JavaScript is disabled in your browser. Please enable JavaScript to view this website.
AB133261

Anti-RUNX1 / AML1 + RUNX3 + RUNX2 antibody [EPR3098]

0

(1 Review)

|

(1 Publication)

Rabbit Recombinant Monoclonal RUNX1 / AML1 antibody. Suitable for IHC-P, WB and reacts with Human, Mouse, Recombinant full length protein - Human samples. Cited in 1 publication.

View Alternative Names

AML1, CBFA2, RUNX1, Runt-related transcription factor 1, Acute myeloid leukemia 1 protein, Core-binding factor subunit alpha-2, Oncogene AML-1, Polyomavirus enhancer-binding protein 2 alpha B subunit, SL3-3 enhancer factor 1 alpha B subunit, SL3/AKV core-binding factor alpha B subunit, CBF-alpha-2, PEA2-alpha B, PEBP2-alpha B

8 Images
Western blot - Anti-RUNX1 / AML1 + RUNX3 + RUNX2 antibody [EPR3098] (AB133261)
  • WB

Lab

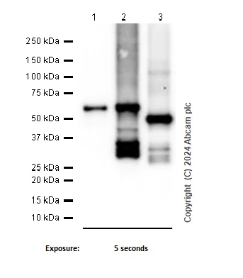
Western blot - Anti-RUNX1 / AML1 + RUNX3 + RUNX2 antibody [EPR3098] (AB133261)

Blocking and diluting buffer : 5% NFDM/TBST.

All lanes:

Western blot - Anti-RUNX1 / AML1 + RUNX3 + RUNX2 antibody [EPR3098] (ab133261) at 1/1000 dilution

Lane 1:

Myc-DDK-tagged Human RUNX1 recombinant protein at 20 ng

Lane 2:

His-tagged Human RUNX2 recombinant protein at 20 ng

Lane 3:

His-tagged Human RUNX3 recombinant protein at 20 ng

Secondary

All lanes:

Western blot - Goat Anti-Rabbit IgG H&L (HRP) (<a href='/en-us/products/secondary-antibodies/goat-rabbit-igg-h-l-hrp-ab97051'>ab97051</a>) at 1/20000 dilution

Predicted band size: 48.7 kDa

false

Exposure time: 5s

Immunohistochemistry (Formalin/PFA-fixed paraffin-embedded sections) - Anti-RUNX1 / AML1 + RUNX3 + RUNX2 antibody [EPR3098] (AB133261)
  • IHC-P

Unknown

Immunohistochemistry (Formalin/PFA-fixed paraffin-embedded sections) - Anti-RUNX1 / AML1 + RUNX3 + RUNX2 antibody [EPR3098] (AB133261)

Immunohistochemical analysis of paraffin embedded normal Human spleen tissue using ab133261 showing +ve staining.

Perform heat mediated antigen retrieval with citrate buffer pH 6 before commencing with IHC staining protocol.

Immunohistochemistry (Formalin/PFA-fixed paraffin-embedded sections) - Anti-RUNX1 / AML1 + RUNX3 + RUNX2 antibody [EPR3098] (AB133261)
  • IHC-P

Unknown

Immunohistochemistry (Formalin/PFA-fixed paraffin-embedded sections) - Anti-RUNX1 / AML1 + RUNX3 + RUNX2 antibody [EPR3098] (AB133261)

Immunohistochemical analysis of paraffin embedded normal Human colon tissue using ab133261 showing +ve staining.

Perform heat mediated antigen retrieval with citrate buffer pH 6 before commencing with IHC staining protocol.

Immunohistochemistry (Formalin/PFA-fixed paraffin-embedded sections) - Anti-RUNX1 / AML1 + RUNX3 + RUNX2 antibody [EPR3098] (AB133261)
  • IHC-P

Unknown

Immunohistochemistry (Formalin/PFA-fixed paraffin-embedded sections) - Anti-RUNX1 / AML1 + RUNX3 + RUNX2 antibody [EPR3098] (AB133261)

Immunohistochemical analysis of paraffin embedded normal Human heart tissue using ab133261 showing -ve staining.

Perform heat mediated antigen retrieval with citrate buffer pH 6 before commencing with IHC staining protocol.

