JavaScript is disabled in your browser. Please enable JavaScript to view this website.
AB220117

Anti-RUNX1 / AML1 + RUNX3 + RUNX2 antibody [EPR3099] - BSA and Azide free

  • BOND RX™ Validated
  • Recombinant
  • Advanced Validation
  • RabMAb
  • What is this?

Be the first to review this product! Submit a review

|

(11 Publications)

Rabbit Recombinant Monoclonal RUNX1 / AML1 antibody. Carrier free. Suitable for ChIC/CUT&RUN-seq, IHC-P, IP, WB, IHC-Fr, Flow Cyt (Intra) and reacts with Human, Mouse, Rat samples. Cited in 11 publications.

View Alternative Names

AML1, CBFA2, RUNX1, Runt-related transcription factor 1, Acute myeloid leukemia 1 protein, Core-binding factor subunit alpha-2, Oncogene AML-1, Polyomavirus enhancer-binding protein 2 alpha B subunit, SL3-3 enhancer factor 1 alpha B subunit, SL3/AKV core-binding factor alpha B subunit, CBF-alpha-2, PEA2-alpha B, PEBP2-alpha B, AML3, CBFA1, OSF2, PEBP2A, RUNX2, Runt-related transcription factor 2, Acute myeloid leukemia 3 protein, Core-binding factor subunit alpha-1, Oncogene AML-3, Osteoblast-specific transcription factor 2, Polyomavirus enhancer-binding protein 2 alpha A subunit, SL3-3 enhancer factor 1 alpha A subunit, SL3/AKV core-binding factor alpha A subunit, CBF-alpha-1, OSF-2, PEA2-alpha A, PEBP2-alpha A, AML2, CBFA3, PEBP2A3, RUNX3, Runt-related transcription factor 3, Acute myeloid leukemia 2 protein, Core-binding factor subunit alpha-3, Oncogene AML-2, Polyomavirus enhancer-binding protein 2 alpha C subunit, SL3-3 enhancer factor 1 alpha C subunit, SL3/AKV core-binding factor alpha C subunit, CBF-alpha-3, PEA2-alpha C, PEBP2-alpha C

10 Images
Flow Cytometry (Intracellular) - Anti-RUNX1 / AML1 + RUNX3 + RUNX2 antibody [EPR3099] - BSA and Azide free (AB220117)
  • Flow Cyt (Intra)

Unknown

Flow Cytometry (Intracellular) - Anti-RUNX1 / AML1 + RUNX3 + RUNX2 antibody [EPR3099] - BSA and Azide free (AB220117)

Intracellular flow cytometric analysis of permeabilized Molt-4 cells using anti-RUNX1 ab92336 (red) or a rabbit IgG (negative) (green). This data was developed using the same antibody clone in a different buffer formulation containing PBS, BSA, glycerol, and sodium azide (ab92336).

Immunohistochemistry (Formalin/PFA-fixed paraffin-embedded sections) - Anti-RUNX1 / AML1 + RUNX3 + RUNX2 antibody [EPR3099] - BSA and Azide free (AB220117)
  • IHC-P

Unknown

Immunohistochemistry (Formalin/PFA-fixed paraffin-embedded sections) - Anti-RUNX1 / AML1 + RUNX3 + RUNX2 antibody [EPR3099] - BSA and Azide free (AB220117)

Immunohistochemistry staining of RUNX1 / AML1 in formalin-fixed, paraffin-embedded Human tonsil tissue using 1/100 ab92336.

This data was developed using the same antibody clone in a different buffer formulation containing PBS, BSA, glycerol, and sodium azide (ab92336).

Perform heat mediated antigen retrieval via the pressure cooker method before commencing with IHC staining protocol.

Immunocytochemistry/ Immunofluorescence - Anti-RUNX1 / AML1 + RUNX3 + RUNX2 antibody [EPR3099] - BSA and Azide free (AB220117)
  • ICC/IF

AbReview27887****

Immunocytochemistry/ Immunofluorescence - Anti-RUNX1 / AML1 + RUNX3 + RUNX2 antibody [EPR3099] - BSA and Azide free (AB220117)

ab92336 staining RUNX1 / AML1 in human glioblastoma cell line by Immunocytochemistry/ Immunofluorescence.

