JavaScript is disabled in your browser. Please enable JavaScript to view this website.
AB92336

Anti-RUNX1 / AML1 + RUNX3 + RUNX2 antibody [EPR3099]

  • BOND RX™ Validated
  • Recombinant
  • Advanced Validation
  • RabMAb
  • 20ul selling size
  • What is this?

5

(4 Reviews)

|

(125 Publications)

Anti-RUNX1 / AML1 + RUNX3 + RUNX2 antibody [EPR3099] (ab92336) is a rabbit monoclonal antibody detecting RUNX1 / AML1 in Western Blot, Flow Cytometry (Intra), Flow Cytometry, IP, IHC-P, IHC-Fr. Suitable for Human, Mouse, Rat.

- Biophysical QC for unrivalled batch-batch consistency
- Over 80 publications
- Trusted since 2010

View Alternative Names

AML1, CBFA2, RUNX1, Runt-related transcription factor 1, Acute myeloid leukemia 1 protein, Core-binding factor subunit alpha-2, Oncogene AML-1, Polyomavirus enhancer-binding protein 2 alpha B subunit, SL3-3 enhancer factor 1 alpha B subunit, SL3/AKV core-binding factor alpha B subunit, CBF-alpha-2, PEA2-alpha B, PEBP2-alpha B

9 Images
Immunohistochemistry (Formalin/PFA-fixed paraffin-embedded sections) - Anti-RUNX1 / AML1 + RUNX3 + RUNX2 antibody [EPR3099] (AB92336)
  • IHC-P

Unknown

Immunohistochemistry (Formalin/PFA-fixed paraffin-embedded sections) - Anti-RUNX1 / AML1 + RUNX3 + RUNX2 antibody [EPR3099] (AB92336)

Immunohistochemistry staining of RUNX1 / AML1 in formalin-fixed, paraffin-embedded Human tonsil tissue using 1/100 ab92336. Heat mediated antigen retrieval was performed via the pressure cooker method before commencing with IHC staining protocol.

Immunohistochemistry (Frozen sections) - Anti-RUNX1 / AML1 + RUNX3 + RUNX2 antibody [EPR3099] (AB92336)
  • IHC-Fr

Lab

Immunohistochemistry (Frozen sections) - Anti-RUNX1 / AML1 + RUNX3 + RUNX2 antibody [EPR3099] (AB92336)

IHC image of RUNX1 / AML1 + RUNX3 + RUNX2 staining in a section of frozen normal human tonsil performed on a Leica BONDTM system using the standard protocol. The section was fixed in 10% paraformaldehyde (10 min) prior to staining. The section was incubated with ab92336, 1/500 dilution, for 15 mins at room temperature and detected using an HRP conjugated compact polymer system. DAB was used as the chromogen. The section was then counterstained with haematoxylin and mounted with DPX. The inset secondary-only control image is taken from an identical assay without primary antibody.

For other IHC staining systems (automated and non-automated) customers should optimize variable parameters such as antigen retrieval conditions, primary antibody concentration and antibody incubation times.

Flow Cytometry (Intracellular) - Anti-RUNX1 / AML1 + RUNX3 + RUNX2 antibody [EPR3099] (AB92336)
  • Flow Cyt (Intra)

Unknown

Flow Cytometry (Intracellular) - Anti-RUNX1 / AML1 + RUNX3 + RUNX2 antibody [EPR3099] (AB92336)

Intracellular flow cytometric analysis of permeabilized Molt-4 cells using anti-RUNX1 ab92336 (red) or a rabbit IgG (negative) (green).

Immunoprecipitation - Anti-RUNX1 / AML1 + RUNX3 + RUNX2 antibody [EPR3099] (AB92336)
  • IP

Lab

Immunoprecipitation - Anti-RUNX1 / AML1 + RUNX3 + RUNX2 antibody [EPR3099] (AB92336)

ab92336 (purified) at 1/20 immunoprecipitating RUNX1 / AML1 + RUNX3 + RUNX2 in 10 μg Molt-4 (Human lymphoblastic leukemia T lymphoblast)whole cell lysate (Lanes 1 and 2, observed at 49 kDa). Lane 3 - Rabbit monoclonal IgG (ab172730) instead of ab92336 in Molt-4 whole cell lysate. For western blotting, ab92336 at 1/500 and VeriBlot for IP Detection Reagent (HRP) (ab131366), was used for detection at 1/1000 dilution.

