JavaScript is disabled in your browser. Please enable JavaScript to view this website.
AB317409

Anti-RSK3 antibody [S05-5E4]

Be the first to review this product! Submit a review

|

(0 Publication)

Rabbit Monoclonal RSK3 antibody. Suitable for WB, IHC-P and reacts with Human, Chinese hamster samples. Immunogen corresponding to Synthetic Peptide within Human RPS6KA2.

View Alternative Names

MAPKAPK1C, RSK3, RPS6KA2, Ribosomal protein S6 kinase alpha-2, S6K-alpha-2, 90 kDa ribosomal protein S6 kinase 2, MAP kinase-activated protein kinase 1c, Ribosomal S6 kinase 3, pp90RSK3, p90-RSK 2, p90RSK2, MAPK-activated protein kinase 1c, MAPKAP kinase 1c, MAPKAPK-1c, RSK-3

2 Images
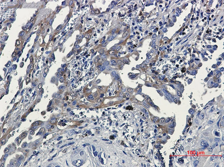
Immunohistochemistry (Formalin/PFA-fixed paraffin-embedded sections) - Anti-RSK3 Antibody [S05-5E4] (AB317409)
  • IHC-P

Supplier Data

Immunohistochemistry (Formalin/PFA-fixed paraffin-embedded sections) - Anti-RSK3 Antibody [S05-5E4] (AB317409)

Immunohistochemical of RSK3 in human lung cancer tissue using ab317409 at dilution 1/20.

Western blot - Anti-RSK3 Antibody [S05-5E4] (AB317409)
  • WB

Supplier Data

Western blot - Anti-RSK3 Antibody [S05-5E4] (AB317409)

All lanes:

Western blot - Anti-RSK3 Antibody [S05-5E4] (ab317409) at 1/1000 dilution

Lane 1:

CHO-K1 cell lysate

Lane 2:

HeLa cell lysate

Predicted band size: 83 kDa

false

Key facts

Host species

Rabbit

Clonality

Monoclonal

Clone number

S05-5E4

Isotype

IgG

Carrier free

No

Reacts with

Human, Chinese hamster

Applications

IHC-P, WB

applications

Immunogen

Synthetic Peptide within Human RPS6KA2.

Q15349

Reactivity data

{ "title": "Reactivity Data", "filters": { "stats": ["", "Species", "Dilution Info", "Notes"], "tabs": { "all-applications": {"fullname" : "All Applications", "shortname": "All Applications"}, "WB" : {"fullname" : "Western blot", "shortname":"WB"}, "IHCP" : {"fullname" : "Immunohistochemistry (Formalin/PFA-fixed paraffin-embedded sections)", "shortname":"IHC-P"} }, "product-promise": { "all": "all", "testedAndGuaranteed": "tested", "guaranteed": "expected", "predicted": "predicted", "notRecommended": "not-recommended" } }, "values": { "Human": { "WB-species-checked": "testedAndGuaranteed", "WB-species-dilution-info": "1/1000 - 1/2000", "WB-species-notes": "<p></p>", "IHCP-species-checked": "testedAndGuaranteed", "IHCP-species-dilution-info": "1/20 - 1/50", "IHCP-species-notes": "<p></p>" }, "Chinese hamster": { "WB-species-checked": "testedAndGuaranteed", "WB-species-dilution-info": "1/1000 - 1/2000", "WB-species-notes": "<p></p>", "IHCP-species-checked": "guaranteed", "IHCP-species-dilution-info": "", "IHCP-species-notes": "" } } }

Properties and storage information

Form
Liquid
Purification technique
Affinity purification
Storage buffer
pH: 7.4 Preservative: 0.01% Sodium azide Constituents: 55.08% Water, 40% Glycerol (glycerin, glycerine), 0.98% Tris glycine, 0.88% Sodium chloride, 0.05% BSA
Shipped at conditions
Blue Ice
Appropriate short-term storage duration
1-2 weeks
Appropriate short-term storage conditions
+4°C
Appropriate long-term storage conditions
-20°C
Aliquoting information
Upon delivery aliquot
Storage information
Avoid freeze / thaw cycle

Supplementary information

This supplementary information is collated from multiple sources and compiled automatically.

RSK3 also known as ribosomal S6 kinase 2 or RPS6KA2 is a serine/threonine-protein kinase with a molecular mass of about 90 kDa. RSK3 belongs to the p90-RSK family of kinases comprising four isoforms (RSK1 RSK2 RSK3 and RSK4) which are downstream effectors of the MAPK/ERK pathway. It is ubiquitously expressed with significant expression in the brain heart and skeletal muscle.
Biological function summary

RSK3 acts in cell growth survival and differentiation. The kinase participates in forming signaling complexes that transmit signals from the cell membrane to the nucleus. RSK3 modulates the activity of several substrates including transcription factors and other kinases by phosphorylating specific serine/threonine residues. RSK3 interacts with complexes involved in cell adhesion and migration facilitating cellular responses to external stimuli.

Pathways

RSK3 plays a role in the MAPK/ERK pathway which is important for mediating responses to growth factors. This pathway interlinks with other signaling cascades including those involving the PI3K/AKT pathway. RSK3 phosphorylates substrates such as ribosomal protein S6 and the transcription factor CREB which influence protein synthesis and gene expression. Its related proteins such as RSK1 and RSK2 also contribute to fine-tuning these cellular pathways.

RSK3 is associated with cancer and cardiac hypertrophy. Dysregulation of RSK3 signaling can lead to enhanced cell proliferation and reduced apoptosis contributing to tumorigenesis. It interacts with other proteins including AKT in pathways that promote cancer cell survival. In cardiac hypertrophy RSK3 plays a role in maladaptive processes leading to heart enlargement linked to interaction with proteins like ERK. Understanding RSK3's role in these conditions can guide therapeutic strategies targeting its signaling pathways.

Product protocols

For this product, it's our understanding that no specific protocols are required. You can visit:

Target data

Serine/threonine-protein kinase that acts downstream of ERK (MAPK1/ERK2 and MAPK3/ERK1) signaling and mediates mitogenic and stress-induced activation of transcription factors, regulates translation, and mediates cellular proliferation, survival, and differentiation. May function as tumor suppressor in epithelial ovarian cancer cells.
See full target information RPS6KA2

Product promise

We are committed to supporting your work with high-quality reagents, and we're here for you every step of the way. In the unlikely event that one of our products does not perform as expected, you're protected by our Product Promise.
For full details, please see our Terms & Conditions

Please note: All products are 'FOR RESEARCH USE ONLY. NOT FOR USE IN DIAGNOSTIC OR THERAPEUTIC PROCEDURES'.

For licensing inquiries, please contact partnerships@abcam.com