Cells were fixed in paraformaldehyde, permeabilized using 0,1% Triton X 100 in PBS, blocked with 0.5% BSA for 30 minutes at room temperature and then incubated with ab92336 at a 1/50 dilution for 16 hours at 4°C. The secondary used was an Alexa-Fluor 488 conjugated goat anti-rabbit polyclonal used at a 1/400 dilution. Nuclei are counterstained with DAPI.This data was developed using the same antibody clone in a different buffer formulation containing PBS, BSA, glycerol, and sodium azide (ab92336).

This image is courtesy of an anonymous Abreview.

Immunohistochemistry (Frozen sections) - Anti-RUNX1 / AML1 + RUNX3 + RUNX2 antibody [EPR3099] - BSA and Azide free (AB220117)
  • IHC-Fr

Lab

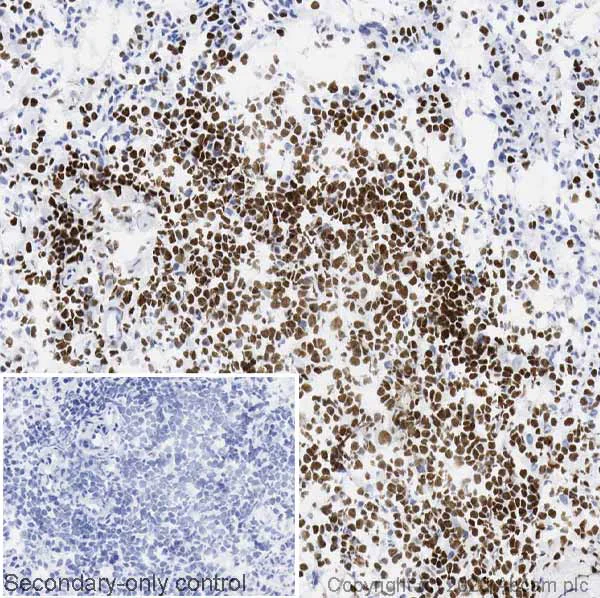
Immunohistochemistry (Frozen sections) - Anti-RUNX1 / AML1 + RUNX3 + RUNX2 antibody [EPR3099] - BSA and Azide free (AB220117)

This data was developed using the same antibody clone in a different buffer formulation (ab92336).

IHC image of RUNX1 / AML1 + RUNX3 + RUNX2 staining in a section of frozen normal human tonsil performed on a Leica BONDTM system using the standard protocol. The section was fixed in 10% paraformaldehyde (10 min) prior to staining. The section was incubated with ab92336, 1/500 dilution, for 15 mins at room temperature and detected using an HRP conjugated compact polymer system. DAB was used as the chromogen. The section was then counterstained with haematoxylin and mounted with DPX. The inset secondary-only control image is taken from an identical assay without primary antibody.

For other IHC staining systems (automated and non-automated) customers should optimize variable parameters such as antigen retrieval conditions, primary antibody concentration and antibody incubation times.

Immunoprecipitation - Anti-RUNX1 / AML1 + RUNX3 + RUNX2 antibody [EPR3099] - BSA and Azide free (AB220117)
  • IP

Lab

Immunoprecipitation - Anti-RUNX1 / AML1 + RUNX3 + RUNX2 antibody [EPR3099] - BSA and Azide free (AB220117)

Lane 1 (input) : MOLT-4 (Human lymphoblastic leukemia T lymphoblast) whole cell lysate, 10μg
Lane 2 (+) : MOLT-4 whole cell lysate
Lane 3 (-) : Rabbit monoclonal IgG (ab172730) instead of ab220117 in MOLT-4 whole cell lysate

ab220117 Immunoprecipitating RUNX1 / AML1 + RUNX3 + RUNX2 in MOLT-4 whole cell lysates. For western blotting, primary antibody used was ab220117 at 1 : 500 dilution (1.98 μg/ml). ab131366 VeriBlot for IP (HRP) was used for detection at 1 : 1000 dilution.

