JavaScript is disabled in your browser. Please enable JavaScript to view this website.
AB250452

Anti-RST antibody [EPR12312(2)] - BSA and Azide free

Be the first to review this product! Submit a review

|

(0 Publication)

Rabbit Recombinant Monoclonal RST antibody. Carrier free. Suitable for IHC-P and reacts with Human samples.

View Alternative Names

OATL4, URAT1, UNQ6453/PRO34004, SLC22A12, Solute carrier family 22 member 12, Organic anion transporter 4-like protein, Renal-specific transporter, Urate anion exchanger 1, Urate:anion antiporter SLC22A12, RST

2 Images
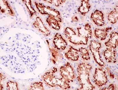
Immunohistochemistry (Formalin/PFA-fixed paraffin-embedded sections) - Anti-RST antibody [EPR12312(2)] - BSA and Azide free (AB250452)
  • IHC-P

Supplier Data

Immunohistochemistry (Formalin/PFA-fixed paraffin-embedded sections) - Anti-RST antibody [EPR12312(2)] - BSA and Azide free (AB250452)

This data was developed using ab181237, the same antibody clone in a different buffer formulation.

Immunohistochemical analysis of paraffin-embedded Human kidney tissue labeling RST using ab181237 at 1/100 dilution. A prediluted HRP Polymer for Rabbit IgG was used as secondary. Counterstain : Hematoxylin.

Perform heat mediated antigen retrieval with EDTA buffer pH 9 before commencing with IHC staining protocol.

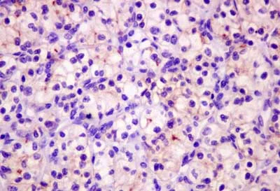
Immunohistochemistry (Formalin/PFA-fixed paraffin-embedded sections) - Anti-RST antibody [EPR12312(2)] - BSA and Azide free (AB250452)
  • IHC-P

Supplier Data

Immunohistochemistry (Formalin/PFA-fixed paraffin-embedded sections) - Anti-RST antibody [EPR12312(2)] - BSA and Azide free (AB250452)

This data was developed using ab181237, the same antibody clone in a different buffer formulation.

Immunohistochemical analysis of paraffin-embedded Human renal clear cell carcinoma tissue labeling RST with ab181237 at 1/100 dilution. A prediluted HRP Polymer for Rabbit IgG was used as secondary. Counterstain : Hematoxylin.

Perform heat mediated antigen retrieval with EDTA buffer pH 9 before commencing with IHC staining protocol.

Key facts

Host species

Rabbit

Clonality

Monoclonal

Clone number

EPR12312(2)

Isotype

IgG

Carrier free

Yes

Reacts with

Human

Applications

IHC-P

applications

Immunogen

The exact immunogen used to generate this antibody is proprietary information.

Reactivity data

{ "title": "Reactivity Data", "filters": { "stats": ["", "Species", "Dilution Info", "Notes"], "tabs": { "all-applications": {"fullname" : "All Applications", "shortname": "All Applications"}, "IHCP" : {"fullname" : "Immunohistochemistry (Formalin/PFA-fixed paraffin-embedded sections)", "shortname":"IHC-P"} }, "product-promise": { "all": "all", "testedAndGuaranteed": "tested", "guaranteed": "expected", "predicted": "predicted", "notRecommended": "not-recommended" } }, "values": { "Human": { "IHCP-species-checked": "testedAndGuaranteed", "IHCP-species-dilution-info": "", "IHCP-species-notes": "<p></p> Perform heat-mediated antigen retrieval with Tris/EDTA buffer pH 9.0 before commencing with IHC staining protocol." } } }

Product details

ab250452 is the carrier-free version of ab181237.

Patented technology
Our RabMAb® technology is a patented hybridoma-based technology for making rabbit monoclonal antibodies. For details on our patents, please refer to RabMAb® patents.

What are the advantages of a recombinant monoclonal antibody?
This product is a recombinant monoclonal antibody, which offers several advantages including:

  • - High batch-to-batch consistency and reproducibility
  • - Improved sensitivity and specificity
  • - Long-term security of supply
  • - Animal-free batch production

For more information, read more on recombinant antibodies.

