JavaScript is disabled in your browser. Please enable JavaScript to view this website.
AB230184

Anti-RRAGC antibody

Be the first to review this product! Submit a review

|

(1 Publication)

Rabbit Polyclonal RRAGC antibody. Suitable for WB, IHC-P and reacts with Human samples. Cited in 1 publication. Immunogen corresponding to Recombinant Fragment Protein within Human Ras-related GTP-binding protein C aa 1-250.

View Alternative Names

Ras-related GTP-binding protein C, Rag C, RagC, GTPase-interacting protein 2, TIB929, RRAGC

3 Images
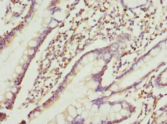
Immunohistochemistry (Formalin/PFA-fixed paraffin-embedded sections) - Anti-RRAGC antibody (AB230184)
  • IHC-P

Supplier Data

Immunohistochemistry (Formalin/PFA-fixed paraffin-embedded sections) - Anti-RRAGC antibody (AB230184)

Paraffin-embedded human small intestine tissue stained for RRAGC with ab230184 at 1/100 dilution in immunohistochemical analysis.

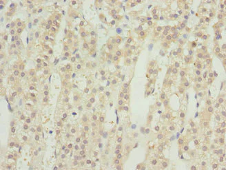
Immunohistochemistry (Formalin/PFA-fixed paraffin-embedded sections) - Anti-RRAGC antibody (AB230184)
  • IHC-P

Supplier Data

Immunohistochemistry (Formalin/PFA-fixed paraffin-embedded sections) - Anti-RRAGC antibody (AB230184)

Paraffin-embedded human adrenal gland tissue stained for RRAGC with ab230184 at 1/100 dilution in immunohistochemical analysis.

Western blot - Anti-RRAGC antibody (AB230184)
  • WB

Supplier Data

Western blot - Anti-RRAGC antibody (AB230184)

All lanes:

Western blot - Anti-RRAGC antibody (ab230184) at 1/1000 dilution

Lane 1:

HeLa (human epithelial cell line from cervix adenocarcinoma) whole cell lysate

Lane 2:

MCF7 (human breast adenocarcinoma cell line) whole cell lysate

Lane 3:

A549 (human lung carcinoma cell line) whole cell lysate

Secondary

All lanes:

Goat anti-Rabbit IgG at 1/10000 dilution

Predicted band size: 44 kDa

Observed band size: 44 kDa

false

Key facts

Host species

Rabbit

Clonality

Polyclonal

Isotype

IgG

Carrier free

No

Reacts with

Human

Applications

WB, IHC-P

applications

Immunogen

Recombinant Fragment Protein within Human Ras-related GTP-binding protein C aa 1-250. The exact immunogen used to generate this antibody is proprietary information.

Q9HB90

Reactivity data

{ "title": "Reactivity Data", "filters": { "stats": ["", "Species", "Dilution Info", "Notes"], "tabs": { "all-applications": {"fullname" : "All Applications", "shortname": "All Applications"}, "WB" : {"fullname" : "Western blot", "shortname":"WB"}, "IHCP" : {"fullname" : "Immunohistochemistry (Formalin/PFA-fixed paraffin-embedded sections)", "shortname":"IHC-P"} }, "product-promise": { "all": "all", "testedAndGuaranteed": "tested", "guaranteed": "expected", "predicted": "predicted", "notRecommended": "not-recommended" } }, "values": { "Human": { "WB-species-checked": "testedAndGuaranteed", "WB-species-dilution-info": "1/1000 - 1/5000", "WB-species-notes": "<p></p>", "IHCP-species-checked": "testedAndGuaranteed", "IHCP-species-dilution-info": "1/20 - 1/200", "IHCP-species-notes": "<p></p>" }, "Mouse": { "WB-species-checked": "predicted", "WB-species-dilution-info": "", "WB-species-notes": "", "IHCP-species-checked": "predicted", "IHCP-species-dilution-info": "", "IHCP-species-notes": "" } } }

Properties and storage information

Form
Liquid
Purification technique
Affinity purification Immunogen
Storage buffer
pH: 7.3 Preservative: 0.02% Sodium azide Constituents: PBS, 50% Glycerol (glycerin, glycerine)
Shipped at conditions
Blue Ice
Appropriate short-term storage duration
1-2 weeks
Appropriate short-term storage conditions
+4°C
Appropriate long-term storage conditions
-20°C
Aliquoting information
Upon delivery aliquot
Storage information
Avoid freeze / thaw cycle

Supplementary information

This supplementary information is collated from multiple sources and compiled automatically.