Blocking and diluting buffer : 5% NFDM/TBST.

All lanes:

Immunoprecipitation - Anti-RUNX1 / AML1 + RUNX3 + RUNX2 antibody [EPR3099] - BSA and Azide free (ab220117)

false

Immunoprecipitation - Anti-RUNX1 / AML1 + RUNX3 + RUNX2 antibody [EPR3099] - BSA and Azide free (AB220117)
  • IP

Lab

Immunoprecipitation - Anti-RUNX1 / AML1 + RUNX3 + RUNX2 antibody [EPR3099] - BSA and Azide free (AB220117)

ab92336 (purified) at 1/50 immunoprecipitating RUNX1 / AML1 + RUNX3 + RUNX2 in 10 μg Molt-4 (Human lymphoblastic leukemia T lymphoblast)whole cell lysate (Lanes 1 and 2, observed at 49 kDa). Lane 3 - Rabbit monoclonal IgG (ab172730) instead of ab92336 in Molt-4 whole cell lysate. For western blotting, ab220117 at 1/500 and HRP Veriblot for IP (ab131366) was used for detection at 1/1000 dilution.

Blocking/Dilution buffer and concentration : 5% NFDM/TBST.

This data was developed using the same antibody clone in a different buffer formulation containing PBS, BSA, glycerol, and sodium azide (ab92336).

All lanes:

Immunoprecipitation - Anti-RUNX1 / AML1 + RUNX3 + RUNX2 antibody [EPR3099] (<a href='/en-us/products/primary-antibodies/runx1-aml1-runx3-runx2-antibody-epr3099-ab92336'>ab92336</a>)

false

Immunocytochemistry/ Immunofluorescence - Anti-RUNX1 / AML1 + RUNX3 + RUNX2 antibody [EPR3099] - BSA and Azide free (AB220117)
  • ICC/IF

AbReview27886****

Immunocytochemistry/ Immunofluorescence - Anti-RUNX1 / AML1 + RUNX3 + RUNX2 antibody [EPR3099] - BSA and Azide free (AB220117)

ab92336 staining RUNX1 / AML1 in rat glioblastoma cell line C6 by Immunocytochemistry/ Immunofluorescence.

Cells were fixed in paraformaldehyde, permeabilized using 0,1% Triton X 100 in PBS, blocked with 0.5% BSA for 30 minutes at room temperature and then incubated with ab92336 at a 1/50 dilution for 16 hours at 4°C. The secondary used was a Cy3 conjugated goat anti-rabbit polyclonal used at a 1/400 dilution. Nuclei are counterstained with DAPI.This data was developed using the same antibody clone in a different buffer formulation containing PBS, BSA, glycerol, and sodium azide (ab92336).

This image is courtesy of an anonymous Abreview.

Western blot - Anti-RUNX1 / AML1 + RUNX3 + RUNX2 antibody [EPR3099] - BSA and Azide free (AB220117)
  • WB

Lab

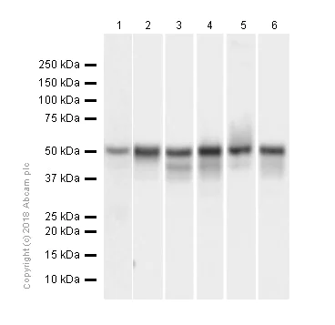
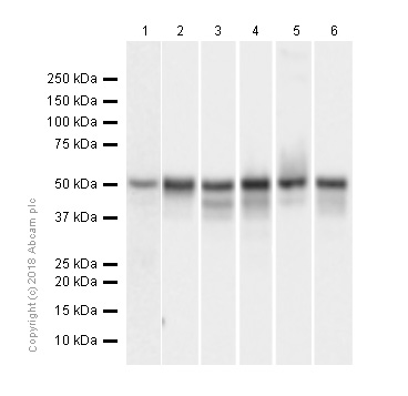
Western blot - Anti-RUNX1 / AML1 + RUNX3 + RUNX2 antibody [EPR3099] - BSA and Azide free (AB220117)

Blocking and diluting buffer : 5% NFDM/TBST

This data was developed using the same antibody clone in a different buffer formulation containing PBS, BSA, glycerol, and sodium azide (ab92336).

