JavaScript is disabled in your browser. Please enable JavaScript to view this website.
AB321800

Anti-RSPO1 antibody [EPR28996-577] - BSA and Azide free

Be the first to review this product! Submit a review

|

(0 Publication)

Rabbit Recombinant Monoclonal RSPO1 antibody. Carrier free. Suitable for Dot, WB, IHC-P and reacts with Recombinant fragment - Human, Human samples.

View Alternative Names

R-spondin-1, Roof plate-specific spondin-1, hRspo1, RSPO1

7 Images
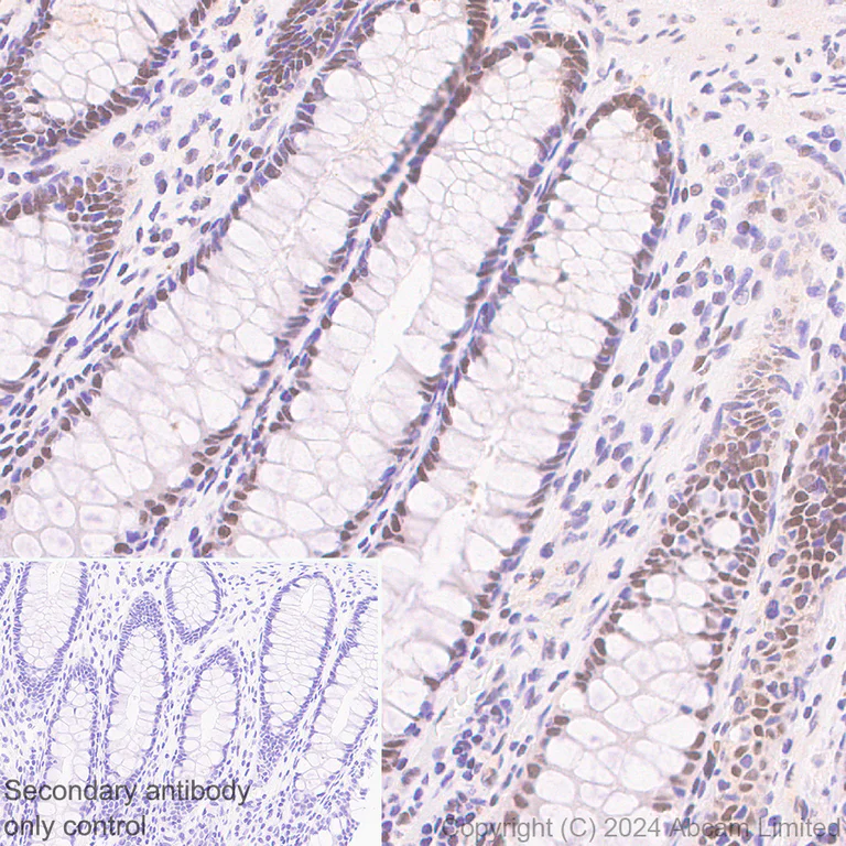
Immunohistochemistry (Formalin/PFA-fixed paraffin-embedded sections) - Anti-RSPO1 antibody [EPR28996-577] - BSA and Azide free (AB321800)
  • IHC-P

Supplier Data

Immunohistochemistry (Formalin/PFA-fixed paraffin-embedded sections) - Anti-RSPO1 antibody [EPR28996-577] - BSA and Azide free (AB321800)

This data was developed using ab321799, the same antibody clone in a different buffer formulation.

Immunohistochemical analysis of paraffin-embedded Human colon tissue labeling RSPO1 with ab321799 at 1/500 (0.99 ug/ml) dilution, followed by a ready to use LeicaDS9800 (Bond™ Polymer Refine Detection).

Positive staining on human colon.
The section was incubated with ab321799 for 30 mins at room temperature.
The immunostaining was performed on a Leica Biosystems BOND® RX instrument

Counterstained with Hematoxylin.

Secondary antibody only control : Secondary antibody is a ready to use LeicaDS9800 (Bond™ Polymer Refine Detection).

