JavaScript is disabled in your browser. Please enable JavaScript to view this website.
AB251583

Anti-RUNX3 antibody [EPR20680] - BSA and Azide free

Be the first to review this product! Submit a review

|

(0 Publication)

Rabbit Recombinant Monoclonal RUNX3 antibody. Carrier free. Suitable for IP, WB, IHC-P and reacts with Human samples.

View Alternative Names

AML2, CBFA3, PEBP2A3, RUNX3, Runt-related transcription factor 3, Acute myeloid leukemia 2 protein, Core-binding factor subunit alpha-3, Oncogene AML-2, Polyomavirus enhancer-binding protein 2 alpha C subunit, SL3-3 enhancer factor 1 alpha C subunit, SL3/AKV core-binding factor alpha C subunit, CBF-alpha-3, PEA2-alpha C, PEBP2-alpha C

7 Images
Immunohistochemistry (Formalin/PFA-fixed paraffin-embedded sections) - Anti-RUNX3 antibody [EPR20680] - BSA and Azide free (AB251583)
  • IHC-P

Supplier Data

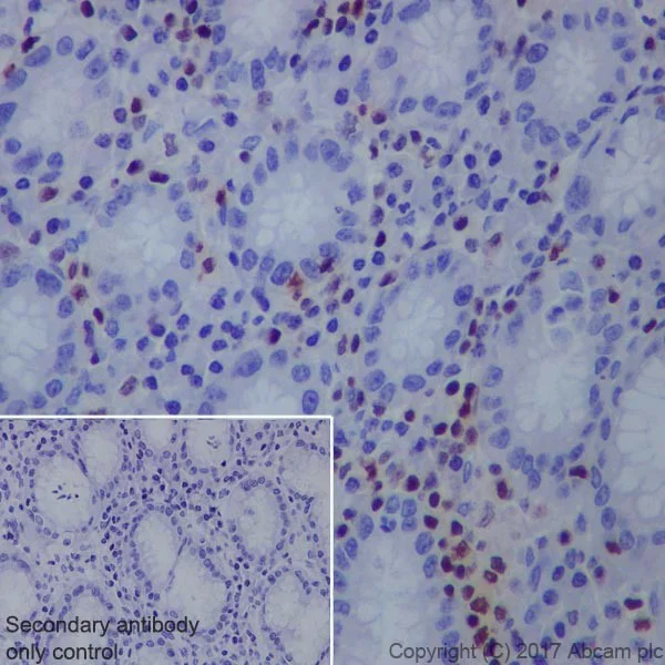
Immunohistochemistry (Formalin/PFA-fixed paraffin-embedded sections) - Anti-RUNX3 antibody [EPR20680] - BSA and Azide free (AB251583)

This data was developed using ab224642, the same antibody clone in a different buffer formulation.

Immunohistochemical analysis of paraffin-embedded human stomach tissue labeling RUNX3 with ab224642 at 1/4000 dilution, followed by Goat Anti-Rabbit IgG H&L (HRP) Ready to use. Nuclear staining on lymphoid cells of human stomach (PMID : 15514019; PMID : 21786422) is observed. Counter stained with hematoxylin.

Secondary antibody only control : Used PBS instead of primary antibody, secondary antibody is Goat Anti-Rabbit IgG H&L (HRP) Ready to use.

Perform heat mediated antigen retrieval with Tris/EDTA buffer pH 9.0 before commencing with IHC staining protocol.

Immunohistochemistry (Formalin/PFA-fixed paraffin-embedded sections) - Anti-RUNX3 antibody [EPR20680] - BSA and Azide free (AB251583)
  • IHC-P

Supplier Data

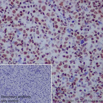
Immunohistochemistry (Formalin/PFA-fixed paraffin-embedded sections) - Anti-RUNX3 antibody [EPR20680] - BSA and Azide free (AB251583)

This data was developed using ab224642, the same antibody clone in a different buffer formulation.

