JavaScript is disabled in your browser. Please enable JavaScript to view this website.
AB171376

Anti-RSK1 p90 (phospho T359) antibody [E238] - BSA and Azide free

4

(6 Reviews)

|

(1 Publication)

Rabbit Recombinant Monoclonal RSK1 p90 phospho T359 antibody. Carrier free. Suitable for IHC-P, IP, Dot, WB, ELISA and reacts with Human, Mouse, Synthetic peptide samples. Cited in 1 publication.

View Alternative Names

MAPKAPK1A, RSK1, RPS6KA1, Ribosomal protein S6 kinase alpha-1, S6K-alpha-1, 90 kDa ribosomal protein S6 kinase 1, MAP kinase-activated protein kinase 1a, Ribosomal S6 kinase 1, p90-RSK 1, p90RSK1, p90S6K, MAPK-activated protein kinase 1a, MAPKAP kinase 1a, MAPKAPK-1a, RSK-1

3 Images
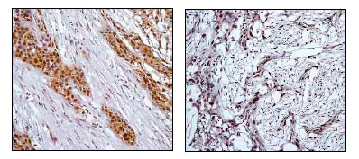
Immunohistochemistry (Formalin/PFA-fixed paraffin-embedded sections) - Anti-RSK1 p90 (phospho T359) antibody [E238] - BSA and Azide free (AB171376)
  • IHC-P

Unknown

Immunohistochemistry (Formalin/PFA-fixed paraffin-embedded sections) - Anti-RSK1 p90 (phospho T359) antibody [E238] - BSA and Azide free (AB171376)

ab32413, at a 1/100 dilution, staining RSK1 p90 in paraffin embedded human cervical carcinoma tissue by Immunohistochemistry.
Left image : Untreated.
Right image : Treated with Phosphatase.

This data was developed using the same antibody clone in a different buffer formulation containing PBS, BSA, glycerol, and sodium azide (ab32413).

Perform heat mediated antigen retrieval with citrate buffer pH 6 before commencing with IHC staining protocol.

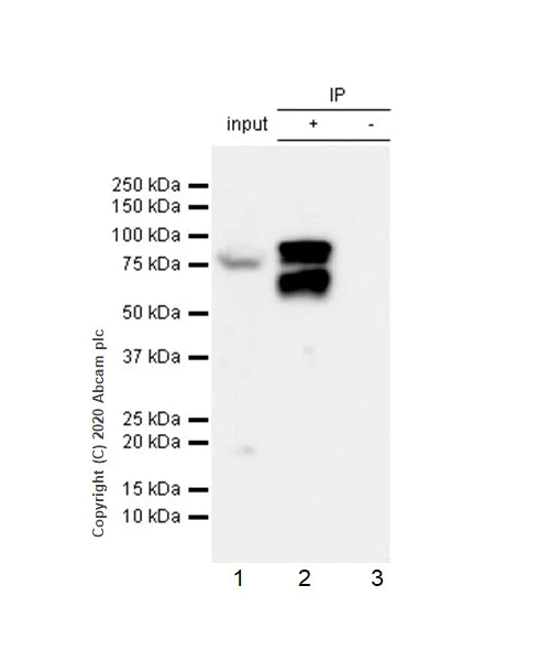
Immunoprecipitation - Anti-RSK1 p90 (phospho T359) antibody [E238] - BSA and Azide free (AB171376)
  • IP

Unknown

Immunoprecipitation - Anti-RSK1 p90 (phospho T359) antibody [E238] - BSA and Azide free (AB171376)

Purified ab32413 at 1/100 dilution (2μg) immunoprecipitating RSK1 p90 in NIH/3T3 whole cell lysate.
Lane 1 (input) : NIH/3T3 (Mouse embryonic fibroblast) serum starved for 4h, then treated with 20% FBS for 30min whole cell lysate 10μg
Lane 2 (+) : ab32413 + NIH/3T3 whole cell lysate.
Lane 3 (-) : Rabbit monoclonal IgG (ab172730) instead of ab171376 in NIH/3T3 whole cell lysate.
VeriBlot for IP Detection Reagent (HRP) (ab131366) (1/1000 dilution) was used for Western blotting.
Blocking Buffer and concentration : 5% NFDM/TBST.
Diluting buffer and concentration : 5% NFDM/TBST.
Observed band size : 90 kDa
Lower bands could be cleavage product. (PMID : 29290690)
This data was developed using the same antibody clone in a different buffer formulation containing PBS, BSA, glycerol, and sodium azide (ab32413).

