JavaScript is disabled in your browser. Please enable JavaScript to view this website.
AB32133

Anti-Rsk 2 / MAPKAP Kinase 1b antibody [Y83]

Be the first to review this product! Submit a review

|

(3 Publications)

Rabbit Recombinant Monoclonal Rsk 2 / MAPKAP Kinase 1b antibody. Suitable for IHC-P, WB and reacts with Human samples. Cited in 3 publications.

View Alternative Names

ISPK1, MAPKAPK1B, RSK2, RPS6KA3, Ribosomal protein S6 kinase alpha-3, S6K-alpha-3, 90 kDa ribosomal protein S6 kinase 3, Insulin-stimulated protein kinase 1, MAP kinase-activated protein kinase 1b, Ribosomal S6 kinase 2, pp90RSK2, p90-RSK 3, p90RSK3, ISPK-1, MAPK-activated protein kinase 1b, MAPKAP kinase 1b, MAPKAPK-1b, RSK-2

3 Images
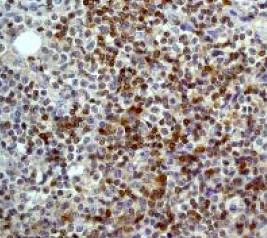
Immunohistochemistry (Formalin/PFA-fixed paraffin-embedded sections) - Anti-Rsk 2 / MAPKAP Kinase 1b antibody [Y83] (AB32133)
  • IHC-P

Unknown

Immunohistochemistry (Formalin/PFA-fixed paraffin-embedded sections) - Anti-Rsk 2 / MAPKAP Kinase 1b antibody [Y83] (AB32133)

ab32133 staining human lymphoma by immunohistochemistry Paraffin embedded tissue

Perform heat mediated antigen retrieval with citrate buffer pH 6 before commencing with IHC staining protocol.

Western blot - Anti-Rsk 2 / MAPKAP Kinase 1b antibody [Y83] (AB32133)
  • WB

Unknown

Western blot - Anti-Rsk 2 / MAPKAP Kinase 1b antibody [Y83] (AB32133)

All lanes:

Western blot - Anti-Rsk 2 / MAPKAP Kinase 1b antibody [Y83] (ab32133) at 1/5000 dilution

All lanes:

HeLa cell lysate

Predicted band size: 84 kDa

Observed band size: 90 kDa

false

Western blot - Anti-Rsk 2 / MAPKAP Kinase 1b antibody [Y83] (AB32133)
  • WB

Lab

Western blot - Anti-Rsk 2 / MAPKAP Kinase 1b antibody [Y83] (AB32133)

Lane 1 : Wild-type HAP1 cell lysate (40 μg)
Lane 2 : Rsk 2 / MAPKAP Kinase 1b knockout HAP1 cell lysate (40 μg)
Lane 3 : HeLa cell lysate (40 μg)
Lane 4 : (40 μg)
Lanes 1 - 4 : Merged signal (red and green). Green - ab32133 observed at 88 kDa. Red - loading control, ab8245, observed at 37 kDa.

ab32133 was shown to specifically react with Rsk 2 / MAPKAP Kinase 1b when Rsk 2 / MAPKAP Kinase 1b knockout samples were used. Wild-type and Rsk 2 / MAPKAP Kinase 1b knockout samples were subjected to SDS-PAGE. ab32133 and ab8245 (loading control to GAPDH) were diluted at 1/5000 and 1 : 10,000 dilution respectively and incubated overnight at 4C. Blots were developed with Goat anti-Rabbit IgG H&L (IRDye® 800CW) preadsorbed ab216773
andGoat anti-Mouse IgG H&L (IRDye® 680RD) preadsorbed ab216776
secondary antibodies at 1 : 10,000 dilution for 1 hour at room temperature before imaging.

All lanes:

Western blot - Anti-Rsk 2 / MAPKAP Kinase 1b antibody [Y83] (ab32133)

Predicted band size: 84 kDa

false

Key facts

Host species

Rabbit

Clonality

Monoclonal

Clone number

Y83

Isotype

IgG

Carrier free

No

Reacts with

Human

Applications

IHC-P, WB

applications

Immunogen

The exact immunogen used to generate this antibody is proprietary information.

Specificity

The antibody recognises Rsk2. It does not cross react with other S6 kinase family members.

