JavaScript is disabled in your browser. Please enable JavaScript to view this website.
AB184570

Anti-RTF1 antibody [EPR13615]

Be the first to review this product! Submit a review

|

(1 Publication)

Rabbit Recombinant Monoclonal RTF1 antibody. Suitable for WB, ICC/IF, IHC-P and reacts with Human samples. Cited in 1 publication.

View Alternative Names

KIAA0252, RTF1, RNA polymerase-associated protein RTF1 homolog

5 Images
Immunohistochemistry (Formalin/PFA-fixed paraffin-embedded sections) - Anti-RTF1 antibody [EPR13615] (AB184570)
  • IHC-P

Supplier Data

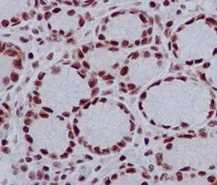
Immunohistochemistry (Formalin/PFA-fixed paraffin-embedded sections) - Anti-RTF1 antibody [EPR13615] (AB184570)

Immunohistochemical analysis of paraffin embedded Human papillary adenocarcinoma of thyroid tissue labeling RTF1 with ab184570 at a 1/100 dilution. Prediluted HRP Polymer for Rabbit IgG secondary used. Counterstained with Hematoxylin.

Perform heat mediated antigen retrieval with EDTA buffer pH 9 before commencing with IHC staining protocol.

Immunocytochemistry/ Immunofluorescence - Anti-RTF1 antibody [EPR13615] (AB184570)
  • ICC/IF

Supplier Data

Immunocytochemistry/ Immunofluorescence - Anti-RTF1 antibody [EPR13615] (AB184570)

Immunofluorescence analysis of HeLa cells (fixative 4% paraformaldehyde) labeling RTF1 with ab184570 at a 1/100 dilution. Goat anti rabbit IgG (Alexa Fluor® 488) secondary used at a 1/200 diution (left image) and conterstained with Dapi (right image).

Immunohistochemistry (Formalin/PFA-fixed paraffin-embedded sections) - Anti-RTF1 antibody [EPR13615] (AB184570)
  • IHC-P

Supplier Data

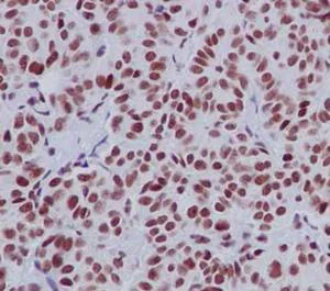
Immunohistochemistry (Formalin/PFA-fixed paraffin-embedded sections) - Anti-RTF1 antibody [EPR13615] (AB184570)

Immunohistochemical analysis of paraffin embedded Human stomach tissue labeling RTF1 with ab184570 at a 1/100 dilution. Prediluted HRP Polymer for Rabbit IgG secondary used. Counterstained with Hematoxylin.

Perform heat mediated antigen retrieval with EDTA buffer pH 9 before commencing with IHC staining protocol.

Western blot - Anti-RTF1 antibody [EPR13615] (AB184570)
  • WB

Supplier Data

Western blot - Anti-RTF1 antibody [EPR13615] (AB184570)

All lanes:

Western blot - Anti-RTF1 antibody [EPR13615] (ab184570) at 1/1000 dilution

Lane 1:

293 lysate at 20 µg

Lane 2:

A431 lysate at 20 µg

Lane 3:

HepG2 lysate at 20 µg

Secondary

All lanes:

Goat Anti-Rabbit IgG, (H+L), Peroxidase conjugated at 1/1000 dilution

Predicted band size: 80 kDa

false

Western blot - Anti-RTF1 antibody [EPR13615] (AB184570)
  • WB

Supplier Data

Western blot - Anti-RTF1 antibody [EPR13615] (AB184570)

All lanes:

Western blot - Anti-RTF1 antibody [EPR13615] (ab184570) at 1/5000 dilution

All lanes:

HeLa cell lysate at 20 µg

Secondary

All lanes:

Goat Anti-Rabbit IgG, (H+L), Peroxidase conjugated at 1/1000 dilution

Predicted band size: 80 kDa

false

  • Carrier free

    Anti-RTF1 antibody [EPR13615] - BSA and Azide free

Key facts

Host species

Rabbit

Clonality

Monoclonal

Clone number

EPR13615

Isotype

IgG

Carrier free

No

Reacts with

Human

Applications

IHC-P, ICC/IF, WB

applications

Immunogen

The exact immunogen used to generate this antibody is proprietary information.

