JavaScript is disabled in your browser. Please enable JavaScript to view this website.
AB135248

Anti-RUNX3 antibody [2B3]

5

(4 Reviews)

|

(20 Publications)

Mouse Monoclonal RUNX3 antibody. Suitable for Flow Cyt, WB, IHC-P, ICC/IF and reacts with Mouse, Human samples. Cited in 20 publications. Immunogen corresponding to Recombinant Fragment Protein within Human RUNX3 aa 150-300.

View Alternative Names

AML2, CBFA3, PEBP2A3, RUNX3, Runt-related transcription factor 3, Acute myeloid leukemia 2 protein, Core-binding factor subunit alpha-3, Oncogene AML-2, Polyomavirus enhancer-binding protein 2 alpha C subunit, SL3-3 enhancer factor 1 alpha C subunit, SL3/AKV core-binding factor alpha C subunit, CBF-alpha-3, PEA2-alpha C, PEBP2-alpha C

5 Images
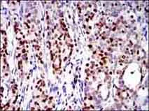
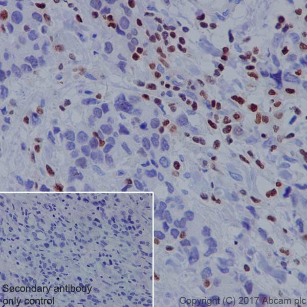
Immunohistochemistry (Formalin/PFA-fixed paraffin-embedded sections) - Anti-RUNX3 antibody [2B3] (AB135248)
  • IHC-P

Unknown

Immunohistochemistry (Formalin/PFA-fixed paraffin-embedded sections) - Anti-RUNX3 antibody [2B3] (AB135248)

Immunohistochemical analysis of Paraffin-embedded Human cervical cancer tissue labelling RUNX3 with ab135248 at 1/200 dilution followed by DAB staining.

Flow Cytometry - Anti-RUNX3 antibody [2B3] (AB135248)
  • Flow Cyt

Unknown

Flow Cytometry - Anti-RUNX3 antibody [2B3] (AB135248)

Flow cytometric analysis of NIH 3T3 cells labelling RUNX3 with ab135248 at 1/200 dilution (green). Negative control (red).

Western blot - Anti-RUNX3 antibody [2B3] (AB135248)
  • WB

Lab

Western blot - Anti-RUNX3 antibody [2B3] (AB135248)

Lane 1 : Wild-type HAP1 whole cell lysate (20 μg)
Lane 2 : RUNX3 knockout HAP1 whole cell lysate (20 μg)
Lane 3 : HeLa whole cell lysate (20 μg)

Lanes 1 - 3 : Merged signal (red and green). Green - ab135248 observed at 44 kDa. Red - loading control, ab176560, observed at 50 kDa.

ab135248 was shown to recognize RUNX3 in wild-type HAP1 cells as signal was lost at the expected MW in RUNX3 knockout cells. Additional cross-reactive bands were observed in the wild-type and knockout cells. Wild-type and RUNX3 knockout samples were subjected to SDS-PAGE. ab135248 and ab176560 (Rabbit anti-alpha Tubulin loading control) were incubated overnight at 4°C at 1/500 dilution and 1/20000 dilution respectively. Blots were developed with Goat anti-Mouse IgG H&L (IRDye® 800CW) preabsorbed ab216772 and Goat anti-Rabbit IgG H&L (IRDye® 680RD) preabsorbed ab216777 secondary antibodies at 1/20000 dilution for 1 hour at room temperature before imaging.

