JavaScript is disabled in your browser. Please enable JavaScript to view this website.
AB240329

Anti-RUNX2 antibody [EPR14334] - BSA and Azide free

Be the first to review this product! Submit a review

|

(1 Publication)

Rabbit Recombinant Monoclonal RUNX2 antibody. Carrier free. Suitable for ChIC/CUT&RUN-seq, ICC/IF, Flow Cyt (Intra), IHC-P, WB and reacts with Human, Mouse, Rat samples. Cited in 1 publication.

View Alternative Names

AML3, CBFA1, OSF2, PEBP2A, RUNX2, Runt-related transcription factor 2, Acute myeloid leukemia 3 protein, Core-binding factor subunit alpha-1, Oncogene AML-3, Osteoblast-specific transcription factor 2, Polyomavirus enhancer-binding protein 2 alpha A subunit, SL3-3 enhancer factor 1 alpha A subunit, SL3/AKV core-binding factor alpha A subunit, CBF-alpha-1, OSF-2, PEA2-alpha A, PEBP2-alpha A

10 Images
Immunohistochemistry (Formalin/PFA-fixed paraffin-embedded sections) - Anti-RUNX2 antibody [EPR14334] - BSA and Azide free (AB240329)
  • IHC-P

Supplier Data

Immunohistochemistry (Formalin/PFA-fixed paraffin-embedded sections) - Anti-RUNX2 antibody [EPR14334] - BSA and Azide free (AB240329)

Immunohistochemical analysis of paraffin-embedded Human osteosarcoma tissue labeling RUNX2 with ab192256 at 1/1000 dilution. A ready to use HRP Polymer for Rabbit IgG was used as the secondary. Hematoxylin counterstain.

This data was developed using the same antibody clone in a different buffer formulation containing PBS, BSA, glycerol, and sodium azide (ab192256).

Perform heat mediated antigen retrieval with Tris/EDTA buffer pH 9.0 before commencing with IHC staining protocol.

Immunocytochemistry/ Immunofluorescence - Anti-RUNX2 antibody [EPR14334] - BSA and Azide free (AB240329)
  • ICC/IF

Supplier Data

Immunocytochemistry/ Immunofluorescence - Anti-RUNX2 antibody [EPR14334] - BSA and Azide free (AB240329)

Immunofluorescent analysis of 4% formaldehyde fixed PC3 cells labeling RUNX2 using ab192256 at a 1/500 dilution. A Goat anti rabbit IgG (Alexa Fluor®488) ab150077 was used as the secondary at a 1/200 dilution. Counterstain DAPI. Permeabilized using 0.1% Triton X-100. The two negative controls : 1. Primary ab concentration (anti-RUNX2) is 1 : 500 dilution, Secondary ab (Goat anti mouse IgG (Alexa Fluor®594)) is 1 : 500 dilution; 2. Primary ab concentration (anti-RUNX2) is 1 : 500 dilution, Secondary ab (Goat anti mouse IgG (Alexa Fluor®594)) is 1 : 500 dilution.

This data was developed using the same antibody clone in a different buffer formulation containing PBS, BSA, glycerol, and sodium azide (ab192256).

Immunohistochemistry (Formalin/PFA-fixed paraffin-embedded sections) - Anti-RUNX2 antibody [EPR14334] - BSA and Azide free (AB240329)
  • IHC-P

Supplier Data

Immunohistochemistry (Formalin/PFA-fixed paraffin-embedded sections) - Anti-RUNX2 antibody [EPR14334] - BSA and Azide free (AB240329)

Immunohistochemical analysis of paraffin-embedded Human tonsil tissue labeling RUNX2 with ab192256 at 1/1000 dilution. A ready to use HRP Polymer for Rabbit IgG was used as the secondary. Hematoxylin counterstain.

This data was developed using the same antibody clone in a different buffer formulation containing PBS, BSA, glycerol, and sodium azide (ab192256).

Perform heat mediated antigen retrieval with Tris/EDTA buffer pH 9.0 before commencing with IHC staining protocol.

