JavaScript is disabled in your browser. Please enable JavaScript to view this website.
AB137114

Anti-RRM1 antibody [EPR8483]

5

(1 Review)

|

(18 Publications)

Rabbit Recombinant Monoclonal RRM1 antibody. Suitable for IHC-P, WB, ICC/IF, Flow Cyt (Intra) and reacts with Human, Mouse, Rat samples. Cited in 18 publications.

View Alternative Names

RR1, RRM1, Ribonucleoside-diphosphate reductase large subunit, Ribonucleoside-diphosphate reductase subunit M1, Ribonucleotide reductase large subunit

9 Images
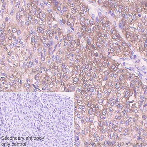
Immunohistochemistry (Formalin/PFA-fixed paraffin-embedded sections) - Anti-RRM1 antibody [EPR8483] (AB137114)
  • IHC-P

Unknown

Immunohistochemistry (Formalin/PFA-fixed paraffin-embedded sections) - Anti-RRM1 antibody [EPR8483] (AB137114)

Immunohistochemistry (Formalin/PFA-fixed paraffin-embedded sections) analysis of human lung carcinoma tissue sections labeling RRM1 with purified ab137114 at 1/1000 dilution (0.95 µg/ml). Perform heat mediated antigen retrieval using ab93684 (Tris/EDTA buffer, pH 9.0). ImmunoHistoProbe one step HRP Polymer (ready to use) was used as the secondary antibody. Negative control : PBS instead of the primary antibody. Hematoxylin was used as a counterstain.

Immunocytochemistry/ Immunofluorescence - Anti-RRM1 antibody [EPR8483] (AB137114)
  • ICC/IF

AbReview32463****

Immunocytochemistry/ Immunofluorescence - Anti-RRM1 antibody [EPR8483] (AB137114)

Unpurified ab137114 (1/200) staining RRM1 in Hela cells (green). Cells were fixed in paraformaldehyde, permeabilised in 0.5%Triton X-100/PBS and counterstained with DAPI in order to highlight the nucleus (red). For further experimental details please refer to Abreview.

Image courtesy of an Abreview submitted by Dr. Kirk McManus, Univ. of Manitoba/Cancer Care MICB, Canada

Flow Cytometry (Intracellular) - Anti-RRM1 antibody [EPR8483] (AB137114)
  • Flow Cyt (Intra)

Lab

Flow Cytometry (Intracellular) - Anti-RRM1 antibody [EPR8483] (AB137114)

unpurified ab137114 staining RRM1 in the human cell line HeLa (human cervix adenocarcinoma) by intracellular flow cytometry. Cells were fixed with 4% paraformaldehyde, permiabilised with 90% methanol and the sample was incubated with the primary antibody at a dilution of 1/100. A goat anti rabbit IgG (Alexa Fluor® 488) at a dilution of 1/2000 was used as the secondary antibody.

Isoytype control : Rabbit monoclonal IgG (Black)

Unlabelled control : Cell without incubation with primary antibody and secondary antibody (Blue)

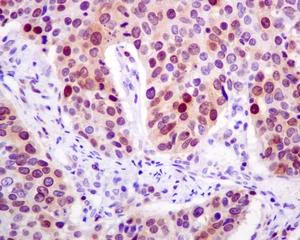
Immunohistochemistry (Formalin/PFA-fixed paraffin-embedded sections) - Anti-RRM1 antibody [EPR8483] (AB137114)
  • IHC-P

Unknown

Immunohistochemistry (Formalin/PFA-fixed paraffin-embedded sections) - Anti-RRM1 antibody [EPR8483] (AB137114)

Immunohistochemical analysis of paraffin-embedded Human lung carcinoma tissue labelling RRM1 with unpurified ab137114 at 1/100 dilution.

Perform heat mediated antigen retrieval with citrate buffer pH 6 before commencing with IHC staining protocol.

