JavaScript is disabled in your browser. Please enable JavaScript to view this website.
AB172476

Anti-RRM2 antibody [EPR11820]

Be the first to review this product! Submit a review

|

(31 Publications)

Rabbit Recombinant Monoclonal RRM2 antibody. Suitable for IP, WB, IHC-P, ICC/IF and reacts with Human samples. Cited in 31 publications.

View Alternative Names

RR2, RRM2, Ribonucleoside-diphosphate reductase subunit M2, Ribonucleotide reductase small chain, Ribonucleotide reductase small subunit

6 Images
Immunocytochemistry/ Immunofluorescence - Anti-RRM2 antibody [EPR11820] (AB172476)
  • ICC/IF

Supplier Data

Immunocytochemistry/ Immunofluorescence - Anti-RRM2 antibody [EPR11820] (AB172476)

Immunofluorescent analysis of HeLa cells labeling RRM2 with ab172476 at 1/100 dilution (red). DAPI nuclear staining (blue).

Immunohistochemistry (Formalin/PFA-fixed paraffin-embedded sections) - Anti-RRM2 antibody [EPR11820] (AB172476)
  • IHC-P

Lab

Immunohistochemistry (Formalin/PFA-fixed paraffin-embedded sections) - Anti-RRM2 antibody [EPR11820] (AB172476)

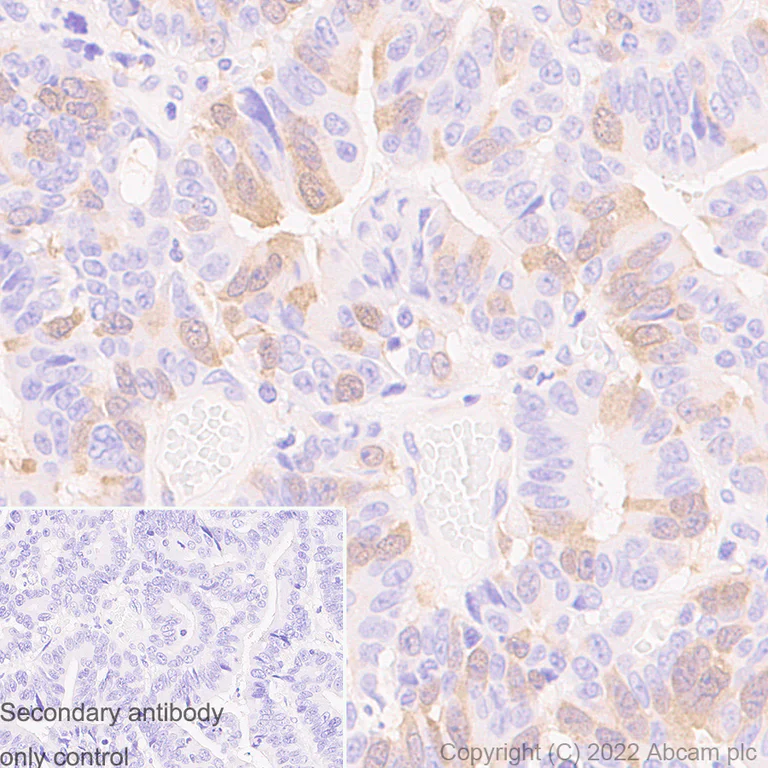
Immunohistochemical analysis of Paraffin-embedded sections Human Colon carcinoma tissue labelling RRM2 with ab172476 at 1/1000 dilution, followed by LeicaDS9800 (Bond® Polymer Refine Detection)(Ready to use). Positive staining on Human Colon carcinoma is observed. The section was incubated with ab172476 for 30 mins at room temperature. Counterstained with Hematoxylin. Secondary antibody only control : Used PBS instead of primary antibody, secondary antibody is LeicaDS9800 (Bond® Polymer Refine Detection)(Ready to use). Positive staining on human colon carcinoma. The immunostaining was performed on a Leica Biosystems BOND® RX instrument. Heat mediated antigen retrieval with Tris-EDTA buffer (pH 9.0, Epitope Retrieval Solution 2) for 20 mins.

