JavaScript is disabled in your browser. Please enable JavaScript to view this website.
AB315398

Anti-RUNX1 / AML1 antibody [RM1089]

  • BOND RX™ Validated
  • 20ul selling size
  • Recombinant
  • Advanced Validation
  • RabMAb
  • What is this?

Be the first to review this product! Submit a review

|

(0 Publication)

Rabbit Recombinant Multiclonal RUNX1 / AML1 antibody. Suitable for WB, IHC-P, ICC/IF, Flow Cyt (Intra), IP, ChIC/CUT&RUN-seq and reacts with Human samples.

View Alternative Names

AML1, CBFA2, RUNX1, Runt-related transcription factor 1, Acute myeloid leukemia 1 protein, Core-binding factor subunit alpha-2, Oncogene AML-1, Polyomavirus enhancer-binding protein 2 alpha B subunit, SL3-3 enhancer factor 1 alpha B subunit, SL3/AKV core-binding factor alpha B subunit, CBF-alpha-2, PEA2-alpha B, PEBP2-alpha B

11 Images
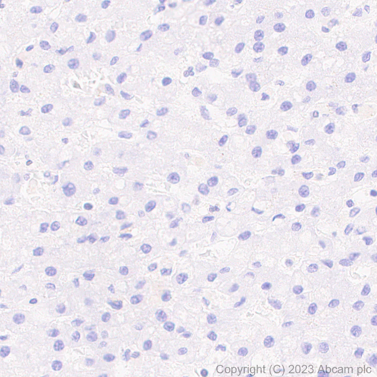
Immunohistochemistry (Formalin/PFA-fixed paraffin-embedded sections) - Anti-RUNX1 / AML1 antibody [RM1089] (AB315398)
  • IHC-P

Supplier Data

Immunohistochemistry (Formalin/PFA-fixed paraffin-embedded sections) - Anti-RUNX1 / AML1 antibody [RM1089] (AB315398)

Immunohistochemical analysis of paraffin-embedded Human liver tissue labeling RUNX1 / AML1 with ab315398 at 1/500 (1.092 ug/ml) dilution, followed by a ready to use LeicaDS9800 (Bond™ Polymer Refine Detection).

Negative control : no staining on the human liver (PMID : 34376784). The section was incubated with ab315398 for 30 mins at room temperature.
The immunostaining was performed on a Leica Biosystems BOND® RX instrument.

Counterstained with Hematoxylin.

Secondary antibody only control : Secondary antibody is a ready to use LeicaDS9800 (Bond™ Polymer Refine Detection).

Heat mediated antigen retrieval was performed with Tris-EDTA buffer (pH 9.0, Epitope Retrieval Solution2) for 20 mins.

Immunohistochemistry (Formalin/PFA-fixed paraffin-embedded sections) - Anti-RUNX1 / AML1 antibody [RM1089] (AB315398)
  • IHC-P

Supplier Data

Immunohistochemistry (Formalin/PFA-fixed paraffin-embedded sections) - Anti-RUNX1 / AML1 antibody [RM1089] (AB315398)

Immunohistochemical analysis of paraffin-embedded Human tonsil tissue labeling RUNX1 / AML1 with ab315398 at 1/500 (1.092 ug/ml) dilution, followed by a ready to use LeicaDS9800 (Bond™ Polymer Refine Detection).

Nuclear staining on the human tonsil. The section was incubated with ab315398 for 30 mins at room temperature.
The immunostaining was performed on a Leica Biosystems BOND® RX instrument.

Counterstained with Hematoxylin.

Secondary antibody only control : Secondary antibody is a ready to use LeicaDS9800 (Bond™ Polymer Refine Detection).

Heat mediated antigen retrieval was performed with Tris-EDTA buffer (pH 9.0, Epitope Retrieval Solution2) for 20 mins.

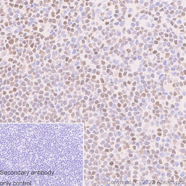
Immunohistochemistry (Formalin/PFA-fixed paraffin-embedded sections) - Anti-RUNX1 / AML1 antibody [RM1089] (AB315398)
  • IHC-P

Supplier Data

Immunohistochemistry (Formalin/PFA-fixed paraffin-embedded sections) - Anti-RUNX1 / AML1 antibody [RM1089] (AB315398)

Immunohistochemical analysis of paraffin-embedded Human breast carcinoma tissue labeling RUNX1 / AML1 with ab315398 at 1/500 (1.092 ug/ml) dilution, followed by a ready to use LeicaDS9800 (Bond™ Polymer Refine Detection).