Heat mediated antigen retrieval was performed with Tris-EDTA buffer (pH 9.0, Epitope Retrieval Solution2) for 20 mins

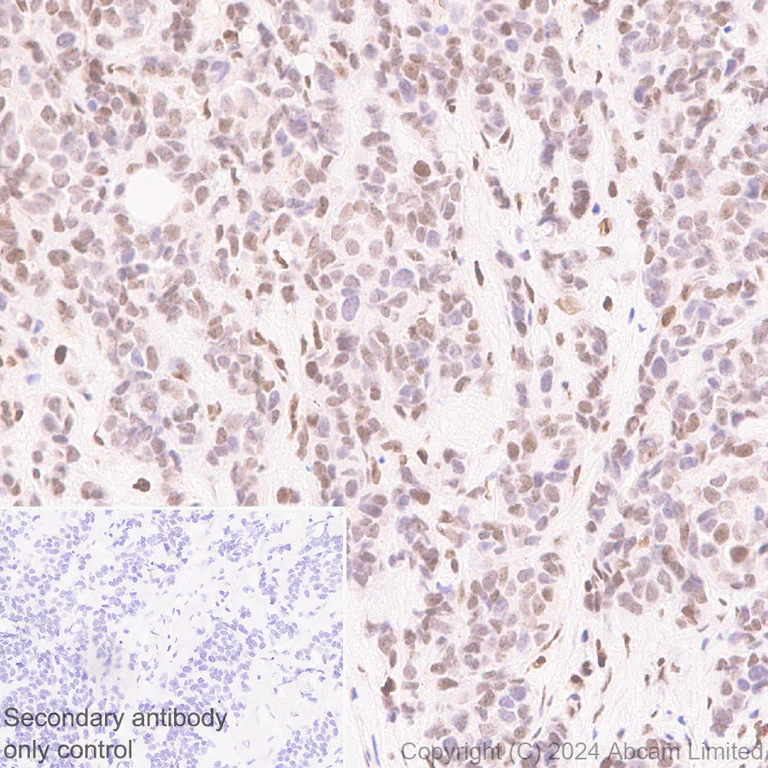
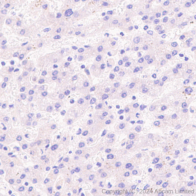
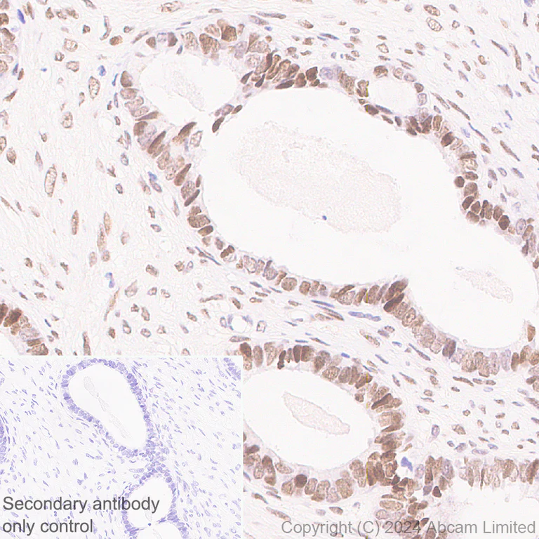
Immunohistochemistry (Formalin/PFA-fixed paraffin-embedded sections) - Anti-RSPO1 antibody [EPR28996-577] - BSA and Azide free (AB321800)
  • IHC-P

Supplier Data

Immunohistochemistry (Formalin/PFA-fixed paraffin-embedded sections) - Anti-RSPO1 antibody [EPR28996-577] - BSA and Azide free (AB321800)

This data was developed using ab321799, the same antibody clone in a different buffer formulation.

Immunohistochemical analysis of paraffin-embedded Human ovary cancer tissue labeling RSPO1 with ab321799 at 1/500 (0.99 ug/ml) dilution, followed by a ready to use LeicaDS9800 (Bond™ Polymer Refine Detection).

Positive staining on human ovary cancer.
The section was incubated with ab321799 for 30 mins at room temperature.
The immunostaining was performed on a Leica Biosystems BOND® RX instrument

Counterstained with Hematoxylin.

Secondary antibody only control : Secondary antibody is a ready to use LeicaDS9800 (Bond™ Polymer Refine Detection).

Heat mediated antigen retrieval was performed with Tris-EDTA buffer (pH 9.0, Epitope Retrieval Solution2) for 20 mins

Immunohistochemistry (Formalin/PFA-fixed paraffin-embedded sections) - Anti-RSPO1 antibody [EPR28996-577] - BSA and Azide free (AB321800)
  • IHC-P

Supplier Data

Immunohistochemistry (Formalin/PFA-fixed paraffin-embedded sections) - Anti-RSPO1 antibody [EPR28996-577] - BSA and Azide free (AB321800)

This data was developed using ab321799, the same antibody clone in a different buffer formulation.