Immunohistochemistry (Formalin/PFA-fixed paraffin-embedded sections) - Anti-RRM2 antibody [EPR11820] (AB172476)
  • IHC-P

Lab

Immunohistochemistry (Formalin/PFA-fixed paraffin-embedded sections) - Anti-RRM2 antibody [EPR11820] (AB172476)

Immunohistochemical analysis of Paraffin-embedded sections Human Cerebrum tissue labelling RRM2 with ab172476 at 1/1000 dilution, followed by LeicaDS9800 (Bond® Polymer Refine Detection)(Ready to use). Negative/low expression control : no staining in human cerebrum (PMID : 30745840). The section was incubated with ab172476 for 30 mins at room temperature. Counterstained with Hematoxylin. Secondary antibody only control : Used PBS instead of primary antibody, secondary antibody is LeicaDS9800 (Bond® Polymer Refine Detection)(Ready to use). The immunostaining was performed on a Leica Biosystems BOND® RX instrument. Heat mediated antigen retrieval with Tris-EDTA buffer (pH 9.0, Epitope Retrieval Solution 2) for 20 mins

Immunohistochemistry (Formalin/PFA-fixed paraffin-embedded sections) - Anti-RRM2 antibody [EPR11820] (AB172476)
  • IHC-P

Lab

Immunohistochemistry (Formalin/PFA-fixed paraffin-embedded sections) - Anti-RRM2 antibody [EPR11820] (AB172476)

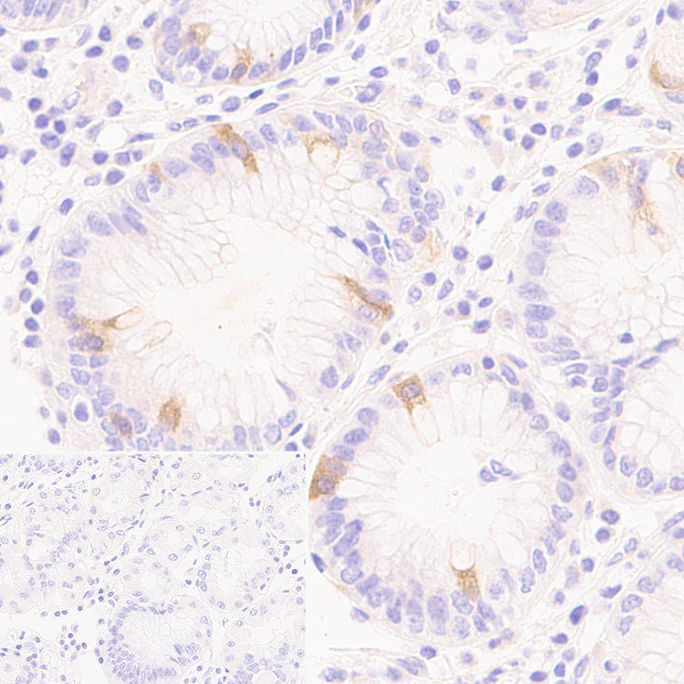
Immunohistochemical analysis of Paraffin-embedded sections Human Stomach tissue labelling RRM2 with ab172476 at 1/1000 dilution, followed by LeicaDS9800 (Bond® Polymer Refine Detection)(Ready to use).Human stomach staining on Human Stomach is observed. Counterstained with Hematoxylin. Secondary antibody only control : Used PBS instead of primary antibody, secondary antibody is LeicaDS9800 (Bond® Polymer Refine Detection)(Ready to use). Positive staining in human stomach. The section was incubated with ab172476 for 30 mins at room temperature. The immunostaining was performed on a Leica Biosystems BOND® RX instrument. Heat mediated antigen retrieval with Tris-EDTA buffer (pH 9.0, Epitope Retrieval Solution 2) for 20 mins.

