JavaScript is disabled in your browser. Please enable JavaScript to view this website.
AB236639

Anti-RUNX2 antibody [EPR22858-106] - ChIP Grade

  • BOND RX™ Validated
  • RabMAb
  • Advanced Validation
  • Recombinant
  • 20ul selling size
  • What is this?

Be the first to review this product! Submit a review

|

(174 Publications)

Anti-RUNX2 antibody [EPR22858-106] - ChIP Grade (ab236639) is a rabbit monoclonal antibody detecting RUNX2 in Western Blot, IP, IHC-P, ChIP. Suitable for Human, Mouse, Rat.

- Biophysical QC for unrivalled batch-batch consistency
- Over 60 publications

View Alternative Names

AML3, CBFA1, OSF2, PEBP2A, RUNX2, Runt-related transcription factor 2, Acute myeloid leukemia 3 protein, Core-binding factor subunit alpha-1, Oncogene AML-3, Osteoblast-specific transcription factor 2, Polyomavirus enhancer-binding protein 2 alpha A subunit, SL3-3 enhancer factor 1 alpha A subunit, SL3/AKV core-binding factor alpha A subunit, CBF-alpha-1, OSF-2, PEA2-alpha A, PEBP2-alpha A

10 Images
Immunohistochemistry (Formalin/PFA-fixed paraffin-embedded sections) - Anti-RUNX2 antibody [EPR22858-106] - ChIP Grade (AB236639)
  • IHC-P

Unknown

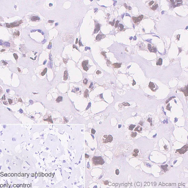
Immunohistochemistry (Formalin/PFA-fixed paraffin-embedded sections) - Anti-RUNX2 antibody [EPR22858-106] - ChIP Grade (AB236639)

Immunohistochemical analysis of paraffin-embedded human osteosarcoma tissue labeling RUNX2 with ab236639 at 1/2000 dilution followed by a ready to use Rabbit specific IHC polymer detection kit HRP/DAB (ab209101). Nuclear staining on human osteosarcoma (PMID : 21731849) The section was incubated with ab236639 for 15 mins at room temperature. The immunostaining staining was performed on a Leica Biosystems BOND® RX instrument. Counterstained with hematoxylin.

Secondary antibody only control : Secondary antibody is a ready to use Rabbit specific IHC polymer detection kit HRP/DAB (ab209101).

Heat mediated antigen retrieval with Tris-EDTA buffer (pH 9.0, epitope retrieval solution 2) for 20 mins.

This data was developed using the same antibody clone in a different buffer formulation containing PBS, BSA, glycerol, and sodium azide (ab236639).

Immunoprecipitation - Anti-RUNX2 antibody [EPR22858-106] - ChIP Grade (AB236639)
  • IP

Unknown

Immunoprecipitation - Anti-RUNX2 antibody [EPR22858-106] - ChIP Grade (AB236639)

RUNX2 was immunoprecipitated from 0.35 mg PC-3 (human prostate adenocarcinoma epithelial cell) whole cell lysate 10ug with ab236639 at 1/30 dilution (2ug in 0.35mg lysates). Western blot was performed on the immunoprecipitate using ab236639 at 1/1000 dilution. VeriBlot for IP Detection Reagent (HRP) (ab131366) was used at 1/5000 dilution. Lane 1 : PC-3 (human prostate adenocarcinoma epithelial cell) whole cell lysate 10ug

Lane 2 : ab236639 IP in PC-3 whole cell lysate

Lane 3 : Rabbit monoclonal IgG (ab172730) instead of ab236639 in PC-3 whole cell lysate

Blocking and dilution buffer and concentration : 5% NFDM/TBST.

Exposure time : 30 seconds

This data was developed using the same antibody clone in a different buffer formulation containing PBS, BSA, glycerol, and sodium azide (ab236639).