All lanes:

Western blot - Anti-RUNX1 / AML1 + RUNX3 + RUNX2 antibody [EPR3099] (<a href='/en-us/products/primary-antibodies/runx1-aml1-runx3-runx2-antibody-epr3099-ab92336'>ab92336</a>) at 1.28 µg/mL

Lane 1:

Raw264.7 (Mouse Abelson murine leukemia virus-induced tumor macrophage) whole cell lysate at 20 µg

Lane 2:

Molt-4 (Human lymphoblastic leukemia T lymphoblast) whole cell lysate at 20 µg

Lane 3:

WEHI-3 (Mouse leukemia lymphoblast) whole cell lysate at 20 µg

Lane 4:

Mouse thymus lysate at 20 µg

Lane 5:

CTLL-2 (Mouse T lymphocyte) whole cell lysate at 20 µg

Lane 6:

Rat thymus lysate at 20 µg

Secondary

All lanes:

Western blot - Goat Anti-Rabbit IgG H&L (HRP) (<a href='/en-us/products/secondary-antibodies/goat-rabbit-igg-h-l-hrp-ab97051'>ab97051</a>) at 0.05 µg/mL

false

ChIC/CUT&RUN sequencing - Anti-RUNX1 / AML1 + RUNX3 + RUNX2 antibody [EPR3099] - BSA and Azide free (AB220117)
  • ChIC/CUT&RUN-seq

Supplier Data

ChIC/CUT&RUN sequencing - Anti-RUNX1 / AML1 + RUNX3 + RUNX2 antibody [EPR3099] - BSA and Azide free (AB220117)

ChIC/CUT&RUN was performed using a pAG-MNAse at a final concentration of 700 ng/mL, 2.5 x 10^5 K-562 (Human chronic myelogenous leukemia lymphoblast) cells and 5µg of ab92336 [EPR3099]. The resulting DNA was sequenced on the Illumina NovaSeq 6000 to a depth of 10 million reads. The negative IgG control ab172730 is also shown. Additional screenshots of mapped reads can be found in the Protocol booklet in the Product Protocol section. The University of Geneva owns patents relevant to ChIC (Chromatin Immuno-Cleavage) methods. This data was developed using the same antibody clone in a different buffer formulation containing PBS, BSA, glycerol, and sodium azide (ab92336).

Western blot - Anti-RUNX1 / AML1 + RUNX3 + RUNX2 antibody [EPR3099] - BSA and Azide free (AB220117)
  • WB

Lab

Western blot - Anti-RUNX1 / AML1 + RUNX3 + RUNX2 antibody [EPR3099] - BSA and Azide free (AB220117)

Blocking/Diluting buffer and concentration : 5% NFDM /TBST

This data was developed using the same antibody clone in a different buffer formulation containing PBS, BSA, glycerol, and sodium azide (ab92336).

All lanes:

Western blot - Anti-RUNX1 / AML1 + RUNX3 + RUNX2 antibody [EPR3099] (<a href='/en-us/products/primary-antibodies/runx1-aml1-runx3-runx2-antibody-epr3099-ab92336'>ab92336</a>) at 1.28 µg/mL

Lane 1:

Mouse spleen lysate at 20 µg

Lane 2:

Mouse thymus lysate at 20 µg

Secondary

All lanes:

Western blot - Goat Anti-Rabbit IgG H&L (HRP) (<a href='/en-us/products/secondary-antibodies/goat-rabbit-igg-h-l-hrp-ab97051'>ab97051</a>) at 0.05 µg/mL

false

  • Unconjugated

    Anti-RUNX1 / AML1 + RUNX3 + RUNX2 antibody [EPR3099]

  • 775 Alexa Fluor® 750

    Alexa Fluor® 750 Anti-RUNX1 / AML1 + RUNX3 + RUNX2 antibody [EPR3099]

  • 665 Alexa Fluor® 647

    Alexa Fluor® 647 Anti-RUNX1 / AML1 + RUNX3 + RUNX2 antibody [EPR3099]