Blocking/Dilution buffer and concentration : 5% NFDM/TBST.

All lanes:

Immunoprecipitation - Anti-RUNX1 / AML1 + RUNX3 + RUNX2 antibody [EPR3099] (ab92336)

false

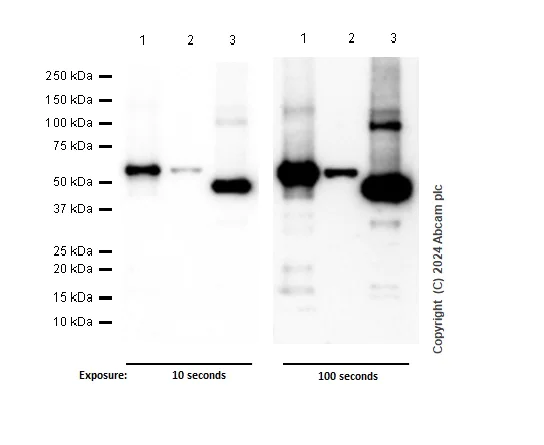
Western blot - Anti-RUNX1 / AML1 + RUNX3 + RUNX2 antibody [EPR3099] (AB92336)
  • WB

Lab

Western blot - Anti-RUNX1 / AML1 + RUNX3 + RUNX2 antibody [EPR3099] (AB92336)

Blocking and diluting buffer : 5% NFDM/TBST

Exposure time : 10 seconds and 100 seconds

All lanes:

Western blot - Anti-RUNX1 / AML1 + RUNX3 + RUNX2 antibody [EPR3099] (ab92336) at 1/1000 dilution

Lane 1:

Myc-DDK-tagged Human RUNX1 recombinant protein at 20 ng

Lane 2:

His-tagged Human RUNX2 recombinant protein at 20 ng

Lane 3:

His-tagged Human RUNX3 recombinant protein at 20 ng

Secondary

All lanes:

Western blot - Goat Anti-Rabbit IgG H&L (HRP) (<a href='/en-us/products/secondary-antibodies/goat-rabbit-igg-h-l-hrp-ab97051'>ab97051</a>) at 1/20000 dilution

Predicted band size: 48.7 kDa

Observed band size: 48 kDa,55 kDa

false

Western blot - Anti-RUNX1 / AML1 + RUNX3 + RUNX2 antibody [EPR3099] (AB92336)
  • WB

Unknown

Western blot - Anti-RUNX1 / AML1 + RUNX3 + RUNX2 antibody [EPR3099] (AB92336)

All lanes:

Western blot - Anti-RUNX1 / AML1 + RUNX3 + RUNX2 antibody [EPR3099] (ab92336) at 1/10000 dilution

Lane 1:

MOLT4 cell lysate at 10 µg

Lane 2:

fetal thymus lysate at 10 µg

Secondary

All lanes:

Goat anti-Rabbit HRP at 1/2000 dilution

false

Western blot - Anti-RUNX1 / AML1 + RUNX3 + RUNX2 antibody [EPR3099] (AB92336)
  • WB

Lab

Western blot - Anti-RUNX1 / AML1 + RUNX3 + RUNX2 antibody [EPR3099] (AB92336)

Blocking/Diluting buffer and concentration : 5% NFDM /TBST

All lanes:

Western blot - Anti-RUNX1 / AML1 + RUNX3 + RUNX2 antibody [EPR3099] (ab92336) at 1.28 µg/mL

Lane 1:

Raw264.7 (Mouse Abelson murine leukemia virus-induced tumor macrophage) whole cell lysate at 20 µg

Lane 2:

Molt-4 (Human lymphoblastic leukemia T lymphoblast) whole cell lysate at 20 µg

Lane 3:

WEHI-3 (Mouse leukemia lymphoblast) whole cell lysate at 20 µg

Lane 4:

Mouse thymus lysate at 20 µg

Lane 5:

CTLL-2 (Mouse T lymphocyte) whole cell lysate at 20 µg

Lane 6:

Rat thymus lysate at 20 µg

Secondary

All lanes:

Western blot - Goat Anti-Rabbit IgG H&L (HRP) (<a href='/en-us/products/secondary-antibodies/goat-rabbit-igg-h-l-hrp-ab97051'>ab97051</a>) at 0.05 µg/mL

false

ChIC/CUT&RUN sequencing - Anti-RUNX1 / AML1 + RUNX3 + RUNX2 antibody [EPR3099] (AB92336)
  • ChIC/CUT&RUN-seq

Supplier Data

ChIC/CUT&RUN sequencing - Anti-RUNX1 / AML1 + RUNX3 + RUNX2 antibody [EPR3099] (AB92336)

ChIC/CUT&RUN was performed using a pAG-MNAse at a final concentration of 700 ng/mL, 2.5 x 10^5 K-562 (Human chronic myelogenous leukemia lymphoblast) cells and 5µg of ab92336 [EPR3099]. The resulting DNA was sequenced on the Illumina NovaSeq 6000 to a depth of 10 million reads. The negative IgG control ab172730 is also shown. Additional screenshots of mapped reads can be found in the Protocol booklet in the Product Protocol section. The University of Geneva owns patents relevant to ChIC (Chromatin Immuno-Cleavage) methods.

Western blot - Anti-RUNX1 / AML1 + RUNX3 + RUNX2 antibody [EPR3099] (AB92336)
  • WB

Lab

Western blot - Anti-RUNX1 / AML1 + RUNX3 + RUNX2 antibody [EPR3099] (AB92336)

Blocking/Diluting buffer and concentration : 5% NFDM /TBST

All lanes:

Western blot - Anti-RUNX1 / AML1 + RUNX3 + RUNX2 antibody [EPR3099] (ab92336) at 1.28 µg/mL

Lane 1:

Mouse spleen lysate at 20 µg

Lane 2:

Mouse thymus lysate at 20 µg

Secondary

All lanes:

Western blot - Goat Anti-Rabbit IgG H&L (HRP) (<a href='/en-us/products/secondary-antibodies/goat-rabbit-igg-h-l-hrp-ab97051'>ab97051</a>) at 0.05 µg/mL

false

  • 519 Alexa Fluor® 488

    Alexa Fluor® 488 Anti-RUNX1 / AML1 + RUNX3 + RUNX2 antibody [EPR3099]

  • 617 Alexa Fluor® 594

    Alexa Fluor® 594 Anti-RUNX1 / AML1+RUNX3+RUNX2 antibody [EPR3099]

  • 565 Alexa Fluor® 555

    Alexa Fluor® 555 Anti-RUNX1 / AML1+RUNX3+RUNX2 antibody [EPR3099]

  • Carrier free

    Anti-RUNX1 / AML1 + RUNX3 + RUNX2 antibody [EPR3099] - BSA and Azide free

  • 578 PE

    PE Anti-RUNX1 / AML1 + RUNX3 + RUNX2 antibody [EPR3099]

  • 660 APC

    APC Anti-RUNX1 / AML1 + RUNX3 + RUNX2 antibody [EPR3099]

  • 603 Alexa Fluor® 568

    Alexa Fluor® 568 Anti-RUNX1 / AML1 + RUNX3 + RUNX2 antibody [EPR3099]

  • 665 Alexa Fluor® 647

    Alexa Fluor® 647 Anti-RUNX1 / AML1 + RUNX3 + RUNX2 antibody [EPR3099]

  • HRP

    HRP Anti-RUNX1 / AML1 + RUNX3 + RUNX2 antibody [EPR3099]

  • 775 Alexa Fluor® 750

    Alexa Fluor® 750 Anti-RUNX1 / AML1 + RUNX3 + RUNX2 antibody [EPR3099]

Key facts

Host species

Rabbit

Clonality

Monoclonal

Clone number

EPR3099

Isotype

IgG

Carrier free

No

Reacts with

Mouse, Rat, Human

Applications

IP, IHC-P, WB, ChIC/CUT&RUN-seq, Flow Cyt (Intra), IHC-Fr

applications

Immunogen

The exact immunogen used to generate this antibody is proprietary information.