Reactivity data

{ "title": "Reactivity Data", "filters": { "stats": ["", "Species", "Dilution Info", "Notes"], "tabs": { "all-applications": {"fullname" : "All Applications", "shortname": "All Applications"}, "IHCP" : {"fullname" : "Immunohistochemistry (Formalin/PFA-fixed paraffin-embedded sections)", "shortname":"IHC-P"}, "ICCIF" : {"fullname" : "Immunocytochemistry/ Immunofluorescence", "shortname":"ICC/IF"}, "WB" : {"fullname" : "Western blot", "shortname":"WB"} }, "product-promise": { "all": "all", "testedAndGuaranteed": "tested", "guaranteed": "expected", "predicted": "predicted", "notRecommended": "not-recommended" } }, "values": { "Human": { "IHCP-species-checked": "testedAndGuaranteed", "IHCP-species-dilution-info": "", "IHCP-species-notes": "<p></p>", "ICCIF-species-checked": "notRecommended", "ICCIF-species-dilution-info": "", "ICCIF-species-notes": "<p></p>", "WB-species-checked": "testedAndGuaranteed", "WB-species-dilution-info": "1/5000", "WB-species-notes": "<p></p>" }, "Mouse": { "IHCP-species-checked": "predicted", "IHCP-species-dilution-info": "", "IHCP-species-notes": "", "ICCIF-species-checked": "notRecommended", "ICCIF-species-dilution-info": "", "ICCIF-species-notes": "", "WB-species-checked": "notRecommended", "WB-species-dilution-info": "1/5000", "WB-species-notes": "<p></p>" }, "Rat": { "IHCP-species-checked": "predicted", "IHCP-species-dilution-info": "", "IHCP-species-notes": "", "ICCIF-species-checked": "notRecommended", "ICCIF-species-dilution-info": "", "ICCIF-species-notes": "", "WB-species-checked": "notRecommended", "WB-species-dilution-info": "1/5000", "WB-species-notes": "<p></p>" } } }

Product details

Patented technology
Our RabMAb® technology is a patented hybridoma-based technology for making rabbit monoclonal antibodies. For details on our patents, please refer to RabMAb® patents.

What are the advantages of a recombinant monoclonal antibody?
This product is a recombinant monoclonal antibody, which offers several advantages including:

  • - High batch-to-batch consistency and reproducibility
  • - Improved sensitivity and specificity
  • - Long-term security of supply
  • - Animal-free batch production

For more information, read more on recombinant antibodies.

Properties and storage information

Form
Liquid
Purification technique
Affinity purification Protein A
Storage buffer
pH: 7.2 - 7.4 Preservative: 0.01% Sodium azide Constituents: PBS, 50% Glycerol (glycerin, glycerine), 0.05% BSA
Shipped at conditions
Blue Ice
Appropriate short-term storage conditions
+4°C
Appropriate long-term storage conditions
-20°C
Aliquoting information
Upon delivery aliquot
Storage information
Avoid freeze / thaw cycle

Supplementary information

This supplementary information is collated from multiple sources and compiled automatically.

Rsk 2 also known as MAPKAP Kinase 1b is a 60- to 90-kilodalton serine/threonine kinase belonging to the RSK family. It plays an important role in cell signaling by phosphorylating various substrates. The protein is expressed in many tissues including the brain heart and liver. Rsk 2 contains two distinct catalytic domains which allow it to carry out its functions efficiently. Activation of this protein involves its interaction with ERK/MAPK signaling proteins.
Biological function summary

Rsk 2 is a central player in the regulation of cell growth survival and motility. It exists as part of the larger MAPK/ERK pathway where it acts downstream of ERK1/2. Upon activation Rsk 2 phosphorylates target proteins which regulate gene expression cell cycle progression and apoptosis. This allows it to control multiple aspects of cell physiology contributing to proper cellular responses to external stimuli.

Pathways

The protein Rsk 2 integrates into the MAPK/ERK and PI3K/AKT signaling pathways. These pathways are essential for controlling processes such as proliferation and differentiation. Rsk 2 activation depends on upstream kinases like MEK and ERK. In the MAPK/ERK pathway it collaborates with other kinases and transcription factors to mediate cellular responses. This involvement places Rsk 2 at a nexus of signaling events that finely tune cell function and fate.

Rsk 2 mutations can lead to Coffin-Lowry syndrome which is a form of intellectual disability accompanied by physical abnormalities. The protein has also been implicated in certain cancer types whereby its upregulation supports tumor growth and survival. In these contexts interactions between Rsk 2 and proteins such as ERK and AKT contribute to the pathological alterations that occur in these diseases. The ongoing study of Rsk 2 holds potential for understanding and targeting conditions where it plays a role.

