JavaScript is disabled in your browser. Please enable JavaScript to view this website.
AB248620

Anti-RRM1 antibody [EPR8482] - BSA and Azide free

Be the first to review this product! Submit a review

|

(0 Publication)

Rabbit Recombinant Monoclonal RRM1 antibody. Carrier free. Suitable for IHC-P, WB and reacts with Human, Mouse samples.

View Alternative Names

RR1, RRM1, Ribonucleoside-diphosphate reductase large subunit, Ribonucleoside-diphosphate reductase subunit M1, Ribonucleotide reductase large subunit

4 Images
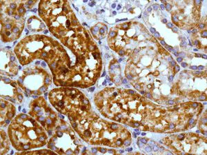
Immunohistochemistry (Formalin/PFA-fixed paraffin-embedded sections) - Anti-RRM1 antibody [EPR8482] - BSA and Azide free (AB248620)
  • IHC-P

Unknown

Immunohistochemistry (Formalin/PFA-fixed paraffin-embedded sections) - Anti-RRM1 antibody [EPR8482] - BSA and Azide free (AB248620)

This data was developed using ab133690, the same antibody clone in a different buffer formulation.

Immunohistochemical analysis of paraffin-embedded Human kidney tissue labelling RRM1 with ab133690 at 1/250 dilution.

Perform heat mediated antigen retrieval with citrate buffer pH 6 before commencing with IHC staining protocol.

Western blot - Anti-RRM1 antibody [EPR8482] - BSA and Azide free (AB248620)
  • WB

Unknown

Western blot - Anti-RRM1 antibody [EPR8482] - BSA and Azide free (AB248620)

This data was developed using ab133690, the same antibody clone in a different buffer formulation.

All lanes:

Western blot - Anti-RRM1 antibody [EPR8482] (<a href='/en-us/products/primary-antibodies/rrm1-antibody-epr8482-ab133690'>ab133690</a>) at 1/1000 dilution

Lane 1:

HeLa cell lysate at 10 µg

Lane 2:

HT29 cell lysate at 10 µg

Lane 3:

RAW 264.7 cell lysate at 10 µg

Lane 4:

NIH 3T3 cell lysate at 10 µg

Secondary

All lanes:

Goat anti-Rabbit HRP at 1/2000 dilution

Predicted band size: 90 kDa

false

Immunohistochemistry (Formalin/PFA-fixed paraffin-embedded sections) - Anti-RRM1 antibody [EPR8482] - BSA and Azide free (AB248620)
  • IHC-P

Unknown

Immunohistochemistry (Formalin/PFA-fixed paraffin-embedded sections) - Anti-RRM1 antibody [EPR8482] - BSA and Azide free (AB248620)

This data was developed using ab133690, the same antibody clone in a different buffer formulation.

Immunohistochemical analysis of paraffin-embedded Human placenta tissue labelling RRM1 with ab133690 at 1/250 dilution.

Perform heat mediated antigen retrieval with citrate buffer pH 6 before commencing with IHC staining protocol.

OI-RD Scanning - Anti-RRM1 antibody [EPR8482] - BSA and Azide free (AB248620)
  • OI-RD Scanning

Unknown

OI-RD Scanning - Anti-RRM1 antibody [EPR8482] - BSA and Azide free (AB248620)

We have systematically measured KD (the equilibrium dissociation constant between the antibody and its antigen), of more than 840 recombinant antibodies to assess not only their individual KD values but also to see the average affinity of antibody. Based on the comparison with published literature values for mouse monoclonal antibodies, Recombinant antibodies appear to be on average 1-2 order of magnitude higher affinity.

Key facts

Host species

Rabbit

Clonality

Monoclonal

Clone number

EPR8482

Isotype

IgG

Carrier free

Yes

Reacts with

Mouse, Human

Applications

IHC-P, WB

applications

Immunogen

The exact immunogen used to generate this antibody is proprietary information.

Reactivity data

{ "title": "Reactivity Data", "filters": { "stats": ["", "Species", "Dilution Info", "Notes"], "tabs": { "all-applications": {"fullname" : "All Applications", "shortname": "All Applications"}, "IHCP" : {"fullname" : "Immunohistochemistry (Formalin/PFA-fixed paraffin-embedded sections)", "shortname":"IHC-P"}, "IP" : {"fullname" : "Immunoprecipitation", "shortname":"IP"}, "WB" : {"fullname" : "Western blot", "shortname":"WB"}, "ICCIF" : {"fullname" : "Immunocytochemistry/ Immunofluorescence", "shortname":"ICC/IF"} }, "product-promise": { "all": "all", "testedAndGuaranteed": "tested", "guaranteed": "expected", "predicted": "predicted", "notRecommended": "not-recommended" } }, "values": { "Human": { "IHCP-species-checked": "testedAndGuaranteed", "IHCP-species-dilution-info": "", "IHCP-species-notes": "<p></p>", "IP-species-checked": "notRecommended", "IP-species-dilution-info": "", "IP-species-notes": "<p></p>", "WB-species-checked": "testedAndGuaranteed", "WB-species-dilution-info": "", "WB-species-notes": "<p></p>", "ICCIF-species-checked": "notRecommended", "ICCIF-species-dilution-info": "", "ICCIF-species-notes": "<p></p>" }, "Mouse": { "IHCP-species-checked": "guaranteed", "IHCP-species-dilution-info": "", "IHCP-species-notes": "", "IP-species-checked": "notRecommended", "IP-species-dilution-info": "", "IP-species-notes": "<p></p>", "WB-species-checked": "testedAndGuaranteed", "WB-species-dilution-info": "", "WB-species-notes": "<p></p>", "ICCIF-species-checked": "notRecommended", "ICCIF-species-dilution-info": "", "ICCIF-species-notes": "<p></p>" }, "Rat": { "IHCP-species-checked": "predicted", "IHCP-species-dilution-info": "", "IHCP-species-notes": "", "IP-species-checked": "notRecommended", "IP-species-dilution-info": "", "IP-species-notes": "", "WB-species-checked": "predicted", "WB-species-dilution-info": "", "WB-species-notes": "", "ICCIF-species-checked": "notRecommended", "ICCIF-species-dilution-info": "", "ICCIF-species-notes": "" } } }