Immunocytochemistry/ Immunofluorescence - Anti-RRM1 antibody [EPR8483] (AB137114)
  • ICC/IF

Unknown

Immunocytochemistry/ Immunofluorescence - Anti-RRM1 antibody [EPR8483] (AB137114)

Immunocytochemistry/ Immunofluorescence analysis of HT-29 (Human colorectal adenocarcinoma epithelial cell) cells labeling RRM1 with purified ab137114 at 1/100 dilution (9.5 µg/ml). Cells were fixed in 4% Paraformaldehyde and permeabilized with 0.1% tritonX-100. Cells were counterstained with ab195889 Anti-alpha Tubulin antibody [DM1A] - Microtubule Marker (Alexa Fluor® 594) 1/200 (2.5 µg/ml). Goat anti rabbit IgG (Alexa Fluor® 488, ab150077) was used as the secondary antibody at 1/1000 (2 µg/ml) dilution. DAPI (blue) was used as nuclear counterstain. PBS instead of the primary antibody was used as the secondary antibody only control.

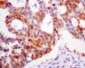
Immunohistochemistry (Formalin/PFA-fixed paraffin-embedded sections) - Anti-RRM1 antibody [EPR8483] (AB137114)
  • IHC-P

Unknown

Immunohistochemistry (Formalin/PFA-fixed paraffin-embedded sections) - Anti-RRM1 antibody [EPR8483] (AB137114)

Immunohistochemical analysis of paraffin-embedded Human colon carcinoma tissue labelling RRM1 with ab137114 at 1/100 dilution.

Perform heat mediated antigen retrieval with citrate buffer pH 6 before commencing with IHC staining protocol.

Western blot - Anti-RRM1 antibody [EPR8483] (AB137114)
  • WB

Lab

Western blot - Anti-RRM1 antibody [EPR8483] (AB137114)

All lanes:

Western blot - Anti-RRM1 antibody [EPR8483] (ab137114) at 1/10000 dilution

Lane 1:

HT-29 (Human colorectal adenocarcinoma epithelial cell) whole cell lysates at 20 µg

Lane 2:

A549 (Human lung carcinoma epithelial cell) whole cell lysates at 20 µg

Lane 3:

Mouse colon lysates at 20 µg

Lane 4:

Rat brain lysates at 20 µg

Lane 5:

Rat colon lysates at 20 µg

Secondary

All lanes:

Western blot - Goat Anti-Rabbit IgG H&L (HRP) (<a href='/en-us/products/secondary-antibodies/goat-rabbit-igg-h-l-hrp-ab97051'>ab97051</a>) at 1/20000 dilution

Predicted band size: 90 kDa

Observed band size: 90 kDa

false

Western blot - Anti-RRM1 antibody [EPR8483] (AB137114)
  • WB

Unknown

Western blot - Anti-RRM1 antibody [EPR8483] (AB137114)

All lanes:

Western blot - Anti-RRM1 antibody [EPR8483] (ab137114) at 1/10000 dilution

Lane 1:

HT29 cell lysate at 10 µg

Lane 2:

A549 cell lysate at 10 µg

Lane 3:

MCF7 cell lysate at 10 µg

Lane 4:

HeLa cell lysate at 10 µg

Secondary

All lanes:

Standard HRP-labeled goat anti-rabbit at 1/2000 dilution

Predicted band size: 90 kDa

true

Western blot - Anti-RRM1 antibody [EPR8483] (AB137114)
  • WB

CiteAb

Western blot - Anti-RRM1 antibody [EPR8483] (AB137114)

RRM1 western blot using anti-RRM1 antibody [EPR8483] ab137114. Publication image and figure legend from Zhou, J., Zhang, L., et al., 2020, Cancer Med, PubMed 31823522.

ab137114 was used in this publication in western blot. This may not be the same as the application(s) guaranteed by Abcam. For a full list of applications guaranteed by Abcam for ab137114 please see the product overview.

Expression of RRM1, STIM1, and TRIM21 was associated with the level of acquired gemcitabine (GEM) resistance. A, Venn diagram showed the top 20 consistently upregulated mRNAs in both GEM-resistant cell lines. B, Six intersected genes selected from among the top 20 consistently upregulated mRNAs. C and D, Total RNA and cytoplasmic proteins were extracted from BxPC-3, BxPC-3-GR, CFPAC-1, and CFPAC-1-GR. mRNA and protein expression levels of RRM1, STIM1, and TRIM21 were determined by quantitative reverse-transcription polymerase chain reaction and western blot analysis. Glyceraldehyde 3-phosphate dehydrogenase (GAPDH) was used as a control. E and F, RRM1, STIM1, and TRIM21 protein expression levels were measured by western blot analysis in both parental cell lines and their derived GEM subclones. GAPDH was used as a control. G, RRM1, STIM1, and TRIM21 protein expression levels among normal pancreatic and pancreatic cancer (PC) cell lines were evaluated by western blot analysis. GAPDH was used as a control. H, Histogram shows IC50 values for GEM in AsPC-1, BxPC-3, CFPAC-1, MIA PaCa-2, and PANC-1 cell lines. **p < .01, ***p < .001; comparisons indicated by lines

false

  • 660 APC

    APC Anti-RRM1 antibody [EPR8483]

