JavaScript is disabled in your browser. Please enable JavaScript to view this website.
AB302717

Anti-Ryanodine receptor 2/RYR-2 antibody [EPR26288-70] - BSA and Azide free

Be the first to review this product! Submit a review

|

(0 Publication)

Rabbit Recombinant Monoclonal Ryanodine receptor 2/RYR-2 antibody. Carrier free. Suitable for WB, IHC-P, IHC-Fr, IP and reacts with Mouse, Rat, Human samples.

View Alternative Names

Ryanodine receptor 2, RYR-2, RyR2, hRYR-2, Cardiac muscle ryanodine receptor, Cardiac muscle ryanodine receptor-calcium release channel, Type 2 ryanodine receptor, RYR2

13 Images
Immunohistochemistry (Formalin/PFA-fixed paraffin-embedded sections) - Anti-Ryanodine receptor 2/RYR-2 antibody [EPR26288-70] - BSA and Azide free (AB302717)
  • IHC-P

Supplier Data

Immunohistochemistry (Formalin/PFA-fixed paraffin-embedded sections) - Anti-Ryanodine receptor 2/RYR-2 antibody [EPR26288-70] - BSA and Azide free (AB302717)

This data was developed using ab302716, the same antibody clone in a different buffer formulation. Immunohistochemical analysis of paraffin-embedded Human skeletal muscle tissue labeling Ryanodine receptor 2/RYR-2 with ab302716 at 1/500 (1.068 ug/ml) followed by a ready to use LeicaDS9800 (Bond™ Polymer Refine Detection). Negative control : no staining on human skeletal muscle.The section was incubated with ab302716 for 30 mins at room temperature.The immunostaining was performed on a Leica Biosystems BOND® RX instrument Counterstained with Hematoxylin. Secondary antibody only control : Secondary antibody is a ready to use LeicaDS9800 (Bond™ Polymer Refine Detection) was used. Heat mediated antigen retrieval with Tris-EDTA buffer (pH 9.0, epitope retrieval solution2) for 20 mins

Immunohistochemistry (Formalin/PFA-fixed paraffin-embedded sections) - Anti-Ryanodine receptor 2/RYR-2 antibody [EPR26288-70] - BSA and Azide free (AB302717)
  • IHC-P

Supplier Data

Immunohistochemistry (Formalin/PFA-fixed paraffin-embedded sections) - Anti-Ryanodine receptor 2/RYR-2 antibody [EPR26288-70] - BSA and Azide free (AB302717)

This data was developed using ab302716, the same antibody clone in a different buffer formulation. Immunohistochemical analysis of paraffin-embedded Human cerebrum tissue labeling Ryanodine receptor 2/RYR-2 with ab302716 at 1/500 (1.068 ug/ml) followed by a ready to use LeicaDS9800 (Bond™ Polymer Refine Detection). Cytoplasmic staining on human cerebrum.The section was incubated with ab302716 for 30 mins at room temperature.The immunostaining was performed on a Leica Biosystems BOND® RX instrument Counterstained with Hematoxylin. Secondary antibody only control : Secondary antibody is a ready to use LeicaDS9800 (Bond™ Polymer Refine Detection) was used. Heat mediated antigen retrieval with Tris-EDTA buffer (pH 9.0, epitope retrieval solution2) for 20 mins

Immunohistochemistry (Formalin/PFA-fixed paraffin-embedded sections) - Anti-Ryanodine receptor 2/RYR-2 antibody [EPR26288-70] - BSA and Azide free (AB302717)
  • IHC-P

Supplier Data

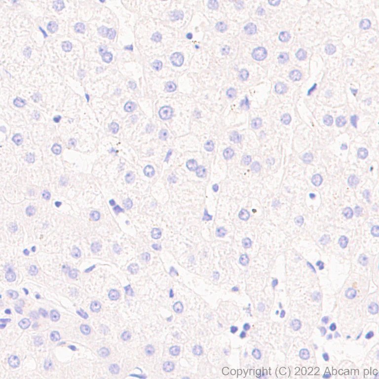
Immunohistochemistry (Formalin/PFA-fixed paraffin-embedded sections) - Anti-Ryanodine receptor 2/RYR-2 antibody [EPR26288-70] - BSA and Azide free (AB302717)