Nuclear staining on the human breast carcinoma. The section was incubated with ab315398 for 30 mins at room temperature.
The immunostaining was performed on a Leica Biosystems BOND® RX instrument.

Counterstained with Hematoxylin.

Secondary antibody only control : Secondary antibody is a ready to use LeicaDS9800 (Bond™ Polymer Refine Detection).

Heat mediated antigen retrieval was performed with Tris-EDTA buffer (pH 9.0, Epitope Retrieval Solution2) for 20 mins.

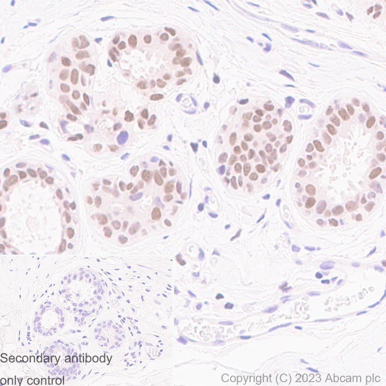
Immunohistochemistry (Formalin/PFA-fixed paraffin-embedded sections) - Anti-RUNX1 / AML1 antibody [RM1089] (AB315398)
  • IHC-P

Supplier Data

Immunohistochemistry (Formalin/PFA-fixed paraffin-embedded sections) - Anti-RUNX1 / AML1 antibody [RM1089] (AB315398)

Immunohistochemical analysis of paraffin-embedded Human breast tissue labeling RUNX1 / AML1 with ab315398 at 1/500 (1.092 ug/ml) dilution, followed by a ready to use LeicaDS9800 (Bond™ Polymer Refine Detection).

Nuclear staining on the human breast. The section was incubated with ab315398 for 30 mins at room temperature.
The immunostaining was performed on a Leica Biosystems BOND® RX instrument.

Counterstained with Hematoxylin.

Secondary antibody only control : Secondary antibody is a ready to use LeicaDS9800 (Bond™ Polymer Refine Detection).

Heat mediated antigen retrieval was performed with Tris-EDTA buffer (pH 9.0, Epitope Retrieval Solution2) for 20 mins.

Immunocytochemistry/ Immunofluorescence - Anti-RUNX1 / AML1 antibody [RM1089] (AB315398)
  • ICC/IF

Supplier Data

Immunocytochemistry/ Immunofluorescence - Anti-RUNX1 / AML1 antibody [RM1089] (AB315398)

Immunofluorescent analysis of 4% Paraformaldehyde-fixed, 0.1% TritonX-100 permeabilized Jurkat (human T cell leukemia T lymphocyte from peripheral blood) cells labelling RUNX1 / AML1 with ab315398 at 1/50 (10.92 ug/ml) dilution, followed by ab150081 Goat Anti-Rabbit IgG H&L (Alexa Fluor® 488) preadsorbed antibody at 1/1000 (2 ug/mL) dilution (Green).

Confocal image showing nuclear staining in Jurkat cell line, and HEK293 cell line showed nearly no staining.
Image was taken with a confocal microscope(Leica-Microsystems, TCS SP8).

ab195889 Anti-alpha Tubulin mouse monoclonal antibody - Microtubule Marker (Alexa Fluor® 594) was used to counterstain tubulin at 1/500 (1ug/ml) dilution (Red). The Nuclear counterstain was DAPI (Blue).

Secondary antibody only control : Secondary antibody is ab150081 Goat Anti-Rabbit IgG H&L (Alexa Fluor® 488) preadsorbed at 1/1000 (2 ug/mL) dilution.

