JavaScript is disabled in your browser. Please enable JavaScript to view this website.
AB239805

Anti-RSK1 p90 antibody [E4] - BSA and Azide free

4

(8 Reviews)

|

(1 Publication)

Rabbit Recombinant Monoclonal RSK1 p90 antibody. Carrier free. Suitable for IP, WB, ICC/IF, Flow Cyt (Intra), IHC-P and reacts with Human, Mouse, Rat samples. Cited in 1 publication.

View Alternative Names

MAPKAPK1A, RSK1, RPS6KA1, Ribosomal protein S6 kinase alpha-1, S6K-alpha-1, 90 kDa ribosomal protein S6 kinase 1, MAP kinase-activated protein kinase 1a, Ribosomal S6 kinase 1, p90-RSK 1, p90RSK1, p90S6K, MAPK-activated protein kinase 1a, MAPKAP kinase 1a, MAPKAPK-1a, RSK-1

6 Images
Flow Cytometry (Intracellular) - Anti-RSK1 p90 antibody [E4] - BSA and Azide free (AB239805)
  • Flow Cyt (Intra)

Unknown

Flow Cytometry (Intracellular) - Anti-RSK1 p90 antibody [E4] - BSA and Azide free (AB239805)

Intracellular Flow Cytometry analysis of HeLa (Human cervix adenocarcinoma epithelial cell) cells labeling RSK1 p90 with purified ab32114 at 1/150 dilution (10μg/ml) (red). Cells were fixed with 4% Paraformaldehyde and permeabilised with 90% Methanol. A Goat anti rabbit IgG (Alexa Fluor® 488, ab150077) secondary antibody was used at 1/2000. Isotype control - Rabbit monoclonal IgG (Black). Unlabeled control - Cell without incubation with primary antibody and secondary antibody (Blue).

This data was developed using the same antibody clone in a different buffer formulation containing PBS, BSA, glycerol, and sodium azide (ab32114).

Flow Cytometry (Intracellular) - Anti-RSK1 p90 antibody [E4] - BSA and Azide free (AB239805)
  • Flow Cyt (Intra)

Unknown

Flow Cytometry (Intracellular) - Anti-RSK1 p90 antibody [E4] - BSA and Azide free (AB239805)

Overlay histogram showing HeLa cells stained with unpurified ab32114 (red line). The cells were fixed with 80% methanol (5 min) and then permeabilized with 0.1% PBS-Tween for 20 min. The cells were then incubated in 1x PBS / 10% normal goat serum / 0.3M glycine to block non-specific protein-protein interactions followed by the antibody (ab32114, 1/1000 dilution) for 30 min at 22°C. The secondary antibody used was Alexa Fluor® 488 goat anti-rabbit IgG (H&L) (ab150077) at 1/2000 dilution for 30 min at 22°C. Isotype control antibody (black line) was rabbit IgG (monoclonal) (0.1μg/1x106 cells) used under the same conditions. Unlabelled sample (blue line) was also used as a control. Acquisition of >5,000 events were collected using a 20mW Argon ion laser (488nm) and 525/30 bandpass filter. This antibody gave a positive signal in HeLa cells fixed with 4% paraformaldehyde (10 min)/permeabilized with 0.1% PBS-Tween for 20 min used under the same conditions.

This data was developed using the same antibody clone in a different buffer formulation containing PBS, BSA, glycerol, and sodium azide (ab32114).

Immunocytochemistry/ Immunofluorescence - Anti-RSK1 p90 antibody [E4] - BSA and Azide free (AB239805)
  • ICC/IF

Unknown

Immunocytochemistry/ Immunofluorescence - Anti-RSK1 p90 antibody [E4] - BSA and Azide free (AB239805)

Immunocytochemistry/ Immunofluorescence analysis of K-562 (Human chronic myelogenous leukemia lymphoblast) cells labeling RSK1 p90 with purified ab32114 at 1 : 150 dilution (10 µg/ml). Cells were fixed in 4% Paraformaldehyde and permeabilized with 0.1% tritonX-100. Cells were counterstained with ab195889 Anti-alpha Tubulin antibody [DM1A] - Microtubule Marker (Alexa Fluor® 594) at 1 : 200 (2.5 µg/ml). Goat anti rabbit IgG (Alexa Fluor® 488, ab150077) was used as the secondary antibody at 1 : 1000 (2 µg/ml) dilution. DAPI (blue) was used as nuclear counterstain. PBS instead of the primary antibody was used as the secondary antibody only control.
This data was developed using the same antibody clone in a different buffer formulation containing PBS, BSA, glycerol, and sodium azide (ab32114).