  • 519 Alexa Fluor® 488

    Alexa Fluor® 488 Anti-RUNX1 / AML1 + RUNX3 + RUNX2 antibody [EPR3099]

  • 617 Alexa Fluor® 594

    Alexa Fluor® 594 Anti-RUNX1 / AML1+RUNX3+RUNX2 antibody [EPR3099]

  • 565 Alexa Fluor® 555

    Alexa Fluor® 555 Anti-RUNX1 / AML1+RUNX3+RUNX2 antibody [EPR3099]

  • 578 PE

    PE Anti-RUNX1 / AML1 + RUNX3 + RUNX2 antibody [EPR3099]

  • 660 APC

    APC Anti-RUNX1 / AML1 + RUNX3 + RUNX2 antibody [EPR3099]

  • HRP

    HRP Anti-RUNX1 / AML1 + RUNX3 + RUNX2 antibody [EPR3099]

  • 603 Alexa Fluor® 568

    Alexa Fluor® 568 Anti-RUNX1 / AML1 + RUNX3 + RUNX2 antibody [EPR3099]

Key facts

Host species

Rabbit

Clonality

Monoclonal

Clone number

EPR3099

Isotype

IgG

Carrier free

Yes

Reacts with

Mouse, Rat, Human

Applications

IHC-P, IHC-Fr, ChIC/CUT&RUN-seq, Flow Cyt (Intra), WB, IP

applications

Immunogen

The exact immunogen used to generate this antibody is proprietary information.

Reactivity data

{ "title": "Reactivity Data", "filters": { "stats": ["", "Species", "Dilution Info", "Notes"], "tabs": { "all-applications": {"fullname" : "All Applications", "shortname": "All Applications"}, "ChICCUTRUNseq" : {"fullname" : "ChIC/CUT&RUN sequencing", "shortname":"ChIC/CUT&RUN-seq"}, "IHCP" : {"fullname" : "Immunohistochemistry (Formalin/PFA-fixed paraffin-embedded sections)", "shortname":"IHC-P"}, "IP" : {"fullname" : "Immunoprecipitation", "shortname":"IP"}, "WB" : {"fullname" : "Western blot", "shortname":"WB"}, "IHCFr" : {"fullname" : "Immunohistochemistry (Frozen sections)", "shortname":"IHC-Fr"}, "FlowCytIntra" : {"fullname" : "Flow Cytometry (Intracellular)", "shortname":"Flow Cyt (Intra)"} }, "product-promise": { "all": "all", "testedAndGuaranteed": "tested", "guaranteed": "expected", "predicted": "predicted", "notRecommended": "not-recommended" } }, "values": { "Human": { "ChICCUTRUNseq-species-checked": "testedAndGuaranteed", "ChICCUTRUNseq-species-dilution-info": "", "ChICCUTRUNseq-species-notes": "<p></p>", "IHCP-species-checked": "testedAndGuaranteed", "IHCP-species-dilution-info": "", "IHCP-species-notes": "<p>The use of an HRP/AP polymerized secondary antibody will give a stronger signal.</p>", "IP-species-checked": "testedAndGuaranteed", "IP-species-dilution-info": "1/50", "IP-species-notes": "<p></p>", "WB-species-checked": "testedAndGuaranteed", "WB-species-dilution-info": "", "WB-species-notes": "<p></p>", "IHCFr-species-checked": "testedAndGuaranteed", "IHCFr-species-dilution-info": "1/500", "IHCFr-species-notes": "<p></p>", "FlowCytIntra-species-checked": "testedAndGuaranteed", "FlowCytIntra-species-dilution-info": "", "FlowCytIntra-species-notes": "<p><a href='/en-us/products/primary-antibodies/rabbit-igg-monoclonal-epr25a-isotype-control-low-endotoxin-azide-free-ab199376'>ab199376</a> - Rabbit monoclonal IgG, is suitable for use as an isotype control with this antibody.</p>" }, "Mouse": { "ChICCUTRUNseq-species-checked": "guaranteed", "ChICCUTRUNseq-species-dilution-info": "", "ChICCUTRUNseq-species-notes": "", "IHCP-species-checked": "guaranteed", "IHCP-species-dilution-info": "", "IHCP-species-notes": "", "IP-species-checked": "guaranteed", "IP-species-dilution-info": "", "IP-species-notes": "", "WB-species-checked": "testedAndGuaranteed", "WB-species-dilution-info": "", "WB-species-notes": "<p></p>", "IHCFr-species-checked": "guaranteed", "IHCFr-species-dilution-info": "", "IHCFr-species-notes": "", "FlowCytIntra-species-checked": "guaranteed", "FlowCytIntra-species-dilution-info": "", "FlowCytIntra-species-notes": "" }, "Rat": { "ChICCUTRUNseq-species-checked": "guaranteed", "ChICCUTRUNseq-species-dilution-info": "", "ChICCUTRUNseq-species-notes": "", "IHCP-species-checked": "guaranteed", "IHCP-species-dilution-info": "", "IHCP-species-notes": "", "IP-species-checked": "guaranteed", "IP-species-dilution-info": "", "IP-species-notes": "", "WB-species-checked": "testedAndGuaranteed", "WB-species-dilution-info": "", "WB-species-notes": "<p></p>", "IHCFr-species-checked": "guaranteed", "IHCFr-species-dilution-info": "", "IHCFr-species-notes": "", "FlowCytIntra-species-checked": "guaranteed", "FlowCytIntra-species-dilution-info": "", "FlowCytIntra-species-notes": "" } } }