All lanes:

Immunoprecipitation - Anti-RUNX2 antibody [EPR22858-106] - ChIP Grade (ab236639)

Predicted band size: 57 kDa

false

Immunoprecipitation - Anti-RUNX2 antibody [EPR22858-106] - ChIP Grade (AB236639)
  • IP

Unknown

Immunoprecipitation - Anti-RUNX2 antibody [EPR22858-106] - ChIP Grade (AB236639)

RUNX2 was immunoprecipitated from 0.35 mg Saos-2 (human osteosarcoma epithelial) whole cell lysate 10ug with ab236639 at 1/30 dilution (2ug in 0.35mg lysates). Western blot was performed on the immunoprecipitate using ab236639 at 1/1000 dilution. VeriBlot for IP Detection Reagent (HRP) (ab131366) was used at 1/5000 dilution. Lane 1 : Saos-2 (human osteosarcoma epithelial) whole cell lysate 10ug

Lane 2 : ab236639 IP in Saos-2 whole cell lysate

Lane 3 : Rabbit monoclonal IgG (ab172730) instead of ab236639 in Saos-2 whole cell lysate

Blocking and dilution buffer and concentration : 5% NFDM/TBST.

Exposure time : 30 seconds

This data was developed using the same antibody clone in a different buffer formulation containing PBS, BSA, glycerol, and sodium azide (ab236639).

All lanes:

Immunoprecipitation - Anti-RUNX2 antibody [EPR22858-106] - ChIP Grade (ab236639)

Predicted band size: 57 kDa

false

ChIP - Anti-RUNX2 antibody [EPR22858-106] - ChIP Grade (AB236639)
  • ChIP

Lab

ChIP - Anti-RUNX2 antibody [EPR22858-106] - ChIP Grade (AB236639)

Legend Chromatin was prepared from Saos-2 cells according to the Abcam Dual-X-ChIP protocol. Cells were fixed with 1.5 mM EGS for 30mins and then formaldehyde for 10min.
The ChIP was performed with 25 μg of chromatin, 5 μg of ab236639 (red), or 5 μg of rabbit normal IgG ab172730 (gray) and 20 μl of Protein A/G sepharose beads. The immunoprecipitated DNA was quantified by real time PCR (Taqman approach for active and inactive loci, Sybr green approach for heterochromatic loci).
Primers and probes are commercial primers from PMCID : PMC3281617

Immunohistochemistry (Formalin/PFA-fixed paraffin-embedded sections) - Anti-RUNX2 antibody [EPR22858-106] - ChIP Grade (AB236639)
  • IHC-P

Unknown

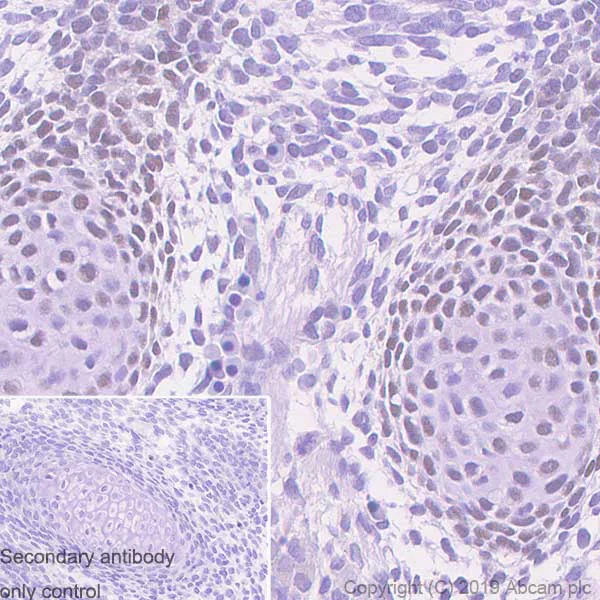
Immunohistochemistry (Formalin/PFA-fixed paraffin-embedded sections) - Anti-RUNX2 antibody [EPR22858-106] - ChIP Grade (AB236639)

Immunohistochemical analysis of paraffin-embedded rat embryo 14.5 day tissue tissue labeling RUNX2 with ab236639 at 1/2000 dilution followed by a ready to use Rabbit specific IHC polymer detection kit HRP/DAB (ab209101). Nuclear staining on the cartilage cells in the rat embryo 14.5 day tissue. The section was incubated with ab236639 for 15 mins at room temperature. The immunostaining staining was performed on a Leica Biosystems BOND® RX instrument. Counterstained with hematoxylin.

