JavaScript is disabled in your browser. Please enable JavaScript to view this website.
AB264077

Anti-RUNX2 antibody [EPR22858-106] - BSA and Azide free

  • BOND RX™ Validated
  • RabMAb
  • Advanced Validation
  • Recombinant
  • What is this?

Be the first to review this product! Submit a review

|

(10 Publications)

Rabbit Recombinant Monoclonal RUNX2 antibody. Carrier free. Suitable for ChIC/CUT&RUN-seq, IP, ChIP, WB, IHC-P and reacts with Human, Mouse, Rat samples. Cited in 10 publications.

View Alternative Names

AML3, CBFA1, OSF2, PEBP2A, RUNX2, Runt-related transcription factor 2, Acute myeloid leukemia 3 protein, Core-binding factor subunit alpha-1, Oncogene AML-3, Osteoblast-specific transcription factor 2, Polyomavirus enhancer-binding protein 2 alpha A subunit, SL3-3 enhancer factor 1 alpha A subunit, SL3/AKV core-binding factor alpha A subunit, CBF-alpha-1, OSF-2, PEA2-alpha A, PEBP2-alpha A

6 Images
Immunohistochemistry (Formalin/PFA-fixed paraffin-embedded sections) - Anti-RUNX2 antibody [EPR22858-106] - BSA and Azide free (AB264077)
  • IHC-P

Unknown

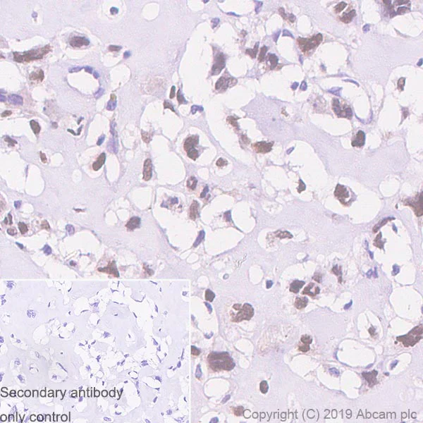
Immunohistochemistry (Formalin/PFA-fixed paraffin-embedded sections) - Anti-RUNX2 antibody [EPR22858-106] - BSA and Azide free (AB264077)

Immunohistochemical analysis of paraffin-embedded human osteosarcoma tissue labeling RUNX2 with ab236639 at 1/2000 dilution followed by a ready to use Rabbit specific IHC polymer detection kit HRP/DAB (ab209101). Nuclear staining on human osteosarcoma (PMID : 21731849) is observed. The section was incubated with ab236639 for 15 mins at room temperature. The immunostaining staining was performed on a Leica Biosystems BOND® RX instrument. Counterstained with hematoxylin.

Secondary antibody only control : Secondary antibody is a ready to use Rabbit specific IHC polymer detection kit HRP/DAB (ab209101).

Heat mediated antigen retrieval with Tris-EDTA buffer (pH 9.0, epitope retrieval solution 2) for 20 mins.

This data was developed using the same antibody clone in a different buffer formulation containing PBS, BSA, glycerol, and sodium azide (ab236639).

Immunoprecipitation - Anti-RUNX2 antibody [EPR22858-106] - BSA and Azide free (AB264077)
  • IP

Unknown

Immunoprecipitation - Anti-RUNX2 antibody [EPR22858-106] - BSA and Azide free (AB264077)

RUNX2 was immunoprecipitated from 0.35 mg PC-3 (human prostate adenocarcinoma epithelial cell) whole cell lysate 10ug with ab236639 at 1/30 dilution (2ug in 0.35mg lysates). Western blot was performed on the immunoprecipitate using ab236639 at 1/1000 dilution. VeriBlot for IP Detection Reagent (HRP) (ab131366) was used at 1/5000 dilution.

Lane 1 : PC-3 (human prostate adenocarcinoma epithelial cell) whole cell lysate 10ug

Lane 2 : ab236639 IP in PC-3 whole cell lysate

Lane 3 : Rabbit monoclonal IgG (ab172730) instead of ab236639 in PC-3 whole cell lysate

Blocking and dilution buffer and concentration : 5% NFDM/TBST.