Immunohistochemical analysis of paraffin-embedded Human liver tissue labeling RSPO1 with ab321799 at 1/500 (0.99 ug/ml) dilution, followed by a ready to use LeicaDS9800 (Bond™ Polymer Refine Detection).

Low expression tissue : almost no staining on human liver.
The section was incubated with ab321799 for 30 mins at room temperature.
The immunostaining was performed on a Leica Biosystems BOND® RX instrument

Counterstained with Hematoxylin.

Secondary antibody only control : Secondary antibody is a ready to use LeicaDS9800 (Bond™ Polymer Refine Detection).

Heat mediated antigen retrieval was performed with Tris-EDTA buffer (pH 9.0, Epitope Retrieval Solution2) for 20 mins

Immunohistochemistry (Formalin/PFA-fixed paraffin-embedded sections) - Anti-RSPO1 antibody [EPR28996-577] - BSA and Azide free (AB321800)
  • IHC-P

Supplier Data

Immunohistochemistry (Formalin/PFA-fixed paraffin-embedded sections) - Anti-RSPO1 antibody [EPR28996-577] - BSA and Azide free (AB321800)

This data was developed using ab321799, the same antibody clone in a different buffer formulation.

Immunohistochemical analysis of paraffin-embedded Human breast cancer tissue labeling RSPO1 with ab321799 at 1/500 (0.99 ug/ml) dilution, followed by a ready to use LeicaDS9800 (Bond™ Polymer Refine Detection).

Positive staining on human breast cancer.
The section was incubated with ab321799 for 30 mins at room temperature.
The immunostaining was performed on a Leica Biosystems BOND® RX instrument

Counterstained with Hematoxylin.

Secondary antibody only control : Secondary antibody is a ready to use LeicaDS9800 (Bond™ Polymer Refine Detection).

Heat mediated antigen retrieval was performed with Tris-EDTA buffer (pH 9.0, Epitope Retrieval Solution2) for 20 mins

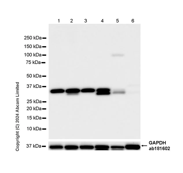
Western blot - Anti-RSPO1 antibody [EPR28996-577] - BSA and Azide free (AB321800)
  • WB

Supplier Data

Western blot - Anti-RSPO1 antibody [EPR28996-577] - BSA and Azide free (AB321800)

This data was developed using ab321799, the same antibody clone in a different buffer formulation.

Blocking and diluting buffer and concentration : 5% NFDM/TBST.

Low expression : liver, skeletal muscle.

The molecular weight observed is consistent with what has been described in the literature (PMID : 27123103).

In Western blot, Anti-GAPDH antibody [EPR16891] - Loading Control (ab181602) staining at 1/200000 dilution.

All lanes:

Western blot - Anti-RSPO1 antibody [EPR28996-577] (<a href='/en-us/products/primary-antibodies/rspo1-antibody-epr28996-577-ab321799'>ab321799</a>) at 1/1000 dilution

Lane 1:

SK-OV-3 (human ovarian cancer epithelial cell) whole lysate at 20 µg

Lane 2:

NIH:OVCAR-3 (human ovary adenocarcinoma epithelial cell) whole lysate at 20 µg

Lane 3:

SH-SY5Y (human neuroblastoma epithelial cell) whole lysate at 20 µg

Lane 4:

Human ovary cancer tissue lysate at 20 µg

Lane 5:

Human liver tissue lysate at 20 µg

Lane 6:

Human skeletal muscle tissue lysate at 20 µg

Secondary

All lanes:

Goat Anti-Rabbit IgG (HRP) with minimal cross-reactivity with human IgG at 1/2000 dilution

Observed band size: 30 kDa,36 kDa

false

Exposure time: 8s

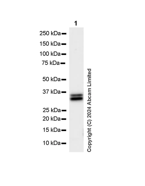
Western blot - Anti-RSPO1 antibody [EPR28996-577] - BSA and Azide free (AB321800)
  • WB

Supplier Data

Western blot - Anti-RSPO1 antibody [EPR28996-577] - BSA and Azide free (AB321800)

This data was developed using ab321799, the same antibody clone in a different buffer formulation.

Blocking and diluting buffer and concentration : 5% NFDM/TBST.