This data was developed using ab302716, the same antibody clone in a different buffer formulation. Immunohistochemical analysis of paraffin-embedded Human liver tissue labeling Ryanodine receptor 2/RYR-2 with ab302716 at 1/500 (1.068 ug/ml) followed by a ready to use LeicaDS9800 (Bond™ Polymer Refine Detection). Negative control : no staining on human liver.The section was incubated with ab302716 for 30 mins at room temperature.The immunostaining was performed on a Leica Biosystems BOND® RX instrument Counterstained with Hematoxylin. Secondary antibody only control : Secondary antibody is a ready to use LeicaDS9800 (Bond™ Polymer Refine Detection) was used. Heat mediated antigen retrieval with Tris-EDTA buffer (pH 9.0, epitope retrieval solution2) for 20 mins

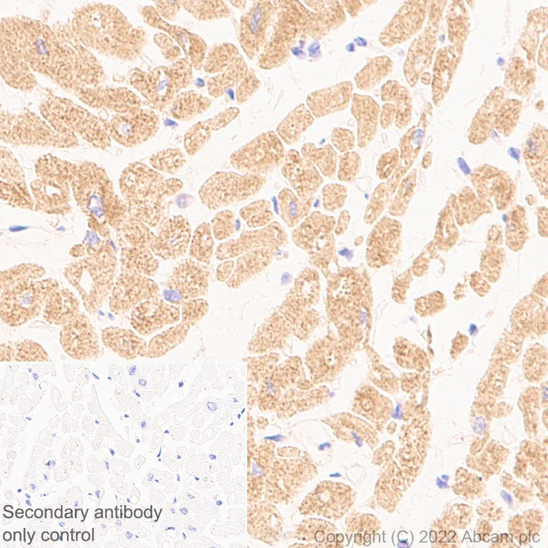
Immunohistochemistry (Formalin/PFA-fixed paraffin-embedded sections) - Anti-Ryanodine receptor 2/RYR-2 antibody [EPR26288-70] - BSA and Azide free (AB302717)
  • IHC-P

Supplier Data

Immunohistochemistry (Formalin/PFA-fixed paraffin-embedded sections) - Anti-Ryanodine receptor 2/RYR-2 antibody [EPR26288-70] - BSA and Azide free (AB302717)

This data was developed using ab302716, the same antibody clone in a different buffer formulation. Immunohistochemical analysis of paraffin-embedded Human cardiac muscle tissue labeling Ryanodine receptor 2/RYR-2 with ab302716 at 1/500 (1.068 ug/ml) followed by a ready to use LeicaDS9800 (Bond™ Polymer Refine Detection). Cytoplasmic staining on human cardiac muscle (PMID : 27987400).The section was incubated with ab302716 for 30 mins at room temperature.The immunostaining was performed on a Leica Biosystems BOND® RX instrument Counterstained with Hematoxylin. Secondary antibody only control : Secondary antibody is a ready to use LeicaDS9800 (Bond™ Polymer Refine Detection) was used. Heat mediated antigen retrieval with Tris-EDTA buffer (pH 9.0, epitope retrieval solution2) for 20 mins

Immunohistochemistry (Frozen sections) - Anti-Ryanodine receptor 2/RYR-2 antibody [EPR26288-70] - BSA and Azide free (AB302717)
  • IHC-Fr

Supplier Data

Immunohistochemistry (Frozen sections) - Anti-Ryanodine receptor 2/RYR-2 antibody [EPR26288-70] - BSA and Azide free (AB302717)