Product protocols

For this product, it's our understanding that no specific protocols are required. You can visit:

Target data

Serine/threonine-protein kinase that acts downstream of ERK (MAPK1/ERK2 and MAPK3/ERK1) signaling and mediates mitogenic and stress-induced activation of the transcription factors CREB1, ETV1/ER81 and NR4A1/NUR77, regulates translation through RPS6 and EIF4B phosphorylation, and mediates cellular proliferation, survival, and differentiation by modulating mTOR signaling and repressing pro-apoptotic function of BAD and DAPK1 (PubMed : 16213824, PubMed : 16223362, PubMed : 17360704, PubMed : 9770464). In fibroblast, is required for EGF-stimulated phosphorylation of CREB1 and histone H3 at 'Ser-10', which results in the subsequent transcriptional activation of several immediate-early genes (PubMed : 10436156, PubMed : 9770464). In response to mitogenic stimulation (EGF and PMA), phosphorylates and activates NR4A1/NUR77 and ETV1/ER81 transcription factors and the cofactor CREBBP (PubMed : 16223362). Upon insulin-derived signal, acts indirectly on the transcription regulation of several genes by phosphorylating GSK3B at 'Ser-9' and inhibiting its activity (PubMed : 8250835). Phosphorylates RPS6 in response to serum or EGF via an mTOR-independent mechanism and promotes translation initiation by facilitating assembly of the preinitiation complex (PubMed : 17360704). In response to insulin, phosphorylates EIF4B, enhancing EIF4B affinity for the EIF3 complex and stimulating cap-dependent translation (PubMed : 18508509, PubMed : 18813292). Is involved in the mTOR nutrient-sensing pathway by directly phosphorylating TSC2 at 'Ser-1798', which potently inhibits TSC2 ability to suppress mTOR signaling, and mediates phosphorylation of RPTOR, which regulates mTORC1 activity and may promote rapamycin-sensitive signaling independently of the PI3K/AKT pathway (PubMed : 18722121). Mediates cell survival by phosphorylating the pro-apoptotic proteins BAD and DAPK1 and suppressing their pro-apoptotic function (PubMed : 16213824). Promotes the survival of hepatic stellate cells by phosphorylating CEBPB in response to the hepatotoxin carbon tetrachloride (CCl4) (PubMed : 18508509, PubMed : 18813292). Is involved in cell cycle regulation by phosphorylating the CDK inhibitor CDKN1B, which promotes CDKN1B association with 14-3-3 proteins and prevents its translocation to the nucleus and inhibition of G1 progression (By similarity). In LPS-stimulated dendritic cells, is involved in TLR4-induced macropinocytosis, and in myeloma cells, acts as effector of FGFR3-mediated transformation signaling, after direct phosphorylation at Tyr-529 by FGFR3 (By similarity). Negatively regulates EGF-induced MAPK1/3 phosphorylation via phosphorylation of SOS1 (By similarity). Phosphorylates SOS1 at 'Ser-1134' and 'Ser-1161' that create YWHAB and YWHAE binding sites and which contribute to the negative regulation of MAPK1/3 phosphorylation (By similarity). Phosphorylates EPHA2 at 'Ser-897', the RPS6KA-EPHA2 signaling pathway controls cell migration (PubMed : 26158630). Acts as a regulator of osteoblast differentiation by mediating phosphorylation of ATF4, thereby promoting ATF4 transactivation activity (By similarity).
See full target information RPS6KA3

Publications (3)

Recent publications for all applications. Explore the full list and refine your search

Molecular medicine reports 20:1583-1592 PubMed31257496

2019

Overexpression of phosphoprotein enriched in astrocytes 15 reverses the damage induced by propofol in hippocampal neurons.

Applications

Unspecified application

Species

Unspecified reactive species

Feng Xian,Qifang Li,Zuping Chen

Molecular and cellular biology 35:344-55 PubMed25368387

2014

DGCR14 induces Il17a gene expression through the RORγ/BAZ1B/RSKS2 complex.

Applications

WB, ChIP

Species

Mouse, Mouse

Ichiro Takada

Molecular cancer research : MCR 13:348-57 PubMed25189355

2014

RSK promotes prostate cancer progression in bone through ING3, CKAP2, and PTK6-mediated cell survival.

Applications

Unspecified application

Species

Unspecified reactive species

Guoyu Yu,Yu-Chen Lee,Chien-Jui Cheng,Chuan-Fen Wu,Jian H Song,Gary E Gallick,Li-Yuan Yu-Lee,Jian Kuang,Sue-Hwa Lin
View all publications

Product promise

We are committed to supporting your work with high-quality reagents, and we're here for you every step of the way. In the unlikely event that one of our products does not perform as expected, you're protected by our Product Promise.
For full details, please see our Terms & Conditions

Please note: All products are 'FOR RESEARCH USE ONLY. NOT FOR USE IN DIAGNOSTIC OR THERAPEUTIC PROCEDURES'.

For licensing inquiries, please contact partnerships@abcam.com