JavaScript is disabled in your browser. Please enable JavaScript to view this website.
AB224641

Anti-RUNX3 antibody [EPR20687] - ChIP Grade

Be the first to review this product! Submit a review

|

(14 Publications)

Rabbit Recombinant Monoclonal RUNX3 antibody. Suitable for IP, ChIP, WB, ICC/IF, Flow Cyt (Intra), IHC-P and reacts with Human samples. Cited in 14 publications.

View Alternative Names

AML2, CBFA3, PEBP2A3, RUNX3, Runt-related transcription factor 3, Acute myeloid leukemia 2 protein, Core-binding factor subunit alpha-3, Oncogene AML-2, Polyomavirus enhancer-binding protein 2 alpha C subunit, SL3-3 enhancer factor 1 alpha C subunit, SL3/AKV core-binding factor alpha C subunit, CBF-alpha-3, PEA2-alpha C, PEBP2-alpha C

11 Images
Immunohistochemistry (Formalin/PFA-fixed paraffin-embedded sections) - Anti-RUNX3 antibody [EPR20687] - ChIP Grade (AB224641)
  • IHC-P

Supplier Data

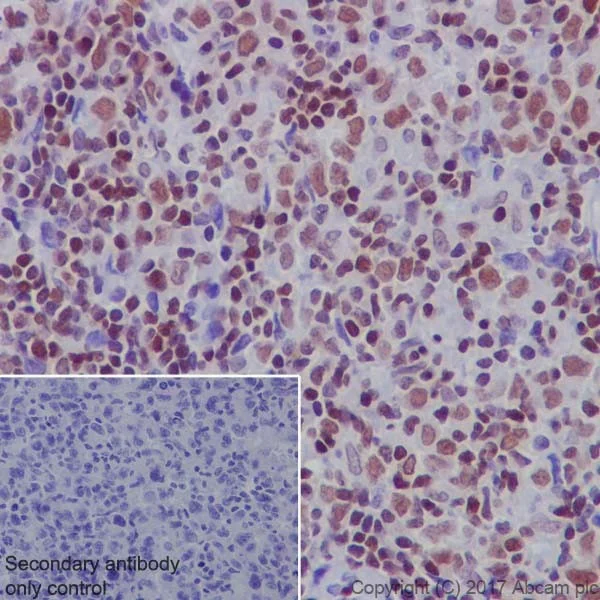
Immunohistochemistry (Formalin/PFA-fixed paraffin-embedded sections) - Anti-RUNX3 antibody [EPR20687] - ChIP Grade (AB224641)

Immunohistochemical analysis of paraffin-embedded human diffuse large B cell lymphoma tissue labeling RUNX3 with ab224641 at 1/1000 dilution, followed by Goat Anti-Rabbit IgG H&L (HRP) (ab97051), ready to use. Nuclear staining on human diffuse large B cell lymphoma (PMID : 27184221) is observed. Counter stained with Hematoxylin.

Secondary antibody only control : Used PBS instead of primary antibody, secondary antibody is Goat Anti-Rabbit IgG H&L (HRP) (ab97051), ready to use.

Perform heat mediated antigen retrieval using ab93684 (Tris/EDTA buffer, pH 9.0).

Immunohistochemistry (Formalin/PFA-fixed paraffin-embedded sections) - Anti-RUNX3 antibody [EPR20687] - ChIP Grade (AB224641)
  • IHC-P

Supplier Data

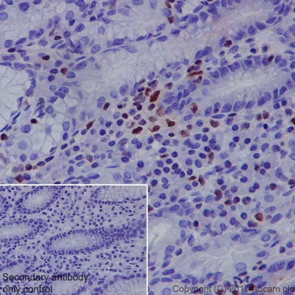
Immunohistochemistry (Formalin/PFA-fixed paraffin-embedded sections) - Anti-RUNX3 antibody [EPR20687] - ChIP Grade (AB224641)

Immunohistochemical analysis of paraffin-embedded human stomach tissue labeling RUNX3 with ab224641 at 1/1000 dilution, followed by Goat Anti-Rabbit IgG H&L (HRP) (ab97051), ready to use. Nuclear staining on lymphoid cells of human stomach (PMID : 15514019; PMID : 21786422) is observed. Counter stained with hematoxylin.