Immunohistochemistry (Formalin/PFA-fixed paraffin-embedded sections) - Anti-RUNX1 / AML1 + RUNX3 + RUNX2 antibody [EPR3098] (AB133261)
  • IHC-P

Unknown

Immunohistochemistry (Formalin/PFA-fixed paraffin-embedded sections) - Anti-RUNX1 / AML1 + RUNX3 + RUNX2 antibody [EPR3098] (AB133261)

Immunohistochemical analysis of paraffin embedded Human tonsil tissue labelling RUNX1 / AML1 with ab133261 at 1/100.

Perform heat mediated antigen retrieval with citrate buffer pH 6 before commencing with IHC staining protocol.

Immunohistochemistry (Formalin/PFA-fixed paraffin-embedded sections) - Anti-RUNX1 / AML1 + RUNX3 + RUNX2 antibody [EPR3098] (AB133261)
  • IHC-P

Unknown

Immunohistochemistry (Formalin/PFA-fixed paraffin-embedded sections) - Anti-RUNX1 / AML1 + RUNX3 + RUNX2 antibody [EPR3098] (AB133261)

Immunohistochemical analysis of paraffin embedded normal Human breast tissue using ab133261 showing +ve staining.

Perform heat mediated antigen retrieval with citrate buffer pH 6 before commencing with IHC staining protocol.

Immunohistochemistry (Formalin/PFA-fixed paraffin-embedded sections) - Anti-RUNX1 / AML1 + RUNX3 + RUNX2 antibody [EPR3098] (AB133261)
  • IHC-P

Unknown

Immunohistochemistry (Formalin/PFA-fixed paraffin-embedded sections) - Anti-RUNX1 / AML1 + RUNX3 + RUNX2 antibody [EPR3098] (AB133261)

Immunohistochemical analysis of paraffin embedded normal Human testis tissue using ab133261 showing +ve staining.

Perform heat mediated antigen retrieval with citrate buffer pH 6 before commencing with IHC staining protocol.

Western blot - Anti-RUNX1 / AML1 + RUNX3 + RUNX2 antibody [EPR3098] (AB133261)
  • WB

Unknown

Western blot - Anti-RUNX1 / AML1 + RUNX3 + RUNX2 antibody [EPR3098] (AB133261)

All lanes:

Western blot - Anti-RUNX1 / AML1 + RUNX3 + RUNX2 antibody [EPR3098] (ab133261) at 1/1000 dilution

Lane 1:

Molt 4 cell lysate at 10 µg

Lane 2:

Human fetal thymus lysate at 10 µg

Lane 3:

Mouse thymus lysate at 10 µg

Secondary

All lanes:

Goat anti-rabbit HRP conjugated antibody at 1/2000 dilution

Predicted band size: 48 kDa

false

  • Carrier free

    Anti-RUNX1 / AML1+RUNX3+RUNX2 antibody [EPR3098] - BSA and Azide free

Key facts

Host species

Rabbit

Clonality

Monoclonal

Clone number

EPR3098

Isotype

IgG

Carrier free

No

Reacts with

Mouse, Human

Applications

WB, IHC-P

applications

Immunogen

The exact immunogen used to generate this antibody is proprietary information.

Specificity

The immunogen of this antibody is 100% homologous to mouse RUNX2 sequence.