All lanes:

Immunoprecipitation - Anti-RSK1 p90 (phospho T359) antibody [E238] (<a href='/en-us/products/primary-antibodies/rsk1-p90-phospho-t359-antibody-e238-ab32413'>ab32413</a>)

Predicted band size: 82 kDa

false

Dot Blot - Anti-RSK1 p90 (phospho T359) antibody [E238] - BSA and Azide free (AB171376)
  • Dot

Unknown

Dot Blot - Anti-RSK1 p90 (phospho T359) antibody [E238] - BSA and Azide free (AB171376)

Dot blot analysis of RSK1 p90 (phospho T359 + S363) phospho peptide (Lane 1), RSK1 p90 phospho T359 phospho peptide (Lane 2), RSK1 p90 phospho S36 phospho peptide (Lane 3) and RSK1 p90 non-phospho peptide (Lane 4) labeling RSK1 p90 (phospho T359 + S363) phospho peptide with purified ab32413 at a dilution of 1/1000 dilution (2.056ug/ml). A Goat Anti-Rabbit IgG, (H+L), Peroxidase conjugated (ab97051) was used as the secondary antibody at a dilution of 1/20,000 dilution.

Blocking buffer : 5% NFDM/TBST. Dilution buffer : 5% NFDM /TBST .

This data was developed using the same antibody clone in a different buffer formulation containing PBS, BSA, glycerol, and sodium azide (ab32413).

  • Unconjugated

    Anti-RSK1 p90 (phospho T359) antibody [E238]

  • 519 Alexa Fluor® 488

    Alexa Fluor® 488 Anti-RSK1 p90 (phospho T359) antibody [E238]

  • 578 PE

    PE Anti-RSK1 p90 (phospho T359) antibody [E238]

  • 565 Alexa Fluor® 555

    Alexa Fluor® 555 Anti-RSK1 p90 (phospho T359) antibody [E238]

  • 660 APC

    APC Anti-RSK1 p90 (phospho T359) antibody [E238]

  • 617 Alexa Fluor® 594

    Alexa Fluor® 594 Anti-RSK1 p90 (phospho T359) antibody [E238]

  • 665 Alexa Fluor® 647

    Alexa Fluor® 647 Anti-RSK1 p90 (phospho T359) antibody [E238]

  • 775 Alexa Fluor® 750

    Alexa Fluor® 750 Anti-RSK1 p90 (phospho T359) antibody [E238]

Key facts

Host species

Rabbit

Clonality

Monoclonal

Clone number

E238

Isotype

IgG

Carrier free

Yes

Reacts with

Mouse, Human

Applications

Dot, IHC-P, IP, ELISA, WB

applications

Immunogen

The exact immunogen used to generate this antibody is proprietary information.

Specificity

This antibody is specific for human RSK1 p90 phoshorylated on Threonine 359. 80% identities with RSK3 p90 (pT365+pS369), 75% with RSK2 p90 (pT356+pS360) and 74% identities with RSK6 p90 (pT368+pS372)