Secondary antibody only control : Used PBS instead of primary antibody, secondary antibody is Goat Anti-Rabbit IgG H&L (HRP) (ab97051), ready to use.

Perform heat mediated antigen retrieval using ab93684 (Tris/EDTA buffer, pH 9.0).

Immunocytochemistry/ Immunofluorescence - Anti-RUNX3 antibody [EPR20687] - ChIP Grade (AB224641)
  • ICC/IF

Supplier Data

Immunocytochemistry/ Immunofluorescence - Anti-RUNX3 antibody [EPR20687] - ChIP Grade (AB224641)

Immunofluorescent analysis of 4% paraformaldehyde-fixed, 0.1% Triton X-100 permeabilized Raji (human Burkitt's lymphoma cell line) cells labeling RUNX3 with ab224641 at 1/100 dilution, followed by Goat Anti-Rabbit IgG H&L (Alexa Fluor® 488) (ab150077) secondary antibody at 1/1000 dilution (green). Confocal image showing nuclear staining on Raji cell line. DAPI (blue) and anti-alpha Tubulin antibody [DM1A] - Microtubule Marker (Alexa Fluor® 594) (ab195889) (red) at 1/200 dilution were used as counterstains.

Secondary antibody only control : Used PBS instead of primary antibody, secondary antibody is AlexaFluor®488 Goat anti-Rabbit (ab150077) at 1/1000 dilution.

Flow Cytometry (Intracellular) - Anti-RUNX3 antibody [EPR20687] - ChIP Grade (AB224641)
  • Flow Cyt (Intra)

Supplier Data

Flow Cytometry (Intracellular) - Anti-RUNX3 antibody [EPR20687] - ChIP Grade (AB224641)

Intracellular flow cytometric analysis of 4% paraformaldehyde-fixed, 90% methanol permeabilized Raji (human Burkitt's lymphoma cell line) cell line labeling RUNX3 with ab224641 at 1/500 dilution (red) compared with a Rabbit IgG, monoclonal [EPR25A] - Isotype Control (ab172730) (black) and an unlabeled control (cells without incubation with primary antibody and secondary antibody) (blue). Goat Anti-Rabbit IgG H&L (Alexa Fluor® 488) (ab150077) at 1/2000 dilution was used as the secondary antibody.

Immunohistochemistry (Formalin/PFA-fixed paraffin-embedded sections) - Anti-RUNX3 antibody [EPR20687] - ChIP Grade (AB224641)
  • IHC-P

Supplier Data

Immunohistochemistry (Formalin/PFA-fixed paraffin-embedded sections) - Anti-RUNX3 antibody [EPR20687] - ChIP Grade (AB224641)

Immunohistochemical analysis of paraffin-embedded human gastric cancer tissue labeling RUNX3 with ab224641 at 1/1000 dilution, followed by Goat Anti-Rabbit IgG H&L (HRP) (ab97051), ready to use. Nuclear staining on lymphoid cells of human gastric cancer (PMID : 27566570) is observed. Counter stained with hematoxylin.

Secondary antibody only control : Used PBS instead of primary antibody, secondary antibody is Goat Anti-Rabbit IgG H&L (HRP) (ab97051), ready to use.

Perform heat mediated antigen retrieval using ab93684 (Tris/EDTA buffer, pH 9.0).