Flow Cytometry (Intracellular) - Anti-RUNX2 antibody [EPR14334] - BSA and Azide free (AB240329)
  • Flow Cyt (Intra)

Unknown

Flow Cytometry (Intracellular) - Anti-RUNX2 antibody [EPR14334] - BSA and Azide free (AB240329)

ab192256 staining RUNX2 in PC-3 (human prostate adenocarcinoma) by intracellular flow cytometry. Cells were fixed with 4% paraformaldehyde, permabilised with 90% methanol and the sample was incubated with the primary antibody at a dilution of 1/50. A goat anti rabbit IgG (Alexa Fluor® 488) at a dilution of 1/2000 was used as the secondary antibody.

Isoytype control : Rabbit monoclonal IgG (Black)

Unlabelled control : Cell without incubation with primary antibody and secondary antibody (Blue)

This data was developed using the same antibody clone in a different buffer formulation containing PBS, BSA, glycerol, and sodium azide (ab192256).

Immunocytochemistry/ Immunofluorescence - Anti-RUNX2 antibody [EPR14334] - BSA and Azide free (AB240329)
  • ICC/IF

Unknown

Immunocytochemistry/ Immunofluorescence - Anti-RUNX2 antibody [EPR14334] - BSA and Azide free (AB240329)

Immunocytochemistry/Immunofluorescence analysis of Saos-2 (Human osteosarcoma cell line) labeling RUNX2 with purified ab192256 at 1/1000 dilution. Cells were fixed with 4% PFA and permeabilized with 0.1% tritonX-100. ab150077 Goat anti rabbit IgG (Alexa Fluor®488) at 1/1000 was used as the secondary antibody. Nuclei were counterstained with DAPI. PBS was used instead of the primary antibody as the negative control.

This data was developed using the same antibody clone in a different buffer formulation containing PBS, BSA, glycerol, and sodium azide (ab192256).

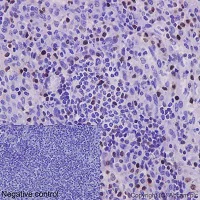
Immunohistochemistry (Formalin/PFA-fixed paraffin-embedded sections) - Anti-RUNX2 antibody [EPR14334] - BSA and Azide free (AB240329)
  • IHC-P

Supplier Data

Immunohistochemistry (Formalin/PFA-fixed paraffin-embedded sections) - Anti-RUNX2 antibody [EPR14334] - BSA and Azide free (AB240329)

Immunohistochemical analysis of paraffin-embedded Mouse spleen tissue labeling RUNX2 with ab192256 at 1/1000 dilution. A ready to use HRP Polymer for Rabbit IgG was used as the secondary. Hematoxylin counterstain.

This data was developed using the same antibody clone in a different buffer formulation containing PBS, BSA, glycerol, and sodium azide (ab192256).

Perform heat mediated antigen retrieval with Tris/EDTA buffer pH 9.0 before commencing with IHC staining protocol.

Western blot - Anti-RUNX2 antibody [EPR14334] - BSA and Azide free (AB240329)
  • WB

Lab

Western blot - Anti-RUNX2 antibody [EPR14334] - BSA and Azide free (AB240329)

This data was developed using the same antibody clone in a different buffer formulation containing PBS, BSA, glycerol, and sodium azide (ab192256).

Blocking and diluting buffer and concentration : 5% NFDM/TBST

ab181602 was used as a GAPDH loading control

Below the target band, there are multi bands may be caused by protein degradation. We suggest customer to use freshly lysate to minimize protein degradation in western blot.
Low express : MCF-7 (PMID : 32509221, 16166639, 20591170)

All lanes:

Western blot - Anti-RUNX2 antibody [EPR14334] (<a href='/en-us/products/primary-antibodies/runx2-antibody-epr14334-ab192256'>ab192256</a>) at 1/1000 dilution

Lane 1:

PC-3 (human prostate adenocarcinoma epithelial cell), whole cell lysate at 20 µg

Lane 2:

MDA-MB-231 (human breast adenocarcinoma epithelial cell), whole cell lysate at 20 µg

Lane 3:

MCF7 (human breast adenocarcinoma epithelial cell), whole cell lysate at 20 µg

Lane 4:

MEF (mouse embryonic fibroblast (immortalized)), whole cell lysate at 20 µg

Lane 5:

NIH/3T3 (Mouse embryonic fibroblast) whole cell lysate at 20 µg

Lane 6:

C2C12 (Mouse myoblasts myoblast) whole cell lysate at 20 µg

Lane 7:

C6 (rat glial tumor glial cell), whole cell lysate at 20 µg

Secondary

All lanes:

Western blot - Goat Anti-Rabbit IgG H&L (HRP) (<a href='/en-us/products/secondary-antibodies/goat-rabbit-igg-h-l-hrp-ab97051'>ab97051</a>) at 1/20000 dilution

Observed band size: 60 kDa

false

Exposure time: 10s

ChIC/CUT&RUN sequencing - Anti-RUNX2 antibody [EPR14334] - BSA and Azide free (AB240329)
  • ChIC/CUT&RUN-seq

Lab

ChIC/CUT&RUN sequencing - Anti-RUNX2 antibody [EPR14334] - BSA and Azide free (AB240329)

This data was developed using the same antibody clone in a different buffer formulation containing PBS, BSA, glycerol, and sodium azide (ab192256). ChIC/CUT&RUN was performed using a pAG-MNAse at a final concentration of 700 ng/mL, 2.5 x 105 Saos-2 cells and 5 µg of ab192256 [EPR14334]. The resulting DNA was sequenced on the Illumina NovaSeq 6000 to a depth of 10 million reads. The negative IgG control ab172730 is also shown. The University of Geneva owns patents relevant to ChIC (Chromatin Immuno-Cleavage) methods.

ChIC/CUT&RUN sequencing - Anti-RUNX2 antibody [EPR14334] - BSA and Azide free (AB240329)
  • ChIC/CUT&RUN-seq

Lab

ChIC/CUT&RUN sequencing - Anti-RUNX2 antibody [EPR14334] - BSA and Azide free (AB240329)

This data was developed using the same antibody clone in a different buffer formulation containing PBS, BSA, glycerol, and sodium azide (ab192256). ChIC/CUT&RUN was performed using a pAG-MNAse at a final concentration of 700 ng/mL, 2.5 x 105 Saos-2 cells and 5 µg of ab192256 [EPR14334]. The resulting DNA was sequenced on the Illumina NovaSeq 6000 to a depth of 10 million reads. The negative IgG control ab172730 is also shown. The University of Geneva owns patents relevant to ChIC (Chromatin Immuno-Cleavage) methods.

ChIC/CUT&RUN sequencing - Anti-RUNX2 antibody [EPR14334] - BSA and Azide free (AB240329)
  • ChIC/CUT&RUN-seq

Lab

ChIC/CUT&RUN sequencing - Anti-RUNX2 antibody [EPR14334] - BSA and Azide free (AB240329)

This data was developed using the same antibody clone in a different buffer formulation containing PBS, BSA, glycerol, and sodium azide (ab192256). ChIC/CUT&RUN was performed using a pAG-MNAse at a final concentration of 700 ng/mL, 2.5 x 105 Saos-2 cells and 5 µg of ab192256 [EPR14334]. The resulting DNA was sequenced on the Illumina NovaSeq 6000 to a depth of 10 million reads. The negative IgG control ab172730 is also shown. The University of Geneva owns patents relevant to ChIC (Chromatin Immuno-Cleavage) methods.

Key facts

Host species

Rabbit

Clonality

Monoclonal

Clone number

EPR14334

Isotype

IgG

Carrier free

Yes

Reacts with

Mouse, Rat, Human

Applications

IHC-P, ICC/IF, Flow Cyt (Intra), ChIC/CUT&RUN-seq, WB

applications

Immunogen

The exact immunogen used to generate this antibody is proprietary information.

Specificity

Below the target band, there are multi bands may be caused by protein degradation. We suggest customer to use freshly lysate to minimize protein degradation in western blot.

