JavaScript is disabled in your browser. Please enable JavaScript to view this website.
AB95983

Anti-RRBP1 antibody

Be the first to review this product! Submit a review

|

(17 Publications)

Rabbit Polyclonal RRBP1 antibody. Suitable for WB, IHC-P, ICC/IF and reacts with Mouse, Human samples. Cited in 17 publications.

View Alternative Names

KIAA1398, RRBP1, Ribosome-binding protein 1, 180 kDa ribosome receptor homolog, ES/130-related protein, Ribosome receptor protein, RRp

3 Images
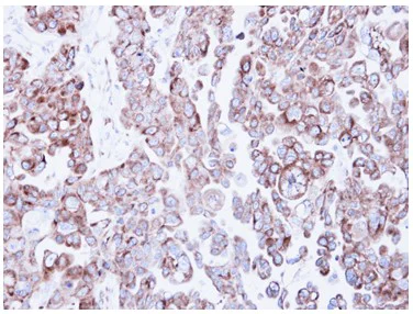
Immunohistochemistry (Formalin/PFA-fixed paraffin-embedded sections) - Anti-RRBP1 antibody (AB95983)
  • IHC-P

Unknown

Immunohistochemistry (Formalin/PFA-fixed paraffin-embedded sections) - Anti-RRBP1 antibody (AB95983)

Immunohistochemical analysis of paraffin embedded OVCAR3, using ab95983 at 1/500 dilution.

Immunocytochemistry/ Immunofluorescence - Anti-RRBP1 antibody (AB95983)
  • ICC/IF

Unknown

Immunocytochemistry/ Immunofluorescence - Anti-RRBP1 antibody (AB95983)

Immunofluorescence analysis of paraformaldehyde fixed HeLa, using ab95983 at 1/200 dilution. Lower image merged with DNA probe.

Western blot - Anti-RRBP1 antibody (AB95983)
  • WB

Unknown

Western blot - Anti-RRBP1 antibody (AB95983)

5% SDS PAGE

All lanes:

Western blot - Anti-RRBP1 antibody (ab95983) at 1/1000 dilution

All lanes:

NIH 3T3 whole cell lysate at 30 µg

Predicted band size: 152 kDa

false

Key facts

Host species

Rabbit

Clonality

Polyclonal

Isotype

IgG

Carrier free

No

Reacts with

Mouse, Human

Applications

IHC-P, WB, ICC/IF

applications

Immunogen

The exact immunogen used to generate this antibody is proprietary information.

Reactivity data

{ "title": "Reactivity Data", "filters": { "stats": ["", "Species", "Dilution Info", "Notes"], "tabs": { "all-applications": {"fullname" : "All Applications", "shortname": "All Applications"}, "WB" : {"fullname" : "Western blot", "shortname":"WB"}, "IHCP" : {"fullname" : "Immunohistochemistry (Formalin/PFA-fixed paraffin-embedded sections)", "shortname":"IHC-P"}, "ICCIF" : {"fullname" : "Immunocytochemistry/ Immunofluorescence", "shortname":"ICC/IF"} }, "product-promise": { "all": "all", "testedAndGuaranteed": "tested", "guaranteed": "expected", "predicted": "predicted", "notRecommended": "not-recommended" } }, "values": { "Human": { "WB-species-checked": "guaranteed", "WB-species-dilution-info": "", "WB-species-notes": "", "IHCP-species-checked": "testedAndGuaranteed", "IHCP-species-dilution-info": "1/100 - 1/1000", "IHCP-species-notes": "<p></p>", "ICCIF-species-checked": "testedAndGuaranteed", "ICCIF-species-dilution-info": "1/100 - 1/1000", "ICCIF-species-notes": "<p></p>" }, "Mouse": { "WB-species-checked": "testedAndGuaranteed", "WB-species-dilution-info": "1/500 - 1/3000", "WB-species-notes": "<p></p>", "IHCP-species-checked": "guaranteed", "IHCP-species-dilution-info": "", "IHCP-species-notes": "", "ICCIF-species-checked": "guaranteed", "ICCIF-species-dilution-info": "", "ICCIF-species-notes": "" } } }

Properties and storage information

Form
Liquid
Purification technique
Affinity purification Immunogen
Storage buffer
pH: 7 Preservative: 0.01% Thimerosal (merthiolate) Constituents: PBS, 40% Glycerol (glycerin, glycerine)
Shipped at conditions
Blue Ice
Appropriate short-term storage conditions
+4°C
Appropriate long-term storage conditions
-20°C
Aliquoting information
Upon delivery aliquot
Storage information
Avoid freeze / thaw cycle

Supplementary information

This supplementary information is collated from multiple sources and compiled automatically.