  • Carrier free

    Anti-RRM1 antibody [EPR8483] - BSA and Azide free

Key facts

Host species

Rabbit

Clonality

Monoclonal

Clone number

EPR8483

Isotype

IgG

Carrier free

No

Reacts with

Mouse, Rat, Human

Applications

WB, Flow Cyt (Intra), IHC-P, ICC/IF

applications

Immunogen

The exact immunogen used to generate this antibody is proprietary information.

Specificity

The mouse and rat recommendation is based on the WB results. We do not guarantee IHC-P for mouse and rat.

Reactivity data

{ "title": "Reactivity Data", "filters": { "stats": ["", "Species", "Dilution Info", "Notes"], "tabs": { "all-applications": {"fullname" : "All Applications", "shortname": "All Applications"}, "IHCP" : {"fullname" : "Immunohistochemistry (Formalin/PFA-fixed paraffin-embedded sections)", "shortname":"IHC-P"}, "WB" : {"fullname" : "Western blot", "shortname":"WB"}, "ICCIF" : {"fullname" : "Immunocytochemistry/ Immunofluorescence", "shortname":"ICC/IF"}, "FlowCytIntra" : {"fullname" : "Flow Cytometry (Intracellular)", "shortname":"Flow Cyt (Intra)"} }, "product-promise": { "all": "all", "testedAndGuaranteed": "tested", "guaranteed": "expected", "predicted": "predicted", "notRecommended": "not-recommended" } }, "values": { "Human": { "IHCP-species-checked": "testedAndGuaranteed", "IHCP-species-dilution-info": "1/1000", "IHCP-species-notes": "<p>The mouse and rat recommendation is based on the WB results. We do not guarantee IHC-P for mouse and rat.</p><p><strong>For unpurified use at 1/100 - 1/250.</strong></p> Perform heat-mediated antigen retrieval with citrate buffer pH 6 before commencing with IHC staining protocol.", "WB-species-checked": "testedAndGuaranteed", "WB-species-dilution-info": "1/10000 - 1/50000", "WB-species-notes": "<p></p>", "ICCIF-species-checked": "testedAndGuaranteed", "ICCIF-species-dilution-info": "1/100 - 1/250", "ICCIF-species-notes": "<p></p>", "FlowCytIntra-species-checked": "testedAndGuaranteed", "FlowCytIntra-species-dilution-info": "1/100", "FlowCytIntra-species-notes": "<p></p>" }, "Mouse": { "IHCP-species-checked": "guaranteed", "IHCP-species-dilution-info": "", "IHCP-species-notes": "", "WB-species-checked": "testedAndGuaranteed", "WB-species-dilution-info": "1/10000 - 1/50000", "WB-species-notes": "<p></p>", "ICCIF-species-checked": "guaranteed", "ICCIF-species-dilution-info": "", "ICCIF-species-notes": "", "FlowCytIntra-species-checked": "guaranteed", "FlowCytIntra-species-dilution-info": "", "FlowCytIntra-species-notes": "" }, "Rat": { "IHCP-species-checked": "guaranteed", "IHCP-species-dilution-info": "", "IHCP-species-notes": "", "WB-species-checked": "testedAndGuaranteed", "WB-species-dilution-info": "1/10000 - 1/50000", "WB-species-notes": "<p></p>", "ICCIF-species-checked": "guaranteed", "ICCIF-species-dilution-info": "", "ICCIF-species-notes": "", "FlowCytIntra-species-checked": "guaranteed", "FlowCytIntra-species-dilution-info": "", "FlowCytIntra-species-notes": "" } } }

Product details

Patented technology
Our RabMAb® technology is a patented hybridoma-based technology for making rabbit monoclonal antibodies. For details on our patents, please refer to RabMAb® patents.