This data was developed using ab302716, the same antibody clone in a different buffer formulation. Immunohistochemical analysis of 4% PFA-fixed, 0.2% Triton X-100 permeabilized frozen Mouse heart (fresh) tissue labeling Ryanodine receptor 2/RYR-2 with ab302716 at 1/100 (5.34 ug/ml) dilution followed by ab150081 Goat Anti-Rabbit IgG H&L (Alexa Fluor® 488) preadsorbed at 1/1000 2 ug/mL dilution (Green). Positive staining on mouse heart is observed. The nuclear counterstain was DAPI (Blue). Secondary antibody control : Secondary antibody is ab150081 Goat Anti-Rabbit IgG H&L (Alexa Fluor® 488) preadsorbed at 1/1000 2 ug/mL dilution.

Immunohistochemistry (Frozen sections) - Anti-Ryanodine receptor 2/RYR-2 antibody [EPR26288-70] - BSA and Azide free (AB302717)
  • IHC-Fr

Supplier Data

Immunohistochemistry (Frozen sections) - Anti-Ryanodine receptor 2/RYR-2 antibody [EPR26288-70] - BSA and Azide free (AB302717)

This data was developed using ab302716, the same antibody clone in a different buffer formulation. Immunohistochemical analysis of 4% PFA-fixed, 0.2% Triton X-100 permeabilized frozen Rat heart (fresh) tissue labeling Ryanodine receptor 2/RYR-2 with ab302716 at 1/100 (5.34 ug/ml) dilution followed by ab150081 Goat Anti-Rabbit IgG H&L (Alexa Fluor® 488) preadsorbed at 1/1000 2 ug/mL dilution (Green). Positive staining on rat heart is observed. The nuclear counterstain was DAPI (Blue). Secondary antibody control : Secondary antibody is ab150081 Goat Anti-Rabbit IgG H&L (Alexa Fluor® 488) preadsorbed at 1/1000 2 ug/mL dilution

Immunohistochemistry (Formalin/PFA-fixed paraffin-embedded sections) - Anti-Ryanodine receptor 2/RYR-2 antibody [EPR26288-70] - BSA and Azide free (AB302717)
  • IHC-P

Supplier Data

Immunohistochemistry (Formalin/PFA-fixed paraffin-embedded sections) - Anti-Ryanodine receptor 2/RYR-2 antibody [EPR26288-70] - BSA and Azide free (AB302717)

This data was developed using ab302716, the same antibody clone in a different buffer formulation. Immunohistochemical analysis of paraffin-embedded Mouse cardiac muscle tissue labeling Ryanodine receptor 2/RYR-2 with ab302716 at 1/2000 (0.267 ug/ml) followed by a ready to use LeicaDS9800 (Bond™ Polymer Refine Detection). Cytoplasmic staining on mouse cardiac muscle.The section was incubated with ab302716 for 30 mins at room temperature.The immunostaining was performed on a Leica Biosystems BOND® RX instrument Counterstained with Hematoxylin. Secondary antibody only control : Secondary antibody is a ready to use LeicaDS9800 (Bond™ Polymer Refine Detection) was used. Heat mediated antigen retrieval with Tris-EDTA buffer (pH 9.0, epitope retrieval solution2) for 20 mins

Immunohistochemistry (Frozen sections) - Anti-Ryanodine receptor 2/RYR-2 antibody [EPR26288-70] - BSA and Azide free (AB302717)
  • IHC-Fr

Supplier Data

Immunohistochemistry (Frozen sections) - Anti-Ryanodine receptor 2/RYR-2 antibody [EPR26288-70] - BSA and Azide free (AB302717)

This data was developed using ab302716, the same antibody clone in a different buffer formulation. Immunohistochemical analysis of 4% PFA-fixed, 0.2% Triton X-100 permeabilized frozen Rat liver (fresh) tissue labeling Ryanodine receptor 2/RYR-2 with ab302716 at 1/100 (5.34 ug/ml) dilution followed by ab150081 Goat Anti-Rabbit IgG H&L (Alexa Fluor® 488) preadsorbed at 1/1000 2 ug/mL dilution (Green). Negative control : no staining on rat liver (PMID : 12395283) is observed. The nuclear counterstain was DAPI (Blue). Secondary antibody control : Secondary antibody is ab150081 Goat Anti-Rabbit IgG H&L (Alexa Fluor® 488) preadsorbed at 1/1000 2 ug/mL dilution.