RRBP1 also known as ribosome binding protein 1 is a significant endoplasmic reticulum (ER) membrane protein involved in ribosome binding and translocation of newly synthesized proteins. This protein also goes by the name p180 and has a molecular mass of approximately 180 kDa. RRBP1 is predominantly expressed in cells with high secretory activity such as those in the pancreas and liver where it assists in the robust production and processing of proteins required for secretion.
Biological function summary

RRBP1 facilitates the initial binding of ribosomes to the ER membrane a process essential for the proper targeting and translocation of proteins entering the secretory pathway. This protein is integral to the ribosome-ER association acting as a scaffold that stabilizes ribosome attachment during translation. RRBP1 functions as part of a larger translocon complex that includes proteins such as Sec61 which together form a channel for translocating polypeptides into the ER lumen or integrating them into the ER membrane.

Pathways

The protein is essential in protein synthesis and secretion pathways. RRBP1 coordinates with signal recognition particle-dependent pathways where it partners with proteins like Sec61 to ensure accurate translocation of secretory and membrane proteins across the ER membrane. In the unfolded protein response (UPR) pathway RRBP1 might also interact with ER chaperones to assist in protein folding and maintain cellular homeostasis under stress conditions.

Abnormalities in RRBP1 expression and function have associations with certain types of cancer including breast cancer where its overexpression contributes to tumor progression. Additionally RRBP1 dysregulation may relate to neurodegenerative diseases through its role in protein folding and ER stress response. Proteins like BiP (Grp78) an important chaperone involved in UPR may link to RRBP1 in these pathological states highlighting potential intersections between ER stress and disease pathways.

Product protocols

For this product, it's our understanding that no specific protocols are required. You can visit:

Target data

Acts as a ribosome receptor and mediates interaction between the ribosome and the endoplasmic reticulum membrane.
See full target information RRBP1

Publications (17)

Recent publications for all applications. Explore the full list and refine your search

The Journal of cell biology 223: PubMed37948126

2023

Membrane contact site detection (MCS-DETECT) reveals dual control of rough mitochondria-ER contacts.

Applications

Unspecified application

Species

Unspecified reactive species

Ben Cardoen,Kurt R Vandevoorde,Guang Gao,Milene Ortiz-Silva,Parsa Alan,William Liu,Ellie Tiliakou,A Wayne Vogl,Ghassan Hamarneh,Ivan R Nabi

Journal of biomedical science 30:13 PubMed36803854

2023

ER ribosomal-binding protein 1 regulates blood pressure and potassium homeostasis by modulating intracellular renin trafficking.

Applications

Unspecified application

Species

Unspecified reactive species

Chu-Hsuan Chiu,Chin-Feng Hsuan,Shih-Hua Lin,Yi-Jen Hung,Chii-Min Hwu,Siow-Wey Hee,Shu-Wha Lin,Sitt-Wai Fong,Patrick Ching-Ho Hsieh,Wei-Shun Yang,Wei-Chou Lin,Hsiao-Lin Lee,Meng-Lun Hsieh,Wen-Yi Li,Jou-Wei Lin,Chih-Neng Hsu,Vin-Cent Wu,Gwo-Tsann Chuang,Yi-Cheng Chang,Lee-Ming Chuang

Cancer science 114:1912-1928 PubMed36637351

2023

PRMT3 regulates the progression of invasive micropapillary carcinoma of the breast.

