JavaScript is disabled in your browser. Please enable JavaScript to view this website.
AB248166

Anti-RRP42 antibody [EPR7452] - BSA and Azide free

Be the first to review this product! Submit a review

|

(1 Publication)

Rabbit Recombinant Monoclonal RRP42 antibody. Carrier free. Suitable for IHC-P, WB and reacts with Human samples. Cited in 1 publication.

View Alternative Names

KIAA0116, RRP42, EXOSC7, Exosome complex component RRP42, Exosome component 7, Ribosomal RNA-processing protein 42, p8

3 Images
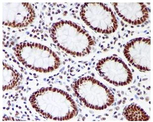
Immunohistochemistry (Formalin/PFA-fixed paraffin-embedded sections) - Anti-RRP42 antibody [EPR7452] - BSA and Azide free (AB248166)
  • IHC-P

Unknown

Immunohistochemistry (Formalin/PFA-fixed paraffin-embedded sections) - Anti-RRP42 antibody [EPR7452] - BSA and Azide free (AB248166)

This data was developed using ab126750, the same antibody clone in a different buffer formulation.

ab126750, at 1/100 dilution, staining RRP42 in paraffin-embedded Human colon tissue by Immunohistochemistry.

Perform heat mediated antigen retrieval with citrate buffer pH 6 before commencing with IHC staining protocol.

Western blot - Anti-RRP42 antibody [EPR7452] - BSA and Azide free (AB248166)
  • WB

Unknown

Western blot - Anti-RRP42 antibody [EPR7452] - BSA and Azide free (AB248166)

This data was developed using ab126750, the same antibody clone in a different buffer formulation.

All lanes:

Western blot - Anti-RRP42 antibody [EPR7452] (<a href='/en-us/products/primary-antibodies/rrp42-antibody-epr7452-ab126750'>ab126750</a>) at 1/10000 dilution

Lane 1:

K562 cell lysate at 10 µg

Lane 2:

Jurkat cell lysate at 10 µg

Lane 3:

NCI-H460 cell lysate at 10 µg

Secondary

All lanes:

HRP labelled goat anti-rabbit at 1/2000 dilution

Predicted band size: 32 kDa

false

OI-RD Scanning - Anti-RRP42 antibody [EPR7452] - BSA and Azide free (AB248166)
  • OI-RD Scanning

Unknown

OI-RD Scanning - Anti-RRP42 antibody [EPR7452] - BSA and Azide free (AB248166)

We have systematically measured KD (the equilibrium dissociation constant between the antibody and its antigen), of more than 840 recombinant antibodies to assess not only their individual KD values but also to see the average affinity of antibody. Based on the comparison with published literature values for mouse monoclonal antibodies, Recombinant antibodies appear to be on average 1-2 order of magnitude higher affinity.

Key facts

Host species

Rabbit

Clonality

Monoclonal

Clone number

EPR7452

Isotype

IgG

Carrier free

Yes

Reacts with

Human

Applications

WB, IHC-P

applications

Immunogen

The exact immunogen used to generate this antibody is proprietary information.

Reactivity data

{ "title": "Reactivity Data", "filters": { "stats": ["", "Species", "Dilution Info", "Notes"], "tabs": { "all-applications": {"fullname" : "All Applications", "shortname": "All Applications"}, "IHCP" : {"fullname" : "Immunohistochemistry (Formalin/PFA-fixed paraffin-embedded sections)", "shortname":"IHC-P"}, "ICCIF" : {"fullname" : "Immunocytochemistry/ Immunofluorescence", "shortname":"ICC/IF"}, "FlowCyt" : {"fullname" : "Flow Cytometry", "shortname":"Flow Cyt"}, "WB" : {"fullname" : "Western blot", "shortname":"WB"} }, "product-promise": { "all": "all", "testedAndGuaranteed": "tested", "guaranteed": "expected", "predicted": "predicted", "notRecommended": "not-recommended" } }, "values": { "Human": { "IHCP-species-checked": "testedAndGuaranteed", "IHCP-species-dilution-info": "", "IHCP-species-notes": "<p></p>", "ICCIF-species-checked": "notRecommended", "ICCIF-species-dilution-info": "", "ICCIF-species-notes": "<p></p>", "FlowCyt-species-checked": "notRecommended", "FlowCyt-species-dilution-info": "", "FlowCyt-species-notes": "<p></p>", "WB-species-checked": "testedAndGuaranteed", "WB-species-dilution-info": "", "WB-species-notes": "<p></p>" } } }

Product details

ab248166 is the carrier-free version of ab126750.

Species reactivity
Mouse, Rat: We have preliminary internal testing data to indicate this antibody may not react with these species.
Please contact us for more information.

Patented technology
Our RabMAb® technology is a patented hybridoma-based technology for making rabbit monoclonal antibodies. For details on our patents, please refer to RabMAb® patents.

What are the advantages of a recombinant monoclonal antibody?
This product is a recombinant monoclonal antibody, which offers several advantages including:

  • - High batch-to-batch consistency and reproducibility
  • - Improved sensitivity and specificity
  • - Long-term security of supply
  • - Animal-free batch production

For more information, read more on recombinant antibodies.