Immunoprecipitation - Anti-RRM2 antibody [EPR11820] (AB172476)
  • IP

Supplier Data

Immunoprecipitation - Anti-RRM2 antibody [EPR11820] (AB172476)

Western blot analysis on immunoprecipitation pellet from HeLa cell lysate (lane 1) labeling RRM2 with ab172476 at 1/10 dilution or 1X PBS (lane 2) negative control. HRP-conjugated anti-Rabbit IgG preferentially detecting the non-reduced form of Rabbit IgG.

All lanes:

Immunoprecipitation - Anti-RRM2 antibody [EPR11820] (ab172476)

Predicted band size: 45 kDa

false

Western blot - Anti-RRM2 antibody [EPR11820] (AB172476)
  • WB

Supplier Data

Western blot - Anti-RRM2 antibody [EPR11820] (AB172476)

All lanes:

Western blot - Anti-RRM2 antibody [EPR11820] (ab172476) at 1/1000 dilution

Lane 1:

HeLa cell lysate at 10 µg

Lane 2:

HepG2 cell lysate at 10 µg

Lane 3:

K562 cell lysate at 10 µg

Lane 4:

Jurkat cell lysate at 10 µg

Predicted band size: 45 kDa

false

Key facts

Host species

Rabbit

Clonality

Monoclonal

Clone number

EPR11820

Isotype

IgG

Carrier free

No

Reacts with

Human

Applications

IP, ICC/IF, WB, IHC-P

applications

Immunogen

The exact immunogen used to generate this antibody is proprietary information.

Reactivity data

{ "title": "Reactivity Data", "filters": { "stats": ["", "Species", "Dilution Info", "Notes"], "tabs": { "all-applications": {"fullname" : "All Applications", "shortname": "All Applications"}, "IP" : {"fullname" : "Immunoprecipitation", "shortname":"IP"}, "FlowCyt" : {"fullname" : "Flow Cytometry", "shortname":"Flow Cyt"}, "WB" : {"fullname" : "Western blot", "shortname":"WB"}, "IHCP" : {"fullname" : "Immunohistochemistry (Formalin/PFA-fixed paraffin-embedded sections)", "shortname":"IHC-P"}, "ICCIF" : {"fullname" : "Immunocytochemistry/ Immunofluorescence", "shortname":"ICC/IF"} }, "product-promise": { "all": "all", "testedAndGuaranteed": "tested", "guaranteed": "expected", "predicted": "predicted", "notRecommended": "not-recommended" } }, "values": { "Human": { "IP-species-checked": "testedAndGuaranteed", "IP-species-dilution-info": "1/10 - 1/100", "IP-species-notes": "<p></p>", "FlowCyt-species-checked": "notRecommended", "FlowCyt-species-dilution-info": "", "FlowCyt-species-notes": "<p></p>", "WB-species-checked": "testedAndGuaranteed", "WB-species-dilution-info": "1/1000 - 1/10000", "WB-species-notes": "<p></p>", "IHCP-species-checked": "testedAndGuaranteed", "IHCP-species-dilution-info": "1/1000", "IHCP-species-notes": "<p></p>", "ICCIF-species-checked": "testedAndGuaranteed", "ICCIF-species-dilution-info": "1/100 - 1/250", "ICCIF-species-notes": "<p></p>" } } }

Product details

Species reactivity
Mouse, Rat: We have preliminary internal testing data to indicate this antibody may not react with these species.
Please contact us for more information.

Patented technology
Our RabMAb® technology is a patented hybridoma-based technology for making rabbit monoclonal antibodies. For details on our patents, please refer to RabMAb® patents.

What are the advantages of a recombinant monoclonal antibody?
This product is a recombinant monoclonal antibody, which offers several advantages including:

  • - High batch-to-batch consistency and reproducibility
  • - Improved sensitivity and specificity
  • - Long-term security of supply
  • - Animal-free batch production

For more information, read more on recombinant antibodies.