Immunocytochemistry/ Immunofluorescence - Anti-RUNX3 antibody [EPR20687] - ChIP Grade (AB224641)
  • ICC/IF

Supplier Data

Immunocytochemistry/ Immunofluorescence - Anti-RUNX3 antibody [EPR20687] - ChIP Grade (AB224641)

Immunofluorescent analysis of 4% paraformaldehyde-fixed, 0.1% Triton X-100 permeabilized Ramos (human Burkitt's lymphoma cell line) cells labeling RUNX3 with ab224641 at 1/100 dilution, followed by Goat Anti-Rabbit IgG H&L (Alexa Fluor® 488) (ab150077) secondary antibody at 1/1000 dilution (green). Confocal image showing nuclear staining on Ramos cell line. DAPI (blue) and anti-alpha Tubulin antibody [DM1A] - Microtubule Marker (Alexa Fluor® 594) (ab195889) (red) at 1/200 dilution were used as counterstains.

The negative controls are as follows :

Negative control : MCF7 (human breast adenocarcinoma cell line) (PMID : 21706051).

Secondary antibody only control : Used PBS instead of primary antibody, secondary antibody is AlexaFluor®488 Goat anti-Rabbit (ab150077) at 1/1000 dilution..

Immunoprecipitation - Anti-RUNX3 antibody [EPR20687] - ChIP Grade (AB224641)
  • IP

Supplier Data

Immunoprecipitation - Anti-RUNX3 antibody [EPR20687] - ChIP Grade (AB224641)

RUNX3 was immunoprecipitated from 0.35 mg of Raji (human Burkitt's lymphoma cell line) whole cell lysate with ab224641 at 1/30 dilution. Western blot was performed from the immunoprecipitate using ab224641 at 1/1000 dilution. VeriBlot for IP Detection Reagent (HRP) (ab131366), was used for detection at 1/10,000 dilution.

Lane 1 : Raji whole cell lysate 10 μg (Input).

Lane 2 : ab224641 IP in Raji whole cell lysate (+).

Lane 3 : Rabbit monoclonal IgG (ab172730) instead of ab224641 in Raji whole cell lysate (-).

Blocking and dilution buffer and concentration : 5% NFDM/TBST.

All lanes:

Immunoprecipitation - Anti-RUNX3 antibody [EPR20687] - ChIP Grade (ab224641)

Predicted band size: 44 kDa

false

Exposure time: 1s

ChIP - Anti-RUNX3 antibody [EPR20687] - ChIP Grade (AB224641)
  • ChIP

Unknown

ChIP - Anti-RUNX3 antibody [EPR20687] - ChIP Grade (AB224641)

Chromatin was prepared from U-937 (PMA treated or not) cells according to the Abcam X-ChIP protocol. Cells were fixed with 1% formaldehyde for 10 minutes. The ChIP was performed with 25μg of chromatin, 5μg of ab224641 (red), and 20μl of protein A/G sepharose beads slurry (10μl of sepharose A beads + 10μl of sepharose G beads). 5μg of rabbit normal IgG was added to the beads control (grey). The immunoprecipitated DNA was quantified by real time PCR (Sybr green approach).

Western blot - Anti-RUNX3 antibody [EPR20687] - ChIP Grade (AB224641)
  • WB

Supplier Data

Western blot - Anti-RUNX3 antibody [EPR20687] - ChIP Grade (AB224641)

Blocking/Dilution : 5% NFDM/TBST.

Negative control : MCF7 (PMID : 21706051).

This target detects both predicted isoforms 44KDa and 46KDa that consistent with what has been described in the literature (PMID : 23700080).

All lanes:

Western blot - Anti-RUNX3 antibody [EPR20687] - ChIP Grade (ab224641) at 1/1000 dilution

Lane 1:

Raji (human Burkitt's lymphoma cell line) cell lysate at 20 µg

Lane 2:

Ramos (human Burkitt's lymphoma cell line) cell lysate at 20 µg

Lane 3:

MCF7 (human breast adenocarcinoma cell line) cell lysate at 20 µg

Secondary

All lanes:

Western blot - Goat Anti-Rabbit IgG H&L (HRP) (<a href='/en-us/products/secondary-antibodies/goat-rabbit-igg-h-l-hrp-ab97051'>ab97051</a>) at 1/100000 dilution