Reactivity data

{ "title": "Reactivity Data", "filters": { "stats": ["", "Species", "Dilution Info", "Notes"], "tabs": { "all-applications": {"fullname" : "All Applications", "shortname": "All Applications"}, "IHCP" : {"fullname" : "Immunohistochemistry (Formalin/PFA-fixed paraffin-embedded sections)", "shortname":"IHC-P"}, "WB" : {"fullname" : "Western blot", "shortname":"WB"}, "IP" : {"fullname" : "Immunoprecipitation", "shortname":"IP"}, "FlowCyt" : {"fullname" : "Flow Cytometry", "shortname":"Flow Cyt"}, "ICCIF" : {"fullname" : "Immunocytochemistry/ Immunofluorescence", "shortname":"ICC/IF"} }, "product-promise": { "all": "all", "testedAndGuaranteed": "tested", "guaranteed": "expected", "predicted": "predicted", "notRecommended": "not-recommended" } }, "values": { "Human": { "IHCP-species-checked": "testedAndGuaranteed", "IHCP-species-dilution-info": "1/100 - 1/250", "IHCP-species-notes": "<p></p> Perform heat-mediated antigen retrieval with citrate buffer pH 6 before commencing with IHC staining protocol.", "WB-species-checked": "testedAndGuaranteed", "WB-species-dilution-info": "1/1000 - 1/10000", "WB-species-notes": "<p></p>", "IP-species-checked": "notRecommended", "IP-species-dilution-info": "", "IP-species-notes": "<p></p>", "FlowCyt-species-checked": "notRecommended", "FlowCyt-species-dilution-info": "", "FlowCyt-species-notes": "<p></p>", "ICCIF-species-checked": "notRecommended", "ICCIF-species-dilution-info": "", "ICCIF-species-notes": "<p></p>" }, "Mouse": { "IHCP-species-checked": "guaranteed", "IHCP-species-dilution-info": "1/100 - 1/250", "IHCP-species-notes": "<p></p> Perform heat-mediated antigen retrieval with citrate buffer pH 6 before commencing with IHC staining protocol.", "WB-species-checked": "testedAndGuaranteed", "WB-species-dilution-info": "1/1000 - 1/10000", "WB-species-notes": "<p></p>", "IP-species-checked": "notRecommended", "IP-species-dilution-info": "", "IP-species-notes": "<p></p>", "FlowCyt-species-checked": "notRecommended", "FlowCyt-species-dilution-info": "", "FlowCyt-species-notes": "<p></p>", "ICCIF-species-checked": "notRecommended", "ICCIF-species-dilution-info": "", "ICCIF-species-notes": "<p></p>" }, "Recombinant full length protein - Human": { "IHCP-species-checked": "notRecommended", "IHCP-species-dilution-info": "", "IHCP-species-notes": "", "WB-species-checked": "testedAndGuaranteed", "WB-species-dilution-info": "1/1000 - 1/10000", "WB-species-notes": "<p></p>", "IP-species-checked": "notRecommended", "IP-species-dilution-info": "", "IP-species-notes": "", "FlowCyt-species-checked": "notRecommended", "FlowCyt-species-dilution-info": "", "FlowCyt-species-notes": "", "ICCIF-species-checked": "notRecommended", "ICCIF-species-dilution-info": "", "ICCIF-species-notes": "" } } }

Product details

Patented technology
Our RabMAb® technology is a patented hybridoma-based technology for making rabbit monoclonal antibodies. For details on our patents, please refer to RabMAb® patents.

What are the advantages of a recombinant monoclonal antibody?
This product is a recombinant monoclonal antibody, which offers several advantages including:

  • - High batch-to-batch consistency and reproducibility
  • - Improved sensitivity and specificity
  • - Long-term security of supply
  • - Animal-free batch production

For more information, read more on recombinant antibodies.

Species reactivity
Rat: We have preliminary internal testing data to indicate this antibody may not react with this species.
Please contact us for more information.

Properties and storage information

Form
Liquid
Purification technique
Affinity purification Protein A
Storage buffer
pH: 7.2 - 7.4 Preservative: 0.05% Sodium azide Constituents: 50% Tissue culture supernatant, 40% Glycerol (glycerin, glycerine), 9.85% Tris glycine, 0.1% BSA
Shipped at conditions
Blue Ice
Appropriate short-term storage conditions
+4°C
Appropriate long-term storage conditions
-20°C
Storage information
Stable for 12 months at -20°C

Supplementary information

This supplementary information is collated from multiple sources and compiled automatically.

RUNX1 also known as AML1 along with RUNX2 and RUNX3 form a family of transcription factors that play a critical role in gene regulation. These proteins recognize specific DNA sequences through their Runt domain facilitating DNA binding and transcriptional activation or repression. RUNX1 is extensively studied having a mass of approximately 48 kDa. They are expressed in various tissues including hematopoietic cells osteoblasts and the central nervous system. RUNX proteins regulate genes involved in cell differentiation and proliferation.
Biological function summary

RUNX1 RUNX2 and RUNX3 control processes in development and differentiation. They often function as part of a transcriptional complex with CBFβ enhancing DNA binding and transcriptional activity. RUNX1 is vital in hematopoiesis guiding the formation of blood cells. RUNX2 predominantly influences bone development by regulating osteoblast differentiation while RUNX3 impacts neural development and T-cell maturation. These proteins collectively integrate signals to ensure proper cell lineage decisions.