Secondary antibody only control : Secondary antibody is a ready to use Rabbit specific IHC polymer detection kit HRP/DAB (ab209101).

Heat mediated antigen retrieval with Tris-EDTA buffer (pH 9.0, epitope retrieval solution 2) for 20 mins.

This data was developed using the same antibody clone in a different buffer formulation containing PBS, BSA, glycerol, and sodium azide (ab236639).

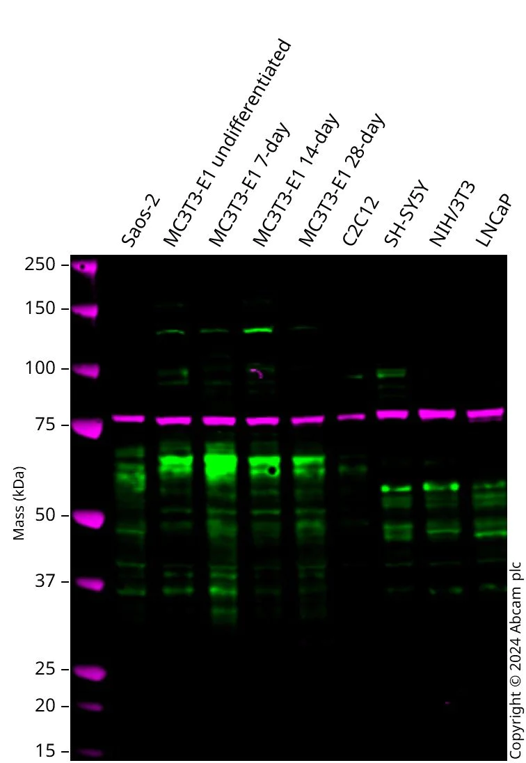
Western blot - Anti-RUNX2 antibody [EPR22858-106] - ChIP Grade (AB236639)
  • WB

Lab

Western blot - Anti-RUNX2 antibody [EPR22858-106] - ChIP Grade (AB236639)

Western blot : Anti-RUNX2 antibody [EPR22858-106] (ab236639) staining at 1/1000 dilution, shown in green; Mouse anti-CANX [CANX/1543] (ab238078) loading control staining at 1/20000 dilution, shown in magenta. In Western blot, ab236639 was shown to bind specifically to RUNX2. First, samples were run on an SDS-PAGE gel then transferred onto a nitrocellulose membrane. Membranes were blocked in 5 % milk in TBS-0.1 % Tween® 20 (TBS-T) before incubation with primary antibodies overnight at 4 °C. Blots were washed four times in TBS-T, incubated with secondary antibodies for 1 h at room temperature, washed again four times then imaged. Secondary antibodies used were Goat anti-Rabbit IgG H&L 800CW and Goat anti-Mouse IgG H&L 680RD at 1/20000 dilution

All lanes:

Western blot - Anti-RUNX2 antibody [EPR22858-106] - ChIP Grade (ab236639)

Lane 1:

Saos-2 cell lysate at 20 µg

Lane 2:

MC3T3-E1 undifferentiated cell lysate at 20 µg

Lane 3:

MC3T3-E1 7-day Osteogenic differentiation cell lysate, at 20 µg

Lane 4:

MC3T3-E1 14-day Osteogenic differentiation cell lysate at 20 µg

Lane 5:

MC3T3-E1 28-day Osteogenic differentiation cell lysate at 20 µg

Lane 6:

C2C12 cell lysate at 20 µg

Lane 7:

SH-SY5Y cell lysate at 20 µg

Lane 8:

NIH/3T3 cell lysate at 20 µg

Lane 9:

LNCaP cell lysate at 20 µg

false

Western blot - Anti-RUNX2 antibody [EPR22858-106] - ChIP Grade (AB236639)
  • WB

Lab

Western blot - Anti-RUNX2 antibody [EPR22858-106] - ChIP Grade (AB236639)

Lysates were made freshly and used in WB test immediately to minimize protein degradation.

