JavaScript is disabled in your browser. Please enable JavaScript to view this website.
AB247218

Anti-Rsk 2 / MAPKAP Kinase 1b antibody [Y82] - BSA and Azide free

Be the first to review this product! Submit a review

|

(0 Publication)

Rabbit Recombinant Monoclonal Rsk 2 / MAPKAP Kinase 1b antibody. Carrier free. Suitable for IHC-P, WB, Flow Cyt (Intra) and reacts with Human samples.

View Alternative Names

ISPK1, MAPKAPK1B, RSK2, RPS6KA3, Ribosomal protein S6 kinase alpha-3, S6K-alpha-3, 90 kDa ribosomal protein S6 kinase 3, Insulin-stimulated protein kinase 1, MAP kinase-activated protein kinase 1b, Ribosomal S6 kinase 2, pp90RSK2, p90-RSK 3, p90RSK3, ISPK-1, MAPK-activated protein kinase 1b, MAPKAP kinase 1b, MAPKAPK-1b, RSK-2

4 Images
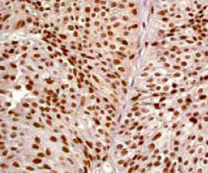
Immunohistochemistry (Formalin/PFA-fixed paraffin-embedded sections) - Anti-Rsk 2 / MAPKAP Kinase 1b antibody [Y82] - BSA and Azide free (AB247218)
  • IHC-P

Unknown

Immunohistochemistry (Formalin/PFA-fixed paraffin-embedded sections) - Anti-Rsk 2 / MAPKAP Kinase 1b antibody [Y82] - BSA and Azide free (AB247218)

This data was developed using ab32062, the same antibody clone in a different buffer formulation.

ab32062 at a 1 : 250 - 1 : 500 dilution staining Rsk 2 / MAPKAP Kinase 1b in human urinary bladder carcinoma, using Immunohistochemistry, Paraffin Embedded Tissue.

Perform heat mediated antigen retrieval with citrate buffer pH 6 before commencing with IHC staining protocol.

Flow Cytometry (Intracellular) - Anti-Rsk 2 / MAPKAP Kinase 1b antibody [Y82] - BSA and Azide free (AB247218)
  • Flow Cyt (Intra)

Lab

Flow Cytometry (Intracellular) - Anti-Rsk 2 / MAPKAP Kinase 1b antibody [Y82] - BSA and Azide free (AB247218)

This data was developed using ab32062, the same antibody clone in a different buffer formulation.Overlay histogram showing MCF7 cells stained with ab32062 (red line). The cells were fixed with 4% paraformaldehyde (10 min) and then permeabilized with 0.1% PBS-Tween for 20 min. The cells were then incubated in 1x PBS / 10% normal goat serum / 0.3M glycine to block non-specific protein-protein interactions followed by the antibody (ab32062, 1/1000 dilution) for 30 min at 22°C. The secondary antibody used was Alexa Fluor® 488 goat anti-rabbit IgG (H&L) (ab150077) at 1/2000 dilution for 30 min at 22°C. Isotype control antibody (black line) was rabbit IgG (monoclonal) (0.1µg/1x106 cells) used under the same conditions. Unlabelled sample (blue line) was also used as a control. Acquisition of >5,000 events were collected using a 20mW Argon ion laser (488nm) and 525/30 bandpass filter. This antibody gave a positive signal in MCF7 cells fixed with 80% methanol (5 min)/permeabilized with 0.1% PBS-Tween for 20 min used under the same conditions.

Western blot - Anti-Rsk 2 / MAPKAP Kinase 1b antibody [Y82] - BSA and Azide free (AB247218)
  • WB

Unknown

Western blot - Anti-Rsk 2 / MAPKAP Kinase 1b antibody [Y82] - BSA and Azide free (AB247218)

This data was developed using ab32062, the same antibody clone in a different buffer formulation.

All lanes:

Western blot - Anti-Rsk 2 / MAPKAP Kinase 1b antibody [Y82] (<a href='/en-us/products/primary-antibodies/rsk-2-mapkap-kinase-1b-antibody-y82-ab32062'>ab32062</a>) at 1/1000 dilution

All lanes:

MCF7 cell lysate

Predicted band size: 84 kDa

Observed band size: 90 kDa

false

Western blot - Anti-Rsk 2 / MAPKAP Kinase 1b antibody [Y82] - BSA and Azide free (AB247218)
  • WB

Lab

Western blot - Anti-Rsk 2 / MAPKAP Kinase 1b antibody [Y82] - BSA and Azide free (AB247218)

This data was developed using ab32062, the same antibody clone in a different buffer formulation.