All lanes:

Western blot - Anti-RSPO1 antibody [EPR28996-577] (<a href='/en-us/products/primary-antibodies/rspo1-antibody-epr28996-577-ab321799'>ab321799</a>) at 1/1000 dilution

All lanes:

Human ovary tissue lysate at 20 µg

Secondary

All lanes:

Goat Anti-Rabbit IgG (HRP) with minimal cross-reactivity with human IgG at 1/2000 dilution

Observed band size: 30 kDa,36 kDa

false

Exposure time: 10s

Dot Blot - Anti-RSPO1 antibody [EPR28996-577] - BSA and Azide free (AB321800)
  • Dot

Supplier Data

Dot Blot - Anti-RSPO1 antibody [EPR28996-577] - BSA and Azide free (AB321800)

This data was developed using ab321799, the same antibody clone in a different buffer formulation.

Dot blot analysis of RSPO1 using ab321799 at 1 : 1000 (0.495 ug/ml) followed by a Goat Anti-Rabbit IgG, (H+L), Peroxidase conjugated (ab97051) at 1 : 10,000 dilution.

Blocking and diluting buffer and concentration : 5% NFDM/TBST.

This antibody does not cross-react with human RSPO2 and RSPO3.

All lanes:

Dot Blot - Anti-RSPO1 antibody [EPR28996-577] (<a href='/en-us/products/primary-antibodies/rspo1-antibody-epr28996-577-ab321799'>ab321799</a>) at 1/1000 dilution

Lane 1:

His-tagged human RSPO1 fragment

Lane 2:

His-tagged human RSPO2 fragment

Lane 3:

No-tagged human RSPO3 fragment

Secondary

All lanes:

Dot Blot - Goat Anti-Rabbit IgG H&L (HRP) (<a href='/en-us/products/secondary-antibodies/goat-rabbit-igg-h-l-hrp-ab97051'>ab97051</a>) at 1/10000 dilution

false

Exposure time: 180s

Key facts

Host species

Rabbit

Clonality

Monoclonal

Clone number

EPR28996-577

Isotype

IgG

Carrier free

Yes

Reacts with

Human

Applications

Dot, WB, IHC-P

applications

Immunogen

The exact immunogen used to generate this antibody is proprietary information.

Reactivity data

{ "title": "Reactivity Data", "filters": { "stats": ["", "Species", "Dilution Info", "Notes"], "tabs": { "all-applications": {"fullname" : "All Applications", "shortname": "All Applications"}, "Dot" : {"fullname" : "Dot Blot", "shortname":"Dot"}, "WB" : {"fullname" : "Western blot", "shortname":"WB"}, "IHCP" : {"fullname" : "Immunohistochemistry (Formalin/PFA-fixed paraffin-embedded sections)", "shortname":"IHC-P"} }, "product-promise": { "all": "all", "testedAndGuaranteed": "tested", "guaranteed": "expected", "predicted": "predicted", "notRecommended": "not-recommended" } }, "values": { "Human": { "Dot-species-checked": "guaranteed", "Dot-species-dilution-info": "", "Dot-species-notes": "", "WB-species-checked": "testedAndGuaranteed", "WB-species-dilution-info": "", "WB-species-notes": "<p></p>", "IHCP-species-checked": "testedAndGuaranteed", "IHCP-species-dilution-info": "", "IHCP-species-notes": "<p></p> Perform heat-mediated antigen retrieval with Tris/EDTA buffer pH 9.0 before commencing with IHC staining protocol." }, "Mouse": { "Dot-species-checked": "notRecommended", "Dot-species-dilution-info": "", "Dot-species-notes": "", "WB-species-checked": "notRecommended", "WB-species-dilution-info": "", "WB-species-notes": "<p></p>", "IHCP-species-checked": "notRecommended", "IHCP-species-dilution-info": "", "IHCP-species-notes": "<p></p>" }, "Recombinant fragment - Human": { "Dot-species-checked": "testedAndGuaranteed", "Dot-species-dilution-info": "", "Dot-species-notes": "<p></p>", "WB-species-checked": "notRecommended", "WB-species-dilution-info": "", "WB-species-notes": "", "IHCP-species-checked": "notRecommended", "IHCP-species-dilution-info": "", "IHCP-species-notes": "" } } }

Product details

ab321800 is the carrier-free version of ab321799.

Patented technology
Our RabMAb® technology is a patented hybridoma-based technology for making rabbit monoclonal antibodies. For details on our patents, please refer to RabMAb® patents.

What are the advantages of a recombinant monoclonal antibody?
This product is a recombinant monoclonal antibody, which offers several advantages including:

  • - High batch-to-batch consistency and reproducibility
  • - Improved sensitivity and specificity
  • - Long-term security of supply
  • - Animal-free batch production

For more information, read more on recombinant antibodies.