Applications

Unspecified application

Species

Unspecified reactive species

Renyong Zhi,Kailiang Wu,Jingyue Zhang,Hanjiao Liu,Chen Niu,Shuai Li,Li Fu

Reproductive biology and endocrinology : RB&E 20:161 PubMed36411474

2022

Endoplasmic reticulum stress increases exosome biogenesis and packaging relevant to sperm maturation in response to oxidative stress in obese mice.

Applications

Unspecified application

Species

Unspecified reactive species

Yangyang Li,Wenzhen Zhao,Rong Fu,Zhuoyao Ma,Yanqin Hu,Yue Liu,Zhide Ding

Neuron 110:1516-1531.e9 PubMed35216662

2022

Neuronal mitochondria transport Pink1 mRNA via synaptojanin 2 to support local mitophagy.

Applications

Unspecified application

Species

Unspecified reactive species

Angelika B Harbauer,J Tabitha Hees,Simone Wanderoy,Inmaculada Segura,Whitney Gibbs,Yiming Cheng,Martha Ordonez,Zerong Cai,Romain Cartoni,Ghazaleh Ashrafi,Chen Wang,Fabiana Perocchi,Zhigang He,Thomas L Schwarz

International journal of molecular sciences 22: PubMed34445467

2021

Hypomethylated RRBP1 Potentiates Tumor Malignancy and Chemoresistance in Upper Tract Urothelial Carcinoma.

Applications

Unspecified application

Species

Unspecified reactive species

Hao-Lun Luo,Hui-Ying Liu,Yin-Lun Chang,Ming-Tse Sung,Po-Yen Chen,Yu-Li Su,Chun-Chieh Huang,Jei-Ming Peng

Nature communications 12:4493 PubMed34301956

2021

ER - lysosome contacts at a pre-axonal region regulate axonal lysosome availability.

Applications

Unspecified application

Species

Unspecified reactive species

Nazmiye Özkan,Max Koppers,Inge van Soest,Alexandra van Harten,Daphne Jurriens,Nalan Liv,Judith Klumperman,Lukas C Kapitein,Casper C Hoogenraad,Ginny G Farías

British journal of cancer 124:2004-2016 PubMed33762722

2021

RRBP1 rewires cisplatin resistance in oral squamous cell carcinoma by regulating Hippo pathway.

Applications

Unspecified application

Species

Unspecified reactive species

Omprakash Shriwas,Rakesh Arya,Sibasish Mohanty,Pallavi Mohapatra,Sugandh Kumar,Rachna Rath,Sandeep Rai Kaushik,Falak Pahwa,Krushna Chandra Murmu,Saroj Kumar Das Majumdar,Dillip Kumar Muduly,Anshuman Dixit,Punit Prasad,Ranjan K Nanda,Rupesh Dash

Cell reports 34:108873 PubMed33730569

2021

Mitochondria-rough-ER contacts in the liver regulate systemic lipid homeostasis.

Applications

Unspecified application

Species

Unspecified reactive species

Irene Anastasia,Nicolò Ilacqua,Andrea Raimondi,Philippe Lemieux,Rana Ghandehari-Alavijeh,Guilhem Faure,Sergei L Mekhedov,Kevin J Williams,Federico Caicci,Giorgio Valle,Marta Giacomello,Ariel D Quiroga,Richard Lehner,Michael J Miksis,Katalin Toth,Thomas Q de Aguiar Vallim,Eugene V Koonin,Luca Scorrano,Luca Pellegrini

Oncology letters 20:203 PubMed32963609

2020

RRBP1 is highly expressed in bladder cancer and is associated with migration and invasion.

Applications

Unspecified application

Species

Unspecified reactive species

Mingshuai Wang,Sai Liu,Bolin Zhou,Jianwen Wang,Hao Ping,Nianzeng Xing
View all publications

Product promise

We are committed to supporting your work with high-quality reagents, and we're here for you every step of the way. In the unlikely event that one of our products does not perform as expected, you're protected by our Product Promise.
For full details, please see our Terms & Conditions

Please note: All products are 'FOR RESEARCH USE ONLY. NOT FOR USE IN DIAGNOSTIC OR THERAPEUTIC PROCEDURES'.

For licensing inquiries, please contact partnerships@abcam.com