Properties and storage information

Form
Liquid
Purification technique
Affinity purification Protein A
Storage buffer
pH: 7.2 - 7.4 Preservative: 0.01% Sodium azide Constituents: PBS, 40% Glycerol (glycerin, glycerine), 0.05% BSA
Shipped at conditions
Blue Ice
Appropriate short-term storage duration
1-2 weeks
Appropriate short-term storage conditions
+4°C
Appropriate long-term storage conditions
-20°C
Aliquoting information
Upon delivery aliquot
Storage information
Avoid freeze / thaw cycle

Supplementary information

This supplementary information is collated from multiple sources and compiled automatically.

RRM2 also known as Ribonucleotide Reductase Regulatory Subunit M2 is an important component of the ribonucleotide reductase enzyme complex which plays a significant part in DNA synthesis. This protein helps convert ribonucleotides into deoxyribonucleotides. RRM2 is approximately 45 kDa in size. Its expression occurs mostly in proliferating cells with high levels detected in the cytoplasm and nucleus. The expression level of RRM2 can vary significantly across different tissues correlating closely with cell division rates.
Biological function summary

The ribonucleotide reductase enzyme facilitates the critical function of DNA replication and repair. RRM2 forms a complex with RRM1 the large subunit necessary for enzyme activity. This complex regulates the balance of deoxyribonucleotide pools necessary for DNA synthesis. Variations or dysregulations in the activity of RRM2 can influence genetic stability and cell proliferation emphasizing its importance in cellular function.

Pathways

Ribonucleotide reductase and RRM2 participate significantly in the DNA synthesis and repair pathway. It is pivotal for maintaining DNA fidelity during replication. RRM2 actions relate to pathways involving other DNA replication proteins such as RRM1 and the replication factor C family. The synthesis pathway necessitates close cooperation between these proteins to ensure proper DNA replication and cell cycle progression.

Research has linked RRM2 to cancer and viral infections. Overexpression or mutations in the RRM2 gene may contribute to cancer development as seen in various tumor types indicating it as a potential target for cancer therapeutics. Moreover some viruses may hijack the host's RRM2 to facilitate their own replication. Targeting the RRM2 protein could potentially lead to novel treatment approaches in these diseases connecting it with other proteins like RRM1 which also share roles in tumor progression and viral replication.

Product protocols

For this product, it's our understanding that no specific protocols are required. You can visit:

Target data

Provides the precursors necessary for DNA synthesis. Catalyzes the biosynthesis of deoxyribonucleotides from the corresponding ribonucleotides. Inhibits Wnt signaling.
See full target information RRM2

Publications (31)

Recent publications for all applications. Explore the full list and refine your search

Frontiers in oncology 15:1567216 PubMed40510157

2025

promotes the proliferation, migration, and invasion of osteosarcoma cells by increasing the intracellular iron content and expression.

Applications

Unspecified application

Species

Unspecified reactive species

Guoqing Ren,Jian Zhou,Yong Su,Qiang Yang,Jianmin Li

Molecular & cellular oncology 12:2488537 PubMed40226818

2025

CHK1 inhibition overcomes gemcitabine resistance in non-small cell lung cancer cell A549.

Applications

Unspecified application

Species

Unspecified reactive species

Zhi-Yin Ke,Tian Fu,Xue-Chun Wang,Xuan Ma,Hai-Han Yin,Wen-Xuan Wang,Yong-Jun Liu,Ai-Ling Liang

Cell reports 43:114510 PubMed39018246

2024

Proteomic analysis reveals a PLK1-dependent G2/M degradation program and a role for AKAP2 in coordinating the mitotic cytoskeleton.

Applications

Unspecified application

Species

Unspecified reactive species

Ryan D Mouery,Kimberly Lukasik,Carolyn Hsu,Thomas Bonacci,Derek L Bolhuis,Xianxi Wang,C Allie Mills,E Drew Toomer,Owen G Canterbury,Kevin C Robertson,Timothy B Branigan,Nicholas G Brown,Laura E Herring,Stephanie L Gupton,Michael J Emanuele

Acta biochimica et biophysica Sinica 56:1055-1064 PubMed38804044

2024

EZH2 inhibition induces senescence via ERK1/2 signaling pathway in multiple myeloma.