Product details

ab248620 is the carrier-free version of ab133690.

Patented technology
Our RabMAb® technology is a patented hybridoma-based technology for making rabbit monoclonal antibodies. For details on our patents, please refer to RabMAb® patents.

What are the advantages of a recombinant monoclonal antibody?
This product is a recombinant monoclonal antibody, which offers several advantages including:

  • - High batch-to-batch consistency and reproducibility
  • - Improved sensitivity and specificity
  • - Long-term security of supply
  • - Animal-free batch production

For more information, read more on recombinant antibodies.

Conjugation ready
Our carrier-free antibodies are typically supplied in a PBS-only formulation, purified and free of BSA, sodium azide and glycerol. This conjugation-ready format is designed for use with fluorochromes, metal isotopes, oligonucleotides, and enzymes, which makes them ideal for antibody labelling, functional and cell-based assays, flow-based assays (e.g. mass cytometry) and Multiplex Imaging applications.

Use our conjugation kits for antibody conjugates that are ready-to-use in as little as 20 minutes with 1 minute hands-on-time and 100% antibody recovery: available for fluorescent dyes, HRP, biotin and gold.

Compatibility
This product is compatible with the Maxpar® Antibody Labeling Kit from Fluidigm, without the need for antibody preparation. Maxpar® is a trademark of Fluidigm Canada Inc.

Properties and storage information

Form
Liquid
Purification technique
Affinity purification Protein A
Storage buffer
pH: 7.2 - 7.4 Constituents: PBS
Shipped at conditions
Blue Ice
Appropriate short-term storage conditions
+4°C
Appropriate long-term storage conditions
+4°C
Storage information
Do Not Freeze

Supplementary information

This supplementary information is collated from multiple sources and compiled automatically.

RRM1 also known as ribonucleotide reductase large subunit or RNR1 plays an important role in DNA synthesis and repair converting ribonucleotides to deoxyribonucleotides. This enzyme has a mass of approximately 90 kDa. RRM1 is found in multiple tissues exhibiting especially high expression levels in proliferative tissues and tumors. Its activity is tightly regulated through the cell cycle and it is essential during DNA replication and cell division.
Biological function summary

The large subunit of ribonucleotide reductase contributes to the enzymatic function through binding and activation of smaller subunits including RRM2 and RRM2B forming a complex. This complex is important for maintaining balanced deoxyribonucleotide pools during the S-phase of the cell cycle. Proper RRM1 function ensures the fidelity of DNA synthesis impacting genomic stability and cell viability.

Pathways

RRM1 acts within the DNA replication and repair pathways. It interacts with the tumor suppressor protein p53 which modulates its activities in response to DNA damage. Through pathways like the p53-dependent checkpoint RRM1 contributes to DNA damage response mechanisms. This interaction with p53 and involvement in the DNA replication pathway highlight its centrality in maintaining genomic integrity.

RRM1 has connections with cancer and chemoresistance. Overexpression of RRM1 often correlates with increased tumor aggressiveness and poor prognosis in several cancers including lung and pancreatic cancers. In the context of chemoresistance RRM1 interplays with the excision repair cross-complementation group 1 protein (ERCC1) impacting the effectiveness of certain chemotherapies. Its role in these conditions makes it a target for cancer diagnosis and treatment strategies.

Product protocols

For this product, it's our understanding that no specific protocols are required. You can visit:

Target data

Provides the precursors necessary for DNA synthesis. Catalyzes the biosynthesis of deoxyribonucleotides from the corresponding ribonucleotides.
See full target information RRM1

Product promise

We are committed to supporting your work with high-quality reagents, and we're here for you every step of the way. In the unlikely event that one of our products does not perform as expected, you're protected by our Product Promise.
For full details, please see our Terms & Conditions

Please note: All products are 'FOR RESEARCH USE ONLY. NOT FOR USE IN DIAGNOSTIC OR THERAPEUTIC PROCEDURES'.

For licensing inquiries, please contact partnerships@abcam.com