Immunohistochemical analysis of paraffin-embedded human gastric cancer tissue labeling RUNX3 with ab224642 at 1/4000 dilution, followed by Goat Anti-Rabbit IgG H&L (HRP) Ready to use. Nuclear staining on lymphoid cells of human gastric cancer (PMID : 27566570). Counter stained with hematoxylin.

Secondary antibody only control : Used PBS instead of primary antibody, secondary antibody is Goat Anti-Rabbit IgG H&L (HRP) Ready to use.

Perform heat mediated antigen retrieval with Tris/EDTA buffer pH 9.0 before commencing with IHC staining protocol.

Immunohistochemistry (Formalin/PFA-fixed paraffin-embedded sections) - Anti-RUNX3 antibody [EPR20680] - BSA and Azide free (AB251583)
  • IHC-P

Supplier Data

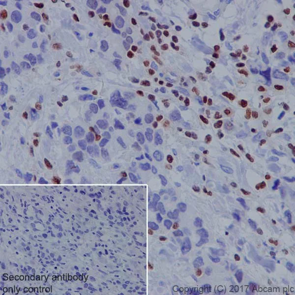
Immunohistochemistry (Formalin/PFA-fixed paraffin-embedded sections) - Anti-RUNX3 antibody [EPR20680] - BSA and Azide free (AB251583)

This data was developed using ab224642, the same antibody clone in a different buffer formulation.

Immunohistochemical analysis of paraffin-embedded human diffuse large B cell lymphoma tissue labeling RUNX3 with ab224642 at 1/4000 dilution, followed by Goat Anti-Rabbit IgG H&L (HRP) Ready to use. Nuclear staining on human diffuse large B cell lymphoma (PMID : 27184221). Counter stained with hematoxylin.

Secondary antibody only control : Used PBS instead of primary antibody, secondary antibody is Goat Anti-Rabbit IgG H&L (HRP) Ready to use.

Perform heat mediated antigen retrieval with Tris/EDTA buffer pH 9.0 before commencing with IHC staining protocol.

Immunoprecipitation - Anti-RUNX3 antibody [EPR20680] - BSA and Azide free (AB251583)
  • IP

Unknown

Immunoprecipitation - Anti-RUNX3 antibody [EPR20680] - BSA and Azide free (AB251583)

This data was developed using ab224642, the same antibody clone in a different buffer formulation.

RUNX3 was immunoprecipitated from 0.35 mg of Raji (human Burkitt's lymphoma cell line) whole cell lysate with ab224642 at 1/30 dilution. Western blot was performed from the immunoprecipitate using ab224642 at 1/1000 dilution. VeriBlot for IP Detection Reagent (HRP) (ab131366), was used for detection at 1/10000 dilution.

Lane 1 : Raji whole cell lysate 10 μg (Input).
Lane 2 : ab224642 IP in Raji whole cell lysate.
Lane 3 : Rabbit monoclonal IgG (ab172730) instead of ab224642 in Raji whole cell lysate.

Blocking and dilution buffer and concentration : 5% NFDM/TBST.

Exposure time : 10 second.

The molecular weight observed is consistent with what has been described in the literature (PMID : 23700080).

All lanes:

Immunoprecipitation - Anti-RUNX3 antibody [EPR20680] (<a href='/en-us/products/primary-antibodies/runx3-antibody-epr20680-ab224642'>ab224642</a>)

Predicted band size: 44 kDa

false

Western blot - Anti-RUNX3 antibody [EPR20680] - BSA and Azide free (AB251583)
  • WB

Supplier Data

Western blot - Anti-RUNX3 antibody [EPR20680] - BSA and Azide free (AB251583)

This data was developed using ab224642, the same antibody clone in a different buffer formulation.

Blocking and dilution buffer : 5% NFDM/TBST.

Exposure times : Lane 1 : 3 minutes; Lane 2 : 15 seconds.