All lanes:

Western blot - Anti-RUNX3 antibody [2B3] (ab135248)

Predicted band size: 44 kDa

false

Western blot - Anti-RUNX3 antibody [2B3] (AB135248)
  • WB

Unknown

Western blot - Anti-RUNX3 antibody [2B3] (AB135248)

All lanes:

Western blot - Anti-RUNX3 antibody [2B3] (ab135248) at 1/500 dilution

Lane 1:

HEK293 cell lysate, non-transfected

Lane 2:

HEK293 cell lysate, transfected with RUNX3 (amino acids 186-252)-hIgGFc

Predicted band size: 44 kDa

false

Western blot - Anti-RUNX3 antibody [2B3] (AB135248)
  • WB

Unknown

Western blot - Anti-RUNX3 antibody [2B3] (AB135248)

All lanes:

Western blot - Anti-RUNX3 antibody [2B3] (ab135248) at 1/500 dilution

All lanes:

Recombinant Human RUNX3 protein

Predicted band size: 44 kDa

false

Key facts

Host species

Mouse

Clonality

Monoclonal

Clone number

2B3

Isotype

IgG2b

Carrier free

No

Reacts with

Mouse, Human

Applications

WB, ICC/IF, Flow Cyt, IHC-P

applications

Immunogen

Recombinant Fragment Protein within Human RUNX3 aa 150-300. The exact immunogen used to generate this antibody is proprietary information.

Q13761

Reactivity data

{ "title": "Reactivity Data", "filters": { "stats": ["", "Species", "Dilution Info", "Notes"], "tabs": { "all-applications": {"fullname" : "All Applications", "shortname": "All Applications"}, "FlowCyt" : {"fullname" : "Flow Cytometry", "shortname":"Flow Cyt"}, "WB" : {"fullname" : "Western blot", "shortname":"WB"}, "IHCP" : {"fullname" : "Immunohistochemistry (Formalin/PFA-fixed paraffin-embedded sections)", "shortname":"IHC-P"}, "ICCIF" : {"fullname" : "Immunocytochemistry/ Immunofluorescence", "shortname":"ICC/IF"} }, "product-promise": { "all": "all", "testedAndGuaranteed": "tested", "guaranteed": "expected", "predicted": "predicted", "notRecommended": "not-recommended" } }, "values": { "Human": { "FlowCyt-species-checked": "guaranteed", "FlowCyt-species-dilution-info": "", "FlowCyt-species-notes": "", "WB-species-checked": "testedAndGuaranteed", "WB-species-dilution-info": "1/500 - 1/2000", "WB-species-notes": "<p></p>", "IHCP-species-checked": "testedAndGuaranteed", "IHCP-species-dilution-info": "1/200 - 1/1000", "IHCP-species-notes": "<p></p>", "ICCIF-species-checked": "guaranteed", "ICCIF-species-dilution-info": "", "ICCIF-species-notes": "<p></p>" }, "Mouse": { "FlowCyt-species-checked": "testedAndGuaranteed", "FlowCyt-species-dilution-info": "1/200 - 1/400", "FlowCyt-species-notes": "<p><a href='/en-us/products/primary-antibodies/mouse-igg1-kappa-monoclonal-15-6e10a7-isotype-control-ab170190'>ab170190</a> - Mouse monoclonal IgG1, is suitable for use as an isotype control with this antibody.</p>", "WB-species-checked": "guaranteed", "WB-species-dilution-info": "", "WB-species-notes": "", "IHCP-species-checked": "guaranteed", "IHCP-species-dilution-info": "", "IHCP-species-notes": "", "ICCIF-species-checked": "guaranteed", "ICCIF-species-dilution-info": "", "ICCIF-species-notes": "<p></p>" } } }

Product details

This product was changed from ascites to supernatant. Lot no's high than GR206339-20 are from Tissue Culture Supernatant

Properties and storage information

Form
Liquid
Purification technique
Affinity purification Protein G
Purification notes
Purified from tissue culture supernatant.
Storage buffer
Preservative: 0.05% Sodium azide Constituents: PBS
Shipped at conditions
Blue Ice
Appropriate short-term storage duration
1-2 weeks
Appropriate short-term storage conditions
+4°C
Appropriate long-term storage conditions
-20°C

Supplementary information

This supplementary information is collated from multiple sources and compiled automatically.