Product details

ab220117 is the carrier-free version of ab92336.

Patented technology
Our RabMAb® technology is a patented hybridoma-based technology for making rabbit monoclonal antibodies. For details on our patents, please refer to RabMAb® patents.

What are the advantages of a recombinant monoclonal antibody?
This product is a recombinant monoclonal antibody, which offers several advantages including:

  • - High batch-to-batch consistency and reproducibility
  • - Improved sensitivity and specificity
  • - Long-term security of supply
  • - Animal-free batch production

For more information, read more on recombinant antibodies.

Conjugation ready
Our carrier-free antibodies are typically supplied in a PBS-only formulation, purified and free of BSA, sodium azide and glycerol. This conjugation-ready format is designed for use with fluorochromes, metal isotopes, oligonucleotides, and enzymes, which makes them ideal for antibody labelling, functional and cell-based assays, flow-based assays (e.g. mass cytometry) and Multiplex Imaging applications.

Use our conjugation kits for antibody conjugates that are ready-to-use in as little as 20 minutes with 1 minute hands-on-time and 100% antibody recovery: available for fluorescent dyes, HRP, biotin and gold.

Compatibility
This product is compatible with the Maxpar® Antibody Labeling Kit from Fluidigm, without the need for antibody preparation. Maxpar® is a trademark of Fluidigm Canada Inc.

Properties and storage information

Form
Liquid
Purification technique
Affinity purification Protein A
Storage buffer
pH: 7.2 - 7.4 Constituents: PBS
Shipped at conditions
Blue Ice
Appropriate short-term storage conditions
+4°C
Appropriate long-term storage conditions
+4°C
Storage information
Do Not Freeze

Supplementary information

This supplementary information is collated from multiple sources and compiled automatically.

RUNX1 also known as AML1 along with RUNX2 and RUNX3 form a family of transcription factors that play a critical role in gene regulation. These proteins recognize specific DNA sequences through their Runt domain facilitating DNA binding and transcriptional activation or repression. RUNX1 is extensively studied having a mass of approximately 48 kDa. They are expressed in various tissues including hematopoietic cells osteoblasts and the central nervous system. RUNX proteins regulate genes involved in cell differentiation and proliferation.
Biological function summary

RUNX1 RUNX2 and RUNX3 control processes in development and differentiation. They often function as part of a transcriptional complex with CBFβ enhancing DNA binding and transcriptional activity. RUNX1 is vital in hematopoiesis guiding the formation of blood cells. RUNX2 predominantly influences bone development by regulating osteoblast differentiation while RUNX3 impacts neural development and T-cell maturation. These proteins collectively integrate signals to ensure proper cell lineage decisions.