What are the advantages of a recombinant monoclonal antibody?
This product is a recombinant monoclonal antibody, which offers several advantages including:

  • - High batch-to-batch consistency and reproducibility
  • - Improved sensitivity and specificity
  • - Long-term security of supply
  • - Animal-free batch production

For more information, read more on recombinant antibodies.

Properties and storage information

Form
Liquid
Purification technique
Affinity purification Protein A
Storage buffer
Preservative: 0.01% Sodium azide Constituents: PBS, 40% Glycerol (glycerin, glycerine), 0.05% BSA
Shipped at conditions
Blue Ice
Appropriate short-term storage conditions
+4°C
Appropriate long-term storage conditions
-20°C

Supplementary information

This supplementary information is collated from multiple sources and compiled automatically.

RRM1 also known as ribonucleotide reductase large subunit or RNR1 plays an important role in DNA synthesis and repair converting ribonucleotides to deoxyribonucleotides. This enzyme has a mass of approximately 90 kDa. RRM1 is found in multiple tissues exhibiting especially high expression levels in proliferative tissues and tumors. Its activity is tightly regulated through the cell cycle and it is essential during DNA replication and cell division.
Biological function summary

The large subunit of ribonucleotide reductase contributes to the enzymatic function through binding and activation of smaller subunits including RRM2 and RRM2B forming a complex. This complex is important for maintaining balanced deoxyribonucleotide pools during the S-phase of the cell cycle. Proper RRM1 function ensures the fidelity of DNA synthesis impacting genomic stability and cell viability.

Pathways

RRM1 acts within the DNA replication and repair pathways. It interacts with the tumor suppressor protein p53 which modulates its activities in response to DNA damage. Through pathways like the p53-dependent checkpoint RRM1 contributes to DNA damage response mechanisms. This interaction with p53 and involvement in the DNA replication pathway highlight its centrality in maintaining genomic integrity.

RRM1 has connections with cancer and chemoresistance. Overexpression of RRM1 often correlates with increased tumor aggressiveness and poor prognosis in several cancers including lung and pancreatic cancers. In the context of chemoresistance RRM1 interplays with the excision repair cross-complementation group 1 protein (ERCC1) impacting the effectiveness of certain chemotherapies. Its role in these conditions makes it a target for cancer diagnosis and treatment strategies.

Product protocols

For this product, it's our understanding that no specific protocols are required. You can visit:

Target data

Provides the precursors necessary for DNA synthesis. Catalyzes the biosynthesis of deoxyribonucleotides from the corresponding ribonucleotides.
See full target information RRM1

Publications (18)

Recent publications for all applications. Explore the full list and refine your search

Cell death & disease 16:161 PubMed40055335

2025

SLC5A3 depletion promotes apoptosis by inducing mitochondrial dysfunction and mitophagy in gemcitabine-resistant pancreatic cancer cells.

Applications

Unspecified application

Species

Unspecified reactive species

Minsoo Kim,Woosol Chris Hong,Hyeon Woong Kang,Ju Hyun Kim,Dongyong Lee,Jae-Ho Cheong,Hye-Sol Jung,Wooil Kwon,Jin-Young Jang,Hyo Jung Kim,Joon Seong Park

EBioMedicine 95:104752 PubMed37572644

2023

Combination drug screen targeting glioblastoma core vulnerabilities reveals pharmacological synergisms.

Applications

Unspecified application

Species

Unspecified reactive species

Jérémy Ariey-Bonnet,Raphael Berges,Marie-Pierre Montero,Baptiste Mouysset,Patricia Piris,Kevin Muller,Guillaume Pinna,Tim W Failes,Greg M Arndt,Philippe Morando,Nathalie Baeza-Kallee,Carole Colin,Olivier Chinot,Diane Braguer,Xavier Morelli,Nicolas André,Manon Carré,Emeline Tabouret,Dominique Figarella-Branger,Marion Le Grand,Eddy Pasquier

Journal of molecular and cellular cardiology 175:1-12 PubMed36470336

2022

dATP elevation induces myocardial metabolic remodeling to support improved cardiac function.