Exposure time : 30 seconds

This data was developed using the same antibody clone in a different buffer formulation containing PBS, BSA, glycerol, and sodium azide (ab236639).

All lanes:

Immunoprecipitation - Anti-RUNX2 antibody [EPR22858-106] - ChIP Grade (<a href='/en-us/products/primary-antibodies/runx2-antibody-epr22858-106-chip-grade-ab236639'>ab236639</a>)

Predicted band size: 57 kDa

false

Immunoprecipitation - Anti-RUNX2 antibody [EPR22858-106] - BSA and Azide free (AB264077)
  • IP

Unknown

Immunoprecipitation - Anti-RUNX2 antibody [EPR22858-106] - BSA and Azide free (AB264077)

RUNX2 was immunoprecipitated from 0.35 mg Saos-2 (human osteosarcoma epithelial) whole cell lysate with ab236639 at 1/30 dilution (2ug in 0.35mg lysates). Western blot was performed on the immunoprecipitate using ab236639 at 1/1000 dilution. VeriBlot for IP Detection Reagent (HRP) (ab131366) was used at 1/5000 dilution.

Lane 1 : Saos-2 (human osteosarcoma epithelial) whole cell lysate 10ug

Lane 2 : ab236639 IP in Saos-2 whole cell lysate

Lane 3 : Rabbit monoclonal IgG (ab172730) instead of ab236639 in Saos-2 whole cell lysate

Blocking and dilution buffer and concentration : 5% NFDM/TBST.

Exposure time : 30 seconds

This data was developed using the same antibody clone in a different buffer formulation containing PBS, BSA, glycerol, and sodium azide (ab236639).

All lanes:

Immunoprecipitation - Anti-RUNX2 antibody [EPR22858-106] - ChIP Grade (<a href='/en-us/products/primary-antibodies/runx2-antibody-epr22858-106-chip-grade-ab236639'>ab236639</a>)

Predicted band size: 57 kDa

false

ChIP - Anti-RUNX2 antibody [EPR22858-106] - BSA and Azide free (AB264077)
  • ChIP

Unknown

ChIP - Anti-RUNX2 antibody [EPR22858-106] - BSA and Azide free (AB264077)

Chromatin was prepared from Saos-2 cells according to the Abcam Dual-X-ChIP protocol*. Cells were fixed with 1.5 mM EGS for 30mins and then formaldehyde for 10min.

The ChIP was performed with 25 μg of chromatin, 5 μg of ab236639 (red), or 5 μg of rabbit normal IgG ab172730 (gray) and 20 μl of Protein A/G sepharose beads. The immunoprecipitated DNA was quantified by real time PCR (Taqman approach for active and inactive loci, Sybr green approach for heterochromatic loci).

This data was developed using the same antibody clone in a different buffer formulation containing PBS, BSA, glycerol, and sodium azide (ab236639).

Immunohistochemistry (Formalin/PFA-fixed paraffin-embedded sections) - Anti-RUNX2 antibody [EPR22858-106] - BSA and Azide free (AB264077)
  • IHC-P

Unknown

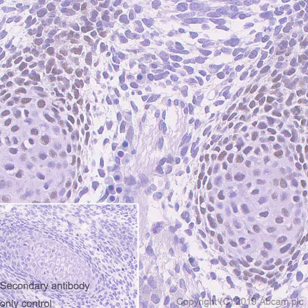
Immunohistochemistry (Formalin/PFA-fixed paraffin-embedded sections) - Anti-RUNX2 antibody [EPR22858-106] - BSA and Azide free (AB264077)

Immunohistochemical analysis of paraffin-embedded rat embryo 14.5 day tissue labeling RUNX2 with ab236639 at 1/2000 dilution followed by a ready to use Rabbit specific IHC polymer detection kit HRP/DAB (ab209101). Nuclear staining on the cartilage cells in the rat embryo 14.5 day tissue is observed. The section was incubated with ab236639 for 15 mins at room temperature. The immunostaining staining was performed on a Leica Biosystems BOND® RX instrument. Counterstained with hematoxylin.

Secondary antibody only control : Secondary antibody is a ready to use Rabbit specific IHC polymer detection kit HRP/DAB (ab209101).