Conjugation ready
Our carrier-free antibodies are typically supplied in a PBS-only formulation, purified and free of BSA, sodium azide and glycerol. This conjugation-ready format is designed for use with fluorochromes, metal isotopes, oligonucleotides, and enzymes, which makes them ideal for antibody labelling, functional and cell-based assays, flow-based assays (e.g. mass cytometry) and Multiplex Imaging applications.

Use our conjugation kits for antibody conjugates that are ready-to-use in as little as 20 minutes with 1 minute hands-on-time and 100% antibody recovery: available for fluorescent dyes, HRP, biotin and gold.

Compatibility
This product is compatible with the Maxpar® Antibody Labeling Kit from Fluidigm, without the need for antibody preparation. Maxpar® is a trademark of Fluidigm Canada Inc.

Properties and storage information

Form
Liquid
Purification technique
Affinity purification Protein A
Storage buffer
pH: 7.2 - 7.4 Constituents: PBS
Shipped at conditions
Blue Ice
Appropriate short-term storage conditions
+4°C
Appropriate long-term storage conditions
+4°C

Supplementary information

This supplementary information is collated from multiple sources and compiled automatically.

RSPO1 also known as R-spondin 1 is a protein that plays an important role in the activation of the Wnt/β-catenin signaling pathway. It weighs approximately 29 kDa. RSPO1 is a secreted protein and is expressed in a variety of tissues including the ovary pancreas and regions of the brain. By binding to the leucine-rich repeat-containing G-protein-coupled receptors (LGRs) especially LGR4 LGR5 and LGR6 RSPO1 enhances Wnt signaling activity leading to increased stability and accumulation of β-catenin in the cell.
Biological function summary

RSPO1 acts as a major stimulator of cell proliferation and differentiation. It does not function alone but rather works in association with the Wnt receptors for signal enhancement. RSPO1 positively influences the regenerative processes in tissues and organs contributing to cell fate determination during development. As part of this interaction RSPO1 can reverse the degradation of Wnt receptors therefore amplifying the signaling required for proper developmental processes and tissue maintenance.

Pathways

RSPO1 integrates deeply into the Wnt/β-catenin signaling pathway where its role is important for amplifying the signals important for cellular activities such as proliferation and migration. RSPO1 interacts with pathway members such as Frizzled receptors and lipoprotein receptor-related proteins (Lrp5/6) to potentiate Wnt signaling. The function of RSPO1 in the Wnt pathway aligns with its interplay in epithelial cell stimulation and development making it an essential component in pathways driving cellular growth and differentiation.

RSPO1 has significant connections with congenital and proliferative conditions. Disruptions in RSPO1 expression are linked to sex reversal syndrome where the genetic sex does not match the phenotypic sex due to abnormal gonadal development. Additionally RSPO1 is implicated in colorectal cancer where upregulated Wnt signaling facilitated by RSPO1 promotes unchecked cellular proliferation. The interplay between RSPO1 and other pathway components like β-catenin and Frizzled receptors exacerbates these molecular dysfunctions highlighting its relevance in disease mechanisms.

Product protocols

For this product, it's our understanding that no specific protocols are required. You can visit:

Target data

Activator of the canonical Wnt signaling pathway by acting as a ligand for LGR4-6 receptors (PubMed : 29769720). Upon binding to LGR4-6 (LGR4, LGR5 or LGR6), LGR4-6 associate with phosphorylated LRP6 and frizzled receptors that are activated by extracellular Wnt receptors, triggering the canonical Wnt signaling pathway to increase expression of target genes. Also regulates the canonical Wnt/beta-catenin-dependent pathway and non-canonical Wnt signaling by acting as an inhibitor of ZNRF3, an important regulator of the Wnt signaling pathway. Acts as a ligand for frizzled FZD8 and LRP6. May negatively regulate the TGF-beta pathway. Has a essential roles in ovary determination. Regulates Wnt signaling by antagonizing DKK1/KREM1-mediated internalization of LRP6 through an interaction with KREM1 (PubMed : 17804805).
See full target information R-spondin-1

Product promise

We are committed to supporting your work with high-quality reagents, and we're here for you every step of the way. In the unlikely event that one of our products does not perform as expected, you're protected by our Product Promise.
For full details, please see our Terms & Conditions

Please note: All products are 'FOR RESEARCH USE ONLY. NOT FOR USE IN DIAGNOSTIC OR THERAPEUTIC PROCEDURES'.

For licensing inquiries, please contact partnerships@abcam.com