Pathways

RUNX proteins participate in essential cellular pathways like the Wnt and TGF-β signaling pathways. The Wnt pathway involves interaction with β-catenin affecting cell fate and development processes. RUNX2 plays a significant role here by contributing to bone formation. The TGF-β pathway influences cell growth and differentiation by interacting with SMAD proteins primarily through RUNX3 which modulates immune responses and tumorigenesis. These pathways highlight RUNX proteins' critical integration in signaling networks.

RUNX1 mutations associate with various hematological malignancies notably acute myeloid leukemia (AML). RUNX1 mutations disrupt normal hematopoiesis leading to uncontrolled cell proliferation. RUNX2's dysregulation relates to cleidocranial dysplasia a skeletal disorder characterized by delayed bone development. Both RUNX1 and RUNX2 link to similar signaling pathways such as the Wnt pathway implicating them in these diseases' pathogenesis. Understanding RUNX proteins' role can lead to better diagnostic and therapeutic approaches for these conditions.

Product protocols

For this product, it's our understanding that no specific protocols are required. You can visit:

Target data

Forms the heterodimeric complex core-binding factor (CBF) with CBFB. RUNX members modulate the transcription of their target genes through recognizing the core consensus binding sequence 5'-TGTGGT-3', or very rarely, 5'-TGCGGT-3', within their regulatory regions via their runt domain, while CBFB is a non-DNA-binding regulatory subunit that allosterically enhances the sequence-specific DNA-binding capacity of RUNX. The heterodimers bind to the core site of a number of enhancers and promoters, including murine leukemia virus, polyomavirus enhancer, T-cell receptor enhancers, LCK, IL3 and GM-CSF promoters (Probable). Essential for the development of normal hematopoiesis (PubMed : 17431401). Acts synergistically with ELF4 to transactivate the IL-3 promoter and with ELF2 to transactivate the BLK promoter (PubMed : 10207087, PubMed : 14970218). Inhibits KAT6B-dependent transcriptional activation (By similarity). Involved in lineage commitment of immature T cell precursors. CBF complexes repress ZBTB7B transcription factor during cytotoxic (CD8+) T cell development. They bind to RUNX-binding sequence within the ZBTB7B locus acting as transcriptional silencer and allowing for cytotoxic T cell differentiation. CBF complexes binding to the transcriptional silencer is essential for recruitment of nuclear protein complexes that catalyze epigenetic modifications to establish epigenetic ZBTB7B silencing (By similarity). Controls the anergy and suppressive function of regulatory T-cells (Treg) by associating with FOXP3. Activates the expression of IL2 and IFNG and down-regulates the expression of TNFRSF18, IL2RA and CTLA4, in conventional T-cells (PubMed : 17377532). Positively regulates the expression of RORC in T-helper 17 cells (By similarity).. Isoform AML-1G shows higher binding activities for target genes and binds TCR-beta-E2 and RAG-1 target site with threefold higher affinity than other isoforms. It is less effective in the context of neutrophil terminal differentiation.. Isoform AML-1L interferes with the transactivation activity of RUNX1.
See full target information RUNX1

Additional targets

RUNX3,RUNX2

Publications (11)

Recent publications for all applications. Explore the full list and refine your search

Cell reports. Medicine 5:101572 PubMed38754420

2024

CD37 is a safe chimeric antigen receptor target to treat acute myeloid leukemia.

Applications

Unspecified application

Species

Unspecified reactive species

Benjamin Caulier,Sandy Joaquina,Pascal Gelebart,Tara Helén Dowling,Fatemeh Kaveh,Moritz Thomas,Luka Tandaric,Patrik Wernhoff,Niveditha Umesh Katyayini,Cara Wogsland,May Eriksen Gjerstad,Yngvar Fløisand,Gunnar Kvalheim,Carsten Marr,Sebastian Kobold,Jorrit M Enserink,Bjørn Tore Gjertsen,Emmet McCormack,Else Marit Inderberg,Sébastien Wälchli

BMC oral health 24:407 PubMed38556862

2024

KAT2A-mediated succinylation modification of notch1 promotes the proliferation and differentiation of dental pulp stem cells by activating notch pathway.

