JavaScript is disabled in your browser. Please enable JavaScript to view this website.
AB250828

Anti-RRP4 antibody [EPR13606(B)] - BSA and Azide free

Be the first to review this product! Submit a review

|

(0 Publication)

Rabbit Recombinant Monoclonal RRP4 antibody. Carrier free. Suitable for WB, Flow Cyt (Intra), IHC-P and reacts with Human samples.

View Alternative Names

RRP4, EXOSC2, Exosome complex component RRP4, Exosome component 2, Ribosomal RNA-processing protein 4

3 Images
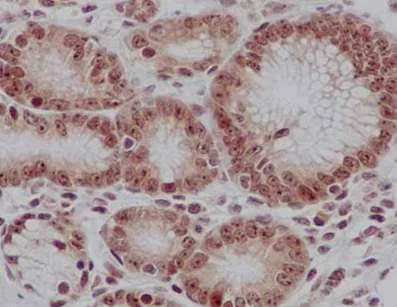
Immunohistochemistry (Formalin/PFA-fixed paraffin-embedded sections) - Anti-RRP4 antibody [EPR13606(B)] - BSA and Azide free (AB250828)
  • IHC-P

Supplier Data

Immunohistochemistry (Formalin/PFA-fixed paraffin-embedded sections) - Anti-RRP4 antibody [EPR13606(B)] - BSA and Azide free (AB250828)

This data was developed using ab185235, the same antibody clone in a different buffer formulation.

Immunohistochemical analysis of paraffin-embedded Human stomach tissue labeling RRP4 with ab185235 at 1/100 dilution followed by pre-diluted HRP-conjugated secondary antibody and counter-stained with Hematoxylin.

Perform heat mediated antigen retrieval with EDTA buffer pH 9 before commencing with IHC staining protocol.

Flow Cytometry (Intracellular) - Anti-RRP4 antibody [EPR13606(B)] - BSA and Azide free (AB250828)
  • Flow Cyt (Intra)

Supplier Data

Flow Cytometry (Intracellular) - Anti-RRP4 antibody [EPR13606(B)] - BSA and Azide free (AB250828)

This data was developed using ab185235, the same antibody clone in a different buffer formulation.

Intracellular flow cytometric analysis of HeLa cells (2% paraformaldehyde-fixed) labeling RRP4 with ab185235 at 1/180 dilution (red) or a rabbit IgG (negative) (green), followed by Goat anti rabbit IgG (FITC) secondary at 1/150 dilution.

Western blot - Anti-RRP4 antibody [EPR13606(B)] - BSA and Azide free (AB250828)
  • WB

Supplier Data

Western blot - Anti-RRP4 antibody [EPR13606(B)] - BSA and Azide free (AB250828)

This data was developed using ab185235, the same antibody clone in a different buffer formulation.

All lanes:

Western blot - Anti-RRP4 antibody [EPR13606(B)] - C-terminal (<a href='/en-us/products/primary-antibodies/rrp4-antibody-epr13606b-c-terminal-ab185235'>ab185235</a>) at 1/1000 dilution

Lane 1:

HepG2 cell lysate at 20 µg

Lane 2:

HeLa cell lysate at 20 µg

Lane 3:

293 cell lysate at 20 µg

Lane 4:

Jurkat cell lysate at 20 µg

Secondary

All lanes:

Goat Anti-Rabbit IgG, (H+L), Peroxidase conjugated at 1/1000 dilution

Predicted band size: 33 kDa

false

  • Unconjugated

    Anti-RRP4 antibody [EPR13606(B)] - C-terminal

Key facts

Host species

Rabbit

Clonality

Monoclonal

Clone number

EPR13606(B)

Isotype

IgG

Carrier free

Yes

Reacts with

Human

Applications

IHC-P, WB, Flow Cyt (Intra)

applications

Immunogen

The exact immunogen used to generate this antibody is proprietary information.

Reactivity data

{ "title": "Reactivity Data", "filters": { "stats": ["", "Species", "Dilution Info", "Notes"], "tabs": { "all-applications": {"fullname" : "All Applications", "shortname": "All Applications"}, "WB" : {"fullname" : "Western blot", "shortname":"WB"}, "FlowCytIntra" : {"fullname" : "Flow Cytometry (Intracellular)", "shortname":"Flow Cyt (Intra)"}, "IHCP" : {"fullname" : "Immunohistochemistry (Formalin/PFA-fixed paraffin-embedded sections)", "shortname":"IHC-P"} }, "product-promise": { "all": "all", "testedAndGuaranteed": "tested", "guaranteed": "expected", "predicted": "predicted", "notRecommended": "not-recommended" } }, "values": { "Human": { "WB-species-checked": "testedAndGuaranteed", "WB-species-dilution-info": "", "WB-species-notes": "<p></p>", "FlowCytIntra-species-checked": "testedAndGuaranteed", "FlowCytIntra-species-dilution-info": "", "FlowCytIntra-species-notes": "<p></p>", "IHCP-species-checked": "testedAndGuaranteed", "IHCP-species-dilution-info": "", "IHCP-species-notes": "<p></p>" }, "Mouse": { "WB-species-checked": "predicted", "WB-species-dilution-info": "", "WB-species-notes": "", "FlowCytIntra-species-checked": "predicted", "FlowCytIntra-species-dilution-info": "", "FlowCytIntra-species-notes": "", "IHCP-species-checked": "predicted", "IHCP-species-dilution-info": "", "IHCP-species-notes": "" }, "Rat": { "WB-species-checked": "predicted", "WB-species-dilution-info": "", "WB-species-notes": "", "FlowCytIntra-species-checked": "predicted", "FlowCytIntra-species-dilution-info": "", "FlowCytIntra-species-notes": "", "IHCP-species-checked": "predicted", "IHCP-species-dilution-info": "", "IHCP-species-notes": "" } } }

Product details

ab250828 is the carrier-free version of ab185235.