Applications

Unspecified application

Species

Unspecified reactive species

Ketaki N Mhatre,Jason D Murray,Galina Flint,Timothy S McMillen,Gerhard Weber,Majid Shakeri,An-Yue Tu,Sonette Steczina,Robert Weiss,David J Marcinek,Charles E Murry,Daniel Raftery,Rong Tian,Farid Moussavi-Harami,Michael Regnier

Communications biology 5:571 PubMed35681099

2022

TAS1553, a small molecule subunit interaction inhibitor of ribonucleotide reductase, exhibits antitumor activity by causing DNA replication stress.

Applications

Unspecified application

Species

Unspecified reactive species

Hiroyuki Ueno,Takuya Hoshino,Wakako Yano,Sayaka Tsukioka,Takamasa Suzuki,Shoki Hara,Yoshio Ogino,Khoon Tee Chong,Tatsuya Suzuki,Shingo Tsuji,Hikaru Itadani,Ikuo Yamamiya,Yoshihiro Otsu,Satoshi Ito,Toshiya Yonekura,Miki Terasaka,Nozomu Tanaka,Seiji Miyahara

Heliyon 8:e09643 PubMed35711974

2022

Association between TOP2A, RRM1, HER2, ERCC1 expression and response to chemotherapy in patients with non-muscle invasive bladder cancer.

Applications

Unspecified application

Species

Unspecified reactive species

Zhifei Liu,Liyong Xing,Yanfeng Zhu,Peng Shi,Gang Deng

Scientific reports 11:13474 PubMed34188151

2021

De novo deoxyribonucleotide biosynthesis regulates cell growth and tumor progression in small-cell lung carcinoma.

Applications

Unspecified application

Species

Unspecified reactive species

Ami Maruyama,Yuzo Sato,Joji Nakayama,Junko Murai,Takamasa Ishikawa,Tomoyoshi Soga,Hideki Makinoshima

Frontiers in molecular biosciences 7:586146 PubMed33134322

2020

Novel TrxR1 Inhibitors Show Potential for Glioma Treatment by Suppressing the Invasion and Sensitizing Glioma Cells to Chemotherapy.

Applications

Unspecified application

Species

Unspecified reactive species

Mirna Jovanović,Miodrag Dragoj,Daniil Zhukovsky,Dmitry Dar'in,Mikhail Krasavin,Milica Pešić,Ana Podolski-Renić

Oncotarget 11:2906-2918 PubMed32774771

2020

Biomarker analysis to predict the pathological response to neoadjuvant chemotherapy in locally advanced gastric cancer: An exploratory biomarker study of COMPASS, a randomized phase II trial.

Applications

Unspecified application

Species

Unspecified reactive species

Takashi Oshima,Takaki Yoshikawa,Yohei Miyagi,Satoshi Morita,Michio Yamamoto,Kazuaki Tanabe,Kazuhiro Nishikawa,Yuichi Ito,Takanori Matsui,Yutaka Kimura,Tomoyuki Yokose,Yukihiko Hiroshima,Toru Aoyama,Tsutomu Hayashi,Takashi Ogata,Haruhiko Cho,Yasushi Rino,Munetaka Masuda,Akira Tsuburaya,Junichi Sakamoto

Cancer biotherapy & radiopharmaceuticals : PubMed32721218

2020

Exosome-Mediated Transfer of Long Noncoding RNA HOTAIR Regulates Temozolomide Resistance by miR-519a-3p/RRM1 Axis in Glioblastoma.

Applications

Unspecified application

Species

Unspecified reactive species

Zhihai Yuan,Zhen Yang,Weiqin Li,Aimei Wu,Zhixiang Su,Bin Jiang

Cancer medicine 9:1115-1130 PubMed31823522

2019

Identification of chemoresistance-related mRNAs based on gemcitabine-resistant pancreatic cancer cell lines.

Applications

Unspecified application

Species

Unspecified reactive species

Jiarong Zhou,Linshi Zhang,Huilin Zheng,Wenhao Ge,Yu Huang,Yingcai Yan,Xiaohu Zhou,Wei Zhu,Yang Kong,Yuan Ding,Weilin Wang
View all publications

Product promise

We are committed to supporting your work with high-quality reagents, and we're here for you every step of the way. In the unlikely event that one of our products does not perform as expected, you're protected by our Product Promise.
For full details, please see our Terms & Conditions

Please note: All products are 'FOR RESEARCH USE ONLY. NOT FOR USE IN DIAGNOSTIC OR THERAPEUTIC PROCEDURES'.

For licensing inquiries, please contact partnerships@abcam.com