JavaScript is disabled in your browser. Please enable JavaScript to view this website.
AB272458

Anti-RUNX1 / AML1 antibody [EPR23309-113] - ChIP Grade - BSA and Azide free

Be the first to review this product! Submit a review

|

(0 Publication)

Rabbit Recombinant Monoclonal RUNX1 / AML1 antibody. Carrier free. Suitable for ChIC/CUT&RUN-seq, IP, ChIP, WB, Flow Cyt (Intra) and reacts with Human samples.

View Alternative Names

AML1, CBFA2, RUNX1, Runt-related transcription factor 1, Acute myeloid leukemia 1 protein, Core-binding factor subunit alpha-2, Oncogene AML-1, Polyomavirus enhancer-binding protein 2 alpha B subunit, SL3-3 enhancer factor 1 alpha B subunit, SL3/AKV core-binding factor alpha B subunit, CBF-alpha-2, PEA2-alpha B, PEBP2-alpha B

4 Images
Flow Cytometry (Intracellular) - Anti-RUNX1 / AML1 antibody [EPR23309-113] - ChIP Grade - BSA and Azide free (AB272458)
  • Flow Cyt (Intra)

Unknown

Flow Cytometry (Intracellular) - Anti-RUNX1 / AML1 antibody [EPR23309-113] - ChIP Grade - BSA and Azide free (AB272458)

Intracellular flow cytometric analysis of 4% paraformaldehyde fixed, 90% methanol permeabilized Jurkat (Human T cell leukemia T lymphocyte) cells labelling RUNX1 / AML1 with ab272456 at 1/500 dilution (Red) compared with a Rabbit monoclonal IgG (ab172730) (Black) isotype control and an unlabelled control (cells without incubation with primary antibody and secondary antibody) (Blue). A Goat anti rabbit IgG (Alexa Fluor®488, ab150077) at 1/2000 dilution was used as the secondary antibody.

This data was developed using the same antibody clone in a different buffer formulation containing PBS, BSA, glycerol, and sodium azide (ab272456).

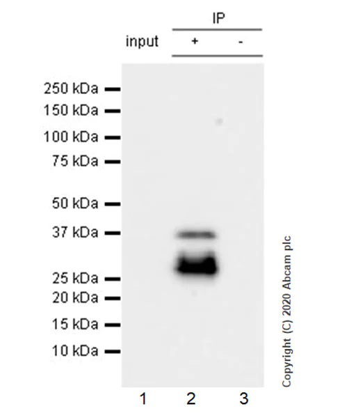
Immunoprecipitation - Anti-RUNX1 / AML1 antibody [EPR23309-113] - ChIP Grade - BSA and Azide free (AB272458)
  • IP

Unknown

Immunoprecipitation - Anti-RUNX1 / AML1 antibody [EPR23309-113] - ChIP Grade - BSA and Azide free (AB272458)

RUNX1 / AML1 was immunoprecipitated from 0.35 mg Jurkat (human T cell leukemia cell line from peripheral blood) whole cell lysate with ab272456 at 1/30 dilution. Western blot was performed on the immunoprecipitate using ab272456 at 1/1000 dilution. VeriBlot for IP Detection Reagent (HRP)(ab131366) was used at 1/5000 dilution.

Lane 1 : Jurkat (human T cell leukemia cell line from peripheral blood) whole cell lysate 20 ug

Lane 2 : ab272456 IP in Jurkat whole cell lysate

Lane 3 : Rabbit monoclonal IgG (ab172730) instead of ab272456 in Jurkat whole cell lysate

Blocking and dilution buffer and concentration : 5% NFDM/TBST.

Exposure time : 32 seconds.

This data was developed using the same antibody clone in a different buffer formulation containing PBS, BSA, glycerol, and sodium azide (ab272456).