Predicted band size: 44 kDa

Observed band size: 44 kDa,46 kDa

true

Exposure time: 5s

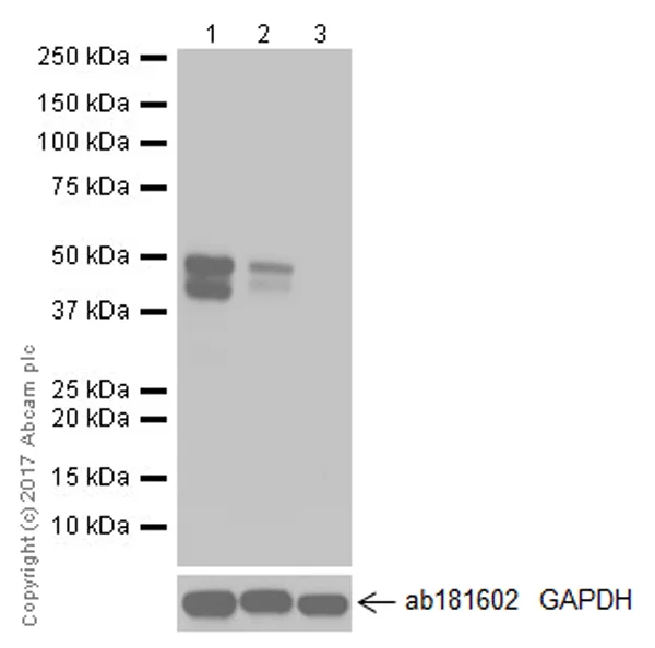
Western blot - Anti-RUNX3 antibody [EPR20687] - ChIP Grade (AB224641)
  • WB

Supplier Data

Western blot - Anti-RUNX3 antibody [EPR20687] - ChIP Grade (AB224641)

Blocking/Dilution : 5% NFDM/TBST.

This target detects both predicted isoforms 44KDa and 46KDa that consistent with what has been described in the literature (PMID : 23700080).

All lanes:

Western blot - Anti-RUNX3 antibody [EPR20687] - ChIP Grade (ab224641) at 1/1000 dilution

All lanes:

Human tonsil tissue lysate at 20 µg

Secondary

All lanes:

Western blot - Goat Anti-Rabbit IgG H&L (HRP) (<a href='/en-us/products/secondary-antibodies/goat-rabbit-igg-h-l-hrp-ab97051'>ab97051</a>) at 1/100000 dilution

Predicted band size: 44 kDa

true

Exposure time: 30s

Western blot - Anti-RUNX3 antibody [EPR20687] - ChIP Grade (AB224641)
  • WB

Lab

Western blot - Anti-RUNX3 antibody [EPR20687] - ChIP Grade (AB224641)

Lanes 1 - 4 : Merged signal (red and green). Green - ab224641 observed at 44-46 kDa. Red - loading control, ab130007, observed at 130 kDa.

ab224641 was shown to specifically react with RUNX3 in wild-type HAP1 cells as signal was lost in RUNX3 knockout cells. Wild-type and RUNX3 knockout samples were subjected to SDS-PAGE. ab224641 and ab130007 (Mouse anti-Vinculin loading control) were incubated overnight at 4°C at 1/1000 dilution and 1/20000 dilution respectively. Blots were developed with Goat anti-Rabbit IgG H&L (IRDye® 800CW) preabsorbed ab216773 and Goat anti-Mouse IgG H&L (IRDye® 680RD) preabsorbed ab216776 secondary antibodies at 1/20000 dilution for 1 hour at room temperature before imaging.