The expression profile/ molecular weight observed is consistent with what has been described in the literature (PMID : 19419310)

Negative control : MCF-7 and HeLa (PMID : 20591170)

Exposure time : 70 seconds

All lanes:

Western blot - Anti-RUNX2 antibody [EPR22858-106] - ChIP Grade (ab236639) at 1/1000 dilution

Lane 1:

PC-3 (human prostate adenocarcinoma epithelial cell), whole cell lysate at 20 µg

Lane 2:

MDA-MB-231 (human breast adenocarcinoma epithelial cell), whole cell lysate at 20 µg

Lane 3:

Saos-2 (human osteosarcoma epithelial), whole cell lysate at 20 µg

Lane 4:

MEF (mouse embryonic fibroblast (immortalized)), whole cell lysate at 20 µg

Lane 5:

C2C12 (mouse myoblasts myoblast), whole cell lysate at 20 µg

Lane 6:

MCF7 (human breast adenocarcinoma epithelial cell), whole cell lysate at 20 µg

Lane 7:

HeLa (human cervix adenocarcinoma epithelial cell), whole cell lysate at 20 µg

Secondary

All lanes:

Western blot - Goat Anti-Rabbit IgG H&L (HRP) (<a href='/en-us/products/secondary-antibodies/goat-rabbit-igg-h-l-hrp-ab97051'>ab97051</a>) at 1/100000 dilution

Predicted band size: 57 kDa

Observed band size: 60 kDa,64 kDa

false

ChIC/CUT&RUN sequencing - Anti-RUNX2 antibody [EPR22858-106] - ChIP Grade (AB236639)
  • ChIC/CUT&RUN-seq

Lab

ChIC/CUT&RUN sequencing - Anti-RUNX2 antibody [EPR22858-106] - ChIP Grade (AB236639)

ChIC/CUT&RUN was performed using a pAG-MNAse at a final concentration of 700 ng/mL, 2.5X10^5 of positive cell line Saos-2 or low expression cell line HeLa were used along with 5µg of ab236639 [EPR22858-106]. The resulting DNA was sequenced on the Illumina NovaSeq 6000 to a depth of 10 million reads. The negative IgG control ab172730 is also shown. Additional screenshots of mapped reads can be found in the Protocol booklet in the Product Protocol section. The University of Geneva owns patents relevant to ChIC (Chromatin Immuno-Cleavage) methods.

Western blot - Anti-RUNX2 antibody [EPR22858-106] - ChIP Grade (AB236639)
  • WB

Lab

Western blot - Anti-RUNX2 antibody [EPR22858-106] - ChIP Grade (AB236639)

The expression profile/ molecular weight observed is consistent with what has been described in the literature (PMID : 19419310, 20591170)

Exposure time : 3 mintues

All lanes:

Western blot - Anti-RUNX2 antibody [EPR22858-106] - ChIP Grade (ab236639) at 1/1000 dilution

Lane 1:

C6 (rat glial tumor glial cell), whole cell lysate at 20 µg

Lane 2:

PC-12 (rat adrenal gland pheochromocytoma), whole cell lysate at 20 µg

Secondary

All lanes:

Western blot - Goat Anti-Rabbit IgG H&L (HRP) (<a href='/en-us/products/secondary-antibodies/goat-rabbit-igg-h-l-hrp-ab97051'>ab97051</a>) at 1/100000 dilution

Predicted band size: 57 kDa

Observed band size: 60 kDa,64 kDa

false

Western blot - Anti-RUNX2 antibody [EPR22858-106] - ChIP Grade (AB236639)
  • WB

CiteAb

Western blot - Anti-RUNX2 antibody [EPR22858-106] - ChIP Grade (AB236639)

RUNX2 western blot using anti-RUNX2 antibody [EPR22858-106] - ChIP Grade ab236639. Publication image and figure legend from Luo, Y., Xia, H., et al., 2022, Evid Based Complement Alternat Med, PubMed 35769158.

ab236639 was used in this publication in western blot. This may not be the same as the application(s) guaranteed by Abcam. For a full list of applications guaranteed by Abcam for ab236639 please see the product overview.