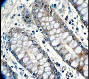
Immunohistochemistry (Formalin/PFA-fixed paraffin-embedded sections) - Anti-RSK1 p90 antibody [E4] - BSA and Azide free (AB239805)
  • IHC-P

Unknown

Immunohistochemistry (Formalin/PFA-fixed paraffin-embedded sections) - Anti-RSK1 p90 antibody [E4] - BSA and Azide free (AB239805)

ab32114 (unpurified), at a 1/100 dilution, staining RSK1 p90 in paraffin embedded human colon tissue by immunohistochemistry.

This data was developed using the same antibody clone in a different buffer formulation containing PBS, BSA, glycerol, and sodium azide (ab32114).

Immunohistochemistry (Formalin/PFA-fixed paraffin-embedded sections) - Anti-RSK1 p90 antibody [E4] - BSA and Azide free (AB239805)
  • IHC-P

Unknown

Immunohistochemistry (Formalin/PFA-fixed paraffin-embedded sections) - Anti-RSK1 p90 antibody [E4] - BSA and Azide free (AB239805)

Immunohistochemistry (Formalin/PFA-fixed paraffin-embedded sections) analysis of Human breast cancer tissue sections labeling RSK1 p90 with purified ab32114 at 1/100 dilution (15.4 μg/ml). Heat mediated antigen retrieval was performed using ab93684 (Tris/EDTA buffer, pH 9.0). ImmunoHistoProbe one step HRP Polymer (ready to use) was used as the secondary antibody. Negative control : PBS instead of the primary antibody. Hematoxylin was used as a counterstain.

This data was developed using the same antibody clone in a different buffer formulation containing PBS, BSA, glycerol, and sodium azide (ab32114).

Immunoprecipitation - Anti-RSK1 p90 antibody [E4] - BSA and Azide free (AB239805)
  • IP

Unknown

Immunoprecipitation - Anti-RSK1 p90 antibody [E4] - BSA and Azide free (AB239805)

ab32114 (purified) at 1/70 dilution (2ug) immunoprecipitating RSK1 p90 in K-562 whole cell lysate. K-562 (Human chronic myelogenous leukemia lymphoblast) whole cell lysate 10ug
Lane 2 (+) : ab32114 & K-562 whole cell lysate
Lane 3 (-) : Rabbit monoclonal IgG (ab172730) instead of ab32114 in K-562 whole cell lysate
For western blotting, VeriBlot for IP secondary antibody (HRP) (ab131366) was used at 1/1000 dilution.

Blocking and diluting buffer : 5% NFDM/TBST.

This data was developed using the same antibody clone in a different buffer formulation containing PBS, BSA, glycerol, and sodium azide (ab32114).

All lanes:

Immunoprecipitation - Anti-RSK1 p90 antibody [E4] (<a href='/en-us/products/primary-antibodies/rsk1-p90-antibody-e4-ab32114'>ab32114</a>)

Predicted band size: 82 kDa

false

Key facts

Host species

Rabbit

Clonality

Monoclonal

Clone number

E4

Isotype

IgG

Carrier free

Yes

Reacts with

Mouse, Rat, Human

Applications

IHC-P, IP, WB, ICC/IF, Flow Cyt (Intra)

applications

Immunogen

The exact immunogen used to generate this antibody is proprietary information.

Specificity

The mouse and rat recommendation is only based on the WB results.