Reactivity data

{ "title": "Reactivity Data", "filters": { "stats": ["", "Species", "Dilution Info", "Notes"], "tabs": { "all-applications": {"fullname" : "All Applications", "shortname": "All Applications"}, "IHCP" : {"fullname" : "Immunohistochemistry (Formalin/PFA-fixed paraffin-embedded sections)", "shortname":"IHC-P"}, "ICCIF" : {"fullname" : "Immunocytochemistry/ Immunofluorescence", "shortname":"ICC/IF"}, "IP" : {"fullname" : "Immunoprecipitation", "shortname":"IP"}, "Dot" : {"fullname" : "Dot Blot", "shortname":"Dot"}, "WB" : {"fullname" : "Western blot", "shortname":"WB"}, "ELISA" : {"fullname" : "ELISA", "shortname":"ELISA"}, "FlowCyt" : {"fullname" : "Flow Cytometry", "shortname":"Flow Cyt"} }, "product-promise": { "all": "all", "testedAndGuaranteed": "tested", "guaranteed": "expected", "predicted": "predicted", "notRecommended": "not-recommended" } }, "values": { "Human": { "IHCP-species-checked": "testedAndGuaranteed", "IHCP-species-dilution-info": "", "IHCP-species-notes": "<p></p> Perform heat-mediated antigen retrieval with citrate buffer pH 6 before commencing with IHC staining protocol.", "ICCIF-species-checked": "notRecommended", "ICCIF-species-dilution-info": "", "ICCIF-species-notes": "<p></p>", "IP-species-checked": "guaranteed", "IP-species-dilution-info": "", "IP-species-notes": "", "Dot-species-checked": "guaranteed", "Dot-species-dilution-info": "", "Dot-species-notes": "", "WB-species-checked": "testedAndGuaranteed", "WB-species-dilution-info": "", "WB-species-notes": "<p></p>", "ELISA-species-checked": "guaranteed", "ELISA-species-dilution-info": "", "ELISA-species-notes": "", "FlowCyt-species-checked": "notRecommended", "FlowCyt-species-dilution-info": "", "FlowCyt-species-notes": "<p></p>" }, "Mouse": { "IHCP-species-checked": "guaranteed", "IHCP-species-dilution-info": "", "IHCP-species-notes": "", "ICCIF-species-checked": "notRecommended", "ICCIF-species-dilution-info": "", "ICCIF-species-notes": "<p></p>", "IP-species-checked": "testedAndGuaranteed", "IP-species-dilution-info": "", "IP-species-notes": "<p></p>", "Dot-species-checked": "guaranteed", "Dot-species-dilution-info": "", "Dot-species-notes": "", "WB-species-checked": "testedAndGuaranteed", "WB-species-dilution-info": "", "WB-species-notes": "<p></p>", "ELISA-species-checked": "guaranteed", "ELISA-species-dilution-info": "", "ELISA-species-notes": "", "FlowCyt-species-checked": "notRecommended", "FlowCyt-species-dilution-info": "", "FlowCyt-species-notes": "<p></p>" }, "Rat": { "IHCP-species-checked": "predicted", "IHCP-species-dilution-info": "", "IHCP-species-notes": "", "ICCIF-species-checked": "notRecommended", "ICCIF-species-dilution-info": "", "ICCIF-species-notes": "<p></p>", "IP-species-checked": "predicted", "IP-species-dilution-info": "", "IP-species-notes": "", "Dot-species-checked": "predicted", "Dot-species-dilution-info": "", "Dot-species-notes": "", "WB-species-checked": "predicted", "WB-species-dilution-info": "", "WB-species-notes": "", "ELISA-species-checked": "predicted", "ELISA-species-dilution-info": "", "ELISA-species-notes": "", "FlowCyt-species-checked": "notRecommended", "FlowCyt-species-dilution-info": "", "FlowCyt-species-notes": "<p></p>" }, "Synthetic peptide": { "IHCP-species-checked": "notRecommended", "IHCP-species-dilution-info": "", "IHCP-species-notes": "", "ICCIF-species-checked": "notRecommended", "ICCIF-species-dilution-info": "", "ICCIF-species-notes": "", "IP-species-checked": "notRecommended", "IP-species-dilution-info": "", "IP-species-notes": "", "Dot-species-checked": "testedAndGuaranteed", "Dot-species-dilution-info": "", "Dot-species-notes": "<p></p>", "WB-species-checked": "notRecommended", "WB-species-dilution-info": "", "WB-species-notes": "", "ELISA-species-checked": "testedAndGuaranteed", "ELISA-species-dilution-info": "", "ELISA-species-notes": "<p></p>", "FlowCyt-species-checked": "notRecommended", "FlowCyt-species-dilution-info": "", "FlowCyt-species-notes": "" } } }

Product details

ab171376 is the carrier-free version of ab32413.