Heat mediated antigen retrieval with Tris-EDTA buffer (pH 9.0, epitope retrieval solution 2) for 20 mins.

This data was developed using the same antibody clone in a different buffer formulation containing PBS, BSA, glycerol, and sodium azide (ab236639).

ChIC/CUT&RUN sequencing - Anti-RUNX2 antibody [EPR22858-106] - BSA and Azide free (AB264077)
  • ChIC/CUT&RUN-seq

Lab

ChIC/CUT&RUN sequencing - Anti-RUNX2 antibody [EPR22858-106] - BSA and Azide free (AB264077)

This data was developed using the same antibody clone in a different buffer formulation containing PBS, BSA, glycerol, and sodium azide (ab236639). ChIC/CUT&RUN was performed using a pAG-MNAse at a final concentration of 700 ng/mL, 2.5X10^5 of positive cell line Saos-2 or low expression cell line HeLa were used along with 5µg of ab236639 [EPR22858-106]. The resulting DNA was sequenced on the Illumina NovaSeq 6000 to a depth of 10 million reads. The negative IgG control ab172730 is also shown. Additional screenshots of mapped reads can be found in the Protocol booklet in the Product Protocol section. The University of Geneva owns patents relevant to ChIC (Chromatin Immuno-Cleavage) methods.

  • Unconjugated

    Anti-RUNX2 antibody [EPR22858-106] - ChIP Grade

  • 660 APC

    APC Anti-RUNX2 antibody [EPR22858-106] – ChIP Grade

  • 617 Alexa Fluor® 594

    Alexa Fluor® 594 Anti-RUNX2 antibody [EPR22858-106] – ChIP Grade

  • 519 Alexa Fluor® 488

    Alexa Fluor® 488 Anti-RUNX2 antibody [EPR22858-106] – ChIP Grade

  • 665 Alexa Fluor® 647

    Alexa Fluor® 647 Anti-RUNX2 antibody [EPR22858-106] – ChIP Grade

  • 565 Alexa Fluor® 555

    Alexa Fluor® 555 Anti-RUNX2 antibody [EPR22858-106] – ChIP Grade

  • 578 PE

    PE Anti-RUNX2 antibody [EPR22858-106] – ChIP Grade

  • 775 Alexa Fluor® 750

    Alexa Fluor® 750 Anti-RUNX2 antibody [EPR22858-106] - ChIP Grade

  • Carrier free

    Anti-RUNX2 antibody [EPR22858-106] - BSA and Azide free (Capture)

Key facts

Host species

Rabbit

Clonality

Monoclonal

Clone number

EPR22858-106

Isotype

IgG

Carrier free

Yes

Reacts with

Mouse, Rat, Human

Applications

ChIP, WB, ChIC/CUT&RUN-seq, IHC-P, IP

applications

Immunogen

The exact immunogen used to generate this antibody is proprietary information.

Specificity

ab264077 is not recommended for mouse IHC.