All lanes:

Immunoprecipitation - Anti-RUNX1 / AML1 antibody [EPR23309-113] - ChIP Grade (<a href='/en-us/products/primary-antibodies/runx1-aml1-antibody-epr23309-113-chip-grade-ab272456'>ab272456</a>)

Predicted band size: 48 kDa

Observed band size: 27-38 kDa

false

ChIP - Anti-RUNX1 / AML1 antibody [EPR23309-113] - ChIP Grade - BSA and Azide free (AB272458)
  • ChIP

Supplier Data

ChIP - Anti-RUNX1 / AML1 antibody [EPR23309-113] - ChIP Grade - BSA and Azide free (AB272458)

Chromatin was prepared from K-562 cells according to the Abcam Dual-X-ChIP protocol. Cells were fixed with 1.5 mM EGS for 30mins and then formaldehyde for 10min.
The ChIP was performed with 25 μg of chromatin, 5 μg of ab272456 (red), or 5 μg of rabbit normal IgG ab172730 (gray) and 20 μl of Protein A/G sepharose beads. The immunoprecipitated DNA was quantified by real time PCR (Taqman approach for active and inactive loci, Sybr green approach for heterochromatic loci).
Primers and probes are from paper PMID:20959602

The RUNX1 enrichment profile is consistent with what have been described in literature (PMID : 20959602).

This data was developed using the same antibody clone in a different buffer formulation containing PBS, BSA, glycerol, and sodium azide (ab272456).

ChIC/CUT&RUN sequencing - Anti-RUNX1 / AML1 antibody [EPR23309-113] - ChIP Grade - BSA and Azide free (AB272458)
  • ChIC/CUT&RUN-seq

Supplier Data

ChIC/CUT&RUN sequencing - Anti-RUNX1 / AML1 antibody [EPR23309-113] - ChIP Grade - BSA and Azide free (AB272458)

ChIC/CUT&RUN was performed using a pAG-MNAse at a final concentration of 700 ng/mL, 2.5 x 10^5 K-562 (Human chronic myelogenous leukemia lymphoblast) cells and 5µg of ab272456 [EPR23309-113]. The resulting DNA was sequenced on the Illumina NovaSeq 6000 to a depth of 10 million reads. The negative IgG control ab172730 is also shown. Additional screenshots of mapped reads can be found in the Protocol booklet in the Support and downloads section. The University of Geneva owns patents relevant to ChIC (Chromatin Immuno-Cleavage) methods. This data was developed using the same antibody clone in a different buffer formulation containing PBS, BSA, glycerol, and sodium azide (ab272456).

  • Unconjugated

    Anti-RUNX1 / AML1 antibody [EPR23309-113] - ChIP Grade

Key facts

Host species

Rabbit

Clonality

Monoclonal

Clone number

EPR23309-113

Isotype

IgG

Carrier free

Yes

Reacts with

Human

Applications

IP, ChIP, ChIC/CUT&RUN-seq, Flow Cyt (Intra), WB

applications

Immunogen

The exact immunogen used to generate this antibody is proprietary information.

