JavaScript is disabled in your browser. Please enable JavaScript to view this website.
AB135383

Anti-RRM1 antibody [SP167]

Be the first to review this product! Submit a review

|

(2 Publications)

Rabbit Recombinant Monoclonal RRM1 antibody. Suitable for ICC/IF, Flow Cyt (Intra), IHC-P and reacts with Human samples. Cited in 2 publications.

View Alternative Names

RR1, RRM1, Ribonucleoside-diphosphate reductase large subunit, Ribonucleoside-diphosphate reductase subunit M1, Ribonucleotide reductase large subunit

3 Images
Flow Cytometry (Intracellular) - Anti-RRM1 antibody [SP167] (AB135383)
  • Flow Cyt (Intra)

Supplier Data

Flow Cytometry (Intracellular) - Anti-RRM1 antibody [SP167] (AB135383)

Intracellular flow cytometric analysis of rabbit anti-RRM1 (SP167) antibody ab135383 (1/400)in HeLa cells (green) compared to negative control of rabbit IgG (blue).

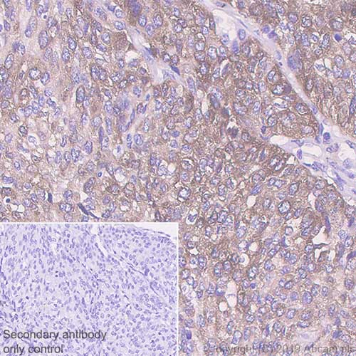
Immunohistochemistry (Formalin/PFA-fixed paraffin-embedded sections) - Anti-RRM1 antibody [SP167] (AB135383)
  • IHC-P

Unknown

Immunohistochemistry (Formalin/PFA-fixed paraffin-embedded sections) - Anti-RRM1 antibody [SP167] (AB135383)

Immunohistochemical analysis of paraffin embedded Human lung adenocarcinoma tissue labelling RRM1 with ab135383 antibody at a dilution of 1/100.

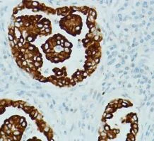
Immunocytochemistry/ Immunofluorescence - Anti-RRM1 antibody [SP167] (AB135383)
  • ICC/IF

Unknown

Immunocytochemistry/ Immunofluorescence - Anti-RRM1 antibody [SP167] (AB135383)

ICC/IF image of ab135383 stained HeLa cells. The cells were 4% formaldehyde fixed (10 min) and then incubated in 1%BSA / 10% normal goat serum / 0.3M glycine in 0.1% PBS-Tween for 1h to permeabilise the cells and block non-specific protein-protein interactions. The cells were then incubated with the antibody ab135383 at 1/100 dilution overnight at +4°C. The secondary antibody (green) was DyLight® 488 goat anti- rabbit (ab96899) IgG (H+L) used at a 1/250 dilution for 1h. Alexa Fluor® 594 WGA was used to label plasma membranes (red) at a 1/200 dilution for 1h. DAPI was used to stain the cell nuclei (blue) at a concentration of 1.43μM.

Key facts

Host species

Rabbit

Clonality

Monoclonal

Clone number

SP167

Isotype

IgG

Carrier free

No

Reacts with

Human

Applications

Flow Cyt (Intra), ICC/IF, IHC-P

applications

Immunogen

The exact immunogen used to generate this antibody is proprietary information.

Reactivity data

{ "title": "Reactivity Data", "filters": { "stats": ["", "Species", "Dilution Info", "Notes"], "tabs": { "all-applications": {"fullname" : "All Applications", "shortname": "All Applications"}, "ICCIF" : {"fullname" : "Immunocytochemistry/ Immunofluorescence", "shortname":"ICC/IF"}, "FlowCytIntra" : {"fullname" : "Flow Cytometry (Intracellular)", "shortname":"Flow Cyt (Intra)"}, "IHCP" : {"fullname" : "Immunohistochemistry (Formalin/PFA-fixed paraffin-embedded sections)", "shortname":"IHC-P"} }, "product-promise": { "all": "all", "testedAndGuaranteed": "tested", "guaranteed": "expected", "predicted": "predicted", "notRecommended": "not-recommended" } }, "values": { "Human": { "ICCIF-species-checked": "testedAndGuaranteed", "ICCIF-species-dilution-info": "1/100", "ICCIF-species-notes": "<p></p>", "FlowCytIntra-species-checked": "testedAndGuaranteed", "FlowCytIntra-species-dilution-info": "1/400", "FlowCytIntra-species-notes": "<p><a href='/en-us/products/primary-antibodies/rabbit-igg-monoclonal-epr25a-isotype-control-ab172730'>ab172730</a> - Rabbit monoclonal IgG, is suitable for use as an isotype control with this antibody.</p>", "IHCP-species-checked": "testedAndGuaranteed", "IHCP-species-dilution-info": "1/100", "IHCP-species-notes": "<p></p> Perform heat-mediated antigen retrieval with Tris/EDTA buffer pH 9.0 before commencing with IHC staining protocol." }, "Mouse": { "ICCIF-species-checked": "predicted", "ICCIF-species-dilution-info": "", "ICCIF-species-notes": "", "FlowCytIntra-species-checked": "predicted", "FlowCytIntra-species-dilution-info": "", "FlowCytIntra-species-notes": "", "IHCP-species-checked": "predicted", "IHCP-species-dilution-info": "", "IHCP-species-notes": "" }, "Cow": { "ICCIF-species-checked": "predicted", "ICCIF-species-dilution-info": "", "ICCIF-species-notes": "", "FlowCytIntra-species-checked": "predicted", "FlowCytIntra-species-dilution-info": "", "FlowCytIntra-species-notes": "", "IHCP-species-checked": "predicted", "IHCP-species-dilution-info": "", "IHCP-species-notes": "" } } }

