JavaScript is disabled in your browser. Please enable JavaScript to view this website.
AB188746

Anti-RXFP1 antibody - N-terminal

1

(1 Review)

|

(1 Publication)

Rabbit Polyclonal RXFP1 antibody. N-terminal. Suitable for IHC-P and reacts with Human samples. Cited in 1 publication. Immunogen corresponding to Synthetic Peptide within Human RXFP1.

View Alternative Names

LGR7, RXFP1, Relaxin receptor 1, Leucine-rich repeat-containing G-protein coupled receptor 7, Relaxin family peptide receptor 1

1 Images
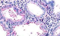
Immunohistochemistry (Formalin/PFA-fixed paraffin-embedded sections) - Anti-RXFP1 antibody - N-terminal (AB188746)
  • IHC-P

Supplier Data

Immunohistochemistry (Formalin/PFA-fixed paraffin-embedded sections) - Anti-RXFP1 antibody - N-terminal (AB188746)

Immunohistochemical analysis of formalin-fixed, paraffin-embedded Human uterus endometrium tissue labeling RXFP1 with ab188746 at 10 μg/ml.

Key facts

Host species

Rabbit

Clonality

Polyclonal

Isotype

IgG

Carrier free

No

Reacts with

Human

Applications

IHC-P

applications

Immunogen

Synthetic Peptide within Human RXFP1. The exact immunogen used to generate this antibody is proprietary information.

Q9HBX9

Specificity

BLAST analysis of the peptide immunogen showed no homology with other Human proteins.

Reactivity data

{ "title": "Reactivity Data", "filters": { "stats": ["", "Species", "Dilution Info", "Notes"], "tabs": { "all-applications": {"fullname" : "All Applications", "shortname": "All Applications"}, "IHCP" : {"fullname" : "Immunohistochemistry (Formalin/PFA-fixed paraffin-embedded sections)", "shortname":"IHC-P"} }, "product-promise": { "all": "all", "testedAndGuaranteed": "tested", "guaranteed": "expected", "predicted": "predicted", "notRecommended": "not-recommended" } }, "values": { "Human": { "IHCP-species-checked": "testedAndGuaranteed", "IHCP-species-dilution-info": "10-13 µg/mL", "IHCP-species-notes": "<p></p> Perform heat-mediated antigen retrieval before commencing with IHC staining protocol." }, "Mouse": { "IHCP-species-checked": "predicted", "IHCP-species-dilution-info": "", "IHCP-species-notes": "" }, "Rat": { "IHCP-species-checked": "predicted", "IHCP-species-dilution-info": "", "IHCP-species-notes": "" }, "Cow": { "IHCP-species-checked": "predicted", "IHCP-species-dilution-info": "", "IHCP-species-notes": "" }, "Gorilla": { "IHCP-species-checked": "predicted", "IHCP-species-dilution-info": "", "IHCP-species-notes": "" }, "Monkey": { "IHCP-species-checked": "predicted", "IHCP-species-dilution-info": "", "IHCP-species-notes": "" }, "Orangutan": { "IHCP-species-checked": "predicted", "IHCP-species-dilution-info": "", "IHCP-species-notes": "" } } }

Properties and storage information

Form
Liquid
Purification technique
Affinity purification Immunogen
Storage buffer
pH: 7.4 Preservative: 0.1% Sodium azide Constituents: PBS
Shipped at conditions
Blue Ice
Appropriate short-term storage duration
1-2 weeks
Appropriate short-term storage conditions
+4°C
Appropriate long-term storage conditions
-20°C
Aliquoting information
Upon delivery aliquot
Storage information
Avoid freeze / thaw cycle

Supplementary information

This supplementary information is collated from multiple sources and compiled automatically.

The Relaxin Family Peptide Receptor 1 commonly known as RXFP1 is a G protein-coupled receptor with a mass that can vary depending on post-translational modifications but is purified at roughly 86 kDa. RXFP1 is mainly expressed in reproductive tissues such as the uterus and cervix as well as in the heart blood vessels and kidneys. It binds with its ligand relaxin to initiate intracellular signaling cascades that activate various physiological responses.
Biological function summary

RXFP1 plays important roles in reproductive and cardiovascular systems. It facilitates the actions of relaxin often as part of a receptor-ligand complex leading to vasodilation extracellular matrix remodeling and collagen degradation. These functions enable tissue growth and flexibility especially during pregnancy and maintain homeostasis in cardiovascular conditions by influencing heart rate and blood flow.

Pathways

RXFP1 figures prominently in the nitric oxide signaling pathway and the cAMP-dependent pathway. The receptor's activation by relaxin promotes nitric oxide production which leads to vasodilation and decreased vascular resistance. It also initiates the cAMP pathway by coupling with G-proteins to increase cAMP levels which further amplifies vasodilation effects. These pathways involve proteins such as nitric oxide synthase and adenylate cyclase that interact directly or indirectly with RXFP1.

RXFP1's role is particularly significant in fibrotic diseases and heart failure. Improper regulation of RXFP1-mediated collagen remodeling can contribute to tissue fibrosis with relaxin and collagen being the critical proteins in this process. Moreover the receptor's ability to mediate vasodilation and reduce cardiac load presents it as a potential therapeutic target in heart failure. By affecting these pathways RXFP1 may provide routes to novel treatments for such debilitating conditions.

Product protocols

For this product, it's our understanding that no specific protocols are required. You can visit:

Target data

Receptor for relaxins. The activity of this receptor is mediated by G proteins leading to stimulation of adenylate cyclase and an increase of cAMP. Binding of the ligand may also activate a tyrosine kinase pathway that inhibits the activity of a phosphodiesterase that degrades cAMP.
See full target information RXFP1

Publications (1)

Recent publications for all applications. Explore the full list and refine your search

Scientific reports 6:35205 PubMed27748416

2016

MicroRNA-127 targeting of mitoNEET inhibits neurite outgrowth, induces cell apoptosis and contributes to physiological dysfunction after spinal cord transection.

Applications

Unspecified application

Species

Unspecified reactive species

Qin-Qin He,Liu-Lin Xiong,Fei Liu,Xiang He,Guo-Ying Feng,Fei-Fei Shang,Qing-Jie Xia,You-Cui Wang,De-Lu Qiu,Chao-Zhi Luo,Jia Liu,Ting-Hua Wang
View all publications

Product promise

We are committed to supporting your work with high-quality reagents, and we're here for you every step of the way. In the unlikely event that one of our products does not perform as expected, you're protected by our Product Promise.
For full details, please see our Terms & Conditions

Please note: All products are 'FOR RESEARCH USE ONLY. NOT FOR USE IN DIAGNOSTIC OR THERAPEUTIC PROCEDURES'.

For licensing inquiries, please contact partnerships@abcam.com