Reactivity data

{ "title": "Reactivity Data", "filters": { "stats": ["", "Species", "Dilution Info", "Notes"], "tabs": { "all-applications": {"fullname" : "All Applications", "shortname": "All Applications"}, "ChICCUTRUNseq" : {"fullname" : "ChIC/CUT&RUN sequencing", "shortname":"ChIC/CUT&RUN-seq"}, "ICCIF" : {"fullname" : "Immunocytochemistry/ Immunofluorescence", "shortname":"ICC/IF"}, "FlowCytIntra" : {"fullname" : "Flow Cytometry (Intracellular)", "shortname":"Flow Cyt (Intra)"}, "IHCP" : {"fullname" : "Immunohistochemistry (Formalin/PFA-fixed paraffin-embedded sections)", "shortname":"IHC-P"}, "WB" : {"fullname" : "Western blot", "shortname":"WB"} }, "product-promise": { "all": "all", "testedAndGuaranteed": "tested", "guaranteed": "expected", "predicted": "predicted", "notRecommended": "not-recommended" } }, "values": { "Human": { "ChICCUTRUNseq-species-checked": "testedAndGuaranteed", "ChICCUTRUNseq-species-dilution-info": "", "ChICCUTRUNseq-species-notes": "<p></p>", "ICCIF-species-checked": "testedAndGuaranteed", "ICCIF-species-dilution-info": "", "ICCIF-species-notes": "<p></p>", "FlowCytIntra-species-checked": "testedAndGuaranteed", "FlowCytIntra-species-dilution-info": "", "FlowCytIntra-species-notes": "<p></p>", "IHCP-species-checked": "testedAndGuaranteed", "IHCP-species-dilution-info": "", "IHCP-species-notes": "<p></p>", "WB-species-checked": "testedAndGuaranteed", "WB-species-dilution-info": "", "WB-species-notes": "<p></p>" }, "Mouse": { "ChICCUTRUNseq-species-checked": "guaranteed", "ChICCUTRUNseq-species-dilution-info": "", "ChICCUTRUNseq-species-notes": "", "ICCIF-species-checked": "guaranteed", "ICCIF-species-dilution-info": "", "ICCIF-species-notes": "", "FlowCytIntra-species-checked": "guaranteed", "FlowCytIntra-species-dilution-info": "", "FlowCytIntra-species-notes": "", "IHCP-species-checked": "testedAndGuaranteed", "IHCP-species-dilution-info": "", "IHCP-species-notes": "<p></p>", "WB-species-checked": "testedAndGuaranteed", "WB-species-dilution-info": "", "WB-species-notes": "<p></p>" }, "Rat": { "ChICCUTRUNseq-species-checked": "guaranteed", "ChICCUTRUNseq-species-dilution-info": "", "ChICCUTRUNseq-species-notes": "", "ICCIF-species-checked": "guaranteed", "ICCIF-species-dilution-info": "", "ICCIF-species-notes": "", "FlowCytIntra-species-checked": "guaranteed", "FlowCytIntra-species-dilution-info": "", "FlowCytIntra-species-notes": "", "IHCP-species-checked": "guaranteed", "IHCP-species-dilution-info": "", "IHCP-species-notes": "", "WB-species-checked": "testedAndGuaranteed", "WB-species-dilution-info": "", "WB-species-notes": "<p></p>" } } }

Product details

ab240329 is the carrier-free version of ab192256.

Patented technology
Our RabMAb® technology is a patented hybridoma-based technology for making rabbit monoclonal antibodies. For details on our patents, please refer to RabMAb® patents.

What are the advantages of a recombinant monoclonal antibody?
This product is a recombinant monoclonal antibody, which offers several advantages including:

  • - High batch-to-batch consistency and reproducibility
  • - Improved sensitivity and specificity
  • - Long-term security of supply
  • - Animal-free batch production

For more information, read more on recombinant antibodies.

Conjugation ready
Our carrier-free antibodies are typically supplied in a PBS-only formulation, purified and free of BSA, sodium azide and glycerol. This conjugation-ready format is designed for use with fluorochromes, metal isotopes, oligonucleotides, and enzymes, which makes them ideal for antibody labelling, functional and cell-based assays, flow-based assays (e.g. mass cytometry) and Multiplex Imaging applications.

Use our conjugation kits for antibody conjugates that are ready-to-use in as little as 20 minutes with 1 minute hands-on-time and 100% antibody recovery: available for fluorescent dyes, HRP, biotin and gold.

Compatibility
This product is compatible with the Maxpar® Antibody Labeling Kit from Fluidigm, without the need for antibody preparation. Maxpar® is a trademark of Fluidigm Canada Inc.