This target detects both predicted isoforms 44 kDa and 46 kDa, consistent with what has been described in the literature (PMID : 23700080).

All lanes:

Western blot - Anti-RUNX3 antibody [EPR20680] (<a href='/en-us/products/primary-antibodies/runx3-antibody-epr20680-ab224642'>ab224642</a>) at 1/1000 dilution

Lane 1:

Human thymus tissue lysate at 20 µg

Lane 2:

Human tonsil tissue lysate at 20 µg

Secondary

All lanes:

Western blot - Goat Anti-Rabbit IgG H&L (HRP) (<a href='/en-us/products/secondary-antibodies/goat-rabbit-igg-h-l-hrp-ab97051'>ab97051</a>) at 1/100000 dilution

Predicted band size: 44 kDa

Observed band size: 44 kDa,46 kDa

true

Western blot - Anti-RUNX3 antibody [EPR20680] - BSA and Azide free (AB251583)
  • WB

Lab

Western blot - Anti-RUNX3 antibody [EPR20680] - BSA and Azide free (AB251583)

This data was developed using ab224642, the same antibody clone in a different buffer formulation.

Lanes 1 - 4 : Merged signal (red and green). Green - ab224642 observed at 44-46 kDa. Red - loading control, ab130007, observed at 130 kDa.

ab224642 was shown to recognize RUNX3 in wild-type HAP1 cells as signal was lost at the expected MW in RUNX3 knockout cells. Additional cross-reactive bands were observed in the wild-type and knockout cells. Wild-type and RUNX3 knockout samples were subjected to SDS-PAGE. ab224642 and ab130007 (Mouse anti-Vinculin loading control) were incubated overnight at 4°C at 1/1000 dilution and 1/20000 dilution respectively. Blots were developed with Goat anti-Rabbit IgG H&L (IRDye® 800CW) preabsorbed ab216773 and Goat anti-Mouse IgG H&L (IRDye® 680RD) preabsorbed ab216776 secondary antibodies at 1/20000 dilution for 1 hour at room temperature before imaging.

All lanes:

Western blot - Anti-RUNX3 antibody [EPR20680] (<a href='/en-us/products/primary-antibodies/runx3-antibody-epr20680-ab224642'>ab224642</a>) at 1/1000 dilution

Lane 1:

Wild-type HAP1 whole cell lysate at 20 µg

Lane 2:

RUNX3 knockout HAP1 whole cell lysate at 20 µg

Lane 3:

Ramos whole cell lysate at 20 µg

Lane 4:

HeLa whole cell lysate at 20 µg

Predicted band size: 44 kDa

false

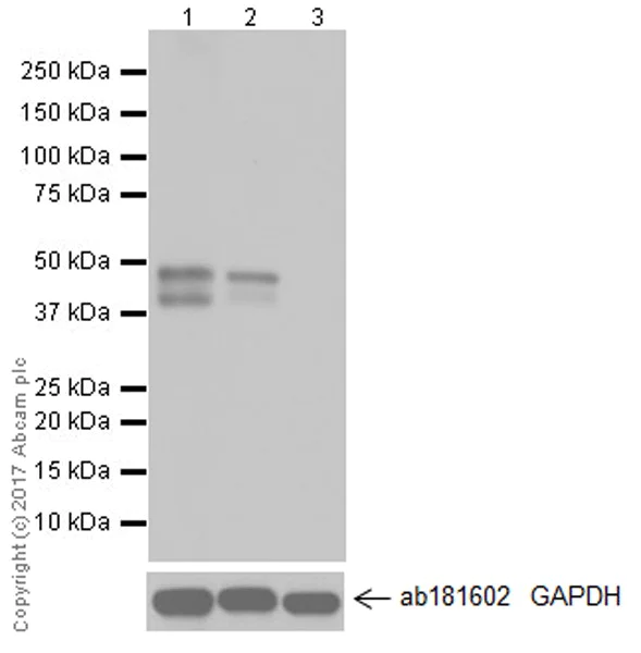
Western blot - Anti-RUNX3 antibody [EPR20680] - BSA and Azide free (AB251583)
  • WB

Supplier Data

Western blot - Anti-RUNX3 antibody [EPR20680] - BSA and Azide free (AB251583)

This data was developed using ab224642, the same antibody clone in a different buffer formulation.