Lane 1 : Wild-type HAP1 cell lysate (40 μg)

Lane 2 : Rsk 2 / MAPKAP Kinase 1b knockout HAP1 cell lysate (40 μg)

Lane 3 : MCF7 cell lysate (40 μg)

Lane 4 : HeLa cell lysate (40 μg)

Lanes 1 - 4 : Merged signal (red and green). Green - ab32062 observed at 88 kDa. Red - loading control, ab8245, observed at 37 kDa.

ab32062 was shown to recognize Rsk 2 / MAPKAP Kinase 1b when Rsk 2 / MAPKAP Kinase 1b knockout samples were used, along with additional cross-reactive bands. Wild-type and Rsk 2 / MAPKAP Kinase 1b knockout samples were subjected to SDS-PAGE. ab32062 and ab8245 (loading control to GAPDH) were diluted at 1/500 and 1/10000 dilution respectively and incubated overnight at 4°C. Blots were developed with Goat anti-Rabbit IgG H&L (IRDye® 800CW) preadsorbed ab216773 and Goat anti-Mouse IgG H&L (IRDye® 680RD) preadsorbed ab216776 secondary antibodies at 1/10000 dilution for 1 hour at room temperature before imaging.

All lanes:

Western blot - Anti-Rsk 2 / MAPKAP Kinase 1b antibody [Y82] (<a href='/en-us/products/primary-antibodies/rsk-2-mapkap-kinase-1b-antibody-y82-ab32062'>ab32062</a>)

Predicted band size: 84 kDa

false

  • Unconjugated

    Anti-Rsk 2 / MAPKAP Kinase 1b antibody [Y82]

  • 775 Alexa Fluor® 750

    Alexa Fluor® 750 Anti-Rsk 2 / MAPKAP Kinase 1b antibody [Y82]

  • 578 PE

    PE Anti-Rsk 2 / MAPKAP Kinase 1b antibody [Y82]

  • HRP

    HRP Anti-Rsk 2 / MAPKAP Kinase 1b antibody [Y82]

  • 617 Alexa Fluor® 594

    Alexa Fluor® 594 Anti-Rsk 2 / MAPKAP Kinase 1b antibody [Y82]

  • 565 Alexa Fluor® 555

    Alexa Fluor® 555 Anti-Rsk 2 / MAPKAP Kinase 1b antibody [Y82]

  • 660 APC

    APC Anti-Rsk 2 / MAPKAP Kinase 1b antibody [Y82]

  • 665 Alexa Fluor® 647

    Alexa Fluor® 647 Anti-Rsk 2 / MAPKAP Kinase 1b antibody [Y82]

  • 519 Alexa Fluor® 488

    Alexa Fluor® 488 Anti-Rsk 2 / MAPKAP Kinase 1b antibody [Y82]

  • 603 Alexa Fluor® 568

    Alexa Fluor® 568 Anti-Rsk 2 / MAPKAP Kinase 1b antibody [Y82]

Key facts

Host species

Rabbit

Clonality

Monoclonal

Clone number

Y82

Isotype

IgG

Carrier free

Yes

Reacts with

Human

Applications

WB, IHC-P, Flow Cyt (Intra)

applications

Immunogen

The exact immunogen used to generate this antibody is proprietary information.

Epitope

ab247218 reacts with an epitope located in the C terminal region of Rsk 2 / MAPKAP Kinase 1b.

Specificity

This antibody is specific for human Rsk 2 / MAPKAP Kinase 1b.