Conjugation ready
Our carrier-free antibodies are typically supplied in a PBS-only formulation, purified and free of BSA, sodium azide and glycerol. This conjugation-ready format is designed for use with fluorochromes, metal isotopes, oligonucleotides, and enzymes, which makes them ideal for antibody labelling, functional and cell-based assays, flow-based assays (e.g. mass cytometry) and Multiplex Imaging applications.

Use our conjugation kits for antibody conjugates that are ready-to-use in as little as 20 minutes with 1 minute hands-on-time and 100% antibody recovery: available for fluorescent dyes, HRP, biotin and gold.

Compatibility
This product is compatible with the Maxpar® Antibody Labeling Kit from Fluidigm, without the need for antibody preparation. Maxpar® is a trademark of Fluidigm Canada Inc.

Properties and storage information

Form
Liquid
Purification technique
Affinity purification Protein A
Storage buffer
pH: 7.2 - 7.4 Constituents: PBS
Shipped at conditions
Blue Ice
Appropriate short-term storage conditions
+4°C
Appropriate long-term storage conditions
+4°C
Storage information
Do Not Freeze

Supplementary information

This supplementary information is collated from multiple sources and compiled automatically.

The RST protein also known as RSTP1 has a significant role in cellular mechanics. It is a protein with a molecular mass of approximately 56 kDa and shows expression in multiple tissue types especially in the liver and heart. Functionally RST acts in the regulation of ion transport across cellular membranes. Its structure allows it to interact with both lipids and proteins facilitating effective shuttling of specific ions most notably calcium ions that are essential for maintaining proper cellular function.
Biological function summary

The mechanism of RST significantly contributes to the homeostasis of cellular ion concentrations. It forms part of the larger calcium ion regulation complex interacting closely with proteins like calmodulin. This interaction enables RST to play a vital part in maintaining calcium levels which is important for cellular signaling and muscle contraction processes. As part of the complex RST assists in the rapid response required during fluctuations in cellular ionic balance.

Pathways

Calcium ion regulation stands central where RST exerts its influence. Notably it participates in the signal transduction pathway which involves calcium as a second messenger to facilitate cellular responses to external stimuli. Additionally RST is involved in metabolic pathways that hinge on calcium concentration regulation working alongside related proteins such as phospholipase C which also has a role in signal transduction processes. These pathways are integral to maintaining cellular function and response to changes in the environment.

RST holds relevance in conditions related to calcium imbalance including cardiac arrhythmias and type 2 diabetes. In cardiac arrhythmias the dysregulation of RST can impact calcium channels influencing heart rhythm stability. Interactions with other proteins such as troponin compound these effects by further altering calcium sensitivity in cardiac tissues. In type 2 diabetes alterations in calcium signaling associated with RST maladaptations contribute to the insulin secretion process. These examples highlight RST’s varied influence on disease processes linked to signficant global health challenges.

Product protocols

For this product, it's our understanding that no specific protocols are required. You can visit:

Target data

Electroneutral antiporter that translocates urate across the apical membrane of proximal tubular cells in exchange for monovalent organic or inorganic anions (PubMed : 12024214, PubMed : 22194875, PubMed : 35144162, PubMed : 35462902). Involved in renal reabsorption of urate and helps maintaining blood levels of uric acid (PubMed : 12024214, PubMed : 22194875). Mediates urate uptake by an exchange with organic anions such as (S)-lactate and nicotinate, and inorganic anion Cl(-) (PubMed : 12024214). Other inorganic anions such as Br(-), I(-) and NO3(-) may also act as counteranions that exchange for urate (PubMed : 12024214). Also mediates orotate tubular uptake coupled with nicotinate efflux and to a lesser extent with lactate efflux, therefore displaying a potential role in orotate renal reabsorption (PubMed : 21350910). Orotate transport is Cl(-)-dependent (PubMed : 21350910).
See full target information SLC22A12

Product promise

We are committed to supporting your work with high-quality reagents, and we're here for you every step of the way. In the unlikely event that one of our products does not perform as expected, you're protected by our Product Promise.
For full details, please see our Terms & Conditions

Please note: All products are 'FOR RESEARCH USE ONLY. NOT FOR USE IN DIAGNOSTIC OR THERAPEUTIC PROCEDURES'.

For licensing inquiries, please contact partnerships@abcam.com