Reactivity data

{ "title": "Reactivity Data", "filters": { "stats": ["", "Species", "Dilution Info", "Notes"], "tabs": { "all-applications": {"fullname" : "All Applications", "shortname": "All Applications"}, "ChICCUTRUNseq" : {"fullname" : "ChIC/CUT&RUN sequencing", "shortname":"ChIC/CUT&RUN-seq"}, "IP" : {"fullname" : "Immunoprecipitation", "shortname":"IP"}, "ChIP" : {"fullname" : "ChIP", "shortname":"ChIP"}, "FlowCyt" : {"fullname" : "Flow Cytometry", "shortname":"Flow Cyt"}, "WB" : {"fullname" : "Western blot", "shortname":"WB"}, "IHCP" : {"fullname" : "Immunohistochemistry (Formalin/PFA-fixed paraffin-embedded sections)", "shortname":"IHC-P"}, "ICCIF" : {"fullname" : "Immunocytochemistry/ Immunofluorescence", "shortname":"ICC/IF"} }, "product-promise": { "all": "all", "testedAndGuaranteed": "tested", "guaranteed": "expected", "predicted": "predicted", "notRecommended": "not-recommended" } }, "values": { "Human": { "ChICCUTRUNseq-species-checked": "testedAndGuaranteed", "ChICCUTRUNseq-species-dilution-info": "", "ChICCUTRUNseq-species-notes": "<p></p>", "IP-species-checked": "testedAndGuaranteed", "IP-species-dilution-info": "", "IP-species-notes": "<p></p>", "ChIP-species-checked": "testedAndGuaranteed", "ChIP-species-dilution-info": "5 µg for 25 µg chromatin", "ChIP-species-notes": "<p></p>", "FlowCyt-species-checked": "notRecommended", "FlowCyt-species-dilution-info": "", "FlowCyt-species-notes": "<p></p>", "WB-species-checked": "testedAndGuaranteed", "WB-species-dilution-info": "", "WB-species-notes": "<p></p>", "IHCP-species-checked": "testedAndGuaranteed", "IHCP-species-dilution-info": "", "IHCP-species-notes": "<p></p>", "ICCIF-species-checked": "notRecommended", "ICCIF-species-dilution-info": "", "ICCIF-species-notes": "<p></p>" }, "Mouse": { "ChICCUTRUNseq-species-checked": "guaranteed", "ChICCUTRUNseq-species-dilution-info": "", "ChICCUTRUNseq-species-notes": "", "IP-species-checked": "guaranteed", "IP-species-dilution-info": "", "IP-species-notes": "", "ChIP-species-checked": "guaranteed", "ChIP-species-dilution-info": "", "ChIP-species-notes": "", "FlowCyt-species-checked": "notRecommended", "FlowCyt-species-dilution-info": "", "FlowCyt-species-notes": "<p></p>", "WB-species-checked": "testedAndGuaranteed", "WB-species-dilution-info": "", "WB-species-notes": "<p></p>", "IHCP-species-checked": "guaranteed", "IHCP-species-dilution-info": "", "IHCP-species-notes": "", "ICCIF-species-checked": "notRecommended", "ICCIF-species-dilution-info": "", "ICCIF-species-notes": "<p></p>" }, "Rat": { "ChICCUTRUNseq-species-checked": "guaranteed", "ChICCUTRUNseq-species-dilution-info": "", "ChICCUTRUNseq-species-notes": "", "IP-species-checked": "guaranteed", "IP-species-dilution-info": "", "IP-species-notes": "", "ChIP-species-checked": "guaranteed", "ChIP-species-dilution-info": "", "ChIP-species-notes": "", "FlowCyt-species-checked": "notRecommended", "FlowCyt-species-dilution-info": "", "FlowCyt-species-notes": "<p></p>", "WB-species-checked": "testedAndGuaranteed", "WB-species-dilution-info": "", "WB-species-notes": "<p></p>", "IHCP-species-checked": "testedAndGuaranteed", "IHCP-species-dilution-info": "", "IHCP-species-notes": "<p></p>", "ICCIF-species-checked": "notRecommended", "ICCIF-species-dilution-info": "", "ICCIF-species-notes": "<p></p>" } } }

Product details

ab264077 is the carrier-free version of ab236639.

Patented technology
Our RabMAb® technology is a patented hybridoma-based technology for making rabbit monoclonal antibodies. For details on our patents, please refer to RabMAb® patents.

What are the advantages of a recombinant monoclonal antibody?
This product is a recombinant monoclonal antibody, which offers several advantages including:

  • - High batch-to-batch consistency and reproducibility
  • - Improved sensitivity and specificity
  • - Long-term security of supply
  • - Animal-free batch production

For more information, read more on recombinant antibodies.

Conjugation ready
Our carrier-free antibodies are typically supplied in a PBS-only formulation, purified and free of BSA, sodium azide and glycerol. This conjugation-ready format is designed for use with fluorochromes, metal isotopes, oligonucleotides, and enzymes, which makes them ideal for antibody labelling, functional and cell-based assays, flow-based assays (e.g. mass cytometry) and Multiplex Imaging applications.

Use our conjugation kits for antibody conjugates that are ready-to-use in as little as 20 minutes with 1 minute hands-on-time and 100% antibody recovery: available for fluorescent dyes, HRP, biotin and gold.

