEUTIC PROCEDURES'.

For licensing inquiries, please contact partnerships@abcam.com