JavaScript is disabled in your browser. Please enable JavaScript to view this website.
AB240166

Anti-RRM2 antibody [EPR11820] - BSA and Azide free

Be the first to review this product! Submit a review

|

(1 Publication)

Rabbit Recombinant Monoclonal RRM2 antibody. Carrier free. Suitable for IP, WB, IHC-P, ICC/IF and reacts with Human samples. Cited in 1 publication.

View Alternative Names

RR2, RRM2, Ribonucleoside-diphosphate reductase subunit M2, Ribonucleotide reductase small chain, Ribonucleotide reductase small subunit

6 Images
Immunocytochemistry/ Immunofluorescence - Anti-RRM2 antibody [EPR11820] - BSA and Azide free (AB240166)
  • ICC/IF

Supplier Data

Immunocytochemistry/ Immunofluorescence - Anti-RRM2 antibody [EPR11820] - BSA and Azide free (AB240166)

Immunofluorescent analysis of HeLa cells labeling RRM2 with ab172476 at 1/100 dilution (red). DAPI nuclear staining (blue).

This data was developed using the same antibody clone in a different buffer formulation containing PBS, BSA, glycerol, and sodium azide (ab172476).

Immunohistochemistry (Formalin/PFA-fixed paraffin-embedded sections) - Anti-RRM2 antibody [EPR11820] - BSA and Azide free (AB240166)
  • IHC-P

Lab

Immunohistochemistry (Formalin/PFA-fixed paraffin-embedded sections) - Anti-RRM2 antibody [EPR11820] - BSA and Azide free (AB240166)

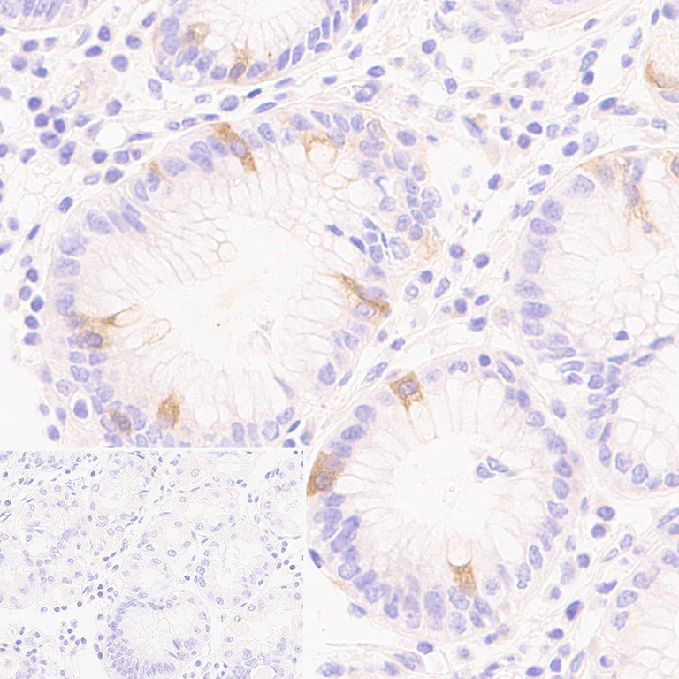
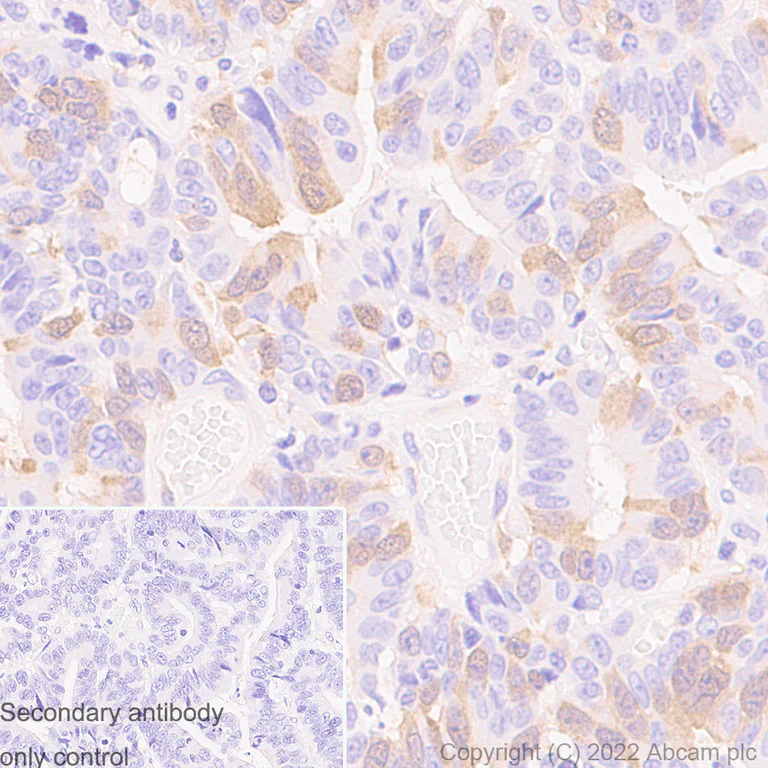
Immunohistochemical analysis of Paraffin-embedded sections Human Colon carcinoma tissue labelling RRM2 with ab172476 at 1/1000 dilution, followed by LeicaDS9800 (Bond® Polymer Refine Detection)(Ready to use). Positive staining on Human Colon carcinoma is observed. The section was incubated with ab172476 for 30 mins at room temperature. Counterstained with Hematoxylin. Secondary antibody only control : Used PBS instead of primary antibody, secondary antibody is LeicaDS9800 (Bond® Polymer Refine Detection)(Ready to use). Positive staining on human colon carcinoma. The immunostaining was performed on a Leica Biosystems BOND® RX instrument. Heat mediated antigen retrieval with Tris-EDTA buffer (pH 9.0, Epitope Retrieval Solution 2) for 20 mins. This data was developed using ab172476, the same antibody clone in a different buffer formulation.