Applications

Unspecified application

Species

Unspecified reactive species

Longwei Ye,Zeqin Yu,Lin He,Jie Yuan,Xiaodan Zhang,Lei Li,Xin Huang,Yanyan Ma,Lei Zhang

Reproductive sciences (Thousand Oaks, Calif.) 23:1179-92 PubMed26944948

2016

Preeclampsia and Inflammatory Preterm Labor Alter the Human Placental Hematopoietic Niche.

Applications

Unspecified application

Species

Unspecified reactive species

Kathryn L Ponder,Alicia Bárcena,Frank L Bos,Matthew Gormley,Yan Zhou,Katherine Ona,Mirhan Kapidzic,Ann C Zovein,Susan J Fisher

Biochimica et biophysica acta 1839:1233-41 PubMed25239823

2014

A regulatory element affects the activity and chromatin structure of the chicken α-globin 3' enhancer.

Applications

Unspecified application

Species

Unspecified reactive species

Estela García-González,Félix Recillas-Targa

Blood 124:2523-32 PubMed25139355

2014

Clonal analysis identifies hemogenic endothelium as the source of the blood-endothelial common lineage in the mouse embryo.

Applications

Unspecified application

Species

Unspecified reactive species

Laura Padrón-Barthe,Susana Temiño,Cristina Villa del Campo,Laura Carramolino,Joan Isern,Miguel Torres

Nature immunology 15:947-56 PubMed25129370

2014

A ThPOK-LRF transcriptional node maintains the integrity and effector potential of post-thymic CD4+ T cells.

Applications

Unspecified application

Species

Unspecified reactive species

Melanie S Vacchio,Lie Wang,Nicolas Bouladoux,Andrea C Carpenter,Yumei Xiong,Linus C Williams,Elizabeth Wohlfert,Ki-Duk Song,Yasmine Belkaid,Paul E Love,Rémy Bosselut

The Journal of experimental medicine 211:701-13 PubMed24687960

2014

Interleukin-7 receptor mutants initiate early T cell precursor leukemia in murine thymocyte progenitors with multipotent potential.

Applications

Unspecified application

Species

Unspecified reactive species

Louise M Treanor,Sheng Zhou,Laura Janke,Michelle L Churchman,Zhijun Ma,Taihe Lu,Shann-Ching Chen,Charles G Mullighan,Brian P Sorrentino

Development (Cambridge, England) 140:3765-76 PubMed23924635

2013

Distinct temporal requirements for Runx1 in hematopoietic progenitors and stem cells.

Applications

Unspecified application

Species

Mouse

Joanna Tober,Amanda D Yzaguirre,Eileen Piwarzyk,Nancy A Speck

Developmental dynamics : an official publication o 242:254-68 PubMed23335233

2013

PDGF receptor alpha+ mesoderm contributes to endothelial and hematopoietic cells in mice.

Applications

ICC/IF

Species

Mouse

Guo Ding,Yosuke Tanaka,Misato Hayashi,Shin-Ichi Nishikawa,Hiroshi Kataoka

Molecular & cellular proteomics : MCP 10:O111.011064 PubMed21788404

2011

Online nanoflow multidimensional fractionation for high efficiency phosphopeptide analysis.

Applications

WB

Species

Mouse

Scott B Ficarro,Yi Zhang,Marlene J Carrasco-Alfonso,Brijesh Garg,Guillaume Adelmant,James T Webber,C John Luckey,Jarrod A Marto
View all publications
chicCutRunSequencingBooklet
en

Product promise

We are committed to supporting your work with high-quality reagents, and we're here for you every step of the way. In the unlikely event that one of our products does not perform as expected, you're protected by our Product Promise.
For full details, please see our Terms & Conditions

Please note: All products are 'FOR RESEARCH USE ONLY. NOT FOR USE IN DIAGNOSTIC OR THERAPEUTIC PROCEDURES'.

For licensing inquiries, please contact partnerships@abcam.com