Compatibility
This product is compatible with the Maxpar® Antibody Labeling Kit from Fluidigm, without the need for antibody preparation. Maxpar® is a trademark of Fluidigm Canada Inc.

Properties and storage information

Form
Liquid
Purification technique
Affinity purification Protein A
Storage buffer
pH: 7.2 - 7.4 Constituents: PBS
Shipped at conditions
Blue Ice
Appropriate short-term storage conditions
+4°C
Appropriate long-term storage conditions
+4°C
Storage information
Do Not Freeze

Supplementary information

This supplementary information is collated from multiple sources and compiled automatically.

RUNX2 also known as core-binding factor subunit alpha-1 (CBFA1) is a transcription factor with a molecular weight of approximately 56 kDa. It plays a pivotal role in regulating osteoblast differentiation and skeletal morphogenesis. This protein resides mainly in the nucleus and shows a high expression in bone tissue. RUNX2 binds to DNA sequences to control transcription of genes essential for bone development and maturation. The protein also possesses a Runt-homology domain enabling it to attach to specific DNA sequences.
Biological function summary

This protein orchestrates bone formation by influencing the expression of genes involved in osteoblast differentiation. RUNX2 operates as part of the larger transcriptional complex that includes other proteins that modulate its activity. It maintains bone homeostasis by regulating the expression of osteogenic markers including bone sialoprotein and osteocalcin. The ability of RUNX2 to drive osteoblast lineage commitment highlights its importance in skeletal health and development.

Pathways

RUNX2 shows significant involvement in both the Wnt signaling and TGF-beta signaling pathways. Within the Wnt signaling pathway RUNX2 interacts with beta-catenin to facilitate osteoblastogenesis and support bone matrix deposition. In the TGF-beta signaling pathway RUNX2 modulates Smad-dependent transcriptional activity important for extracellular matrix production and bone remodeling. These interactions illustrate RUNX2's central role in mediating bone development and maintenance.

RUNX2 mutations and dysregulation link to cleidocranial dysplasia a condition characterized by delayed closure of sutures in the skull and other skeletal anomalies. Additionally RUNX2 is related to osteosarcoma a type of bone cancer where its abnormal expression often contributes to tumor progression. In these contexts RUNX2 interacts with proteins like p53 an important regulator of cell cycle highlighting its influence on tumor suppressor networks and osteogenic pathways.

Product protocols

For this product, it's our understanding that no specific protocols are required. You can visit:

Target data

Transcription factor involved in osteoblastic differentiation and skeletal morphogenesis (PubMed : 28505335, PubMed : 28703881, PubMed : 28738062). Essential for the maturation of osteoblasts and both intramembranous and endochondral ossification. CBF binds to the core site, 5'-PYGPYGGT-3', of a number of enhancers and promoters, including murine leukemia virus, polyomavirus enhancer, T-cell receptor enhancers, osteocalcin, osteopontin, bone sialoprotein, alpha 1(I) collagen, LCK, IL-3 and GM-CSF promoters. In osteoblasts, supports transcription activation : synergizes with SPEN/MINT to enhance FGFR2-mediated activation of the osteocalcin FGF-responsive element (OCFRE) (By similarity). Inhibits KAT6B-dependent transcriptional activation.
See full target information RUNX2

Publications (10)

Recent publications for all applications. Explore the full list and refine your search

Journal of nanobiotechnology 22:540 PubMed39237942

2024

Enhanced osteogenic differentiation in 3D hydrogel scaffold via macrophage mitochondrial transfer.

Applications

Unspecified application

Species

Unspecified reactive species

Shui Qiu,Lili Cao,Dingding Xiang,Shu Wang,Di Wang,Yiyi Qian,Xiaohua Li,Xiaoshu Zhou

Advanced biology 8:e2400341 PubMed39051421

2024

Qianggu Decoction Alleviated Osteoporosis by Promoting Osteogenesis of BMSCs through Mettl3-Mediated mA Methylation.