Flow Cytometry (Intracellular) - Anti-RUNX1 / AML1 antibody [RM1089] (AB315398)
  • Flow Cyt (Intra)

Supplier Data

Flow Cytometry (Intracellular) - Anti-RUNX1 / AML1 antibody [RM1089] (AB315398)

Flow cytometric analysis of 4% paraformaldehyde fixed 90% methanol permeabilized HEK293 (human embryonic kidney epithelial cell, Left) / Jurkat (human T cell leukemia T lymphocyte from peripheral blood, Right) cells labelling RUNX1 / AML1 with ab315398 at 1/40000 dilution (0.00125 ug)/Red compared with a Rabbit monoclonal IgG (ab172730) (Black) isotype control and an unlabelled control (cells without incubation with primary antibody and secondary antibody) (Blue).

Goat Anti-Rabbit IgG (Alexa Fluor® 488, ab150081) at 1/5000 dilution was used as the secondary antibody.

Low expression : HEK293.

Immunoprecipitation - Anti-RUNX1 / AML1 antibody [RM1089] (AB315398)
  • IP

Supplier Data

Immunoprecipitation - Anti-RUNX1 / AML1 antibody [RM1089] (AB315398)

RUNX1 / AML1 was immunoprecipitated from 0.35 mg Jurkat (human T cell leukemia T lymphocyte from peripheral blood) whole cell lysate with ab315398 at 1/30 dilution (2ug in 0.35mg lysates). Western blot was performed on the immunoprecipitate using ab315398 at 1/1000 dilution. VeriBlot for IP secondary antibody(HRP)(ab131366) was used at 1/5000 dilution.

Blocking and diluting buffer and concentration : 5% NFDM/TBST.

All lanes:

Immunoprecipitation - Anti-RUNX1 / AML1 antibody [RM1089] (ab315398) at 1/1000 dilution

Lane 1:

Jurkat (human T cell leukemia T lymphocyte from peripheral blood) whole cell lysate

Lane 2:

ab315398 at 1/30 IP in Jurkat (human T cell leukemia T lymphocyte from peripheral blood) whole cell lysate

Lane 3:

Rabbit monoclonal IgG (<a href='/en-us/products/primary-antibodies/rabbit-igg-monoclonal-epr25a-isotype-control-ab172730'>ab172730</a>) instead of ab315398 in Jurkat whole cell lysate

Secondary

All lanes:

Immunoprecipitation - VeriBlot for IP Detection Reagent (HRP) (<a href='/en-us/products/reagents/veriblot-for-ip-detection-reagent-hrp-ab131366'>ab131366</a>) at 1/5000 dilution

false

Exposure time: 10s

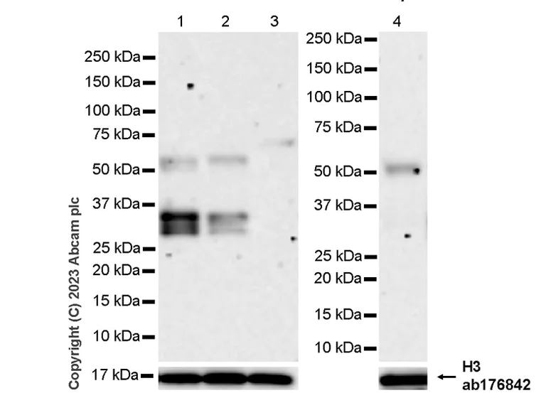
Western blot - Anti-RUNX1 / AML1 antibody [RM1089] (AB315398)
  • WB

Supplier Data

Western blot - Anti-RUNX1 / AML1 antibody [RM1089] (AB315398)

Blocking and diluting buffer and concentration : 5% NFDM/TBST.

Low expression : HEK-293.

The expression profile/ molecular weight observed is consistent with what has been described in the literature (PMID : 17431130 and 29296779).

In Western blot, Anti-Histone H3 antibody [EPR16987] - Nuclear Marker and ChIP Grade (ab176842) staining at 1/100000 dilution.