Conjugation ready
Our carrier-free antibodies are typically supplied in a PBS-only formulation, purified and free of BSA, sodium azide and glycerol. This conjugation-ready format is designed for use with fluorochromes, metal isotopes, oligonucleotides, and enzymes, which makes them ideal for antibody labelling, functional and cell-based assays, flow-based assays (e.g. mass cytometry) and Multiplex Imaging applications.

Use our conjugation kits for antibody conjugates that are ready-to-use in as little as 20 minutes with 1 minute hands-on-time and 100% antibody recovery: available for fluorescent dyes, HRP, biotin and gold.

Compatibility
This product is compatible with the Maxpar® Antibody Labeling Kit from Fluidigm, without the need for antibody preparation. Maxpar® is a trademark of Fluidigm Canada Inc.

Properties and storage information

Form
Liquid
Purification technique
Affinity purification Protein A
Storage buffer
pH: 7.2 - 7.4 Constituents: PBS
Shipped at conditions
Blue Ice
Appropriate short-term storage conditions
+4°C
Appropriate long-term storage conditions
+4°C
Storage information
Do Not Freeze

Supplementary information

This supplementary information is collated from multiple sources and compiled automatically.

RRP42 also known as EXOSC7 is a component of the RNA exosome complex. It weighs around 28 kDa. This protein is found mainly in the nucleolus and cytoplasm where it helps with RNA processing and degradation. RRP42 acts as a scaffold within the exosome complex playing a role in structuring the exosome for interactions with other proteins and RNA substrates.
Biological function summary

RRP42 forms part of the core of the exosome complex which is essential for maintaining RNA homeostasis. This exosome complex includes several other proteins like RRP4 RRP40 and EXOSC10 creating a multiprotein assembly that processes a variety of RNA species. Through these interactions RRP42 participates in the degradation and maturation of different types of RNA like ribosomal RNA messenger RNA and small nuclear RNA.

Pathways

RRP42's role in the exosome relates to RNA metabolic processes and related pathways. It engages in the RNA processing pathway where it works on properly modifying RNA molecules. Another pathway where RRP42 is active is the surveillance pathway that protects the cell from faulty RNA. In these roles it associates with other proteins such as SKIV2L and DIS3 which also contribute to RNA turnover and quality control.

The activity of RRP42 influences conditions related to RNA processing defects. Improper function or regulation of RRP42 may associate with specific genetic disorders like pontocerebellar hypoplasia and some cancers where RNA metabolism becomes disrupted. Connections to these diseases often involve interactions with proteins like EXOSC3 and EXOSC8 which are part of the same exosome complex and contribute to the disease phenotypes through similar mechanisms.

Product protocols

For this product, it's our understanding that no specific protocols are required. You can visit:

Target data

Non-catalytic component of the RNA exosome complex which has 3'->5' exoribonuclease activity and participates in a multitude of cellular RNA processing and degradation events. In the nucleus, the RNA exosome complex is involved in proper maturation of stable RNA species such as rRNA, snRNA and snoRNA, in the elimination of RNA processing by-products and non-coding 'pervasive' transcripts, such as antisense RNA species and promoter-upstream transcripts (PROMPTs), and of mRNAs with processing defects, thereby limiting or excluding their export to the cytoplasm. The RNA exosome may be involved in Ig class switch recombination (CSR) and/or Ig variable region somatic hypermutation (SHM) by targeting AICDA deamination activity to transcribed dsDNA substrates. In the cytoplasm, the RNA exosome complex is involved in general mRNA turnover and specifically degrades inherently unstable mRNAs containing AU-rich elements (AREs) within their 3' untranslated regions, and in RNA surveillance pathways, preventing translation of aberrant mRNAs. It seems to be involved in degradation of histone mRNA. The catalytic inactive RNA exosome core complex of 9 subunits (Exo-9) is proposed to play a pivotal role in the binding and presentation of RNA for ribonucleolysis, and to serve as a scaffold for the association with catalytic subunits and accessory proteins or complexes.
See full target information EXOSC7

Publications (1)

Recent publications for all applications. Explore the full list and refine your search

Nature communications 13:5945 PubMed36209205

2022

Hepatocyte phosphatase DUSP22 mitigates NASH-HCC progression by targeting FAK.

Applications

Unspecified application

Species

Unspecified reactive species

Chenxu Ge,Jun Tan,Xianling Dai,Qin Kuang,Shaoyu Zhong,Lili Lai,Chao Yi,Yan Sun,Jing Luo,Chufeng Zhang,Liancai Zhu,Bochu Wang,Minxuan Xu
View all publications

Product promise

We are committed to supporting your work with high-quality reagents, and we're here for you every step of the way. In the unlikely event that one of our products does not perform as expected, you're protected by our Product Promise.
For full details, please see our Terms & Conditions

Please note: All products are 'FOR RESEARCH USE ONLY. NOT FOR USE IN DIAGNOSTIC OR THERAPEUTIC PROCEDURES'.

For licensing inquiries, please contact partnerships@abcam.com