Applications

Unspecified application

Species

Unspecified reactive species

Yuchen Wang,Weizhong Yu,Yuan E,Lining Rui,Chuan Jia,Wenke Zhu

Molecular medicine (Cambridge, Mass.) 30:57 PubMed38698308

2024

Integrin αVβ3 antagonist-c(RGDyk) peptide attenuates the progression of ossification of the posterior longitudinal ligament by inhibiting osteogenesis and angiogenesis.

Applications

Unspecified application

Species

Unspecified reactive species

Xiangwu Geng,Yifan Tang,Changjiang Gu,Junkai Zeng,Yin Zhao,Quanwei Zhou,Lianshun Jia,Shengyuan Zhou,Xiongsheng Chen

Open medicine (Warsaw, Poland) 18:20230790 PubMed37711155

2023

Lumican silencing ameliorates β-glycerophosphate-mediated vascular smooth muscle cell calcification by attenuating the inhibition of APOB on KIF2C activity.

Applications

Unspecified application

Species

Unspecified reactive species

Haibin Li,Chunyan Zhang,Qiang Liu

Genes & diseases 10:2097-2108 PubMed37492739

2023

DLX5 promotes expression and chondrocyte hypertrophy and is involved in osteoarthritis progression.

Applications

Unspecified application

Species

Unspecified reactive species

Jinnan Chen,Fangzhou Chen,Xuan Wu,Huiqin Bian,Chen Chen,Xiaojing Zhang,Ruoxuan Hei, XiaotongYang,Haochun Yuan,Qian Wang,Yaojuan Lu,Longwei Qiao,Qiping Zheng

Mediators of inflammation 2023:6331650 PubMed36700172

2023

The Dopamine D1 Receptor Attenuates Titanium Particle-Induced Inhibition of Osteogenesis by Activating the Wnt Signaling Pathway.

Applications

Unspecified application

Species

Unspecified reactive species

Chengcheng Feng,Yajun Li,Minhui Gu,Wenming Li,Yunshang Yang,Shuangshuang Chen,Yong Ma,Dechun Geng,Long Xiao,Zhirong Wang

Journal of applied oral science : revista FOB 30:e20220316 PubMed36417596

2022

Macrophage M1 polarization mediated via the IL-6/STAT3 pathway contributes to apical periodontitis induced by Porphyromonas gingivalis.

Applications

Unspecified application

Species

Unspecified reactive species

Xuan Chen,Jinge Dou,Zhuohui Fu,Yang Qiu,Ling Zou,Dingming Huang,Xuelian Tan

Bioactive materials 20:598-609 PubMed35846837

2022

Carboxymethyl chitosan-alginate enhances bone repair effects of magnesium phosphate bone cement by activating the FAK-Wnt pathway.

Applications

Unspecified application

Species

Unspecified reactive species

Ling Yu,Tian Gao,Wei Li,Jian Yang,Yinchu Liu,Yanan Zhao,Ping He,Xuefeng Li,Weichun Guo,Zhengfu Fan,Honglian Dai

Stem cell research & therapy 12:338 PubMed34112236

2021

Adipose-derived mesenchymal stromal cell-derived exosomes promote tendon healing by activating both SMAD1/5/9 and SMAD2/3.

Applications

Unspecified application

Species

Unspecified reactive species

Hengchen Liu,Mingzhao Zhang,Manyu Shi,Tingting Zhang,Wenjun Lu,Shulong Yang,Qingbo Cui,Zhaozhu Li

Biotechnology and applied biochemistry 67:1000-1010 PubMed31845407

2020

Icariin alleviates hypoxia-induced damage in MC3T3-E1 cells by downregulating TALNEC2.

Applications

Unspecified application

Species

Unspecified reactive species

Weiguo Wang,Jian Xin,Wenming Chen,Lizhong Jing,Peng Zhang
View all publications
chicCutRunSequencingBooklet
en

Product promise

We are committed to supporting your work with high-quality reagents, and we're here for you every step of the way. In the unlikely event that one of our products does not perform as expected, you're protected by our Product Promise.
For full details, please see our Terms & Conditions

Please note: All products are 'FOR RESEARCH USE ONLY. NOT FOR USE IN DIAGNOSTIC OR THERAPEUTIC PROCEDURES'.

For licensing inquiries, please contact partnerships@abcam.com