Patented technology
Our RabMAb® technology is a patented hybridoma-based technology for making rabbit monoclonal antibodies. For details on our patents, please refer to RabMAb® patents.

What are the advantages of a recombinant monoclonal antibody?
This product is a recombinant monoclonal antibody, which offers several advantages including:

  • - High batch-to-batch consistency and reproducibility
  • - Improved sensitivity and specificity
  • - Long-term security of supply
  • - Animal-free batch production

For more information, read more on recombinant antibodies.

Conjugation ready
Our carrier-free antibodies are typically supplied in a PBS-only formulation, purified and free of BSA, sodium azide and glycerol. This conjugation-ready format is designed for use with fluorochromes, metal isotopes, oligonucleotides, and enzymes, which makes them ideal for antibody labelling, functional and cell-based assays, flow-based assays (e.g. mass cytometry) and Multiplex Imaging applications.

Use our conjugation kits for antibody conjugates that are ready-to-use in as little as 20 minutes with 1 minute hands-on-time and 100% antibody recovery: available for fluorescent dyes, HRP, biotin and gold.

Compatibility
This product is compatible with the Maxpar® Antibody Labeling Kit from Fluidigm, without the need for antibody preparation. Maxpar® is a trademark of Fluidigm Canada Inc.

Properties and storage information

Form
Liquid
Purification technique
Affinity purification Protein A
Storage buffer
pH: 7.2 - 7.4 Constituents: PBS
Shipped at conditions
Blue Ice
Appropriate short-term storage conditions
+4°C
Appropriate long-term storage conditions
+4°C
Storage information
Do Not Freeze

Supplementary information

This supplementary information is collated from multiple sources and compiled automatically.

RRP4 also known as RRP4 homolog is a component of the exosome complex a multi-protein complex involved in RNA processing. RRP4 plays an important mechanical role in RNA degradation and it is essential for maintaining RNA stability by facilitating the 3' to 5' exonucleolytic trimming of RNA molecules. This protein has a molecular mass of approximately 26 kDa and is widely expressed in the nucleus and cytoplasm where it participates in various RNA processing tasks.
Biological function summary

RRP4 performs an important role in RNA metabolism and is a vital constituent of the exosome complex which is responsible for RNA processing degradation and surveillance. The exosome complex acts in RNA quality control targeting malformed RNAs for degradation. RRP4 contributes to rRNA processing and maturation by forming stable interactions within the nucleolus. This activity ensures the accuracy and functionality of ribosomal RNA supporting the cell's protein synthesis machinery.

Pathways

RRP4 plays a critical function in the RNA processing pathways and is involved in rRNA and mRNA turnover. RRP4 interconnects with pathways involving exosome components like RRP6 and DIS3 which also contribute to RNA decay. Processing of rRNA by mechanisms involving RRP4 ensures the quality of ribosome assembly which is essential for translation and cellular homeostasis.

Improper function of the exosome complex including RRP4 associates with neurological conditions such as pontocerebellar hypoplasia and certain forms of cancer. RRP4 alongside proteins like RRP6 and DIS3 can accumulate mutations affecting exosome functionality. This can lead to disrupted RNA processing and accumulation of faulty RNA products contributing to disease pathogenesis. Understanding these interactions is vital for developing therapeutic approaches targeting such conditions.

Product protocols

For this product, it's our understanding that no specific protocols are required. You can visit:

Target data

Non-catalytic component of the RNA exosome complex which has 3'->5' exoribonuclease activity and participates in a multitude of cellular RNA processing and degradation events. In the nucleus, the RNA exosome complex is involved in proper maturation of stable RNA species such as rRNA, snRNA and snoRNA, in the elimination of RNA processing by-products and non-coding 'pervasive' transcripts, such as antisense RNA species and promoter-upstream transcripts (PROMPTs), and of mRNAs with processing defects, thereby limiting or excluding their export to the cytoplasm. The RNA exosome may be involved in Ig class switch recombination (CSR) and/or Ig variable region somatic hypermutation (SHM) by targeting AICDA deamination activity to transcribed dsDNA substrates. In the cytoplasm, the RNA exosome complex is involved in general mRNA turnover and specifically degrades inherently unstable mRNAs containing AU-rich elements (AREs) within their 3' untranslated regions, and in RNA surveillance pathways, preventing translation of aberrant mRNAs. It seems to be involved in degradation of histone mRNA. The catalytic inactive RNA exosome core complex of 9 subunits (Exo-9) is proposed to play a pivotal role in the binding and presentation of RNA for ribonucleolysis, and to serve as a scaffold for the association with catalytic subunits and accessory proteins or complexes. EXOSC2 as peripheral part of the Exo-9 complex stabilizes the hexameric ring of RNase PH-domain subunits through contacts with EXOSC4 and EXOSC7.
See full target information EXOSC2

Product promise

We are committed to supporting your work with high-quality reagents, and we're here for you every step of the way. In the unlikely event that one of our products does not perform as expected, you're protected by our Product Promise.
For full details, please see our Terms & Conditions

Please note: All products are 'FOR RESEARCH USE ONLY. NOT FOR USE IN DIAGNOSTIC OR THERAPEUTIC PROCEDURES'.

For licensing inquiries, please contact partnerships@abcam.com