Reactivity data

{ "title": "Reactivity Data", "filters": { "stats": ["", "Species", "Dilution Info", "Notes"], "tabs": { "all-applications": {"fullname" : "All Applications", "shortname": "All Applications"}, "IP" : {"fullname" : "Immunoprecipitation", "shortname":"IP"}, "WB" : {"fullname" : "Western blot", "shortname":"WB"}, "ICCIF" : {"fullname" : "Immunocytochemistry/ Immunofluorescence", "shortname":"ICC/IF"}, "FlowCytIntra" : {"fullname" : "Flow Cytometry (Intracellular)", "shortname":"Flow Cyt (Intra)"}, "IHCP" : {"fullname" : "Immunohistochemistry (Formalin/PFA-fixed paraffin-embedded sections)", "shortname":"IHC-P"} }, "product-promise": { "all": "all", "testedAndGuaranteed": "tested", "guaranteed": "expected", "predicted": "predicted", "notRecommended": "not-recommended" } }, "values": { "Human": { "IP-species-checked": "testedAndGuaranteed", "IP-species-dilution-info": "", "IP-species-notes": "<p></p>", "WB-species-checked": "testedAndGuaranteed", "WB-species-dilution-info": "", "WB-species-notes": "<p></p>", "ICCIF-species-checked": "testedAndGuaranteed", "ICCIF-species-dilution-info": "1/150", "ICCIF-species-notes": "<p></p>", "FlowCytIntra-species-checked": "testedAndGuaranteed", "FlowCytIntra-species-dilution-info": "", "FlowCytIntra-species-notes": "<p><a href='/en-us/products/primary-antibodies/rabbit-igg-monoclonal-epr25a-isotype-control-low-endotoxin-azide-free-ab199376'>ab199376</a> - Rabbit monoclonal IgG, is suitable for use as an isotype control with this antibody.</p>", "IHCP-species-checked": "testedAndGuaranteed", "IHCP-species-dilution-info": "", "IHCP-species-notes": "<p>The mouse, rat and pig recommendation is based on the WB results. We do not guarantee IHC-P for mouse, rat and pig.</p>" }, "Mouse": { "IP-species-checked": "guaranteed", "IP-species-dilution-info": "", "IP-species-notes": "", "WB-species-checked": "testedAndGuaranteed", "WB-species-dilution-info": "", "WB-species-notes": "<p></p>", "ICCIF-species-checked": "guaranteed", "ICCIF-species-dilution-info": "", "ICCIF-species-notes": "", "FlowCytIntra-species-checked": "guaranteed", "FlowCytIntra-species-dilution-info": "", "FlowCytIntra-species-notes": "", "IHCP-species-checked": "guaranteed", "IHCP-species-dilution-info": "", "IHCP-species-notes": "" }, "Rat": { "IP-species-checked": "guaranteed", "IP-species-dilution-info": "", "IP-species-notes": "", "WB-species-checked": "testedAndGuaranteed", "WB-species-dilution-info": "", "WB-species-notes": "<p></p>", "ICCIF-species-checked": "guaranteed", "ICCIF-species-dilution-info": "", "ICCIF-species-notes": "", "FlowCytIntra-species-checked": "guaranteed", "FlowCytIntra-species-dilution-info": "", "FlowCytIntra-species-notes": "", "IHCP-species-checked": "guaranteed", "IHCP-species-dilution-info": "", "IHCP-species-notes": "" }, "Pig": { "IP-species-checked": "predicted", "IP-species-dilution-info": "", "IP-species-notes": "", "WB-species-checked": "predicted", "WB-species-dilution-info": "", "WB-species-notes": "", "ICCIF-species-checked": "predicted", "ICCIF-species-dilution-info": "", "ICCIF-species-notes": "", "FlowCytIntra-species-checked": "predicted", "FlowCytIntra-species-dilution-info": "", "FlowCytIntra-species-notes": "", "IHCP-species-checked": "predicted", "IHCP-species-dilution-info": "", "IHCP-species-notes": "" } } }

Product details

ab239805 is the carrier-free version of ab32114.