Blocking and dilution buffer : 5% NFDM/TBST.

Negative control : MCF-7 (PMID : 21706051).

This target detects both predicted isoforms 44KDa and 46KDa, consistent with what has been described in the literature (PMID : 23700080).

All lanes:

Western blot - Anti-RUNX3 antibody [EPR20680] (<a href='/en-us/products/primary-antibodies/runx3-antibody-epr20680-ab224642'>ab224642</a>) at 1/1000 dilution

Lane 1:

Raji (human Burkitt's lymphoma cell line) whole cell lysate at 20 µg

Lane 2:

Ramos (human Burkitt's lymphoma cell line) whole cell lysate at 20 µg

Lane 3:

MCF7 (human breast adenocarcinoma cell line) whole cell lysate at 20 µg

Secondary

All lanes:

Western blot - Goat Anti-Rabbit IgG H&L (HRP) (<a href='/en-us/products/secondary-antibodies/goat-rabbit-igg-h-l-hrp-ab97051'>ab97051</a>) at 1/100000 dilution

Predicted band size: 44 kDa

Observed band size: 44 kDa,46 kDa

true

Exposure time: 10s

Key facts

Host species

Rabbit

Clonality

Monoclonal

Clone number

EPR20680

Isotype

IgG

Carrier free

Yes

Reacts with

Human

Applications

IHC-P, IP, WB

applications

Immunogen

The exact immunogen used to generate this antibody is proprietary information.

Reactivity data

{ "title": "Reactivity Data", "filters": { "stats": ["", "Species", "Dilution Info", "Notes"], "tabs": { "all-applications": {"fullname" : "All Applications", "shortname": "All Applications"}, "IP" : {"fullname" : "Immunoprecipitation", "shortname":"IP"}, "WB" : {"fullname" : "Western blot", "shortname":"WB"}, "IHCP" : {"fullname" : "Immunohistochemistry (Formalin/PFA-fixed paraffin-embedded sections)", "shortname":"IHC-P"} }, "product-promise": { "all": "all", "testedAndGuaranteed": "tested", "guaranteed": "expected", "predicted": "predicted", "notRecommended": "not-recommended" } }, "values": { "Human": { "IP-species-checked": "testedAndGuaranteed", "IP-species-dilution-info": "", "IP-species-notes": "<p></p>", "WB-species-checked": "testedAndGuaranteed", "WB-species-dilution-info": "", "WB-species-notes": "<p></p>", "IHCP-species-checked": "testedAndGuaranteed", "IHCP-species-dilution-info": "", "IHCP-species-notes": "<p></p>" } } }

Product details

ab251583 is the carrier-free version of ab224642.

Patented technology
Our RabMAb® technology is a patented hybridoma-based technology for making rabbit monoclonal antibodies. For details on our patents, please refer to RabMAb® patents.

What are the advantages of a recombinant monoclonal antibody?
This product is a recombinant monoclonal antibody, which offers several advantages including:

  • - High batch-to-batch consistency and reproducibility
  • - Improved sensitivity and specificity
  • - Long-term security of supply
  • - Animal-free batch production

For more information, read more on recombinant antibodies.

Conjugation ready
Our carrier-free antibodies are typically supplied in a PBS-only formulation, purified and free of BSA, sodium azide and glycerol. This conjugation-ready format is designed for use with fluorochromes, metal isotopes, oligonucleotides, and enzymes, which makes them ideal for antibody labelling, functional and cell-based assays, flow-based assays (e.g. mass cytometry) and Multiplex Imaging applications.