Reactivity data

{ "title": "Reactivity Data", "filters": { "stats": ["", "Species", "Dilution Info", "Notes"], "tabs": { "all-applications": {"fullname" : "All Applications", "shortname": "All Applications"}, "ChICCUTRUNseq" : {"fullname" : "ChIC/CUT&RUN sequencing", "shortname":"ChIC/CUT&RUN-seq"}, "IHCP" : {"fullname" : "Immunohistochemistry (Formalin/PFA-fixed paraffin-embedded sections)", "shortname":"IHC-P"}, "IP" : {"fullname" : "Immunoprecipitation", "shortname":"IP"}, "WB" : {"fullname" : "Western blot", "shortname":"WB"}, "IHCFr" : {"fullname" : "Immunohistochemistry (Frozen sections)", "shortname":"IHC-Fr"}, "FlowCytIntra" : {"fullname" : "Flow Cytometry (Intracellular)", "shortname":"Flow Cyt (Intra)"} }, "product-promise": { "all": "all", "testedAndGuaranteed": "tested", "guaranteed": "expected", "predicted": "predicted", "notRecommended": "not-recommended" } }, "values": { "Human": { "ChICCUTRUNseq-species-checked": "testedAndGuaranteed", "ChICCUTRUNseq-species-dilution-info": "5 µg", "ChICCUTRUNseq-species-notes": "<p></p>", "IHCP-species-checked": "testedAndGuaranteed", "IHCP-species-dilution-info": "1/100 - 1/250", "IHCP-species-notes": "<p>The use of an HRP/AP polymerized secondary antibody will give a stronger signal.</p> Perform heat-mediated antigen retrieval via the pressure cooker method before commencing with IHC staining protocol.", "IP-species-checked": "testedAndGuaranteed", "IP-species-dilution-info": "1/20", "IP-species-notes": "<p></p>", "WB-species-checked": "testedAndGuaranteed", "WB-species-dilution-info": "1/5000 - 1/10000", "WB-species-notes": "<p></p>", "IHCFr-species-checked": "testedAndGuaranteed", "IHCFr-species-dilution-info": "1/500", "IHCFr-species-notes": "<p></p>", "FlowCytIntra-species-checked": "testedAndGuaranteed", "FlowCytIntra-species-dilution-info": "1/50", "FlowCytIntra-species-notes": "<p><a href='/en-us/products/primary-antibodies/rabbit-igg-monoclonal-epr25a-isotype-control-ab172730'>ab172730</a> - Rabbit monoclonal IgG, is suitable for use as an isotype control with this antibody.</p>" }, "Mouse": { "ChICCUTRUNseq-species-checked": "guaranteed", "ChICCUTRUNseq-species-dilution-info": "", "ChICCUTRUNseq-species-notes": "", "IHCP-species-checked": "guaranteed", "IHCP-species-dilution-info": "", "IHCP-species-notes": "", "IP-species-checked": "guaranteed", "IP-species-dilution-info": "", "IP-species-notes": "", "WB-species-checked": "testedAndGuaranteed", "WB-species-dilution-info": "1/5000 - 1/10000", "WB-species-notes": "<p></p>", "IHCFr-species-checked": "guaranteed", "IHCFr-species-dilution-info": "", "IHCFr-species-notes": "", "FlowCytIntra-species-checked": "guaranteed", "FlowCytIntra-species-dilution-info": "", "FlowCytIntra-species-notes": "" }, "Rat": { "ChICCUTRUNseq-species-checked": "guaranteed", "ChICCUTRUNseq-species-dilution-info": "", "ChICCUTRUNseq-species-notes": "", "IHCP-species-checked": "guaranteed", "IHCP-species-dilution-info": "", "IHCP-species-notes": "", "IP-species-checked": "guaranteed", "IP-species-dilution-info": "", "IP-species-notes": "", "WB-species-checked": "testedAndGuaranteed", "WB-species-dilution-info": "1/5000 - 1/10000", "WB-species-notes": "<p></p>", "IHCFr-species-checked": "guaranteed", "IHCFr-species-dilution-info": "", "IHCFr-species-notes": "", "FlowCytIntra-species-checked": "guaranteed", "FlowCytIntra-species-dilution-info": "", "FlowCytIntra-species-notes": "" } } }