The changes in bone metabolism parameters and serological markers in rats after 12 weeks of JWYHD intragastric treatment are described. (a) Micro-CT was used to scan three-dimensional reconstruction images of bone trabeculae. (b) BMD. (c) BV/TV. (d) Tb.Th. (e) Tb.N. (f) Tb.Sp. (g) The translocation expression of BMP2, a key protein in the pathway, was detected by immunofluorescence. (h) The protein expression was measured by WB after culturing for 1 week. (i) BMP2 translocation percentage. (j) Weight gain of rats. (k) ELISA quantified the content of bone resorption marker β-CTX in serum. (l) ELISA quantified the content of the bone formation marker P1NP in serum. (m)-(q) The quantitative measurement of protein expression (BMP2, P-SMAD1/5/8, RUNX2, OCN, PPARγ). The data were represented by mean ± SD (n = 3), p < 0.05 were considered as significant difference : * VS. SHAM group, #VS. M group.

false

  • Carrier free

    Anti-RUNX2 antibody [EPR22858-106] - BSA and Azide free

  • 665 Alexa Fluor® 647

    Alexa Fluor® 647 Anti-RUNX2 antibody [EPR22858-106] – ChIP Grade

  • 617 Alexa Fluor® 594

    Alexa Fluor® 594 Anti-RUNX2 antibody [EPR22858-106] – ChIP Grade

  • 519 Alexa Fluor® 488

    Alexa Fluor® 488 Anti-RUNX2 antibody [EPR22858-106] – ChIP Grade

  • 660 APC

    APC Anti-RUNX2 antibody [EPR22858-106] – ChIP Grade

  • 578 PE

    PE Anti-RUNX2 antibody [EPR22858-106] – ChIP Grade

  • 565 Alexa Fluor® 555

    Alexa Fluor® 555 Anti-RUNX2 antibody [EPR22858-106] – ChIP Grade

  • 775 Alexa Fluor® 750

    Alexa Fluor® 750 Anti-RUNX2 antibody [EPR22858-106] - ChIP Grade

  • Carrier free

    Anti-RUNX2 antibody [EPR22858-106] - BSA and Azide free (Capture)

Key facts

Host species

Rabbit

Clonality

Monoclonal

Clone number

EPR22858-106

Isotype

IgG

Carrier free

No

Reacts with

Mouse, Rat, Human

Applications

ChIC/CUT&RUN-seq, IP, WB, IHC-P, ChIP

applications

Immunogen

The exact immunogen used to generate this antibody is proprietary information.

Specificity

ab236639 is not recommended for mouse IHC.