The RRAGC protein also known as Ras-related GTP-binding protein C weighs approximately 44.5 kDa. It functions mechanically as a GTPase cycling between active GTP-bound and inactive GDP-bound states. This protein is expressed in various tissues with noticeable presence in the brain and liver. RRAGC plays a role in cellular signaling and growth mechanisms by interacting with other members of the Ras superfamily.
Biological function summary

RRAGC forms a part of the heterodimeric Rag GTPase complex often teaming with its partner RRAGB. This complex acts as an important regulator in the mTORC1 signaling pathway influencing nutrient sensing and energy balance within cells. RRAGC's ability to toggle between different energy states allows it to contribute to cellular metabolism and response to external stress.

Pathways

RRAGC engages directly in the mTOR signaling pathway an important driver of cell growth and proliferation. It interacts closely with related proteins such as Raptor and mTOR kinase forming a bridge between amino acid availability and cellular growth signals. Additionally RRAGC's role connects to the autophagy pathway affecting cellular degradation processes and nutrient recycling under nutrient-deprived conditions.

The dysregulation of RRAGC's activity associates with conditions like cancer and neurodegenerative diseases. Alterations in its function may link to aberrant mTOR signaling contributing to uncontrolled cellular proliferation seen in cancers. Furthermore RRAGC and its interactions with proteins such as TSC2 (Tuberous Sclerosis Complex 2) highlight potential influences in neurodegenerative disease pathways shedding light on its involvement in conditions linked to cellular growth dysregulation.

Product protocols

For this product, it's our understanding that no specific protocols are required. You can visit:

Target data

Guanine nucleotide-binding protein that plays a crucial role in the cellular response to amino acid availability through regulation of the mTORC1 signaling cascade (PubMed : 20381137, PubMed : 24095279, PubMed : 27234373, PubMed : 31601708, PubMed : 31601764, PubMed : 32612235, PubMed : 34071043, PubMed : 36697823, PubMed : 37057673). Forms heterodimeric Rag complexes with RagA/RRAGA or RagB/RRAGB and cycles between an inactive GTP-bound and an active GDP-bound form : RagC/RRAGC is in its active form when GDP-bound RagC/RRAGC forms a complex with GTP-bound RagA/RRAGA (or RagB/RRAGB) and in an inactive form when GTP-bound RagC/RRAGC heterodimerizes with GDP-bound RagA/RRAGA (or RagB/RRAGB) (PubMed : 24095279, PubMed : 31601708, PubMed : 31601764, PubMed : 32868926). In its GDP-bound active form, promotes the recruitment of mTORC1 to the lysosomes and its subsequent activation by the GTPase RHEB (PubMed : 20381137, PubMed : 24095279, PubMed : 27234373, PubMed : 32612235, PubMed : 36697823). This is a crucial step in the activation of the MTOR signaling cascade by amino acids (PubMed : 20381137, PubMed : 24095279, PubMed : 27234373). Also plays a central role in the non-canonical mTORC1 complex, which acts independently of RHEB and specifically mediates phosphorylation of MiT/TFE factors TFEB and TFE3 : GDP-bound RagC/RRAGC mediates recruitment of MiT/TFE factors TFEB and TFE3 (PubMed : 32612235, PubMed : 36697823).
See full target information Ras-related GTP-binding protein C

Publications (1)

Recent publications for all applications. Explore the full list and refine your search

iScience 26:108370 PubMed38034348

2023

Molecular subtyping and characterization of clear cell renal cell carcinoma by tumor differentiation trajectories.

Applications

Unspecified application

Species

Unspecified reactive species

Xiu-Wu Pan,Wen-Jin Chen,Da Xu,Wen-Bin Guan,Lin Li,Jia-Xin Chen,Wei-Jie Chen,Ke-Qin Dong,Jian-Qing Ye,Si-Shun Gan,Wang Zhou,Xin-Gang Cui
View all publications

Product promise

We are committed to supporting your work with high-quality reagents, and we're here for you every step of the way. In the unlikely event that one of our products does not perform as expected, you're protected by our Product Promise.
For full details, please see our Terms & Conditions

Please note: All products are 'FOR RESEARCH USE ONLY. NOT FOR USE IN DIAGNOSTIC OR THERAPEUTIC PROCEDURES'.

For licensing inquiries, please contact partnerships@abcam.com