Reactivity data

{ "title": "Reactivity Data", "filters": { "stats": ["", "Species", "Dilution Info", "Notes"], "tabs": { "all-applications": {"fullname" : "All Applications", "shortname": "All Applications"}, "IHCP" : {"fullname" : "Immunohistochemistry (Formalin/PFA-fixed paraffin-embedded sections)", "shortname":"IHC-P"}, "ICCIF" : {"fullname" : "Immunocytochemistry/ Immunofluorescence", "shortname":"ICC/IF"}, "WB" : {"fullname" : "Western blot", "shortname":"WB"}, "FlowCytIntra" : {"fullname" : "Flow Cytometry (Intracellular)", "shortname":"Flow Cyt (Intra)"} }, "product-promise": { "all": "all", "testedAndGuaranteed": "tested", "guaranteed": "expected", "predicted": "predicted", "notRecommended": "not-recommended" } }, "values": { "Human": { "IHCP-species-checked": "testedAndGuaranteed", "IHCP-species-dilution-info": "", "IHCP-species-notes": "<p></p> Perform heat-mediated antigen retrieval with citrate buffer pH 6 before commencing with IHC staining protocol.", "ICCIF-species-checked": "notRecommended", "ICCIF-species-dilution-info": "", "ICCIF-species-notes": "<p></p>", "WB-species-checked": "testedAndGuaranteed", "WB-species-dilution-info": "", "WB-species-notes": "<p></p>", "FlowCytIntra-species-checked": "testedAndGuaranteed", "FlowCytIntra-species-dilution-info": "", "FlowCytIntra-species-notes": "<p></p>" }, "Mouse": { "IHCP-species-checked": "predicted", "IHCP-species-dilution-info": "", "IHCP-species-notes": "", "ICCIF-species-checked": "notRecommended", "ICCIF-species-dilution-info": "", "ICCIF-species-notes": "", "WB-species-checked": "predicted", "WB-species-dilution-info": "", "WB-species-notes": "", "FlowCytIntra-species-checked": "predicted", "FlowCytIntra-species-dilution-info": "", "FlowCytIntra-species-notes": "" }, "Rat": { "IHCP-species-checked": "predicted", "IHCP-species-dilution-info": "", "IHCP-species-notes": "", "ICCIF-species-checked": "notRecommended", "ICCIF-species-dilution-info": "", "ICCIF-species-notes": "", "WB-species-checked": "predicted", "WB-species-dilution-info": "", "WB-species-notes": "", "FlowCytIntra-species-checked": "predicted", "FlowCytIntra-species-dilution-info": "", "FlowCytIntra-species-notes": "" } } }

Product details

ab247218 is the carrier-free version of ab32062.

Patented technology
Our RabMAb® technology is a patented hybridoma-based technology for making rabbit monoclonal antibodies. For details on our patents, please refer to RabMAb® patents.

What are the advantages of a recombinant monoclonal antibody?
This product is a recombinant monoclonal antibody, which offers several advantages including:

  • - High batch-to-batch consistency and reproducibility
  • - Improved sensitivity and specificity
  • - Long-term security of supply
  • - Animal-free batch production

For more information, read more on recombinant antibodies.

Conjugation ready
Our carrier-free antibodies are typically supplied in a PBS-only formulation, purified and free of BSA, sodium azide and glycerol. This conjugation-ready format is designed for use with fluorochromes, metal isotopes, oligonucleotides, and enzymes, which makes them ideal for antibody labelling, functional and cell-based assays, flow-based assays (e.g. mass cytometry) and Multiplex Imaging applications.

Use our conjugation kits for antibody conjugates that are ready-to-use in as little as 20 minutes with 1 minute hands-on-time and 100% antibody recovery: available for fluorescent dyes, HRP, biotin and gold.

Compatibility
This product is compatible with the Maxpar® Antibody Labeling Kit from Fluidigm, without the need for antibody preparation. Maxpar® is a trademark of Fluidigm Canada Inc.

Properties and storage information

Form
Liquid
Purification technique
Affinity purification Protein A
Storage buffer
pH: 7.2 - 7.4 Constituents: PBS
Shipped at conditions
Blue Ice
Appropriate short-term storage conditions
+4°C
Appropriate long-term storage conditions
+4°C
Storage information
Do Not Freeze

Supplementary information

This supplementary information is collated from multiple sources and compiled automatically.

Rsk 2 also known as MAPKAP Kinase 1b is a 60- to 90-kilodalton serine/threonine kinase belonging to the RSK family. It plays an important role in cell signaling by phosphorylating various substrates. The protein is expressed in many tissues including the brain heart and liver. Rsk 2 contains two distinct catalytic domains which allow it to carry out its functions efficiently. Activation of this protein involves its interaction with ERK/MAPK signaling proteins.
Biological function summary

Rsk 2 is a central player in the regulation of cell growth survival and motility. It exists as part of the larger MAPK/ERK pathway where it acts downstream of ERK1/2. Upon activation Rsk 2 phosphorylates target proteins which regulate gene expression cell cycle progression and apoptosis. This allows it to control multiple aspects of cell physiology contributing to proper cellular responses to external stimuli.

Pathways

The protein Rsk 2 integrates into the MAPK/ERK and PI3K/AKT signaling pathways. These pathways are essential for controlling processes such as proliferation and differentiation. Rsk 2 activation depends on upstream kinases like MEK and ERK. In the MAPK/ERK pathway it collaborates with other kinases and transcription factors to mediate cellular responses. This involvement places Rsk 2 at a nexus of signaling events that finely tune cell function and fate.