Reactivity data

{ "title": "Reactivity Data", "filters": { "stats": ["", "Species", "Dilution Info", "Notes"], "tabs": { "all-applications": {"fullname" : "All Applications", "shortname": "All Applications"}, "ChICCUTRUNseq" : {"fullname" : "ChIC/CUT&RUN sequencing", "shortname":"ChIC/CUT&RUN-seq"}, "IP" : {"fullname" : "Immunoprecipitation", "shortname":"IP"}, "ChIP" : {"fullname" : "ChIP", "shortname":"ChIP"}, "FlowCyt" : {"fullname" : "Flow Cytometry", "shortname":"Flow Cyt"}, "WB" : {"fullname" : "Western blot", "shortname":"WB"}, "IHCP" : {"fullname" : "Immunohistochemistry (Formalin/PFA-fixed paraffin-embedded sections)", "shortname":"IHC-P"}, "ICCIF" : {"fullname" : "Immunocytochemistry/ Immunofluorescence", "shortname":"ICC/IF"} }, "product-promise": { "all": "all", "testedAndGuaranteed": "tested", "guaranteed": "expected", "predicted": "predicted", "notRecommended": "not-recommended" } }, "values": { "Human": { "ChICCUTRUNseq-species-checked": "testedAndGuaranteed", "ChICCUTRUNseq-species-dilution-info": " for 10^5 Cells", "ChICCUTRUNseq-species-notes": "<p></p>", "IP-species-checked": "testedAndGuaranteed", "IP-species-dilution-info": "1/30", "IP-species-notes": "<p></p>", "ChIP-species-checked": "testedAndGuaranteed", "ChIP-species-dilution-info": "", "ChIP-species-notes": "<p>Use at 5μg</p>", "FlowCyt-species-checked": "notRecommended", "FlowCyt-species-dilution-info": "", "FlowCyt-species-notes": "<p></p>", "WB-species-checked": "testedAndGuaranteed", "WB-species-dilution-info": "1/1000", "WB-species-notes": "<p></p>", "IHCP-species-checked": "testedAndGuaranteed", "IHCP-species-dilution-info": "1/2000", "IHCP-species-notes": "<p></p>", "ICCIF-species-checked": "notRecommended", "ICCIF-species-dilution-info": "", "ICCIF-species-notes": "<p></p>" }, "Mouse": { "ChICCUTRUNseq-species-checked": "guaranteed", "ChICCUTRUNseq-species-dilution-info": "", "ChICCUTRUNseq-species-notes": "", "IP-species-checked": "guaranteed", "IP-species-dilution-info": "", "IP-species-notes": "", "ChIP-species-checked": "guaranteed", "ChIP-species-dilution-info": "", "ChIP-species-notes": "", "FlowCyt-species-checked": "notRecommended", "FlowCyt-species-dilution-info": "", "FlowCyt-species-notes": "", "WB-species-checked": "testedAndGuaranteed", "WB-species-dilution-info": "1/1000", "WB-species-notes": "<p></p>", "IHCP-species-checked": "guaranteed", "IHCP-species-dilution-info": "", "IHCP-species-notes": "", "ICCIF-species-checked": "notRecommended", "ICCIF-species-dilution-info": "", "ICCIF-species-notes": "" }, "Rat": { "ChICCUTRUNseq-species-checked": "guaranteed", "ChICCUTRUNseq-species-dilution-info": "", "ChICCUTRUNseq-species-notes": "", "IP-species-checked": "guaranteed", "IP-species-dilution-info": "", "IP-species-notes": "", "ChIP-species-checked": "guaranteed", "ChIP-species-dilution-info": "", "ChIP-species-notes": "", "FlowCyt-species-checked": "notRecommended", "FlowCyt-species-dilution-info": "", "FlowCyt-species-notes": "", "WB-species-checked": "testedAndGuaranteed", "WB-species-dilution-info": "1/1000", "WB-species-notes": "<p></p>", "IHCP-species-checked": "testedAndGuaranteed", "IHCP-species-dilution-info": "1/2000", "IHCP-species-notes": "<p></p>", "ICCIF-species-checked": "notRecommended", "ICCIF-species-dilution-info": "", "ICCIF-species-notes": "" } } }

Product details

What is this antibody validated in?
Anti-RUNX2 antibody [EPR22858-106] - ChIP Grade (ab236639) is a rabbit recombinant monoclonal antibody and is validated for use in Western Blot (WB), Immunoprecipitation (IP), Immunohistochemistry (IHC-P), ChIP in Human, Mouse, Rat samples.

What is the molecular weight of RUNX2?
Anti-RUNX2 [EPR22858-106] - ChIP Grade (ab236639) specifically detects a band for RUNX2 (UniProt: Q13950) at a molecular weight of 57kDa.

Trusted by the scientific community
Anti-RUNX2 [EPR22858-106] - ChIP Grade (ab236639) was first used in a scientific publication in 2019 and has been cited over 60 times in peer-reviewed journals.

Trial sizes available!
Test your antibody or perform pre-screening before committing to a larger quantity. Sold in 10µl. Discover our selection of trial-size antibodies.

Other related products
We have a range of other formats of antibody clone [EPR22858-106] also available for your convenience: ab236639, Carrier free - ab264077, Carrier free - ab275219, PE - ab318316, APC - ab318419, Alexa Fluor® 488 - ab318522, Alexa Fluor® 647 - ab318625, Alexa Fluor® 594 - ab318728, Alexa Fluor® 555 - ab318828, Alexa Fluor® 750 - ab321481

Patented technology
Our RabMAb® technology is a patented hybridoma-based technology for making rabbit monoclonal antibodies. For details on our patents, please refer to RabMAb® patents.

What are the advantages of a recombinant monoclonal antibody?
This product is a recombinant monoclonal antibody, which offers several advantages including:

  • - High batch-to-batch consistency and reproducibility
  • - Improved sensitivity and specificity
  • - Long-term security of supply
  • - Animal-free batch production

For more information, read more on recombinant antibodies.