Immunohistochemistry (Formalin/PFA-fixed paraffin-embedded sections) - Anti-Ryanodine receptor 2/RYR-2 antibody [EPR26288-70] - BSA and Azide free (AB302717)
  • IHC-P

Supplier Data

Immunohistochemistry (Formalin/PFA-fixed paraffin-embedded sections) - Anti-Ryanodine receptor 2/RYR-2 antibody [EPR26288-70] - BSA and Azide free (AB302717)

This data was developed using ab302716, the same antibody clone in a different buffer formulation. Immunohistochemical analysis of paraffin-embedded Rat cardiac muscle tissue labeling Ryanodine receptor 2/RYR-2 with ab302716 at 1/2000 (0.267 ug/ml) followed by a ready to use LeicaDS9800 (Bond™ Polymer Refine Detection). Cytoplasmic staining on rat cardiac muscle (PMID : 27882143).The section was incubated with ab302716 for 30 mins at room temperature.The immunostaining was performed on a Leica Biosystems BOND® RX instrument Counterstained with Hematoxylin. Secondary antibody only control : Secondary antibody is a ready to use LeicaDS9800 (Bond™ Polymer Refine Detection) was used. Heat mediated antigen retrieval with Tris-EDTA buffer (pH 9.0, epitope retrieval solution2) for 20 mins

Immunohistochemistry (Frozen sections) - Anti-Ryanodine receptor 2/RYR-2 antibody [EPR26288-70] - BSA and Azide free (AB302717)
  • IHC-Fr

Supplier Data

Immunohistochemistry (Frozen sections) - Anti-Ryanodine receptor 2/RYR-2 antibody [EPR26288-70] - BSA and Azide free (AB302717)

This data was developed using ab302716, the same antibody clone in a different buffer formulation. Immunohistochemical analysis of 4% PFA-fixed, 0.2% Triton X-100 permeabilized frozen Mouse liver (fresh) tissue labeling Ryanodine receptor 2/RYR-2 with ab302716 at 1/100 (5.34 ug/ml) dilution followed by ab150081 Goat Anti-Rabbit IgG H&L (Alexa Fluor® 488) preadsorbed at 1/1000 2 ug/mL dilution (Green). Negative control : no staining on mouse liver (PMID : 12395283) is observed. The nuclear counterstain was DAPI (Blue). Secondary antibody control : Secondary antibody is ab150081 Goat Anti-Rabbit IgG H&L (Alexa Fluor® 488) preadsorbed at 1/1000 2 ug/mL dilution.

Immunoprecipitation - Anti-Ryanodine receptor 2/RYR-2 antibody [EPR26288-70] - BSA and Azide free (AB302717)
  • IP

Supplier Data

Immunoprecipitation - Anti-Ryanodine receptor 2/RYR-2 antibody [EPR26288-70] - BSA and Azide free (AB302717)

This data was developed using ab302716, the same antibody clone in a different buffer formulation. Ryanodine receptor 2/RYR-2 was immunoprecipitated from 0.35 mg Mouse heart tissue lysate 10 ug with ab302716 at 1/30 dilution (2ug in 0.35mg lysates). Western blot was performed on the immunoprecipitate using ab302716 at 1/1000 dilution. VeriBlot for IP secondary antibody(HRP)(ab131366) was used at 1/5000 dilution. Lane 1 : Mouse heart tissue lysate 10 ug Lane 2 : ab302716 IP in Mouse heart tissue lysate Lane 3 : Rabbit monoclonal IgG (ab172730) instead of ab302716 in mouse heart tissue lysate Blocking and dilution buffer and concentration : 5% NFDM/TBST. Exposure time : 3 minutes