All lanes:

Western blot - Anti-RUNX1 / AML1 antibody [RM1089] (ab315398) at 1/1000 dilution

Lane 1:

Jurkat (human T cell leukemia T lymphocyte from peripheral blood) whole cell lysate at 20 µg

Lane 2:

MOLT-4 (human lymphoblastic leukemia T lymphoblast) whole cell lysate at 20 µg

Lane 3:

HEK-293 (human embryonic kidney epithelial cell) whole cell lysate at 20 µg

Lane 4:

THP-1 (human monocytic leukemia monocyte) whole cell lysate at 20 µg

Secondary

All lanes:

Western blot - Goat Anti-Rabbit IgG H&L (HRP) (<a href='/en-us/products/secondary-antibodies/goat-rabbit-igg-h-l-hrp-ab97051'>ab97051</a>) at 1/100000 dilution

Observed band size: 27-55 kDa,15 kDa

false

Exposure time: 180s

ChIC/CUT&RUN sequencing - Anti-RUNX1 / AML1 antibody [RM1089] (AB315398)
  • ChIC/CUT&RUN-seq

Supplier Data

ChIC/CUT&RUN sequencing - Anti-RUNX1 / AML1 antibody [RM1089] (AB315398)

ChIC/CUT&RUN sequencing was performed using a pAG-MNase at a final concentration of 700 ng/mL, 2.5 x 10^5 K-562 (Human chronic myelogenous leukemia lymphoblast) cells and 5 µg of ab315398 [RM1089]. The resulting DNA was sequenced on the Illumina NovaSeq 6000 to a depth of 10 million reads. The negative IgG control ab172730 is also shown. The University of Geneva owns patents relevant to ChIC (Chromatin Immuno-Cleavage) methods.

ChIC/CUT&RUN sequencing - Anti-RUNX1 / AML1 antibody [RM1089] (AB315398)
  • ChIC/CUT&RUN-seq

Supplier Data

ChIC/CUT&RUN sequencing - Anti-RUNX1 / AML1 antibody [RM1089] (AB315398)

ChIC/CUT&RUN sequencing was performed using a pAG-MNase at a final concentration of 700 ng/mL, 2.5 x 10^5 K-562 (Human chronic myelogenous leukemia lymphoblast) cells and 5 µg of ab315398 [RM1089]. The resulting DNA was sequenced on the Illumina NovaSeq 6000 to a depth of 10 million reads. The negative IgG control ab172730 is also shown. The University of Geneva owns patents relevant to ChIC (Chromatin Immuno-Cleavage) methods.

ChIC/CUT&RUN sequencing - Anti-RUNX1 / AML1 antibody [RM1089] (AB315398)
  • ChIC/CUT&RUN-seq

Supplier Data

ChIC/CUT&RUN sequencing - Anti-RUNX1 / AML1 antibody [RM1089] (AB315398)

ChIC/CUT&RUN sequencing was performed using a pAG-MNase at a final concentration of 700 ng/mL, 2.5 x 10^5 K-562 (Human chronic myelogenous leukemia lymphoblast) cells and 5 µg of ab315398 [RM1089]. The resulting DNA was sequenced on the Illumina NovaSeq 6000 to a depth of 10 million reads. The negative IgG control ab172730 is also shown. The University of Geneva owns patents relevant to ChIC (Chromatin Immuno-Cleavage) methods.

Key facts

Host species

Rabbit

Clonality

Multiclonal

Clone number

RM1089

Isotype

IgG

Carrier free

No

Reacts with

Human

Applications

IP, WB, ICC/IF, ChIC/CUT&RUN-seq, Flow Cyt (Intra), IHC-P

applications

Immunogen

The exact immunogen used to generate this antibody is proprietary information.