Immunohistochemistry (Formalin/PFA-fixed paraffin-embedded sections) - Anti-RRM2 antibody [EPR11820] - BSA and Azide free (AB240166)
  • IHC-P

Lab

Immunohistochemistry (Formalin/PFA-fixed paraffin-embedded sections) - Anti-RRM2 antibody [EPR11820] - BSA and Azide free (AB240166)

Immunohistochemical analysis of Paraffin-embedded sections Human Cerebrum tissue labelling RRM2 with ab172476 at 1/1000 dilution, followed by LeicaDS9800 (Bond® Polymer Refine Detection)(Ready to use). Negative/low expression control : no staining in human cerebrum (PMID : 30745840). The section was incubated with ab172476 for 30 mins at room temperature. Counterstained with Hematoxylin. Secondary antibody only control : Used PBS instead of primary antibody, secondary antibody is LeicaDS9800 (Bond® Polymer Refine Detection)(Ready to use). The immunostaining was performed on a Leica Biosystems BOND® RX instrument. Heat mediated antigen retrieval with Tris-EDTA buffer (pH 9.0, Epitope Retrieval Solution 2) for 20 mins This data was developed using ab172476, the same antibody clone in a different buffer formulation.

Immunohistochemistry (Formalin/PFA-fixed paraffin-embedded sections) - Anti-RRM2 antibody [EPR11820] - BSA and Azide free (AB240166)
  • IHC-P

Lab

Immunohistochemistry (Formalin/PFA-fixed paraffin-embedded sections) - Anti-RRM2 antibody [EPR11820] - BSA and Azide free (AB240166)

Immunohistochemical analysis of Paraffin-embedded sections Human Stomach tissue labelling RRM2 with ab172476 at 1/1000 dilution, followed by LeicaDS9800 (Bond® Polymer Refine Detection)(Ready to use).Human stomach staining on Human Stomach is observed. Counterstained with Hematoxylin. Secondary antibody only control : Used PBS instead of primary antibody, secondary antibody is LeicaDS9800 (Bond® Polymer Refine Detection)(Ready to use). Positive staining in human stomach. The section was incubated with ab172476 for 30 mins at room temperature. The immunostaining was performed on a Leica Biosystems BOND® RX instrument. Heat mediated antigen retrieval with Tris-EDTA buffer (pH 9.0, Epitope Retrieval Solution 2) for 20 mins. This data was developed using ab172476, the same antibody clone in a different buffer formulation.