Reactivity data

{ "title": "Reactivity Data", "filters": { "stats": ["", "Species", "Dilution Info", "Notes"], "tabs": { "all-applications": {"fullname" : "All Applications", "shortname": "All Applications"}, "ChICCUTRUNseq" : {"fullname" : "ChIC/CUT&RUN sequencing", "shortname":"ChIC/CUT&RUN-seq"}, "IP" : {"fullname" : "Immunoprecipitation", "shortname":"IP"}, "ChIP" : {"fullname" : "ChIP", "shortname":"ChIP"}, "WB" : {"fullname" : "Western blot", "shortname":"WB"}, "IHCP" : {"fullname" : "Immunohistochemistry (Formalin/PFA-fixed paraffin-embedded sections)", "shortname":"IHC-P"}, "ICCIF" : {"fullname" : "Immunocytochemistry/ Immunofluorescence", "shortname":"ICC/IF"}, "FlowCytIntra" : {"fullname" : "Flow Cytometry (Intracellular)", "shortname":"Flow Cyt (Intra)"} }, "product-promise": { "all": "all", "testedAndGuaranteed": "tested", "guaranteed": "expected", "predicted": "predicted", "notRecommended": "not-recommended" } }, "values": { "Human": { "ChICCUTRUNseq-species-checked": "testedAndGuaranteed", "ChICCUTRUNseq-species-dilution-info": "", "ChICCUTRUNseq-species-notes": "<p></p>", "IP-species-checked": "testedAndGuaranteed", "IP-species-dilution-info": "", "IP-species-notes": "<p></p>", "ChIP-species-checked": "testedAndGuaranteed", "ChIP-species-dilution-info": "", "ChIP-species-notes": "<p></p>", "WB-species-checked": "testedAndGuaranteed", "WB-species-dilution-info": "", "WB-species-notes": "<p></p>", "IHCP-species-checked": "notRecommended", "IHCP-species-dilution-info": "", "IHCP-species-notes": "<p></p>", "ICCIF-species-checked": "notRecommended", "ICCIF-species-dilution-info": "", "ICCIF-species-notes": "<p></p>", "FlowCytIntra-species-checked": "testedAndGuaranteed", "FlowCytIntra-species-dilution-info": "", "FlowCytIntra-species-notes": "<p></p>" }, "Mouse": { "ChICCUTRUNseq-species-checked": "notRecommended", "ChICCUTRUNseq-species-dilution-info": "", "ChICCUTRUNseq-species-notes": "", "IP-species-checked": "notRecommended", "IP-species-dilution-info": "", "IP-species-notes": "", "ChIP-species-checked": "notRecommended", "ChIP-species-dilution-info": "", "ChIP-species-notes": "", "WB-species-checked": "notRecommended", "WB-species-dilution-info": "", "WB-species-notes": "<p></p>", "IHCP-species-checked": "notRecommended", "IHCP-species-dilution-info": "", "IHCP-species-notes": "<p></p>", "ICCIF-species-checked": "notRecommended", "ICCIF-species-dilution-info": "", "ICCIF-species-notes": "<p></p>", "FlowCytIntra-species-checked": "notRecommended", "FlowCytIntra-species-dilution-info": "", "FlowCytIntra-species-notes": "" }, "Rat": { "ChICCUTRUNseq-species-checked": "notRecommended", "ChICCUTRUNseq-species-dilution-info": "", "ChICCUTRUNseq-species-notes": "", "IP-species-checked": "notRecommended", "IP-species-dilution-info": "", "IP-species-notes": "", "ChIP-species-checked": "notRecommended", "ChIP-species-dilution-info": "", "ChIP-species-notes": "", "WB-species-checked": "notRecommended", "WB-species-dilution-info": "", "WB-species-notes": "<p></p>", "IHCP-species-checked": "notRecommended", "IHCP-species-dilution-info": "", "IHCP-species-notes": "<p></p>", "ICCIF-species-checked": "notRecommended", "ICCIF-species-dilution-info": "", "ICCIF-species-notes": "", "FlowCytIntra-species-checked": "notRecommended", "FlowCytIntra-species-dilution-info": "", "FlowCytIntra-species-notes": "" } } }

Product details

ab272458 is the carrier-free version of ab272456.

Patented technology
Our RabMAb® technology is a patented hybridoma-based technology for making rabbit monoclonal antibodies. For details on our patents, please refer to RabMAb® patents.

What are the advantages of a recombinant monoclonal antibody?
This product is a recombinant monoclonal antibody, which offers several advantages including:

  • - High batch-to-batch consistency and reproducibility
  • - Improved sensitivity and specificity
  • - Long-term security of supply
  • - Animal-free batch production

For more information, read more on recombinant antibodies.

Conjugation ready
Our carrier-free antibodies are typically supplied in a PBS-only formulation, purified and free of BSA, sodium azide and glycerol. This conjugation-ready format is designed for use with fluorochromes, metal isotopes, oligonucleotides, and enzymes, which makes them ideal for antibody labelling, functional and cell-based assays, flow-based assays (e.g. mass cytometry) and Multiplex Imaging applications.

Use our conjugation kits for antibody conjugates that are ready-to-use in as little as 20 minutes with 1 minute hands-on-time and 100% antibody recovery: available for fluorescent dyes, HRP, biotin and gold.

Compatibility
This product is compatible with the Maxpar® Antibody Labeling Kit from Fluidigm, without the need for antibody preparation. Maxpar® is a trademark of Fluidigm Canada Inc.

Properties and storage information

Form
Liquid
Purification technique
Affinity purification Protein A
Storage buffer
pH: 7.2 - 7.4 Constituents: PBS
Shipped at conditions
Blue Ice
Appropriate short-term storage conditions
+4°C
Appropriate long-term storage conditions
+4°C
Storage information
Do Not Freeze

Supplementary information

This supplementary information is collated from multiple sources and compiled automatically.