Product details

What is this antibody validated in?
Anti-RUNX1 / AML1 + RUNX3 + RUNX2 antibody [EPR3099] (ab92336) is a rabbit recombinant monoclonal antibody and is validated for use in Western Blot (WB), Flow Cytometry (Intra), Flow Cytometry (Flow Cyt), Immunoprecipitation (IP), Immunohistochemistry (IHC-P), Immunohistochemistry (IHC-Fr) in Human, Mouse, Rat samples.

What is the molecular weight of RUNX1 / AML1?
Anti-RUNX1 / AML1 + RUNX3 + RUNX2 [EPR3099] (ab92336) specifically detects a band for RUNX1 / AML1 (UniProt: Q01196) at a molecular weight of 49kDa.

Trusted by the scientific community
Anti-RUNX1 / AML1 + RUNX3 + RUNX2 [EPR3099] (ab92336) was first used in a scientific publication in 2010 and has been cited over 80 times in peer-reviewed journals.

Trial sizes available!
Test your antibody or perform pre-screening before committing to a larger quantity. Sold in 10µl. Discover our selection of trial-size antibodies.

Other related products
We have a range of other formats of antibody clone [EPR3099] also available for your convenience: ab92336, Alexa Fluor® 488 - ab199221, Alexa Fluor® 647 - ab199493, Alexa Fluor® 555 - ab207253, Carrier free - ab220117, PE - ab305695, APC - ab305696, HRP - ab305697, Alkaline Phosphatase - ab308858, Alexa Fluor® 568 - ab312598, Alexa Fluor® 750 - ab321748

Patented technology
Our RabMAb® technology is a patented hybridoma-based technology for making rabbit monoclonal antibodies. For details on our patents, please refer to RabMAb® patents.

What are the advantages of a recombinant monoclonal antibody?
This product is a recombinant monoclonal antibody, which offers several advantages including:

  • - High batch-to-batch consistency and reproducibility
  • - Improved sensitivity and specificity
  • - Long-term security of supply
  • - Animal-free batch production

For more information, read more on recombinant antibodies.

Properties and storage information

Form
Liquid
Purity
Tissue culture supernatant
Purification technique
Affinity purification Protein A
Storage buffer
pH: 7.2 - 7.4 Preservative: 0.01% Sodium azide Constituents: PBS, 40% Glycerol (glycerin, glycerine), 0.05% BSA
Shipped at conditions
Blue Ice
Appropriate short-term storage duration
1-2 weeks
Appropriate short-term storage conditions
+4°C
Appropriate long-term storage conditions
-20°C
Aliquoting information
Upon delivery aliquot
Storage information
Stable for 12 months at -20°C

Supplementary information

This supplementary information is collated from multiple sources and compiled automatically.

RUNX1 also known as AML1 along with RUNX2 and RUNX3 form a family of transcription factors that play a critical role in gene regulation. These proteins recognize specific DNA sequences through their Runt domain facilitating DNA binding and transcriptional activation or repression. RUNX1 is extensively studied having a mass of approximately 48 kDa. They are expressed in various tissues including hematopoietic cells osteoblasts and the central nervous system. RUNX proteins regulate genes involved in cell differentiation and proliferation.
Biological function summary

RUNX1 RUNX2 and RUNX3 control processes in development and differentiation. They often function as part of a transcriptional complex with CBFΒ enhancing DNA binding and transcriptional activity. RUNX1 is vital in hematopoiesis guiding the formation of blood cells. RUNX2 predominantly influences bone development by regulating osteoblast differentiation while RUNX3 impacts neural development and T-cell maturation. These proteins collectively integrate signals to ensure proper cell lineage decisions.