Western blot - Anti-RRM2 antibody [EPR11820] - BSA and Azide free (AB240166)
  • WB

Supplier Data

Western blot - Anti-RRM2 antibody [EPR11820] - BSA and Azide free (AB240166)

This data was developed using ab172476, the same antibody clone in a different buffer formulation.

All lanes:

Western blot - Anti-RRM2 antibody [EPR11820] (<a href='/en-us/products/primary-antibodies/rrm2-antibody-epr11820-ab172476'>ab172476</a>) at 1/1000 dilution

Lane 1:

HeLa cell lysate at 10 µg

Lane 2:

HepG2 cell lysate at 10 µg

Lane 3:

K562 cell lysate at 10 µg

Lane 4:

Jurkat cell lysate at 10 µg

Predicted band size: 45 kDa

false

Immunoprecipitation - Anti-RRM2 antibody [EPR11820] - BSA and Azide free (AB240166)
  • IP

Supplier Data

Immunoprecipitation - Anti-RRM2 antibody [EPR11820] - BSA and Azide free (AB240166)

Western blot analysis on immunoprecipitation pellet from HeLa cell lysate (lane 1) labeling RRM2 with ab172476 at 1/10 dilution or 1X PBS (lane 2) negative control. HRP-conjugated anti-Rabbit IgG preferentially detecting the non-reduced form of Rabbit IgG.

This data was developed using the same antibody clone in a different buffer formulation containing PBS, BSA, glycerol, and sodium azide (ab172476).

All lanes:

Immunoprecipitation - Anti-RRM2 antibody [EPR11820] (<a href='/en-us/products/primary-antibodies/rrm2-antibody-epr11820-ab172476'>ab172476</a>)

Predicted band size: 45 kDa

false

Key facts

Host species

Rabbit

Clonality

Monoclonal

Clone number

EPR11820

Isotype

IgG

Carrier free

Yes

Reacts with

Human

Applications

WB, ICC/IF, IP, IHC-P

applications

Immunogen

The exact immunogen used to generate this antibody is proprietary information.

Reactivity data

{ "title": "Reactivity Data", "filters": { "stats": ["", "Species", "Dilution Info", "Notes"], "tabs": { "all-applications": {"fullname" : "All Applications", "shortname": "All Applications"}, "IP" : {"fullname" : "Immunoprecipitation", "shortname":"IP"}, "FlowCyt" : {"fullname" : "Flow Cytometry", "shortname":"Flow Cyt"}, "WB" : {"fullname" : "Western blot", "shortname":"WB"}, "IHCP" : {"fullname" : "Immunohistochemistry (Formalin/PFA-fixed paraffin-embedded sections)", "shortname":"IHC-P"}, "ICCIF" : {"fullname" : "Immunocytochemistry/ Immunofluorescence", "shortname":"ICC/IF"} }, "product-promise": { "all": "all", "testedAndGuaranteed": "tested", "guaranteed": "expected", "predicted": "predicted", "notRecommended": "not-recommended" } }, "values": { "Human": { "IP-species-checked": "testedAndGuaranteed", "IP-species-dilution-info": "", "IP-species-notes": "<p></p>", "FlowCyt-species-checked": "notRecommended", "FlowCyt-species-dilution-info": "", "FlowCyt-species-notes": "<p></p>", "WB-species-checked": "testedAndGuaranteed", "WB-species-dilution-info": "", "WB-species-notes": "<p></p>", "IHCP-species-checked": "testedAndGuaranteed", "IHCP-species-dilution-info": "", "IHCP-species-notes": "<p></p>", "ICCIF-species-checked": "testedAndGuaranteed", "ICCIF-species-dilution-info": "", "ICCIF-species-notes": "<p></p>" } } }

Product details

ab240166 is the carrier-free version of ab172476.

Species reactivity
Mouse, Rat: We have preliminary internal testing data to indicate this antibody may not react with these species.
Please contact us for more information.

Patented technology
Our RabMAb® technology is a patented hybridoma-based technology for making rabbit monoclonal antibodies. For details on our patents, please refer to RabMAb® patents.

What are the advantages of a recombinant monoclonal antibody?
This product is a recombinant monoclonal antibody, which offers several advantages including:

  • - High batch-to-batch consistency and reproducibility
  • - Improved sensitivity and specificity
  • - Long-term security of supply
  • - Animal-free batch production

For more information, read more on recombinant antibodies.