Rsk 2 mutations can lead to Coffin-Lowry syndrome which is a form of intellectual disability accompanied by physical abnormalities. The protein has also been implicated in certain cancer types whereby its upregulation supports tumor growth and survival. In these contexts interactions between Rsk 2 and proteins such as ERK and AKT contribute to the pathological alterations that occur in these diseases. The ongoing study of Rsk 2 holds potential for understanding and targeting conditions where it plays a role.

Product protocols

For this product, it's our understanding that no specific protocols are required. You can visit:

Target data

Serine/threonine-protein kinase that acts downstream of ERK (MAPK1/ERK2 and MAPK3/ERK1) signaling and mediates mitogenic and stress-induced activation of the transcription factors CREB1, ETV1/ER81 and NR4A1/NUR77, regulates translation through RPS6 and EIF4B phosphorylation, and mediates cellular proliferation, survival, and differentiation by modulating mTOR signaling and repressing pro-apoptotic function of BAD and DAPK1 (PubMed : 16213824, PubMed : 16223362, PubMed : 17360704, PubMed : 9770464). In fibroblast, is required for EGF-stimulated phosphorylation of CREB1 and histone H3 at 'Ser-10', which results in the subsequent transcriptional activation of several immediate-early genes (PubMed : 10436156, PubMed : 9770464). In response to mitogenic stimulation (EGF and PMA), phosphorylates and activates NR4A1/NUR77 and ETV1/ER81 transcription factors and the cofactor CREBBP (PubMed : 16223362). Upon insulin-derived signal, acts indirectly on the transcription regulation of several genes by phosphorylating GSK3B at 'Ser-9' and inhibiting its activity (PubMed : 8250835). Phosphorylates RPS6 in response to serum or EGF via an mTOR-independent mechanism and promotes translation initiation by facilitating assembly of the preinitiation complex (PubMed : 17360704). In response to insulin, phosphorylates EIF4B, enhancing EIF4B affinity for the EIF3 complex and stimulating cap-dependent translation (PubMed : 18508509, PubMed : 18813292). Is involved in the mTOR nutrient-sensing pathway by directly phosphorylating TSC2 at 'Ser-1798', which potently inhibits TSC2 ability to suppress mTOR signaling, and mediates phosphorylation of RPTOR, which regulates mTORC1 activity and may promote rapamycin-sensitive signaling independently of the PI3K/AKT pathway (PubMed : 18722121). Mediates cell survival by phosphorylating the pro-apoptotic proteins BAD and DAPK1 and suppressing their pro-apoptotic function (PubMed : 16213824). Promotes the survival of hepatic stellate cells by phosphorylating CEBPB in response to the hepatotoxin carbon tetrachloride (CCl4) (PubMed : 18508509, PubMed : 18813292). Is involved in cell cycle regulation by phosphorylating the CDK inhibitor CDKN1B, which promotes CDKN1B association with 14-3-3 proteins and prevents its translocation to the nucleus and inhibition of G1 progression (By similarity). In LPS-stimulated dendritic cells, is involved in TLR4-induced macropinocytosis, and in myeloma cells, acts as effector of FGFR3-mediated transformation signaling, after direct phosphorylation at Tyr-529 by FGFR3 (By similarity). Negatively regulates EGF-induced MAPK1/3 phosphorylation via phosphorylation of SOS1 (By similarity). Phosphorylates SOS1 at 'Ser-1134' and 'Ser-1161' that create YWHAB and YWHAE binding sites and which contribute to the negative regulation of MAPK1/3 phosphorylation (By similarity). Phosphorylates EPHA2 at 'Ser-897', the RPS6KA-EPHA2 signaling pathway controls cell migration (PubMed : 26158630). Acts as a regulator of osteoblast differentiation by mediating phosphorylation of ATF4, thereby promoting ATF4 transactivation activity (By similarity).
See full target information RPS6KA3

Product promise

We are committed to supporting your work with high-quality reagents, and we're here for you every step of the way. In the unlikely event that one of our products does not perform as expected, you're protected by our Product Promise.
For full details, please see our Terms & Conditions

Please note: All products are 'FOR RESEARCH USE ONLY. NOT FOR USE IN DIAGNOSTIC OR THERAPEUTIC PROCEDURES'.

For licensing inquiries, please contact partnerships@abcam.com