Pathways

RUNX proteins participate in essential cellular pathways like the Wnt and TGF-Β signaling pathways. The Wnt pathway involves interaction with Β-catenin affecting cell fate and development processes. RUNX2 plays a significant role here by contributing to bone formation. The TGF-Β pathway influences cell growth and differentiation by interacting with SMAD proteins primarily through RUNX3 which modulates immune responses and tumorigenesis. These pathways highlight RUNX proteins' critical integration in signaling networks.

RUNX1 mutations associate with various hematological malignancies notably acute myeloid leukemia (AML). RUNX1 mutations disrupt normal hematopoiesis leading to uncontrolled cell proliferation. RUNX2's dysregulation relates to cleidocranial dysplasia a skeletal disorder characterized by delayed bone development. Both RUNX1 and RUNX2 link to similar signaling pathways such as the Wnt pathway implicating them in these diseases' pathogenesis. Understanding RUNX proteins' role can lead to better diagnostic and therapeutic approaches for these conditions.

Product protocols

For this product, it's our understanding that no specific protocols are required. You can visit:

Target data

Forms the heterodimeric complex core-binding factor (CBF) with CBFB. RUNX members modulate the transcription of their target genes through recognizing the core consensus binding sequence 5'-TGTGGT-3', or very rarely, 5'-TGCGGT-3', within their regulatory regions via their runt domain, while CBFB is a non-DNA-binding regulatory subunit that allosterically enhances the sequence-specific DNA-binding capacity of RUNX. The heterodimers bind to the core site of a number of enhancers and promoters, including murine leukemia virus, polyomavirus enhancer, T-cell receptor enhancers, LCK, IL3 and GM-CSF promoters (Probable). Essential for the development of normal hematopoiesis (PubMed : 17431401). Acts synergistically with ELF4 to transactivate the IL-3 promoter and with ELF2 to transactivate the BLK promoter (PubMed : 10207087, PubMed : 14970218). Inhibits KAT6B-dependent transcriptional activation (By similarity). Involved in lineage commitment of immature T cell precursors. CBF complexes repress ZBTB7B transcription factor during cytotoxic (CD8+) T cell development. They bind to RUNX-binding sequence within the ZBTB7B locus acting as transcriptional silencer and allowing for cytotoxic T cell differentiation. CBF complexes binding to the transcriptional silencer is essential for recruitment of nuclear protein complexes that catalyze epigenetic modifications to establish epigenetic ZBTB7B silencing (By similarity). Controls the anergy and suppressive function of regulatory T-cells (Treg) by associating with FOXP3. Activates the expression of IL2 and IFNG and down-regulates the expression of TNFRSF18, IL2RA and CTLA4, in conventional T-cells (PubMed : 17377532). Positively regulates the expression of RORC in T-helper 17 cells (By similarity).. Isoform AML-1G shows higher binding activities for target genes and binds TCR-beta-E2 and RAG-1 target site with threefold higher affinity than other isoforms. It is less effective in the context of neutrophil terminal differentiation.. Isoform AML-1L interferes with the transactivation activity of RUNX1.
See full target information RUNX1

Additional targets

RUNX3,RUNX2

Publications (125)

Recent publications for all applications. Explore the full list and refine your search

Cellular and molecular life sciences : CMLS 82:351 PubMed41055656

2025

Mechanistic insights into miR-584-5p-mediated Inhibition of PDLSCs osteogenic differentiation through H2AFZ upregulation and RUNX2 suppression.

Applications

Unspecified application

Species

Unspecified reactive species

Chengze Wang,Xiaoyan Miao,Yongzheng Li,Lingfei Ren,Bo Zheng,Zhiwei Jiang,Ying Wang,Guoli Yang

eLife 14: PubMed40637239

2025

NR2F2 is required in the embryonic testis for fetal Leydig cell development.