Patented technology
Our RabMAb® technology is a patented hybridoma-based technology for making rabbit monoclonal antibodies. For details on our patents, please refer to RabMAb® patents.

What are the advantages of a recombinant monoclonal antibody?
This product is a recombinant monoclonal antibody, which offers several advantages including:

  • - High batch-to-batch consistency and reproducibility
  • - Improved sensitivity and specificity
  • - Long-term security of supply
  • - Animal-free batch production

For more information, read more on recombinant antibodies.

Conjugation ready
Our carrier-free antibodies are typically supplied in a PBS-only formulation, purified and free of BSA, sodium azide and glycerol. This conjugation-ready format is designed for use with fluorochromes, metal isotopes, oligonucleotides, and enzymes, which makes them ideal for antibody labelling, functional and cell-based assays, flow-based assays (e.g. mass cytometry) and Multiplex Imaging applications.

Use our conjugation kits for antibody conjugates that are ready-to-use in as little as 20 minutes with 1 minute hands-on-time and 100% antibody recovery: available for fluorescent dyes, HRP, biotin and gold.

Compatibility
This product is compatible with the Maxpar® Antibody Labeling Kit from Fluidigm, without the need for antibody preparation. Maxpar® is a trademark of Fluidigm Canada Inc.

Properties and storage information

Form
Liquid
Purification technique
Affinity purification Protein A
Storage buffer
Constituents: PBS
Shipped at conditions
Blue Ice
Appropriate short-term storage conditions
+4°C
Appropriate long-term storage conditions
+4°C
Storage information
Do Not Freeze

Supplementary information

This supplementary information is collated from multiple sources and compiled automatically.

RSK1 also known as p90 ribosomal S6 kinase 1 or p90RSK is a serine/threonine kinase with an approximate mass of 90 kDa. It belongs to the family of proteins that integrate signals from various extracellular stimuli. This kinase is expressed in diverse tissues including brain lung liver and skeletal muscle. At the molecular level RSK1 phosphorylates various target proteins that are involved in regulating cellular growth and survival. Its activity is regulated by phosphorylation events that occur at specific sites such as Serine 238 (E238 in some literature) which are critical for its function.
Biological function summary

RSK1 plays a fundamental role in cell proliferation and differentiation in the context of the p90 protein weight. It is an important component of the mitogen-activated protein kinase (MAPK) signaling pathway and forms part of multi-protein complexes that facilitate its activation and function. RSK1 influences various biological processes by phosphorylating transcription factors histone proteins and other kinases thereby regulating gene expression and protein synthesis. These actions highlight its influence in maintaining cellular homeostasis.

Pathways

RSK1 p90 interacts significantly with the MAPK/ERK and PI3K/AKT pathways. It acts downstream of ERK where it receives activating signals that enable it to phosphorylate substrates within the cell. This role supports its interaction with proteins like Akt and mTOR which are critical mediators of cell growth signals. The interplay between these pathways enables cells to respond to growth factors and stress contributing to the regulation of development and metabolism.

RSK1 is implicated in the progression of cancer and neurological disorders. In cancer abnormal RSK1 signaling can lead to unchecked cell growth and survival where it often interfaces with proteins such as C-RAF and BCL-2 to promote oncogenic pathways. In neurological disorders RSK1 influences pathways that regulate neuron survival and plasticity connecting it to proteins like CREB. Understanding RSK1's role in these conditions can provide insight into targeted therapies that may mitigate these diseases.