Properties and storage information

Form
Liquid
Purification technique
Affinity purification Protein A
Storage buffer
pH: 7.2 - 7.4 Preservative: 0.01% Sodium azide Constituents: PBS, 40% Glycerol (glycerin, glycerine), 0.05% BSA
Shipped at conditions
Blue Ice
Appropriate short-term storage duration
1-2 weeks
Appropriate short-term storage conditions
+4°C
Appropriate long-term storage conditions
-20°C
Aliquoting information
Upon delivery aliquot
Storage information
Avoid freeze / thaw cycle

Supplementary information

This supplementary information is collated from multiple sources and compiled automatically.

RUNX2 also known as core-binding factor subunit alpha-1 (CBFA1) is a transcription factor with a molecular weight of approximately 56 kDa. It plays a pivotal role in regulating osteoblast differentiation and skeletal morphogenesis. This protein resides mainly in the nucleus and shows a high expression in bone tissue. RUNX2 binds to DNA sequences to control transcription of genes essential for bone development and maturation. The protein also possesses a Runt-homology domain enabling it to attach to specific DNA sequences.
Biological function summary

This protein orchestrates bone formation by influencing the expression of genes involved in osteoblast differentiation. RUNX2 operates as part of the larger transcriptional complex that includes other proteins that modulate its activity. It maintains bone homeostasis by regulating the expression of osteogenic markers including bone sialoprotein and osteocalcin. The ability of RUNX2 to drive osteoblast lineage commitment highlights its importance in skeletal health and development.

Pathways

RUNX2 shows significant involvement in both the Wnt signaling and TGF-beta signaling pathways. Within the Wnt signaling pathway RUNX2 interacts with beta-catenin to facilitate osteoblastogenesis and support bone matrix deposition. In the TGF-beta signaling pathway RUNX2 modulates Smad-dependent transcriptional activity important for extracellular matrix production and bone remodeling. These interactions illustrate RUNX2's central role in mediating bone development and maintenance.

RUNX2 mutations and dysregulation link to cleidocranial dysplasia a condition characterized by delayed closure of sutures in the skull and other skeletal anomalies. Additionally RUNX2 is related to osteosarcoma a type of bone cancer where its abnormal expression often contributes to tumor progression. In these contexts RUNX2 interacts with proteins like p53 an important regulator of cell cycle highlighting its influence on tumor suppressor networks and osteogenic pathways.

Product protocols

For this product, it's our understanding that no specific protocols are required. You can visit:

Target data

Transcription factor involved in osteoblastic differentiation and skeletal morphogenesis (PubMed : 28505335, PubMed : 28703881, PubMed : 28738062). Essential for the maturation of osteoblasts and both intramembranous and endochondral ossification. CBF binds to the core site, 5'-PYGPYGGT-3', of a number of enhancers and promoters, including murine leukemia virus, polyomavirus enhancer, T-cell receptor enhancers, osteocalcin, osteopontin, bone sialoprotein, alpha 1(I) collagen, LCK, IL-3 and GM-CSF promoters. In osteoblasts, supports transcription activation : synergizes with SPEN/MINT to enhance FGFR2-mediated activation of the osteocalcin FGF-responsive element (OCFRE) (By similarity). Inhibits KAT6B-dependent transcriptional activation.
See full target information RUNX2

Publications (174)

Recent publications for all applications. Explore the full list and refine your search

Journal of nanobiotechnology 23:649 PubMed41074120

2025

Targeting JAK2 with a multifunctional nanoinhibitor for long-lasting anti-inflammatory effects and bone repair.

Applications

Unspecified application

Species

Unspecified reactive species

Yang Liu,Duan Wang,Wenqian Zheng,Yuxuan Wang,Peiyu Wang,Yuping Zhao,Xiaofan Liu,Yaru Shi,Yi Wang,Na Zhou,Fermín E González,Hongchen Sun,Ding Zhou,Xiaowei Xu

Frontiers in bioengineering and biotechnology 13:1641476 PubMed41069411

2025

CGRP-dependent molecular signaling drives bone marrow stem cell osteogenesis in distraction osteogenesis.

Applications

Unspecified application

Species

Unspecified reactive species

Yimurang Hamiti,Kai Liu,Sulong Wang,Xin Yang,Xiriaili Kadier,Aihemaitijiang Yusufu

Materials today. Bio 35:102311 PubMed41050091

2025

Targeting chaperone-mediated autophagy to regulate osteoclast activity as a therapeutic strategy for osteoporosis.