RUNX3 also known as Runt-related transcription factor 3 is a protein that plays an important role in regulating gene expression. The protein has a mass of approximately 44 kDa. RUNX3 is found mainly in tissues like the gastrointestinal tract and neural systems. It functions as a DNA-binding transcription factor that regulates various genes responsible for important cellular processes.
Biological function summary

The function of RUNX3 involves the regulation of cell proliferation differentiation and apoptosis. RUNX3 often forms a complex with the core-binding factor beta (CBFβ) enhancing its stability and DNA-binding capability. This protein is essential in maintaining cellular homeostasis and influencing the immune response particularly through its role in T cell development.

Pathways

RUNX3 is heavily involved in the TGF-beta signaling pathway and the Wnt signaling pathway. It interacts with several proteins such as SMADs in the TGF-beta pathway to modulate gene expression that affects cell growth and survival. Interaction with beta-catenin in the Wnt signaling pathway further emphasizes its importance in regulating cell fate decisions.

Alterations in RUNX3 expression or function are linked to cancer including gastric cancer and colorectal cancer. It often shows reduced activity or expression in these cancers which associates with proteins like TGF-beta leading to impaired cell growth control. RUNX3 dysregulation is also connected to neurological disorders due to its role in neural development and function.

Product protocols

For this product, it's our understanding that no specific protocols are required. You can visit:

Target data

Forms the heterodimeric complex core-binding factor (CBF) with CBFB. RUNX members modulate the transcription of their target genes through recognizing the core consensus binding sequence 5'-TGTGGT-3', or very rarely, 5'-TGCGGT-3', within their regulatory regions via their runt domain, while CBFB is a non-DNA-binding regulatory subunit that allosterically enhances the sequence-specific DNA-binding capacity of RUNX. The heterodimers bind to the core site of a number of enhancers and promoters, including murine leukemia virus, polyomavirus enhancer, T-cell receptor enhancers, LCK, IL3 and GM-CSF promoters (By similarity). May be involved in the control of cellular proliferation and/or differentiation. In association with ZFHX3, up-regulates CDKN1A promoter activity following TGF-beta stimulation (PubMed : 20599712). CBF complexes repress ZBTB7B transcription factor during cytotoxic (CD8+) T cell development. They bind to RUNX-binding sequence within the ZBTB7B locus acting as transcriptional silencer and allowing for cytotoxic T cell differentiation. CBF complexes binding to the transcriptional silencer is essential for recruitment of nuclear protein complexes that catalyze epigenetic modifications to establish epigenetic ZBTB7B silencing (By similarity).
See full target information RUNX3

Publications (20)

Recent publications for all applications. Explore the full list and refine your search

Journal of inflammation research 18:6305-6317 PubMed40395555

2025

Exploration of Immune-Related Transcription Control/Regulation in Intracranial Aneurysm Through KEGG Analysis and in-vivo Validation.

Applications

Unspecified application

Species

Unspecified reactive species

Jianjun Huang,Shuya Gao,Shunli Liu,Li Liu

BMJ open respiratory research 11: PubMed39521608

2024

Pim1 inactivating induces RUNX3 upregulation that improves/alleviates airway inflammation and mucus hypersecretion in vitro and in vivo.

Applications

Unspecified application

Species

Unspecified reactive species

Yanni Fang,Zhen Guo,Lanzhi Zhou,Juan Zhang,Haiyan Li,Jumei Hao

Cellular & molecular biology letters 28:104 PubMed38093179

2023

Molecular mechanism and therapeutic potential of HDAC9 in intervertebral disc degeneration.

Applications

Unspecified application

Species

Unspecified reactive species

Ming Lei,Hui Lin,Deyao Shi,Pan Hong,Hui Song,Bomansaan Herman,Zhiwei Liao,Cao Yang

Translational oncology 35:101727 PubMed37354639

2023

Resveratrol induces the growth inhibition of CDX-deficient gastric cancer cells using CDX2 and RUNX3 via the β-catenin/TCF4 signaling pathway.