Pathways

RUNX proteins participate in essential cellular pathways like the Wnt and TGF-β signaling pathways. The Wnt pathway involves interaction with β-catenin affecting cell fate and development processes. RUNX2 plays a significant role here by contributing to bone formation. The TGF-β pathway influences cell growth and differentiation by interacting with SMAD proteins primarily through RUNX3 which modulates immune responses and tumorigenesis. These pathways highlight RUNX proteins' critical integration in signaling networks.

RUNX1 mutations associate with various hematological malignancies notably acute myeloid leukemia (AML). RUNX1 mutations disrupt normal hematopoiesis leading to uncontrolled cell proliferation. RUNX2's dysregulation relates to cleidocranial dysplasia a skeletal disorder characterized by delayed bone development. Both RUNX1 and RUNX2 link to similar signaling pathways such as the Wnt pathway implicating them in these diseases' pathogenesis. Understanding RUNX proteins' role can lead to better diagnostic and therapeutic approaches for these conditions.

Product protocols

For this product, it's our understanding that no specific protocols are required. You can visit:

Target data

Forms the heterodimeric complex core-binding factor (CBF) with CBFB. RUNX members modulate the transcription of their target genes through recognizing the core consensus binding sequence 5'-TGTGGT-3', or very rarely, 5'-TGCGGT-3', within their regulatory regions via their runt domain, while CBFB is a non-DNA-binding regulatory subunit that allosterically enhances the sequence-specific DNA-binding capacity of RUNX. The heterodimers bind to the core site of a number of enhancers and promoters, including murine leukemia virus, polyomavirus enhancer, T-cell receptor enhancers, LCK, IL3 and GM-CSF promoters (Probable). Essential for the development of normal hematopoiesis (PubMed : 17431401). Acts synergistically with ELF4 to transactivate the IL-3 promoter and with ELF2 to transactivate the BLK promoter (PubMed : 10207087, PubMed : 14970218). Inhibits KAT6B-dependent transcriptional activation (By similarity). Involved in lineage commitment of immature T cell precursors. CBF complexes repress ZBTB7B transcription factor during cytotoxic (CD8+) T cell development. They bind to RUNX-binding sequence within the ZBTB7B locus acting as transcriptional silencer and allowing for cytotoxic T cell differentiation. CBF complexes binding to the transcriptional silencer is essential for recruitment of nuclear protein complexes that catalyze epigenetic modifications to establish epigenetic ZBTB7B silencing (By similarity). Controls the anergy and suppressive function of regulatory T-cells (Treg) by associating with FOXP3. Activates the expression of IL2 and IFNG and down-regulates the expression of TNFRSF18, IL2RA and CTLA4, in conventional T-cells (PubMed : 17377532). Positively regulates the expression of RORC in T-helper 17 cells (By similarity).. Isoform AML-1G shows higher binding activities for target genes and binds TCR-beta-E2 and RAG-1 target site with threefold higher affinity than other isoforms. It is less effective in the context of neutrophil terminal differentiation.. Isoform AML-1L interferes with the transactivation activity of RUNX1.
See full target information RUNX1

Additional targets

RUNX3,RUNX2

Publications (1)

Recent publications for all applications. Explore the full list and refine your search

Cell chemical biology 24:833-844.e9 PubMed28648376

2017

Sam68 Allows Selective Targeting of Human Cancer Stem Cells.

Applications

Unspecified application

Species

Unspecified reactive species

Yannick D Benoit,Ryan R Mitchell,Ruth M Risueño,Luca Orlando,Borko Tanasijevic,Allison L Boyd,Lili Aslostovar,Kyle R Salci,Zoya Shapovalova,Jennifer Russell,Masakatsu Eguchi,Diana Golubeva,Monica Graham,Anargyros Xenocostas,Michael R Trus,Ronan Foley,Brian Leber,Tony J Collins,Mickie Bhatia
View all publications

Product promise

We are committed to supporting your work with high-quality reagents, and we're here for you every step of the way. In the unlikely event that one of our products does not perform as expected, you're protected by our Product Promise.
For full details, please see our Terms & Conditions

Please note: All products are 'FOR RESEARCH USE ONLY. NOT FOR USE IN DIAGNOSTIC OR THERAPEUTIC PROCEDURES'.

For licensing inquiries, please contact partnerships@abcam.com