Reactivity data

{ "title": "Reactivity Data", "filters": { "stats": ["", "Species", "Dilution Info", "Notes"], "tabs": { "all-applications": {"fullname" : "All Applications", "shortname": "All Applications"}, "WB" : {"fullname" : "Western blot", "shortname":"WB"}, "IHCP" : {"fullname" : "Immunohistochemistry (Formalin/PFA-fixed paraffin-embedded sections)", "shortname":"IHC-P"}, "ICCIF" : {"fullname" : "Immunocytochemistry/ Immunofluorescence", "shortname":"ICC/IF"}, "FlowCytIntra" : {"fullname" : "Flow Cytometry (Intracellular)", "shortname":"Flow Cyt (Intra)"}, "IP" : {"fullname" : "Immunoprecipitation", "shortname":"IP"}, "ChICCUTRUNseq" : {"fullname" : "ChIC/CUT&RUN sequencing", "shortname":"ChIC/CUT&RUN-seq"} }, "product-promise": { "all": "all", "testedAndGuaranteed": "tested", "guaranteed": "expected", "predicted": "predicted", "notRecommended": "not-recommended" } }, "values": { "Human": { "WB-species-checked": "testedAndGuaranteed", "WB-species-dilution-info": "1/1000", "WB-species-notes": "<p></p>", "IHCP-species-checked": "testedAndGuaranteed", "IHCP-species-dilution-info": "1/500", "IHCP-species-notes": "<p></p> Perform heat-mediated antigen retrieval with Tris/EDTA buffer pH 9.0 before commencing with IHC staining protocol.", "ICCIF-species-checked": "testedAndGuaranteed", "ICCIF-species-dilution-info": "1/50", "ICCIF-species-notes": "<p></p>", "FlowCytIntra-species-checked": "testedAndGuaranteed", "FlowCytIntra-species-dilution-info": "1/40000", "FlowCytIntra-species-notes": "<p></p>", "IP-species-checked": "testedAndGuaranteed", "IP-species-dilution-info": "1/30", "IP-species-notes": "<p></p>", "ChICCUTRUNseq-species-checked": "testedAndGuaranteed", "ChICCUTRUNseq-species-dilution-info": "", "ChICCUTRUNseq-species-notes": "<p></p>" }, "Mouse": { "WB-species-checked": "notRecommended", "WB-species-dilution-info": "", "WB-species-notes": "", "IHCP-species-checked": "notRecommended", "IHCP-species-dilution-info": "", "IHCP-species-notes": "<p></p>", "ICCIF-species-checked": "notRecommended", "ICCIF-species-dilution-info": "", "ICCIF-species-notes": "", "FlowCytIntra-species-checked": "notRecommended", "FlowCytIntra-species-dilution-info": "", "FlowCytIntra-species-notes": "", "IP-species-checked": "notRecommended", "IP-species-dilution-info": "", "IP-species-notes": "", "ChICCUTRUNseq-species-checked": "notRecommended", "ChICCUTRUNseq-species-dilution-info": "", "ChICCUTRUNseq-species-notes": "" }, "Rat": { "WB-species-checked": "notRecommended", "WB-species-dilution-info": "", "WB-species-notes": "", "IHCP-species-checked": "notRecommended", "IHCP-species-dilution-info": "", "IHCP-species-notes": "<p></p>", "ICCIF-species-checked": "notRecommended", "ICCIF-species-dilution-info": "", "ICCIF-species-notes": "", "FlowCytIntra-species-checked": "notRecommended", "FlowCytIntra-species-dilution-info": "", "FlowCytIntra-species-notes": "", "IP-species-checked": "notRecommended", "IP-species-dilution-info": "", "IP-species-notes": "", "ChICCUTRUNseq-species-checked": "notRecommended", "ChICCUTRUNseq-species-dilution-info": "", "ChICCUTRUNseq-species-notes": "" } } }

Product details

What are recombinant multiclonals?
Recombinant multiclonals are a mixture of recombinant antibodies co-expressed from a library of heavy and light chains. They offer several advantages including:

  • - The sensitivity of polyclonal antibodies by recognising multiple epitopes
  • - High batch-to-batch consistency and reproducibility
  • - Improved sensitivity and specificity
  • - Long-term security of supply
  • - Animal-free batch production

View our range of recombinant multiclonal antibodies.

Patented technology
Our RabMAb® technology is a patented hybridoma-based technology for making rabbit monoclonal antibodies. For details on our patents, please refer to RabMAb® patents.

Properties and storage information

Form
Liquid
Purification technique
Affinity purification Protein A
Storage buffer
pH: 7.2 - 7.4 Preservative: 0.01% Sodium azide Constituents: PBS, 40% Glycerol (glycerin, glycerine), 0.05% BSA
Shipped at conditions
Blue Ice
Appropriate short-term storage duration
1-2 weeks
Appropriate short-term storage conditions
+4°C
Appropriate long-term storage conditions
-20°C
Aliquoting information
Upon delivery aliquot
Storage information
Avoid freeze / thaw cycle

Supplementary information

This supplementary information is collated from multiple sources and compiled automatically.