Applications

Unspecified application

Species

Unspecified reactive species

Hui Liu,Xinxin Zhang,Can Fang,Shuguang Li

Cancers 15: PubMed36900240

2023

High Expression of IRS-1, RUNX3 and SMAD4 Are Positive Prognostic Factors in Stage I-III Colon Cancer.

Applications

Unspecified application

Species

Unspecified reactive species

Hallgeir Selven,Lill-Tove Rasmussen Busund,Sigve Andersen,Mona Irene Pedersen,Ana Paola Giometti Lombardi,Thomas Karsten Kilvaer

Open life sciences 17:1579-1590 PubMed36518886

2022

Antitumor activity of RUNX3: Upregulation of E-cadherin and downregulation of the epithelial-mesenchymal transition in clear-cell renal cell carcinoma.

Applications

Unspecified application

Species

Unspecified reactive species

Ruo-Nan Yang,Fu-Rong Zhou,Hong-Yang Wang,Qing-Hai Wang,Jian-Lei Ji,Tao Huang,Chen Guo,Zhen Dong,Yan-Wei Cao

Nature communications 13:6187 PubMed36261443

2022

Runx2 and Runx3 differentially regulate articular chondrocytes during surgically induced osteoarthritis development.

Applications

Unspecified application

Species

Unspecified reactive species

Kosei Nagata,Hironori Hojo,Song Ho Chang,Hiroyuki Okada,Fumiko Yano,Ryota Chijimatsu,Yasunori Omata,Daisuke Mori,Yuma Makii,Manabu Kawata,Taizo Kaneko,Yasuhide Iwanaga,Hideki Nakamoto,Yuji Maenohara,Naohiro Tachibana,Hisatoshi Ishikura,Junya Higuchi,Yuki Taniguchi,Shinsuke Ohba,Ung-Il Chung,Sakae Tanaka,Taku Saito

Journal of oncology 2022:5752263 PubMed35368900

2022

RUNX3/H3K27me3 Co-Expression Defines a Better Prognosis in Surgically Resected Stage I and Postoperative Chemotherapy-Naive Non-Small-Cell Lung Cancer.

Applications

Unspecified application

Species

Unspecified reactive species

Xiaohui Chen,Yujie Deng,Chuanzhong Huang,Yi Shi,Jianping Lu,Guibin Weng,Weifeng Zhu,Kunshou Zhu,Junqiang Chen,Jiancheng Li

Journal of immunology (Baltimore, Md. : 1950) 207:2976-2991 PubMed34810221

2021

RUNX1 Regulates a Transcription Program That Affects the Dynamics of Cell Cycle Entry of Naive Resting B Cells.

Applications

Unspecified application

Species

Unspecified reactive species

Inesa Thomsen,Natalia Kunowska,Roshni de Souza,Anne-Marie Moody,Greg Crawford,Yi-Fang Wang,Sanjay Khadayate,Chad Whilding,Jessica Strid,Mohammad M Karimi,Alexis R Barr,Niall Dillon,Pierangela Sabbattini

Journal of translational medicine 19:469 PubMed34798872

2021

Overexpression of E3 ubiquitin ligase Cbl attenuates endothelial dysfunction in diabetes mellitus by inhibiting the JAK2/STAT4 signaling and Runx3-mediated H3K4me3.

Applications

Unspecified application

Species

Unspecified reactive species

Qingsong Jin,Liangyan Lin,Tiantian Zhao,Xiaoyan Yao,Yaqin Teng,Dongdong Zhang,Yongjun Jin,Meizi Yang
View all publications

Product promise

We are committed to supporting your work with high-quality reagents, and we're here for you every step of the way. In the unlikely event that one of our products does not perform as expected, you're protected by our Product Promise.
For full details, please see our Terms & Conditions

Please note: All products are 'FOR RESEARCH USE ONLY. NOT FOR USE IN DIAGNOSTIC OR THERAPEUTIC PROCEDURES'.

For licensing inquiries, please contact partnerships@abcam.com