All lanes:

Western blot - Anti-RUNX3 antibody [EPR20687] - ChIP Grade (ab224641) at 1/1000 dilution

Lane 1:

Wild-type HAP1 whole cell lysate at 20 µg

Lane 2:

RUNX3 knockout HAP1 whole cell lysate at 20 µg

Lane 3:

Ramos whole cell lysate at 20 µg

Lane 4:

HeLa whole cell lysate at 20 µg

Predicted band size: 44 kDa

false

  • 578 PE

    PE Anti-RUNX3 antibody [EPR20687]

  • 660 APC

    APC Anti-RUNX3 antibody [EPR20687]

  • 665 Alexa Fluor® 647

    Alexa Fluor® 647 Anti-RUNX3 antibody [EPR20687]

  • 603 Alexa Fluor® 568

    Alexa Fluor® 568 Anti-RUNX3 antibody [EPR20687]

  • Carrier free

    Anti-RUNX3 antibody [EPR20687] - BSA and Azide free

  • HRP

    HRP Anti-RUNX3 antibody [EPR20687]

  • 617 Alexa Fluor® 594

    Alexa Fluor® 594 Anti-RUNX3 antibody [EPR20687]

  • 519 Alexa Fluor® 488

    Alexa Fluor® 488 Anti-RUNX3 antibody [EPR20687]

  • 565 Alexa Fluor® 555

    Alexa Fluor® 555 Anti-RUNX3 antibody [EPR20687]

  • 775 Alexa Fluor® 750

    Alexa Fluor® 750 Anti-RUNX3 antibody [EPR20687] - ChIP Grade

Key facts

Host species

Rabbit

Clonality

Monoclonal

Clone number

EPR20687

Isotype

IgG

Carrier free

No

Reacts with

Human

Applications

ICC/IF, IP, ChIP, WB, IHC-P, Flow Cyt (Intra)

applications

Immunogen

The exact immunogen used to generate this antibody is proprietary information.

Reactivity data

{ "title": "Reactivity Data", "filters": { "stats": ["", "Species", "Dilution Info", "Notes"], "tabs": { "all-applications": {"fullname" : "All Applications", "shortname": "All Applications"}, "IP" : {"fullname" : "Immunoprecipitation", "shortname":"IP"}, "ChIP" : {"fullname" : "ChIP", "shortname":"ChIP"}, "WB" : {"fullname" : "Western blot", "shortname":"WB"}, "ICCIF" : {"fullname" : "Immunocytochemistry/ Immunofluorescence", "shortname":"ICC/IF"}, "FlowCytIntra" : {"fullname" : "Flow Cytometry (Intracellular)", "shortname":"Flow Cyt (Intra)"}, "IHCP" : {"fullname" : "Immunohistochemistry (Formalin/PFA-fixed paraffin-embedded sections)", "shortname":"IHC-P"} }, "product-promise": { "all": "all", "testedAndGuaranteed": "tested", "guaranteed": "expected", "predicted": "predicted", "notRecommended": "not-recommended" } }, "values": { "Human": { "IP-species-checked": "testedAndGuaranteed", "IP-species-dilution-info": "1/30", "IP-species-notes": "<p></p>", "ChIP-species-checked": "testedAndGuaranteed", "ChIP-species-dilution-info": "", "ChIP-species-notes": "<p></p>", "WB-species-checked": "testedAndGuaranteed", "WB-species-dilution-info": "1/1000", "WB-species-notes": "<p></p>", "ICCIF-species-checked": "testedAndGuaranteed", "ICCIF-species-dilution-info": "1/100", "ICCIF-species-notes": "<p></p>", "FlowCytIntra-species-checked": "testedAndGuaranteed", "FlowCytIntra-species-dilution-info": "1/500", "FlowCytIntra-species-notes": "<p></p>", "IHCP-species-checked": "testedAndGuaranteed", "IHCP-species-dilution-info": "1/1000", "IHCP-species-notes": "<p></p>" } } }

Product details

Patented technology
Our RabMAb® technology is a patented hybridoma-based technology for making rabbit monoclonal antibodies. For details on our patents, please refer to RabMAb® patents.

What are the advantages of a recombinant monoclonal antibody?
This product is a recombinant monoclonal antibody, which offers several advantages including:

  • - High batch-to-batch consistency and reproducibility
  • - Improved sensitivity and specificity
  • - Long-term security of supply
  • - Animal-free batch production

For more information, read more on recombinant antibodies.