Patented technology
Our RabMAb® technology is a patented hybridoma-based technology for making rabbit monoclonal antibodies. For details on our patents, please refer to RabMAb® patents.

What are the advantages of a recombinant monoclonal antibody?
This product is a recombinant monoclonal antibody, which offers several advantages including:

  • - High batch-to-batch consistency and reproducibility
  • - Improved sensitivity and specificity
  • - Long-term security of supply
  • - Animal-free batch production

For more information, read more on recombinant antibodies.

Conjugation ready
Our carrier-free antibodies are typically supplied in a PBS-only formulation, purified and free of BSA, sodium azide and glycerol. This conjugation-ready format is designed for use with fluorochromes, metal isotopes, oligonucleotides, and enzymes, which makes them ideal for antibody labelling, functional and cell-based assays, flow-based assays (e.g. mass cytometry) and Multiplex Imaging applications.

Use our conjugation kits for antibody conjugates that are ready-to-use in as little as 20 minutes with 1 minute hands-on-time and 100% antibody recovery: available for fluorescent dyes, HRP, biotin and gold.

Compatibility
This product is compatible with the Maxpar® Antibody Labeling Kit from Fluidigm, without the need for antibody preparation. Maxpar® is a trademark of Fluidigm Canada Inc.

Properties and storage information

Form
Liquid
Purification technique
Affinity purification Protein A
Storage buffer
pH: 7.2 - 7.4 Constituents: PBS
Shipped at conditions
Blue Ice
Appropriate short-term storage conditions
+4°C
Appropriate long-term storage conditions
+4°C
Storage information
Do Not Freeze

Supplementary information

This supplementary information is collated from multiple sources and compiled automatically.

RSK1 also known as p90 ribosomal S6 kinase 1 or p90RSK is a serine/threonine kinase with an approximate mass of 90 kDa. It belongs to the family of proteins that integrate signals from various extracellular stimuli. This kinase is expressed in diverse tissues including brain lung liver and skeletal muscle. At the molecular level RSK1 phosphorylates various target proteins that are involved in regulating cellular growth and survival. Its activity is regulated by phosphorylation events that occur at specific sites such as Serine 238 (E238 in some literature) which are critical for its function.
Biological function summary

RSK1 plays a fundamental role in cell proliferation and differentiation in the context of the p90 protein weight. It is an important component of the mitogen-activated protein kinase (MAPK) signaling pathway and forms part of multi-protein complexes that facilitate its activation and function. RSK1 influences various biological processes by phosphorylating transcription factors histone proteins and other kinases thereby regulating gene expression and protein synthesis. These actions highlight its influence in maintaining cellular homeostasis.

Pathways

RSK1 p90 interacts significantly with the MAPK/ERK and PI3K/AKT pathways. It acts downstream of ERK where it receives activating signals that enable it to phosphorylate substrates within the cell. This role supports its interaction with proteins like Akt and mTOR which are critical mediators of cell growth signals. The interplay between these pathways enables cells to respond to growth factors and stress contributing to the regulation of development and metabolism.

RSK1 is implicated in the progression of cancer and neurological disorders. In cancer abnormal RSK1 signaling can lead to unchecked cell growth and survival where it often interfaces with proteins such as C-RAF and BCL-2 to promote oncogenic pathways. In neurological disorders RSK1 influences pathways that regulate neuron survival and plasticity connecting it to proteins like CREB. Understanding RSK1's role in these conditions can provide insight into targeted therapies that may mitigate these diseases.

Product protocols

For this product, it's our understanding that no specific protocols are required. You can visit:

Target data

Serine/threonine-protein kinase that acts downstream of ERK (MAPK1/ERK2 and MAPK3/ERK1) signaling and mediates mitogenic and stress-induced activation of the transcription factors CREB1, ETV1/ER81 and NR4A1/NUR77, regulates translation through RPS6 and EIF4B phosphorylation, and mediates cellular proliferation, survival, and differentiation by modulating mTOR signaling and repressing pro-apoptotic function of BAD and DAPK1 (PubMed : 10679322, PubMed : 12213813, PubMed : 15117958, PubMed : 16223362, PubMed : 17360704, PubMed : 18722121, PubMed : 26158630, PubMed : 35772404, PubMed : 9430688). In fibroblast, is required for EGF-stimulated phosphorylation of CREB1, which results in the subsequent transcriptional activation of several immediate-early genes (PubMed : 18508509, PubMed : 18813292). In response to mitogenic stimulation (EGF and PMA), phosphorylates and activates NR4A1/NUR77 and ETV1/ER81 transcription factors and the cofactor CREBBP (PubMed : 12213813, PubMed : 16223362). Upon insulin-derived signal, acts indirectly on the transcription regulation of several genes by phosphorylating GSK3B at 'Ser-9' and inhibiting its activity (PubMed : 18508509, PubMed : 18813292). Phosphorylates RPS6 in response to serum or EGF via an mTOR-independent mechanism and promotes translation initiation by facilitating assembly of the pre-initiation complex (PubMed : 17360704). In response to insulin, phosphorylates EIF4B, enhancing EIF4B affinity for the EIF3 complex and stimulating cap-dependent translation (PubMed : 16763566). Is involved in the mTOR nutrient-sensing pathway by directly phosphorylating TSC2 at 'Ser-1798', which potently inhibits TSC2 ability to suppress mTOR signaling, and mediates phosphorylation of RPTOR, which regulates mTORC1 activity and may promote rapamycin-sensitive signaling independently of the PI3K/AKT pathway (PubMed : 15342917). Also involved in feedback regulation of mTORC1 and mTORC2 by phosphorylating DEPTOR (PubMed : 22017876). Mediates cell survival by phosphorylating the pro-apoptotic proteins BAD and DAPK1 and suppressing their pro-apoptotic function (PubMed : 10679322, PubMed : 16213824). Promotes the survival of hepatic stellate cells by phosphorylating CEBPB in response to the hepatotoxin carbon tetrachloride (CCl4) (PubMed : 11684016). Mediates induction of hepatocyte prolifration by TGFA through phosphorylation of CEBPB (PubMed : 18508509, PubMed : 18813292). Is involved in cell cycle regulation by phosphorylating the CDK inhibitor CDKN1B, which promotes CDKN1B association with 14-3-3 proteins and prevents its translocation to the nucleus and inhibition of G1 progression (PubMed : 18508509, PubMed : 18813292). Phosphorylates EPHA2 at 'Ser-897', the RPS6KA-EPHA2 signaling pathway controls cell migration (PubMed : 26158630). In response to mTORC1 activation, phosphorylates EIF4B at 'Ser-406' and 'Ser-422' which stimulates bicarbonate cotransporter SLC4A7 mRNA translation, increasing SLC4A7 protein abundance and function (PubMed : 35772404).. (Microbial infection) Promotes the late transcription and translation of viral lytic genes during Kaposi's sarcoma-associated herpesvirus/HHV-8 infection, when constitutively activated.
See full target information RPS6KA1

Publications (1)

Recent publications for all applications. Explore the full list and refine your search

Nature communications 16:6009 PubMed40593805

2025

Spatial and single cell mapping of castleman disease reveals key stromal cell types and cytokine pathways.

Applications

Unspecified application

Species

Unspecified reactive species

David Smith,Anna Eichinger,Éanna Fennell,Zijun Y Xu-Monette,Andrew Rech,Julia Wang,Eduardo Esteva,Arta Seyedian,Xiaoxu Yang,Mei Zhang,Dan Martinez,Kai Tan,Minjie Luo,Katherine J Young,Paul G Murray,Christopher Park,Boris Reizis,Vinodh Pillai
View all publications

Product promise

We are committed to supporting your work with high-quality reagents, and we're here for you every step of the way. In the unlikely event that one of our products does not perform as expected, you're protected by our Product Promise.
For full details, please see our Terms & Conditions

Please note: All products are 'FOR RESEARCH USE ONLY. NOT FOR USE IN DIAGNOSTIC OR THERAPEUTIC PROCEDURES'.

For licensing inquiries, please contact partnerships@abcam.com