Properties and storage information

Form
Liquid
Purification technique
Affinity purification Protein A
Storage buffer
pH: 7.2 - 7.4 Constituents: PBS
Shipped at conditions
Blue Ice
Appropriate short-term storage conditions
+4°C
Appropriate long-term storage conditions
+4°C
Storage information
Do Not Freeze

Supplementary information

This supplementary information is collated from multiple sources and compiled automatically.

RUNX2 also known as core-binding factor subunit alpha-1 (CBFA1) is a transcription factor with a molecular weight of approximately 56 kDa. It plays a pivotal role in regulating osteoblast differentiation and skeletal morphogenesis. This protein resides mainly in the nucleus and shows a high expression in bone tissue. RUNX2 binds to DNA sequences to control transcription of genes essential for bone development and maturation. The protein also possesses a Runt-homology domain enabling it to attach to specific DNA sequences.
Biological function summary

This protein orchestrates bone formation by influencing the expression of genes involved in osteoblast differentiation. RUNX2 operates as part of the larger transcriptional complex that includes other proteins that modulate its activity. It maintains bone homeostasis by regulating the expression of osteogenic markers including bone sialoprotein and osteocalcin. The ability of RUNX2 to drive osteoblast lineage commitment highlights its importance in skeletal health and development.

Pathways

RUNX2 shows significant involvement in both the Wnt signaling and TGF-beta signaling pathways. Within the Wnt signaling pathway RUNX2 interacts with beta-catenin to facilitate osteoblastogenesis and support bone matrix deposition. In the TGF-beta signaling pathway RUNX2 modulates Smad-dependent transcriptional activity important for extracellular matrix production and bone remodeling. These interactions illustrate RUNX2's central role in mediating bone development and maintenance.

RUNX2 mutations and dysregulation link to cleidocranial dysplasia a condition characterized by delayed closure of sutures in the skull and other skeletal anomalies. Additionally RUNX2 is related to osteosarcoma a type of bone cancer where its abnormal expression often contributes to tumor progression. In these contexts RUNX2 interacts with proteins like p53 an important regulator of cell cycle highlighting its influence on tumor suppressor networks and osteogenic pathways.

Product protocols

For this product, it's our understanding that no specific protocols are required. You can visit:

Target data

Transcription factor involved in osteoblastic differentiation and skeletal morphogenesis (PubMed : 28505335, PubMed : 28703881, PubMed : 28738062). Essential for the maturation of osteoblasts and both intramembranous and endochondral ossification. CBF binds to the core site, 5'-PYGPYGGT-3', of a number of enhancers and promoters, including murine leukemia virus, polyomavirus enhancer, T-cell receptor enhancers, osteocalcin, osteopontin, bone sialoprotein, alpha 1(I) collagen, LCK, IL-3 and GM-CSF promoters. In osteoblasts, supports transcription activation : synergizes with SPEN/MINT to enhance FGFR2-mediated activation of the osteocalcin FGF-responsive element (OCFRE) (By similarity). Inhibits KAT6B-dependent transcriptional activation.
See full target information RUNX2

Publications (1)

Recent publications for all applications. Explore the full list and refine your search

iScience 26:105723 PubMed36590169

2023

Assessment of stromal SCD-induced drug resistance of PDAC using 3D-printed zPDX model chips.

Applications

Unspecified application

Species

Unspecified reactive species

Chuntao Wu,Beiyuan Hu,Lei Wang,Xia Wu,Haitao Gu,Hanguang Dong,Jiuliang Yan,Zihao Qi,Qi Zhang,Huan Chen,Bo Yu,Sheng Hu,Yu Qian,Shuang Dong,Qiang Li,Xu Wang,Jiang Long
View all publications

Product promise

We are committed to supporting your work with high-quality reagents, and we're here for you every step of the way. In the unlikely event that one of our products does not perform as expected, you're protected by our Product Promise.
For full details, please see our Terms & Conditions

Please note: All products are 'FOR RESEARCH USE ONLY. NOT FOR USE IN DIAGNOSTIC OR THERAPEUTIC PROCEDURES'.

For licensing inquiries, please contact partnerships@abcam.com