All lanes:

Immunoprecipitation - Anti-Ryanodine receptor 2/RYR-2 antibody [EPR26288-70] (<a href='/en-us/products/primary-antibodies/ryanodine-receptor-2-ryr-2-antibody-epr26288-70-ab302716'>ab302716</a>) at 1/1000 dilution

Lane 1:

Mouse heart tissue lysate 10 ug

Lane 2:

<a href='/en-us/products/primary-antibodies/ryanodine-receptor-2-ryr-2-antibody-epr26288-70-ab302716'>ab302716</a> IP in Mouse heart tissue lysate

Secondary

All lanes:

Immunoprecipitation - VeriBlot for IP Detection Reagent (HRP) (<a href='/en-us/products/reagents/veriblot-for-ip-detection-reagent-hrp-ab131366'>ab131366</a>) at 1/5000 dilution

Predicted band size: 564 kDa

Observed band size: 564 kDa

false

Exposure time: 3min

Western blot - Anti-Ryanodine receptor 2/RYR-2 antibody [EPR26288-70] - BSA and Azide free (AB302717)
  • WB

Supplier Data

Western blot - Anti-Ryanodine receptor 2/RYR-2 antibody [EPR26288-70] - BSA and Azide free (AB302717)

This data was developed using ab302716, the same antibody clone in a different buffer formulation. Blocking and diluting buffer and concentration : 5% NFDM/TBST Exposure time : 3 seconds

All lanes:

Western blot - Anti-Ryanodine receptor 2/RYR-2 antibody [EPR26288-70] (<a href='/en-us/products/primary-antibodies/ryanodine-receptor-2-ryr-2-antibody-epr26288-70-ab302716'>ab302716</a>) at 1/1000 dilution

Lane 1:

HEK-293T (human embryonic kidney) transfected with an empty vector (vector control), containing a myc-His-tag®, whole cell lysate at 20 µg

Lane 2:

HEK-293T transfected with human Ryanodine receptor 2 expression vector containi a myc-His-tag®, whole cell lysate at 20 µg

Secondary

All lanes:

Western blot - Goat Anti-Rabbit IgG H&L (HRP) (<a href='/en-us/products/secondary-antibodies/goat-rabbit-igg-h-l-hrp-ab97051'>ab97051</a>) at 1/100000 dilution

Predicted band size: 565 kDa

Observed band size: 564 kDa

false

Exposure time: 3s

Western blot - Anti-Ryanodine receptor 2/RYR-2 antibody [EPR26288-70] - BSA and Azide free (AB302717)
  • WB

Supplier Data

Western blot - Anti-Ryanodine receptor 2/RYR-2 antibody [EPR26288-70] - BSA and Azide free (AB302717)

This data was developed using ab302716, the same antibody clone in a different buffer formulation. Blocking and diluting buffer and concentration : 5% NFDM/TBST Negative controls : skeletal muscle, liver (PMID : 23516528, PMID : 9607712) Exposure time : Lanes 1-3 : 15 seconds; Lanes 4-6 : 37 seconds.

All lanes:

Western blot - Anti-Ryanodine receptor 2/RYR-2 antibody [EPR26288-70] (<a href='/en-us/products/primary-antibodies/ryanodine-receptor-2-ryr-2-antibody-epr26288-70-ab302716'>ab302716</a>) at 1/1000 dilution

Lane 1:

Mouse heart tissue lysate at 20 µg

Lane 2:

Mouse skeletal muscle tissue lysate at 20 µg

Lane 3:

Mouse liver tissue lysate at 20 µg

Lane 4:

Rat heart tissue lysate at 20 µg

Lane 5:

Rat skeletal muscle tissue lysate at 20 µg

Lane 6:

Rat liver tissue lysate at 20 µg

Secondary

All lanes:

Western blot - Goat Anti-Rabbit IgG H&L (HRP) (<a href='/en-us/products/secondary-antibodies/goat-rabbit-igg-h-l-hrp-ab97051'>ab97051</a>) at 1/100000 dilution

Predicted band size: 565 kDa

Observed band size: 564 kDa

false

Key facts

Host species

Rabbit

Clonality

Monoclonal

Clone number

EPR26288-70

Isotype

IgG

Carrier free

Yes

Reacts with

Human, Mouse, Rat

Applications

WB, IHC-Fr, IHC-P, IP

applications

Immunogen

The exact immunogen used to generate this antibody is proprietary information.

Reactivity data

{ "title": "Reactivity Data", "filters": { "stats": ["", "Species", "Dilution Info", "Notes"], "tabs": { "all-applications": {"fullname" : "All Applications", "shortname": "All Applications"}, "WB" : {"fullname" : "Western blot", "shortname":"WB"}, "IHCP" : {"fullname" : "Immunohistochemistry (Formalin/PFA-fixed paraffin-embedded sections)", "shortname":"IHC-P"}, "IHCFr" : {"fullname" : "Immunohistochemistry (Frozen sections)", "shortname":"IHC-Fr"}, "IP" : {"fullname" : "Immunoprecipitation", "shortname":"IP"} }, "product-promise": { "all": "all", "testedAndGuaranteed": "tested", "guaranteed": "expected", "predicted": "predicted", "notRecommended": "not-recommended" } }, "values": { "Human": { "WB-species-checked": "guaranteed", "WB-species-dilution-info": "", "WB-species-notes": "", "IHCP-species-checked": "testedAndGuaranteed", "IHCP-species-dilution-info": "", "IHCP-species-notes": "<p></p>", "IHCFr-species-checked": "guaranteed", "IHCFr-species-dilution-info": "", "IHCFr-species-notes": "", "IP-species-checked": "guaranteed", "IP-species-dilution-info": "", "IP-species-notes": "" }, "Mouse": { "WB-species-checked": "testedAndGuaranteed", "WB-species-dilution-info": "", "WB-species-notes": "<p></p>", "IHCP-species-checked": "testedAndGuaranteed", "IHCP-species-dilution-info": "", "IHCP-species-notes": "<p></p>", "IHCFr-species-checked": "testedAndGuaranteed", "IHCFr-species-dilution-info": "", "IHCFr-species-notes": "<p></p>", "IP-species-checked": "testedAndGuaranteed", "IP-species-dilution-info": "", "IP-species-notes": "<p></p>" }, "Rat": { "WB-species-checked": "testedAndGuaranteed", "WB-species-dilution-info": "", "WB-species-notes": "<p></p>", "IHCP-species-checked": "testedAndGuaranteed", "IHCP-species-dilution-info": "", "IHCP-species-notes": "<p></p>", "IHCFr-species-checked": "testedAndGuaranteed", "IHCFr-species-dilution-info": "", "IHCFr-species-notes": "<p></p>", "IP-species-checked": "guaranteed", "IP-species-dilution-info": "", "IP-species-notes": "" } } }

Product details

Patented technology
Our RabMAb® technology is a patented hybridoma-based technology for making rabbit monoclonal antibodies. For details on our patents, please refer to RabMAb® patents.

What are the advantages of a recombinant monoclonal antibody?
This product is a recombinant monoclonal antibody, which offers several advantages including:

  • - High batch-to-batch consistency and reproducibility
  • - Improved sensitivity and specificity
  • - Long-term security of supply
  • - Animal-free batch production

For more information, read more on recombinant antibodies.