Product details

Patented technology
Our RabMAb® technology is a patented hybridoma-based technology for making rabbit monoclonal antibodies. For details on our patents, please refer to RabMAb® patents.

What are the advantages of a recombinant monoclonal antibody?
This product is a recombinant monoclonal antibody, which offers several advantages including:

  • - High batch-to-batch consistency and reproducibility
  • - Improved sensitivity and specificity
  • - Long-term security of supply
  • - Animal-free batch production

For more information, read more on recombinant antibodies.

Properties and storage information

Form
Liquid
Purification technique
Affinity purification Protein A
Storage buffer
pH: 7.2 - 7.4 Preservative: 0.1% Sodium azide Constituents: PBS, 1% BSA
Shipped at conditions
Blue Ice
Appropriate short-term storage conditions
+4°C
Appropriate long-term storage conditions
-20°C
Aliquoting information
Upon delivery aliquot
Storage information
Avoid freeze / thaw cycle

Supplementary information

This supplementary information is collated from multiple sources and compiled automatically.

RRM1 also known as ribonucleotide reductase large subunit or RNR1 plays an important role in DNA synthesis and repair converting ribonucleotides to deoxyribonucleotides. This enzyme has a mass of approximately 90 kDa. RRM1 is found in multiple tissues exhibiting especially high expression levels in proliferative tissues and tumors. Its activity is tightly regulated through the cell cycle and it is essential during DNA replication and cell division.
Biological function summary

The large subunit of ribonucleotide reductase contributes to the enzymatic function through binding and activation of smaller subunits including RRM2 and RRM2B forming a complex. This complex is important for maintaining balanced deoxyribonucleotide pools during the S-phase of the cell cycle. Proper RRM1 function ensures the fidelity of DNA synthesis impacting genomic stability and cell viability.

Pathways

RRM1 acts within the DNA replication and repair pathways. It interacts with the tumor suppressor protein p53 which modulates its activities in response to DNA damage. Through pathways like the p53-dependent checkpoint RRM1 contributes to DNA damage response mechanisms. This interaction with p53 and involvement in the DNA replication pathway highlight its centrality in maintaining genomic integrity.

RRM1 has connections with cancer and chemoresistance. Overexpression of RRM1 often correlates with increased tumor aggressiveness and poor prognosis in several cancers including lung and pancreatic cancers. In the context of chemoresistance RRM1 interplays with the excision repair cross-complementation group 1 protein (ERCC1) impacting the effectiveness of certain chemotherapies. Its role in these conditions makes it a target for cancer diagnosis and treatment strategies.

Product protocols

For this product, it's our understanding that no specific protocols are required. You can visit:

Target data

Provides the precursors necessary for DNA synthesis. Catalyzes the biosynthesis of deoxyribonucleotides from the corresponding ribonucleotides.
See full target information RRM1

Publications (2)

Recent publications for all applications. Explore the full list and refine your search

The Journal of clinical endocrinology and metabolism 105: PubMed31586196

2019

The Efficacy of Mitotane in Human Primary Adrenocortical Carcinoma Cultures.

Applications

Unspecified application

Species

Unspecified reactive species

Peter M van Koetsveld,Sara G Creemers,Fadime Dogan,Gaston J H Franssen,Wouter W de Herder,Richard A Feelders,Leo J Hofland

Cancer science 109:1135-1146 PubMed29444383

2018

Stemness and anti-cancer drug resistance in ATP-binding cassette subfamily G member 2 highly expressed pancreatic cancer is induced in 3D culture conditions.

Applications

Unspecified application

Species

Unspecified reactive species

Norihiko Sasaki,Toshiyuki Ishiwata,Fumio Hasegawa,Masaki Michishita,Hiroki Kawai,Yoko Matsuda,Tomio Arai,Naoshi Ishikawa,Junko Aida,Kaiyo Takubo,Masashi Toyoda
View all publications

Product promise

We are committed to supporting your work with high-quality reagents, and we're here for you every step of the way. In the unlikely event that one of our products does not perform as expected, you're protected by our Product Promise.
For full details, please see our Terms & Conditions

Please note: All products are 'FOR RESEARCH USE ONLY. NOT FOR USE IN DIAGNOSTIC OR THERAPEUTIC PROCEDURES'.

For licensing inquiries, please contact partnerships@abcam.com