Reactivity data

{ "title": "Reactivity Data", "filters": { "stats": ["", "Species", "Dilution Info", "Notes"], "tabs": { "all-applications": {"fullname" : "All Applications", "shortname": "All Applications"}, "WB" : {"fullname" : "Western blot", "shortname":"WB"}, "ICCIF" : {"fullname" : "Immunocytochemistry/ Immunofluorescence", "shortname":"ICC/IF"}, "IHCP" : {"fullname" : "Immunohistochemistry (Formalin/PFA-fixed paraffin-embedded sections)", "shortname":"IHC-P"} }, "product-promise": { "all": "all", "testedAndGuaranteed": "tested", "guaranteed": "expected", "predicted": "predicted", "notRecommended": "not-recommended" } }, "values": { "Human": { "WB-species-checked": "testedAndGuaranteed", "WB-species-dilution-info": "1/1000 - 1/10000", "WB-species-notes": "<p></p>", "ICCIF-species-checked": "testedAndGuaranteed", "ICCIF-species-dilution-info": "1/100", "ICCIF-species-notes": "<p></p>", "IHCP-species-checked": "testedAndGuaranteed", "IHCP-species-dilution-info": "1/50 - 1/100", "IHCP-species-notes": "<p></p>" }, "Mouse": { "WB-species-checked": "predicted", "WB-species-dilution-info": "", "WB-species-notes": "", "ICCIF-species-checked": "predicted", "ICCIF-species-dilution-info": "", "ICCIF-species-notes": "", "IHCP-species-checked": "predicted", "IHCP-species-dilution-info": "", "IHCP-species-notes": "" }, "Rat": { "WB-species-checked": "predicted", "WB-species-dilution-info": "", "WB-species-notes": "", "ICCIF-species-checked": "predicted", "ICCIF-species-dilution-info": "", "ICCIF-species-notes": "", "IHCP-species-checked": "predicted", "IHCP-species-dilution-info": "", "IHCP-species-notes": "" } } }

Product details

Patented technology
Our RabMAb® technology is a patented hybridoma-based technology for making rabbit monoclonal antibodies. For details on our patents, please refer to RabMAb® patents.

What are the advantages of a recombinant monoclonal antibody?
This product is a recombinant monoclonal antibody, which offers several advantages including:

  • - High batch-to-batch consistency and reproducibility
  • - Improved sensitivity and specificity
  • - Long-term security of supply
  • - Animal-free batch production

For more information, read more on recombinant antibodies.

Properties and storage information

Form
Liquid
Purification technique
Affinity purification Protein A
Storage buffer
pH: 7.2 Preservative: 0.01% Sodium azide Constituents: PBS, 40% Glycerol (glycerin, glycerine), 0.05% BSA
Shipped at conditions
Blue Ice
Appropriate short-term storage duration
1-2 weeks
Appropriate short-term storage conditions
+4°C
Appropriate long-term storage conditions
-20°C
Aliquoting information
Upon delivery aliquot
Storage information
Avoid freeze / thaw cycle

Supplementary information

This supplementary information is collated from multiple sources and compiled automatically.

RTF1 also known as RNA polymerase II-associated factor 1 homolog is a subunit of the PAF1 complex involved in transcription regulation. The protein has a molecular mass of approximately 105 kDa and is expressed in various tissues including the brain heart and lung. Mechanically RTF1 interacts with the RNA polymerase II complex and facilitates transcription elongation by modifying chromatin structure and participating in histone modification. This action makes RTF1 integral in the regulation of gene expression.
Biological function summary

RNA polymerase II-associated factor 1 plays an important role by promoting transcriptional elongation mRNA processing and histone methylation. It is a critical part of the PAF1 complex which also includes CDC73 CTR9 LEO1 and PAF1 proteins. This association aids the modulation of gene expression by influencing the transition from transcription initiation to elongation and additionally affects RNA processing mechanisms through interaction with other protein factors facilitating the correct synthesis and maturation of mRNA.