Conjugation ready
Our carrier-free antibodies are typically supplied in a PBS-only formulation, purified and free of BSA, sodium azide and glycerol. This conjugation-ready format is designed for use with fluorochromes, metal isotopes, oligonucleotides, and enzymes, which makes them ideal for antibody labelling, functional and cell-based assays, flow-based assays (e.g. mass cytometry) and Multiplex Imaging applications.

Use our conjugation kits for antibody conjugates that are ready-to-use in as little as 20 minutes with 1 minute hands-on-time and 100% antibody recovery: available for fluorescent dyes, HRP, biotin and gold.

Compatibility
This product is compatible with the Maxpar® Antibody Labeling Kit from Fluidigm, without the need for antibody preparation. Maxpar® is a trademark of Fluidigm Canada Inc.

Properties and storage information

Form
Liquid
Purification technique
Affinity purification Protein A
Storage buffer
pH: 7.2 - 7.4 Constituents: PBS
Shipped at conditions
Blue Ice
Appropriate short-term storage conditions
+4°C
Appropriate long-term storage conditions
+4°C
Storage information
Do Not Freeze

Supplementary information

This supplementary information is collated from multiple sources and compiled automatically.

RRM2 also known as Ribonucleotide Reductase Regulatory Subunit M2 is an important component of the ribonucleotide reductase enzyme complex which plays a significant part in DNA synthesis. This protein helps convert ribonucleotides into deoxyribonucleotides. RRM2 is approximately 45 kDa in size. Its expression occurs mostly in proliferating cells with high levels detected in the cytoplasm and nucleus. The expression level of RRM2 can vary significantly across different tissues correlating closely with cell division rates.
Biological function summary

The ribonucleotide reductase enzyme facilitates the critical function of DNA replication and repair. RRM2 forms a complex with RRM1 the large subunit necessary for enzyme activity. This complex regulates the balance of deoxyribonucleotide pools necessary for DNA synthesis. Variations or dysregulations in the activity of RRM2 can influence genetic stability and cell proliferation emphasizing its importance in cellular function.

Pathways

Ribonucleotide reductase and RRM2 participate significantly in the DNA synthesis and repair pathway. It is pivotal for maintaining DNA fidelity during replication. RRM2 actions relate to pathways involving other DNA replication proteins such as RRM1 and the replication factor C family. The synthesis pathway necessitates close cooperation between these proteins to ensure proper DNA replication and cell cycle progression.

Research has linked RRM2 to cancer and viral infections. Overexpression or mutations in the RRM2 gene may contribute to cancer development as seen in various tumor types indicating it as a potential target for cancer therapeutics. Moreover some viruses may hijack the host's RRM2 to facilitate their own replication. Targeting the RRM2 protein could potentially lead to novel treatment approaches in these diseases connecting it with other proteins like RRM1 which also share roles in tumor progression and viral replication.

Product protocols

For this product, it's our understanding that no specific protocols are required. You can visit:

Target data

Provides the precursors necessary for DNA synthesis. Catalyzes the biosynthesis of deoxyribonucleotides from the corresponding ribonucleotides. Inhibits Wnt signaling.
See full target information RRM2

Publications (1)

Recent publications for all applications. Explore the full list and refine your search

Journal of traditional Chinese medicine = Chung i tsa chih ying wen pan 43:494-500 PubMed37147750

2023

Electroacupuncture alleviates water avoidance stress-induced irritable bowel syndrome in mice by improving intestinal barrier functions and suppressing the expression of inflammatory cytokines.

Applications

Unspecified application

Species

Unspecified reactive species

Sun Mengzhu,Zhang Yujie,Song Yafang,Guo Jing,Wang Yuhang,Xin Chen,G U Dongmei,Sun Jianhua,Pei Lixia
View all publications

Product promise

We are committed to supporting your work with high-quality reagents, and we're here for you every step of the way. In the unlikely event that one of our products does not perform as expected, you're protected by our Product Promise.
For full details, please see our Terms & Conditions

Please note: All products are 'FOR RESEARCH USE ONLY. NOT FOR USE IN DIAGNOSTIC OR THERAPEUTIC PROCEDURES'.

For licensing inquiries, please contact partnerships@abcam.com