Applications

Unspecified application

Species

Unspecified reactive species

Aitana Perea-Gomez,Natividad Bellido Carreras,Magali Dhellemmes,Furong Tang,Coralie Le Gallo,Marie-Christine Chaboissier

Journal of nanobiotechnology 23:348 PubMed40369573

2025

Engineered bone-targeting apoptotic vesicles as a minimally invasive nanotherapy for heterotopic ossification.

Applications

Unspecified application

Species

Unspecified reactive species

Like Tang,Yuchen Wang,Shihua Mao,Zhou Yu,Yitong Chen,Xiaoqiao Xu,Wenjin Cai,Kaichen Lai,Guoli Yang,Tingben Huang

iScience 28:112398 PubMed40322079

2025

Differentiation of human pluripotent stem cells into urothelial organoids via transient activation of WNT signaling.

Applications

Unspecified application

Species

Unspecified reactive species

Na Qu,Abdelkader Daoud,Daniel O Kechele,Cassie E Cleary,Jorge O Múnera

PLoS biology 23:e3003003 PubMed39874373

2025

Lineage tracing studies suggest that the placenta is not a de novo source of hematopoietic stem cells.

Applications

Unspecified application

Species

Unspecified reactive species

Xiaowen Chen,Joanna Tober,Martin Dominguez,Alan T Tang,Jenna Bockman,Jisheng Yang,Sneha Mani,Chin Nien Lee,Mei Chen,Triloshan Thillaikumaran,Patricia Mericko-Ishizuka,Monica Mainigi,Nancy A Speck,Mark L Kahn

eLife 13: PubMed39714446

2024

A novel human pluripotent stem cell gene activation system identifies IGFBP2 as a mediator in the production of haematopoietic progenitors in vitro.

Applications

Unspecified application

Species

Unspecified reactive species

Paolo Petazzi,Telma Ventura,Francesca Paola Luongo,Heather McClafferty,Alisha May,Helen Alice Taylor,Michael J Shipston,Nicola Romanò,Lesley M Forrester,Pablo Menendez,Antonella Fidanza

Stem cell research & therapy 15:455 PubMed39609719

2024

Epithelial differentiation of gingival mesenchymal stem cells enhances re-epithelialization for full-thickness cutaneous wound healing.

Applications

Unspecified application

Species

Unspecified reactive species

Yongzheng Li,Lingling Dong,Yani Chen,Wenjin Cai,Guoli Yang,Ying Wang

Journal of applied oral science : revista FOB 32:e20240268 PubMed39476105

2024

DNMT3A transcriptionally downregulated by KLF5 alleviates LPS-induced inflammatory response and promotes osteogenic differentiation in hPDLSCs.

Applications

Unspecified application

Species

Unspecified reactive species

Jianling Guo,Huijie Jia

Biomolecules & biomedicine 25:472-481 PubMed39151099

2024

Inhibition of RUNX1 slows the progression of pulmonary hypertension by targeting CBX5.

Applications

Unspecified application

Species

Unspecified reactive species

Ximiao Ma,Yiqiu Cao,Dongpeng Yang,Zhu Dong,Xiaowu Wang

Theranostics 14:4256-4277 PubMed39113793

2024

Methyl-CpG-binding 2 K271 lactylation-mediated M2 macrophage polarization inhibits atherosclerosis.

Applications

Unspecified application

Species

Unspecified reactive species

Liangqi Chen,Meiju Zhang,Xueyan Yang,Yanan Wang,Tuo Huang,Xin Li,Yunting Ban,Qifeng Li,Qingyuan Yang,Yongxiang Zhang,Yang Zheng,Di Wang,Xiaoqi Wang,Xiujie Shi,Maomao Zhang,Yong Sun,Jian Wu
View all publications
chicCutRunSequencingBooklet
en

Product promise

We are committed to supporting your work with high-quality reagents, and we're here for you every step of the way. In the unlikely event that one of our products does not perform as expected, you're protected by our Product Promise.
For full details, please see our Terms & Conditions

Please note: All products are 'FOR RESEARCH USE ONLY. NOT FOR USE IN DIAGNOSTIC OR THERAPEUTIC PROCEDURES'.

For licensing inquiries, please contact partnerships@abcam.com