Pathways

Several cellular processes involve RNA polymerase II-associated factor 1 including the Wnt signaling pathway and the histone modification pathway. The protein's participation in Wnt signaling impacts cellular proliferation and differentiation. In the context of histone modifications RTF1 is linked to the deposition of histone methylation marks working closely with related proteins like PAF1 and CDC73. These pathways highlight the interconnectedness of RTF1 within cellular machinery.

RTF1 alterations have associations with cancer and neurodegenerative diseases. Dysregulation of the PAF1 complex notably through changes in RTF1 activity has been observed in several cancers where abnormal transcriptional control is a feature. Neurodegenerative disorders also show a link with defects in RTF1 possibly due to impaired transcriptional regulation. In these conditions the interaction and co-regulation with proteins like CDC73 contribute to a deeper understanding of the pathogenesis involved.

Product protocols

For this product, it's our understanding that no specific protocols are required. You can visit:

Target data

Component of the PAF1 complex (PAF1C) which has multiple functions during transcription by RNA polymerase II and is implicated in regulation of development and maintenance of embryonic stem cell pluripotency. PAF1C associates with RNA polymerase II through interaction with POLR2A CTD non-phosphorylated and 'Ser-2'- and 'Ser-5'-phosphorylated forms and is involved in transcriptional elongation, acting both independently and synergistically with TCEA1 and in cooperation with the DSIF complex and HTATSF1. PAF1C is required for transcription of Hox and Wnt target genes. PAF1C is involved in hematopoiesis and stimulates transcriptional activity of KMT2A/MLL1; it promotes leukemogenesis through association with KMT2A/MLL1-rearranged oncoproteins, such as KMT2A/MLL1-MLLT3/AF9 and KMT2A/MLL1-MLLT1/ENL. PAF1C is involved in histone modifications such as ubiquitination of histone H2B and methylation on histone H3 'Lys-4' (H3K4me3). PAF1C recruits the RNF20/40 E3 ubiquitin-protein ligase complex and the E2 enzyme UBE2A or UBE2B to chromatin which mediate monoubiquitination of 'Lys-120' of histone H2B (H2BK120ub1); UB2A/B-mediated H2B ubiquitination is proposed to be coupled to transcription. PAF1C is involved in mRNA 3' end formation probably through association with cleavage and poly(A) factors. In case of infection by influenza A strain H3N2, PAF1C associates with viral NS1 protein, thereby regulating gene transcription. Binds single-stranded DNA. Required for maximal induction of heat-shock genes. Required for the trimethylation of histone H3 'Lys-4' (H3K4me3) on genes involved in stem cell pluripotency; this function is synergistic with CXXC1 indicative for an involvement of a SET1 complex (By similarity).
See full target information RTF1

Publications (1)

Recent publications for all applications. Explore the full list and refine your search

Oncology letters 30:522 PubMed40995140

2025

ARHGEF6 downregulation as a key mediator of tumor cell apoptosis in breast cancer.

Applications

Unspecified application

Species

Unspecified reactive species

Yang Zhang,Dandan Zhou,Xuting Shen,Qinqin Song,Liuyang Yang,Wenbo Li,Xinxin Zhao,Wenxiang Fang,Bian Liu,Chencen Xing,Jisong Liu,Haoshu Fang,Qilun Zhang
View all publications

Product promise

We are committed to supporting your work with high-quality reagents, and we're here for you every step of the way. In the unlikely event that one of our products does not perform as expected, you're protected by our Product Promise.
For full details, please see our Terms & Conditions

Please note: All products are 'FOR RESEARCH USE ONLY. NOT FOR USE IN DIAGNOSTIC OR THERAPEUTIC PROCEDURES'.

For licensing inquiries, please contact partnerships@abcam.com