Properties and storage information

Form
Liquid
Purification technique
Affinity purification Protein A
Storage buffer
pH: 7.2 - 7.4 Preservative: 0.01% Sodium azide Constituents: PBS, 40% Glycerol (glycerin, glycerine), 0.05% BSA
Shipped at conditions
Blue Ice
Appropriate short-term storage duration
1-2 weeks
Appropriate short-term storage conditions
+4°C
Appropriate long-term storage conditions
-20°C
Aliquoting information
Upon delivery aliquot
Storage information
Avoid freeze / thaw cycle

Supplementary information

This supplementary information is collated from multiple sources and compiled automatically.

RUNX3 also known as Runt-related transcription factor 3 is a protein that plays an important role in regulating gene expression. The protein has a mass of approximately 44 kDa. RUNX3 is found mainly in tissues like the gastrointestinal tract and neural systems. It functions as a DNA-binding transcription factor that regulates various genes responsible for important cellular processes.
Biological function summary

The function of RUNX3 involves the regulation of cell proliferation differentiation and apoptosis. RUNX3 often forms a complex with the core-binding factor beta (CBFβ) enhancing its stability and DNA-binding capability. This protein is essential in maintaining cellular homeostasis and influencing the immune response particularly through its role in T cell development.

Pathways

RUNX3 is heavily involved in the TGF-beta signaling pathway and the Wnt signaling pathway. It interacts with several proteins such as SMADs in the TGF-beta pathway to modulate gene expression that affects cell growth and survival. Interaction with beta-catenin in the Wnt signaling pathway further emphasizes its importance in regulating cell fate decisions.

Alterations in RUNX3 expression or function are linked to cancer including gastric cancer and colorectal cancer. It often shows reduced activity or expression in these cancers which associates with proteins like TGF-beta leading to impaired cell growth control. RUNX3 dysregulation is also connected to neurological disorders due to its role in neural development and function.

Product protocols

For this product, it's our understanding that no specific protocols are required. You can visit:

Target data

Forms the heterodimeric complex core-binding factor (CBF) with CBFB. RUNX members modulate the transcription of their target genes through recognizing the core consensus binding sequence 5'-TGTGGT-3', or very rarely, 5'-TGCGGT-3', within their regulatory regions via their runt domain, while CBFB is a non-DNA-binding regulatory subunit that allosterically enhances the sequence-specific DNA-binding capacity of RUNX. The heterodimers bind to the core site of a number of enhancers and promoters, including murine leukemia virus, polyomavirus enhancer, T-cell receptor enhancers, LCK, IL3 and GM-CSF promoters (By similarity). May be involved in the control of cellular proliferation and/or differentiation. In association with ZFHX3, up-regulates CDKN1A promoter activity following TGF-beta stimulation (PubMed : 20599712). CBF complexes repress ZBTB7B transcription factor during cytotoxic (CD8+) T cell development. They bind to RUNX-binding sequence within the ZBTB7B locus acting as transcriptional silencer and allowing for cytotoxic T cell differentiation. CBF complexes binding to the transcriptional silencer is essential for recruitment of nuclear protein complexes that catalyze epigenetic modifications to establish epigenetic ZBTB7B silencing (By similarity).
See full target information RUNX3

Publications (14)

Recent publications for all applications. Explore the full list and refine your search

Annals of surgical oncology 32:10224-10237 PubMed40916017

2025

Single-Cell RNA Sequencing Reveals Potential Mechanism of RUNX3 Reshaping Tumor Microenvironment in Non-small-cell Lung Cancer.

Applications

Unspecified application

Species

Unspecified reactive species

Weijin Xiao,Jianqing Zheng,Yujie Deng,Bifen Huang,Weibin Liu,Xuejin Zheng,Kaijia Zhou,Weimin Fang,Xiaohui Chen

HGG advances 6:100386 PubMed39580621

2024

An ADPRS variant disrupts ARH3 stability and subcellular localization in children with neurodegeneration and respiratory failure.