Conjugation ready
Our carrier-free antibodies are typically supplied in a PBS-only formulation, purified and free of BSA, sodium azide and glycerol. This conjugation-ready format is designed for use with fluorochromes, metal isotopes, oligonucleotides, and enzymes, which makes them ideal for antibody labelling, functional and cell-based assays, flow-based assays (e.g. mass cytometry) and Multiplex Imaging applications.

Use our conjugation kits for antibody conjugates that are ready-to-use in as little as 20 minutes with 1 minute hands-on-time and 100% antibody recovery: available for fluorescent dyes, HRP, biotin and gold.

Compatibility
This product is compatible with the Maxpar® Antibody Labeling Kit from Fluidigm, without the need for antibody preparation. Maxpar® is a trademark of Fluidigm Canada Inc.

Properties and storage information

Form
Liquid
Purification technique
Affinity purification Protein A
Storage buffer
pH: 7.2 - 7.4 Constituents: PBS
Shipped at conditions
Blue Ice
Appropriate short-term storage conditions
+4°C
Appropriate long-term storage conditions
+4°C

Supplementary information

This supplementary information is collated from multiple sources and compiled automatically.

The ryanodine receptor 2 (RYR-2) also known as cardiac ryanodine receptor is an intracellular calcium release channel that plays an important role in cardiac muscle contraction. This large protein has a mass of about 564 kDa and is mainly expressed in cardiac muscle tissue. Mechanically RYR-2 regulates the release of calcium ions from the sarcoplasmic reticulum into the cytosol. This calcium release occurs through the calcium-induced calcium release mechanism which is important in excitation-contraction coupling in cardiac muscle cells.
Biological function summary

RYR-2 enables the heart muscle cells to contract and relax by supplying calcium ions necessary for muscle contraction. It is part of a larger complex that includes proteins such as FK506-binding protein 12.6 (FKBP12.6) and calsequestrin which help regulate its function. Proper function of this complex is necessary for maintaining the rhythmic contraction and relaxation cycles of the heart. Any disruptions in this function can lead to irregular heartbeats.

Pathways

RYR-2 is significant in cardiac calcium signaling pathways that involve calcium-induced calcium release. Through this pathway it works closely with L-type calcium channels like Cav1.2 which are responsible for the initial influx of calcium that activates RYR-2. This cooperation allows for the amplification of calcium signals needed for strong cardiac muscle contractions. Proper signaling in these pathways is necessary for maintenance of heart rhythm and contractile strength.

RYR-2 mutations associate with several cardiac disorders including catecholaminergic polymorphic ventricular tachycardia (CPVT) and arrhythmogenic right ventricular dysplasia type 2 (ARVD2). These conditions involve irregular heartbeats often triggered by physical exercise or stress. The relationship between RYR-2 and these disorders connects through its dysfunction in calcium signaling regulation which impacts heart rhythm stability. The malfunctioning of RYR-2 also affects related proteins like FKBP12.6 contributing further to disrupted calcium homeostasis and arrhythmic events.

Product protocols

For this product, it's our understanding that no specific protocols are required. You can visit:

Target data

Cytosolic calcium-activated calcium channel that mediates the release of Ca(2+) from the sarcoplasmic reticulum into the cytosol and thereby plays a key role in triggering cardiac muscle contraction. Aberrant channel activation can lead to cardiac arrhythmia. In cardiac myocytes, calcium release is triggered by increased Ca(2+) cytosolic levels due to activation of the L-type calcium channel CACNA1C. The calcium channel activity is modulated by formation of heterotetramers with RYR3. Required for cellular calcium ion homeostasis. Required for embryonic heart development.
See full target information RYR2

Product promise

We are committed to supporting your work with high-quality reagents, and we're here for you every step of the way. In the unlikely event that one of our products does not perform as expected, you're protected by our Product Promise.
For full details, please see our Terms & Conditions

Please note: All products are 'FOR RESEARCH USE ONLY. NOT FOR USE IN DIAGNOSTIC OR THERAPEUTIC PROCEDURES'.

For licensing inquiries, please contact partnerships@abcam.com