Applications

Unspecified application

Species

Unspecified reactive species

Shushan Guo,Qiongwei Tang,Xuejie Gao,Liangning Hu,Ke Hu,Hui Zhang,Qikai Zhang,Yue Lai,Yujie Liu,Zhuning Wang,Shuaikang Chang,Yifei Zhang,Huifang Hu,Dong An,Yu Peng,Haiyan Cai,Jumei Shi

Nature communications 15:2485 PubMed38509117

2024

A structure-based designed small molecule depletes hRpn13 and a select group of KEN box proteins.

Applications

Unspecified application

Species

Unspecified reactive species

Xiuxiu Lu,Monika Chandravanshi,Venkata R Sabbasani,Snehal Gaikwad,V Keith Hughitt,Nana Gyabaah-Kessie,Bradley T Scroggins,Sudipto Das,Wazo Myint,Michelle E Clapp,Charles D Schwieters,Marzena A Dyba,Derek L Bolhuis,Janusz W Koscielniak,Thorkell Andresson,Michael J Emanuele,Nicholas G Brown,Hiroshi Matsuo,Raj Chari,Deborah E Citrin,Beverly A Mock,Rolf E Swenson,Kylie J Walters

Acta biochimica et biophysica Sinica 56:210-222 PubMed38273783

2024

lncRNA CYTOR promotes lung adenocarcinoma gemcitabine resistance and epithelial-mesenchymal transition by sponging miR-125a-5p and upregulating ANLN and RRM2.

Applications

Unspecified application

Species

Unspecified reactive species

Qijun Cao,Haixia Wang,Jialong Zhu,Chen Qi,Hairong Huang,Xiaoyuan Chu

Cell death & disease 14:778 PubMed38012214

2023

Knockdown of TACC3 inhibits tumor cell proliferation and increases chemosensitivity in pancreatic cancer.

Applications

Unspecified application

Species

Unspecified reactive species

Saimeng Shi,Duancheng Guo,Longyun Ye,Tianjiao Li,Qinglin Fei,Mengxiong Lin,Xianjun Yu,Kaizhou Jin,Weiding Wu

The Journal of biological chemistry 299:105385 PubMed37890780

2023

Atypical genotoxicity of carcinogenic nickel(II): Linkage to dNTP biosynthesis, DNA-incorporated rNMPs, and impaired repair of TOP1-DNA crosslinks.

Applications

Unspecified application

Species

Unspecified reactive species

Casey Krawic,Michal W Luczak,Sophia Valiente,Anatoly Zhitkovich

Journal of experimental & clinical cancer research : CR 42:209 PubMed37596700

2023

LncRNA SNHG4 promotes prostate cancer cell survival and resistance to enzalutamide through a let-7a/RREB1 positive feedback loop and a ceRNA network.

Applications

Unspecified application

Species

Unspecified reactive species

Qingzhuo Dong,Hui Qiu,Chiyuan Piao,Zhengxiu Li,Xiaolu Cui

Communications biology 6:249 PubMed36882565

2023

Ribonucleotide reductase subunit switching in hepatoblastoma drug response and relapse.

Applications

Unspecified application

Species

Unspecified reactive species

Anthony Brown,Qingfei Pan,Li Fan,Emilie Indersie,Cheng Tian,Nikolai Timchenko,Liyuan Li,Baranda S Hansen,Haiyan Tan,Meifen Lu,Junmin Peng,Shondra M Pruett-Miller,Jiyang Yu,Stefano Cairo,Liqin Zhu
View all publications

Product promise

We are committed to supporting your work with high-quality reagents, and we're here for you every step of the way. In the unlikely event that one of our products does not perform as expected, you're protected by our Product Promise.
For full details, please see our Terms & Conditions

Please note: All products are 'FOR RESEARCH USE ONLY. NOT FOR USE IN DIAGNOSTIC OR THERAPEUTIC PROCEDURES'.

For licensing inquiries, please contact partnerships@abcam.com