Product protocols

For this product, it's our understanding that no specific protocols are required. You can visit:

Target data

Serine/threonine-protein kinase that acts downstream of ERK (MAPK1/ERK2 and MAPK3/ERK1) signaling and mediates mitogenic and stress-induced activation of the transcription factors CREB1, ETV1/ER81 and NR4A1/NUR77, regulates translation through RPS6 and EIF4B phosphorylation, and mediates cellular proliferation, survival, and differentiation by modulating mTOR signaling and repressing pro-apoptotic function of BAD and DAPK1 (PubMed : 10679322, PubMed : 12213813, PubMed : 15117958, PubMed : 16223362, PubMed : 17360704, PubMed : 18722121, PubMed : 26158630, PubMed : 35772404, PubMed : 9430688). In fibroblast, is required for EGF-stimulated phosphorylation of CREB1, which results in the subsequent transcriptional activation of several immediate-early genes (PubMed : 18508509, PubMed : 18813292). In response to mitogenic stimulation (EGF and PMA), phosphorylates and activates NR4A1/NUR77 and ETV1/ER81 transcription factors and the cofactor CREBBP (PubMed : 12213813, PubMed : 16223362). Upon insulin-derived signal, acts indirectly on the transcription regulation of several genes by phosphorylating GSK3B at 'Ser-9' and inhibiting its activity (PubMed : 18508509, PubMed : 18813292). Phosphorylates RPS6 in response to serum or EGF via an mTOR-independent mechanism and promotes translation initiation by facilitating assembly of the pre-initiation complex (PubMed : 17360704). In response to insulin, phosphorylates EIF4B, enhancing EIF4B affinity for the EIF3 complex and stimulating cap-dependent translation (PubMed : 16763566). Is involved in the mTOR nutrient-sensing pathway by directly phosphorylating TSC2 at 'Ser-1798', which potently inhibits TSC2 ability to suppress mTOR signaling, and mediates phosphorylation of RPTOR, which regulates mTORC1 activity and may promote rapamycin-sensitive signaling independently of the PI3K/AKT pathway (PubMed : 15342917). Also involved in feedback regulation of mTORC1 and mTORC2 by phosphorylating DEPTOR (PubMed : 22017876). Mediates cell survival by phosphorylating the pro-apoptotic proteins BAD and DAPK1 and suppressing their pro-apoptotic function (PubMed : 10679322, PubMed : 16213824). Promotes the survival of hepatic stellate cells by phosphorylating CEBPB in response to the hepatotoxin carbon tetrachloride (CCl4) (PubMed : 11684016). Mediates induction of hepatocyte prolifration by TGFA through phosphorylation of CEBPB (PubMed : 18508509, PubMed : 18813292). Is involved in cell cycle regulation by phosphorylating the CDK inhibitor CDKN1B, which promotes CDKN1B association with 14-3-3 proteins and prevents its translocation to the nucleus and inhibition of G1 progression (PubMed : 18508509, PubMed : 18813292). Phosphorylates EPHA2 at 'Ser-897', the RPS6KA-EPHA2 signaling pathway controls cell migration (PubMed : 26158630). In response to mTORC1 activation, phosphorylates EIF4B at 'Ser-406' and 'Ser-422' which stimulates bicarbonate cotransporter SLC4A7 mRNA translation, increasing SLC4A7 protein abundance and function (PubMed : 35772404).. (Microbial infection) Promotes the late transcription and translation of viral lytic genes during Kaposi's sarcoma-associated herpesvirus/HHV-8 infection, when constitutively activated.
See full target information RPS6KA1 phospho T359

Publications (1)

Recent publications for all applications. Explore the full list and refine your search

Bioengineered 13:9780-9791 PubMed35412433

2022

Matrine impedes colorectal cancer proliferation and migration by downregulating endoplasmic reticulum lipid raft associated protein 1 expression.

Applications

Unspecified application

Species

Unspecified reactive species

Hongtao Ren,Yali Wang,Ya Guo,Mincong Wang,Xiulong Ma,Wen Li,Yuyan Guo,Yiming Li
View all publications

Product promise

We are committed to supporting your work with high-quality reagents, and we're here for you every step of the way. In the unlikely event that one of our products does not perform as expected, you're protected by our Product Promise.
For full details, please see our Terms & Conditions

Please note: All products are 'FOR RESEARCH USE ONLY. NOT FOR USE IN DIAGNOSTIC OR THERAPEUTIC PROCEDURES'.

For licensing inquiries, please contact partnerships@abcam.com