Use our conjugation kits for antibody conjugates that are ready-to-use in as little as 20 minutes with 1 minute hands-on-time and 100% antibody recovery: available for fluorescent dyes, HRP, biotin and gold.

Compatibility
This product is compatible with the Maxpar® Antibody Labeling Kit from Fluidigm, without the need for antibody preparation. Maxpar® is a trademark of Fluidigm Canada Inc.

Properties and storage information

Form
Liquid
Purification technique
Affinity purification Protein A
Storage buffer
pH: 7.2 - 7.4 Constituents: PBS
Shipped at conditions
Blue Ice
Appropriate short-term storage conditions
+4°C
Appropriate long-term storage conditions
+4°C
Storage information
Do Not Freeze

Supplementary information

This supplementary information is collated from multiple sources and compiled automatically.

RUNX3 also known as Runt-related transcription factor 3 is a protein that plays an important role in regulating gene expression. The protein has a mass of approximately 44 kDa. RUNX3 is found mainly in tissues like the gastrointestinal tract and neural systems. It functions as a DNA-binding transcription factor that regulates various genes responsible for important cellular processes.
Biological function summary

The function of RUNX3 involves the regulation of cell proliferation differentiation and apoptosis. RUNX3 often forms a complex with the core-binding factor beta (CBFβ) enhancing its stability and DNA-binding capability. This protein is essential in maintaining cellular homeostasis and influencing the immune response particularly through its role in T cell development.

Pathways

RUNX3 is heavily involved in the TGF-beta signaling pathway and the Wnt signaling pathway. It interacts with several proteins such as SMADs in the TGF-beta pathway to modulate gene expression that affects cell growth and survival. Interaction with beta-catenin in the Wnt signaling pathway further emphasizes its importance in regulating cell fate decisions.

Alterations in RUNX3 expression or function are linked to cancer including gastric cancer and colorectal cancer. It often shows reduced activity or expression in these cancers which associates with proteins like TGF-beta leading to impaired cell growth control. RUNX3 dysregulation is also connected to neurological disorders due to its role in neural development and function.

Product protocols

For this product, it's our understanding that no specific protocols are required. You can visit:

Target data

Forms the heterodimeric complex core-binding factor (CBF) with CBFB. RUNX members modulate the transcription of their target genes through recognizing the core consensus binding sequence 5'-TGTGGT-3', or very rarely, 5'-TGCGGT-3', within their regulatory regions via their runt domain, while CBFB is a non-DNA-binding regulatory subunit that allosterically enhances the sequence-specific DNA-binding capacity of RUNX. The heterodimers bind to the core site of a number of enhancers and promoters, including murine leukemia virus, polyomavirus enhancer, T-cell receptor enhancers, LCK, IL3 and GM-CSF promoters (By similarity). May be involved in the control of cellular proliferation and/or differentiation. In association with ZFHX3, up-regulates CDKN1A promoter activity following TGF-beta stimulation (PubMed : 20599712). CBF complexes repress ZBTB7B transcription factor during cytotoxic (CD8+) T cell development. They bind to RUNX-binding sequence within the ZBTB7B locus acting as transcriptional silencer and allowing for cytotoxic T cell differentiation. CBF complexes binding to the transcriptional silencer is essential for recruitment of nuclear protein complexes that catalyze epigenetic modifications to establish epigenetic ZBTB7B silencing (By similarity).
See full target information RUNX3

Product promise

We are committed to supporting your work with high-quality reagents, and we're here for you every step of the way. In the unlikely event that one of our products does not perform as expected, you're protected by our Product Promise.
For full details, please see our Terms & Conditions

Please note: All products are 'FOR RESEARCH USE ONLY. NOT FOR USE IN DIAGNOSTIC OR THERAPEUTIC PROCEDURES'.

For licensing inquiries, please contact partnerships@abcam.com