Applications

Unspecified application

Species

Unspecified reactive species

Maxwell Bannister,Sarah Bray,Anjali Aggarwal,Charles Billington,Hai Dang Nguyen

Journal of virology 98:e0156723 PubMed38197631

2024

RUNX3 inhibits KSHV lytic replication by binding to the viral genome and repressing transcription.

Applications

Unspecified application

Species

Unspecified reactive species

Pengyu Ren,Danping Niu,Sijia Chang,Lei Yu,Junrui Ren,Yuanming Ma,Ke Lan

Journal of translational medicine 20:120 PubMed35272674

2022

RUNX3-mediated circDYRK1A inhibits glutamine metabolism in gastric cancer by up-regulating microRNA-889-3p-dependent FBXO4.

Applications

Unspecified application

Species

Unspecified reactive species

Haofeng Liu,Qiu Xue,Hongzhou Cai,Xiaohui Jiang,Guangxin Cao,Tie Chen,Yuan Chen,Ding Wang

Frontiers in oncology 12:713335 PubMed35280723

2022

Combined Detection of RUNX3 and EZH2 in Evaluating Efficacy of Neoadjuvant Therapy and Prognostic Value of Middle and Low Locally Advanced Rectal Cancer.

Applications

Unspecified application

Species

Unspecified reactive species

Likun Wang,Xueliang Wu,Wengui Xu,Lei Gao,Ximo Wang,Tian Li

Signal transduction and targeted therapy 6:375 PubMed34728602

2021

The existence of a nonclassical TCA cycle in the nucleus that wires the metabolic-epigenetic circuitry.

Applications

Unspecified application

Species

Unspecified reactive species

Xujun Liu,Wenzhe Si,Lin He,Jianguo Yang,Yani Peng,Jie Ren,Xiaoping Liu,Tong Jin,Huajing Yu,Zihan Zhang,Xiao Cheng,Wenting Zhang,Lu Xia,Yunchao Huang,Yue Wang,Shumeng Liu,Lin Shan,Yu Zhang,Xiaohan Yang,Haixia Li,Jing Liang,Luyang Sun,Yongfeng Shang

Regenerative therapy 18:430-440 PubMed34754888

2021

RUNX3 derived hsa_circ_0005752 accelerates the osteogenic differentiation of adipose-derived stem cells via the miR-496/MDM2-p53 pathway.

Applications

Unspecified application

Species

Unspecified reactive species

Ming Wang,Yifan Huan,Xiyang Li,Jing Li,Guohua Lv

Cell death & disease 12:957 PubMed34663788

2021

ELK4-mediated lncRNA SNHG22 promotes gastric cancer progression through interacting with EZH2 and regulating miR-200c-3p/Notch1 axis.

Applications

Unspecified application

Species

Unspecified reactive species

Xiaqiong Mao,Tao Ji,Aiguo Liu,Yunqi Weng

Cancer science 111:3679-3692 PubMed32762126

2020

Histone demethylase Jumonji domain-containing 1A inhibits proliferation and progression of gastric cancer by upregulating runt-related transcription factor 3.

Applications

Unspecified application

Species

Unspecified reactive species

Ke Ning,Yangguang Shao,Yuxin He,Fei Wang,Xi Cui,Furong Liu,Danni Li,Feng Li

Molecular medicine reports 22:2990-3000 PubMed32945424

2020

MicroRNA‑130a‑3p promotes the proliferation and inhibits the apoptosis of cervical cancer cells via negative regulation of RUNX3.

Applications

Unspecified application

Species

Unspecified reactive species

Meng Wang,Xiaoxia Wang,Wenfeng Liu
View all publications

Product promise

We are committed to supporting your work with high-quality reagents, and we're here for you every step of the way. In the unlikely event that one of our products does not perform as expected, you're protected by our Product Promise.
For full details, please see our Terms & Conditions

Please note: All products are 'FOR RESEARCH USE ONLY. NOT FOR USE IN DIAGNOSTIC OR THERAPEUTIC PROCEDURES'.

For licensing inquiries, please contact partnerships@abcam.com