Applications

Unspecified application

Species

Unspecified reactive species

Yunhui Zhang,Quanfeng Li,Xiaoshuai Peng,Pengfei Ji,Yibin Zhang,Jiahao Jin,Zihao Yuan,Jianan Jiang,Guangqi Tian,Mingxi Cai,Pei Feng,Yanfeng Wu,Wenjie Liu,Peng Wang

International journal of molecular medicine 56: PubMed40937566

2025

Mechanosensor Piezo1‑mediated smooth muscular cell pyroptosis contributes to vascular calcification.

Applications

Unspecified application

Species

Unspecified reactive species

Jun Tao,Daiting You,Zejiang Feng,Huangjing Li,Yao Zhang,Yuting Cui,Kaiyuan Lin,Bin Luo,Shengli Yin,Hongmei Tan

Materials today. Bio 34:102181 PubMed40893374

2025

CGRP-releasing PLGA/nHA/GO composite microspheres enhance distraction osteogenesis via activation of the cAMP/PKA/CREB pathway.

Applications

Unspecified application

Species

Unspecified reactive species

Yimurang Hamiti,Kai Liu,Xin Yang,Sulong Wang,Xiriaili Kadier,Aihemaitijiang Yusufu

Frontiers in cardiovascular medicine 12:1586775 PubMed40761233

2025

Nutrient restriction protects against valve interstitial cell calcification by upregulating ubiquitin mediated proteolysis.

Applications

Unspecified application

Species

Unspecified reactive species

K Phadwal,Q Tang,D Kurian,X Tan,W P Cawthorn,V E MacRae

Journal of translational medicine 23:845 PubMed40722170

2025

Chronic intermittent hypoxia impairs BM-MSC osteogenesis and long bone growth through regulating histone lactylation.

Applications

Unspecified application

Species

Unspecified reactive species

Fang Chen,Meizhen Gu,Hongming Xu,Shasha Zhou,Zilu Shen,Xiaoyan Li,Liangchao Dong,Pin Li

BMC oral health 25:1227 PubMed40696336

2025

Three-dimensional scaffold-free periodontal ligament stem cell pellets for alveolar ridge preservation: an in vitro and in vivo study.

Applications

Unspecified application

Species

Unspecified reactive species

Xiang Liang,Zhou Zhang,Siya Fang,Sadam Ahmed Elayah,Le Bai,Sina Ahmadi,Jin Liu,Fangfang Xu,Ying Han,Junbo Tu,Sijia Na

Materials today. Bio 33:102027 PubMed40677394

2025

Deliver CEBPE via cartilage targeting Lipid nanoparticle to block CEBPE-LTF-STAT3 positive feedback loop for efficient treatment of cartilage endplate degeneration.

Applications

Unspecified application

Species

Unspecified reactive species

Jiangminghao Zhao,Peichuan Xu,Tao Li,Jinghong Yuan,Wenrui Zhao,Rui Ding,Guoyu Yang,Jiajun Xie,Guanfeng Huang,Zhidong Peng,Xinxin Miao,Xigao Cheng

Journal of traditional and complementary medicine 15:434-445 PubMed40677544

2025

Salvianic acid A promotes osteogenic differentiation of bone marrow mesenchymal stem cells in senile osteoporosis through bromodomain-containing protein 4/Ariadne RBR E3 ubiquitin-protein ligase 1/Rubicon axis.

Applications

Unspecified application

Species

Unspecified reactive species

Zhixian Xu,Jun Luo,Yongfa Zhang,Zhenyu Zhang,Jie Xu
View all publications
chicCutRunSequencingBooklet
en

Product promise

We are committed to supporting your work with high-quality reagents, and we're here for you every step of the way. In the unlikely event that one of our products does not perform as expected, you're protected by our Product Promise.
For full details, please see our Terms & Conditions

Please note: All products are 'FOR RESEARCH USE ONLY. NOT FOR USE IN DIAGNOSTIC OR THERAPEUTIC PROCEDURES'.

For licensing inquiries, please contact partnerships@abcam.com