RUNX1 also known as AML1 is a transcription factor with a molecular weight of approximately 48 kDa. It belongs to the Runt-related transcription factor family and plays a critical role in hematopoiesis. RUNX1 is expressed in hematopoietic stem cells and various other tissues where it regulates the expression of genes involved in the differentiation and proliferation of blood cells. It exerts its function by binding to specific DNA sequences thereby controlling the transcriptional activity necessary for normal hematopoietic development.
Biological function summary

RUNX1 is essential in the formation of blood cells and is part of the core-binding factor (CBF) complex. This complex is a heterodimer comprising RUNX1 and the CBFβ subunit. The interaction between RUNX1 and CBFβ stabilizes the DNA binding capability of RUNX1 facilitating the activation of target gene transcription. The proper functioning of RUNX1 is necessary for the maintenance of normal lineage specification of hematopoietic progenitors affecting both myeloid and lymphoid cell lineages.

Pathways

RUNX1 plays a significant role in the Wnt signaling pathway and the TGF-beta signaling pathway. RUNX1 interacts with several proteins in these pathways including SMAD proteins and β-catenin which are important for transmitting extracellular signals that regulate cell growth and differentiation. RUNX1’s role in these pathways highlights its importance not only in hematopoiesis but also in preventing abnormal cell proliferation.

RUNX1 mutations are strongly associated with acute myeloid leukemia (AML) and familial platelet disorder. In AML RUNX1 mutations disrupt normal hematopoiesis leading to the uncontrolled proliferation of immature blood cells. RUNX1-related proteins such as the GM-CSF receptor can contribute to disease progression by altering cytokine signaling. RUNX1's involvement in familial platelet disorder reflects its importance in maintaining normal blood cell counts and function as loss of RUNX1 function leads to predisposition to leukemia.

Product protocols

For this product, it's our understanding that no specific protocols are required. You can visit:

Target data

Forms the heterodimeric complex core-binding factor (CBF) with CBFB. RUNX members modulate the transcription of their target genes through recognizing the core consensus binding sequence 5'-TGTGGT-3', or very rarely, 5'-TGCGGT-3', within their regulatory regions via their runt domain, while CBFB is a non-DNA-binding regulatory subunit that allosterically enhances the sequence-specific DNA-binding capacity of RUNX. The heterodimers bind to the core site of a number of enhancers and promoters, including murine leukemia virus, polyomavirus enhancer, T-cell receptor enhancers, LCK, IL3 and GM-CSF promoters (Probable). Essential for the development of normal hematopoiesis (PubMed : 17431401). Acts synergistically with ELF4 to transactivate the IL-3 promoter and with ELF2 to transactivate the BLK promoter (PubMed : 10207087, PubMed : 14970218). Inhibits KAT6B-dependent transcriptional activation (By similarity). Involved in lineage commitment of immature T cell precursors. CBF complexes repress ZBTB7B transcription factor during cytotoxic (CD8+) T cell development. They bind to RUNX-binding sequence within the ZBTB7B locus acting as transcriptional silencer and allowing for cytotoxic T cell differentiation. CBF complexes binding to the transcriptional silencer is essential for recruitment of nuclear protein complexes that catalyze epigenetic modifications to establish epigenetic ZBTB7B silencing (By similarity). Controls the anergy and suppressive function of regulatory T-cells (Treg) by associating with FOXP3. Activates the expression of IL2 and IFNG and down-regulates the expression of TNFRSF18, IL2RA and CTLA4, in conventional T-cells (PubMed : 17377532). Positively regulates the expression of RORC in T-helper 17 cells (By similarity).. Isoform AML-1G shows higher binding activities for target genes and binds TCR-beta-E2 and RAG-1 target site with threefold higher affinity than other isoforms. It is less effective in the context of neutrophil terminal differentiation.. Isoform AML-1L interferes with the transactivation activity of RUNX1.
See full target information RUNX1

Product promise

We are committed to supporting your work with high-quality reagents, and we're here for you every step of the way. In the unlikely event that one of our products does not perform as expected, you're protected by our Product Promise.
For full details, please see our Terms & Conditions

Please note: All products are 'FOR RESEARCH USE ONLY. NOT FOR USE IN DIAGNOSTIC OR THERAPEUTIC PROCEDURES'.

For licensing inquiries, please contact partnerships@abcam.com