RUNX1 also known as AML1 is a transcription factor with a molecular weight of approximately 48 kDa. It belongs to the Runt-related transcription factor family and plays a critical role in hematopoiesis. RUNX1 is expressed in hematopoietic stem cells and various other tissues where it regulates the expression of genes involved in the differentiation and proliferation of blood cells. It exerts its function by binding to specific DNA sequences thereby controlling the transcriptional activity necessary for normal hematopoietic development.
Biological function summary

RUNX1 is essential in the formation of blood cells and is part of the core-binding factor (CBF) complex. This complex is a heterodimer comprising RUNX1 and the CBFβ subunit. The interaction between RUNX1 and CBFβ stabilizes the DNA binding capability of RUNX1 facilitating the activation of target gene transcription. The proper functioning of RUNX1 is necessary for the maintenance of normal lineage specification of hematopoietic progenitors affecting both myeloid and lymphoid cell lineages.

Pathways

RUNX1 plays a significant role in the Wnt signaling pathway and the TGF-beta signaling pathway. RUNX1 interacts with several proteins in these pathways including SMAD proteins and β-catenin which are important for transmitting extracellular signals that regulate cell growth and differentiation. RUNX1’s role in these pathways highlights its importance not only in hematopoiesis but also in preventing abnormal cell proliferation.

RUNX1 mutations are strongly associated with acute myeloid leukemia (AML) and familial platelet disorder. In AML RUNX1 mutations disrupt normal hematopoiesis leading to the uncontrolled proliferation of immature blood cells. RUNX1-related proteins such as the GM-CSF receptor can contribute to disease progression by altering cytokine signaling. RUNX1's involvement in familial platelet disorder reflects its importance in maintaining normal blood cell counts and function as loss of RUNX1 function leads to predisposition to leukemia.

Product protocols

For this product, it's our understanding that no specific protocols are required. You can visit:

Target data

Forms the heterodimeric complex core-binding factor (CBF) with CBFB. RUNX members modulate the transcription of their target genes through recognizing the core consensus binding sequence 5'-TGTGGT-3', or very rarely, 5'-TGCGGT-3', within their regulatory regions via their runt domain, while CBFB is a non-DNA-binding regulatory subunit that allosterically enhances the sequence-specific DNA-binding capacity of RUNX. The heterodimers bind to the core site of a number of enhancers and promoters, including murine leukemia virus, polyomavirus enhancer, T-cell receptor enhancers, LCK, IL3 and GM-CSF promoters (Probable). Essential for the development of normal hematopoiesis (PubMed : 17431401). Acts synergistically with ELF4 to transactivate the IL-3 promoter and with ELF2 to transactivate the BLK promoter (PubMed : 10207087, PubMed : 14970218). Inhibits KAT6B-dependent transcriptional activation (By similarity). Involved in lineage commitment of immature T cell precursors. CBF complexes repress ZBTB7B transcription factor during cytotoxic (CD8+) T cell development. They bind to RUNX-binding sequence within the ZBTB7B locus acting as transcriptional silencer and allowing for cytotoxic T cell differentiation. CBF complexes binding to the transcriptional silencer is essential for recruitment of nuclear protein complexes that catalyze epigenetic modifications to establish epigenetic ZBTB7B silencing (By similarity). Controls the anergy and suppressive function of regulatory T-cells (Treg) by associating with FOXP3. Activates the expression of IL2 and IFNG and down-regulates the expression of TNFRSF18, IL2RA and CTLA4, in conventional T-cells (PubMed : 17377532). Positively regulates the expression of RORC in T-helper 17 cells (By similarity).. Isoform AML-1G shows higher binding activities for target genes and binds TCR-beta-E2 and RAG-1 target site with threefold higher affinity than other isoforms. It is less effective in the context of neutrophil terminal differentiation.. Isoform AML-1L interferes with the transactivation activity of RUNX1.
See full target information RUNX1
chicCutRunSequencingBooklet
en

Product promise

We are committed to supporting your work with high-quality reagents, and we're here for you every step of the way. In the unlikely event that one of our products does not perform as expected, you're protected by our Product Promise.
For full details, please see our Terms & Conditions

Please note: All products are 'FOR RESEARCH USE ONLY. NOT FOR USE IN DIAGNOSTIC OR THERAPEUTIC PROCEDURES'.

For licensing inquiries, please contact partnerships@abcam.com